Abstract
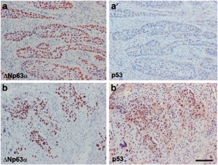
The PI3K/PTEN/Akt signaling pathway has emerged in recent years as a main player in human cancers, increasing proliferation and decreasing apoptosis of transformed cells, and thus becoming a potential target for therapeutic intervention. Our previous data have demonstrated that Akt-mediated signaling is of a key relevance in the mouse skin carcinogenesis system, one of the best-known models of experimental carcinogenesis. Here, we investigated the involvement of several pathways as mediators of Akt-induced increased proliferation and tumorigenesis in keratinocytes. Tumors produced by subcutaneous injection of Akt-transformed keratinocytes showed increased Foxo3a phosphorylation, but no major alterations in p21Cip1/WAF1, p27Kip1 or mdm2 expression and/or localization. In contrast, we found increased expression and nuclear localization of ΔNp63, β-catenin and Lef1. Concomitantly, we also found increased expression of c-myc and CycD1, targets of the β-catenin/Tcf pathway. Such increase is associated with increased phosphorylation and stabilization of c-myc protein as well as increased translation of c-myc and CycD1 due to mTOR activation. Using immunohistochemistry approaches in samples of oral dysplasias and human head and neck squamous cell carcinomas, we confirmed that increased Akt activation significantly correlates with increased ΔNp63 and CycD expression, c-myc phosphorylation and nuclear accumulation of β-catenin. Collectively, these results demonstrate that Akt is able to transform keratinocytes by specific mechanisms involving transcriptional and post-transcriptional processes.
This is a preview of subscription content, access via your institution
Access options
Subscribe to this journal
Receive 50 print issues and online access
$259.00 per year
only $5.18 per issue
Buy this article
- Purchase on SpringerLink
- Instant access to the full article PDF.
USD 39.95
Prices may be subject to local taxes which are calculated during checkout







Similar content being viewed by others
Abbreviations
- SCC:
-
squamous cell carcinoma
- TPA:
-
12-O-tetradecanoyl-phorbol- 13-acetate
- DMBA:
-
7, 12-dimethyl-benz(a)anthracene
References
Ambrosch P, Ruschenburg I . (2000). Anticancer Res 20: 3151–3155.
Amornphimoltham P, Sriuranpong V, Patel V, Benavides F, Conti CJ, Sauk J et al. (2004). Clin Cancer Res 10: 4029–4037.
Aoki M, Blazek E, Vogt PK . (2001). Proc Natl Acad Sci USA 98: 136–141.
Arnold I, Watt FM . (2001). Curr Biol 11: 558–568.
Barbieri CE, Barton CE, Pietenpol JA . (2003). J Biol Chem 278: 51408–51414.
Barker N, Clevers H . (2000). Bioessays 22: 961–965.
Barker N, Huls G, Korinek V, Clevers H . (1999). Am J Pathol 154: 29–35.
Bhatia N, Spiegelman VS . (2005). Mol Carcinogen 42: 213–221.
Bjornsti MA, Houghton PJ . (2004). Nat Rev Cancer 4: 335–348.
Blagosklonny MV . (2002). Cell Cycle 1: 391–393.
Brown J, O'Prey J, Harrison PR . (2003). Carcinogenesis 24: 171–177.
Burgering BM, Kops GJ . (2002). Trends Biochem Sci 27: 352–360.
Casanova ML, Larcher F, Casanova B, Murillas R, Fernandez-Acenero MJ, Villanueva C et al. (2002). Cancer Res 62: 3402–3407.
Cross DA, Alessi DR, Cohen P, Andjelkovich M, Hemmings BA . (1995). Nature 378: 785–789.
D'Amico M, Hulit J, Amanatullah DF, Zafonte BT, Albanese C, Bouzahzah B et al. (2000). J Biol Chem 275: 32649–32657.
De Benedetti A, Harris AL . (1999). Int J Biochem Cell Biol 31: 59–72.
Delcommenne M, Tan C, Gray V, Rue L, Woodgett J, Dedhar S . (1998). Proc Natl Acad Sci USA 95: 11211–11216.
Desbois-Mouthon C, Blivet-Van Eggelpoel MJ, Beurel E, Boissan M, Delelo R, Cadoret A et al. (2002). Hepatology 36: 1528–1536.
Desbois-Mouthon C, Cadoret A, Blivet-Van Eggelpoel MJ, Bertrand F, Cherqui G, Perret C et al. (2001). Oncogene 20: 252–259.
