Abstract
Renal interstitial fibrosis is the final common pathway leading to end-stage renal disease in various nephropathies including renal amyloidosis. However, the role of mast cells (MCs) in the fibrotic process of renal amyloidosis is not fully understood. We compared the distribution of MCs in renal biopsies from 30 patients with AA type renal amyloidosis and 20 control cases. Immunoreactivity of renal MCs to anti-tryptase and anti-chymase was studied. Interstitial myofibroblasts were stained with anti-α-smooth muscle actin (α-SMA) antibody, and inflammatory cells were identified by anti-CD45, -CD20, and -CD68 mAbs. Positively stained cells were counted, and the relative interstitial and fractional areas of anti-α-SMA stained cells were measured. Anti-CD29 mAb was used to detect β1 integrin and anti-basic fibroblast growth factor (bFGF) mAb for the growth factor on MCs. MCs were rarely found in control samples. In contrast, samples showing amyloid deposition contained numerous tryptase-positive (MCT) (940.17 ± 5.4 versus 6.74 ± 1.1/mm2) but fewer chymase-positive (MCTC) cells (20.7 ± 2.86 versus 1.7 ± 0.76/mm2) in the renal interstitium. There was a significant relationship between interstitial MCT and creatinine clearance (r = −0.72), and between interstitial MCT and glomerular amyloid-index (GAI) (r = 0.723) and interstitial amyloid area (r = 0.824). Accumulation of MCs correlated significantly with the number of T lymphocytes (MCT: r = 0.694). There was also a significant relationship between mast cell (MC) number and the fractional area of α-SMA positive interstitium (r = 0.733) and interstitial fibrotic area (r = 0.6). Double immunostaining demonstrated intracytoplasmic presence of β1 integrin on 87% of MCT and correlated significantly with the interstitial amyloid area (r = 0.818, P = .001) and T-cell number (r = 0.639, P = .002). bFGF was also detected on 85.5% of MCTC correlating well with the interstitial α-SMA-area (r = 0.789). Our results indicate that MCs constitute an integral part of the overall inflammatory process and play a crucial role in interstitial fibrosis in renal amyloidosis.
Similar content being viewed by others
INTRODUCTION
Human mast cells (MCs) are a multifunctional tissue-dwelling cells with fundamental roles in various conditions such as allergy, inflammation, asthma, keloid-formation, angiogenesis, rheumatoid arthritis, fibrosis, soft part tumors, and cutaneous melanoma. Immunohistochemical, biochemical, and functional studies have shown that there are two phenotypically distinct types of MCs within the tissues. On the basis of protease content, MCs may thus be categorized as those containing both tryptase and chymase (MCTC), or tryptase but not chymase (MCT) (1). The MCT phenotype seems to play a role in host defense, whereas MCTC phenotype appears to be “non-immune system-related” cell involved in fibrosis and wound healing (2).
Mast cell (MC) hyperplasia and/or accumulation is a common phenomenon in various diseases associated with either high level of serum amyloid A (SAA) and C-reactive protein (3, 4) or SAA-fragments (AA) deposition in tissue (5). It has been demonstrated that SAA-like proteins bind to ECM components and induce T-lymphocyte adhesion (6). Using in vitro studies, Herskoviz et al. (7) demonstrated that MCs adhered to the immobilized ECM-SAA complex through integrin recognition.
MCs have been documented in various renal lesions, including diabetes nephropathy (8), IgA nephritis (9), rapidly progressive glomerulonephritis (RPGN) (10), and acute cellular rejection of renal allograft (11). Pavao-Macalusco in 1960 (12) observed the presence of MCs in various renal diseases (including three cases of renal amyloidosis) using metachromatic staining. There is a general agreement that MCs increase in number in chronic diseases and in the progression of different renal lesions characterized by the presence of tubulointerstitial lesions, including interstitial fibrosis (8, 10, 11), which are considered as poor prognostic markers of various renal diseases including renal amyloidosis (13). Changes in the area of interstitial fibrosis correlate better than the amount of amyloid deposition with renal function (13). The pathologic changes induced by MCs are in part due to serine proteases synthesized and released by MCs, such as tryptase and chymase as well as other bioactive mediators, because these are mitogenic for fibroblasts and known to induce collagen synthesis (2, 14, 15). However, the role of MCs in renal tubulointerstitial lesions has not yet been fully analyzed.
The aim of the present study was to demonstrate (1) the presence and phenotypes of MCs in interstitial renal tissues with amyloidosis A, (2) β1 integrin-expression on MCs located around amyloid deposition, and (3) determine the relationship between MCs and interstitial fibrotic process.
