Skip to main content

Thank you for visiting nature.com. You are using a browser version with limited support for CSS. To obtain the best experience, we recommend you use a more up to date browser (or turn off compatibility mode in Internet Explorer). In the meantime, to ensure continued support, we are displaying the site without styles and JavaScript.

Case Study

Filter By:

Article Type
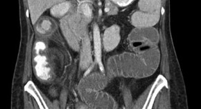
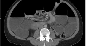
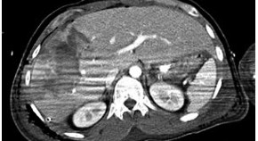
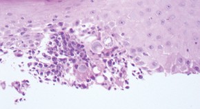
  • Epstein–Barr virus (EBV) infection with gastrointestinal tract involvement is extremely rare in immunocompetent adults. This Case Study describes an immunocompetent 30-year-old man who presented with several months of bloody diarrhea and cramping abdominal pain, suggestive of IBD. However, viral serologic tests confirmed acute EBV infection, and EBV-associated lymphoproliferative disorder of B-cell lineage with diffuse colonic involvement was diagnosed.

    • Jordan J. Karlitz
    • S. Tammy Li
    • Matthew C. Rice
    Case Study
  • This article discusses the case of a 63-year-old woman who presented with dysphagia 27 years after she received radiation therapy for Hodgkin disease. She was diagnosed with a large tracheoesophageal fistula and poorly differentiated squamous cell carcinoma of the esophagus. The authors describe, for the first time, successful surgical management of this complex clinical condition.

    • Jeroen Hagendoorn
    • Marguerite E. I. Schipper
    • Richard van Hillegersberg
    Case Study
  • A 37-year-old female was given esomeprazole to treat reflux-like dyspeptic symptoms ∼3 years after undergoing surgery for a neuroendocrine pancreatic neoplasm. During esomeprazole treatment, her serum chromogranin A level rose to around three times the upper limit of normal, but her gastrin levels remained in the normal range. Relapse of the neuroendocrine tumor was suspected; however, investigations led to a diagnosis of esomeprazole-induced hyperchromograninemia in the absence of elevated levels of fasting serum gastrin.

    • Giovanni Gori
    • Giacomo Spinelli
    • Mario Del Tacca
    Case Study
  • A 38-year-old female was evaluated for a 3 year history of postprandial abdominal pain, refractory nausea, vomiting and hematemesis. Her medical history was significant for juvenile polyposis syndrome and Crohn's disease resulting in a total colectomy. Juvenile polyposis syndrome with outlet obstruction of the stomach and excessive hypergastrinemia was diagnosed and treatment started with acid suppressive therapy, prokinetic therapy and total parenteral nutrition. Repetitive endoscopic polypectomy (also known as debulking) was performed twice followed by gastrectomy with duodeoesophageal anastomosis.

    • Karen D. Papay
    • Vincent G. Falck
    • Martin A. Storr
    Case Study
  • This article considers the case of a 72-year-old woman who presented with a 2-month history of right upper quadrant abdominal pain and a 15-day history of jaundice. The patient was diagnosed with bile duct duplication and coexistent cholangiocarcinoma. This Case Study explores the diagnosis and management of this patient and is believed to be the first reported case in the literature of this unique variant of bile duct duplication.

    • Ilkay Kosar
    • Hilmi Ataseven
    • Ömer Topçu
    Case Study
  • A 72-year-old man was evaluated for dysgeusia, diarrhea and ano-rexia. 3 months earlier he began to experience taste changes, a de-cline in appetite and 3–7 loose, non-bloody stools per day, followed by nausea, lower abdominal cramping and weight loss of 22.68 kg. Cronkhite–Canada syndrome was diagnosed and treatment started with prednisone, a histamine-2-receptor blocker and oral micronutrient supplementation. All visible polyps were removed and subtotal colectomy with end-to-side ileorectostomy per-formed.

