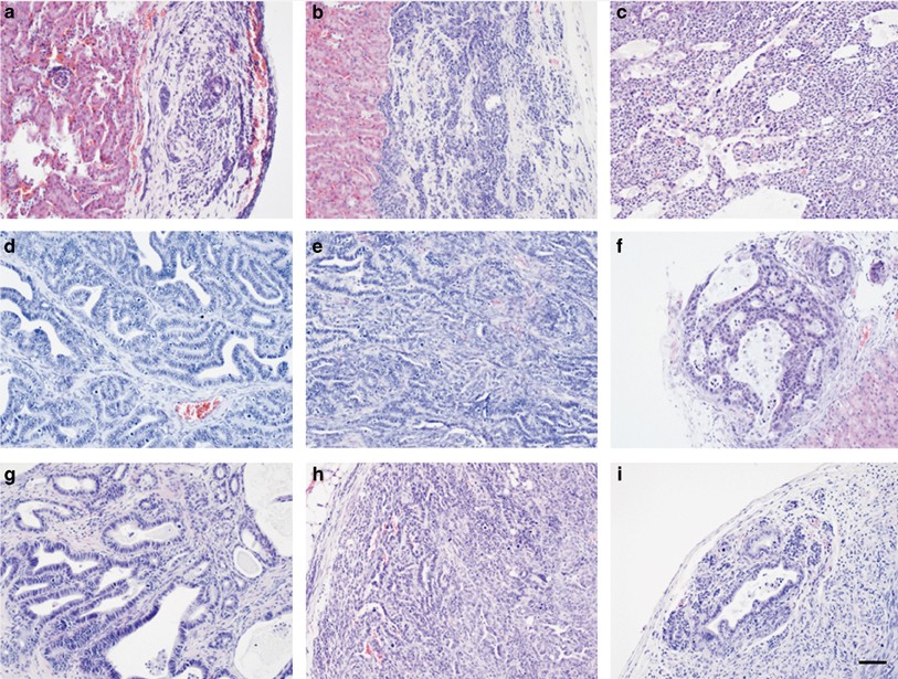
Figure 5

Histology of tissue recombinants composed of rat UGM plus NeoTag epithelial cells grafted to kidney capsule of an intact male athymic mouse host for 4 weeks. (a–c) NeoTag cells without rat UGM. (d–f) Early passage NeoTag cells with rat UGM. (g–i) Later passage NeoTag cells with rat UGM. H&E section of the subcapsular tissue in (a), rudimentary rare gland formation, capillary formation, and nest and sheets of undifferentiating cells. (b) Abundant cellular proliferation with rudimentary gland formation, component in nest and cords. (c) Complex cellular pattern composed of highly mitotically active glandular cells with foamy cytoplasm and marked nuclear pleomorphism. Microabscesses and single cell necrosis are identified representing adenocarcinoma. (d) Complex areas of cribriforming glands consistent with high-grade PIN. (e) Complex cribriforming pattern with loss of ability to form luminal formation focally, high mitotic rate, stromal infiltration consistent with adenocarcinoma and associated high-grade PIN. (f) A single area of pleomorphic glandular formation with a high mitotic rate consistent with adenocarcinoma. (g) Large dilated glandular structures with focal mucin production, nuclear pleomorphism with adjacent smaller glands with high-grade PIN. (h) Area of high cellularity and mitotic activity with nuclear pleomorphism and glandular formation, focal loss of glandular profiles consistent with adenocarcinoma. (i) A single area of pleomorphic glandular formation with high mitotic rate consistent with adenocarcinoma. Bars, 50 μm.