Abstract
Cell cultures representing different stages of prostatic carcinoma will be a useful tool allowing a more complete understanding of the role of individual genes in tumorigenesis. We used the androgen-regulated probasin promoter linked to the neomycin phosphotransferase (Neo) gene, to generate the ARR2PBneo transgenic mouse model. Development was normal and all six ARR2PBneo transgenic founder lines expressed the Neo gene in a prostate-specific manner. Line C, which expressed high levels of neo, was crossbred to LPB-Tag 12T-7f transgenic mice (in which the SV40 large T antigen (Tag) was targeted to the prostate by the large probasin (LPB) promoter). Three bigenic males (carrying both Neo and Tag transgenes) were identified. Prostatic lesions developed in these mice in a predictable and heritable manner, indicating that Neo did not alter Tag-induced prostate tumor development and progression. Three separate NeoTag epithelial cell strains were established from three bigenic mice. G418 selection was used to obtain immortalized epithelial cells in culture. Selected cells expressed the Neo and Tag transgenes, cytokeratins 8 and 18, and were androgen responsive for growth. To determine if these NeoTag cells maintained a similar in vivo phenotype to the 12T–7f transgenic line, tissue recombinations were made with rat urogenital sinus mesenchyme (rUGM) and grafted under the renal capsule of male nude mouse hosts. In recombinants, the three NeoTag strains developed PIN lesions and/or more extensive adenocarcinoma than seen in the 12T–7f mouse. Androgen ablation demonstrated that the grafts were androgen responsive. NeoTag cells grafted without rUGM developed undifferentiated adenocarcinoma demonstrating that prostatic stroma dictates the glandular architecture seen in the well-differentiated adenocarcinoma.
Similar content being viewed by others
Main
Establishing cultures of androgen-dependent prostate epithelial cells from mouse models or human prostate cancer tissue has proved difficult. Our goal was to develop a simple technique to establish prostatic epithelial cells in culture, which could then be utilized to study the development, progression, and metastasis of androgen-dependent prostate cancer.
Our strategy was to target the neomycin phosphotransferase (neo) specifically to the prostate utilizing the androgen-regulated, prostate-specific probasin (PB) promoter.1, 2, 3, 4 Various lengths of the 5′-flanking region of PB have been tested in transgenic mice, each targeting transgene expression to the epithelial cells of the transgenic mouse prostate.3, 5, 6, 7, 8 The large (L) PB fragment (−10 800 base pair (bp)) targeted reporter activity that increased rapidly in concert with increasing serum androgen levels during development, peaked by 6 weeks of age and reaching a plateau after sexually maturity.9 Upon castration, reporter activity dropped to baseline levels. Treatment with androgens restored gene expression to precastration levels, indicating that transgene expression was primarily regulated by androgens in vivo.3 The −426 bp of the 5′-flanking region of PB was sufficient for prostate-specific epithelial cell expression in transgenic mouse models;3 however, levels of transgene expression were low compared to the large PB fragment.9 As making DNA constructs with the large PB fragment is difficult, a small, 495 bp, composite ARR2PB promoter containing two copies of the androgen response regions (ARR) was developed. This construct targets high levels of androgen-regulated expression to prostatic luminal epithelial cells in the mouse.7 Thus, the ARR2PB promoter was chosen to develop ARR2PBneo expressing mice which could subsequently be cross-bred with other transgenic mouse lines for the purpose of selecting neo-resistant, androgen-regulated prostate-epithelial cells in culture.
Mesenchymal–epithelial interactions play a crucial role during the fetal period for prostate development.10 The urogenital sinus mesenchyme (UGM) induces ductal morphogenesis, the expression of epithelial cell androgen receptor, epithelial cell proliferation, and specifies the expression of lobe-specific prostatic secretory proteins10, 11, 12, 13, 14 while prostatic epithelium induces mesenchymal differentiation into smooth muscle.15 This process of prostatic development can be duplicated by grafting a tissue recombination of UGM with either prostatic or bladder epithelium under the kidney capsule of adult male immunocompromised mice.16 We have used this approach to study interactions between stromal and epithelial cells in organogenesis and carcinogenesis17, 18
We demonstrate that ARR2PBneo expression (i) is prostate epithelial cell specific in transgenic mice, (ii) allows for selection, by neo resistance, of prostatic epithelial cells in culture, (iii) can be introduced into another transgenic line by cross-breeding ARR2PBneo mice with 12T–7f LPB-Tag transgenic mice (where SV40 large T antigen but not the small T antigen was targeted to the prostate) such that the prostate epithelial cells express both transgenes (Neo and Tag or NeoTag), and (iv) will allow selection for androgen receptor positive and androgen responsive cells in culture. Thus, the ARR2PBneo transgenic mouse becomes a powerful tool to facilitate the selection and culture of primary prostatic epithelial cells carrying multiple genetic alterations. Further, tissue recombination of rat UGM and NeoTag cells results in the development of androgen-dependent PIN and prostate adenocarcinoma under the kidney capsule grafts that are similar to, but more advanced than, the phenotype of the 12T–7f transgenic line. The NeoTag cells provide an in vitro model that can be genetically altered and then studied in a relevant in vivo microenvironment.
Materials and methods
Construction of ARR2PBneo Transgene
The 5′-flanking region of the rat probasin gene designated ARR2PB (−244/96 linked to −286/+28bp)7 was fused to the neomycin phosphotransferase (neo) gene.19 This construct was subcloned into the multiple cloning site of pBS-SK+ (Stratagene) for propagation. The inserted DNA was released by restriction digestion and purified for microinjection as previously described.9
Establishment of ARR2PBneo and ARR2PBneo × LPB-Tag Transgenic Mouse Lines
All animal studies were conducted in accordance with the principles and procedures outlined by the US Animal Welfare Act. The transgenic mice were generated by microinjection of the ARR2PBneo DNA construct into the male pronucleus of a fertilized oocyte (B6D2 strain) and the resulting founders were identified by a polymerase chain reaction (PCR)-based screening assay using isolated tail DNA as described elsewhere.9 The lines were maintained in the B6D2 mouse strain. The primers used to identify the neo transgene by PCR analysis were the PB forward primer 5′-TAGCATCTTGTTCTTAGTCTT-3′ and the neo reverse primers 5′-ATGTTTCGCTTGGTGGTCGAA-3′ or 5′-TGTGCCAGTCATAGCCGAAT-3′. Exon 7 of the endogenous mouse casein gene served as an internal control for the PCR reaction (forward primer 5′-GATGTGCTCCAGGCTAAAGTT-3′), reverse primer 5′-AGAAACGGAATGTTGTGGAGT-3′).9
The ARR2PBneo transgenic mouse line C was cross-bred with the LPB-Tag transgenic mouse line 12T-7f9 to obtain ARR2PBneo × LPB-Tag biogenic mice. The primers used to identify the Tag transgene by PCR analysis were the PB forward primer 5′-TAGCATCTTGTTCTTAGTCTT-3′ and the T-antigen reverse primers 5′-CTCCTTTCAAGACCTAGAAGGTCCA-3′.
