Abstract
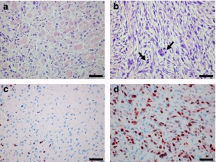
Rhabdomyosarcoma (RMS) is a highly malignant tumor that is histologically related to skeletal muscle, yet genetic and molecular lesions underlying its genesis and progression remain largely unknown. In this study we have compared the molecular profiles of two different mouse models of RMS, each associated with a defined primary genetic defect known to play a role in rhabdomyosarcomagenesis in man. We report that RMS of heterozygous Patched1 (Ptch1) mice show less aggressive growth and a greater degree of differentiation than RMS of heterozygous p53 mice. By means of cDNA microarray analysis we demonstrate that RMS in Ptch1 mutants predominantly express a number of myogenic markers, including myogenic differentiation 1, myosin heavy chain, actin, troponin and tropomyosin, as well as genes associated with Hedgehog/Patched signaling like insulin-like growth factor 2, forkhead box gene Foxf1 and the growth arrest and DNA-damage-inducible gene Gadd45a. In sharp contrast, RMS in p53 mutants display higher expression levels of cell cycle-associated genes like cyclin B1, cyclin-dependent kinase 4 and the proliferation marker Ki-67. These results demonstrate that different causative mutations lead to distinct gene expression profiles in RMS, which appear to reflect their different biological characteristics. Our results provide a first step towards a molecular classification of different forms of RMS. If the described differences can be confirmed in human RMS our results will contribute to a new molecular taxonomy of this cancer, which will be critical for gene mutation- and expression-specific therapy.
This is a preview of subscription content, access via your institution
Access options
Subscribe to this journal
Receive 50 print issues and online access
$259.00 per year
only $5.18 per issue
Buy this article
- Purchase on SpringerLink
- Instant access to the full article PDF.
USD 39.95
Prices may be subject to local taxes which are calculated during checkout







Similar content being viewed by others
References
Amthor H, Christ B, Rashid-Doubell F, Kemp CF, Lang E and Patel K . (2002). Dev. Biol., 243, 115–127.
Armand AS, Della Gaspera B, Launay T, Charbonnier F, Gallien CL and Chanoine C . (2003). Dev. Dyn., 227, 256–265.
Astolfi A, De Giovanni C, Landuzzi L, Nicoletti G, Ricci C, Croci S, Scopece L, Nanni P and Lollini PL . (2001). Gene, 274, 139–149.
Boman F, Brel D, Antunes L, Alhamany Z, Floquet J and Boccon-Gibod L . (1997). Pediatr. Pathol. Lab. Med., 17, 233–247.
Calzada-Wack J, Kappler R, Schnitzbauer U, Richter T, Nathrath M, Rosemann M, Wagner SN, Hein R and Hahn H . (2002). Carcinogenesis, 23, 727–733.
Chalaux E, Lopez-Rovira T, Rosa JL, Bartrons R and Ventura F . (1998). J. Biol. Chem., 273, 537–543.
Chen X, Raab G, Deutsch U, Zhang J, Ezzell RM and Klagsbrun M . (1995). J. Biol. Chem., 270, 18285–18294.
Coindre JM . (2003). Histopathology, 43, 1–16.
Couet J, Belanger MM, Roussel E and Drolet MC . (2001). Adv. Drug. Deliv. Rev., 49, 223–235.
Dagher R and Helman L . (1999). Oncologist, 4, 34–44.
Davis RJ, D’Cruz CM, Lovell MA, Biegel JA and Barr FG . (1994). Cancer Res., 54, 2869–2872.
Doyle DD, Upshaw-Earley J, Bell E and Palfrey HC . (2003). Biochem. Biophys. Res. Commun., 304, 22–25.
Felix CA, Kappel CC, Mitsudomi T, Nau MM, Tsokos M, Crouch GD, Nisen PD, Winick NJ and Helman LJ . (1992). Cancer Res., 52, 2243–2247.
Fleischmann A, Jochum W, Eferl R, Witowsky J and Wagner EF . (2003). Cancer Cell, 4, 477–482.
Gorlin RJ . (1987). Medicine (Baltimore), 66, 98–113.
Hahn H, Wojnowski L, Specht K, Kappler R, Calzada-Wack J, Potter D, Zimmer A, Muller U, Samson E and Quintanilla-Martinez L . (2000). J. Biol. Chem., 275, 28341–28344.
Hahn H, Wojnowski L, Zimmer AM, Hall J, Miller G and Zimmer A . (1998). Nat. Med., 4, 619–622.
Harvey M, McArthur MJ, Montgomery Jr CA, Butel JS, Bradley A and Donehower LA . (1993). Nat. Genet., 5, 225–229.
Horn RC and Enterline HT . (1958). Cancer, 11, 181–199.
Jacks T, Remington L, Williams BO, Schmitt EM, Halachmi S, Bronson RT and Weinberg RA . (1994). Curr. Biol., 4, 1–7.
Kablar B, Krastel K, Tajbakhsh S and Rudnicki MA . (2003). Dev. Biol., 258, 307–318.
Kappler R, Calzada-Wack J, Schnitzbauer U, Koleva M, Herwig A, Piontek G, Graedler F, Adamski J, Heinzmann U, Schlegel J, Hemmerlein B, Quintanilla-Martinez L and Hahn H . (2003). J. Pathol., 200, 348–356.
Kappler R, Heß I, Schlegel J and Hahn H . (2004). Int. J. Oncol., 25, 113–120.
Karpen HE, Bukowski JT, Hughes T, Gratton JP, Sessa WC and Gailani MR . (2001). J. Biol. Chem., 276, 19503–19511.
