Abstract
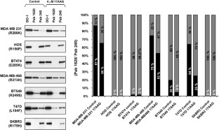
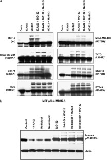
p53 missense mutant proteins commonly show increased stability compared to wild-type p53, which is thought to depend largely on the inability of mutant p53 to induce the ubiquitin ligase MDM2. However, recent work using mouse models has shown that the accumulation of mutant p53 occurs only in tumour cells, indicating that stabilization requires additional factors. To clarify the stabilization of p53 mutants in tumours, we analysed factors that affect their folding and degradation. Although all missense mutants that we studied are more stable than wild-type p53, the levels correlate with individual structural characteristics, which may be reflected in different gain-of-function properties. In the absence of Hsp90 activity, the less stable unfolded p53 mutants preferentially associate in a complex with Hsp70 and CHIP (carboxy terminus of Hsp70-interacting protein), and we show that CHIP is responsible for ubiquitination and degradation of these mutants. The demonstration of a complex interplay between Hsp90, Hsp70 and CHIP that regulate the stability of different p53 mutant proteins improves our understanding of the pro-tumorigenic effects of increased Hsp90 activity during multi-stage carcinogenesis. Understanding the roles of Hsp90, Hsp70 and CHIP in cancers may also provide an important avenue through which to target p53 to enhance treatment of human cancers.
This is a preview of subscription content, access via your institution
Access options
Subscribe to this journal
Receive 50 print issues and online access
$259.00 per year
only $5.18 per issue
Buy this article
- Purchase on SpringerLink
- Instant access to the full article PDF.
USD 39.95
Prices may be subject to local taxes which are calculated during checkout










Similar content being viewed by others
References
Bali P, Pranpat M, Bradner J, Balasis M, Fiskus W, Guo F et al. (2005). Inhibition of histone deacetylase 6 acetylates and disrupts the chaperone function of heat shock protein 90: a novel basis for antileukemia activity of histone deacetylase inhibitors. J Biol Chem 280: 26729–26734.
Ballinger CA, Connell P, Wu Y, Hu Z, Thompson LJ, Yin LY et al. (1999). Identification of CHIP, a novel tetratricopeptide repeat-containing protein that interacts with heat shock proteins and negatively regulates chaperone functions. Mol Cell Biol 19: 4535–4545.
Barak Y, Juven T, Haffner R, Oren M . (1993). mdm2 expression is induced by wild type p53 activity. EMBO J 12: 461–468.
Barrette RW, Urbonas J, Silbart LK . (2006). Quantifying specific antibody concentrations by enzyme-linked immunosorbent assay using slope correction. Clin Vaccine Immunol 13: 802–805.
Bartek J, Bartkova J, Lukas J, Staskova Z, Vojtesek B, Lane DP . (1993). Immunohistochemical analysis of the p53 oncoprotein on paraffin sections using a series of novel monoclonal antibodies. J Pathol 169: 27–34.
Blagosklonny MV . (1997). Loss of function and p53 protein stabilization. Oncogene 15: 1889–1893.
Blagosklonny MV . (2004). Flavopiridol, an inhibitor of transcription: implications, problems and solutions. Cell Cycle 3: 1537–1542.
Blagosklonny MV, Toretsky J, Neckers L . (1995). Geldanamycin selectively destabilizes and conformationally alters mutated p53. Oncogene 11: 933–939.
Blagosklonny MV, Trostel S, Kayastha G, Demidenko ZN, Vassilev LT, Romanova LY et al. (2005). Depletion of mutant p53 and cytotoxicity of histone deacetylase inhibitors. Cancer Res 65: 7386–7392.
Bullock AN, Fersht AR . (2001). Rescuing the function of mutant p53. Nat Rev Cancer 1: 68–76.
Chen J, Marechal V, Levine AJ . (1993). Mapping of the p53 and mdm-2 interaction domains. Mol Cell Biol 13: 4107–4114.
Dornan D, Wertz I, Shimizu H, Arnott D, Frantz GD, Dowd P et al. (2004). The ubiquitin ligase COP1 is a critical negative regulator of p53. Nature 429: 86–92.
