Abstract
p16INK4a is involved in many important regulatory events in the cell and the expression and function is closely associated with the retinoblastoma protein (Rb). Earlier, we have in colorectal cancer and in basal cell carcinoma showed that p16INK4a is upregulated at the invasive front causing cell cycle arrest in infiltrative tumor cells via a functional Rb. This role for p16INK4a as a regulator of proliferation when tumor cells infiltrate might besides a general cyclin-dependent kinase (cdk) inhibitory effect explain why p16INK4a is deregulated in many tumor forms. The expression pattern of p16INK4a in relation to Rb-function in squamous cancer and precancerous forms of the skin has not been fully detailed. We therefore characterized the expression of p16INK4a, Rb-phosphorylation and proliferation in actinic keratosis, squamous cell carcinoma in situ and invasive squamous cell carcinoma with special reference to infiltrative behavior. The expression of p16INK4a varied between the lesions, with weak and cytoplasmic p16INK4a expression and functional Rb in actinic keratosis. Strong nuclear and cytoplasmic p16INK4a expression was observed in all carcinomas in situ in parallel with lack of Rb-phosphorylation but high proliferation indicating a nonfunctional Rb. Invasive squamous carcinoma showed a mixed p16INK4a expression pattern where some tumors had strong cytoplasmic p16INK4a expression, large fraction of Rb-phosphorylated cells and high proliferation. Interestingly, despite this disability of p16INK4a to inhibit proliferation there was an upregulation of cytoplasmic p16INK4a in infiltrative cells compared to tumor cells towards the tumor center. A similar scenario but strong and combined nuclear and cytoplasmic p16INK4a expression in infiltrative cells, was observed in other invasive squamous cancers. This suggests that the p16INK4a upregulation in infiltrative cells is governed independently of the subcellular localization or of the potential to affect proliferation via Rb, and suggests a potentially proliferation independent function for p16INK4a in infiltrative behavior.
Similar content being viewed by others
Main
Squamous cell carcinoma of the skin is derived from keratinocytes in the epidermal layer and is one of the most common malignancies.1 Squamous cell carcinomas grow rather slowly, are locally invasive but rarely metastasize. It is generally believed that squamous cell carcinoma can emerge from the precancerous lesion actinic keratosis, since the skin lesion mainly occurs on chronically sun-exposed sites as squamous cell carcinoma.2 UV-type p53 mutations are the, so far known, most common genetic alteration in squamous cell carcinoma.1 Another tumor suppressor gene commonly altered besides p53 in tumors is p16INK4a.3 Alterations affecting p16INK4a include small homozygous gene deletions and hypermethylation of the p16INK4a promoter and more rarely, mutations are found in the INK4a/ARF locus.4 In squamous cancer and associated skin lesions, the p16INK4a gene is mutated in up to 24%.5, 6 Loss of heterozygosity of the 9p21 region has also been observed in squamous carcinomas of the skin.2, 7 The main biological function of p16INK4a is to regulate the cell cycle by binding to cyclin-dependent kinases (cdk) 4/6. This prevents the formation of an active cyclin D–cdk4/6 complex. The initial cyclin D-associated phosphorylation of the retinoblastoma protein (Rb), fundamental for cell cycle progress, is therefore inhibited resulting in a G1-arrest.8, 9 Besides cell cycle control, p16INK4a has been implicated in other processes such as senescence10, 11 and apoptosis.12 In addition, p16INK4a has shown to reduce cell invasion,13, 14 cell spreading15 and angiogenesis.16
Nonmelanoma skin cancers (NMSC) include both squamous cell carcinoma and basal cell carcinoma, and we have earlier reported that in basal cell carcinoma there is a phenotypic change from a proliferative behavior in the center of the tumor towards a less proliferative but infiltrative phenotype at the invasive front of the tumor.17 This feature is most likely mediated by the cell cycle inhibitory protein p16INK4a via a functional Rb-pathway. We have also reported a similar phenomenon in colorectal cancer where p16INK4a upregulation was observed in small tumor clusters at the invasive front while the larger clusters had lower p16INK4a expression.18 The smaller clusters had also lower proliferation than the larger clusters mimicking the situation in basal cell carcinoma. This indicates that p16INK4a might function as a general regulator, mediating the switch between high proliferation vs low proliferation and infiltrative behavior in tumor cells. Therefore, we aimed to investigate the relationship between p16INK4a and invasion as well as proliferation/phosphorylated Rb in squamous cell carcinoma of the skin and associated lesions. In summary, p16INK4a expression was observed in actinic keratosis, carcinoma in situ and invasive squamous cell carcinoma but in varying amounts. The expression of p16INK4a did not affect the proliferation of the cells in squamous cell carcinoma in situ and invasive squamous cell carcinoma indicating that disruption of the Rb-pathway is a common event in these tumors. Further, increased p16INK4a expression at the invasive front was observed in invasive squamous cell carcinomas, in a similar manner to basal cell carcinoma, which might indicate a common functional role of p16INK4a in squamous cell carcinoma and basal cell carcinoma invasion.
