Abstract
Ependymomas rarely show p53 gene alteration, and the tumorigenic mechanism of ependymomas still remains to be elucidated. We investigated the amplification and overexpression of mdm2 gene, whose product (MDM2) is considered to be one of the major cellular regulators of p53-mediated growth control, in 26 specimens of ependymomas obtained from 20 patients. The majority of the ependymomatous samples (96%) showed at least focal immunopositivity for MDM2; however, only 8% of the samples were immunopositive for p53. mdm2 gene amplification was detected in 35% of the samples by differential polymerase chain reaction, all of which overexpressed MDM2. These results suggest that the amplification and/or overexpression of mdm2 may be one of the major molecular events occurring in the tumorigenesis of ependymomas.
Similar content being viewed by others
INTRODUCTION
Relatively few studies have focused on the molecular biology of ependymomas in comparison to astrocytic tumors (1). In contrast to astrocytomas, p53 gene aberration is rarely detected in ependymomas (2, 3, 4), although a germline mutation has been described in one patient with anaplastic ependymoma (5, 6). The findings therefore indicate the existence of tumorigenic mechanisms of ependymomas that escape from normal p53-related cell cycle regulation.
Oncogene mdm2, localized to chromosome 12q13–14 (7), was originally cloned as a highly amplified gene from spontaneously transformed BALB/c 3T3 cell lines (8). The mdm2 gene product (MDM2) binds to p53 protein and inactivates its transactivating capability and is thus believed to act as a cellular regulator of the p53 protein. When overexpressed, MDM2 is capable of increasing the tumorigenic potential of NIH3T3 cells (9). Furthermore, mdm2 has been reported to be amplified and/or overexpressed in a variety of human neoplasms, such as sarcomas (7, 10, 11, 12, 13), lymphomas (14, 15), breast cancers (16, 17), lung cancers (18), and testicular germ cell tumors (19).
Regarding neuroepithelial tumors, Newcomb and colleagues (20, 21) failed to detect mdm2 amplification in any grade of astrocytomas. However, Reifenberger et al. (22, 23) reported that up to 10% of glioblastomas showed mdm2 amplification, and these samples lacked p53 mutations. On the other hand, MDM2 overexpression in astrocytic tumors has been detected in 29% of low-grade astrocytomas, 13 to 43% of anaplastic astrocytoma, and 46 to 59% of glioblastomas (21, 24, 25). Recently, Biernat et al. (26) described that mdm2 was amplified and/or overexpressed preferentially in primary glioblastomas, which typically lack p53 mutations. Reifenberger et al. (22) and Tong et al. (27) also tested ependymal tumors, and both of them mentioned that almost no mdm2 amplification was detected. They did not, however, study the MDM2 protein expression. As discussed in the previous studies of glioblastomas (26), as well as those of lymphomas (14, 15), MDM2 was found to be overexpressed in some types of neoplasms without mdm2 gene amplification.
These previous findings prompted us to investigate the amplification and expression of the mdm2 gene in various subtypes of ependymomas in an extended series. In the current study, we screened biopsied ependymomatous samples for mdm2 gene amplification by differential polymerase chain reaction (PCR) and for its overexpression by an immunohistochemical analysis. We discuss the implications of our findings in the tumorigenic mechanisms of ependymomas.
MATERIALS AND METHODS
Ependymomatous Samples
Twenty-six ependymomatous specimens from 20 patients were obtained at surgery. Of these, six specimens were recurrent tumors sampled from four patients. The specimens were immediately immersed in 10% buffered formalin and were fixed overnight. They were then embedded in paraffin. The sections were routinely stained with hematoxylin and eosin. According to the revised World Health Organization classification (28), the specimens included 4 samples of myxopapillary variant taken from 2 patients, 13 samples of common ependymoma from 11 patients, and 9 samples of anaplastic variant from 7 patients. The patients’ age and sex, the location of the tumor, and the histology are summarized in Table 1.
