Abstract
Although cystic tumors of the pancreas are relatively rare, they constitute an increasingly important category. Advances in imaging and interventional techniques and the sharp drop in the mortality rate of pancreatic surgery have rendered pancreatic biopsies and resections commonplace specimens. Consequently, in the past two decades, the nature of many cystic tumors in this organ has been better characterized. The names of some existing entities were revised; for example, what was known as papillary-cystic tumor is now regarded as solid-pseudopapillary tumor. New entities, in particular, intraductal papillary mucinous neoplasm and its variants, such as oncocytic and intestinal subtypes were recognized. The importance of clinical and pathologic correlation in the evaluation of these lesions was appreciated, in particular, with regards to the multifocality of these lesions, their association with invasive carcinomas, and thus their ‘preinvasive’ nature. Consensus criteria for the distinction of these from the ordinary precursors of adenocarcinoma, the pancreatic intraepithelial neoplasia, were established. The definition of mucinous cystic neoplasms was refined; ovarian-like stroma has now become almost a requirement for the diagnosis of mucinous cystic neoplasia, and defined as such, the propensity of these tumors to occur in perimenopausal women became even more striking. The validity and clinical value of classifying the pancreatic cysts of mucinous type as adenoma, borderline, CIS and invasive have been established. Related to this, the importance of thorough sampling in accurate classification of these mucinous lesions was recognized. Greater accessibility of the pancreas afforded by improved invasive as well as noninvasive modalities has also increased the detection of otherwise clinically silent cystic tumors, which has led to the recognition of more innocuous entities such as acinar cell cystadenoma and squamoid cyst of pancreatic ducts. As the significance of the cystic lesions emerged, cystic forms of otherwise typically solid tumors were also better characterized. Thus, significant developments have taken place in the classification and our understanding of pancreatic cystic tumors in the past few years, and experience with these lesions is likely to grow exponentially in the coming years.
Similar content being viewed by others
Main
Dorland's Medical Illustrated dictionary defines a cyst as ‘any closed cavity or sac, normal or abnormal, lined by epithelium, and especially one that contains a liquid or semisolid material’.1 In the pancreas, however, this term has been applied to a variety of lesions, ranging from radiologically low-attenuated tumors, to any process that forms a cavity, and in some cases, whether it has an epithelial lining or not. Therefore, the term cyst has become associated with some pancreatic lesions that do not fulfill the dictionary definition of the term.
Overall, cystic tumors of the pancreas are significantly less common than solid ones. It is estimated that less than 1% of pancreatic tumors seen in oncology clinics are cystic; however, in resection specimens cystic ones are becoming increasingly more common, reportedly up to 15% of the cases in some institutions. There are important reasons for this increase in frequency, particularly among resection specimens: (1) recent developments in imaging techniques have led to increased detection of clinically silent tumors, (2) most cystic lesions are noninfiltrative, and are thus resectable, (3) most cystic tumors are biologically curable, (4) advances in surgical and perioperative care have decreased the mortality rate of pancreatectomy procedures from 20 to 30% in 1980s to below 5% in ‘very high-volume’ institutions, and therefore, most cystic tumors undergo resection, such that there is a remarkable increase in the exposure of surgical pathologists to these lesions. This contrasts with invasive ductal (pancreatobiliary-type) adenocarcinoma in this organ, which is the most common tumor type (>85% of all cases), is mostly unresectable (80%), and associated with a dismal prognosis (5-year survival <5%).
The relative frequencies of cystic lesions in the pancreas vary substantially from institution to institution, from primary vs tertiary care centers, and presumably even from region to region.2, 3 The lesions below are discussed in an order that reflects both the frequency and clinical significance of different cystic lesions in this author's experience based upon a large surgical and autopsy database from an institution that serves both as a primary and tertiary care center, as well as the author's consultation material and the published data in the literature. Estimated relative frequency of cystic lesions accordingly is shown in Table 1.
There is no formal classification of cystic neoplasms of the pancreas. For the purpose of this text, they will be categorized based on the presence and type of cyst lining at the microscopic level (Table 2).
Pseudocysts (no lining)
Conventional Pseudocysts
Most cavity-forming lesions of the peripancreatic region are pseudocysts.4, 5, 6 The entity referred to as ‘pseudocyst’ is a non-neoplastic complication of pancreatitis caused by alcoholic, biliary, or traumatic acute pancreatitis.7, 8 It develops when a focus of peripancreatic fat necrosis is resorbed, producing a debris-filled space rich in pancreatic exocrine enzymes. Pseudocysts may measure up to several centimeters. The pathologic findings may vary depending on the stage of the process. The cyst contents, originally necrotic fat, transform into a mixture of necrotic cells, enzymes, scavenger cells, hematoidin pigment, cholesterol clefts, and sometimes neutrophils. There is no epithelial lining. The adjacent stroma may be hypercellular (Figure 1). The tissue that surrounds the necrotic material first produces granulation tissue, and eventually becomes a fibrotic pseudocapsule. Depending on the severity and duration of the pancreatitis, the pseudocyst may resolve spontaneously, or may achieve a size that is no longer self-resorbable, and require surgical intervention.
Pseudocyst. Pseudocyst is defined by the lack of an epithelial lining. The constituents of the wall vary depending on the stage of the lesion; in the earlier phase, necrotic debris and precipitated acinar secretions are present in the lumen, and granulation tissue on the wall. Later on, fibrosis becomes more prominent. In this example, histiocytes are prominent adjacent to the lumen of the cyst, and there is a cellular stroma around it. This can mimick ovarian-type stroma of mucinous cystic neoplasms.
Pseudocysts do not present a risk of malignant degeneration, and the treatment of pseudocysts differs dramatically from that of cystic neoplasms of the pancreas. Fortunately, the clinical diagnosis of a pseudocyst is usually straightforward; however, neoplasms may mimic a pseudocyst and conversely. There are case reports of virtually every pancreatic neoplasm presenting like a pseudocyst.9, 10, 11, 12, 13, 14 Solid-pseudopapillary neoplasms often undergo massive cystic degeneration, and mucinous cystic neoplasms.15 have a tendency to become infected and exhibit suppurative contents. The ovarian stroma characteristic of the latter may be confused microscopically with the granulation tissue of pseudocysts and vice versa. Proper sampling is essential for the correct diagnosis in such cases. It should also be kept in mind that ductal adenocarcinoma, although rarely, may undergo central necrosis and clinically mimic pseudocysts.2, 16, 17, 18, 19
Paraduodenal wall cyst (cystic dystrophy)
This is one of the complications of a subset of chronic pancreatitis that we refer to as paraduodenal pancreatitis.20 These cysts appear to occur as a consequence of chronic fibrosing inflammation in the periampullary region in which one or more of the accessory ducts form a cyst on the duodenal wall, and mimic duodenal duplication.5, 21, 22 This usually occurs in the background of microcystic trabeculation of the duodenal wall by ‘myo-adenomatosis’ type changes that form a ‘pseudotumor’ which may also involve the adjacent pancreas in the groove area (the so-called groove pancreatitis23). The cyst wall may be partly lined by ductal epithelium and partly by inflammation as well as granulation tissue.24 In our experience,21, 22 this process is often located in the second portion of the duodenum, (Figure 2) centered around the accessory ampulla, and may be associated with the scarring of common bile duct, mimicking pancreas cancer. We believe paraduodenal wall cysts are closely related to the so-called cystic dystrophy.25 In our experience, they occur predominantly in males, at age 40–50 years, often with a history of alcohol abuse, and in the context of severe abdominal symptoms.20 Some were interpreted to be associated with ‘pancreatic heterotopia’ in the duodenal wall.26
Paraduodenal wall cyst. In some patients with pancreatitis, in particular of the paraduodenal type (also called cystic dystrophy of duodenal wall), one or more of the cysts may become fairly large, and located on the duodenal wall, mimicking duodenal duplication. These may be partly lined by ductal epithelium, but are mostly lined by granulation tissue.
Infection-related pseudocysts
Other rare inflammatory cysts that can occur in the pancreas include parasitic cysts such as echinococcal cyst27, 28, 29 and necrotic tuberculous infections.30, 31
Cysts with mucinous epithelium
Intraductal Papillary Mucinous Neoplasms
Intraductal papillary mucinous neoplasms (IPMNs) are characterized by cystic dilatation of pancreatic ducts in which an intraductal proliferation of neoplastic mucin-producing cells is usually arranged in papillary patterns14, 32, 33, 34, 35, 36, 37, 38, 39, 40, 41, 42, 43, 44, 45, 46, 47, 48, 49, 50, 51 (Figure 3). The papillae may range from microscopic to large nodular masses. Mucin production by the neoplastic cells is usually associated with intraluminal mucin secretion which leads to cystic dilatation of the ducts, and at times, to mucin extrusion from the ampulla of Vater, a finding that is virtually diagnostic of an IPMN. Depending upon the location of the primary process and subsequent mechanical changes in the ducts, IPMNs may present as a spectrum of multilocular cystic masses, villous/papillary nodules or with mucin extrusion from the ampulla. This spectrum is reflected in the variety of designations that had been given to these neoplasms including mucinous duct ectasia52 (ductectatic mucinous cystadenoma),53 mucin-producing tumor,54, 55 and villous adenoma56 or papillary carcinoma.57, 58 The term coined by Günter Klöppel, IPMN, is now widely accepted as the designation of these neoplasms.44, 50, 59 IPMNs are estimated to account for ∼5% of pancreatic neoplasms, however, they are being reported in increasing numbers and may be more common than previously recognized.35, 39
Clinically, patients with an IPMN usually present in the 7–8th decade of life with nonspecific abdominal symptoms, although in some, a history of pancreatitis is noted. Approximately, 30% of the patients have tumors in other organs, some synchronous and others metachronous.34, 60, 61 Endoscopic findings, particularly mucin extrusion from the ampulla of Vater, and radiologic findings, especially ectasia of the pancreatic ducts, are virtually diagnostic for these neoplasms. IPMN occurs predominantly in the head of the pancreas.
Macroscopic examination of IPMNs is imperative for documenting involvement of the pancreatic ductal system and the distribution of the disease within the ductal system, especially since there are no basal or myoepithelial cells in pancreatic ducts to distinguish native ducts. In some cases, the IPMN primarily involves the main pancreatic duct, (Figure 3) and in others the branch ducts; the latter is predominant particularly in those that arise in the uncinate process. The latter have been referred to as ‘branch-duct’-type IPMNs.49, 62, 63, 64, 65 Some authors believe this variant is a biologically distinct entity, and therefore every attempt should be made during macroscopic examination to determine the distribution of the lesion.47, 49, 60, 62, 64, 65, 66, 67 IPMNs may be localized, multicentric or, rarely, the entire ductal system may be involved. Careful examination and sampling of the specimen for an invasive carcinoma component is of vital importance.
Microscopically, the cystically dilated ducts of IPMNs contain mucin-producing cells with various degrees of atypia (Figure 4). Papillae with three distinct morphologic patterns may be seen34, 68, 69, 70, 71, 72, 73 (1) intestinal, which is morphologically similar to that of colonic villous adenomas of the colon (Figure 5) and (2) pancreatobiliary, in which the papillae are more complex and are lined by cuboidal cells with prominent nucleoli. (3) gastric, rarely some papillas have gastric foveolar appearance (Figure 6). As this phenotype is also common in the nonpapillary areas of these tumors, it is also referred to as ‘null’ type. The first group does in fact show molecular characteristics of intestinal differentiation as evidenced by MUC2 and CDX2 expression, which are regarded as having key roles in intestinal programming, in addition to their tumor-suppressor properties.73 Invasive carcinomas associated with this group is typically of colloid type, (Figure 7) and conversely, colloid carcinoma is also often associated with intestinal type papillae.73 Papillae with the pancreatobiliary pattern, on the other hand, typically do not express CDX2 and MUC2, but may instead express MUC1, a ‘marker’ of aggressive phenotype in the pancreas.73
IPMNs, adenoma (left), borderline (middle) and carcinoma in situ (right). The papilla on the left shows virtually no atypia and exhibits a gastric foveolar appearance. The one in the middle is reminiscent of villous adenoma, and exhibits low-grade dysplastic changes that fall into the ‘borderline’ category. The papilla on the right shows marked cytologic disorganization and atypia (ie CIS).
IPMN in smaller ducts. These tumors can involve any component of the ductal system. The larger cyst in this example is in fact a markedly dilated branch duct. Smaller units are often involved (lower left) with what is presumed to be pagetoid spread of the lesion. In some cases, it can be difficult, if not impossible, to distinguish these from incidental/independent PanINs. This example also illustrates the gastric foveolar-type of papillae.