Primary Cell Culture
ARR2PBneo male mice (4-week-old) anterior (AP), dorsolateral (DLP), and ventral (VP) prostatic lobes were dissected for tissue culture. Three 17-week-old ARR2PBneo × LPB-Tag male mice (numbered: A1736, A1763, and A1582) were dissected separately. The primary cultures of these lines are designated NeoTag1 from mouse A1736, NeoTag2 from mouse A1763, and NeoTag3 from mouse A1582. One 17-week-old 12T–7f male transgenic mouse (A5109) was dissected as an age-matched control to establish Tag cells that would not be neo resistant.
The dorsolateral (DLP) prostatic lobes were collected from ARR2PBneo × LPB-Tag and 12T–7F mice for tissue culture. Tissue culture was performed as described by Day et al.20 Prostatic lobes were chopped into small fragments, 1–2 mm in size, with a sterile blade. The small cell clumps were placed into 100 × 20 mm Primaria tissue culture dishes (Becton Dickinson Labware, Franklin Lakes, NJ, USA), cultured in Dulbecco's Modified Eagle's Medium (DMEM, GIBCO Laboratories, USA) which containing 2.5% heat-inactivated fetal calf serum (FCS, Sigma Chemical Co., St Louis, MO, USA), 1% antibiotic-antimycotic (Gibco), 50 μg/ml gentamicin (Gibco), 4 μg/ml bovine pituitary extract (Hammond Cell Tech, Windsor, CA, USA), 1% insulin-transferrin-selenium-X (Gibco), 50 ng/ml cholera toxin (Sigma), 10ng/ml EGF (Sigma) at 37°C in an atmosphere containing 5% CO2. The cells were maintained with 10−8 M dihydrotestosterone (DHT) to ensure that the transgene was expressed during the selection process. The culture medium was changed every 2 or 3 days. Cells were split when they reached confluency by rinsing in Ca++, Mg++-free Hank's balanced salt solution (Cellgro) for 2 min followed by treatment with 0.25% trypsin, 1 mM EDTA (Invitrogen Corporation). From the third passage, NeoTag cells were treated 400 μg/ml G418 for at least 1 month to select cells expressing the neo transgene.
Prostate Epithelial Cells Selection
The third and 10th passage NeoTag2 cells and 12T–7f cells (mouse number A1763 and negative control, respectively) were plated in 96-well plates (3 × 103 cells per well) overnight. The cells were treated with 0–600 μg/ml of G418 for 5 days. Proliferation was followed using 0.1 mg MTT (3-(4,5-dimethylthiazol-2-yl)-2,5-diphenyl tetrazolium bromide (Sigma Chemical Co., St Louis, MO, USA)) being added to each well and incubated at 37°C for a further 4 h.21 Medium was removed and 200 μl DMSO was added to each well. The plates were placed on a shaker for 30 min and read immediately at 540 nm with a scanning multiwell spectrophotometer. The proliferation index was defined as the increased or decreased absorbance measured at 540 nm. This approach was repeated to establish NeoTag1 and NeoTag3 cells.
Assay for Androgen Responsiveness
The NeoTag cells (3 × 103) were plated in groups of four on multiple 24-well plates. The cells were incubated in growth medium with charcoal-stripped FCS with or without 10−8 M DHT before adding the MTT. The MTT assay was performed every 24 h for 6 days using four wells per time point.
Reverse Transcriptase-Polymerase Chain Reaction
To further characterize the three NeoTag cell strains, we have screened the expression profiles of several genes related to prostate cancer in mouse tissue and NeoTag cells by RT-PCR. Normal CD1 mouse (6-week-old) DLP, 6-week-old CD1 mouse DLP 2 days postcastration, 17-week-old 12T–7F mouse DLP and mouse prostate neuroendocrine tumor were collected. Three NeoTag cell strains cultured for 24 h in medium with or without DHT were collected. Total RNA was isolated from NeoTag cells and mouse tissues using an RNeasy midi kit (Qiagen Inc, Valencia) with residual genomic DNA was removed by RNase-Free DNase (Qiagen) treatment. Total RNA (1 μg) was reverse transcribed using Superscript-II™ reverse transcriptase (Invitrogen) according to the manufacturer's instructions. PCR was performed using sense and antisense primers (Table 1) to produce gene specific fragments. The conditions for the PCR were: 94°C for 5 min (one cycle), 94°C for 30 s, 60°C for 1 min, 72°C for 1 min (35 cycles), and 72°C for 10 min (one cycle). PCR products were analyzed by electrophoresis in 1.5% agarose gels containing ethidium bromide and photographed under UV illumination.
Western Blot Analysis
Fresh tissue was obtained from the ARR2PB neo transgenic mice. The NeoTag cultured cells were harvested without trypsinization and homogenized in protein extraction sample buffer (10% sucrose, 2% SDS, 0.5% β-mercaptoethanol, 50 mM Tris-HCl), After centrifugation of the mixture at 100 000 r.p.m. at 4°C for 10 min, the protein content of the supernatants was measured by the Bradford method (Bio-Rad, Hercules, CA, USA). A 20 μg aliquot of each sample was separated by a 4–12% Bis-Tris gel (Invitrogen Life Technologies, Carlsbad, CA, USA). After electrophoresis, samples were transferred to nitrocellulose membranes (Hybond ECL, Amersham Pharmacia Biotech, Buckinghamshire, UK) in a transfer buffer (20% methanol, 20 mM Tris, 150 mM glycine) overnight at constant voltage (30 V). The membranes were blocked with 5% skim milk in a TBS-T (Trypsin-buffered saline, 0.1% Tween-20) buffer. The androgen receptor (clone N20, Santa Cruz, CA, USA), SV40 T-Ag (monoclonal mouse IgG, Oncogene), β-actin (Sigma) antibodies were added in their optimal dilutions (AR and T-Ag 1:1000, β-actin 1:5000) and incubated 1 h at RT. After rinsing three times for 10 min each with TBS-T, incubation was performed for 1 h with horseradish-peroxidase-conjugated donkey anti-rabbit Ig or sheep anti-mouse Ig (Amersham Pharmacia Biotech UK Limited) as appropriate. Immunoreactivity was visualized using ECL Western blotting detection reagents (Amersham Biosciences, UK).
