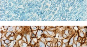
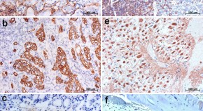
The authors propose a model of the hierarchical organization of breast ducts and lobules. They describe luminal progenitors from which glandular progeny cells evolve, and demonstrate the presence of a small subpopulation of bipotent progenitors confined to the nipple ducts. Moreover, they show that estrogen receptor expression is associated with differentiated glandular cells and is rarely observed in progenitors. These results may provide new important insights into the definition and regulation of stem/progenitor cells in normal and diseased breast tissues.
- Werner Boecker
- Laura van Horn
- Igor Buchwalow