Materials and methods
Immunohistochemistry and Tumor Materials
A total of 35 tumors, 10 actinic keratoses, 12 squamous cell carcinomas in situ and 13 invasive squamous cell carcinomas, were immunohistochemically stained and evaluated for p16INK4a, Ki-67 and phosphorylated Rb in serial sections. Six tumors were also evaluated using double staining with p16INK4a and phospho-Rb antibodies and eight tumors were double stained with p16INK4a and Ki-67. For comparison, six Merkel cell carcinomas were also stained for p16INK4a, Ki-67 and phosphorylated Rb.
Paraffin sections of 4 μm were deparaffinized using xylene and rehydrated using descending concentrations of ethanol according to the standard protocol. For the antibodies, anti-human p16INK4a (1:200, BD PharMingen, San Jose, CA, USA), anti-human Ki-67 antigen (1:200, Dako A/S, Glostrup, Denmark), anti-human MNF116 (1:400, Dako) and anti-human phospho-Rb (1:150, Cell Signaling Technology, Beverly, MA, USA), antigen retrieval was achieved by microwave heating in 10 mM citrate buffer, pH 6.0. Single and double staining were performed in a DakoTechmate 500 (Dako) according to the manufacturer's instructions.
Cell Line Array
The breast cancer cell lines MDA-MB-468, T-47D and MCF7 (American Type Culture Collection, Rockville, MD, USA) were used as phospho-Rb antibody control. MDA-MB-468 and MCF7 were grown in RPMI 1640 supplemented to contain 10% FCS and 1 mM sodiumpyruvate. T-47D was grown in DMEM supplemented to contain 10% FCS, 10 mM HEPES and 0.2 U/ml insulin. Cells were harvested, fixed in 1 ml 4% paraformaldehyde for 30 min and stained by adding Mayer's hematoxylin. The paraformaldehyde was removed, 1 ml 70% ethanol was added and cells were incubated overnight. The cells were dehydrated using increasing concentrations of ethanol and finally xylene. After dehydration, the cells were embedded in paraffin and arranged in a cell line array.