Tissue Recombination
Pregnant rats were obtained and rat UGM was prepared from 18-day embryonic fetuses (plug date denoted as day 0). Urogenital sinuses were dissected from fetuses and separated into epithelial and mesenchymal components by tryptic digestion, as described previously.22 UGM was then additionally reduced to single cells by a 90-min digestion at 37°C with 187 U/ml collagenase (Life Technologies Inc., Grand Island, NY, USA). After digestion the mesenchymal cells were washed extensively with RPMI 1640 tissue culture medium. Viable cells were then counted using a hemacytometer, with viability determined by Trypan blue exclusion.
NeoTag cells were released from tissue culture plastic with trypsin, washed in growth medium containing 20% FBS, and viable cells were counted using Trypan blue exclusion and a hemacytometer. Cell recombinants were prepared by mixing 100 000 epithelial (NeoTag) cells with 300 000 mesenchymal cells in suspension. Cells were pelleted and resuspended in 50 μl of neutralized type 1 rat tail collagen prepared as described previously,23, 24 100 000 NeoTag epithelial cells without rUGM were also pelleted and resuspended in 50 μl collagen. The recombinants were allowed to set at 37°C for 15 min and were then covered with growth medium (RPMI 1640+5% FBS), and cultured overnight. Recombinants were then grafted beneath the renal capsule of adult male outbred athymic mice. All of the animals were housed in Vanderbilt University laboratory animal resource center with food and drinking water under controlled conditions (12 h light, 12 h dark, and 20±2°C). Some hosts were castrated or sham operated after the grafts were established (4 weeks).
Hosts were killed at 4 weeks by anesthetic overdose followed by cervical dislocation. Kidneys were excised, and grafts were dissected free of the host kidney and then processed for histology and immunohistochemistry. The castrated mice were killed at 2 days or 2 weeks after castration. At 2 h prior to death, 5-bromo-2′-deoxyuridine (BrdU) (10 mg/kg body wt) was injected i.p. for in vivo labeling of proliferating cells.
Histology and Immunohistochemistry
Prostate lobes from ARR2PBneo, ARR2PBNeo-LPB-Tag, and 12T–7f mice and the tissue recombination grafts were dissected, fixed in 10% buffered formalin and subjected to standard processing and paraffin embedding. Sections (4 μm) were cut, placed on charged microscope slides and dried. Slides were deparaffinized by immersing in xylene twice for 10 min each and hydrated by immersing in a series of 100, 95, 70, 50% ethanol, and one time in dH2O for 5 min each. Slides for histological analysis were stained with H&E by standard methods, with generally three to four sections reviewed per specimen. For immunocytochemistry, NeoTag cells and NIH3T3 cells were cultured on glass slides at 37°C over night, washed with 1 × PBS, fixed in precooled (−20°C) 100% ethanol solution for 10 min, then air-dried, and stored at −20°C until used.
For Tag and AR immunostaining, antigen retrieval was achieved by microwaving in 1 M urea for 30 min and the slides were then equilibrated at room temperature for 1 h. For cytokeratin 8 immunostaining, slides were pretreated with proteinase K digestion (Dako) for 10 min. Endogenous peroxidase activity was blocked by peroxidase blocking reagent (Dako) 30 min followed by washing in PBS (pH 7.4). After rinsing with PBS, the slides were placed in blocking solution (goat or horse serum) for 20 min to block nonspecific binding of antibody to the tissues or cells. Sections were incubated with primary antibody overnight at 4°C. The following primary antibodies were used (with the indicated dilutions in PBS): SV40 T-Ag, monoclonal mouse IgG (Oncogene, 1:1000); AR, N-20 (Santa Cruz Biotechnology Inc., 1:1000); Cytokeratin 8, monoclonal mouse IgG (Clone #LE41; gift from Dr EB Lane, University of Dundee, Dundee, Scotland, 1:5). Staining was visualized using Vectastain ABC kit (Vector Laboratories Inc, Burlingame, CA, USA) and 3,3′-diaminobenzidine tetrahydrochloride (Dako). Slides were counterstained with hematoxylin, dehydrated, and covered slipped.
The BrdU-labeled cells of paraffin embedded tissues on slides were detected employing a monoclonal anti-BrdU antibody (Amersham Biosciences, UK) according to manufacturer's instructions. The labeled cells were calculated from multiple fields of each tumor. Several sections from each tumor were analyzed to obtain the mean of BrdU positive cells. The means of the proliferating cells from tumors of mice (three mice and 10 grafts in each group) were reported.
Results
Establishment of Prostate-Specific ARR2PBneo Transgenic Mice
Neo expression was targeted to prostatic epithelium by using the ARR2PB promoter. Six transgenic founders were positive for the ARR2PBneo transgene by PCR analysis of tail DNA and were designed lines A–F. Grossly and histologically the prostate developed normally (Figure 1a and b). The lines were maintained through breeding with nontransgenic B6D2 mates. The prostates of all six ARR2PBneo lines contained detectable levels of neo by Western blot (data not shown). Neo protein levels were greatest in the prostate with the highest levels in the VP (VP>AP>DP>LP, data not shown). Although a low signal was detected in the bulbourethral gland, all the other tissues were negative for neo expression, confirming the prostate specificity of transgenes driven by the ARR2PB promoter (data not shown). Specific prostatic lobe expression of neo varied among the lines, implying that although ARR2PB contained the prostate-specific element, the signal to maintain precise lobe-specific regulation was not present. The inability to maintain precise lobe-specificity is also true in the sPB and LPB promoters3, 9 As Line C has the highest expression of neo in the prostate (data not shown), it was selected for further characterization.
Histology of 17-week-old nontransgenic and transgenic mouse prostates. (a) Normal gland in the dorsal lobe of 17-week-old B6D2 mouse. (b) Normal gland in the dorsal lobe of 17-week-old ARR2PBneo mouse. (c) High-grade prostatic intraepithelial neoplasia (HGPIN) in the dorsolateral lobe of a 17-week-old 12T–7f mouse. (d) HGPIN in the dorsolateral lobe of a 17-week-old ARR2PBneo-LPBTag mouse. In the ARR2PBneo-LPBTag mice, prostatic lesions developed in a predictable and heritable manner, indicating that neo did not prevent or alter LPB-Tag induced prostate tumor development and progression. Bars, 50 μm.