Immunohistochemistry
Anti-MDM2 monoclonal antibody (mAb) (clone Ab1) and anti-p53 mAb (clone Pab1801) were purchased from Calbiochem (La Jolla, CA) and Novocastra (Newcastle, UK), respectively. Immunohistochemical analysis for MDM2 and p53 were carried out by biotin-streptavidin method as described elsewhere (29). Briefly, the sections were dewaxed and incubated in 0.3% H2O2/methanol for 30 min, followed by antigen retrieval by autoclaving in 10 mm citrate buffer pH 6.0 at 120° C for 10 min. After being washed in Tris-HCl buffer (TB) pH 7.6, the sections were incubated with Ab1 (1:10) or Pab1801 (1:20) at 4° C overnight. The sections were then washed in TB and incubated with biotinylated antimouse immunoglobulin (Amersham, Buckinghamshire, UK; 1:200) for 60 min. After being washed in TB, the sections were incubated with horseradish peroxidase-conjugated streptavidin (Amersham; 1:300) for 30 min. The sections were washed in TB, and the reaction products were visualized with diaminobenzidine. In both MDM2 and p53 immunostaining, nuclear staining was judged as positive. We regarded weak staining as positive and indicative of an overexpression of proteins, because both MDM2 and p53 are hardly detected immunohistochemically in mature tissue specimens under normal cell cycle regulation because of their short half-life. We classified the immunopositivity into 2+ (more than 50% of cells are positive), + (fewer than 50% of cells are positive), ± (only a few positive cells), and − (no positive cells). In cases of a heterogeneous distribution of the labeled nuclei, we assessed the immunopositivity in the area with the highest density of stained nuclei.
Differential PCR
DNA was extracted as previously described (30) from the histologically verified, paraffin-embedded ependymoma specimens. Differential PCR was performed to investigate the amplification of mdm2 gene according to the protocols reported previously (26, 31), with some modifications. Briefly, 5 μl of a template was amplified in 50 μl reaction mixture containing 10 mm Tris-HCl pH 9.0, 50 mm KCl, 0.1% Triton X-100, 1.5 mm MgCl2, 200 μm dNTPs, 0.5 μm primers for mdm2, and 0.5 μm primers for dopamine receptor 2 gene (DR2) as reference (26) and 1.5 U Taq DNA polymerase (Promega, Madison, WI). After denaturation at 95° C for 3 min, 25 cycles of PCR (95° C for 1 min, 55° C for 1 min, and 72° C for 1 min) were performed with a final extension at 72° C for 5 min. The PCR products were electrophoresed in 8% polyacrylamide gel and then stained with ethidium bromide. The intensity of the fluorescence of each band was estimated semiquantitatively with Fluoroimager 595 and ImageQuant version 4.2-J (Molecular Dynamics, Sunnyvale, CA). Any samples showing an intensity ratio of more than 4 for mdm2 and DR2 were considered to be positive for mdm2 amplification. Nontumoral DNA extracted from peripheral white blood cells of 21 healthy volunteers was also tested as controls.
RESULTS
Immunohistochemistry
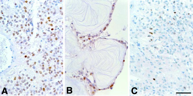
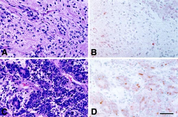
By MDM2 immunohistochemistry, 21 specimens (81%) showed 2+, 4 (15%) showed +, and 1 (4%) showed ±. Thus, the majority of specimens showed at least focal immunopositivity for MDM2 (Fig. 1). Positive nuclei showed variable staining intensity. The immunopositivity did not correlate with the anaplastic features described in the World Health Organization classification (28); however, it was interesting to note that both cases of myxopapillary ependymoma showed immunopositivity to MDM2 (Fig. 1B). One exception was a unique case of anaplastic ependymoma, Case A2, which showed the features of clear cell ependymoma intermingled with foci with increased cellularity, prominent mitotic figures, and apoptosis, thus indicating focal anaplastic transformation (Fig. 2C). This case demonstrated MDM2 immunopositivity preferentially in the anaplastic foci (Fig. 2D), whereas only a small population of the tumor cells were stained in the less cellular, clear cell ependymoma sites (Fig. 2A, B).
Immunohistochemistry for MDM2. A, sample C9′, common ependymoma. B, sample M1, myxopapillary type. In both cases, more than half of the tumor cells show nuclear staining with varying intensities. These samples were evaluated as 2+. C, sample A5, anaplastic ependymoma. Fewer than half of the tumor cells show nuclear staining. This sample was evaluated as + (bar = 50 μm).