Western Blotting
Cultured cells were washed in PBS, harvested by scraping, centrifuged at 250 g for 5 min and frozen at −80°C overnight. Tumors were collected immediately after surgery and frozen in 2-methylbutane using liquid nitrogen as freezing agent. Cell pellets and areas corresponding to neoplasia were homogenized, and the tumor extracts were sonicated 2 × 15 s, in lysis buffer containing 50 mM Tris-HCl pH 7.5, 0.5% (v/v) NP-40, 0.5% (w/v) sodiumdeoxycholate, 0.1% (w/v) SDS, 150 mM NaCl, 1 mM EDTA pH 8.0, 1 mM NaF and 0.1 mg/ml PMSF supplemented with the protease inhibitor cocktail Complete Mini (Roche, Mannheim, Germany). The protein lysates were centrifuged at 19 000 g for 30 min and the supernatants were collected. For detecting p16INK4a, 40 μg of the protein extracts were run on a 12% polyacrylamide gel and for phospho-Rb, a 5% polyacrylamide gel was used. The proteins were transferred on to Hybond ECL nitrocellulose membranes (Amersham Biosciences, Little Chalfont, UK). The membranes were probed with anti-human p16INK4a (1:500; BD PharMingen), anti-human phospho-Rb (1:500, Cell Signaling Technology) or anti-human actin (1:500, Santa Cruz Biotechnology Inc., Santa Cruz, CA, USA) antibodies followed by peroxidase-conjugated anti-mouse (1:5000, Amersham Biosciences), anti-rabbit (1:5000, Amersham Biosciences) or anti-goat (1:5000, Sigma, St Louis, MO, USA) antibodies. The proteins were detected using enhanced chemiluminescence detection system plus (ECL+plus) reagent (Amersham Biosciences) according to the manufacturer's instructions and exposed on ECL Hyper Film (Amersham Biosciences).
Results
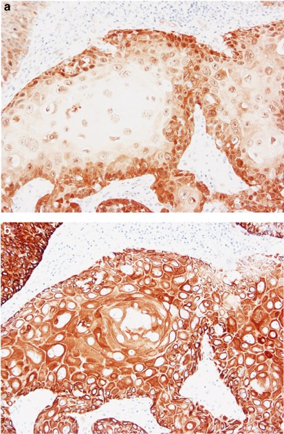
p16INK4a protein expression was evaluated by immunohistochemistry in 35 skin lesions of which 10 were actinic keratoses, 12 squamous cell carcinomas in situ and 13 invasive squamous cell carcinomas. All lesions were p16INK4a positive with highly variable staining intensities and fraction of positive tumor cells. The subcellular localization of the p16INK4a staining varied considerably and was therefore also delineated (Table 1). Actinic keratosis had in general rather weak p16INK4a staining and the staining was mainly cytoplasmic with occasional positive nuclei in some lesions (Figure 1a and b). Out of 12 squamous cell carcinomas in situ, 11 showed a strong nuclear and cytoplasmic p16INK4a staining (Figure 1c and d), which was in sharp contrast to surrounding normal keratinocytes. The remaining squamous cell carcinoma in situ also had a strong p16INK4a staining although with a mixed pattern of areas with cytoplasmic staining and areas with both nuclear and cytoplasmic staining. Of the invasive squamous cell carcinomas, nine had only cytoplasmic p16INK4a staining (Figure 1e and f) and four combined nuclear and cytoplasmic staining (Figure 1g and h) (Table 2). The intensity of the p16INK4a staining in invasive squamous cell carcinomas varied from weak staining in some tumors to very strong staining in others. To further validate the p16INK4a staining, Western blotting was performed using protein extracts prepared from frozen actinic keratoses, squamous cell carcinomas in situ and invasive squamous cell carcinomas with available p16INK4a immunohistochemistry data. The Western blot produced a 16 kDa band with varying intensities corresponding to p16INK4a in all tested tumors (Figure 2) confirming the immunohistochemistry data.
p16INK4a staining in precancerous and cancerous forms of squamous cell carcinoma of the skin. Actinic keratosis with cytoplasmic staining (a, b), p16INK4a staining in squamous cell carcinoma in situ showing full-thickness staining (c, d), invasive squamous cell carcinoma with cytoplasmic staining only (e, f) and both nuclear and cytoplasmic staining (g, h).
To investigate whether the observed p16INK4a was functional and affected the Rb-pathway, the degree of Rb-phosphorylation in the different skin lesions was analyzed by immunohistochemistry, using an antibody specifically recognizing phosphorylation of serines 807 and 811 on Rb, in sections serial to the p16INK4a staining. Colocalization of p16INK4a and phosphorylated Rb was additionally confirmed in six tumors by double staining. To verify the specificity of the antibody, protein extracts and a cell line array, mimicking the settings for the paraffin-embedded tumors, were simultaneously prepared from three different cell lines. The two cell lines T-47D and MCF7, known to have a functional Rb, showed by immunohistochemistry an intense nuclear staining with the phospho-Rb antibody and produced a strong band of 110 kDa corresponding to phosphorylated Rb by Western blot analysis. In contrast, the Rb-inactivated cell line MDA-MB-468 was negative in both analyses clearly validating the specificity of the phosphospecific Rb antibody in analyses of formalin-fixed materials (Figure 3).
