Skip to main content

Thank you for visiting nature.com. You are using a browser version with limited support for CSS. To obtain the best experience, we recommend you use a more up to date browser (or turn off compatibility mode in Internet Explorer). In the meantime, to ensure continued support, we are displaying the site without styles and JavaScript.

Articles in 2016

Filter By:

  • The SPRINT data suggest a cardiovascular benefit of intensive blood pressure (BP) lowering in high-risk individuals. The BP measurement protocol, however, likely resulted in lower BP values than would normally be obtained in the clinic. Intensive BP targets might not be as safe if routine BP measurements are used.

    • Rajiv Agarwal
    News & Views
  • The development of novel immunotherapies has improved treatment options for several immune-mediated diseases; however, outcomes for patients with immune-mediated kidney disease remain poor. In this Review, Hans-Joachim Anders, David Jayne and Brad Rovin suggest that this lack of progress relates to shortcomings in the approaches used to identify targets and measure outcomes. They discuss seven hurdles to the validation of therapeutic targets in immune-mediated kidney diseases and describe how these hurdles can be overcome to appropriately assess and introduce immunologic therapies for immune-mediated kidney disease.

    • Hans-Joachim Anders
    • David R. W. Jayne
    • Brad H. Rovin
    Review Article
  • Healthy mitochondria are essential for normal kidney function and mitochondrial dysfunction has been implicated in various types of renal disorders, both inherited and acquired. In this article, the authors review mitochondrial cytopathies with renal manifestations and the role of mitochondrial dysfunction in acute kidney injury (AKI).

    • Francesco Emma
    • Giovanni Montini
    • Leonardo Salviati
    Review Article
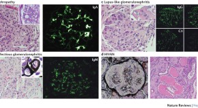
  • Renal disease is a frequent complication of HIV infection, and a spectrum of renal disorders has been described with diverse histopathologic forms. In this Review, Scott Cohen and colleagues outline the epidemiology of renal disease in HIV and how it has changed since the introduction of combined antiretroviral therapy. They discuss the clinical manifestations and mechanisms underlying renal disease development in patients with HIV, and the issues pertaining to diagnosis and therapeutics.

    • Ehsan Nobakht
    • Scott D. Cohen
    • Paul L. Kimmel
    Review Article
  • Genetic studies over the past few years have led to the discovery that a monogenic cause of disease can be detected in ∼20% of individuals with early-onset chronic kidney disease (CKD). In this Review, Vivante and Hildebrandt discuss some of the known single-gene causes of early-onset CKD and the implication of next-generation sequencing for genetic diagnosis. They describe how the discovery of novel causative genes has led to opportunities for delineating the pathomechanisms of disease and potential treatment approaches.

    • Asaf Vivante
    • Friedhelm Hildebrandt
    Review Article

Search

Quick links