Although IPMNs and mucinous cystic neoplasms have some features that overlap, the two can be distinguished by clinical, gross, and microscopic findings74 (see Table 3). Mucinous cystic neoplasms occur predominantly in perimenopausal female subjects and in the tail of the pancreas. IPMNs are seen predominantly in the head of the pancreas and in elderly males.33, 75, 76 Whereas IPMNs involve the pancreatic ducts, mucinous cystic neoplasms typically do not communicate with the ductal system. Mucinous cystic neoplasms often have thick cyst walls. The presence of ovarian stroma is diagnostic for mucinous cystic neoplasms and has almost become a requirement for the diagnosis of this tumor type.74 The differential diagnosis of IPMNs should also include ampullary adenomas that may extend intraluminally into the pancreatic ducts.
IPMNs also need to be distinguished both conceptually and practically from the smaller (microscopic) lesions of the pancreatic ducts known as pancreatic intraepithelial neoplasia (PanIN),77 and from non-neoplastic localized duct-ectasia (Kimura lesions78 and retention cysts). The separation of IPMNs and PanIN is based primarily on size.79 IPMNs are larger (>1 cm) and usually form a macroscopic and/or radiologic detectable mass.79, 80 This is analogous to the dichotomy80 in other organs, for example, flat-type urothelial CIS vs papillary urothelial neoplasms, and mammary intraductal proliferations vs intracystic papillary carcinoma of the breast, which incidentally, is also seen in elder patients.81, 82
As advocated by the World Health Organization classification,83, 84 noninvasive IPMNs are graded as adenoma, borderline-tumor and in situ carcinoma.35, 36 Invasive adenocarcinoma, which is seen in ∼30% of cases is usually either of the colloid85 or tubular (ordinary ductal) types.33, 34 The former has been found to have indolent behavior, analogous to the colloid carcinomas of the breast, regardless of whether it is associated with IPMN or not.85
Overall 5-year survival for patients with an IPMN is >70%.32, 33, 34, 35, 36, 37, 38, 39, 40, 42, 43, 44, 86, 87 This is not surprising, considering that most IPMNs are noninvasive. Interestingly, some patients with surgically resected noninvasive IPMNs later develop recurrence and some even develop metastases. These cases most likely represent multifocal disease, a finding uncommon with mucinous cystic neoplasms.88 Multifocality of disease and haphazard distribution of carcinoma, which can be grossly invisible, necessitates the careful evaluation of these neoplasms, with complete removal and thorough pathologic examination.34, 38
That invasive carcinoma may develop both adjacent to and away from the IPMN,89 as well as its potential for multifocal disease, have rendered the management of these tumors rather problematic. A multidisciplinary approach by experts familiar with this tumor type may be crucial. It seems that IPMNs that are of the branch-duct type (as determined by their location and radiologic findings), and those that are simple (small, predominantly cystic, and without complex nodularities) usually prove to be adenomas and are highly amenable to conservative approach.74 On the other hand, main-duct type IPMNs, and those that are large, complex and nodular often prove to be carcinomas, and require more aggressive therapy. Some authors advocate even total pancreatectomy for some cases.38
Another problematic area in the management of IPMNs is the status of surgical resection margins.38 In general, it is felt that the presence of carcinoma at the surgical margins bears too high a risk for the patient, and further therapy is probably warranted for these patients, if clinically feasible. On the other hand, the presence of ‘adenomatous’ epithelium at the pancreatic parenchymal margin is probably negligible49, 62, 63, 64, 65 (based on what we extrapolate from the branch-duct literature); however, the relative risk of later developing an invasive carcinoma in these patients is also rather difficult to determine.
IPMNs appear to be genetically much more stable than conventional infiltrating ductal adenocarcinomas, and lack (or exhibit at much lower levels) the molecular/genetic alterations of the latter. Mutations in the KRAS, p16 and TP53 genes are significantly less common in IPMNs, and SMADH4/DPC4 loss is not usually detected.44, 90, 91, 92, 93 Also, as noted earlier, IPMNs frequently express MUC2 and CDX2,73 which have tumor-suppressor activity and encode for intestinal type mucin-related glycoproteins. The molecular alteration characteristic of Peutz-Jeghers syndrome is detectable in one-third of IPMNs.94 There are also differences in the molecular phenotype of IPMNs vs PanINs. PanINs lack MUC2 expression, and high-grade PanINs may show MUC1 expression and SMADH4/DPC4 loss. Whether some of these molecular alterations may have utility in prognostication and stratification of patients into different treatment categories is too soon to tell. Some studies have found MUC1 expression,70, 80, 95 p53 overexpression96 and telomerase activity97 to be associated with a more aggressive clinical course. These and other potential markers ought to be studied further.
Intraductal Oncocytic Papillary Neoplasms
Intraductal oncocytic papillary neoplasm (IOPN)98 is regarded a special subtype of IPMN,74 although recent molecular findings suggest that it may be different from IPMNs.93 Grossly, these neoplasms exhibit cystic dilatation of the pancreatic ducts, many of which contain large, tan and friable nodular proliferations. The neoplasms are relatively large (mean size: 5.2 cm) at the time of diagnosis. The papillae of IOPNs exhibit a ‘pancreaticobiliary (PB)’ pattern99 (also called compact cell type), which is characterized by exuberant, arborizing papillae lined by 1–5 cell layers of cuboidal cells (Figure 8). The nuclei in IOPNs contain single, prominent, and eccentric nucleoli (Figure 9). One distinctive feature that appears to be relatively specific for these neoplasms is the presence of intraepithelial lumina which are round, punched-out spaces within the epithelium that often give the proliferation a cribriform architecture, similar to that seen in oncocytic schneiderian papillomas of the sinonasal tract. These intraepithelial lumina often contain mucin. The cells of IOPNs are oncocytic, due to an abundance of mitochondria and the paucity of other organelles, which is reflected histologically as abundant, granular, acidophilic cytoplasm. In most cases, the degree of cytoarchitectural atypia, the exuberance of the papillae, and the presence of mitoses qualify for the diagnosis of at least carcinoma in situ.
In other organs, oncocytic change (which is probably a degenerative phenomenon secondary to oxidative stress on the cells) is associated with a different biologic behavior than the nononcocytic counterparts of these neoplasms. Whether this applies also to the pancreas remains to be seen. Preliminary molecular analyses have shown that IOPNs may differ from the conventional IPMNs, by the lack of KRAS gene mutations and alternate MUC phenotypes. Furthermore, IOPNs have a much higher incidence of HepPar-1 expression, and MUC6 is more diffuse and strong than any other types or components of IPMNs.100, 101
The data on the clinical course of IOPNs is limited,98, 102, 103, 104, 105 however, it seems to be similar to that of IPMNs, but may be even more indolent.
Mucinous Cystic Neoplasms
Mucinous cystic neoplasms are presumably de novo cystic tumors (unlike IPMNs which give rise to cystic dilatation of native ducts), and they are characterized by an ovarian type of stroma. Mucinous cystic neoplasms have distinctive clinicopathologic characteristics: they are seen almost exclusively in perimenopausal female patients (mean age=48 years, M/F=<1/20; only rare male patients with ovarian-stroma are on record) and the neoplasm is most often located in the tail of the pancreas.76, 106, 107, 108, 109, 110 Macroscopically, these neoplasms are composed of large multilocular cysts ranging in size from one to several centimeters. The cysts have thick fibrotic walls (Figure 10). Unless there is fistula formation, the cysts do not visibly communicate with the pancreatic ductal system (although recent reports from Japan indicate that there is often subtle communication at the microscopic level evidenced by the passage of dye injected into the ducts into the cysts). The wall of the cysts may have velvety papillations, appear trabeculated, and thickened. The cyst contents are often mucoid, but hemorrhage and a more watery consistency may also be noted. Solid areas within the neoplasm should be sampled extensively for microscopic examination, as they may harbor an invasive component. Morphologically, mucinous cystic neoplasms of the pancreas are similar to mucinous cystic neoplasms that occur in the retroperitoneum, ovary, and liver. This resemblance includes the presence of a distinctive stroma (referred to as ovarian-like) around the cysts (Figure 11). This stroma is a very common and an entity-defining feature of these neoplasms, to an extent that it has almost become a requirement for the diagnosis.74 There are two hypotheses on the origin of a neoplasm in the pancreas with ovarian-type stroma. The first hypothesis is that these neoplasms arise from rests of embryologic ovarian tissue deposited in the pancreas. This hypothesis is supported by the close proximity of the left ovarian primordium to the tail of the pancreatic anlage in fetal life. The second hypothesis proposed to account for these neoplasms is that the stroma represents a recapitulation of periductal fetal mesenchyme, the primitive mesenchyme seen around the pancreatic and hepatic ducts in the developing fetus.111 Regardless of its origin, it is clear that this stroma is hormone sensitive; it is often admixed with luteal-type cells and it regularly expresses progesterone receptors. Moreover, some mucinous cystic neoplasms are reported to be associated with ovarian thecomas,112 further suggesting a hormone influence in the pathogenesis of these neoplasms.
Mucinous cystic neoplasm (with ovarian-type stroma). The distinctive hypercellular stroma, which shows all the morphologic and immunophenotypic characteristics of ovarian stroma, has become nearly a requirement for the diagnosis of this tumor type. The epithelium in mucinous cystic neoplasia may show various degrees of atypia, ranging from adenoma (lower left) to frank carcinoma in situ (upper).
The cysts in mucinous cystic neoplasms are lined by tall, columnar, mucin-producing epithelium, which may exhibit gastric foveolar-type intracellular mucin or goblet cells. Scattered neuroendocrine cells are present in the majority of cases and they can be demonstrated by immunohistochemical labeling for neuroendocrine markers such as chromogranin and synaptophysin.
The epithelium in the predominantly cystic and adenoma components of MCNs are virtually indistinguishable from those of IPMNs, or for that matter, also from those of PanINs. The papillary components, however, show some differences. MCN-papillae do not typically have the full-blown villous adenoma-like appearance and diffuse MUC2/CDX2 expression characteristic of the ‘intestinal’ (dark-cell, columnar-cell) subset of IPMNs.113 Instead, they often show MUC1 expression similar to the pancreatobiliary subtype of IPMNs.
Some mucinous cystic neoplasms have purulent contents and these may be misdiagnosed as pseudocysts both intraoperatively as well as histopathologically especially if the epithelium is denuded, and the remaining ovarian stroma resembles the granulation tissue of pseudocysts. Inflammation may also impart a more complex architecture to an otherwise simple mucinous cystic neoplasm and raise the suspicion of malignancy.114
Mucinous cystic neoplasms can show a wide range of cytologic and architectural atypia: Some are histologically bland, with uniform, basally oriented nuclei, and minimal architectural atypia, while others exhibit prominent papillary proliferations that form intraluminal polypoid masses with cribriform architecture and substantial cytologic atypia (Figure 11). The epithelial atypia may be patchy, and there is often an abrupt transition between histologically bland epithelium and epithelium with severe atypia. Numerous sections may be required to properly evaluate these neoplasms. This may explain why the studies from the Armed Forces Institute of Pathology (AFIP),106, 110 a referral center where the diagnosis is generally based on a few selected slides submitted for consultation, have failed to demonstrate that dysplasia and even the presence of an invasive cancer are prognostically relevant. For that reason, the authors from the AFIP regard all MCNs, regardless of their grade, as ‘low-grade malignant neoplasms,’ that is, cystadenocarcinoma.106, 110 However, more recently, a number of studies from other authors who performed more complete examination and extensive sampling of the neoplasms concluded that grade does accurately predict the outcome.76, 108, 109, 115 It is also our experience that patients with completely resected mucinous cystic neoplasms without atypia (mucinous cystadenomas) are almost always cured. These tend to be small as well (<3 cm). Mucinous cystic neoplasms with moderate atypia are classified as mucinous cystic neoplasms with moderate dysplasia, while those with significant architectural and cytologic atypia are classified as mucinous cystic neoplasm with carcinoma in situ83, 116 (Figure 11). Patients with these latter two grades of noninvasive mucinous cystic neoplasms are also often cured if their tumors are resected completely.
If an invasive carcinoma is present, the neoplasm should be classified as a mucinous cystadenocarcinoma.83, 116 In fact, we prefer to report these as ‘invasive carcinoma of—type,—cm, arising in association with mucinous cystic neoplasms (—cm),’ just as we do for IPMNs or in situ neoplasia of other organs such as the breast. The invasive carcinomas that arise in association with mucinous cystic neoplasms are usually tubular/ductal type. Interestingly, these have been found to pursue a more indolent course than ordinary infiltrating ductal adenocarcinoma.110 It is difficult to determine whether this implies that the invasive carcinomas arising from MCNs are biologically different (although they may look morphologically identical to ductal adenocarcinoma) or whether MCN allows for earlier diagnosis of invasive carcinoma. The same concept also holds true for IPMNs (as previously discussed).