    • Seth Sweetser
    • Glenn L. Alexander
    • Lisa A. Boardman
    Case Study
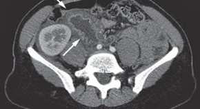
  • A 33-year-old woman with a history of paroxysmal nocturnal hemoglobinuria (PNH) presented with abdominal pain, nausea and vomiting, accompanied by duodenal wall thickening seen on an abdominal CT scan and an ischemic-looking duodenal mucosa as visualized by endoscopy. She was diagnosed as having small bowel ischemia complicating PNH. Treatment with warfarin was started, but ischemic episodes recurred. Treatment with eculizumab was, therefore, proposed. This case highlights this rare gastrointestinal complication of PNH.

    • Joana Torres
    • Bénédicte De Vroey
    • Jean-Frédéric Colombel
    Case Study
  • A 50-year-old man from Las Vegas with a history of complicated Crohn's disease and who had received adalimumab therapy presented with left lower quadrant abdominal pain, periorbital headache, blurry vision, tinnitus, polydipsia, right elbow pain and weight loss. He was diagnosed with having disseminated coccidioidomycosis. Despite antifungal treatment, surgical debridement and irrigation, and discontinuation of immunosuppressive therapy, the patient eventually died. This case highlights the risk of developing endemic mycoses while receiving biologic therapy.

    • Sumeet S. Mitter
    • Ariss DerHovanessian
    • Daniel Z. Uslan
    Case Study
  • This article considers the case of a 17-year-old adolescent with a history of Crohn's disease who was receiving infliximab and presented with a new-onset rash. The rash did not resolve with corticosteroid treatment and worsened after further treatment with infliximab and also after subsequent administration of adalimumab. He was diagnosed as having an anti-TNF agent induced psoriasiform rash. The rash resolved after discontinuation of anti-TNF agents and his rash has not recurred during 3 years of follow-up.

    • Laurie S. Conklin
    • Bernard Cohen
    • Maria Oliva-Hemker
    Case Study
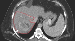
  • This article considers the case of a 58-year-old man with a history of type II diabetes, obesity and hypertension who presented with non-alcoholic steatohepatitis-related liver cirrhosis and hepatocellular carcinoma (HCC), and self-referred for a second opinion. He was diagnosed with unresectable HCC. The patient underwent radioembolization with Yttrium-90 glass microspheres, which substantially decreased the tumor mass. 1 year after initial diagnosis with HCC the patient underwent orthotopic liver transplantation (OLT). He remains negative for recurrence of HCC 2.5 years post-OLT.

    • Laura E. Moreno Luna
    • Paul Y. Kwo
    • Vijay Laxmi Misra
    Case Study
  • This article considers the case of a 49-year-old woman with a history of hepatitis C and peptic ulcer disease who presented with massive hematemesis. She was diagnosed with gastric variceal hemorrhage and splenic vein thrombosis. The patient underwent splenic artery embolization and balloon-occluded retrograde transvenous obliteration of gastric varices. By 30 months post-treatment no evidence of gastric varices or splenic vein thrombosis remained.

    • Vanessa Tieu
    • George Behrens
    • Joseph Ahn
    Case Study
  • Clostridium difficileinfection is increasingly recognized in patients who have undergone restorative proctocolectomy with ileal-pouch–anal anastomosis. The effect of this infection on patient outcomes is not clear. In this Case Study, Shen and colleagues describe a case of fulminantC. difficile-associated pouchitis with a fatal outcome that occurred after ileostomy closure.

    • Bo Shen
    • Feza H. Remzi
    • Victor W. Fazio
    Case Study
  • This article considers the case of a 58-year-old man who presented with a 35-year history of Crohn's disease, pararectal fistulas and abscess formation. He had been taking azathioprine therapy for approximately 5.5 years. He was started on infliximab; however, his fistulas persisted and the abscess recurred. He was, therefore, switched to adalimumab. After development of pancytopenia, a bone marrow biopsy and a diagnostic splenectomy were performed, leading to a diagnosis of hepatosplenic T-cell lymphoma.