Diehl JA, Cheng M, Roussel MF, Sherr CJ . (1998). Genes Dev 12: 3499–3511.
DiGiovanni J . (1992). Pharmacol Ther 54: 63–128.
Erber R, Klein W, Andl T, Enders C, Born AI, Conradt C et al. (1997). Int J Cancer 74: 383–389.
Filali M, Cheng N, Abbott D, Leontiev V, Engelhardt JF . (2002). J Biol Chem 277: 33398–33410.
Gera JF, Mellinghoff IK, Shi Y, Rettig MB, Tran C, Hsu JH et al. (2004). J Biol Chem 279: 2737–2746.
Giles RH, van Es JH, Clevers H . (2003). Biochim Biophys Acta 1653: 1–24.
Gotoh J, Obata M, Yoshie M, Kasai S, Ogawa K . (2003). Carcinogenesis 24: 435–442.
Gwosdz C, Balz V, Scheckenbach K, Bier H . (2005). Adv Otorhinolaryngol 62: 58–71.
Hanada M, Feng J, Hemmings BA . (2004). Biochim Biophys Acta 1697: 3–16.
Hildesheim J, Belova GI, Tyner SD, Zhou X, Vardanian L, Fornace AJ . (2004). Oncogene 23: 1829–1837.
Koga F, Kawakami S, Kumagai J, Takizawa T, Ando N, Arai G et al. (2003). Br J Cancer 88: 740–747.
Lawlor MA, Alessi DR . (2001). J Cell Sci 114: 2903–2910.
Leethanakul C, Patel V, Gillespie J, Pallente M, Ensley JF, Koontongkaew S et al. (2000). Oncogene 19: 3220–3224.
Leis H, Segrelles C, Ruiz S, Santos M, Paramio JM . (2002). Mol Carcinogen 35: 180–185.
Liang J, Zubovitz J, Petrocelli T, Kotchetkov R, Connor MK, Han K et al. (2002). Nat Med 8: 1153–1160.
Luo J, Manning BD, Cantley LC . (2003). Cancer Cell 4: 257–262.
Mayo LD, Donner DB . (2001). Proc Natl Acad Sci USA 98: 11598–11603.
Mayo LD, Donner DB . (2002). Trends Biochem Sci 27: 462–467.
Nave BT, Ouwens M, Withers DJ, Alessi DR, Shepherd PR . (1999). Biochem J 344 (Part 2): 427–431.
Novak A, Dedhar S . (1999). Cell Mol Life Sci 56: 523–537.
Ogawara Y, Kishishita S, Obata T, Isazawa Y, Suzuki T, Tanaka K et al. (2002). J Biol Chem 277: 21843–21850.
Paramio JM, Navarro M, Segrelles C, Gomez-Casero E, Jorcano JL . (1999). Oncogene 18: 7462–7468.
Paramio JM, Segrelles C, Ruiz S, Jorcano JL . (2001). Mol Cell Biol 21: 7449–7459.
Patturajan M, Nomoto S, Sommer M, Fomenkov A, Hibi K, Zangen R et al. (2002). Cancer Cell 1: 369–379.
Pedrero JM, Carracedo DG, Pinto CM, Zapatero AH, Rodrigo JP, Nieto CS et al. (2005). Int J Cancer 114: 242–248.
Pelengaris S, Littlewood T, Khan M, Elia G, Evan G . (1999). Mol Cell 3: 565–577.
Prats AC, Prats H . (2002). Prog Nucleic Acid Res Mol Biol 72: 367–413.
Ratovitski EA, Patturajan M, Hibi K, Trink B, Yamaguchi K, Sidransky D . (2001). Proc Natl Acad Sci USA 98: 1817–1822.
Rhee CS, Sen M, Lu D, Wu C, Leoni L, Rubin J et al. (2002). Oncogene 21: 6598–6605.
Robles AI, Conti CJ . (1995). Carcinogenesis 16: 781–786.
Rodriguez-Puebla ML, LaCava M, Gimenez-Conti IB, Johnson DG, Conti CJ . (1998). Oncogene 17: 2251–2258.
Rodriguez-Puebla ML, Robles AI, Conti CJ . (1999). Mol Carcinogen 24: 1–6.
Roose J, Clevers H . (1999). Biochim Biophys Acta 1424: M23–37.
Rosenwald IB, Kaspar R, Rousseau D, Gehrke L, Leboulch P, Chen JJ et al. (1995). J Biol Chem 270: 21176–21180.
Ruiz S, Segrelles C, Santos M, Lara MF, Paramio JM . (2004). Dev Dyn 230: 410–418.