In addition to its association with invasive tubular adenocarcinomas, some MCNs may be associated with undifferentiated carcinoma with osteoclast-like giant cells,117, 118 or high-grade sarcoma.119 Pure colloid carcinoma, which is the predominant type of invasive carcinoma in IPMNs, is exceedingly uncommon in MCNs,113 once the latter is defined by the presence of ovarian-stroma.
Intraductal Tubular Adenocarcinomas
This is an emerging entity that has yet to be fully characterized.120 These are mostly solid tumors, but fall into the differential diagnosis of cystic neoplasia because of their intraductal growth. Some examples do show cystic changes in the ducts (cavity without intraluminal nodules). These tumors are characterized by intraductal neoplasia that have prominent tubular growth, morphologically resembling acinar tumors, but also showing ductal features. Mucin formation is minimal. Many examples have densely packed tubular units tightly packed with only minimal intervening stroma, but in some, there is significant desmoplastic-type stroma. In a subset of these cases, squamoid zones and comedo-like necrosis are seen in the ducts.
‘Mucinous Non-Neoplastic Cysts,’ ‘Mucoceles’, and ‘Retention Cysts’
In general, the vast majority of ‘mucinous cysts’ (cysts lined by mucinous epithelium) in the pancreas are considered neoplastic. However, it is known that obstruction and fibrosis may lead to cystic dilatation of the upstream ducts5, 121 (ie a retention cyst, or if mucus filled, a mucocele).122, 123 Epithelial-lined examples of paraduodenal wall cysts can be regarded as part of the same phenomenon. Mucinous non-neoplastic cyst is also possibly a related concept.124, 125 There is no precise definition for these lesions or specific criteria to distinguish them from IPMNs, mucinous cystic neoplasms, or for those that are small, from PanIN. Our approach to these lesions is to accept them as ‘non-neoplastic’ only if they are simple (unilocular), lined by either low-cuboidal, or attenuated cells. In these cases, finding an obstruction of the pancreatic duct helps establish the diagnosis. However, we classify those lesions lined by tall-columnar-mucinous cells, forming papillae or that are more complex (multilocular) as neoplastic (PanIN if they are smaller than 1 cm and IPMN if they are >1 cm). Admittedly, these criteria are rather arbitrary and may not be widely agreed upon.
Serous (clear-cell) cystic tumors
In the pancreas, the term serous is defined somewhat differently than it is in some other sites, in particular, the female reproductive tract. In the pancreas, it describes a distinctive cell type with clear cytoplasm, and immunophenotypic characteristics suggestive of centroacinar/intercalated-duct differentiation.
Serous Cystadenoma
Serous cystadenoma is a benign neoplasm composed of uniform cuboidal glycogen-rich epithelial cells that form small cysts containing serous fluid. Serous cystadenomas are the prototypical and almost sole example of microcystic pancreatic neoplasms. In fact, the gross appearance of most serous cystadenomas—numerous, tightly packed small cysts and a stellate scar, creating a sponge-like appearance—is diagnostic of the entity (Figure 12). Serous cystadenomas usually present as relatively large masses measuring up to 25 cm, mostly in the body or tail of the pancreas, and are seen predominantly in female patients (F:M=3:1). The mean age of the patients is 61 years.126, 127, 128, 129, 130, 131, 132 Microscopically, these neoplasms have distinctive morphologic features. The cells lining the small cysts have clear cytoplasm, well-defined cytoplasmic borders, and small, round uniform nuclei with dense, homogeneous chromatin (Figure 13). These cytologic features are also characteristic and very helpful in needle biopsies. A rare macrocystic variant of the serous cystadenoma has been reported133, 134, 135 (discussed below) as has a solid variant.136
Serous cystadenoma. Serous cystadenomas are typically composed of innumerable small cysts, most of which are in the range of millimeters, hence the synonym ‘microcystic’ adenoma. This sponge-like appearance of serous adenomas is so characteristic that these tumors can virtually be diagnosed by their gross appearance alone.
Serous cystadenomas are presumed to arise from (or recapitulate) the centroacinar cell-intercalated duct system,137 and accordingly express MUC6. They are negative for mucin stains, and the glycogen can be highlighted by the PAS stain. They do not harbor the molecular genetic alterations that are characteristic of mucinous-type ductal neoplasia of the pancreas, such as mutations in the k-ras, SMADH4/DPC4, TP53, and p16 genes.138, 139 Instead, von Hippel-Lindau gene alterations, detected in 40% of the cases137, 140 have been implicated in the pathogenesis of serous cystadenomas. Glut-1, a molecule involved in glycogen metabolism, is also expressed consistently in serous tumors.141
Of interest, serous cystadenomas are often reported to coexist or ‘collide’ with other pancreatic neoplasms142, 143, 144, 145, 146, 147, 148 and with congenital pathologic conditions.149, 150
Oligocystic (macrocystic) variant of serous cystadenoma
Although the vast majority of serous cystadenomas exhibit a microcystic growth pattern, rare examples are oligocystic (megacystic, macrocystic), that is, composed of fewer but larger loculi.133, 134, 135, 137, 151 The epithelial lining of these cysts may become denuded, and it may be difficult to distinguish oligocystic serous cystadenomas from mucinous neoplasms or pseudocysts.152 unless the lesion is extensively sampled and examined carefully to identify the characteristic glycogen-rich clear cells.
VHL-Associated Pancreatic Cysts
The cysts seen in the pancreas of the patients with von Hippel-Lindau disease are virtually indistinguishable from those of serous cystadenomas, but instead are distributed more irregularly (hamartomatously), rather than forming a distinct lesion. VHL gene alterations are present in these lesions.
Serous Cystadenocarcinomas
Most serous cystic neoplasms of the pancreas are benign serous cystadenomas. A handful of malignant serous cystic neoplasms, serous cystadenocarcinomas, have been reported.129, 153, 154, 155, 156, 157, 158, 159, 160, 161 Most of these were microscopically identical to serous cystadenomas, and no morphologic findings, other than behavior, have been found to distinguish these malignant variants from their benign counterparts. In fact, in some, the diagnosis of malignancy was established only after metastases to the liver were detected. The possibility of these liver lesions representing a metachronous neoplasm rather than a metastasis is difficult to exclude and renders ‘serous cystadenocarcinoma’ a dubious entity. On the other hand, in two other reported cases, an otherwise classical serous cystadenoma showed focal malignant appearing morphologic features;155, 159 however, in these cases, the clinical and biologic significance of these morphologic changes could not be determined due to the lack of follow-up information. For practical purposes, although the vast majority of serous cystic neoplasms are benign, there are very rare examples of metastasis developing from these neoplasms.129, 154 We have seen examples of metastatic ovarian clear-cell adenocarcinoma and clear-cell renal cell carcinoma that were mistaken for serous cystadenocarcinomas.
Squamous-lined cysts
Lymphoepithelial Cysts
Lymphoepithelial cysts (LECs) are benign cystic lesions seen predominantly in males, in the fifth to sixth decade of life.162 They may be unilocular or multilocular. The cyst contents may vary from serous to cheesy/casseous-appearing (Figure 14) depending on the degree of keratin formation. The cyst wall and trabeculae are usually thin. Microscopically, the cysts are lined by well-differentiated stratified squamous epithelium, which may or may not have prominent keratinization. In some areas, the lining may appear more transitional, and in others, flat, cuboidal, and focally denuded. Cases with denuded epithelium may cause diagnostic problems. Sebaceous elements and mucinous cells are uncommon. The squamous epithelium is surrounded by a band of dense lymphoid tissue composed of mature T-lymphocytes with intervening germinal centers formed by B cells, which may be abundant in some cases. In many cases, the lymphoid tissue is immediately adjacent to the epithelium, while in others, there is a band of fibrous tissue separating them. In some examples, the lymphoid tissue has a thin capsule and a subcapsular sinus, suggesting that the process may have arisen in a peripancreatic lymph node. Solid lymphoepithelial islands (microscopic clusters of epithelial cells admixed with lymphocytes, akin to the so-called ‘epimyoepithelial islands’ in the salivary gland LECs) may also be present. Some of these epithelial nests form microcysts. It is uncommon for LECs to become infected or acutely inflamed; however, the adjacent pancreas may contain granulomas, collections of foamy histiocytes and fat necrosis, thereby mimicking acute pancreatitis. LECs of the pancreas do not appear to be associated with any autoimmune conditions, human immunodeficiency virus infection, lymphoma, or carcinoma, all of which have been documented to occur in their salivary gland counterparts.
Epidermoid Cysts within Intrapancreatic Accessory Spleen
These are rare. They occur almost exclusively in the tail of the pancreas163, 164, 165 where accessory spleens are not too uncommon. They are seen in younger patients (2nd–3rd decades). The cysts are lined by attenuated squamous cells, usually nonstratified, surrounded by normal-appearing splenic tissue.
Dermoid Cysts
Dermoid cysts are also exceedingly rare tumors in the pancreas region.163 They are reported in younger patients (2nd–3rd decades) and are morphologically similar to the teratomas seen in other sites, although some examples are composed predominantly of epidermal elements, such that they are difficult to distinguish from LECs. The presence of sebaceous glands or hair follicules is more typical for dermoid cysts.
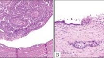
Squamoid Cyst of Pancreatic Ducts
This is a recently recognized type of cystic lesion in the pancreas,166 in which cystically dilated ducts are lined by a squamous/transitional epithelium (Figure 15) without keratinization. The larger and clinically manifested examples reported were unilocular. The cells in the basal/parabasal region express p63 (transitional/squamous cell marker, not detected in any normal pancreas or nonsquamous neoplasia). The superficial cells are positive for MUC1 and MUC6 (markers present in intercalated duct cells), and negative for GLUT-1 (consistent marker of serous adenomas, another tumor of presumed centroacinar cell origin). These cystic lesions are believed to be the larger versions of a relatively common incidental change in the acinar lobules. These microscopic lesions have abortive septae, irregular contours, are found lying within compact acinar tissue, and appear to be transforming from intercalated ducts, often showing adjacent tightly packed clusters of ducts with similar morphology. The cysts typically contain distinctive acidophilic acinar secretions that form concretions (Figure 15), more evident in medium-sized examples, confirming their communication with the acinar system, and suggesting a localized obstruction in their pathogenesis.
Squamoid cyst of pancreatic ducts. These usually have a thin wall lined by transitional/squamous cells without keratinization or granular layer (see inset). The cysts are more commonly unilocular and typically contain concentric enzymatic concretions as seen in this example, which indicates their communication with the acinar system.
Cysts lined by acinar cells
Acinar Cell Cystadenocarcinomas
A cystic form of acinar cell carcinoma is well documented but is extremely uncommon; only a handful of cases have been documented in the literature.167, 168, 169, 170 It should be kept in mind, however, that the term ‘cystic acinar cell carcinoma’171, 172, 173 had also been erroneously applied during the 1980s to the neoplasm currently known as ‘solid-pseudopapillary neoplasm,’ at which time solid-pseudopapillary tumors (SPTs) were mistaken to be of acinar origin. True acinar cell cystadenocarcinomas167, 168, 169, 170, 174 are composed of neoplastic cells that form acini with prominent lumen formation (Figure 16) (in contrast to ordinary acinar cell carcinomas which have a more solid growth pattern175). Some show significant cystic dilatation that may measure up to several centimeters. In fact, some ACCs show prominent intraductal growth and/or papillary/papillocystic patterns that fall into the differential diagnosis of intraductal neoplasia.176 The cysts in these neoplasia are true cysts with an epithelial lining composed of cells with acinar differentiation rather than a degenerative phenomenon. The cells often contain abundant apical, acidophilic (zymogenic) granules, and immunolabeling will reveal the expression of pancreatic exocrine enzymes. In the examples we have seen, the cysts contained enzymatic concretions (Figure 16) admixed with crystalline material, presumably composed of enzymatic secretions. Acinar cell cystadenocarcinomas are often large. Their biology seems not to be significantly different from their solid counterparts, with liver metastases developing early in the course of the disease, although some with intraductal growth had protracted clinical courses.176
Acinar Cell Cystadenomas
Until recently, the conventional thought was that all acinar neoplasms in the pancreas are malignant, albeit solid or cystic. In 2000, however, an entity referred to as acinar cell cystadenoma (also called cystic acinar transformation) was described.5, 177 This phenomenon is uncommon, often incidental, but may on occasion produce a clinically detectable cystic mass (measuring up to several centimeters), in which the cysts are lined by cytologically bland acinar cells.177, 178, 179, 180 Immunohistochemical labeling for markers of acinar differentiation (trypsin and others) are positive. Interestingly, they are also cytokeratin 7 positive while normal acinar cells are negative for this marker. Acinar cell cystadenoma is seen in young adults and children, and the consensus is that it is a benign process.
