Abstract
Immunohistochemical expressions of type 1 blood group antigens were studied for 95 cases of thyroid tumors, including 29 follicular adenomas, 23 follicular carcinomas, and 43 papillary carcinomas, applying monoclonal antibodies against DU-PAN-2, CA19–9, Lewisa (Lea), and Lewisb (Leb). Normal thyroid tissue invariably failed to express all four antigens. In follicular adenomas, DU-PAN-2 and CA19–9 were focally expressed in 7% and 21% of cases, and in follicular carcinomas, CA19–9 expression was limited to one case (4%); all cases were negative for DU-PAN-2. No or little expression of Lea or Leb was observed in these follicular tumors. In contrast, DU-PAN-2, CA19–9, Lea, and Leb were expressed in 98%, 84%, 33%, and 49% of 43 papillary carcinomas, respectively. The positive stainings were observed mainly on the luminal surface of the tumor cells. The number of tumor cells that expressed DU-PAN-2 generally was greater than that of tumor cells that expressed CA19–9, Lea, or Leb. There was no significant difference in antigen expressions in female papillary carcinomas between subjects who were younger and older than 50 years old. The results suggest that DU-PAN-2 would be a useful immunohistochemical marker for distinguishing papillary carcinomas from follicular tumors. These immunohistochemical profiles imply the following: the activity of α2–3 sialyltransferase, a specific glycosyltransferase, would be more strongly enhanced in papillary carcinomas than in follicular tumors; the antigen expressions in papillary carcinomas may not be related to the alteration of the female sex hormone environment.
Similar content being viewed by others
INTRODUCTION
Type 1 blood group–related antigens DU-PAN-2 and CA19–9 are recognized by the monoclonal antibodies DU-PAN-2, established from the pancreatic cancer cell line HPAF1 (1), and NS-19–9, from colorectal cancer cell line SW1116 (2), respectively. The antigen detected by monoclonal antibody C50, which immunoreacts with both DU-PAN-2 and CA19–9, is designated as CA50 (3, 4). The biosynthetic pathways of DU-PAN-2, CA19–9, Lewisa (Lea) and Lewisb (Leb) are summarily illustrated in Figure 1. The carbohydrate determinants recognized by DU-PAN-2 and NS-19–9 antibodies are defined as sialyl Lec and sialyl Lea, respectively. CA19–9 (sialyl Lea) is synthesized from DU-PAN-2 (sialyl Lec) through α1–4 fucosylation, meaning that the latter is a precursor of the former (5, 6).
DU-PAN-2 and CA19–9 are considered to be of use as serum markers for pancreatic cancers (7, 8, 9). However, several immunohistochemical studies have demonstrated that these two antigens are expressed in adenocarcinomas of several organs and normal counterparts as well as in pancreatic adenocarcinomas (10, 11, 12, 13, 14, 15, 16). We have reported that DU-PAN-2 and CA19–9 are immunohistochemically expressed distinctly in the late secretory endometrium but with no or occasional expressions in the other cyclic endometrium and postmenopausal atrophic endometrium (15). It is interesting that endocervical glands reveal different immunohistochemical profiles. It is assumed that these antigen expressions in the normal endometrium would be closely regulated under the female sex hormone environment (15). Subsequently, we have demonstrated that DU-PAN-2 is expressed more frequently than CA19–9 in endometrial adenocarcinomas but with no correlation to menopausal status of the patients (16).
Most thyroid carcinomas are well-differentiated lesions of the major histologic type, papillary carcinoma or follicular carcinoma. Both have a relatively favorable clinical outcome and can be definitively distinguished by characteristic morphologic hallmarks. Only a few studies have demonstrated expressions of CA19–9 and CA50 in thyroid tumors (14, 17). To our knowledge, there have been no reports of DU-PAN-2 expression in thyroid tumors. In the current study, we attempted to discriminate between papillary carcinomas and follicular tumors on the basis of the immunohistochemical expressions of type 1 blood group antigens, including DU-PAN-2, CA19–9, Lea, and Leb. We propose that DU-PAN-2 is a potential surrogate for CA19–9 as an immunohistochemical marker in the distinction of papillary carcinomas from follicular tumors.