Verification of the phospho-Rb antibody using Western blotting and immunohistochemistry. The cell lines MCF7 and T-47D were used as positive controls and gave strong bands on the Western blot. Nuclear staining was seen in both cell lines using immunohistochemistry. The Rb-inactivated cell line MDA-MB-468 produced no nuclear staining using immunohistochemistry and no band was seen on the Western blot.
All of the 12 investigated squamous cell carcinomas in situ showed as earlier presented high p16INK4a expression and all these tumors were, except for the one tumor with mixed p16INK4a pattern, completely negative in the analyses of Rb-phosphorylation (Figure 4a and c). For the invasive squamous cell carcinomas with p16INK4a expression only in the cytoplasm (Figure 5a and c), colocalization between p16INK4a and phosphorylated Rb was observed in all of the nine tumors (Figure 5e), although there was a heterogenous expression of phosphorylated Rb in one tumor. The invasive squamous cell carcinomas with both nuclear and cytoplasmic p16INK4a staining (Figure 6a and c) were negative for phosphorylated Rb (Figure 6e) (Table 2). In all actinic keratoses phosphorylated Rb was observed.
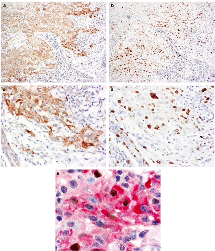
Serial sections of an invasive squamous cell carcinoma stained with p16INK4a, Ki-67 and phospho-Rb antibodies. Cytoplasmic p16INK4a staining (a, c) and the corresponding Ki-67 staining (b, d) showing high-proliferative activity in invasive squamous cell carcinoma. Note the increased expression of p16INK4a towards the invasive front. Double staining (e) showing phosphorylated Rb (brown) in the p16INK4a (red)-positive cells.
Serial sections of an invasive squamous cell carcinoma stained with p16INK4a, Ki-67 and phospho-Rb antibodies. Nuclear and cytoplasmic p16INK4a staining (a, c) and the corresponding Ki-67 staining (b, d) showing high-proliferative activity in invasive squamous cell carcinoma. Note the increased expression of p16INK4a towards the invasive front and the decreased expression in differentiating cells in the center of the tumor. Single staining of phosphorylated Rb (e) in a p16INK4a and Ki-67 high area of the tumor.
To further delineate the functional consequences and ultimate effect on proliferation in the different skin lesions associated with the varying p16INK4a expression in the nucleus and the cytoplasm, we characterized the presence of the proliferation marker Ki-67 in the tumors using sections serial to the p16INK4a staining. Colocalization of p16INK4a and Ki-67 was confirmed in eight tumors by double staining. The actinic keratoses were in general low proliferative with only few Ki-67-positive cells towards the base of the epidermis and analyzing Rb-phosphorylation, there was nevertheless an overlap between weak cytoplasmic p16INK4a expression and presence of proliferation. In all carcinoma in situ lesions, there was a high fraction of Ki-67-positive cells despite high p16INK4a expression (Figure 4a and b). In all but one of the invasive squamous cell carcinomas, regardless of the subcellular localization of p16INK4a, Ki-67 was present in the p16INK4a-positive areas of the tumors (Figures 5a–d and 6a–d and Table 2).