The ARR2PBneo Line C mouse was crossed with the LPB-Tag 12T-7f transgenic mouse with the goal of neo selecting primary prostatic epithelial cells cultures that would retain the AR. The 12T–7f line was chosen since the males develop high grade prostatic intraepithelial neoplasia (HGPIN) with foci of invasive adenocarcinoma in the DLP.5 Histological studies of the DLP showed that 17 weeks old ARR2PBneo × LPB-Tag mice develop prostate tumors identical to those of age matched LPB-Tag mice (12T–7f line) (Figure 1c and d), indicating that in the ARR2PBneo × LPB-Tag mice, prostatic lesions developed in a predictable and heritable manner and that neo expression did not alter LPB-Tag induced prostate tumor development and progression.
Neo-Resistant ARR2PBneo and ARR2PBneo × LPB-Tag Prostate Epithelial Cells can be Selected in Cell Culture
Initially, tissue fragments from the AP, DLP, and VP of ARR2PBneo line C were plated in tissue culture and the prostate epithelial cells cultured.20 The cells were cultured in the presence of 10−8 M DHT since neo expression was regulated by the androgen-dependent PB promoter. When the plates were confluent, 400 μg/ml G418 was added to the cell culture medium and neo-resistant prostate epithelial cells were selected for up to 4 weeks. Neo-resistant cells were derived from all the lobes of the prostate despite varying amounts of neo expressed as determined by Western blot analysis (data not shown). However, cell lines could not be established from these primary cultures, which underwent senescent changes with increasing passage number, reflecting their nontransformed phenotype.
Tissue fragments from the DLP of three 17-week-old ARR2PBneo × LPB-Tag mice and one control LPB-Tag 12T–7f mouse were plated in tissue culture and the prostate epithelial cells cultured as described.20 To determine neo-resistance, the third passage of NeoTag and Tag cells were treated with increasing concentrations of G418 (0, 100, 200, 300, 400, and 600 μg/ml) and cultured in 96-well plates for 5 days before the MTT assay. Prior to G418 treatment the NeoTag cells contained mixtures of both epithelial cells and fibroblasts. G418 should selectively kill fibroblasts while epithelial cells should be resistant by virtue of expression of the neo transgene. Both NeoTag and Tag cells showed a dose-dependent kill curve but the NeoTag cells showed much greater resistance than the Tag alone cells (Figure 2a). Based upon this kill curve, NeoTag cells from the third passage were maintained in 400 μg/ml G418 for 1 month. Tag cells from 12T–7f mice were also maintained in the absence of G418 to the 10th passage to serve as controls. At the 10th passage, the dose response curve with G418 was repeated (0, 100, 200, 300, 400, 500, 600, and 800 μg/ml) and the MTT assay was performed at fifth day of culture. NeoTag cells showed increased G418 resistance compared with 12T–7f cells (Figure 2b). Using this approach, three primary neo resistant cultures were established from the DLP of three different NeoTag bigenic mice, designated NeoTag1 from mouse A1736, NeoTag2 from mouse A1763, and NeoTag3 from mouse A1582.
ARR2PBneo cells selectively cultured for 4 weeks in epithelial cell culture medium containing 400 μg/ml G418 and ARR2PBneo × LPB-Tag prostate cell culture can be selected by G418. (a) MTT (3-(4,5-dimethylthiazol-2-yl)-2,5-diphenyl tetrazolium bromide) assay of NeoTag1 cells at third passage. Cells treated with different concentration of G418 (0, 100, 200, 300, 400, 600 μg/ml) for 5 days. NeoTag cell shows G418 resistance compared with 12T–7f cells. (b) MTT assay of NeoTag1 cells after 1 month G418 selection shows strong G418 resistance. Cells treated with different concentration of G418 (0, 100, 200, 300, 400, 500, 600, 800 μg/ml) for 5 days. The results represent the average±s.d. of three independent experiments; each was performed in triplicate.
Expression of Prostate Cancer Related Genes and Molecular Markers in NeoTag Cells
The expression of AR, Nkx3.1, Pten, myc, hepsin, β-catenin, Pim-1, PSCA, and clusterin were examined by RT-PCR (Figure 3a and b). These genes represent markers for prostate development and prostate cancer. The three NeoTag cell strains were treated with or without DHT for 48 h and mRNA was extracted. AR was expressed in NeoTag cells and in all the mouse prostate tissues except for neuroendocrine tumors. Nkx3.1 was expressed only in normal prostate. Pten, β-catenin, clusterin, Pim-1, and myc were expressed evenly in all of the NeoTag cells with or without DHT. Hepsin expression level was higher in a neuroendocrine tumor (NE-10) and NeoTag2 cells than in the NeoTag1 and NeoTag3 cells. PSCA expression level is lower in NeoTag cells treated without DHT than the NeoTag cells treated with DHT and was not expressed in neuroendocrine tumor. AR and large T-antigen expression in the NeoTag cells was confirmed by Western blots (Figure 3c). The three NeoTag cell strains expressed large T-antigen at levels of expression similar to those seen in the 12T–7f transgenic line (data not show). NeoTag3 expressed less AR compared with other two cell strains. NeoTag1 cells were used for immunocytochemical analysis. They showed intense and uniform nuclear AR, T-antigen, and cytoplasmic cytokeratin 8 staining (Figure 3d) (cytokeratin 18 was also detected as determined by RT-PCR, data not shown). Thus, G418 selection establishes a pure population of Large T antigen immortalized prostatic epithelial cells that retain AR expression.
Expression of prostate cancer related genes and molecular markers in NeoTag prostate epithelial cells in vitro. (a, b) Pten, myc, Hepsin, β-catenin, AR, Nkx3.1, Pim-1, PSCA, and clusterin expression were investigated by RT-PCR analysis of total RNA extracted from adult murine dorsolateral prostate, neuroendocrine tumor, and three NeoTag cells cultured with DHT or without DHT for 24 h. RT-PCR amplification of mouse GAPDH RNA served as a loading control. (c) Western blot analysis of AR and T-antigen protein in mice prostate epithelial cells. Lane 1, NeoTag1 cell; Lane 2, NeoTag2 cell; Lane 3, NeoTag3 cell. (d) Immunocytochemical analysis for G418 selected NeoTag1 cell with the antibodies indicated. NIH3T3 cell used as negative control.
