Abstract
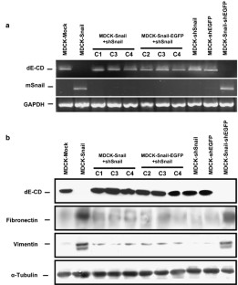
The transcription factor Snail has been recently proposed as an important mediator of tumour invasion because of its role in downregulation of E-cadherin and induction of epithelial–mesenchymal transitions (EMT). This behaviour has led to the consideration of Snail as a potential therapeutic target to block tumour progression. In this report, we provide evidence for this hypothesis. We show that silencing of Snail by stable RNA interference in MDCK-Snail cells induces a complete mesenchymal to epithelial transition (MET), associated to the upregulation of E-cadherin, downregulation of mesenchymal markers and inhibition of invasion. More importantly, stable interference of endogenous Snail in two independent carcinoma cell lines leads to a dramatic reduction of in vivo tumour growth, accompanied by increased tumour differentiation and a significant decrease in the expression of MMP-9 and angiogenic markers and invasiveness. These results indicate that use of RNA interference can be an effective tool for blocking Snail function, opening the way for its application in new antiinvasive therapies.
This is a preview of subscription content, access via your institution
Access options
Subscribe to this journal
Receive 50 print issues and online access
$259.00 per year
only $5.18 per issue
Buy this article
- Purchase on SpringerLink
- Instant access to the full article PDF.
USD 39.95
Prices may be subject to local taxes which are calculated during checkout








Similar content being viewed by others
Accession codes
Abbreviations
- EMT:
-
epithelial–mesenchymal transition
- LOXL2:
-
lysyl oxidase like-2
- MET:
-
mesenchymal–epithelial transition
- MDCK:
-
Madin Darby canine kidney
- shRNA:
-
small hairpin interfering RNA
- MMP:
-
metalloproteinase
- RT–PCR:
-
reverse transcription-polymerase chain reaction
- qRT–PCR:
-
quantitative real-time PCR
References
Batlle E, Sancho E, Franci C, Dominguez D, Monfar M, Baulida J et al. (2000). The transcription factor snail is a repressor of E-cadherin gene expression in epithelial tumour cells. Nat Cell Biol 2: 84–89.
Behrens J, Frixen U, Schipper J, Weidner M, Birchmeier W . (1992). Cell adhesion in invasion and metastasis. Semin Cell Biol 3: 169–178.
Birchmeier W, Behrens J . (1994). Cadherin expression in carcinomas: role in the formation of cell junctions and the prevention of invasiveness. Biochim Biophys Acta 1198: 11–26.
Blanco MJ, Moreno-Bueno G, Sarrio D, Locascio A, Cano A, Palacios J et al. (2002). Correlation of Snail expression with histological grade and lymph node status in breast carcinomas. Oncogene 21: 3241–3246.
Bolos V, Peinado H, Perez-Moreno MA, Fraga MF, Esteller M, Cano A . (2003). The transcription factor Slug represses E-cadherin expression and induces epithelial to mesenchymal transitions: a comparison with Snail and E47 repressors. J Cell Sci 116: 499–511.
Cano A, Perez-Moreno MA, Rodrigo I, Locascio A, Blanco MJ, del Barrio MG et al. (2000). The transcription factor snail controls epithelial–mesenchymal transitions by repressing E-cadherin expression. Nat Cell Biol 2: 76–83.
Caplen NJ, Parrish S, Imani F, Fire A, Morgan RA . (2001). Specific inhibition of gene expression by small double-stranded RNAs in invertebrate and vertebrate systems. Proc Natl Acad Sci USA 98: 9742–9747.
Comijn J, Berx G, Vermassen P, Verschueren K, van Grunsven L, Bruyneel E et al. (2001). The two-handed E box binding zinc finger protein SIP1 downregulates E-cadherin and induces invasion. Mol Cell 7: 1267–1278.