Endothelial-lined cysts
Lymphangiomas
Lymphangiomas may also present as pancreatic and peripancreatic cystic masses,181, 182 and may closely mimic LECs (especially those with denuded epithelium) because they also contain prominent lymphoid tissue. Lymphangiomas are lined by endothelial cells as demonstrated by immunohistochemical labeling for endothelial markers (CD31, CD34 or D2–40) and lack staining for epithelial markers (cytokeratins). Lymphangiomas may become very large, measuring up to 25 cm.183 They are benign.
Degenerative or necrotic changes in solid tumors
Degenerative necrotic changes with cavity formation have been described virtually in all otherwise typically solid pancreatic tumors.184 Altogether, this group constitutes an estimated 10% of the pancreatic cysts (Table 1). It is important to recognize this group, because unlike the tumors in the other categories discussed, these are often either low-grade malignancies as in the case of SPT, or even true carcinomas as in the case of cystic change in ductal adenocarcinoma.
Solid-Pseudopapillary Tumor (SPT)
SPT is the most recent name advocated by the WHO83, 84 for a distinctive tumor type in the pancreas that often presents as a cystic mass, and for this reason was previously (and is sometimes still) referred to as ‘solid and cystic’,185, 186 ‘solid and papillary’187 ‘cystic and papillary’ and ‘papillary-cystic’.188, 189 The plethora of names used previously for SPT reflects the enigmatic nature of this neoplasm. It is now known that the cavities that form in SPTs are not ‘true’ cysts (there is no epithelial lining) but rather represent a necrotic/degenerative process59, 190 (Figure 17). The cystic areas often contain blood, necrotic debris, and clusters of foamy macrophages. In the cavity wall, characteristic morphologic features of these neoplasms include pseudopapillary architecture (that creates an ependymoma-like appearance), hyaline globules, clusters of uniform cells mimicking neuroendocrine neoplasia (but lacking neuroendocrine chromatin), and grooved nuclei (Figure 18).
SPT. Typical macroscopic appearance of this tumor type with solid areas showing hemorrhagic material, patchy fleshy areas, and a cystic component. The tumor appears deceptively well-demarcated, but often proves to have streaks of neoplastic cells projecting beyond the gross boundaries of the lesion.
SPT. These lesions often present clinically like a ‘pseudocyst,’ and the reasons for this may also be reflected at the microscopic level as seen in this example. The cyst wall is inflamed and congested, and there are fibrinous changes on the external surfaces (lower left). The cyst contents are granular and hemorrhagic. There is only a thin rim of neoplastic tissue clinging to the cyst wall (box and inset).
SPT remains somewhat of an enigma although its clinical and pathologic features are well characterized and the tumors show remarkable fidelity from one case to another. However, it is one of very few neoplasms in which the direction of differentiation of the neoplastic cells has yet to be established. SPT is practically unique to the pancreas, with no close kindred in any other organ. Meanwhile, it does not show clear-cut pathogenetic relationship to any of the cells normally found in the pancreas; there is no evidence for ductal, acinar, or frank endocrine differentiation.59, 190 Even the epithelial differentiation of this tumor type is incomplete and dubious. Immunohistochemically, the neoplastic cells express nonspecific markers such as vimentin, CD56, alpha-1-antitrypsin and neuron-specific (‘non-specific’) enolase; meanwhile, epithelial markers (keratins) can be focal or weak. Synaptophysin and NSE are commonly positive in SPTs; however, chromogranin, the most specific endocrine marker, is typically negative. SPTs reported to be diffusely/strongly chromogranin-positive in the literature most likely represent pancreatic endocrine neoplasms with cystic degeneration. Similarly, the reports on high-grade pancreatic tumors that expressed CD99 (Ewing's marker) and t(11:22) translocation, in our opinion, may represent primitive neuroectodermal tumor of this organ.191 Recently, CD10 expression and APC/β-catenin pathway and cyclin-D1 alterations were found to be almost uniformly present (>90%) in SPTs. This interesting finding is very helpful diagnostically, and may prove to be important in unraveling the pathogenesis of this peculiar tumor. Recently, c-kit (CD117) expression was detected in a substantial portion of SPTs.192
Another puzzling aspect of SPTs is that they almost exclusively occur in young female subjects186, 190 (mean age, 25 years, M/F<1/20). Moreover, the neoplastic cells consistently express progesterone receptors10 and also the beta form of estrogen receptors,193 suggesting a role for hormones in the evolution of these neoplasms.
Yet another peculiar aspect of the SPT is its clinical behavior.190 More than 80% of SPTs are cured by surgical resection. Metastases (either to liver or peritoneum, but only seldom to lymph nodes) may be seen in a small percentage of patients, but even some patients with metastases are cured. Seldom has any death been attributed to solid-pseudopapillary neoplasm. There do not appear to be any reliable histopathologic criteria to distinguish SPTs that can metastasize from those that do not.194 Perineural invasion and infiltration to the adjacent pancreas are common findings even in non-metastastasizing examples. Recently, cases with anaplastic transformation and aggressive clinical course were reported.195
Cystic Change in Ordinary Ductal Adenocarcinoma
Rarely, conventional infiltrating ductal adenocarcinoma of the pancreas may undergo cystic change.2, 16, 17, 18, 19 In our experience, this occurs in less than 1% of the cases.16 In some pancreatic cancers, a large, radiologically detectable cyst may form because of central necrosis. In these cases, what appears radiologically to be a cyst (a macrocyst), however, often proves microscopically to be solid, nonviable tissue surrounded by a cuff of viable carcinoma. Such cases can be misdiagnosed preoperatively as ‘pseudocysts’.18 In other cases, infiltrating ductal adenocarcinoma can obstruct the pancreatic duct and lead to cystic dilatation of the upstream duct. The dilated upstream duct can show reactive epithelial changes, which may be indistinguishable from IPMNs or mucinous cystic neoplasms. There is also a large-duct (microcystic) variant of ductal adenocarcinoma196 in which the infiltrating tubular units are larger than those of ordinary ductal adenocarcinoma. This variant mimics IPMNs or mucinous cystic neoplasms at the microscopic level, but not at the clinical or macroscopic levels,197 because the dilatation in the infiltrating tubules is of a minimal degree, and creates a microcystic pattern at most.
Cystic Pancreatic Endocrine Neoplasia (Islet Cell Tumors)
Cystic pancreatic endocrine neoplasms are rare.184, 198, 199, 200, 201, 202, 203, 204, 205, 206, 207, 208 They constitute 5–10 % of pancreatic endocrine neoplasms.184, 209 In contrast to the cystic change in other solid tumors (especially those in ductal adenocarcinomas), the cyst formation in pancreatic endocrine neoplasms does not appear to be due to necrosis. Rather, the cysts are lined by a ragged cuff of well-preserved neoplastic endocrine cells, (Figure 19) and filled with a clear serosanguineous fluid instead of necrotic debris. The cyst formation is usually unilocular and at the center of the tumor. In some cases, however, the process is more microcystic with multiple small cysts.210 Some cystic pancreatic endocrine neoplasms achieve significant sizes, up to 25 cm.211 Cystic pancreatic endocrine neoplasms are predominantly clinically nonfunctioning. The pathologic diagnosis of these cystic pancreatic endocrine neoplasms is relatively simple if attention is paid to the cytologic features of the lesion. Microscopic examination of the solid areas of the tumors reveal characteristic cytomorphologic features of a well-differentiated pancreatic endocrine neoplasm, including round, monotonous cells with a moderate amount of cytoplasm and distinctive nuclear chromatin pattern. Often the neoplastic cells have a trabecular pattern of growth (Figure 19).
Pancreatic endocrine neoplasm. Approximately 5% of pancreatic endocrine neoplasms (islet cell tumor) present as a cyst containing degenerative serosangineous fluid which is reflected as granular material on the left in this picture. The cuff of tumor shows the characteristic trabecular pattern and monotonous cells of endocrine neoplasia.
Cystic Change in other Invasive Carcinomas
Other invasive malignant neoplasms of the pancreas such as undifferentiated carcinoma with osteoclast-like giant cells12 or squamous cell carcinomas.212 have also been occasionally reported to present as cystic masses.
Cystic Mesenchymal Neoplasms
Some mesenchymal neoplams that occur in the pancreatic region may present as cystic lesions. Schwannomas in the pancreas especially tend to be cystic.213, 214, 215 We have seen an example in which the spindle cells surrounding the cysts mimicked the ovarian-like stroma of the mucinous cystic neoplasms. Some sarcomas,216 especially GISTs, may also be cystic. Other nonepithelial tumors of this region such as paragangliomas have also been reported to present as a cyst.2, 217
Other rare cystic lesions
Cystic Hamartomas
Most cases reported in the literature as hamartomas appear to be examples of chronic pancreatitis in which pancreatic elements are haphazardly distributed (in a hamartomatous fashion). Recently, true hamartomas of this organ have been characterized, and some are cystic.218, 219 These ‘solid and cystic hamartomas’ form a sharply delimited lesion similar to the multicystic hamartomas of children, and is composed of haphazardly distributed cystic ductal elements lined by cuboidal to flattened epithelium, surrounded by well-differentiated acini embedded in fibro-inflammatory stroma. Scattered ill-formed clusters of endocrine cells composed predominantly of PP-cells type and unaccompanied by any insulin positive cells are also present and support the hamartomatous nature of the process.
‘Enterogenous’ (Congenital; Duplication) Cysts and Duodenal Diverticula
Congenital cysts of foregut derivation may also occur in the pancreas220, 221, 222 although very rarely. Essentially, these are regarded as gastrointestinal (enteric) duplications,223 and some appear to be true diverticula.224 They may have respiratory (bronchogenic) or simple ciliated epithelium.225, 226, 227 We have also seen two examples with ciliated epithelium. One of these contained inner and outer muscular coats typical of intestinal wall, and had an associated high-grade papillary adenocarcinoma with pancreatobiliary-type features. Although the carcinoma in this case appeared to be confined to the cyst wall, the patient developed widespread metastases.
Endometriotic Cyst
Endometriotic cysts,228 some with massive hemorrhage229 may be seen in the pancreas.
Secondary Tumors
Rarely, metastatic neoplasms (or neoplasms that secondarily involve the pancreas) can exhibit cystic change.217, 230 We have seen examples of metastatic ovarian and renal cell carcinoma in the pancreas that presented as cystic masses. Cystic lesions of the common bile duct (eg, choledochal cyst) and duodenum may also mimic pancreatic cysts.14, 224, 231
Congenital or Developmental Cysts
A variety of congenital or developmental disorders may be associated with cyst formation in the pancreas, in addition to vHL-associated cystic changes discussed previously in the ‘serous’ lesions section. Some of the others are the following:
Polycystic kidney disease and medullary cystic kidney: Patients with polycystic kidney disease, both adult and infantile types, may have cystic lesions in the pancreas.232 Rarely, patients with medullary cystic kidneys may also have pancreatic cysts.233
Cystic fibrosis: In patients with cystic fibrosis, the genetic defect in the cystic fibrosis transmembrane conductance regulator protein increases the viscosity of pancreatic secretions, which in turn leads to the cystic dilatation of the pancreatic ducts121, 234 by causing intraluminal impaction, in addition to lobular atrophy and parenchymal fibrosis. This dilatation in the ducts, however, is generally not clinically detectable.
Other congenital syndromes: Cystic transformation of the pancreas has been described in a variety of congenital syndromes235 including Ivemark, trisomy 13 or 15, Meckel-Gruber, Elejalde, glutaric aciduria, chondrodyplasia, short rib polydactyly (Jeune's and Saldino-Noonan),236 a newly described syndrome (Balci237) and others with no specific name.238 A patient with choledochal cyst was also reported to have multiple pancreatic cysts.239
Familial fibrocystic pancreatic atrophy: This is an interesting phenomenon described in a pancreas cancer family from Seattle, Washington, USA, and is characterized by a lobulocentric pancreatic atrophy associated with fibrocystic (microcystic) changes and endocrine cell proliferation.240 These do not appear to form clinically detectable cysts. In the background of this peculiar fibrocystic process, PanINs and a variety of invasive neoplasia including anaplastic carcinoma as well as small cell carcinoma have developed in some members of this family. Other pancreas cancer families may also show similar cystic changes.241
Cysts associated with congenital infections: Cytomegalovirus infection has also been implicated in cyst formation in the pancreas of newborns.
Unclassified Cysts
Some cysts cannot be classified into one of the well-documented entities. An example is the case reported by HD Friedman as nonmucinous, glycogen-poor cystadenocarcinoma of the pancreas.242 We have also seen cases that do not fit pathologically into any of the well-described categories. If such a case is encountered, an attempt ought to be made to determine the potential biologic nature of the lesion based on the degree of cellularity, atypia, and architectural complexity of the process. Needless to say that, such cases ought to be examined completely, and the possibility of an invasive neoplasm effectively ruled out.