    • Florian Beigel
    • Matthias Jürgens
    • Thomas Ochsenkühn
    Case Study
  • This article considers the case of a 49-year-old man who presented with fatigue and poor concentration. He was diagnosed with HCV genotype 1 infection and started on a 48-week course of pegylated interferon α2b plus ribavirin. Despite initial reductions in his serum HCV-RNA levels, HCV-RNA remained detectable at week 12; however, it was undetectable by week 24. The patient was classified as a slow responder and therapy was extended to 72 weeks.

    • Paul J. Gaglio
    Case Study
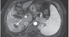
  • This article considers the case of a 66-year-old white man who presented with a productive cough and pleuritic chest pain on his right side 6 months after undergoing transarterial chemoembolization for hepatocellular carcinoma. The patient was diagnosed with a biliopleural fistula, and this Case Study explores the diagnosis and management of this patient.

    • Jeffrey R. Lewis
    • Helen S. Te
    • Smruti R. Mohanty
    Case Study
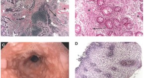
  • This article considers the case of a 73-year-old white man who presented with synchronous gastric carcinomas and a 20-year history of mixed polyposis. Genetic-testing and molecular-pathology analyses confirmed a diagnosis of Cowden's syndrome. The case explores the diagnostic challenges of differentiating between hamartomatous and adenomatous polyposis syndromes in patients with mixed polyposis, and emphasizes the need to characterize the risk of gastrointestinal cancer in patients with this syndrome.

    • Khalid Al-Thihli
    • Laura Palma
    • William D Foulkes
    Case Study
  • In this Case Study, Schnitzbauer et al. describe the case of a 30-year-old male who suffered multiple fractures and extensive internal injuries, including liver rupture with formation of a hematoma, because of a motorcycle accident. While in intensive care, the hepatic hematoma became infected with antibiotic-resistant bacteria and serum levels of cholestatic parameters started to increase, until retrograde cholangiography supported a diagnosis of cholangitis in a critically ill patient. Acute liver failure ensued, and liver transplantation carried out. In spite of a number of intervening complications, 50 months after transplantation the patient was in good health; therefore, the authors conclude that post-traumatic sclerosing cholangitis should probably become an indication for liver transplantation.

    • Andreas A Schnitzbauer
    • Tung-Yu Tsui
    • Aiman Obed
    Case Study
  • This Case Study considers a 51-year-old male who developed unilateral hearing loss while taking pegylated interferon and ribavirin for the treatment of chronic hepatitis C infection. The patient was treated with prednisone and continued with his antiviral therapy. Improvement in the patient's hearing was achieved within a few days, and full recovery was achieved within 2 months.

    • Vu Le
    • Ted Bader
    • Javid Fazili
    Case Study
  • This article considers the case of a 72-year-old male who presented with epigastric pain, anorexia and progressive jaundice. Liver function tests revealed enzyme abnormalities consistent with cholestasis, while radiographic and endoscopic findings were suggestive of autoimmune pancreatitis with biliary involvement. Examinations for the presence of malignant cells were negative. A diagnosis of autoimmune pancreatitis with IgG4-associated cholangitis was made and the patient was treated with corticosteroids.

    • Aaron J Small
    • Conor G Loftus
    • Todd H Baron
    Case Study
  • This article discusses the 11-year case history of a 13-year-old girl who presented with vomiting, abdominal pain and distension with evidence of small-bowel obstruction. Over the years, numerous laparotomies were performed for recurrent abdominal symptoms, which were managed with intravenous fluids, bowel rest and nasogastric decompression of the upper gut. After a diagnosis of primary visceral myopathy was made, prokinetic agents were prescribed and a venting gastrostomy inserted for decompression. Total parenteral feeding was initially used to maintain nutrition but was ceased when her symptoms improved.

    • Lisa SE Shim
    • Guy D Eslick
    • Jamshid S Kalantar
    Case Study

Search

Quick links