Christofori G, Semb H. . (1999). The role of the cell-adhesion molecule E-cadherin as a tumour-suppressor gene. Trends Biochem Sci 24: 73–76.
Espineda CE, Chang JH, Twiss J, Rajasekaran SA, Rajasekaran AK . (2004). Repression of Na,K-ATPase beta1-subunit by the transcription factor snail in carcinoma. Mol Biol Cell 15: 1364–1373.
Grooteclaes ML, Frisch SM. . (2000). Evidence for a function of CtBP in epithelial gene regulation and anoikis. Oncogene 19: 3823–3828.
Guaita S, Puig I, Franci C, Garrido M, Dominguez D, Batlle E et al. (2002). Snail induction of epithelial to mesenchymal transition in tumour cells is accompanied by MUC1 repression and ZEB1 expression. J Biol Chem 277: 39209–39216.
Hajra KM, Fearon ER . (2002). Cadherin and catenin alterations in human cancer. Genes Chromosomes Cancer 34: 255–268.
Huber O, Bierkamp C, Kemler R . (1996). Cadherins and catenins in development. Curr Opin Cell Biol 8: 685–691.
Ikenouchi J, Matsuda M, Furuse M, Tsukita S . (2003). Regulation of tight junctions during the epithelium-mesenchyme transition: direct repression of the gene expression of claudins/occludin by Snail. J Cell Sci 116: 1959–1967.
Jorda M, Olmeda D, Vinyals A, Valero E, Cubillo E, Llorens A et al. (2005). Upregulation of MMP-9 in MDCK epithelial cell line in response to expression of the Snail transcription factor. J Cell Sci 118: 3371–3385.
Kajita M, McClinic KN, Wade PA. . (2004). Aberrant expression of the transcription factors snail and slug alters the response to genotoxic stress. Mol Cell Biol 24: 7559–7566.
Llorens A, Rodrigo I, Lopez-Barcons L, Gonzalez-Garrigues M, Lozano E, Vinyals A et al. (1998). Down-regulation of E-cadherin in mouse skin carcinoma cells enhances a migratory and invasive phenotype linked to matrix metalloproteinase-9 gelatinase expression. Lab Invest 78: 1131–1142.
Manzanares M, Locascio A, Nieto MA . (2001). The increasing complexity of the Snail gene superfamily in metazoan evolution. Trends Genet 17: 178–181.
Martinez-Estrada OM, Culleres A, Soriano FX, Peinado H, Bolos V, Martinez FO et al. (2005). The transcription factors Slug and Snail act as repressors of Claudin-1 expression in epithelial cells. Biochem J 394: 449–457.
Moody SE, Perez D, Pan TC, Sarkisian CJ, Portocarrero CP, Sterner CJ et al. (2005). The transcriptional repressor Snail promotes mammary tumour recurrence. Cancer Cell 8: 197–209.
Navarro P, Gomez M, Pizarro A, Gamallo C, Quintanilla M, Cano A . (1991). A role for the E-cadherin cell–cell adhesion molecule during tumour progression of mouse epidermal carcinogenesis. J Cell Biol 115: 517–533.
Nieto MA . (2002). The snail superfamily of zinc-finger transcription factors. Nat Rev Mol Cell Biol 3: 155–166.
Ohkubo T, Ozawa M . (2004). The transcription factor Snail downregulates the tight junction components independently of E-cadherin downregulation. J Cell Sci 117: 1675–1685.
Peinado H, Iglesias-de la Cruz MC, Olmeda D, Csiszar K, Fong KS, Vega S et al. (2005). A molecular role for lysyl oxidase-like 2 enzyme in snail regulation and tumour progression. EMBO J 24: 3446–3458.
Peinado H, Marin F, Cubillo E, Stark HJ, Fusenig N, Nieto MA et al. (2004b). Snail and E47 repressors of E-cadherin induce distinct invasive and angiogenic properties in vivo. J Cell Sci 117: 2827–2839.