Kherif S, Lafuma C, Dehaupas M, Lachkar S, Fournier JG, Verdiere-Sahuque M, Fardeau M and Alameddine HS . (1999). Dev. Biol., 205, 158–170.
Lagutina I, Conway SJ, Sublett J and Grosveld GC . (2002). Mol. Cell. Biol., 22, 7204–7216.
Malkin D, Li FP, Strong LC, Fraumeni Jr JF, Nelson CE, Kim DH, Kassel J, Gryka MA, Bischoff FZ, Tainsky MA and Friend SH . (1990). Science, 250, 1233–1238.
May P and May E . (1999). Oncogene, 18, 7621–7636.
Merlino G and Helman LJ . (1999). Oncogene, 18, 5340–5348.
Moretti A, Borriello A, Monno F, Criscuolo M, Rosolen A, Esposito G, Dello Iacovo R, Della Ragione F and Iolascon A . (2002). Eur. J. Cancer, 38, 2290–2299.
Mulligan LM, Matlashewski GJ, Scrable HJ and Cavenee WK . (1990). Proc. Natl. Acad. Sci. USA, 87, 5863–5867.
Ragazzini P, Gamberi G, Pazzaglia L, Serra M, Magagnoli G, Ponticelli F, Ferrari C, Ghinelli C, Alberghini M, Bertoni F, Picci P and Benassi MS . (2004). Histol. Histopathol., 19, 401–411.
Ruiz i Altaba A, Sanchez P and Dahmane N . (2002). Nat. Rev. Cancer, 2, 361–372.
Scrable HJ, Witte DP, Lampkin BC and Cavenee WK . (1987). Nature, 329, 645–647.
Shapiro DN, Sublett JE, Li B, Downing JR and Naeve CW . (1993). Cancer Res., 53, 5108–5112.
Shen X, Collier JM, Hlaing M, Zhang L, Delshad EH, Bristow J and Bernstein HS . (2003). Dev. Dyn., 226, 128–138.
Stratton MR, Moss S, Warren W, Patterson H, Clark J, Fisher C, Fletcher CD, Ball A, Thomas M, Gusterson BA and Cooper MK . (1990). Oncogene, 5, 1297–1301.
Sun FL, Dean WL, Kelsey G, Allen ND and Reik W . (1997). Nature, 389, 809–815.
Taipale J, Chen JK, Cooper MK, Wang B, Mann RK, Milenkovic L, Scott MP and Beachy PA . (2000). Nature, 406, 1005–1009.
Venkatachalam S, Shi YP, Jones SN, Vogel H, Bradley A, Pinkel D and Donehower LA . (1998). EMBO J., 17, 4657–4667.
Wada MR, Inagawa-Ogashiwa M, Shimizu S, Yasumoto S and Hashimoto N . (2002). Development, 129, 2987–2995.
Wetmore C, Eberhart DE and Curran T . (2001). Cancer Res., 61, 513–516.
Wexler LH and Helman LJ . (1997). Rhabdomyosarcoma and the Undifferentiated Sarcomas, 3rd edn. Raven-Lippincott: Philadelphia.
Williams JA, Guicherit OM, Zaharian BI, Xu Y, Chai L, Wichterle H, Kon C, Gatchalian C, Porter JA, Rubin LL and Wang FY . (2003). Proc. Natl. Acad. Sci. USA, 100, 4616–4621.
Yao X, Hu JF, Daniels M, Shiran H, Zhou X, Yan H, Lu H, Zeng Z, Wang Q, Li T and Hoffman AR . (2003). J. Clin. Invest., 111, 265–273.
Zhan S, Shapiro DN and Helman LJ . (1994). J. Clin. Invest., 94, 445–448.
Acknowledgements
We are grateful to Elenore Samson and Jaqueline Müller for excellent animal care as well as Ina Heß, Astrid Herwig, Milena Koleva and Paul Thelen for technical assistance. We thank Leszek Wojnowski, Jack Favor and Mike Atkinson for helpful comments on the manuscript. This work was supported by a BioFuture-Grant of the German Ministry for Education and Research BMBF (to HH).
Author information
Authors and Affiliations
Corresponding author
Additional information
Supplementary Information accompanies the paper on Oncogene website (http://www.nature.com/onc).
Supplementary information
Rights and permissions
About this article
Cite this article
Kappler, R., Bauer, R., Calzada-Wack, J. et al. Profiling the molecular difference between Patched- and p53-dependent rhabdomyosarcoma. Oncogene 23, 8785–8795 (2004). https://doi.org/10.1038/sj.onc.1208133
Received:
Revised:
Accepted:
Published:
Issue date:
DOI: https://doi.org/10.1038/sj.onc.1208133
Keywords
This article is cited by
-
Comparative Analysis of Mutational Profile of Sonic hedgehog Gene in Gallbladder Cancer
Digestive Diseases and Sciences (2017)
-
Uncommitted precursor cells might contribute to increased incidence of embryonal rhabdomyosarcoma in heterozygous Patched1-mutant mice
Oncogene (2011)
-
Activation of the hedgehog pathway confers a poor prognosis in embryonal and fusion gene-negative alveolar rhabdomyosarcoma
Oncogene (2010)
-
TRAIL and Taurolidine induce apoptosis and decrease proliferation in human fibrosarcoma
Journal of Experimental & Clinical Cancer Research (2008)
-
Heterogeneous in vitro effects of doxorubicin on gene expression in primary human liposarcoma cultures
BMC Cancer (2008)


