Membranoproliferative glomerulonephritis articles from across Nature Portfolio

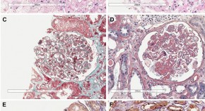
Membranoproliferative glomerulonephritis is a rare kidney disorder characterized by mesangial cell proliferation and structural changes in glomerular capillary walls. The disorder can be classified into various subtypes based on characteristic abnormal ultrastructures and immune deposits in biopsy samples.

Latest Research and Reviews

News and Comment