Androgen Regulation in NeoTag Cells
Functional characterization of the androgen receptor in NeoTag strains (passage 10–15) was tested by growing the cells with and without androgens in vitro. Cells were plated on 96-well plates in two types of media: growth medium with 2.5% charcoal stripped FCS (charcoal stripping removes steroidal hormones such as androgen and estrogen), or growth medium with 2.5% charcoal stripped FCS plus 10−8 M DHT. Every 24 h, cells were quantitated using an MTT assay to measure total metabolic activity in each well. In the growth medium with DHT, all three NeoTag strains grew in a consistent manner. Cells in the growth medium with 2.5% charcoal stripped serum and no DHT showed a significantly reduced growth rate indicating that androgens were required for maximal cell proliferation (Figure 4).
Androgen regulation in three NeoTag cells. 24-well plates were plated with 5 × 103 cells/well. The cells were incubated in growth medium with charcoal-stripped FCS with or without 10−8 M DHT. Cells were quantified by MTT assay every 24 h for 6 days. Results, mean±s.d. (n=3) and are representative of the findings from separate experiments.
Tissue Recombination Study
As urogenital mesenchymal (UGM) cells are required for the normal development of the prostate glandular architecture, we characterized the ability of the three NeoTag strains to respond in vivo by performing tissue recombinations. NeoTag1, NeoTag2, and NeoTag3 (from both passage 10–15 to 20–25) were combined with rUGM and separately grafted beneath the renal capsule of athymic mice hosts. Early passage NeoTag1, NeoTag2, and NeoTag3 were also grafted beneath the renal capsule of athymic mice hosts without rUGM. After 4 weeks, grafts were examined histologically. The grafts of NeoTag cells without rUGM did not form glandular structures; rather, sheets of cells grew, especially noticable in NeoTag3 strain (Figure 5a, b and c). All grafts with rUGM contained epithelium organized into canalized ducts. NeoTag1 formed glandular PIN structures that were similar to the pathology of 12T–7f transgenic mouse line DLP but also contained areas of adenocarcinoma that are absent in the 12T–7f line (Figure 5d). Grafted NeoTag2 formed limited PIN and mainly adenocarcinoma with local invasion (Figure 5e). Early passage NeoTag3 (Figure 5f) develop adenocarcinoma that stained with the basal cell markers (p63) while NeoTag1 contains limited numbers of basal-like cells and NeoTag2-stained negative with p63 (data not shown). After selection in culture for 20–25 passages, NeoTag1 and NeoTag3 progress such that recombinants with these strains formed less PIN and increasing amounts of high-grade adenocarcinoma (Figure 5g and i). Grafts of NeoTag2 cells showed the least change between early and late cell culture passages (Figure 5h).
Histology of tissue recombinants composed of rat UGM plus NeoTag epithelial cells grafted to kidney capsule of an intact male athymic mouse host for 4 weeks. (a–c) NeoTag cells without rat UGM. (d–f) Early passage NeoTag cells with rat UGM. (g–i) Later passage NeoTag cells with rat UGM. H&E section of the subcapsular tissue in (a), rudimentary rare gland formation, capillary formation, and nest and sheets of undifferentiating cells. (b) Abundant cellular proliferation with rudimentary gland formation, component in nest and cords. (c) Complex cellular pattern composed of highly mitotically active glandular cells with foamy cytoplasm and marked nuclear pleomorphism. Microabscesses and single cell necrosis are identified representing adenocarcinoma. (d) Complex areas of cribriforming glands consistent with high-grade PIN. (e) Complex cribriforming pattern with loss of ability to form luminal formation focally, high mitotic rate, stromal infiltration consistent with adenocarcinoma and associated high-grade PIN. (f) A single area of pleomorphic glandular formation with a high mitotic rate consistent with adenocarcinoma. (g) Large dilated glandular structures with focal mucin production, nuclear pleomorphism with adjacent smaller glands with high-grade PIN. (h) Area of high cellularity and mitotic activity with nuclear pleomorphism and glandular formation, focal loss of glandular profiles consistent with adenocarcinoma. (i) A single area of pleomorphic glandular formation with high mitotic rate consistent with adenocarcinoma. Bars, 50 μm.
Immunohistochemistry was performed to study the expression of luminal cytokeratin 8, AR, and T-antigen in tissue recombinants. The epithelial component of tissue recombinants of NeoTag1 and NeoTag2 expressed androgen receptor (Figure 6a and b). The tissue recombinants of NeoTag3 also expressed AR but gave weaker staining than the other two cell strains (Figure 6c). Cytokeratin 8 was detected in the luminal epithelial cells in all the tissue recombinants (Figure 6d, e and f). To confirm that these results were not due to contamination by urogenital sinus epithelium from the embryonic rats, the large T-antigen status of the tissue recombinants was also determined by immunohistochemical staining. Figure 6g, h and i shows T-antigen expressed in all the epithelial cells of the three NeoTag recombinants. This observation confirms that the PIN and adenocarcinoma was indeed derived from mouse ARR2PBneo × LPB-Tag prostate epithelial cells that underwent G418 selection. Only NeoTag3 contained extensive numbers of basal cells as identified by p63 staining (data not shown). The NeoTag1 cells develop a pathology that was closer to the parent 12T–7f transgenic line, which included both PIN and well-differentiated adenocarcinoma while NeoTag2 and NeoTag3 developed an extensive adenocarcinoma. The late cell passage (20–25) of these three strains also retains AR as seen in the earlier passage (data not shown).
Immunohistochemistry of tissue recombinants composed of rat UGM with early passage NeoTag epithelial cells 4 weeks post grafting to an intact male athymic mouse host (NeoTag1, (a, d, g) NeoTag2, (b, e, h) and NeoTag3 (c, f, i)). Immunohistochemistry was used to determine AR, CK8, and T-antigen expression in the tissue recombination. (a) AR immunostaining with positive strong diffuse nuclear pattern. Majority of histology is PIN with foci adenocarcinoma. (b) Infiltrating adenocarcinoma with positive nuclear staining for AR. (c) Focal positive nuclear staining for AR with prominent nuclear pleomorphism consistent with adenocarcinoma. (d–f) Positive strong diffuse cytoplasmic and luminal staining for cytokeratin 8. (g–i) Positive strong diffuse nuclear staining throughout the epithelium for T-antigen. Bars, 50 μm.