Clear cell ependymoma showing focal anaplastic transformation (Sample A2). A and B, clear cell ependymoma site. Hematoxylin-eosin staining (HE) (A) shows diffuse proliferation of clear cell type ependymoma. MDM2 immunostaining (B) reveals that the majority of tumor cells in the clear cell ependymoma area are immunonegative for MDM2. C and D, anaplastic site. Dense proliferation of anaplastic tumor cells forming ependymal rosettes is evident (C, HE). Both mitotic figures and apoptotic bodies are frequently seen. MDM2 immunostaining of the anaplastic foci (D) shows immunopositivity in the nuclei of the tumor cells in more cellular, anaplastic tissue, whereas much less staining was seen in the intervening clear cell ependymoma tissue (bar = 50 μm).
Only two specimens (8%, corresponding to 10% of the cases) showed immunopositivity for p53 (one 2+ sample and one + sample). Both p53-positive specimens were also MDM2 positive, whereas most of the MDM2-positive specimens (96%, corresponding to 89% of the MDM2-positive cases) were negative for p53 (Table 1). Both MDM2 and p53 immunostaining tended to show a relatively intense positivity in cells adjoining necrotic foci, probably secondary to ischemia (32). We therefore evaluated the overall positivity of each section to the exclusion of such epigenetic events in the perinecrotic areas.
Differential PCR
None of the 21 nontumoral DNA samples showed mdm2 amplification (mdm2/DR2 ratio ranging from 0.84 to 1.06). In ependymomatous samples, mdm2 amplification was detected in nine specimens (35%), seven of which were common ependymomas from six cases and two of which were anaplastic ones from the recurrent samples of the same case (sample A3′, A3″). The myxopapillary type did not show mdm2 amplification. Except for case A3, all patients were adults and had common ependymomas. A representative gel image is shown in Figure 3. All nine specimens showed immunopositivity for MDM2 (Table 1).
DISCUSSION
The mdm2 gene is transactivated by p53 protein, and, conversely, MDM2 binds to the p53 protein and inhibits its transactivating capability, thus forming a negative-feedback loop between the molecules (33, 34). In addition, recent reports have demonstrated that MDM2 promotes the rapid degradation of p53 protein (35, 36). MDM2 is therefore believed to act as a cellular regulator of p53-mediated growth control.
In our study, the majority of the ependymomatous specimens showed at least focal immunopositivity for MDM2, whereas only two specimens (8%) showed immunopositivity for p53. Furthermore, mdm2 gene amplification was detected in up to 35% of the 26 surgical specimens. These findings are consistent with previous reports describing that ependymomas rarely show p53 gene mutations (2, 3, 4) and that neoplasms with mdm2 amplification typically lack p53 mutations (12, 22). The immunohistochemical findings are in contrast to those reported in glioblastomas by Newcomb et al. (21) in that up to 20 of the 80 glioblastomatous samples overexpressed both MDM2 and p53. The interaction of MDM2 and p53 may be differently altered in the oncogenesis of different types of tumor.
The frequency of mdm2 amplification was much higher in ependymomas than for that reported in glioblastomas (22, 23, 26), as well as our personal experience regarding glioblastomas (unpublished data); it was approximately 10%. In addition, mdm2 amplification tended to be detected in adult patients, whereas only one childhood case (Case A3) showed mdm2 amplification in recurrent samples. Whether this observation is due to a different cause between pediatric and adult ependymoma awaits further investigation.
Two cases, C5 and A3, showed different results in differential PCR between the primary samples and the recurrent ones. Case C5 initially showed mdm2 amplification; however, the recurrent sample did not. Case A3 showed mdm2 amplification only in the two recurrent samples. Although we cannot exclude the possibility of biologic changes occurring in the tumors after the initial operation, other possible explanations could be proposed. The behavior of MDM2 is not equal in individual tumor cells even in the same section, and immunopositivity does not always correlate with gene amplification. Sample C5′ showed less population of the stained nuclei than C5 did (Table 1). Thus, the intensity of nuclear staining for MDM2 seems to reflect indirectly the degree of gene amplification, because in Cases C5 and A3, the samples that were negative for mdm2 amplification were obviously more weakly stained than those positive for the gene amplification. The results of differential PCR should therefore be interpreted as a characteristic of the predominant population of tumor cells in each sample examined.
The immunohistochemical findings in one anaplastic ependymoma (A2) seem to suggest a potential role of MDM2 in the anaplastic transformation; however, the overall results indicate that in ependymomas, mdm2 amplification and/or overexpression is not generally implicated in the development of anaplastic histologic features described in the World Health Organization classification (28).