MATERIALS AND METHODS
Patients and Tissue Samples
Between 1969 and 1999, a total of 13,000 patients underwent percutaneous renal biopsy at Fukuoka University Hospital and other affiliated hospitals. Amyloid A nephropathy was diagnosed in 57 cases. In this study, renal tissue samples of 30 adult (more than 16 years old) patients (14 males and 16 females; mean age, 57.4 ± 2.1 years) with amyloid A nephropathy were selected at random. Only samples containing at least 10 glomeruli on paraffin blocks were included in this study. All kidney samples showed amyloid deposition in various amounts and different locations by light, immunofluorescence, and electron microscopy. The presence of amyloid was also confirmed in all kidney samples by a positive apple-green birefringence under polarized light in Congo red-stained preparations. Control samples consisted of 20 randomly selected renal biopsy samples from adult patients (9 males and 11 females; mean age, 56.2 ± 3.7 years) with thin glomerular membrane disease but normal extraglomerular renal structure and free of immune deposition, glomerulosclerosis, and inflammation. None of the patients had peripheral blood abnormalities and all had normal renal function and normal arterial blood pressure (less than 160/95 mmHg) and no or only mild proteinuria (less than 1.0 g/day). Clinical and laboratory data were also documented at the time of renal biopsy. The study protocol was approved by the Human Ethics Review Committee of Fukuoka University and a signed consent form was obtained.
Tissue Preparation
Tissue sections were stained with hematoxylin and eosin, Masson trichrome, periodic acid-Schiff, and periodic acid-methenamine-silver stain. To identify MCs, sections were stained by toluidine blue. Amyloid was demonstrated by Congo red staining, including pretreatment with permanganate and polarizing light as well as with immunohistochemistry.
Electron Microscopy (EM)
A proportion of the biopsy sample was fixed in 1.4% phosphate buffered glutaraldehyde, postfixed in OsO4, and embedded in Epon resin. Ultrathin sections were cut and stained by uranyl acetate and lead citrate. All samples were examined by an electron microscope.
Immunohistochemistry
All paraffin-embedded samples were stained for immunoreactivity to amyloid-A (AA) protein using a polyclonal human AA protein (DAKO, Glostrup, Denmark) at 1:100 dilution and standard APAAP (alkaline-phosphatase-anti-alkaline-phosphatase)complex, based on the immunoperoxidase method previously described by Looi (16). Sections were finally stained with 0.01% new Fuchsin (Merck, Germany), 0.01% NaN, 10 mg naphthol AS-BI phosphate (Sigma, St. Louis, MO), 0.1 mL of n.N-dimethyl formamide (Wako, Osaka, Japan) in 40 mL of 0.2 m Tris-HCl buffer (pH 8.2).
The staining method used in the present study for MCs has been described previously (10). Anti-human tryptase and chymase monoclonal antibodies were purchased from Chemicon (Temecula, CA). Anti-CD68, anti-CD20, anti-CD45, and anti-α-smooth muscle actin (α-SMA) mAbs were purchased from DAKO. Deparaffinized serial sections (3-μm-thick) were washed in 0.05 m Tris-HCl buffer containing 0.145 m NaCl, pH 7.5 (TBS), followed by pretreatment with protease for sections stained later for chymase or CD68, or autoclave pretreatment (121° C for 10 min) for sections stained for α-SMA. Sections were initially treated with 1% skim milk (Difco, USA) and incubated for 1 hour at 20° C with the primary antibody (anti-chymase antibody, 50 mg/mL, anti-tryptase antibody, 30 mg/mL), each dissolved in 3% bovine serum albumin. For negative control, we used vehicle alone or non-immunized animal immunoglobulin. After incubation, APAAP method was adopted, and sections were stained with new Fuchsin described above. Tissue for positive control consisted of biopsy samples from the small intestine for chymase and tryptase and renal vasculature for α-SMA.
Double Immunostaining
Double immunofluorescence. After treating deparaffinized sections with 0.005% protease (DAKO, Osaka, Japan) for 10 min, they were incubated with the first mouse antibody against human chymase (Chemicon) for 60 min at 20° C. After we washed them with TBS, sections were incubated with TRITC (rhodamine)-conjugated second rabbit-antibody against mouse immunoglobulin (DAKO) for 60 min at 20° C. Then, sections were treated with 1% skim milk for 30 min to minimize the background level. Sections were again incubated with the first rabbit antibody against human tryptase (BioPur, Switzerland) for 60 min at 20° C. After we washed them with TBS, sections were incubated with FITC-conjugated swine-antibody against rabbit immunoglobulin (DAKO) for 60 min at 20° C. After incubation, nuclei were stained with 4′6-diamidino-2-phenylindole (Sigma). Sections were then mounted and examined under a fluorescence microscope (Axioplan, Carl Zeiss Jena, Germany) with a fluorescence imaging system (Isis, Meta Systems, Germany). This method was used for the following double staining: anti-tryptase and/or chymase was combined with (1) anti-AA component (DAKO), or (2) basic fibroblast growth factor (Santa Cruz Biotech, Santa Cruz, CA) or anti-CD29 (Serotec, UK) antibodies.