Hormonal Dependence In Vivo
We further characterized AR status and T-antigen expression in tissue recombination after androgen withdrawal to assess the androgen-dependent characterization of NeoTag cells. Castration experiments were performed 4 weeks after the tissue recombination grafts were established. The hosts were killed at 2 days and 2 weeks, postcastration and age-matched intact mice were used as controls. At 2 h prior to death, the mice were injected i.p. with BrdU for in vivo labeling of proliferating cells. Grafts were dissected free of the host kidney and then processed for histology and immunohistochemistry. The percentage of proliferating epithelial cells was assessed by using in vivo labeling with BrdU according to manufacturer's direction. The proliferation index was measured and about 200 cells were evaluated in each group, in 10 randomly selection fields. Thus, 2000 cells were evaluated.
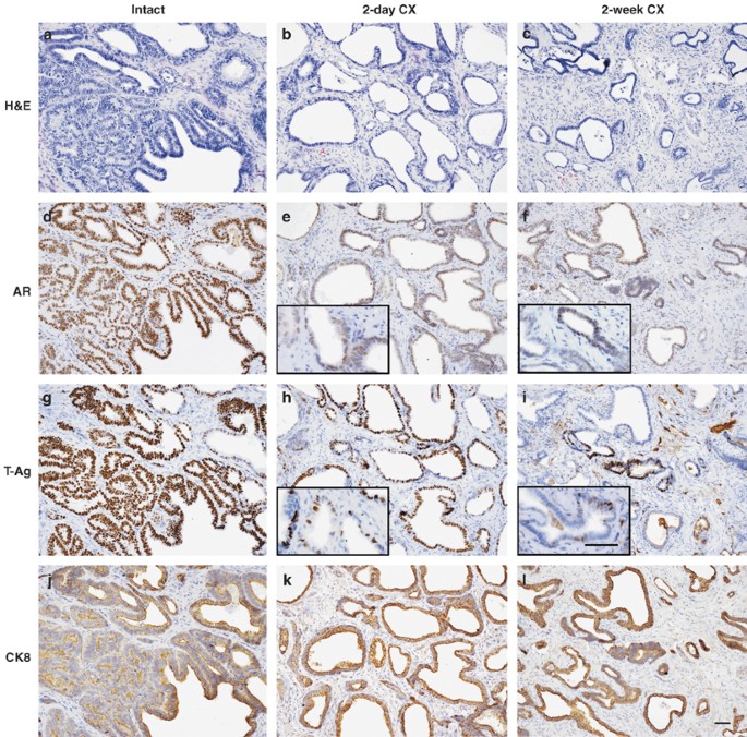
After 2 days and 2 weeks castration, NeoTag1 tissue recombinant grafts show increased stroma, decreased cellular gland lining and loss of complexity consistent with increasing atrophy (Figure 7a, b and c). NeoTag2 grafts show increased apoptosis with decreased cytoplasm in glandular profiles with associated prominent stroma after 2 days castration (Figure 8b). After 2 weeks castration the histology of the grafts show decreased apoptosis and atrophic glandular cells (Figure 8c). Androgen receptor expression and large T-antigen levels rapidly decreased 2 days postcastration (Figures 7e, h and 8e, h) and even lower in 2 weeks postcastration (Figure 7f, i and 8f, i). The cytokeratin 8 was expressed before and after castration (Figures 7j, k, l and 8j, k, l).
Histology and immunohistochemistry of tissue recombinants of NeoTag1 cells before castration and 2 days or 2 weeks after castration. (a, d, g, j) Are intact grafts; (b, e, h, k) are grafts from 2 days castration; (c, f, i, l) are grafts from 2 weeks castration. (a–c) Show H&E results. Immunohistochemistry was used to determine AR (d–f), T-antigen (g–i) and CK8 (j–l) expression before and after castration. Comparing (a–c) there is increased stroma, decreased cellular gland lining, and loss of complexity consistent with increasing atrophy. Bars, 50 μm.
Histology and immunohistochemistry of tissue recombinants of NeoTag2 cells before and after 2 days and 2 weeks castration. (a, d, g, j) are intact grafts; (b, e, h, k) are grafts from 2 days castration; (c, f, i, l) are grafts from 2 weeks castration. (a–c) Show H&E results. Immunohistochemistry was used to determine AR (d–f), T-antigen (g–i) and CK8 ((j–l) expression before and after castration. (a–c) Prostatic adenocarcinoma with pleomorphic complex cells invading into stroma with high mitotic rate. Comparing (a, b and c, b) shows increased apoptosis with decreased cytoplasm in glandular profiles with associated prominent stroma. (c) Shows decreased apoptosis and atrophic glandular cells. Bars, 50 μm.
BrdU labeling decreased in NeoTag1 from the intact control of 24.7% to 4.7% (2 days) and to 1% (2 weeks) postcastration (Figure 9a and b). NeoTag2 labeling decreased from the intact control of 24% to 7.7% (2 days) and to 1.3% (2 weeks) postcastration (Figure 9a and c). So the NeoTag1 and NeoTag2 cells are androgen-dependent prostate epithelial cells.
BrdU staining of NeoTag1 and NeoTag2 grafts before and after castration. (a) BrdU staining of proliferating cells in NeoTag1 and 2 grafts including intact grafts, after 2 days castration and after 2 weeks castration. Abundant nuclear staining throughout the tumor with expanded gland profiles was seen in the intact grafts of NeoTag1 and NeoTag2. In the grafts after 2 days castration, numbers of positive cells is decreased compared to the intact grafts, with NeoTag 1 and 2 showing focal nuclear positivity. NeoTag 1 and 2 show rare nuclear positivity after 2 weeks castration. (b) NeoTag1 graft cell proliferation index was determined after counting the number of total labeled cells divided by the total cell number counted. The asterisks indicate significance differences between intact and castrated mice (***P<0.0001) by ANOVA F-test. (c) NeoTag2 graft cell proliferation index was determined after counting the number of total labeled cells divided by the total cell number counted. The asterisks indicate significance differences between intact and castrated mice (***P<0.001) by ANOVA F-test. Bars, 50 μm.
Discussion
The pioneering work of Cunha, Chung and co-workers established that inductive mesenchymal cells play a critical role for epithelium to develop prostatic glands by processing androgenic signals and providing specific growth factors.11 These elegant studies showed that the AR positive UGM will dictate prostatic glandular architecture while the epithelial cell AR is responsible for differentiated function as defined by expression of secretory proteins.25 More recent studies have demonstrated that interactions between tumor epithelium and surrounding stromal cells can regulated the rate of tumor progression and may even play a role in regulating genomic instability.22, 26 Previously, we have reported that tissue recombination recapitulates the pathologic features of the neoplastic prostate seen in transgenic mice.18 In that study, bladders from the 12T–7f to 12T–10 mice were recombined with wild-type rUGM for kidney capsule grafts. The neoplasms that developed in the graft closely reflected the phenotype seen in the prostate of these transgenic lines.