In the present study, MDM2 immunopositivity was detected more frequently than mdm2 amplification (96% versus 35%). This finding suggests the existence of a mechanism of MDM2 overexpression other than gene amplification in ependymomas, as has been suggested in astrocytomas (21) and other neoplasms, such as enhanced transcription (37) and enhanced translation (38). A dilution effect caused by the heterogeneity of the tumor tissue may also result in an underestimation of mdm2/DR2 ratio (Table 1).
Our results contrast with those described by Reifenberger et al. (22) as well as Tong et al. (27) in which almost no mdm2 amplification was detected in ependymomas. The former used Southern hybridization, whereas the latter performed differential PCR using DNA extracted from paraffin sections, as we did in the present study. Although we chose a cutoff value of mdm2/DR2 intensity ratio more strictly than Tong et al. did, we detected mdm2 amplification more frequently among our cases. The reason for this discrepancy is uncertain. However, we assume that high frequency in MDM2 overexpression may, at least in part, result from the gene amplification.
p73 tumor suppressor protein, a p53 homologue that shares structural and functional homology with p53 protein (39, 40), also binds MDM2 (41, 42, 43, 44). Loiseau et al. (45) recently stated that p73 was transcriptionally overexpressed in ependymomas. Although MDM2 does not promote the degradation of p73 (41, 42, 43, 44), the functional significance of MDM2–p73 interaction in the tumorigenesis has yet to be determined (42, 43, 44).
Further investigation is therefore necessary to elucidate the relevance of mdm2 gene amplification and overexpression to the oncogenesis of ependymomas; however, this current study demonstrates that a considerable number of ependymomas are clearly associated with this genotypic and/or phenotypic change.
References
Hamilton RL, Pollack IF . The molecular biology of ependymomas. Brain Pathol 1997; 7: 807–822.
Fink KL, Rushing EJ, Schold SJ, Nisen PD . Infrequency of p53 gene mutations in ependymomas. J Neurol Oncol 1996; 27: 111–115.
Nozaki M, Tada M, Matsumoto R, Sawamura Y, Abe H, Iggo RD . Rare occurrence of inactivating p53 gene mutations in primary non-astrocytic tumors of the central nervous system: reappraisal by yeast functional assay. Acta Neuropathol 1998; 95: 291–296.
Ohgaki H, Eibl RH, Wiestler OD, Yasargil MG, Newcomb EW, Kleihues P . p53 mutations in nonastrocytic human brain tumors. Cancer Res 1991; 51: 6202–6205.
Metzger AK, Sheffield VC, Duyk G, Daneshvar L, Edwards MS, Cogen PH . Identification of a germ-line mutation in the p53 gene in a patient with an intracranial ependymoma. Proc Natl Acad Sci U S A 1991; 88: 7825–7829.
Tominaga T, Kayama T, Kumabe T, Sonoda Y, Yoshimoto T . Anaplastic ependymomas: clinical features and tumour suppressor gene p53 analysis. Acta Neurochir (Wien) 1995; 135: 163–170.
Oliner JD, Kinzler KW, Meltzer PS, George DL, Vogelstein B . Amplification of a gene encoding a p53-associated protein in human sarcomas. Nature 1992; 358: 80–83.
Cahilly SL, Yang FT, Francke U, George DL . Molecular analysis and chromosomal mapping of amplified genes isolated from a transformed mouse 3T3 cell line. Somat Cell Mol Genet 1987; 13: 235–244.
Fakharzadeh SS, Trusko SP, George DL . Tumorigenic potential associated with enhanced expression of a gene that is amplified in a mouse tumor cell line. EMBO J 1991; 10: 1565–1569.
Cordon CC, Latres E, Drobnjak M, Oliva MR, Pollack D, Woodruff JM, et al. Molecular abnormalities of mdm2 and p53 genes in adult soft tissue sarcomas. Cancer Res 1994; 54: 794–799.
Ladanyi M, Cha C, Lewis R, Jhanwar SC, Huvos AG, Healey JH . MDM2 gene amplification in metastatic osteosarcoma. Cancer Res 1993; 53: 16–18.
Leach FS, Tokino T, Meltzer P, Burrell M, Oliner JD, Smith S, et al. p53 Mutation, and MDM2 amplification in human soft tissue sarcomas. Cancer Res 1993; 53: 2231–2234.
