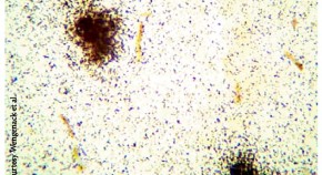
Mutations in the presenilin-1 gene (PS1) cause an aggressive form of familial Alzheimer's disease, and a new study goes some way to showing how. The authors created PS1 knockout mice, and found that they produced 80 per cent less amyloid-beta peptide (the protein that accumulates to form senile plaques) than normal mice. They propose that presenilin-1 normally stimulates production of amyloid-beta peptide by activating alpha-secretase-mediated cleavage of the amyloid precursor protein.
- Christian Haass
- Dennis J. Selkoe