In the present study, we report the establishment ARR2PBneo transgenic mice that specifically target the neomycin resistance gene to prostatic epithelium. We establish the utility of these mice to cross breed with the 12T–7f transgenic line as a method to select for androgen-dependent prostate cancer cells that contain a specific genetic alteration. Neo overexpression in LPB-Tag (12T–7f) transgenic mice did not alter prostate tumor development and the resulting NeoTag cells cultured continued to express neo, AR, large T-antigen, as well as other prostate luminal epithelial markers such as cytokeratin 8 and 18. As the ARR2PB promoter requires ligand activated AR for neo expression G418 selects only epithelial cells that continue to express a functional AR. As expected, the three NeoTag cell strains demonstrate androgen-responsive growth in cell culture.
We demonstrate that when the early passage NeoTag1 and NeoTag2 prostatic cell strains are used in tissue recombinations with rUGM, we can recapture a phenotype that is similar to the original 12T–7f mouse model for prostate cancer such that they develop PIN but these cell strains do show traits consistent with tumor progression. Routinely, these grafts develop extensive well-differentiated adenocarcinoma. NeoTag3 cells grafted with rUGM from early cell culture passages form small lesions and retain an extensive population of basal-like cells. Even after longer term growth in culture (over 25 passages), all NeoTag strains retain AR, but NeoTag1 and NeoTag3 show further phenotypic changes that now result in higher grade cancers developing after recombination with rUGM. As the SV40 Large T antigen causes genomic instability, it is not surprising that further phenotype changes occur after extensive passage in cell culture. Our data demonstrate that NeoTag1 and NeoTag2 epithelium respond to rUGM to form well-differentiated adenocarcinoma showing typical glandular architecture even after prolonged passage while serial passage of NeoTag3 cells results in progression to a high-grade cancer that is no longer inhibited in its growth by rUGM. Differences seen among the early passages suggest that cells selected in culture reflect different stages of the disease process. For example, early passage NeoTag1 histological shows more PIN then PCa, while NeoTag2 has PCa>PIN and NeoTag3 is adenocarcinoma with basal-like features. Interestingly, NeoTag3 changes the most with passage in culture such that grafts with rUGM of the late passage develop poorly differentiated adenocarcinoma. These changes seen among cell strains and passage number may reflect progression of an individual cell type and/or the selection of rapidly growing cell population. Regardless, it is possible to establish at least cell strains that reflect different stages of the disease process.
The tumor phenotype seen is dependent upon the inductive properties of rUGM since grafting the NeoTag cells in collagen alone results in sheets of high-grade cancer with no glandular architecture. This is consistent with the ability of UGM to induce normal prostate glandular architecture.11 Therefore, the glandular architecture that NeoTag cells develop in response to stromal signals indicates that the microenvironment can influence the degree of differentiation of the adenocarcinoma. Hayashi et al, reported that grafts of seminal vesicle mesenchyme recombined with the rat Dunning prostate adenocarcinoma would reduce the tumorigenesis by inducing secretory cytodifferentiation.27, 28 Earlier work showed that bladder transitional cell carcinomas could be phenotypically changed to adenocarcinomatous acini by rUGM.29 Our data suggest that tumor/host interactions between the stroma and epithelium may play an important role in the grade of differentiation of prostatic adenocarcinoma. Further, they support the concept that there are limits to the ability of stromal cells to moderate epithelial phenotypes. Such limits may be dictated by the severity of the genetic lesions carried by the epithelial cells, such that at some point in tumor progression the homeostatic influences of the stromal microenvironment on the nascent tumor may be lost.
In vivo propagation of primary prostatic tumor cells has been successful but there has been limited success to establish long term cultures of prostatic epithelial cells that remain androgen responsive.30 This has hindered progress in studying androgen regulation of the cell cycle, proliferation, and metastatic potential. A number of new mouse models have been created where specific genes/pathways are effectively targeted to the mouse prostate by a using the prostate-specific probasin promoter5, 31, 32, 33, 34 but cells established from these mouse models are from late stage cancers that are androgen independent.35, 36 Establishing epithelial cell lines that retain androgen responsiveness from early stages of prostate cancer has not been accomplished. By breeding the ARR2PBneo transgenic line into other genetically engineered mice, it will be possible to select for androgen responsive epithelial cells at specific stages of tumor development by sacrificing the mice at different ages. Additionally, a similar approach should be possible with human prostate cancers by viral infection of primary prostatic cells with the ARR2PBneo transgene. Cell survival under G418 selection would occur only if the cells retain functional AR that drives expression of the Neo resistance gene.
References
Dodd JG, Sheppard PC, Matusik RJ . Characterization and cloning of rat dorsal prostate mRNAs. Androgen regulation of two closely related abundant mRNAs. J Biol Chem 1983;258:10731–10737.
Rennie PS, Bruchovsky N, Leco KJ, et al. Characterization of two cis-acting elements involved in the androgen regulation of the probasin gene. Mol Endocrinol 1993;7:23–36.
Greenberg NM, DeMayo FJ, Sheppard PC, et al. The rat probasin gene promoter directs hormonally and developmentally regulated expression of a heterologous gene specifically to the prostate in transgenic mice. Mol Endocrinol 1994;8:230–239.
Spence AM, Sheppard PC, Davie JR, et al. Regulation of a bifunctional mRNA results in synthesis of secreted and nuclear probasin. Proc Natl Acad Sci USA 1989;86:7843–7847.
Kasper S, Sheppard PC, Yan Y, et al. Development, progression and androgen-dependence of prostate tumors in transgenic: a model for prostate cancer. Lab Invest 1998;78:319–334.
Masumori N, Thomas TZ, Case T, et al. A probasin-large T antigen transgenic mouse line develops prostate adeno and neuroendocrine carcinoma with metastatic potential. Cancer Res 2001;61:2239–2249.
Zhang ZF, Thomas TZ, Kasper S, et al. A small composite probasin promoter confers high levels of prostate-specific gene expression through regulation by androgens and glucocorticoid in vitro and in vivo. Endocrinology 2000;141:4698–4710.
Stanbrough M, Leav I, Kwan PW, et al. Prostatic intraepithelial neoplasia in mice expressing an androgen receptor transgene in prostate epithelium. Proc Natl Acad Sci USA 2001;98:10823–10828.