MATERIALS AND METHODS
Tissues
Tissues from 95 patients who underwent surgical treatment for thyroid tumors were studied. The patients included 76 women and 19 men, aged 20 to 81 years (mean, 51 years). Lesions studied were 29 follicular adenomas, 23 follicular carcinomas, and 43 papillary carcinomas, including 8 cases of the follicular variant. Hashimoto thyroiditis was found in nine cases (four cases of follicular adenoma, one case of follicular carcinoma, four cases of papillary carcinoma). Normal thyroid tissue adjacent to these tumors was examined in 79 cases. Tissue blocks from the surgical specimens were routinely fixed in 10% formalin and embedded in paraffin and serially cut into 3-μm-thick sections. A representative section in each case was chosen for the immunohistochemical study.
Immunohistochemistry
Sections were stained by an indirect immunoperoxidase technique. Briefly, after deparaffinization and dehydration, sections were treated with a solution of 0.03% hydrogen peroxide in methanol to block endogenous peroxidase activity. Sections were washed in water and rinsed in 0.01 m phosphate buffered saline (PBS), pH 7.4, then incubated with monoclonal antibodies against DU-PAN-2 (clone DU-PAN-2, diluted at 1:50; Kyowa Medex, Mishima, Japan), CA19–9 (clone 1116-NS-19–9, diluted at 1:50; Fujirebio Diagnostics, Malvern, PA), Lea (clone 7LE, diluted at 1:100; Biogenex, Dublin, CA), and Leb (clone 2–25LE, diluted at 1:100, Biogenex) at room temperature (RT) for 60 min. Then, sections were rinsed three times in PBS and subsequently incubated with peroxidase-conjugated goat antimouse immunoglobulins (diluted at 1:50; Dako, Glostrup, Denmark) at RT for 60 min. Sections were rinsed again and incubated with a solution of 0.02% diaminobenzidine tetrahydrochloride and 0.003% hydrogen peroxide in Tris-hydrochloric acid buffer, pH 7.6. Sections were lightly counterstained with Mayer’s hematoxylin. As a positive control, endometrial carcinoma with a high serum DU-PAN-2 level or a high serum CA19–9 level was used. As negative controls, sections were incubated with nonimmune mouse serum in place of the primary antibodies. The extent of the staining was semiquantitatively estimated as follows: negative (−), 0%; mild (+), up to 10%; moderate (++), between 10 and 40%; and marked (+++), between 40 and 80%.
Statistical Analysis
The data were analyzed using the χ2 test to assess the relationship between antigen expressions and the age of female patients. P < .05 was regarded as significant.
RESULTS
The staining profiles for DU-PAN-2, CA19–9, Lea, and Leb are shown in Figure 2. Follicular epithelial cells from normal thyroid tissue were consistently negative for all four antigens.
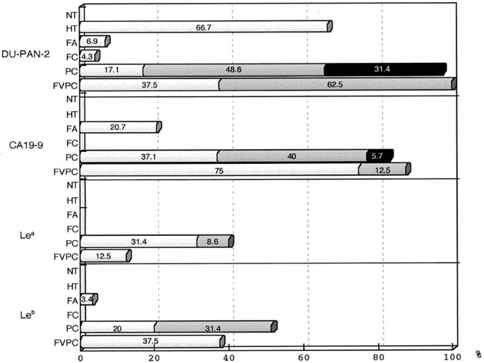
Expressions of DU-PAN-2, CA19–9, Lea, and Leb in normal, inflammatory, and neoplastic thyroids. □, up to 10% positive cells (+); ▒, between 10 and 40% positive cells (++); ▪, between 40 and 80% positive cells (+++); NT, normal thyroid (n = 79); HT, Hashimoto thyroiditis (n = 9); FA, follicular adenoma (n = 29); FC, follicular carcinoma (n = 23); PC, papillary carcinoma (n = 35); FVPC, follicular variant of papillary carcinoma (n = 8).
