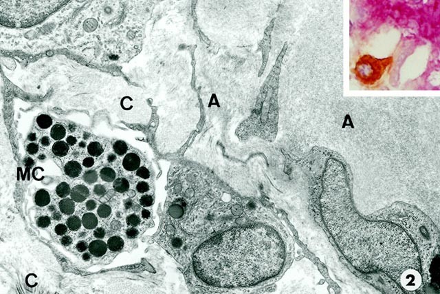
FIGURE 2
From: Increased Density of Interstitial Mast Cells in Amyloid A Renal Amyloidosis

Electron micrograph showing a mast cell (MC) embedded in extracellular matrix of the renal interstitium containing collagen fibers (C) and amyloid fibrils (A). Note the typical conus-shaped arrangement of amyloid fibrils (A-A) (original magnification, 19,000 ×). Inset: Mast cells stained with anti-chymase (3,3′-diaminobenzidine) in close proximity to interstitial amyloid stained with amyloid-A (new Fuchsin stain; original magnification, 1000 ×, oil immersion).