Yan Y, Sheppard PC, Kasper S, et al. A large fragment of the probasin promoter targets high levels of transgene expression to the prostate of transgenic mice. Prostate 1997;32:129–139.
Cunha GR, Donjacour AA, Cooke PS, et al. The endocrinology and developmental biology of the prostate. Endocr Rev 1987;8:338–362.
Chung LW, Cunha GR . Stromal-epithelial interactions: II. Regulation of prostatic growth by embryonic urogenital sinus mesenchyme. Prostate 1983;4:503–511.
Takeda H, Suematsu N, Mizuno T . Transcription of prostatic steroid binding protein (PSBP) gene is induced by epithelial-mesenchymal interaction. Development 1990;110:273–281.
Hayashi N, Cunha GR, Parker M . Permissive and instructive induction of adult rodent prostatic epithelium by heterotypic urogenital sinus mesenchyme. Epithelial Cell Biol 1993;2:66–78.
Timms BG, Lee CW, Aumuller G, et al. Instructive induction of prostate growth and differentiation by a defined urogenital sinus mesenchyme. Microsc Res Tech 1995;30:319–332.
Cunha GR, Battle E, Young P, et al. Role of epithelial-mesenchymal interactions in the differentiation and spatial organization of visceral smooth muscle. Epithelial Cell Biol 1992;1:76–83.
Cunha GR, Donjacour A . Mesenchymal-epithelial interactions: technical considerations. Prog Clin Biol Res 1987;239:273–282.
Gao N, Ishii K, Mirosevich J, et al. Forkhead box A1 regulates prostate ductal morphogenesis and promotes epithelial cell maturation. Development 2005;132:3431–3443.
Ishii K, Shappell SB, Matusik RJ, et al. Use of tissue recombination to predict phenotypes of transgenic mouse models of prostate carcinoma. Lab Invest 2005;85:1086–1103.
Krege JH, Hodgin JB, Couse JF, et al. Generation and reproductive phenotypes of mice lacking estrogen receptor beta. Proc Natl Acad Sci USA 1998;95:15677–15682.
Day KC, McCabe MT, Zhao X, et al. Rescue of embryonic epithelium reveals that the homozygous deletion of the retinoblastoma gene confers growth factor independence and immortality but does not influence epithelial differentiation or tissue morphogenesis. J Biol Chem 2002;277:44475–44484.
Carmichael J, DeGraff WG, Gazdar AF, et al. Evaluation of a tetrazolium-based semiautomated colorimetric assay: assessment of chemosensitivity testing. Cancer Res 1987;47:936–942.
Hayward SW, Haughney PC, Rosen MA, et al. Interactions between adult human prostatic epithelium and rat urogenital sinus mesenchyme in a tissue recombination model. Differentiation 1998;63:131–140.
Wang YZ, Sudilovsky D, Zhang B, et al. A human prostatic epithelial model of hormonal carcinogenesis. Cancer Res 2001;61:6064–6072.
Hayward SW, Haughney PC, Lopes ES, et al. The rat prostatic epithelial cell line NRP-152 can differentiate in vivo in response to its stromal environment. Prostate 1999;39:205–212.
Donjacour AA, Cunha GR . Assessment of prostatic protein secretion in tissue recombinants made of urogenital sinus mesenchyme and urothelium from normal or androgen-insensitive mice. Endocrinology 1993;132:2342–2350.
Olumi AF, Grossfeld GD, Hayward SW, et al. Carcinoma-associated fibroblasts direct tumor progression of initiated human prostatic epithelium. Cancer Res 1999;59:5002–5011.
Hayashi N, Cunha GR, Wong YC . Influence of male genital tract mesenchymes on differentiation of Dunning prostatic adenocarcinoma. Cancer Res 1990;50:4747–4754.
Hayashi N, Cunha GR . Mesenchyme-induced changes in the neoplastic characteristics of the Dunning prostatic adenocarcinoma. Cancer Res 1991;51:4924–4930.
Fujii H, Cunha GR, Norman JT . The induction of adenocarcinomatous differentiation in neoplastic bladder epithelium by an embryonic prostatic inductor. J Urol 1982;128:858–861.
Yasunaga Y, Nakamura K, Ko D, et al. A novel human cancer culture model for the study of prostate cancer. Oncogene 2001;20:8036–8041.
Greenberg NM, DeMayo FJ, Finegold MJ, et al. Prostate cancer in a transgenic mouse. Proc Natl Acad Sci USA 1995;92:3439–3443.
Ellwood-Yen K, Graeber TG, Wongvipat J, et al. Myc-driven murine prostate cancer shares molecular features with human prostate tumors. Cancer Cell 2003;4:223–238.
Wang S, Gao J, Lei Q, et al. Prostate-specific deletion of the murine Pten tumor suppressor gene leads to metastatic prostate cancer. Cancer Cell 2003;4:209–221.
Klezovitch O, Chevillet J, Mirosevich J, et al. Hepsin promotes prostate cancer progression and metastasis. Cancer Cell 2004;6:185–195.
Foster BA, Gingrich JR, Kwon ED, et al. Characterization of prostatic epithelial cell lines derived from transgenic adenocarcinoma of the mouse prostate (TRAMP) model. Cancer Res 1997;57:3325–3330.
Uchida K, Masumori N, Takahashi A, et al. Characterization of prostatic neuroendocrine cell line established from neuroendocrine carcinoma of transgenic mouse allograft model. Prostate 2005;62:40–48.
Acknowledgements
We thank Dr EB Lane (University of Dundee, Dundee, Scotland) for providing the cytokeratin 8 antibody. We would like to thank Dr Scott B Shappell for his helpful suggestions. This work was supported by R01-CA76142, R01-AG23490, and the Frances Williams Preston Laboratories of the TJ Martell Foundation to RJM and U01-CA96403 and the Joe C Davis Foundation to SWH. We are indebted to Tom Case and Manik Paul for technical assistance.
Author information
Authors and Affiliations
Corresponding author
Rights and permissions
About this article
Cite this article
Wang, Y., Kasper, S., Yuan, J. et al. Androgen-dependent prostate epithelial cell selection by targeting ARR2PBneo to the LPB-Tag model of prostate cancer. Lab Invest 86, 1074–1088 (2006). https://doi.org/10.1038/labinvest.3700463
Received:
Revised:
Accepted:
Published:
Issue date:
DOI: https://doi.org/10.1038/labinvest.3700463











