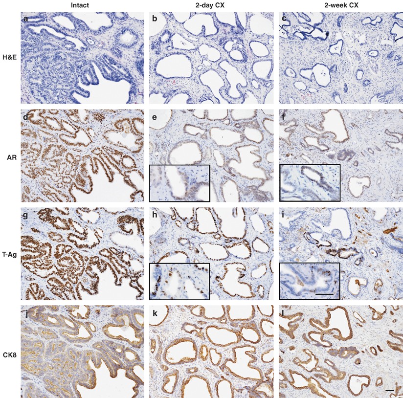
Figure 7

Histology and immunohistochemistry of tissue recombinants of NeoTag1 cells before castration and 2 days or 2 weeks after castration. (a, d, g, j) Are intact grafts; (b, e, h, k) are grafts from 2 days castration; (c, f, i, l) are grafts from 2 weeks castration. (a–c) Show H&E results. Immunohistochemistry was used to determine AR (d–f), T-antigen (g–i) and CK8 (j–l) expression before and after castration. Comparing (a–c) there is increased stroma, decreased cellular gland lining, and loss of complexity consistent with increasing atrophy. Bars, 50 μm.