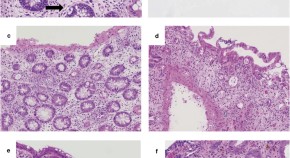
Paneth cell metaplasia (PCM) typically arises in diseases intrinsic to the gastrointestinal tract; however, whether extra intestinal diseases can trigger PCM and the mechanistic pathway by which PCM develops is unknown. Herein, the authors show in an inducible murine model of chronic myelogenous leukaemia that a systemic inflammatory state can trigger IL-33- mediated IL-9 production that leads to small intestinal remodelling and PCM.
- Chengyin Yuan
- Aditya Rayasam
- William R. Drobyski