As earlier shown in basal cell carcinoma17 and in colorectal cancer,18 p16INK4a is expressed in infiltrative tumor cells matching a decrease in proliferation via an intact Rb-pathway. The relation between p16INK4a and infiltrative growth in squamous cell carcinomas of the skin where p16INK4a, via Rb, cannot fulfill its growth inhibitory function is nevertheless not clear. We therefore delineated the p16INK4a protein expression at the invasive front and in more central parts of the invasive squamous cell carcinomas. In 10 out of the 13 invasive squamous cell carcinomas, p16INK4a protein expression was higher in tumor cells located towards the invasive front as well as in small tumor clusters compared to central parts of the tumors (Table 2). Surprisingly, p16INK4a seemed to be expressed in infiltrating tumor cells despite the lack of a functional Rb-pathway. In one of the invasive lesions we also noticed localization of p16INK4a towards ulceration of the skin. In addition to the increased p16INK4a expression at the invasive front in squamous cell carcinoma we also observed a decrease in p16INK4a expression in tumor cells that were more differentiated and close to areas with keratin formations (Figure 7) (Table 2).
To compare squamous cell carcinoma with a more aggressive tumor type, we also investigated the p16INK4a expression pattern in six Merkel cell carcinomas, a neuroendocrine tumor of the skin. These tumors expressed high levels of p16INK4a in the nucleus and the cytoplasm throughout the tumor without any clear localization towards the invasive front, although small tumor clusters also expressed high levels of p16INK4a. All tumors were highly proliferative and phosphorylated Rb was completely absent or present in a much lower fraction than Ki-67, which may suggest a defect Rb-pathway in Merkel cell carcinoma although the results were not as clear as in invasive and in situ squamous cell carcinoma (data not shown).
Discussion
As shown in this study, p16INK4a was commonly expressed in precancerous and cancerous skin lesions, but there was a marked difference in expression pattern and subcellular localization of the protein. In all 35 skin lesions, we noted a p16INK4a expression although with variations between the different lesions and also between different tumors within the same group. These results are in agreement with previous reports stating that p16INK4a expression is common in actinic keratosis1, 2 and in squamous cell carcinoma in situ.1 However, the expression of p16INK4a in invasive squamous cell carcinoma has been argued. In two recent reports, in which immunohistochemistry was used, p16INK4a expression was observed in a few invasive squamous cell carcinomas only,2, 19 whereas others have reported that all invasive squamous cell carcinomas were p16INK4a positive.1 Our results based on immunohistochemistry and validated by Western blotting of protein extracts from tumor materials, indicate that p16INK4a is commonly expressed in invasive squamous cell carcinoma although apparently inactivated in a fraction of the tumors as observed by the localization to the cytoplasm in tumor cells. Cytoplasmic p16INK4a staining has been observed in cell lines and tumors with homozygous deletion of the p16INK4a locus and therefore been considered unspecific.20 However, using Western blotting we observed a band corresponding to p16INK4a in a squamous cell carcinoma exhibiting only cytoplasmic p16INK4a staining by immunohistochemistry, which indicates a true p16INK4a staining in the cytoplasm.
Using a phosphospecific Rb antibody the presence of functional Rb was evaluated in the skin lesions. As mentioned above, there was a clear cytoplasmic localization of p16INK4a in some of the invasive squamous carcinomas, but simultaneously these tumors were highly proliferative and showed widespread phosphorylation of Rb. This suggested that Rb was functional but that the Rb-pathway in general seemed to be disrupted by a delocalization of p16INK4a to the cytoplasm. The reason why p16INK4a was localized to the cytoplasm is not clear but could be caused by a mutation prohibiting the translocation to the nucleus. It has previously been reported that 14% of squamous cell carcinomas have intragenic mutations or deletions in exon 2 of the INK4a/ARF locus affecting both p16INK4a and p14ARF.6 In another report, exon 2 of the INK4a/ARF locus was mutated in 24% of squamous lesions.5 It is though apparent, that the cytoplasmic p16INK4a did not inhibit the phosphorylation of Rb and consequently did not affect proliferation. In actinic keratosis, it is unclear whether the Rb-pathway was functional or not due to the cytoplasmic localization of p16INK4a in combination with low proliferation.