Conclusions
Cystic neoplasms of the pancreas are relatively rare but constitute an increasingly important category with a challenging differential diagnosis. In contrast with solid tumors of this organ, most of which are ductal adenocarcinomas with dismal outcomes, the vast majority of cystic neoplasia is either benign tumors or low-grade malignancies with indolent behavior. Serous and squamous cystic lesions of the pancreas are typically benign. Cysts with mucinous lining, however, carry the risk of malignant transformation. Many are associated with invasive carcinoma, and therefore their thorough sampling and careful examination are of utmost importance.
Macroscopic examination plays a crucial role in the diagnosis of cystic neoplasia, especially those of the mucinous type. First of all, it is important to document the lesion is cystic or has a cystic component, which may not be as appreciable on the slides. Identifying and documenting the suspect foci (granular, irregular areas within or on the cyst wall) are essential to rule out papillary nodules or carcinomas. Also, subclassification of IPMNs into branch or main duct types relies heavily on macroscopic examination and guided sampling. Along the same lines, the lack of gross ductal communication, an important criterion for the diagnosis of MCNs, is also established by the macroscopic findings.
The importance of careful examination and thorough sampling in the evaluation of pancreatic cysts cannot be overemphasized. This is especially true for the mucinous lesions for which some authors even advocate total sampling. For serous tumors, on the other hand, the macroscopic features are so characteristic and the likelihood of unexpected findings in microscopic examination is so low that few random sections may be adequate.
It is also important to examine a cystic lesion thoroughly before it can be diagnosed as a ‘pseudocyst’. SPTs commonly appear clinically (and grossly) like a pseudocyst, and even ordinary ductal adenocarcinomas or endocrine neoplasia may present as a pseudocyst.
References
Dorland WAN . Dorland's Illustrated Medical Dictionary. Saunders: Philadelphia, 1988.
Kosmahl M, Pauser U, Peters K, et al. Cystic neoplasms of the pancreas and tumor-like lesions with cystic features: a review of 418 cases and a classification proposal. Virchows Arch 2004;445:168–178.
Adsay NV, Klimstra DS, Compton CC . Cystic lesions of the pancreas. Introduction. Semin Diagn Pathol 2000;17:1–6.
Kerr AA . Cysts and pseudocysts of the pancreas. Surg Gynecol Obstet 1918;27:40.
Klöppel G . Pseudocysts and other non-neoplastic cysts of the pancreas. Semin Diagn Pathol 2000;17:1–7.
Klöppel G, Maillet B . Pseudocysts in chronic pancreatitis: a morphological analysis of 57 resection specimens and 9 autopsy pancreata. Pancreas 1991;6:266–274.
Klöppel G . Chronic pancreatitis of alcoholic and nonalcoholic origin. Semin Diagn Pathol 2005;21:227–236.
Klöppel G . Acute pancreatitis. Semin Diagn Pathol 2005;21:221–226.
Jin YM, Yim H, Choi IJ . Pancreatic serous cystadenoma mimicking pseudocyst. Yonsei Med J 1997;38:63–65.
Munoz NA, Takehara H, Komi N, et al. Papillary and cystic tumor of the pancreas possibly concealed within a pseudocyst. Acta Paediatr JPN 1992;34:316–323.
Machado MC, Montagnini AL, Machado MA, et al. Cystic neoplasm diagnosed as pancreatic pseudocyst: report of 5 cases and review of the literature. Revista do Hospital das Clinicas; Faculdade de Medicina Da Universidade de Sao Paulo 1994;49:246–249.
Oehler U, Jurs M, Klöppel G, et al. Osteoclast-like giant cell tumour of the pancreas presenting as a pseudocyst-like lesion. Virchows Arch 1997;431:215–218.
Myung SJ, Kim MH, Lee SK, et al. Adenosquamous carcinoma of the pancreas: differentiation from pancreatic pseudocyst. Gastrointest Endosc 1998;47:410–413.
Di Sena V, de Paulo GA, Macedo EP, et al. Choledochal cyst mimicking a pancreatic pseudocyst: case report and review. Gastrointest Endosc 2003;58:620–624.
Kuba H, Yamaguchi K, Shimizu S, et al. Chronic asymptomatic pseudocyst with sludge aggregates masquerading as mucinous cystic neoplasm of the pancreas. J Gastroenterol 1998;33:766–769.
Adsay NV, Andea A, Weaver D, et al. Centrally necrotic invasive ductal adenocarcinomas of the pancreas presenting clinically as macrocystic lesions (Abstract). Modern Pathol 2001;13:1125A.
Lee LY, Hsu HL, Chen HM, et al. Ductal adenocarcinoma of the pancreas with huge cystic degeneration: a lesion to be distinguished from pseudocyst and mucinous cystadenocarcinoma. Int J Surg Pathol 2003;11:235–239.
Kaplan JO, Isikoff MB, Barkin J, et al. Necrotic carcinoma of the pancreas: ‘the pseudo-pseudocyst’. J Comput Assist Tomogr 1980;4:166–167.
Otani T, Atomi Y, Hosoi Y, et al. Extensive invasion of a ductal adenocarcinoma into the wall of a pancreatic pseudocyst. Pancreas 1996;12:416–419.
Adsay N, Zamboni G . Paraduodenal Pancreatitis: A Clinico-Pathologically Distinct Entity Unifying ‘Cystic Dystrophy of Heterotopic Pancreas’, ‘Para-Duodenal Wall Cyst’ and ‘Groove Pancreatitis’. Semin Diagn Pathol 2005;21:247–254.
Adsay NV, Tranchida P, Hasteh F, et al. Pseudotumoral pancreatitis. A clinicopathologic analysis of 33 patients with mass-forming pancreatitis with emphasis on the probable mechanisms (Abstract). Modern Pathol 2000;13:179A.
Tranchida P, Taylor JP, Weaver D, et al. Paraduodenal pancreatitis: a clinically and pathologically distinct form of pseudotumoral chronic pancreatitis associated with abnormalities of accessory duct, accessory ampulla, or duodenal wall (Abstract). Modern Pathol 2003;14:190A.
Stolte M, Weiss W, Volkholz H, et al. A special form of segmental pancreatitis: ‘groove pancreatitis’. Hepatogastroenterology 1982;29:198–208.
Liu TH, Consorti ET . Inflammatory pseudotumor presenting as a cystic tumor of the pancreas. Am Surg 2000;66:993–997.
Procacci C, Graziani R, Zamboni G, et al. Cystic dystrophy of the duodenal wall: radiologic findings. Radiology 1997;205:741–747.
Suda K, Takase M, Shiono S, et al. Duodenal wall cysts may be derived from a ductal component of ectopic pancreatic tissue. Histopathology 2002;41:351–356.
Haddad MC . Hydatid cyst of the pancreas as a cause of pancreatic cystic lesions. AJR Am J Roentgenol 2003;181:885–886; author reply 886.
Bolognese A, Barbarosos A, Muttillo IA, et al. Echinococcus cyst of the pancreas: description of a case and review of the literature. G Chir 2000;21:389–393.
Yorganci K, Iret D, Sayek I . A case of primary hydatid disease of the pancreas simulating cystic neoplasm. Pancreas 2000;21:104–105.
Echenique Elizondo M, Amondarain Arratibel JA, Liron de Robles Sanz C . Cystic neoplasms of the pancreas: a series. Rev Esp Enferm Dig 2003;95:317–321, 311–316.
Liu Q, He Z, Bie P . Solitary pancreatic tuberculous abscess mimicking prancreatic cystadenocarcinoma: a case report. BMC Gastroenterol 2003;3:1.
Furukawa T, Kloppel G, Volkan Adsay N, et al. Classification of types of intraductal papillary-mucinous neoplasm of the pancreas: a consensus study. Virchows Arch 2005;447:794–799.
Adsay NV, Longnecker DS, Klimstra DS . Pancreatic tumors with cystic dilatation of the ducts: intraductal papillary mucinous neoplasms and intraductal oncocytic papillary neoplasms. Semin Diagn Pathol 2000;17:16–30.
Adsay NV, Conlon KC, Zee SY, et al. Intraductal papillary-mucinous neoplasms of the pancreas: an analysis of in situ and invasive carcinomas in 28 patients. Cancer 2002;94:62–77.
Adsay NV . The ‘new kid on the block’: intraductal papillary mucinous neoplasms of the pancreas: current concepts and controversies. Surgery 2003;133:459–463.
Klöppel G . Clinicopathologic view of intraductal papillary-mucinous tumor of the pancreas. Hepatogastroenterology 1998;45:1981–1985.
Longnecker DS . Observations on the etiology and pathogenesis of intraductal papillary- mucinous neoplasms of the pancreas. Hepatogastroenterology 1998;45:1973–1980.
Chari ST, Yadav D, Smyrk TC, et al. Study of recurrence after surgical resection of intraductal papillary mucinous neoplasm of the pancreas. Gastroenterology 2002;123:1500–1507.
Tollefson MK, Libsch KD, Sarr MG, et al. Intraductal papillary mucinous neoplasm: did it exist prior to 1980? Pancreas 2003;26:E55–E58.
Cellier C, Cuillerier E, Palazzo L, et al. Intraductal papillary and mucinous tumors of the pancreas: accuracy of preoperative computed tomography, endoscopic retrograde pancreatography and endoscopic ultrasonography, and long-term outcome in a large surgical series. Gastrointest Endosc 1998;47:42–49.
Fukishima N, Mukai K, Kanai Y, et al. Intraductal papillary tumors and mucinous cystic tumors of the pancreas: Clinicopathologic study of 38 cases. Hum Pathol 1997;28:1010–1017.
Azar C, Van de Stadt J, Rickaert F, et al. Intraductal papillary mucinous tumours of the pancreas. Clinical and therapeutic issues in 32 patients. Gut 1996;39:457–464.
Loftus Jr EV, Olivares-Pakzad BA, Batts KP, et al. Intraductal papillary-mucinous tumors of the pancreas: clinicopathologic features, outcome, and nomenclature. Members of the pancreas clinic, and pancreatic surgeons of Mayo Clinic. Gastroenterology 1996;110:1909–1918.
Sessa F, Solcia E, Capella C, et al. Intraductal papillary-mucinous tumours represent a distinct group of pancreatic neoplasms: an investigation of tumour cell differentiation and K-ras, p53 and c-erbB-2 abnormalities in 26 patients. Virchows Arch 1994;425:357–367.
Shimizu M, Manabe T . Mucin-producing pancreatic tumors: historical review of its nosological concept. Zentralb Pathol 1994;140:211–223.
Falconi M, Salvia R, Bassi C, et al. Clinicopathological features and treatment of intraductal papillary mucinous tumour of the pancreas. Br J Surg 2001;88:376–381.
Salvia R, Fernandez-del Castillo C, Bassi C, et al. Main-duct intraductal papillary mucinous neoplasms of the pancreas: clinical predictors of malignancy and long-term survival following resection. Ann Surg 2004;239:678–685; discussion 685–687.
Sarr MG, Murr M, Smyrk TC, et al. Primary cystic neoplasms of the pancreas. Neoplastic disorders of emerging importance-current state-of-the-art and unanswered questions. J Gastrointest Surg 2003;7:417–428.
Sohn TA, Yeo CJ, Cameron JL, et al. Intraductal papillary mucinous neoplasms of the pancreas: an updated experience. Ann Surg 2004;239:788–797; discussion 797–799.
Klöppel G, Solcia E, Longnecker DS, et al (eds). World Health Organization Classification of Tumors. Histologic typing of tumors of the exocrine pancreas. World Health Organization-International histologic classification of tumors. Springer: Geneva, 1996.
Shimizu Y, Yasui K, Morimoto T, et al. Case of intraductal papillary mucinous tumor (noninvasive adenocarcinoma) of the pancreas resected 27 years after onset. Int J Pancreatol 1999;26:93–98.
Agostini S, Choux R, Payan MJ, et al. Mucinous pancreatic duct ectasia in the body of the pancreas. Radiology 1989;170:815–816.
Yanagisawa A, Ohashi K, Hori M, et al. Ductectatic-type mucinous cystadenoma and cystadenocarcinoma of the human pancreas: a novel clinicopathological entity. Jpn J Cancer Res 1993;84:474–479.
Yamada M, Kozuka S, Yamao K, et al. Mucin-producing tumor of the pancreas. Cancer 1991;68:159–168.
Yamaguchi K, Tanaka M . Mucin-hypersecreting tumor of the pancreas with mucin extrusion through an enlarged papilla. Am J Gastroenterol 1991;86:835–839.