Double Immunohistochemistry
This method was used for detection on the same tissue section the following molecules: tryptase or chymase with α-SMA, and tryptase or chymase with amyloid A protein. The method was similar to that described above, with the exception of staining MC-proteases by 3,3′-diaminobenzidine while α-SMA and amyloid A were stained by new-Fuchsin.
Morphometric Analysis
Several indexes were used to describe the severity of pathologic process based on previously published reports (10). (1) Relative interstitial area: A standard point counting method was used to quantitate the relative interstitial area (Aint) of the renal cortex. In this method, sections stained by the PAM method were examined under a high magnification (400 ×) using a 121-point (100 squares) eyepiece micrometer of 1 mm2. A total of 10 consecutive non-overlapping cortical fields (area, 0.625 mm2) were analyzed in each section of the biopsy. Points overlying the tubular basement membrane and interstitial space were counted while those falling on either Bowman's capsule or peritubular capillaries were ignored. Points falling on glomerular structures or on larger vessels were excluded from the total count. The results were expressed using the following formula: Aint = (number of grid intersections on the cortical interstitium/total number of grid intersections) × 100. (2) Interstitial immunoperoxidase staining for α-SMA was quantitated by the same point counting method described above. The fractional area was also calculated using the above formula. (3) Fractional area stained by Masson-trichrome was quantitated by the same point counting method described above and the results were expressed as a fractional area using the above formula. Interstitial fibrotic area represented the blue-colored extraglomerular, extratubular and extravascular area. (4) Interstitial immunoperoxidase staining for anti-AA antibody was quantitated by the same point counting method described above. The fractional area was also calculated using the above formula. All amyloid AA-stained extraglomerular, extratubular, and extravascular areas not surrounded by basement membrane and in direct contact with the interstitial connective tissue were identified as interstitial amyloid deposition. (5) The numbers of interstitial lymphocytes (CD20, CD45), macrophages (CD68, Ki-1), CD29, or bFGF positive chymase and tryptase positive MCs present in the cortical interstitial area were counted under a high magnification (400 ×) in 10 adjacent non-overlapping cortical fields (total area, 0.625 mm2 per biopsy specimen). Only cells with clearly identifiable nuclei were counted. Finally, the number of counted cells was expressed as cells per unit area (mm2). (6) The amount of glomerular amyloid (glomerular amyloid index, GAI) was graded on a scale of 0 to 4, based on the method of Shiiki (17), with grade 0 representing no glomerular amyloid deposits and grade 4 representing large amounts of amyloid, respectively.
Statistical Analysis
Data were expressed as mean ± SEM. Difference between groups was examined for statistical significance using the Student's t test and one-way analysis of variance (ANOVA). Association of categorical variables was examined by the χ2 test. Correlation between variables was assessed by linear regression analysis. A P value less than 5% denoted the presence of a statistically significant difference.
RESULTS
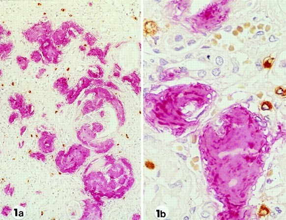
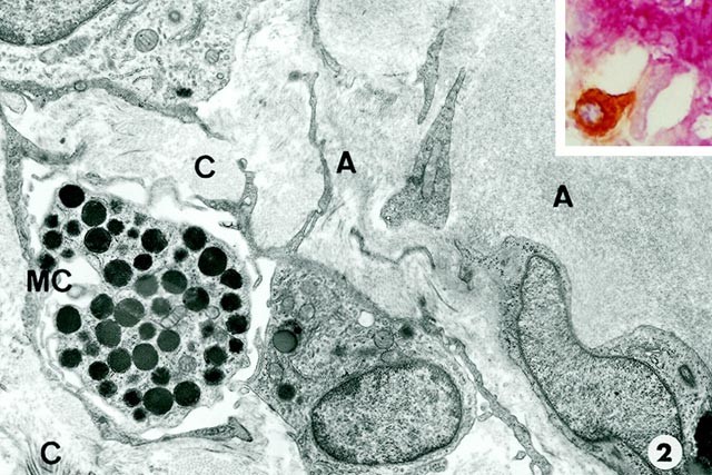
Table 1 presents selected clinical, laboratory, and histologic data of the control and study groups. In all renal samples, immunohistology showed the presence of rounded, elongated, or polygonal cells and each contained a central nucleus and abundant cytoplasm containing numerous tryptase- or chymase-positive granules or both, identifying these cells as MCs. A representative tissue sample containing MCT is shown in Figure 1A. Chymase was not observed in cells lacking tryptase. MCs were localized in the peritubular, perivascular, or periglomerular region in close proximity to AA deposits (Fig. 1B). Occasionally, the MCs were attached to the amyloid deposit (Fig. 2). MC degranulation was often observed at these sites. These MCs were usually not only degranulated, but also depleted of granules.