Esser C, Alberti S, Hohfeld J . (2004). Cooperation of molecular chaperones with the ubiquitin/proteasome system. Biochim Biophys Acta 1695: 171–188.
Esser C, Scheffner M, Hohfeld J . (2005). The chaperone-associated ubiquitin ligase CHIP is able to target p53 for proteasomal degradation. J Biol Chem 280: 27443–27448.
Gannon JV, Greaves R, Iggo R, Lane DP . (1990). Activating mutations in p53 produce a common conformational effect. A monoclonal antibody specific for the mutant form. EMBO J 9: 1595–1602.
George P, Bali P, Annavarapu S, Scuto A, Fiskus W, Guo F et al. (2005). Combination of the histone deacetylase inhibitor LBH589 and the hsp90 inhibitor 17AAG is highly active against human CML-BC cells and AML cells with activating mutation of FLT-3. Blood 105: 1768–1776.
Grossman SR, Deato ME, Brignone C, Chan HM, Kung AL, Tagami H et al. (2003). Polyubiquitination of p53 by a ubiquitin ligase activity of p300. Science 300: 342–344.
Hinds PW, Finlay CA, Frey AB, Levine AJ . (1987). Immunological evidence for the association of p53 with a heat shock protein, hsc70, in p53-plus-ras-transformed cell lines. Mol Cell Biol 7: 2863–2869.
Jackson EL, Olive KP, Tuveson DA, Bronson R, Crowley D, Brown M et al. (2005). The differential effects of mutant p53 alleles on advanced murine lung cancer. Cancer Res 65: 10280–10288.
Kamal A, Thao L, Sensintaffar J, Zhang L, Boehm MF, Fritz LC et al. (2003). A high-affinity conformation of Hsp90 confers tumour selectivity on Hsp90 inhibitors. Nature 425: 407–410.
King FW, Wawrzynow A, Hohfeld J, Zylicz M . (2001). Co-chaperones Bag-1, Hop and Hsp40 regulate Hsc70 and Hsp90 interactions with wild-type or mutant p53. EMBO J 20: 6297–6305.
Lang GA, Iwakuma T, Suh YA, Liu G, Rao VA, Parant JM et al. (2004). Gain of function of a p53 hot spot mutation in a mouse model of Li-Fraumeni syndrome. Cell 119: 861–872.
Leng RP, Lin Y, Ma W, Wu H, Lemmers B, Chung S et al. (2003). Pirh2, a p53-induced ubiquitin-protein ligase, promotes p53 degradation. Cell 112: 779–791.
Milner J . (1997). Structures and functions of the tumor suppressor p53. Pathol Biol (Paris) 45: 797–803.
Nagata Y, Anan T, Yoshida T, Mizukami T, Taya Y, Fujiwara T et al. (1999). The stabilization mechanism of mutant-type p53 by impaired ubiquitination: the loss of wild-type p53 function and the hsp90 association. Oncogene 18: 6037–6049.
Nenutil R, Smardova J, Pavlova S, Hanzelkova Z, Muller P, Fabian P et al. (2005). Discriminating functional and non-functional p53 in human tumours by p53 and MDM2 immunohistochemistry. J Pathol 207: 251–259.
Nimmanapalli R, Fuino L, Bali P, Gasparetto M, Glozak M, Tao J et al. (2003). Histone deacetylase inhibitor LAQ824 both lowers expression and promotes proteasomal degradation of Bcr-Abl and induces apoptosis of imatinib mesylate-sensitive or -refractory chronic myelogenous leukemia-blast crisis cells. Cancer Res 63: 5126–5135.
Olive KP, Tuveson DA, Ruhe ZC, Yin B, Willis NA, Bronson RT et al. (2004). Mutant p53 gain of function in two mouse models of Li–Fraumeni syndrome. Cell 119: 847–860.
O’Shea CC, Soria C, Bagus B, McCormick F . (2005). Heat shock phenocopies E1B-55K late functions and selectively sensitizes refractory tumor cells to ONYX-015 oncolytic viral therapy. Cancer Cell 8: 61–74.