Payan MJ, Xerri L, Moncada K, et al. Villous adenoma of the main pancreatic duct: a potentially malignant tumor? Am J Gastroenterol 1990;85:459–463.
Milchgrub S, Campuzano M, Casillas J, et al. Intraductal carcinoma of the pancreas. Cancer 1992;69:651–656.
Morohoshi T, Kanda M, Asanuma K, et al. Intraductal papillary neoplasms of the pancreas. A clinicopathologic study of six patients. Cancer 1989;64:1329–1335.
Solcia E, Capella C, Klöppel G . Tumors of the Pancreas. American Registry of Pathology: Washington, DC, 1997.
Sugiyama M, Atomi Y . Extrapancreatic neoplasms occur with unusual frequency in patients with intraductal papillary mucinous tumors of the pancreas. Am J Gastroenterol 1999;94:470–473.
Osanai M, Tannno S, Nakano Y, et al. Extrapancreatic neoplasms in patients with intraductal papillary mucinous tumors of the pancreas:analysis in surgical and follow-up series (in Japanese with English Abstract). J Jap Pancreas Soc 2003;18:565–569.
Doi R, Fujimoto K, Wada M, et al. Surgical management of intraductal papillary mucinous tumor of the pancreas. Surgery 2002;132:80–85.
Sugiyama M, Izumisato Y, Abe N, et al. Predictive factors for malignancy in intraductal papillary-mucinous tumours of the pancreas. Br J Surg 2003;90:1244–1249.
Kobari M, Egawa S, Shibuya K, et al. Intraductal papillary mucinous tumors of the pancreas comprise 2 clinical subtypes: differences in clinical characteristics and surgical management. Arch Surg 1999;134:1131–1136.
Terris B, Ponsot P, Paye F, et al. Intraductal papillary mucinous tumors of the pancreas confined to secondary ducts show less aggressive pathologic features as compared with those involving the main pancreatic duct. Am J Surg Pathol 2000;24:1372–1377.
Kitagawa Y, Unger TA, Taylor S, et al. Mucus is a predictor of better prognosis and survival in patients with intraductal papillary mucinous tumor of the pancreas. J Gastrointest Surg 2003;7:12–18; discussion 18–19.
Matsumoto T, Aramaki M, Yada K, et al. Optimal management of the branch duct type intraductal papillary mucinous neoplasms of the pancreas. J Clin Gastroenterol 2003;36:261–265.
Nakamura A, Horinouchi M, Goto M, et al. New classification of pancreatic intraductal papillary-mucinous tumour by mucin expression: its relationship with potential for malignancy. J Pathol 2002;197:201–210.
Yonezawa S, Nakamura A, Horinouchi M, et al. The expression of several types of mucin is related to the biological behavior of pancreatic neoplasms. J Hepatob Pancreat Surg 2002;9:328–341.
Lüttges J, Brocker V, Kremer B, et al. Immunohistochemical mucin expression and DPC4 status in intraductal papillary mucinous tumors (IPMTs) of the pancreas (Abstract). Pancreas 2000;21:459.
Lüttges J, Zamboni G, Longnecker D, et al. The immunohistochemical mucin expression pattern distinguishes different types of intraductal papillary mucinous neoplasms of the pancreas and determines their relationship to mucinous noncystic carcinoma and ductal adenocarcinoma. Am J Surg Pathol 2001;25:942–948.
Lüttges J, Feyerabend B, Buchelt T, et al. The mucin profile of noninvasive and invasive mucinous cystic neoplasms of the pancreas. Am J Surg Pathol 2002;26:466–471.
Adsay NV, Merati K, Basturk O, et al. Pathologically and biologically distinct types of epithelium in intraductal papillary mucinous neoplasms: delineation of an ‘intestinal’ pathway of carcinogenesis in the pancreas. Am J Surg Pathol 2004;28:839–848.
Tanaka M, Chari S, Adsay NV, et al. International guideline for management of intraductal papillary-mucinous neoplasms and mucinous cystic neoplasms. A consensus of the Working Group of the International Association of Pancreatology. Pancreatology 2005;6:17–32.
Yamaguchi K, Yokohata K, Noshiro H, et al. Mucinous cystic neoplasm of the pancreas or intraductal papillary—mucinous tumour of the pancreas. Eur J Surg 2000;166:141–148.
Zamboni G, Scarpa A, Bogina G, et al. Mucinous cystic tumors of the pancreas: clinicopathological features, prognosis, and relationship to other mucinous cystic tumors. Am J Surg Pathol 1999;23:410–422.
Hruban RH, Adsay NV, Albores-Saavedra J, et al. Pancreatic intraepithelial neoplasia: a new nomenclature and classification system for pancreatic duct lesions. Am J Surg Pathol 2001;25:579–586.
Kimura W, Nagai H, Kuroda A, et al. Analysis of small cystic lesions of the pancreas. Int J Pancreatol 1995;18:197–206.
Hruban RH, Takaori K, Klimstra DS, et al. An illustrated consensus on the classification of pancreatic intraepithelial neoplasia and intraductal papillary mucinous neoplasms. Am J Surg Pathol 2004;28:977–987.
Adsay NV, Merati K, Andea A, et al. The dichotomy in the preinvasive neoplasia to invasive carcinoma sequence in the pancreas: Differential MUC1 and MUC2 expression supports the existence of two separate pathways of carcinogenesis. Modern Pathol 2002;15:1087–1095.
Grignon D . Neoplasms of the urinary bladder. In: Bostwick D, Eble J (eds). Urologic Surgical Pathology. Mosby: St Louis, 1996, pp 225–230.
Rosen PP . Rosen's Breast Pathology. Lippincott-Raven: Philadelphia, 1997.
Klöppel G, Lüttges J . WHO-classification 2000: exocrine pancreatic tumors. Verh Dtsch Ges Pathol 2001;85:219–228.
Klöppel G, Hruban RH, Longnecker DS, et al. Pathology and Genetics of Tumours of the Digestive System. IARC Press: Lyon, 2000.
Adsay NV, Pierson C, Sarkar F, et al. Colloid (mucinous noncystic) carcinoma of the pancreas. Am J Surg Pathol 2001;25:26–42.
Fukushima N, Mukai K, Kanai Y, et al. Intraductal papillary tumors and mucinous cystic tumors of the pancreas: clinicopathologic study of 38 cases. Hum Pathol 1997;28:1010–1017.
Fukushima N, Sakamoto M, Mukai K, et al. Intraductal papillary components in invasive ductal carcinoma of the pancreas are associated with long-term survival of patients. Hum Pathol 2001;32:834–841.
Fujii T, Obara T, Maguchi H, et al. Clinicopathological study of mucin-producing tumors of the pancreas: multi-centric development of carcinoma through aytpical hyperplasia (in Japanese with English Abstract). Suizou (J Jpn Pancreatol Soc) 1996;11:344–352.
Yamaguchi K, Ohuchida J, Ohtsuka T, et al. Intraductal papillary-mucinous tumor of the pancreas concomitant with ductal carcinoma of the pancreas. Pancreatology 2002;2:484–490.
Iacobuzio-Donahue CA, Klimstra DS, Adsay NV, et al. Dpc-4 protein is expressed in virtually all human intraductal papillary mucinous neoplasms of the pancreas: comparison with conventional ductal adenocarcinomas. Am J Pathol 2000;157:755–761.
Hruban RH, Iacobuzio-Donahue C, Wilentz RE, et al. Molecular pathology of pancreatic cancer. Cancer J 2001;7:251–258.
Hruban RH, Petersen GM, Ha PK, et al. Genetics of pancreatic cancer. From genes to families. Surg Oncol Clin N Am 1998;7:1–23.
Z. Graggen K, Rivera JA, Compton CC, et al. Prevalence of activating K-ras mutations in the evolutionary stages of neoplasia in intraductal papillary mucinous tumors of the pancreas. Ann Surg 1997;226:491–498; discussion 498–500.
Sato N, Rosty C, Jansen M, et al. STK11/LKB1 Peutz-Jeghers gene inactivation in intraductal papillary- mucinous neoplasms of the pancreas. Am J Pathol 2001;159:2017–2022.
Yonezawa S, Taira M, Osako M, et al. MUC-1 mucin expression in invasive areas of intraductal papillary mucinous tumors of the pancreas. Pathol Int 1998;48:319–322.
Kawahira H, Kobayashi S, Kaneko K, et al. p53 protein expression in intraductal papillary mucinous tumors (IPMT) of the pancreas as an indicator of tumor malignancy. Hepatogastroenterology 2000;47:973–977.
Inoue H, Tsuchida A, Kawasaki Y, et al. Preoperative diagnosis of intraductal papillary-mucinous tumors of the pancreas with attention to telomerase activity. Cancer 2001;91:35–41.
Adsay NV, Adair CF, Heffess CS, et al. Intraductal oncocytic papillary neoplasms of the pancreas. Am J Surg Pathol 1996;20:980–994.
Kimura W, Futakawa N, Yamagata S, et al. Different clinicopathologic findings in two histologic types of carcinoma of papilla of Vater. Jpn J Cancer Res 1994;85:161–166.
Chung SM, Hruban RH, Iacobuzio-Donahue C, et al. Analysis of molecular alterations and differentiation pathways in intraductal oncocytic papillary neoplasm of the pancreas. Modern Pathol 2005;18:277A.
Khayyata S, Basturk O, Klimstra D, et al. MUC6 expression distinguishes oncocytic and pancreatobiliary type from intestinal type papillae in pancreatic neoplasia: delineation of a pyloropancreatic pathway. Modern Pathol 2006;19:275A.
Jyotheeswaran S, Zotalis G, Penmetsa P, et al. A newly recognized entity: intraductal ‘oncocytic’ papillary neoplasm of the pancreas. Am J Gastroenterol 1998;93:2539–2543.
Noji T, Kondo S, Hirano S, et al. Intraductal oncocytic papillary neoplasm of the pancreas shows strong positivity on FDG-PET. Int J Gastrointest Cancer 2002;32:43–46.
Patel SA, Adams R, Goldstein M, et al. Genetic analysis of invasive carcinoma arising in intraductal oncocytic papillary neoplasm of the pancreas. Am J Surg Pathol 2002;26:1071–1077.
Thompson K, Castelli MJ, Gattuso P . Metastatic papillary oncocytic carcinoma of the pancreas to the liver diagnosed by fine-needle aspiration. Diagn Cytopathol 1998;18:291–296.
Compagno J, Oertel JE . Mucinous cystic neoplasms of the pancreas with overt and latent malignancy (cystadenocarcinoma and cystadenoma). A clinicopathologic study of 41 cases. Am J Clin Pathol 1978;69:573–580.
Albores-Saavedra J, Choux R, Gould EW, et al. Cystic tumors of the pancreas. Pathol Ann 1994;2:19–51.
Wilentz RE, Albores-Saavedra J, Hruban RH . Mucinous cystic neoplasms of the pancreas. Semin Diagn Pathol 2000;17:31–43.
Wilentz RE, Talamani MA, Albores-Saavedra J, et al. Morphology accurately predicts behavior of mucinous cystic neoplasms of the pancreas. Am J Surg Pathol 1999;23:1320–1327.
Thompson LDR, Becker RC, Pryzgodski RM, et al. Mucinous cystic neoplasm (mucinous cystadenocarcinoma of low malignant potential) of the pancreas: a clinicopathologic study of 130 cases. Am J Surg Pathol 1999;23:1–16.
Khalifeh I, Qureshi F, Jacques S, et al. The nature of ‘ovarian-like’ mesenchyme of pancreatic and hepatic mucinous cystic neoplasms: A recapitulation of the periductal fetal mesenchme? (Abstract). Modern Pathol 2004;17.
Colovic R, Barisic G, Colovic N, et al. Double mucinous cystadenoma of the pancreas associated with thecoma of the ovary. Acta Chir Iugosl 2002;49:95–97.
Khalifeh I, Basturk O, Zamboni G, et al. Villous-intestinal differentiation and progression to colloid carcinoma, characteristic of a major subset of IPMNs, are not features of mucinous cystic neoplasms. Modern Pathol 2005;18:281A.
Maire F, Hammel P, Terris B, et al. Benign inflammatory pancreatic mucinous cystadenomas mimicking locally advanced cystadenocarcinomas. Presentation of 3 cases. Pancreatology 2002;2:74–78.
Sarr MG, Carpenter HA, Prabhakar LP, et al. Clinical and pathologic correlation of 84 mucinous cystic neoplasms of the pancreas: can one reliably differentiate benign from malignant (or premalignant) neoplasms? Ann Surg 2000;231:205–212.
Klöppel G, Hruban RH, Longnecker DS, et al. Tumours of the exocrine pancreas. In: Hamilton S, Aaltonen LA (eds). World Health Organization Classification of Tumours-Pathology and Genetics of Tumours of the Digestive System. IARC Press: Lyon, France, 2000, pp 219–305.