In the tumors with a strong nuclear as well as cytoplasmic localization of p16INK4a, as observed in squamous cell carcinomas in situ and in some invasive squamous cell carcinomas, no Rb-phosphorylation was detected suggesting either that p16INK4a fulfilled its function or that Rb was inactivated. This could be further clarified by taking into account proliferation, where proliferative arrest is the ultimate end result for p16INK4a and Rb, and these tumors were still proliferating despite large amounts of p16INK4a also in the nucleus. The combination of high proliferation, lack of Rb-phosphorylation and high p16INK4a expression therefore indicated the presence of an inactive Rb-pathway. It is well known that human papilloma virus (HPV), which inactivates p53 and Rb, is involved in the development of cervical squamous carcinoma and the Rb-inactivation probably contributes to the high p16INK4a expression in cervical cancer.21, 22, 23 The role of HPV in NMSC has been debated and extensively studied but remains elusive.22 The similarities between squamous cell carcinomas of the skin and cervix are, nevertheless, profound and both the Rb-inactivation and high p16INK4a expression support a common and probably HPV-associated etiology.
Regarding upregulation of p16INK4a in infiltrative squamous cell carcinoma tumor cells, we observed a clear increase of p16INK4a in small infiltrative clusters as well as towards the invasive front of squamous cell carcinomas. The difference was although not as obvious as in basal cell carcinoma where there is a massive upregulation from undetectable levels in the tumor center to high expression of p16INK4a in infiltrative areas. In parallel, we observed a decrease in proliferative activity as well as Rb-phosphorylation in the same areas in basal cell carcinoma outlining the functional consequences for p16INK4a upregulation.17 We have earlier also reported similar findings in colorectal cancers with high p16INK4a expression and low proliferation in small invasive tumor clusters at the invasive margin of the tumors.18 In Merkel cell carcinoma there was no obvious localization of p16INK4a towards the invasive front even though small tumor clusters also expressed p16INK4a. However, these tumors are clearly different from keratinocyte-derived tumors and might behave differently. Both basal cell carcinoma and the colorectal cancers with p16INK4a upregulation were Rb-functional and p16INK4a seemed to be involved in the switch from a proliferative to a nonproliferative state and possibly in the invasive behavior in these tumors. Even though p16INK4a was not able to exert its function as an inhibitor of proliferation via Rb and the subcellular localization of p16INK4a seemed disrupted in some squamous lesions, p16INK4a was still upregulated at the invasive front. This could indicate that p16INK4a is involved in regulating infiltrative behavior independently of Rb. p16INK4a has been suggested to inhibit tumor cell invasion and migration,13, 14, 15, 24 processes that involve many cytoplasmic proteins. Cdk6 has shown to be localized to the spreading edge of human fibroblasts and could potentially be a target for inhibition of cell spreading by G1-associated kinase inhibitors.15 In support of our results, it has also been reported that keratinocytes migrating towards a wound upregulate p16INK4a and proliferation is at the same time decreased, linking p16INK4a to wound-healing processes.19 In one squamous cell carcinoma, we also observed p16INK4a upregulation at the edge of an ulcer. Similar mechanisms regarding p16INK4a upregulation in infiltrative tumor cells as observed in basal cell carcinoma, colorectal cancer and now in squamous cell carcinoma might therefore be natural processes used in many cellular events that include migration of proliferative cell types where wound healing is one example.
The expression of p16INK4a was further decreased in squamous cell carcinoma areas with keratin differentiation. This decrease may indicate a function for p16INK4a in keeping the cell in a nondifferentiated state or alternatively could the loss of p16INK4a be a consequence of the differentiation process. p16INK4a has earlier been shown to be associated with induction of squamous cell differentiation in normal human epidermal keratinocytes, but overexpression of p16INK4a did not induce differentiation in the same cells.25 In a human trophoblast cell line, p16INK4a is upregulated during TGFβ1-induced differentiation26 and in K562 cells forced p16INK4a expression promoted erythroid differentiation,27 suggesting that p16INK4a is involved in differentiation in different cell types.