Electron micrograph showing a mast cell (MC) embedded in extracellular matrix of the renal interstitium containing collagen fibers (C) and amyloid fibrils (A). Note the typical conus-shaped arrangement of amyloid fibrils (A-A) (original magnification, 19,000 ×). Inset: Mast cells stained with anti-chymase (3,3′-diaminobenzidine) in close proximity to interstitial amyloid stained with amyloid-A (new Fuchsin stain; original magnification, 1000 ×, oil immersion).
Furthermore, intraglomerular MCs were never found in our tissue samples, although a few intratubular MCs were identified. MCs were mostly located on the periphery rather than within areas of lymphocytic accumulation. Furthermore, MCs were observed in α-SMA positive interstitial area, independent of the presence of amyloid deposits.
The density of both phenotypes of MCs was significantly higher in renal amyloid group than in the control (MCT: 40.17 ± 5.4 versus 6.74 ± 1.1/mm2, MCTC: 20.7 ± 2.86 versus 1.7 ± 0.76/mm2). Furthermore, MCs constituted the third most abundant interstitial inflammatory cell population in renal amyloidosis.
Relationship Between MC Phenotype and Pathologic Findings
We also analyzed the relationship between MC phenotype and pathologic findings. There was a significant relationship between glomerular amyloidosis index (GAI) and number of tryptase-positive mast cells (r = 0.723; P < .001). Furthermore, there was also a significant relationship between the number of interstitial T-lymphocytes and MCT (r = 0.694; P < .001) as well as MCTC (r = 0.696; P < .001). However, there was no relationship between the density of B-cells and MCT (r = 0.28, P > .05). There was a significant relationship between interstitial CD68+ macrophages and MCT (r = 0.458; P < .001) and between the relative volume of the interstitium and number of MCT (r = 0.812; P < .001). Furthermore, a significant relationship was present between the interstitial amyloid area and number of MCT (r = 0.824; P < .001) as well as T-cell number (r = 0.495; P < .01). We also found a close relationship between the fractional area of α-SMA (FAα-SMA) and number of MCs (MCT: r = 0.733 and MCTC: r = 0.807; P < .001). In addition, there was a significant relationship between fractional area of fibrosis (FAfib) and MCT (r = 0.66; P < .002) as well as MCTC (r = 0.63; P < .002) (Fig. 3).
Double immunostaining showed immunostaining of β1 integrin by anti-CD29-mAb both on the surface and cytoplasm of MCs. On average, 87% (34.9 ± 6.9) of renal MCT showed β1 staining (Fig. 4). This staining was not dependent on the presence of amyloid deposition. Other cell constituents of the renal tissue, including tubular epithelial cells, vascular endothelial cells, and the majority of glomerular cells were also variable reactive for anti-CD29 mAb. A good correlation was demonstrated between the number of CD29+ MCTC and that of T-cells (r = 0.639; P < .002), FAα-SMA (r = 0.694; P < .001), as well as interstitial amyloid area (r = 0.818; P < .001) (Fig. 5).
Using the double immunostaining method, bFGF was identified in some interstitial MCs, and was located in the cytoplasm of 48% (19.3 ± 3.2) of interstitial tryptase-positive cells and 85.5% (17.7 ± 2.5) of MCTC cells, independent of the presence or absence of amyloid deposition (Fig. 6, A–C).There was a significant relationship between the number of bFGF+ MCTC and interstitial fibrotic area (r = 0.721; P < .001) as well as α-SMA+ interstitial area (r = 0.789; P < .001) (Fig. 7) and between bFGF+ MCTC and interstitial amyloid positive area (r = 0.728; P < .001).
Renal interstitial mast cells stained with anti-chymase (rhodamine-labeled, A) containing intracytoplasmic bFGF protein (FITC-labeled, B). Photomicrograph (C) showing both colors are manifested in orange, whereas some cells (indicated by arrows) are stained by only anti-bFGF and appear green in color (double immunostaining; original magnification, 400 ×).
