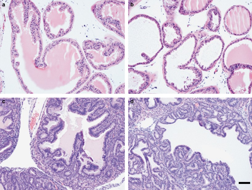
Figure 1

Histology of 17-week-old nontransgenic and transgenic mouse prostates. (a) Normal gland in the dorsal lobe of 17-week-old B6D2 mouse. (b) Normal gland in the dorsal lobe of 17-week-old ARR2PBneo mouse. (c) High-grade prostatic intraepithelial neoplasia (HGPIN) in the dorsolateral lobe of a 17-week-old 12T–7f mouse. (d) HGPIN in the dorsolateral lobe of a 17-week-old ARR2PBneo-LPBTag mouse. In the ARR2PBneo-LPBTag mice, prostatic lesions developed in a predictable and heritable manner, indicating that neo did not prevent or alter LPB-Tag induced prostate tumor development and progression. Bars, 50 μm.