Nakayama T, Toguchida J, Wadayama B, Kanoe H, Kotoura Y, Sasaki MS . MDM2 gene amplification in bone and soft-tissue tumors: association with tumor progression in differentiated adipose-tissue tumors. Int J Cancer 1995; 64: 342–346.
Capoulade C, Bressac-de Paillerets B, Lefrere I, Ronsin M, Feunteun J, Tursz T, et al. Overexpression of MDM2, due to enhanced translation, results in inactivation of wild-type p53 in Burkitt’s lymphoma cells. Oncogene 1998; 16: 1603–1610.
Watanabe T, Hotta T, Ichikawa A, Kinoshita T, Nagai H, Uchida T, et al. The MDM2 oncogene overexpression in chronic lymphocytic leukemia and low-grade lymphoma of B-cell origin. Blood 1994; 84: 3158–3165.
Marchetti A, Buttitta F, Girlando S, Dalla Palma P, Pellegrini S, Fina P, et al. Mdm2 gene alterations and mdm2 protein expression in breast carcinomas. J Pathol 1995; 175: 31–38.
McCann AH, Kirley A, Carney DN, Corbally N, Magee HM, Keating G, et al. Amplification of the MDM2 gene in human breast cancer and its association with MDM2 and p53 protein status. Br J Cancer 1995; 71: 981–985.
Marchetti A, Buttitta F, Pellegrini S, Merlo G, Chella A, Angeletti CA, et al. Mdm2 gene amplification and overexpression in non-small cell lung carcinomas with accumulation of the p53 protein in the absence of p53 gene mutations. Diagn Mol Pathol 1995; 4: 93–97.
Riou G, Barrois M, Prost S, Terrier MJ, Theodore C, Levine AJ . The p53 and mdm-2 genes in human testicular germ-cell tumors. Mol Carcinog 1995; 12: 124–131.
Lang FF, Miller DC, Pisharody S, Koslow M, Newcomb EW . High frequency of p53 protein accumulation without p53 gene mutation in human juvenile pilocytic, low grade and anaplastic astrocytomas. Oncogene 1994; 9: 949–954.
Newcomb EW, Cohen H, Lee SR, Bhalla SK, Bloom J, Hayes RL, et al. Survival of patients with glioblastoma multiforme is not influenced by altered expression of p16, p53, EGFR, MDM2 or Bcl-2 genes. Brain Pathol 1998; 8: 655–667.
Reifenberger G, Liu L, Ichimura K, Schmidt EE, Collins VP . Amplification and overexpression of the MDM2 gene in a subset of human malignant gliomas without p53 mutations. Cancer Res 1993; 53: 2736–2739.
Reifenberger G, Reifenberger J, Ichimura K, Meltzer PS, Collins VP . Amplification of multiple genes from chromosomal region 12q13–14 in human malignant gliomas: preliminary mapping of the amplicons shows preferential involvement of CDK4, SAS, and MDM2. Cancer Res 1994; 54: 4299–4303.
Korkolopoulou P, Christodoulou P, Kouzelis K, Hadjiyannakis M, Priftis A, Stamoulis G, et al. MDM2 and p53 expression in gliomas: a multivariate survival analysis including proliferation markers and epidermal growth factor receptor. Br J Cancer 1997; 75: 1269–1278.
Rainov NG, Dobberstein KU, Bahn H, Holzhausen HJ, Lautenschlager C, Heidecke V, et al. Prognostic factors in malignant glioma: influence of the overexpression of oncogene and tumor-suppressor gene products on survival. J Neurol Oncol 1997; 35: 13–28.
Biernat W, Kleihues P, Yonekawa Y, Ohgaki H . Amplification and overexpression of mdm2 in primary (de novo) glioblastomas. J Neuropathol Exp Neurol 1997; 56: 180–185.
Tong CYK, Ng H-K, Pang JCS, Hui ABY, Ji HCW, Lee JCK . Molecular genetic analysis of non-astrocytic gliomas. Histopathology 1999; 34: 331–341.
Kleihues P, Burger PC, Scheithauer BW . Histological typing of tumors of the central nervous system. Berlin:Springer-Verlag; 1993.
Hitotsumatsu T, Iwaki T, Kitamoto T, Mizoguchi M, Suzuki SO, Hamada Y, et al. Expression of neurofibromatosis 2 protein in human brain tumors: an immunohistochemical study. Acta Neuropathol 1997; 93: 225–232.