Peng Y, Chen L, Li C, Lu W, Agrawal S, Chen J . (2001a). Stabilization of the MDM2 oncoprotein by mutant p53. J Biol Chem 276: 6874–6878.
Peng Y, Chen L, Li C, Lu W, Chen J . (2001b). Inhibition of MDM2 by hsp90 contributes to mutant p53 stabilization. J Biol Chem 276: 40583–40590.
Selkirk JK, Merrick BA, Stackhouse BL, He C . (1994). Multiple p53 protein isoforms and formation of oligomeric complexes with heat shock proteins Hsp70 and Hsp90 in the human mammary tumor, T47D, cell line. Appl Theor Electrophor 4: 11–18.
Soussi T, Lozano G . (2005). p53 mutation heterogeneity in cancer. Biochem Biophys Res Commun 331: 834–842.
Wang PL, Sait F, Winter G . (2001). The ‘wildtype’ conformation of p53: epitope mapping using hybrid proteins. Oncogene 20: 2318–2324.
Wang Y, Wang SY, Zhang XH, Zhao M, Hou CM, Xu YJ et al. (2007). FK228 inhibits Hsp90 chaperone function in K562 cells via hyperacetylation of Hsp70. Biochem Biophys Res Commun 356: 998–1003.
Vojtesek B, Bartek J, Midgley CA, Lane DP . (1992). An immunochemical analysis of the human nuclear phosphoprotein p53. New monoclonal antibodies and epitope mapping using recombinant p53. J Immunol Methods 151: 237–244.
Vojtesek B, Fisher CJ, Barnes DM, Lane DP . (1993). Comparison between p53 staining in tissue sections and p53 proteins levels measured by an ELISA technique. Br J Cancer 67: 1254–1258.
Workman P . (2004). Altered states: selectively drugging the Hsp90 cancer chaperone. Trends Mol Med 10: 47–51.
Wu X, Bayle JH, Olson D, Levine AJ . (1993). The p53–mdm-2 autoregulatory feedback loop. Genes Dev 7: 1126–1132.
Zhang Y, Wang JS, Chen LL, Cheng XK, Heng FY, Wu NH et al. (2004). Repression of hsp90beta gene by p53 in UV irradiation-induced apoptosis of Jurkat cells. J Biol Chem 279: 42545–42551.
Zylicz M, King FW, Wawrzynow A . (2001). Hsp70 interactions with the p53 tumour suppressor protein. EMBO J 20: 4634–4638.
Acknowledgements
We are thankful to Dr G Lozano for generous gift of MEFs and Dr PJ Coates and E Michalova for critical reading of the manuscript. DC, DPL and PM were supported by IMCB Singapore. This work was supported by a grant from IGA MZ CR (NR8338-3/2005, GA CR (301/05/0416) and Grant MSMT LC06035.
Author information
Authors and Affiliations
Corresponding author
Additional information
Supplementary Information accompanies the paper on the Oncogene website (http://www.nature.com/onc).
Supplementary information
Rights and permissions
About this article
Cite this article
Muller, P., Hrstka, R., Coomber, D. et al. Chaperone-dependent stabilization and degradation of p53 mutants. Oncogene 27, 3371–3383 (2008). https://doi.org/10.1038/sj.onc.1211010
Received:
Revised:
Accepted:
Published:
Issue date:
DOI: https://doi.org/10.1038/sj.onc.1211010
Keywords
This article is cited by
-
Enhancing therapeutic efficacy in breast cancer: a study on the combined cytotoxic effects of doxorubicin and MPC-3100
Naunyn-Schmiedeberg's Archives of Pharmacology (2024)
-
Synergistic induction of apoptosis in liver cancer cells: exploring the combined potential of doxorubicin and XL-888
Medical Oncology (2023)
-
DNA damage response revisited: the p53 family and its regulators provide endless cancer therapy opportunities
Experimental & Molecular Medicine (2022)
-
Suppression of HSF1 activity by wildtype p53 creates a driving force for p53 loss-of-heterozygosity
Nature Communications (2021)
-
Loss of peptidase D binding restores the tumor suppressor functions of oncogenic p53 mutants
Communications Biology (2021)