In 29 follicular adenomas, DU-PAN-2 and CA19–9 were focally expressed in two cases (7%) and six cases (21%), respectively. The two cases with DU-PAN-2 expression were positive for CA19–9. In 23 follicular carcinomas, CA19–9 expression was limited to 1 case (4%), and all cases were negative for DU-PAN-2. The positive stainings were observed mainly on the luminal surface of the tumor cells. Expressions of Lea and Leb were local in these follicular tumors.
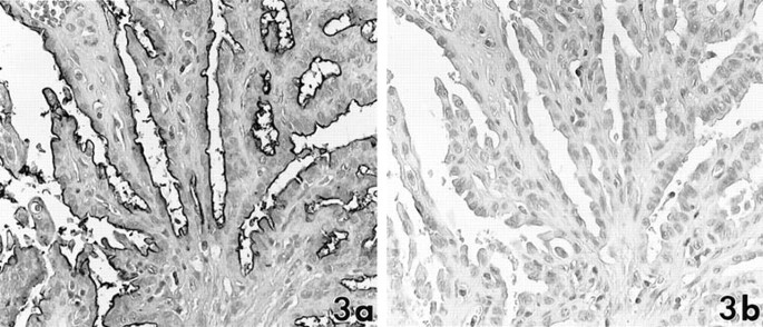
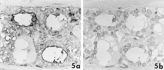
In 43 papillary carcinomas, DU-PAN-2 and CA19–9 were expressed in 42 cases (98%) and 36 cases (84%), respectively. Lea and Leb were occasionally or focally present in 14 (33%) and 21 (49%) cases. The number of tumor cells that expressed DU-PAN-2 was necessarily greater than that expressing CA19–9 and Lea or Leb. The majority of DU-PAN-2–positive cases showed moderate (2+) or marked (3+) staining. Six cases were positive for DU-PAN-2 but negative for CA19–9, Lea, and Leb (Fig. 3). These antigens showed a tendency toward pronounced expressions in invasive elements of tumors in the presence or absence of fibrous stroma (Fig. 4). All of eight follicular variants were positive for DU-PAN-2 but restrictedly stained for CA19–9, Lea, and Leb (Fig. 5). These reaction products were distributed predominantly on the apical membrane of the tumor cells but also occasionally around the cell membrane or the cytoplasm. Colloid substances were rarely stained for these antibodies, and no stromal components expressed the antigens.
In the area of Hashimoto thyroiditis accompanying nine tumors, DU-PAN-2 was expressed in six cases (67%). The distribution was confined to the luminal surface of follicular cells, which were adjacent to or intermingled with the lymphoid follicles (Fig. 6). CA19–9, Lea, and Leb were negative in the lesion.
The incidence of antigen expressions in female papillary carcinomas according to the patient age was as follows (Fig. 7): younger than 50 years, 100% for DU-PAN-2, 95% for CA19–9, 33% for Lea, and 52% for Leb; 50 years or older, 93% for DU-PAN-2, 67% for CA19–9, 33% for Lea, and 47% for Leb. Although the difference in the CA19–9 expression ratios was relatively large, no significant difference in antigen expression was detected between the two groups.
DISCUSSION
In the present study, we analyzed the immunohistochemical expressions of DU-PAN-2, CA19–9, Lea, and Leb in thyroid tumors, using a well-defined panel of monoclonal antibodies. The results show that follicular tumors and papillary carcinomas are distinguishable by characteristic immunohistochemical profiles. Follicular tumors were less frequently stained for these antibodies. In contrast, papillary carcinomas, including eight of the follicular variants, much more frequently expressed DU-PAN-2 and CA19–9 with a higher positive incidence for DU-PAN-2, although expressions of Lea and Leb were relatively uncommon. In number, DU-PAN-2–positive tumor cells distinctly dominated over CA19–9–, Lea-, and Leb-positive tumor cells. Evidence of frequent expression of CA19–9 in papillary carcinomas of the thyroid has been provided by previous investigations (14, 17). Several immunohistochemical studies, including our own in normal endometrium (15) and endometrial adenocarcinoma (16), have shown the expression of these antigens in normal mucosa as well as in adenocarcinomas of other sites (10, 11, 12, 13, 14, 15, 16). However, normal thyroid tissue was invariably negative for these antigens. Therefore, expressions of type 1 blood group antigens in papillary carcinomas of the thyroid could be oncofetal expressions, which differ from those of the other sites.