Santos M, Paramio JM, Bravo A, Ramirez A, Jorcano JL . (2002). J Biol Chem 277: 19122–19130.
Scheid MP, Woodgett JR . (2003). FEBS Lett 546: 108–112.
Sears R, Nuckolls F, Haura E, Taya Y, Tamai K, Nevins JR . (2000). Genes Dev 14: 2501–2514.
Segrelles C, Ruiz S, Perez P, Murga C, Santos M, Budunova IV et al. (2002). Oncogene 21: 53–64.
Segrelles C, Ruiz S, Santos M, Martinez-Palacio J, Lara MF, Paramio JM . (2004). Carcinogenesis 25: 1137–1147.
Shin I, Yakes FM, Rojo F, Shin NY, Bakin AV, Baselga J et al. (2002). Nat Med 8: 1145–1152.
Slaga TJ, Budunova IV, Gimenez-Conti IB, Aldaz CM . (1996). J Invest Dermatol Symp Proc 1: 151–156.
Sniezek JC, Matheny KE, Westfall MD, Pietenpol JA . (2004). Laryngoscope 114: 2063–2072.
Suzuki A, Itami S, Ohishi M, Hamada K, Inoue T, Komazawa N et al. (2003). Cancer Res 63: 674–681.
Thurfjell N, Coates PJ, Boldrup L, Lindgren B, Backlund B, Uusitalo T et al. (2005). Adv Otorhinolaryngol 62: 49–57.
Viglietto G, Motti ML, Bruni P, Melillo RM, D'Alessio A, Califano D et al. (2002). Nat Med 8: 1136–1144.
Vivanco I, Sawyers CL . (2002). Nat Rev Cancer 2: 489–501.
Waikel RL, Kawachi Y, Waikel PA, Wang XJ, Roop DR . (2001). Nat Genet 28: 165–168.
Wang XQ, Sun P, Paller AS . (2001). J Biol Chem 276: 44504–44511.
Warnakulasuriya KA, Tavassoli M, Johnson NW . (1998). J Oral Pathol Med 27: 376–381.
Yuspa SH, Dlugosz AA, Denning MF, Glick AB . (1996). J Invest Dermatol Symp Proc 1: 147–150.
Yuspa SH, Morgan D, Lichti U, Spangler EF, Michael D, Kilkenny A et al. (1986). Carcinogenesis 7: 949–958.
Zhang SY, Liu SC, Goodrow T, Morris R, Klein-Szanto AJ . (1997). Mol Carcinogen 18: 142–152.
Zhou BP, Hung MC . (2002). Semin Oncol 29: 62–70.
Zhou BP, Liao Y, Xia W, Spohn B, Lee MH, Hung MC . (2001a). Nat Cell Biol 3: 245–252.
Zhou BP, Liao Y, Xia W, Zou Y, Spohn B, Hung MC . (2001b). Nat Cell Biol 3: 973–982.
Acknowledgements
We thank S Gutkind for providing materials, the animal facility personnel of the CIEMAT for the excellent care of the animals and the Histology facility for their work involving the histological preparations. This work was partially supported by Grant SAF2002-01037 from the CICYT, La Caixa Foundation and GR/SAL/0103/2004 from CAM.
Author information
Authors and Affiliations
Corresponding author
Additional information
Supplementary Information accompanies the paper on the Oncogene website (http://www.nature.com/onc).
Supplementary information
Rights and permissions
About this article
Cite this article
Segrelles, C., Moral, M., Lara, M. et al. Molecular determinants of Akt-induced keratinocyte transformation. Oncogene 25, 1174–1185 (2006). https://doi.org/10.1038/sj.onc.1209155
Received:
Revised:
Accepted:
Published:
Issue date:
DOI: https://doi.org/10.1038/sj.onc.1209155
Keywords
This article is cited by
-
DNA damage signalling histone H2AX is required for tumour growth
Cell Death Discovery (2024)
-
CD147 mediates epidermal malignant transformation through the RSK2/AP-1 pathway
Journal of Experimental & Clinical Cancer Research (2022)
-
KRAS drives immune evasion in a genetic model of pancreatic cancer
Nature Communications (2021)
-
Squamous differentiation requires G2/mitosis slippage to avoid apoptosis
Cell Death & Differentiation (2020)
-
Carboxyl-Terminal Modulator Protein Positively Acts as an Oncogenic Driver in Head and Neck Squamous Cell Carcinoma via Regulating Akt phosphorylation
Scientific Reports (2016)