Suzuki SO, Mizoguchi M, Iwaki T . Detection of SV40 T antigen genome in human gliomas. Brain Tumor Pathol 1997; 14: 125–129.
Hunter SB, Abbott K, Varma VA, Olson JJ, Barnett DW, James CD . Reliability of differential PCR for the detection of EGFR and MDM2 gene amplification in DNA extracted from FFPE glioma tissue. J Neuropathol Exp Neurol 1995; 54: 57–564.
Li Y, Chopp M, Powers C, Jiang N . Apoptosis and protein expression after focal cerebral ischemia in rat. Brain Res 1997; 765: 301–312.
Momand J, Zambetti GP, Olson DC, George D, Levine AJ . The mdm-2 oncogene product forms a complex with the p53 protein and inhibits p53-mediated transactivation. Cell 1992; 69: 1237–1245.
Wu X, Bayle JH, Olson D, Levine AJ . The p53-mdm-2 autoregulatory feedback loop. Genes Dev 1993; 7: 1126–1132.
Haupt Y, Maya R, Kazaz A, Oren M . Mdm2 promotes the rapid degradation of p53. Nature 1997; 387: 296–299.
Kubbutat M, Jones SN, Vousden KH . Regulation of p53 stability by mdm2. Nature 1997; 387: 299–303.
Buseo-Ramos CE, Yang Y, deLeon E, McCown P, Stass SA, Albitar M . The human MDM-2 oncogene is overexpressed in leukemias. Blood 1993; 82: 2617–2623.
Landers JE, Haines DS, Strauss J, George DL . Enhanced translation: a novel mechanism of mdm2 oncogene overexpression identified in human tumor cells. Oncogene 1994; 9: 2745–2750.
Kaghad M, Bonnet H, Yang A, Creancier L, Biscan JC, Valent A, et al. Monoallelically expressed gene related to p53 at 1p36, a region frequently deleted in neuroblastoma and other human cancers. Cell 1997; 90: 809–819.
Jost CA, Marin MC, Kaelin WG . P73 is a human p53-related protein that can induce apoptosis. Nature 1997; 389: 191–194.
Balint E, Bates S, Vousden KH . Mdm2 binds p73 alpha without targeting degradation. Oncogene 1999; 18: 3923–3929.
Dobbelstein M, Wienzek S, Konig C, Roth J . Inactivation of the p53-homologue p73 by the mdm2-oncoprotein. Oncogene 1999; 18: 2101–2106.
Ongkeko WM, Wang XQ, Siu WY, Lau A, Yamashita K, Harris AL, et al. MDM2 and MDMX bind and stabilize the p53-related protein p73. Curr Biol 1999; 9: 829–832.
Zeng XY, Chen LH, Jost CA, Maya R, Keller D, Wang XJ, et al. MDM2 suppresses p73 function without promoting p73 degradation. Mol Cell Biol 1999; 19: 3257–3266.
Loiseau H, Arsaut J, Demotes MJ . p73 gene transcripts in human brain tumors: overexpression and altered splicing in ependymomas. Neurosci Lett 1999; 263: 173–176.
Acknowledgements
This work was supported by Grant-in-Aid for Scientific Research from the Ministry of Education, Science, Sports and Culture, Japan (No. 10670163). We thank Ms. K. Hatanaka for her excellent technical support.
Author information
Authors and Affiliations
Corresponding author
Rights and permissions
About this article
Cite this article
Suzuki, S., Iwaki, T. Amplification and Overexpression of mdm2 Gene in Ependymomas. Mod Pathol 13, 548–553 (2000). https://doi.org/10.1038/modpathol.3880095
Accepted:
Published:
Issue date:
DOI: https://doi.org/10.1038/modpathol.3880095
Keywords
This article is cited by
-
Molecular Characteristics of Pediatric Ependymomas: A Systematic Review
SN Comprehensive Clinical Medicine (2019)
-
Spinal cord ependymoma: a review of the literature and case series of ten patients
Journal of Neuro-Oncology (2016)
-
Genetic differences on intracranial versus spinal cord ependymal tumors: a meta-analysis of genetic researches
European Spine Journal (2016)
-
Zinc and zinc-containing biomolecules in childhood brain tumors
Journal of Molecular Medicine (2016)
-
9p21 and 13q14 dosages in ependymomas. A clinicopathologic study of 101 cases
Modern Pathology (2004)