In general, the pathologic diagnosis and classification of thyroid tumors is to a large extent based on microscopic findings. Papillary carcinomas in the thyroid have been shown to possess characteristic morphologic features. However, these features are not totally restricted to papillary carcinomas. The differentiation of follicular variants of papillary carcinoma from usual follicular carcinomas as well as of benign from malignant follicular tumors remains the most problematic area in surgical pathology (18). For these diagnostic problems, Raphael et al. (19) mentioned that high-molecular-weight cytokeratin and cytokeratin 19 are useful in the distinction of papillary carcinomas from follicular tumors or hyperplastic nodules. The differences of type 1 blood group antigen expressions we demonstrated suggest that DU-PAN-2 is a helpful marker in distinguishing papillary carcinomas from follicular carcinomas. These two types need to be diagnosed accurately because they differ considerably in biologic behavior and clinical outcome (20, 21).
Serum assays for DU-PAN-2 and CA19–9 have been applied to the diagnosis and monitoring of pancreatic carcinomas (7, 8, 9). The level of CA19–9 in the serum of thyroid cancer patients is far lower than that expressed immunohistochemically (22, 23). DU-PAN-2 and CA19–9 were expressed mainly on the apical membrane of tumor cells, with little or no expressions of these two antigens in colloids and stromal tissues. The findings are interpreted as follows: the stagnation or localization of these antigens on the cell membrane may result in the lowering of serum levels in thyroid cancer patients. At least in pancreatic carcinomas (9), it has been suggested that the shedding of antigen into the stroma adjacent to tumor cells is one of the major mechanisms by which serum DU-PAN-2 and CA19–9 levels increase. CA19–9 is thought to mediate the adhesion of cancer cells to the vascular endothelium as a ligand of E-selectin (24), and the prognosis for colorectal cancer patients with a high serum level of CA19–9 generally is unfavorable in comparison with that of patients with a lower serum level (25). As for papillary carcinomas in the thyroid, it remains to be clarified whether DU-PAN-2 or CA19–9 is useful for predicting the clinical outcome serologically or immunohistochemically. Given the functional significance of DU-PAN-2 and CA19–9, it is of interest that these antigens tend to be expressed more frequently in the invasive area of papillary carcinomas.
The synthesis of blood group antigens in carcinoma cells is believed to be a consequence of the activation of specific glycosyltransferases, which are suppressed in normal cells (26). However, the glycosyltransferases may compete with each other for the same substrate and may modify the antigen expression (6). Figure 1 depicts the biosynthetic pathways of DU-PAN-2, CA19–9, Lea, and Leb. In papillary carcinomas that frequently express DU-PAN-2 and CA19–9 but less frequently express Lea and Leb, it is speculated that the activity of the specific glycosyltransferases is increased; α2–3 sialyltransferase may be highly activated as compared with α1–4 fucosyltransferase. However, it seems that normal thyroids or the vast majority of follicular tumors are devoid of the activities of the specific glycosyltransferases, whereas expression of DU-PAN-2 on non-neoplastic follicular cells in Hashimoto thyroiditis means that α2–3 sialyltransferase may be activated to some extent during the inflammatory changes as well as in the tumors.
Epidemiologic investigations have suggested that female sex hormones play a role in the occurrence of thyroid neoplasms. Indeed, papillary carcinomas of the thyroid occur predominantly in females during their reproductive years (20, 21). Our recent studies have indicated that hormonal factors would influence the expressions of DU-PAN-2 and CA19–9 in normal endometrium but not those in endometrial carcinomas (15, 16). We thus examined whether the alteration of the female sex hormone environment would give rise to significant changes of expressions of DU-PAN-2, CA19–9, Lea, and Leb in thyroid tumors. When female patients with papillary carcinoma were conveniently separated into those younger and older than 50 years, used as a surrogate measure of pre- or postmenopausal status, there was no significant relationship between these antigen expression patterns and age. This result suggests that expressions of the four antigens in papillary carcinomas are not associated with or dependent on hormone regulation.