In summary, we have shown that p16INK4a is expressed in cancerous and precancerous lesions of the skin and by specifically studying phosphorylation of Rb in parallel with p16INK4a and proliferation shown that both squamous cell carcinoma in situ and invasive squamous cell carcinoma have a nonfunctional Rb-pathway but with partially contrasting etiologies. The upregulation of p16INK4a towards the invasive front of invasive squamous cell carcinomas despite an inactive Rb-pathway also supports that p16INK4a could be involved in infiltrative processes independent of proliferation effects.
References
Hodges A, Smoller B . Immunohistochemical comparison of p16 expression in actinic keratoses and squamous cell carcinomas of the skin. Mod Pathol 2002;15:1121–1125.
Mortier L, Marchetti P, Delaporte E, et al. Progression of actinic keratosis to squamous cell carcinoma of the skin correlates with deletion of the 9p21 region encoding the p16INK4a tumor suppressor. Cancer Lett 2002;176:205–214.
Sharpless NE, DePinho RA . The INK4A/ARF locus and its two gene products. Curr Opin Genet Dev 1999;9:22–30.
Rocco JW, Sidransky D . p16(MTS-1/CDKN2/INK4a) in cancer progression. Exp Cell Res 2001;264:42–55.
Soufir N, Moles JP, Vilmer C, et al. p16 UV mutations in human skin epithelial tumors. Oncogene 1999;18:5477–5481.
Kubo Y, Urano Y, Matsumoto K, et al. Mutations of the INK4a locus in squamous cell carcinomas of human skin. Biochem Biophys Res Commun 1997;232:38–41.
Saridaki Z, Liloglou T, Zafiropoulos A, et al. Mutational analysis of CDKN2A genes in patients with squamous cell carcinoma of the skin. Br J Dermatol 2003;148:638–648.
Hanahan D, Weinberg RA . The hallmarks of cancer. Cell 2000;100:57–70.
Serrano M, Hannon G, Beach D . A new regulatory motif in cell-cycle control causing specific inhibition of cyclin D/CDK4. Nature 1993;366:704–707.
Sherr C . The INK4a/ARF network in tumour suppression. Nat Rev Mol Cell Biol 2001;2:731–737.
Munro J, Stott FJ, Vousden KH, et al. Role of the alternative INK4A proteins in human keratinocyte senescence: evidence for the specific inactivation of p16INK4a upon immortalization. Cancer Res 1999;59:2516–2521.
Plath T, Detjen K, Welzel M, et al. A novel function for the tumor suppressor p16INK4a: induction of anoikis via upregulation of the α5β1 fibronectin receptor. J Cell Biol 2000;150:1467–1478.
Chintala S, Fueyo J, Gomez-Manzano C, et al. Adenovirus-mediated p16/CDKN2 gene transfer suppresses glioma invasion in vitro. Oncogene 1997;25:2049–2057.
Adachi Y, Chandrasekar N, Kin Y, et al. Suppression of glioma invasion and growth by adenovirus-mediated delivery of a bicistronic construct containing antisense uPAR and sense p16 gene sequences. Oncogene 2002;21:87–95.
Fahraeus R, Lane DP . The p16INK4a tumour suppressor protein inhibits alpha vbeta 3 integrin-mediated cell spreading on vitronectin by blocking PKC-dependent localization of alpha vbeta 3 to focal contacts. EMBO J 1999;18:2106–2118.
Harada H, Nakagawa K, Iwata S, et al. Restoration of wild-type p16 down-regulates vascular endothelial growth factor expression and inhibits angiogenesis in human gliomas. Cancer Res 1999;59:3783–3789.
Svensson S, Nilsson K, Ringberg A, et al. Invade or proliferate? Two contrasting events in malignant behavior governed by p16(INK4a) and an intact Rb pathway illustrated by a model system of basal cell carcinoma. Cancer Res 2003;63:1737–1742.
Palmqvist R, Rutegard JN, Bozoky B, et al. Human colorectal cancers with an intact p16/cyclin D1/pRb pathway have up-regulated p16 expression and decreased proliferation in small invasive tumor clusters. Am J Pathol 2000;157:1947–1953.
