Abstract
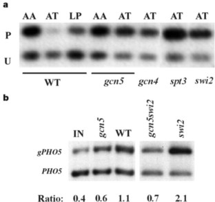
The access of transcription factors to eukaryotic promoters often requires modification of their chromatin structure, which is accomplished by the action of two general classes of multiprotein complexes1. One class contains histone acetyltransferases (HATs), such as Gcn5 in the SAGA complex2, which acetylate nucleosomal histones. The second class contains ATPases, such as Swi2 in the Swi/Snf complex3, which provide the energy for nucleosome remodelling. In several promoters these two complexes cooperate but their functional linkage is unknown4,5,6,7,8. A protein module that is present in all nuclear HATs, the bromodomain, could provide such a link9. The recently reported in vitro binding of a HAT bromodomain with acetylated lysines within H3 and H4 amino-terminal peptides10 indicates that this interaction may constitute a targeting step for events that follow histone acetylation. Here we use a suitable promoter to show that bromodomain residues essential for acetyl-lysine binding are not required in vivo for Gcn5-mediated histone acetylation but are fundamental for the subsequent Swi2-dependent nucleosome remodelling and consequent transcriptional activation. We show that the Gcn5 bromodomain stabilizes the Swi/Snf complex on this promoter.
This is a preview of subscription content, access via your institution
Access options
Subscribe to this journal
Receive 51 print issues and online access
$199.00 per year
only $3.90 per issue
Buy this article
- Purchase on SpringerLink
- Instant access to the full article PDF.
USD 39.95
Prices may be subject to local taxes which are calculated during checkout




Similar content being viewed by others
References
Kingston, R. E. & Narlikar, G. J. ATP-dependent remodeling and acetylation as regulators of chromatin fluidity. Genes Dev. 13, 2339–2352 (1999).
Grant, P. A. et al. Yeast Gcn5 functions in two multisubunit complexes to acetylate nucleosomal histones: characterization of an Ada complex and the SAGA (Spt/Ada) complex. Genes Dev. 11, 1640–1650 (1997).
Peterson, C. L. & Tamkun, J. W. The SWI-SNF complex: a chromatin remodeling machine? Trends Biochem. Sci. 20, 143–146 (1995).
Roberts, S. M. & Winston, F. Essential functional interactions of SAGA, a Saccharomyces cerevisiae complex of Spt, Ada, and Gcn5 proteins, with the Snf/Swi and Srb/mediator complexes. Genetics 147, 451–465 (1997).
Pollard, K. J. & Peterson, C. L. Role for ADA/GCN5 products in antagonizing chromatin-mediated transcriptional repression. Mol. Cell. Biol. 17, 6212–6222 (1997).
Biggar, S. R. & Crabtree, G. R. Continuous and widespread roles for the Swi-Snf complex in transcription. EMBO J. 18, 2254–2264 (1999).
Sudarsanam, P., Cao, Y., Wu, L., Laurent, B. & Winston, F. The nucleosome remodeling complex, Snf/Swi, is required for the maintenance of transcription in vivo and is partially redundant with the histone acetyltransferase, Gcn5. EMBO J. 18, 3101–3106 (1999).
Gregory, P. D. et al. Chromatin remodelling at the PHO8 promoter requires SWI-SNF and SAGA at a step subsequent to activator binding. EMBO J. 18, 6407–6414 (1999).
Winston, F. & Allis, C. D. The bromodomain: a chromatin-targeting module? Nature Struct. Biol. 6, 601–604 (1999).
Dhalluin, C. et al. Structure and ligand of a histone acetyltransferase bromodomain. Nature 399, 491–496 (1999).
Utley, R. T. et al. Transcriptional activators direct histone acetyltransferase complexes to nucleosomes. Nature 394, 498–502 (1998).
Kuo, M. H., Zhou, J., Jambeck, P., Churchill, M. E. A. & Allis, C. D. Histone acetyltransferase activity of yeast Gcn5p is required for the activation of target genes in vivo. Genes Dev. 12, 627–639 (1998).
Wang, L., Liu, L. & Berger, S. L. Critical residues for histone acetylation by Gcn5, functioning in Ada and SAGA complexes, are also required for transcriptional function in vivo. Genes Dev. 12, 640–653 (1998).