Sarnaik AA, Saad AG, Mutema GK, et al. Osteoclast-like giant cell tumor of the pancreas associated with a mucinous cystadenocarcinoma. Surgery 2003;133:700–701.
Aoki Y, Tanimura H, Mori K, et al. Osteoclast-like giant cell tumor of the pancreas associated with cystadenocarcinoma. Nippon Geka Hokan—Arch Jpn Chir 1989;58:452–460.
van den Berg W, Tascilar M, Offerhaus GJ, et al. Pancreatic mucinous cystic neoplasms with sarcomatous stroma: molecular evidence for monoclonal origin with subsequent divergence of the epithelial and sarcomatous components. Modern Pathol 2000;13:86–91.
Tajiri T, Tate G, Inagaki T, et al. Intraductal tubular neoplasms of the pancreas: histogenesis and differentiation. Pancreas 2005;30:115–121.
Toth IR, Lang JN . Giant pancreatic retention cyst in cystic fibrosis: a case report. Pediatr Pathol 1986;6:103–110.
Iwase K, Takenaka H, Oshima S, et al. A case of pancreatic cyst containing gall sludge. Gastroenterol JPN 1992;27:550–553.
Morise Z, Yamafuji K, Tsuji T, et al. A giant retention cyst of the pancreas (cystic dilatation of dorsal pancreatic duct) associated with pancreas divisum. J Gastroenterol 2002;37:1079–1082.
Kosmahl M, Egawa N, Schroder S, et al. Mucinous nonneoplastic cyst of the pancreas: a novel nonneoplastic cystic change? Modern Pathol 2002;15:154–158.
Brunner A, Ladurner R, Kosmahl M, et al. Mucinous non-neoplastic cyst of the pancreas accompanied by non-parasitic asymptomatic liver cysts. Virchows Arch 2004;444:482–484.
Compagno J, Oertel JE . Microcystic adenomas of the pancreas (glycogen-rich cystadenomas): a clinicopathologic study of 34 cases. Am J Clin Pathol 1978;69:289–298.
Hodgkinson DJ, ReMine WH, Weiland LH . Pancreatic cystadenoma. A clinicopathologic study of 45 cases. Arch Surg 1978;113:512–519.
Compton CC . Serous cystic tumors of the pancreas. Semin Diagn Pathol 2000;17:43–56.
Strobel O, Z'Graggen K, Schmitz-Winnenthal FH, et al. Risk of malignancy in serous cystic neoplasms of the pancreas. Digestion 2003;68:24–33.
Yasuhara Y, Sakaida N, Uemura Y, et al. Serous microcystic adenoma (glycogen-rich cystadenoma) of the pancreas: study of 11 cases showing clinicopathological and immunohistochemical correlations. Pathol Int 2002;52:307–312.
Warshaw AL, Compton CC, Lewandrowski K, et al. Cystic tumors of the pancreas. New clinical, radiologic, and pathologic observations in 67 patients. Ann Surg 1990;212:432–443; discussion 444–445.
Alpert LC, Truong LD, Bossart MI, et al. Microcystic adenoma (serous cystadenoma) of the pancreas. A study of 14 cases with immunohistochemical and electron-microscopic correlation. Am J Surg Pathol 1988;12:251–263.
Casadei R, Santini D, Greco VM, et al. Macrocystic serous cystadenoma of the pancreas. Diagnostic, therapeutic and pathological considerations of three cases. Ital J Gastroenterol Hepatol 1997;29:54–57.
Lewandrowski K, Warshaw A, Compton C . Macrocystic serous cystadenoma of the pancreas: a morphologic variant differing from microcystic adenoma. Hum Pathol 1992;23:871–875.
Sperti C, Pasquali C, Perasole A, et al. Macrocystic serous cystadenoma of the pancreas: clinicopathologic features in seven cases. Int J Pancreatol 2000;28:1–7.
Perez-Ordonez B, Naseem A, Lieberman PH, et al. Solid serous adenoma of the pancreas. The solid variant of serous cystadenoma? Am J Surg Pathol 1996;20:1401–1405.
Kosmahl M, Wagner J, Peters K, et al. Serous cystic neoplasms of the pancreas: an immunohistochemical analysis revealing alpha-inhibin, neuron-specific enolase, and MUC6 as new markers. Am J Surg Pathol 2004;28:339–346.
Gerdes B, Wild A, Wittenberg J, et al. Tumor-suppressing pathways in cystic pancreatic tumors. Pancreas 2003;26:42–48.
Kim SG, Wu TT, Lee JH, et al. Comparison of epigenetic and genetic alterations in mucinous cystic neoplasm and serous microcystic adenoma of pancreas. Modern Pathol 2003;16:1086–1094.
Mohr VH, Vortmeyer AO, Zhuang Z, et al. Histopathology and molecular genetics of multiple cysts and microcystic (serous) adenomas of the pancreas in von Hippel-Lindau patients. Am J Pathol 2000;157:1615–1621.
Singh R, Basturk O, Sarkar F, et al. The role of GLUT-1 in ‘Clear-Cell’ ductal tumors of the pancreas. Modern Pathol 2006;19:280A.
Quatresooz P, Honore P, Vivario M, et al. Multifocal serous cystadenoma of the pancreas synchronous with ampullary adenocarcinoma. Ann Pathol 2002;22:317–320.
Baek SY, Kang BC, Choi HY, et al. Pancreatic serous cystadenoma associated with islet cell tumour. Br J Radiol 2000;73:83–86.
Ustun MO, Tugyan N, Tunakan M . Coexistence of an endocrine tumour in a serous cystadenoma (microcystic adenoma) of the pancreas, an unusual association. J Clin Pathol 2000;53:800–802.
Posniak HV, Olson MC, Demos TC . Coexistent adenocarcinoma and microcystic adenoma of the pancreas. Clin Imag 1991;15:220–222.
Keel SB, Zukerberg L, Graeme-Cook F, et al. A pancreatic endocrine tumor arising within a serous cystadenoma of the pancreas. Am J Surg Pathol 1996;20:471–475.
Kim YW, Park YK, Lee S, et al. Pancreatic endocrine tumor admixed with a diffuse microcystic adenoma—a case report. J Kor Med Sci 1997;12:469–472.
Montag AG, Fossati N, Michelassi F . Pancreatic microcystic adenoma coexistent with pancreatic ductal carcinoma. A report of two cases. Am J Surg Pathol 1990;14:352–355.
Masatsugu T, Yamaguchi K, Chijiiwa K, et al. Serous cystadenoma of the pancreas associated with pancreas divisum. J Gastroenterol 2002;37:669–673.
Inadome N, Yamaguchi K, Shimizu S, et al. Serous cystadenoma of the pancreas with hypoplasia of the dorsal pancreas: report of a case. Nippon Shokakibyo Gakkai Zasshi 1998;95:455–459.
Egawa N, Maillet B, Schroder S, et al. Serous oligocystic and ill-demarcated adenoma of the pancreas: a variant of serous cystic adenoma. Virchows Archiv 1994;424:13–17.
Cohen-Scali F, Vilgrain V, Brancatelli G, et al. Discrimination of unilocular macrocystic serous cystadenoma from pancreatic pseudocyst and mucinous cystadenoma with CT: initial observations. Radiology 2003;228:727–733.
Bassi C, Salvia R, Molinari E, et al. Management of 100 consecutive cases of pancreatic serous cystadenoma: wait for symptoms and see at imaging or vice versa? World J Surg 2003;27:319–323.
Wu CM, Fishman EK, Hruban RK, et al. Serous cystic neoplasm involving the pancreas and liver: an unusual clinical entity. Abdom Imag 1999;24:75–77.
Abe H, Kubota K, Mori M, et al. Serous cystadenoma of the pancreas with invasive growth: benign or malignant? Am J Gastroenterol 1998;93:1963–1966.
George DH, Murphy F, Michalski R, et al. Serous cystadenocarcinoma of the pancreas: a new entity? Am J Surg Pathol 1989;13:61–66.
Haarmann W, Mittelkotter U, Smektala R . Monstrous recurrence of serous cystadenocarcinoma of the pancreas. Zentralb Chir 1997;122:122–125.
Yoshimi N, Sugie S, Tanaka T, et al. A rare case of serous cystadenocarcinoma of the pancreas. Cancer 1992;69:2449–2453.
Kamei K, Funabiki T, Ochiai M, et al. Multifocal pancreatic serous cystadenoma with atypical cells and focal perineural invasion. International Journal of Pancreatology 1991;10:161–172.
Eriguchi N, Aoyagi S, Nakayama T, et al. Serous cystadenocarcinoma of the pancreas with liver metastases. J Hepato-Biliary-Pancreatic Surg 1998;5:467–470.
Friebe V, Keck T, Mattern D, et al. Serous cystadenocarcinoma of the pancreas: management of a rare entity. Pancreas 2005;31:182–187.
Adsay NV, Hasteh F, Cheng JD, et al. Lymphoepithelial cysts of the pancreas: a report of 12 cases and a review of the literature. Modern Pathol 2002;15:492–501.
Adsay NV, Hasteh F, Cheng JD, et al. Squamous-lined cysts of the pancreas: lymphoepithelial cysts, dermoid cysts (teratomas) and accessory-splenic epidermoid cysts. Semin Diagn Pathol 2000;17:56–66.
Fink AM, Kulkarni S, Crowley P, et al. Epidermoid cyst in a pancreatic accessory spleen mimicking an infected abdominal cyst in a child. AJR Am J Roentgenol 2002;179:206–208.
Yokomizo H, Hifumi M, Yamane T, et al. Epidermoid cyst of an accessory spleen at the pancreatic tail: diagnostic value of MRI. Abdom Imag 2002;27:557–559.
Othman M, Basturk O, Groissman G, et al. Squamoid cyst of pancreatic ducts: a distinct type of cystic lesion in the pancreas. Am J Surg Pathol 2006 (in press).
Cantrell BB, Cubilla AL, Erlandson RA, et al. Acinar cell cystadenocarcinoma of human pancreas. Cancer 1981;47:410–416.
Ishizaki A, Koito K, Namieno T, et al. Acinar cell carcinoma of the pancreas: a rare case of an alpha-fetoprotein-producing cystic tumor. Eur J Radiol 1995;21:58–60.
Joubert M, Fiche M, Hamy A, et al. Extension of an acinar cell pancreatic carcinoma with cystic changes invading the Wirsung canal. Gastroenterol Clin Biol 1998;22:465–468.
Stamm B, Burger H, Hollinger A . Acinar cell cystadenocarcinoma of the pancreas. Cancer 1987;60:2542–2547.
Arai T, Kino I, Nakamura S, et al. Solid and cystic acinar cell tumors of the pancreas. A report of two cases with immunohistochemical and ultrastructural studies. Acta Pathol JPN 1986;36:1887–1896.
Learmonth GM, Price SK, Visser AE, et al. Papillary and cystic neoplasm of the pancreas—an acinar cell tumour? Histopathology 1985;9:63–79.
Doppl W, Muhrer KH, Stambolis C . Acinar cell tumor of the pancreas. A solid cystic benign neoplasm of young females. Med Welt 1983;34:480–483.
Colombo P, Arizzi C, Roncalli M . Acinar cell cystadenocarcinoma of the pancreas: report of rare case and review of the literature. Hum Pathol 2004;35:1568–1571.
Klimstra DS, Heffess CS, Oertel JE, et al. Acinar cell carcinoma of the pancreas. A clinicopathologic study of 28 cases. Am J Surg Pathol 1992;16:815–837.
Basturk O, Zamboni G, Klimstra D, et al. Intraductal and papillary variants of pancreatic acinar cell carcinoma: a new addition to the challenging differential diagnosis of intraductal neoplasms (Abstract). Modern Pathol 2005;18:275A.
Zamboni G, Terris B, Scarpa A, et al. Acinar cell cystadenoma of the pancreas: a new entity? Am J Surg Pathol 2002;26:698–704.
Albores-Saavedra J . Acinar cystadenoma of the pancreas: a previously undescribed tumor. Ann Diagn Pathol 2002;6:113–115.
Chatelain D, Paye F, Mourra N, et al. Unilocular acinar cell cystadenoma of the pancreas an unusual acinar cell tumor. Am J Clin Pathol 2002;118:211–214.
Couvelard A, Terris B, Hammel P, et al. Acinar cystic transformation of the pancreas (or acinar cell cystadenoma), a rare and recently described entity. Ann Pathol 2002;22:397–400.
Bishop MD, Steer M . Pancreatic cystic lymphangioma in an adult. Pancreas 2001;22:101–102.
Paal E, Thompson LD, Heffess CS . A clinicopathologic and immunohistochemical study of ten pancreatic lymphangiomas and a review of the literature (published erratum appears in Cancer 1998 August 15;83(4):824). Cancer 1998;82:2150–2158.