In conclusion, DU-PAN-2, CA19–9, Lea, and Leb are immunohistochemically expressed more predominantly in papillary carcinomas than in follicular tumors, irrespective of the female sex hormone status. Among the four markers, DU-PAN-2 antibody could considerably aid in the diagnosis of papillary carcinomas in routine surgical pathology. Further studies are expected to clarify the relationship between these type 1 blood antigen expressions and the activation of specific glycosyltransferases.
References
Metzgar RS, Gaillard MT, Levine SJ, Tuck FL, Bossen EH, Borowitz MJ . Antigens of human pancreatic adenocarcinoma cells defined by murine monoclonal antibodies. Cancer Res 1982; 42: 601–608.
Koprowski H, Steplewski Z, Mitchell K, Herlyn M, Herlyn D, Fuhrer P . Colorectal carcinoma antigens detected by hybridoma antibodies. Somatic Cell Genet 1979; 5: 957–972.
Lindholm L, Holmgren J, Svennerholm L, Fredman P, Nillson O, Myrvold H, et al. Monoclonal antibodies against gastrointestinal tumour-associated antigens isolated as monosialogangliosides. Int Arch Allergy Appl Immunol 1983; 71: 178–181.
Nilsson O, Mansson JE, Lindholm L, Holmgren J, Svennerholm L . Sialosyllactotetraosylceramide, a novel ganglioside antigen detected in human carcinoma by a monoclonal antibody. FEBS Lett 1986; 182: 398–402.
Kawa S, Tokoo M, Oguchi H, Furuta S, Hommma T, Hasegawa Y, et al. Epitope analysis of Span-1 and DUPAN-2 using synthesized glycoconjugates sialyllact-N-fucopentaose II and sialyllact-N-tetraose. Pancreas 1994; 9: 692–697.
Narimatsu H, Iwasaki H, Nakayama F, Ikahara Y, Kudo T, Nishihara S, et al. Lewis and secretor gene dosages affect CA19–9 and DU-PAN-2 serum levels in normal individuals and colorectal cancer patients. Cancer Res 1998; 58: 512–518.
Sawabu N, Toya D, Takemori Y, Hattori N, Fukui M . Measurement of a pancreatic cancer-associated antigen (DUPAN-2) detected by a monoclonal antibody in sera of patients with digestive cancers. Int J Cancer 1986; 693–696.
Haglund C, Roberts PJ, Kuuesla P, Scheinin TM, Makela O, Jalanko H . Evaluation of CA19–9 as a serum tumour marker in pancreatic cancer. Br J Cancer 1986; 53: 197–202.
Suzuki Y, Ichihara T, Nakao A, Sakamoto J, Takagi H, Nagura H . High serum levels of DUPAN2 antigen and CA19–9 in pancreatic cancer. Correlation with immunocytochemical localization of antigens in cancer cells. Hepatogastroenterology 1988; 35: 128–135.
Borowitz MJ, Tuck FL, Sindelar WF, Fernsten PD, Metzgar RS . Monoclonal antibodies against human pancreatic adenocarcinoma: distribution of DU-PAN-2 antigen on glandular epithelia and adenocarcinomas. J Natl Cancer Inst 1984; 72: 999–1005.
Itzkowitz SH, Yuan M, Fukushi Y, Lee H, Shi Z, Zurawski V Jr, et al. Immunohistochemical comparison of Lea, monosialosyl Lea (CA19–9), and disialosyl Lea antigens in human colorectal and pancreatic tissues. Cancer Res 1988; 48: 3834–3842.
Schwenk J, Makovitzky J . Comparative study on the expression of the blood group antigens Lea, Leb, Lex, Ley and the carbohydrate antigens CA19–9 and CA50 in chronic pancreatitis and pancreatic carcinoma. Virchows Arch A Pathol Anat 1989; 414: 465–476.