Peinado H, Portillo F, Cano A . (2004a). Transcriptional regulation of cadherins during development and carcinogenesis. Int J Dev Biol 48: 365–375.
Perez-Moreno MA, Locascio A, Rodrigo I, Dhondt G, Portillo F, Nieto MA et al. (2001). A new role for E12/E47 in the repression of E-cadherin expression and epithelial–mesenchymal transitions. J Biol Chem 276: 27424–27431.
Perl AK, Wilgenbus P, Dahl U, Semb H, Christofori G . (1998). A causal role for E-cadherin in the transition from adenoma to carcinoma. Nature 392: 190–193.
Sefton M, Sanchez S, Nieto MA . (1998). Conserved and divergent roles for members of the Snail family of transcription factors in the chick and mouse embryo. Development 125: 3111–3121.
Stetler-Stevenson WG, Aznavoorian S, Liotta LA . (1993). Tumour cell interactions with the extracellular matrix during invasion and metastasis. Annu Rev Cell Biol 9: 541–573.
Sugimachi K, Tanaka S, Kameyama T, Taguchi K, Aishima S, Shimada M et al. (2003). Transcriptional repressor snail and progression of human hepatocellular carcinoma. Clin Cancer Res 9: 2657–2664.
Takeichi M . (1993). Cadherins in cancer: implications for invasion and metastasis. Curr Opin Cell Biol 5: 806–811.
Takeichi M . (1995). Morphogenetic roles of classic cadherins. Curr Opin Cell Biol 7: 619–627.
Thiery JP . (2002). Epithelial–mesenchymal transitions in tumour progression. Nat Rev Cancer 2: 442–454.
Vega S, Morales AV, Ocana OH, Valdes F, Fabregat I, Nieto MA . (2004). Snail blocks the cell cycle and confers resistance to cell death. Genes Dev 18: 1131–1143.
Yang J, Mani SA, Donaher JL, Ramaswamy S, Itzykson RA, Come C et al. (2004). Twist, a master regulator of morphogenesis, plays an essential role in tumour metastasis. Cell 117: 927–939.
Acknowledgements
We thank Amalia Montes and Vanesa Santos for excellent technical assistance. This work was supported by grants from the biotech company Advanced in vitro Cell Technologies SL (Advancell) and from the Spanish Ministry of Science and Technology (SAF2004-00361; SAF2005-03259; NAN2004-09230-C04-02) and Instituto de Salud Carlos III (RTICCC, FIS03/C03/10; PI050656).
Author information
Authors and Affiliations
Corresponding author
Additional information
Supplementary Information accompanies the paper on the Oncogene website (http://www.nature.com/onc).
Rights and permissions
About this article
Cite this article
Olmeda, D., Jordá, M., Peinado, H. et al. Snail silencing effectively suppresses tumour growth and invasiveness. Oncogene 26, 1862–1874 (2007). https://doi.org/10.1038/sj.onc.1209997
Received:
Revised:
Accepted:
Published:
Issue date:
DOI: https://doi.org/10.1038/sj.onc.1209997
Keywords
This article is cited by
-
FUT6 inhibits the proliferation, migration, invasion, and EGF-induced EMT of head and neck squamous cell carcinoma (HNSCC) by regulating EGFR/ERK/STAT signaling pathway
Cancer Gene Therapy (2023)
-
Non-canonical functions of SNAIL drive context-specific cancer progression
Nature Communications (2023)
-
Loss of SNAI1 induces cellular plasticity in invasive triple-negative breast cancer cells
Cell Death & Disease (2022)
-
PB01 suppresses radio-resistance by regulating ATR signaling in human non-small-cell lung cancer cells
Scientific Reports (2021)
-
Metformin-repressed miR-381-YAP-snail axis activity disrupts NSCLC growth and metastasis
Journal of Experimental & Clinical Cancer Research (2020)