Igarashi A, Maruo Y, Ito T, et al. Huge cystic lymphangioma of the pancreas: report of a case. Surg Today 2001;31:743–746.
Adsay NV, Klimstra DS . Cystic forms of typically solid pancreatic tumors. Semin Diagn Pathol 2000;17:66–81.
Uchimi K, Fujita N, Noda Y, et al. Solid cystic tumor of the pancreas: report of six cases and a review of the Japanese literature. J Gastroenterol 2002;37:972–980.
Zhu X, He L, Zeng J . Solid and cystic tumor of pancreas, analysis of 14 pediatric cases. Zhonghua Yi Xue Za Zhi 2002;82:1180–1182.
Lieber MR, Lack EE, Roberts Jr JR, et al. Solid and papillary epithelial neoplasm of the pancreas. An ultrastructural and immunocytochemical study of six cases. Am J Surg Pathol 1987;11:85–93.
Miettinen M, Partanen S, Fraki O, et al. Papillary cystic tumor of the pancreas. An analysis of cellular differentiation by electron microscopy and immunohistochemistry. Am J Surg Pathol 1987;11:855–865.
Ladanyi M, Mulay S, Arseneau J, et al. Estrogen and progesterone receptor determination in the papillary cystic neoplasm of the pancreas. With immunohistochemical and ultrastructural observations. Cancer 1987;60:1604–1611.
Klimstra DS, Wenig BM, Heffess CS . Solid-pseudopapillary tumor of the pancreas: a typically cystic tumor of low malignant potential. Semin Diagn Pathol 2000;17:66–81.
Maitra A, Weinberg AG, Schneider N, et al. Detection of t(11;22)(q24;q12) translocation and EWS-FLI-1 fusion transcript in a case of solid pseudopapillary tumor of the pancreas. Pediatr Dev Pathol 2000;3:603–605.
Cao D, Adsay NV, Maitra A, et al. Expression of C-Kit in solid pseudopapillary tumor of the pancreas. Modern Pathol 2006;19:270A.
Morales A, Duarte-Rojo A, Angeles-Angeles A, et al. The beta form of the estrogen receptor is predominantly expressed in the papillary cystic neoplasm of the pancreas. Pancreas 2003;26:258–263.
Nishihara K, Nagoshi M, Tsuneyoshi M, et al. Papillary cystic tumors of the pancreas. Assessment of their malignant potential. Cancer 1993;71:82–92.
Tang LH, Aydin H, Brennan MF, et al. Clinically aggressive solid pseudopapillary tumors of the pancreas: a report of two cases with components of undifferentiated carcinoma and a comparative clinicopathologic analysis of 34 conventional cases. Am J Surg Pathol 2005;29:512–519.
Andea A, Lonardo F, Adsay V . Microscopically cystic and papillary ‘large-duct type’ invasive adenocarcinoma of the pancreas: a potential mimic of intraductal papillary mucinous and mucinous cystic neoplasms (Abstract). Modern Pathol 2000;13:179A.
Denis B, Claudel L, Marcellin L, et al. Presence of microcysts within a cystic tumor of the pancreas does not rule out malignancy: report of two cases. Gastroenterol Clin Biol 2003;27:651–654.
Sarui H, Yoshimoto K, Okumura S, et al. Cystic glucagonoma with loss of heterozygosity on chromosome 11 in multiple endocrine neoplasia type 1. Clin Endocrinol (Oxford) 1997;46:511–516.
Brown K, Kristopaitis T, Yong S, et al. Cystic glucagonoma: a rare variant of an uncommon neuroendocrine pancreas tumor. J Gastrointest Surg 1998;2:533–536.
Pogany AC, Kerlan Jr RK, Karam JH, et al. Cystic insulinoma. AJR Am J Roentgenol 1984;142:951–952.
Goto M, Nakano I, Sumi K, et al. Cystic insulinoma and nonfunctioning islet cell tumor in multiple endocrine neoplasia type 1 (letter). Pancreas 1994;9:393–395.
Vandecaveye V, Verswijvel G, Colla P, et al. Cystic insulinoma of the pancreas in a patient with myotonic dystrophy: correlation of imaging and pathologic findings. Jbr-Btr 2003;86:268–271.
Marrano D, Campione O, Santini D, et al. Cystic insulinoma: a rare islet cell tumour of the pancreas. Eur J Surg 1994;160:519–522.
Deltz E, Parwaresch MR . Cystic insulinoma. Zentralbl Chir 1975;100:1521–1524.
Stair JM, Schaefer RF, McCowan TC, et al. Cystic islet cell tumor of the pancreas. J Surg Oncol 1986;32:46–49.
Loiterman DA, Schwartz IS, Aufses Jr AH . Cystic islet cell tumor: diagnosis and surgical management. Mt Sinai J Med 1985;52:212–215.
Sohaib SA, Reznek RH, Healy JC, et al. Cystic islet cell tumors of the pancreas. AJR Am J Roentgenol 1998;170:217.
Iacono C, Serio G, Fugazzola C, et al. Cystic islet cell tumors of the pancreas. A clinico-pathological report of two nonfunctioning cases and review of the literature. Int J Pancreatol 1992;11:199–208.
Ahrendt SA, Komorowski RA, Demeure MJ, et al. Cystic pancreatic neuroendocrine tumors: is preoperative diagnosis possible? J Gastrointest Surg 2002;6:66–74.
Ligneau B, Lombard-Bohas C, Partensky C, et al. Cystic endocrine tumors of the pancreas: clinical, radiologic, and histopathologic features in 13 cases. Am J Surg Pathol 2001;25:752–760.
Kotoulas C, Panayiotides J, Antiochos C, et al. Huge non-functioning pancreatic cystic neuroendocrine tumour: a case report. Eur J Surg Oncol 1998;24:74–76.
Colarian J, Fowler D, Schor J, et al. Squamous cell carcinoma of the pancreas with cystic degeneration. South Med J 2000;93:821–822.
Tan G, Vitellas K, Morrison C, et al. Cystic schwannoma of the pancreas. Ann Diagn Pathol 2003;7:285–291.
Lee JS, Kim HS, Jung JJ, et al. Ancient schwannoma of the pancreas mimicking a cystic tumor. Virchows Arch 2001;439:697–699.
Hsiao WC, Lin PW, Chang KC . Benign retroperitoneal schwannoma mimicking a pancreatic cystic tumor: case report and literature review. Hepatogastroenterology 1998;45:2418–2420.
Liu DM, Jeffrey Jr RB, Mindelzun RE . Malignant fibrous histiocytoma presenting as cystic pancreatic mass. Abdom Imag 1999;24:299–300.
Adsay NV, Andea A, Basturk O, et al. Secondary tumors of the pancreas: an analysis of a surgical and autopsy database and review of the literature. Virchows Arch 2004;444:527–535.
Pauser U, da Silva MT, Placke J, et al. Cellular hamartoma resembling gastrointestinal stromal tumor: a solid tumor of the pancreas expressing c-kit (CD117). Modern Pathol 2005;18:1211–1216.
Pauser U, Kosmahl M, Kruslin B, et al. Pancreatic solid and cystic hamartoma in adults: characterization of a new tumorous lesion. Am J Surg Pathol 2005;29:797–800.
Andronikou S, Sinclair-Smith C, Millar AJ . An enteric duplication cyst of the pancreas causing abdominal pain and pancreatitis in a child. Pediatr Surg Int 2002;18:190–192.
Dipaola G, Camoglio FS, Chironi C, et al. Congenital true pancreatic cyst in pediatric age: case report. Pediatr Med Chir 2002;24:63–65.
Caillot JL, Rongieras F, Voiglio E, et al. A new case of congenital cyst of the pancreas. Hepatogastroenterology 2000;47:916–918.
Keller MS, Weber TR, Sotelo-Avila C, et al. Duodenal duplication cysts: a rare cause of acute pancreatitis in children. Surgery 2001;130:112–115.
Macari M, Lazarus D, Israel G, et al. Duodenal diverticula mimicking cystic neoplasms of the pancreas: CT and MR imaging findings in seven patients. AJR Am J Roentgenol 2003;180:195–199.
Andersson R, Lindell G, Cwikiel W, et al. Retroperitoneal bronchogenic cyst as a differential diagnosis of pancreatic mucinous cystic tumor. Dig Surg 2003;20:55–57.
Majeski J, Harmon J . Benign enterogenous cyst of the pancreas. South Med J 2000;93:337–339.
Munshi IA, Parra-Davila E, Casillas VJ, et al. Ciliated foregut cyst of the pancreas. HPB Surg 1998;11:117–119.
Lee DS, Baek JT, Ahn BM, et al. A case of pancreatic endometrial cyst. Korean J Intern Med 2002;17:266–269.
Sumiyoshi Y, Yamashita Y, Maekawa T, et al. A case of hemorrhagic cyst of the pancreas resembling the cystic endometriosis. Int Surg 2000;85:67–70.
Ramirez Plaza CP, Suarez Munoz MA, Santoyo Santoyo J, et al. Pancreatic cystic metastasis from pulmonary carcinoma. Report of a case. Ann Ital Chir 2001;72:95–99.
Vogel JD, Yeo CJ . Choledochal cyst or pancreatic (retention) cyst: a case report. J Gastrointest Surg 2003;7:754–757.
Silverman JF, Prichard J, Regueiro MD . Fine needle aspiration cytology of a pancreatic cyst in a patient with autosomal dominant polycystic kidney disease. A case report. Acta Cytol 2001;45:415–419.
Valentini AL, Brizi MG, Mutignani M, et al. Adult medullary cystic disease of the kidney and pancreatic cystic disease: a new association. Scand J Urol Nephrol 1999;33:423–425.
Monti L, Salerno T, Lucidi V, et al. Pancreatic cystosis in cystic fibrosis: case report. Abdom Imag 2001;26:648–650.
Boulanger SC, Borowitz DS, Fisher JF, et al. Congenital pancreatic cysts in children. J Pediatr Surg 2003;38:1080–1082.
Balci S, Altinok G, Teksen F, et al. A 34-week-old male fetus with short rib polydactyly syndrome (SRPS) type I (Saldino-Noonan) with pancreatic cysts. Turk J Pediatr 2003;45:174–178.
Balci S, Bostanoglu S, Altinok G, et al. New syndrome? Three sibs diagnosed prenatally with situs inversus totalis, renal and pancreatic dysplasia, and cysts. Am J Med Genet 2000;90:185–187.
Drut R, Drut M . Pancreatic cystic dysplasia (dysgenesis) presenting as a surgical pathology specimen in a patient with multiple malformations and familial ear pits. Int J Surg Pathol 2002;10:303–308.
Xie XY, Strauch E, Sun CC . Choledochal cysts and multilocular cysts of the pancreas. Hum Pathol 2003;34:99–101.
Meckler KA, Brentnall TA, Haggitt RC, et al. Familial fibrocystic pancreatic atrophy with endocrine cell hyperplasia and pancreatic carcinoma. Am J Surg Pathol 2001;25:1047–1053.
Brune KA, Abe T, Canto MI, et al. 5.Multifocal neoplastic precursor lesions associated with lobular atrophy of the pancreas in patients having a strong family history of pancreatic Cancer. Modern Pathol 2005;19:269A.
Friedman HD . Nonmucinous, glycogen-poor cystadenocarcinoma of the pancreas. Arch Pathol Lab Med 1990;114:888–891.
Author information
Authors and Affiliations
Corresponding author
Rights and permissions
About this article
Cite this article
Volkan Adsay, N. Cystic lesions of the pancreas. Mod Pathol 20 (Suppl 1), S71–S93 (2007). https://doi.org/10.1038/modpathol.3800706
Received:
Revised:
Accepted:
Published:
Issue date:
DOI: https://doi.org/10.1038/modpathol.3800706
Keywords
This article is cited by
-
Pancreatic ductal adenocarcinomas associated with intraductal papillary mucinous neoplasms (IPMNs) versus pseudo-IPMNs: relative frequency, clinicopathologic characteristics and differential diagnosis
Modern Pathology (2022)
-
Simple mucinous cyst: another potential cancer precursor in the pancreas? Case report with molecular characterization and systematic review of the literature
Virchows Archiv (2021)
-
Pancreatic mucinous cystic neoplasms: a clinicopathological study of 11 cases and detailed review of literature
Surgical and Experimental Pathology (2020)
-
The Effectiveness of Open Distal Pancreatectomy with Spleen Vessels Preservation for the Treatment of Pancreatic Mucinous Cystic Neoplasm: Report of a Case
Hellenic Journal of Surgery (2020)
-
Wirsung atraumatic rupture in patient with pancreatic pseudocysts: a case presentation
BMC Gastroenterology (2018)