Terada T, Nakanuma Y . Cell kinetic analyses and expression of carcinoembryonic antigen, carbohydrate antigen 19–9 and DU-PAN-2 in hyperplastic, pre-neoplastic and neoplastic lesions of intrahepatic bile ducts in livers with hepatoliths. Virchows Arch A Pathol Anat 1992; 420: 327–335.
Gatalica Z, Miettinen M . Distribution of carcinoma antigens CA19–9 and CA15–3. An immunohistochemical study of 400 tumors. Appl Immunohistochem 1994; 2: 205–211.
Kamoshida S, Yasuda M, Serizawa A, Muramatsu T, Shinozuka T, Makino T, et al. Immunohistochemical analysis of DU-PAN-2, CA19–9 and Lea in normal uterine glands. AIMM 1999; 7: 116–121.
Muramatsu T, Yasuda M, Itoh J, Kamoshida S, Hirasawa T, Murakami M, et al. Immunohistochemical characterization of DU-PAN-2 expression in endometrial adenocarcinomas, associated with CA19–9 expression. AIMM 1999; 7: 173–180.
Vierbuchen M, Schroder S, Uhlenbruck G, Ortmann M, Fischer R . CA 50 and CA 19–9 antigen expression in normal, hyperplastic, and neoplastic thyroid tissue. Lab Invest 1989; 60: 726–732.
Saxe’n E, Franssila KO, Bjarnason O, Normann T, Ringertz N . Observer variation in histologic classification of thyroid cancer. Acta Pathol Microbiol Scand [A] 1978; 86: 483–486.
Raphael SJ, McKeown-Eyssen G, Asa SL . High-molecular-weight cytokeratin and cytokeratin-19 in the diagnosis of thyroid tumors. Mod Pathol 1994; 7: 295–300.
Russell MA, Glbert EF, Jaeschke WF . Prognostic features of thyroid cancer: a long term follow-up of 68 cases. Cancer 1975; 36: 553–559.
Woolner LB, Beahrs OH, Black BM, McConahey WM, Keating F Jr . Classification and prognosis of thyroid carcinoma. A study of 885 cases observed in a thirty year period. Am J Surg 1961; 102: 354–387.
Hashimoto T, Matsubara F, Mizukami Y, Miyazaki I, Michigishi T, Yanaihara N . Tumor markers and oncogene expression in thyroid cancer using biochemical and immunohistochemical studies. Endocrinol Jpn 1990; 37: 247–254.
Matsuura B, Taniguchi Y, Nakanishi K, Murakami T, Ohta Y, Katoh R, et al. Serum levels and thyroid tissue expression of CA50 and CA19–9 in patients with thyroid tumor. Endocrinol Jpn 1991; 38: 565–571.
Takada A, Ohmori K, Yoneda T, Tsuyuoka K, Hasegawa A, Kiso M, et al. Contribution of carbohydrate antigens sialyl Lewis A and sialyl Lewis X to adhesion of human cancer cells to vascular endothelium. Cancer Res 1993; 53: 354–361.
Nakayama T, Watanabe M, Teramoto T, Kitajima M . CA19–9 as a predictor of recurrence in patients with colorectal cancer. J Surg Oncol 1997; 66: 238–343.
Hakomori S . Aberrant glycosylation in cancer cell membranes as focused on glycolipids: overview and perspectives. Cancer Res 1985; 45: 2405–2414.
Acknowledgements
The authors are grateful to Johbu Itoh, Ph.D., Laboratories for Structure and Function Research, School of Medicine, Tokai University, for the excellent photographs.
Author information
Authors and Affiliations
Corresponding author
Rights and permissions
About this article
Cite this article
Kamoshida, S., Ogane, N., Yasuda, M. et al. Immunohistochemical Study of Type-1 Blood Antigen Expressions in Thyroid Tumors: The Significance for Papillary Carcinomas. Mod Pathol 13, 736–741 (2000). https://doi.org/10.1038/modpathol.3880127
Accepted:
Published:
Issue date:
DOI: https://doi.org/10.1038/modpathol.3880127