Krebs, J. E., Kuo, M. H., Allis, C. D. & Peterson, C. L. Cell cycle-regulated histone acetylation required for expression of the yeast HO gene. Genes Dev. 13, 1412–1421 (1999).
Svaren, J. & Hörz, W. Transcription factors vs nucleosomes: regulation of the PHO5 promoter in yeast. Trends Biochem. Sci. 22, 93–97 (1997).
Georgakopoulos, T. & Thireos, G. Two distinct yeast transcriptional activators require the function of the GCN5 protein to promote normal levels of transcription. EMBO J. 11, 4145–4152 (1992).
Gregory, P. D. et al. Absence of Gcn5 HAT activity defines a novel state in the opening of chromatin at the PHO5 promoter in yeast. Mol. Cell 1, 495–505 (1998).
Almer, A., Rudolph, H., Hinnen, A. & Hörz, W. Removal of positioned nucleosomes from the yeast PHO5 promoter upon PHO5 induction releases additional upstream activating DNA elements. EMBO J. 5, 2689–2696 (1986).
Gaudreau, L., Schmid, A., Blaschke, D., Ptashne, M. & Hörz, W. RNA polymerase II holoenzyme recruitment is sufficient to remodel chromatin at the yeast PHO5 promoter. Cell 89, 55–62 (1997).
Ornaghi, P., Ballario, P., Lena, A. M., Gonzales, A. & Filetici, P. The bromodomain of Gcn5p interacts in vitro with specific residues in the N terminus of histone H4. J. Biol. Chem. 287, 1–7 (1999).
Neely, K. E. et al. Activation domain-mediated targeting of the Swi/Snf complex to promoters stimulates transcription from nucleosomal arrays. Mol. Cell 4, 649–655 (1999).
Natarajan, K. et al. Transcriptional activation by Gcn4p involves independent interactions with the SWI/SNF complex and the SRB/Mediator. Mol. Cell 4, 657–664 (1999).
Cosma, M. P., Tanaka, T. & Nasmyth, K. Ordered recruitment of transcription and chromatin remodeling factors to a cell cycle- and developmentally regulated promoter. Cell 97, 299–311 (1999).
Syntichaki, P. & Thireos, G. The Gcn5.Ada complex potentiates the histone acetyltransferase activity of Gcn5. J. Biol. Chem. 273, 24414–24419 (1998).
Strahl-Bolsinger, S. Hecht, A., Luo, K. & Grunstein, M. SIR2 and SIR4 interactions differ in core and extended telomeric heterochromatin in yeast. Genes Dev. 11, 83–93 (1997).
Kuras, L. & Struhl, K. Binding of TBP to promoters in vivo is stimulated by activators and requires Pol II holoenzyme. Nature 399, 609–613 (1999).
Acknowledgements
We thank D. Thanos for histone antibodies, B. Laurent for the Snf5 antibody, F. Winston for strains, D. Allis for the Gcn5F221A mutant and E. Remboutsika for suggesting the BrTA mutant. This work was supported by a European Union Training and Mobility for Researchers grant.
Author information
Authors and Affiliations
Corresponding author
Rights and permissions
About this article
Cite this article
Syntichaki, P., Topalidou, I. & Thireos, G. The Gcn5 bromodomain co-ordinates nucleosome remodelling. Nature 404, 414–417 (2000). https://doi.org/10.1038/35006136
Received:
Accepted:
Issue date:
DOI: https://doi.org/10.1038/35006136
This article is cited by
-
Therapeutic targeting of p300/CBP HAT domain for the treatment of NUT midline carcinoma
Oncogene (2020)
-
Yeast chromatin remodeling complexes and their roles in transcription
Current Genetics (2020)
-
Rpb9-deficient cells are defective in DNA damage response and require histone H3 acetylation for survival
Scientific Reports (2018)
-
Epigenetic Control of Embryonic Stem Cell Differentiation
Stem Cell Reviews and Reports (2012)
-
Histone dynamics and roles of histone acetyltransferases during cold-induced gene regulation in Arabidopsis
Plant Molecular Biology (2010)