Natarajan E, Saeb M, Crum CP, et al. Co-expression of p16(INK4A) and laminin 5 gamma2 by microinvasive and superficial squamous cell carcinomas in vivo and by migrating wound and senescent keratinocytes in culture. Am J Pathol 2003;163:477–491.
Geradts J, Hruban RH, Schutte M, et al. Immunohistochemical p16INK4a analysis of archival tumors with deletion, hypermethylation, or mutation of the CDKN2/MTS1 gene. Appl Immunohistochem Mol Morphol 2000;8:71–79.
de Villiers EM, Lavergne D, McLaren K, et al. Prevailing papillomavirus types in non-melanoma carcinomas of the skin in renal allograft recipients. Int J Cancer 1997;73:356–361.
Harwood C, Surentheran T, McGregor JM, et al. Human papillomavirus infection and non-melanoma skin cancer in immunosuppressed and immunocompetent individuals. J Med Virol 2000;61:289–297.
Ruas M, Peters G . The p16INK4a/CDKN2A tumor suppressor and its relatives. Biochim Biophys Acta 1998;1378:F115–F177.
Adachi Y, Lakka SS, Chandrasekar N, et al. Down-regulation of integrin α(v)β(3) expression and integrin-mediated signaling in glioma cells by adenovirus-mediated transfer of antisense urokinase-type plasminogen activator receptor (uPAR) and sense p16 genes. J Biol Chem 2001;276:47171–47177.
Harvat B, Wang A, Seth P, et al. Up-regulation of p27Kip1, p21WAF1/Cip1 and p16INK4a is associated with, but not sufficient for, induction of squamous differentiation. J Cell Sci 1998;111:1185–1196.
Rama S, Suresh Y, Rao AJ . TGFβ1 induces multiple independent signals to regulate human trophoblastic differentiation: mechanistic insights. Mol Cell Endocrinol 2003;206:123–136.
Minami R, Muta K, Umemura T, et al. p16INK4a induces differentiation and apoptosis in erythroid lineage cells. Exp Hematol 2003;31:355–362.
Acknowledgements
We thank Elise Nilsson for excellent technical assistance. We also thank the personnel at the Department of Plastic and Reconstructive Surgery, Malmö University Hospital, Sweden and all the patients who participated in this study. This research was supported by grants from the Swedish Cancer Society, Gunnar, Arvid and Elisabeth Nilsson Cancer Foundation, Lund University Research Funds, and Malmö University Hospital Research and Cancer Funds.
Author information
Authors and Affiliations
Corresponding author
Rights and permissions
About this article
Cite this article
Nilsson, K., Svensson, S. & Landberg, G. Retinoblastoma protein function and p16INK4a expression in actinic keratosis, squamous cell carcinoma in situ and invasive squamous cell carcinoma of the skin and links between p16INK4a expression and infiltrative behavior. Mod Pathol 17, 1464–1474 (2004). https://doi.org/10.1038/modpathol.3800220
Received:
Revised:
Accepted:
Published:
Issue date:
DOI: https://doi.org/10.1038/modpathol.3800220
Keywords
This article is cited by
-
Prognostic value of tumor suppressors in osteosarcoma before and after neoadjuvant chemotherapy
BMC Cancer (2015)
-
Differential p16/INK4A cyclin-dependent kinase inhibitor expression correlates with chemotherapy efficacy in a cohort of 88 malignant pleural mesothelioma patients
British Journal of Cancer (2015)
-
Correlations Between Prognosis and Regional Biomarker Profiles in Head and Neck Squamous Cell Carcinomas
Pathology & Oncology Research (2015)
-
Human Papillomaviruses, p16INK4a and Akt expression in basal cell carcinoma
Journal of Experimental & Clinical Cancer Research (2011)
-
p16Ink4a overexpression in cancer: a tumor suppressor gene associated with senescence and high-grade tumors
Oncogene (2011)