Clinicopathological Correlates
At the time of biopsy, 18 patients had nephrotic syndrome and 14 patients had elevated serum creatinine concentration (more than 2.0 mg/dL). The number of MCs was not influenced by age or gender, but correlated significantly with creatinine clearance (r = 0.72; P < .001), and serum creatinine level (r = 0.67; P < .001). Furthermore, there was a significant correlation between the degree of 24-hour proteinuria and number of MCT (r = 0.496; P < .001). A significantly higher number of MCT were detected in patients with hypertension (more than 165/95 mmHg, n = 6, 65 ± 11.3 versus 24 normotensive patients: 34 ± 5.5 cells/mm2; P < .05).
DISCUSSION
Human MCs play a pivotal role in the pathogenesis of acute allergic reactions, but they have also been observed to accumulate at sites of chronic inflammation and/or fibrosis in various disorders suggesting that MCs are also involved in fibrosis (18, 19, 20, 21). Very little is known about MC accumulation in amyloidosis (22), particularly in renal amyloidosis. Pavone-Macaluso (12) counted numerous MCs in the renal parenchyma of three biopsies from patients with amyloidosis associated with pyelonephritis. In contrast, Bohle et al. (13) found only a few MCs in 11 biopsies from patients with AA type renal amyloidosis, but did not discuss their importance or role in renal lesions. To our knowledge, our study is the first that provides a systematic analysis of the presence of MCs in AA-type renal amyloidosis.
We found a significantly high MC density in the renal interstitium of 30 patients with AA-type renal amyloidosis. Both subtypes of MCs were found in random distribution, mostly localized close to the interstitial and vascular amyloid deposits. Our analysis showed a significant correlation between the area of interstitial amyloid and the number of MCT (r = 0.824). MCs were also found in close proximity to glomeruli, which contained amyloid deposits and amyloid filled the Bowman's capsule, but these cells never appeared inside the glomerular capsule. MCs were found also in the nonamyloid interstitial area, although in fewer numbers.
The exact pathomechanism of MC involvement in renal amyloidosis is unclear. However, it is well known that in certain inflammatory diseases including AA amyloidosis, MC hyperplasia has also been observed with increased local and systemic levels of acute phase reactants such as SAA (3, 4, 23). In this regard, previous studies have shown that SAA and other SAA-like proteins adhere to ECM components (6). The binding site is located within the amino sequence of the AA molecule, the latter also contains cell adhesive epitopes within close proximity (24). Herskoviz et al. (7) demonstrated that human rSAA specifically binds to MCs, suggesting the possible presence of SAA receptor on MCs. In in vitro studies, they also documented MC and T-cell adhesion to the immobilized ECM-SAA complex through specific recognition sites on integrin (6, 7). Recently, β1-integrin (VLA-3, 4, 5)-expression has been demonstrated on human skin MCs, whose adhesion molecule mediates MC adhesion to fibronectin and laminin (25). Our present work using double immunostaining method documented for the first time that renal interstitial tryptase and/or chymase-positive MCs were also positive for β1 integrin. These cells were diffusely distributed in the interstitium, mostly close to amyloid deposits, but some also appeared in areas free of such deposits.
Despite the evidence of their presence, the pathologic role of MCs in renal tissues with amyloid deposition is still hypothetical. First, it seems that MCs form an integral part of the inflammatory process or reaction of the deposited amyloid in the renal tissue. In this study, we found a prominent T-cell inflammation that correlated significantly with the volume of interstitial amyloid deposits. In this regard, Bohle et al. (13) also demonstrated a marked increase in the number of T-cell in amyloidosis compared to normal. Our results also showed that the number MCs correlated with amyloid deposition, and also with T-cell numbers (r = 0.69), as was recently demonstrated in RPGN (6). On the other hand, MCs were located in close proximity to other inflammatory cells.
Previous studies have also shown that MC maturation and activation is regulated by various products (interleukin-3 and 4) of T-lymphocytes (26), whereas MC derivatives such as histamine, tryptase, chymase, TNF-α, and interleukins enhance inflammatory cell transmigration, maturation, and cytokine-release (2, 27). Previous reports suggested the involvement of apoptosis of either renal host cells (28) or T-cells (29) in the pathogenesis of both human and experimental renal amyloidosis. Further analysis is necessary to clarify the relationship between these two cell types in inflammatory processes as well in amyloidosis process.
Second, there is sufficient evidence to indicate that the presence of MCs enhances tissue fibrosis. A high MC density has been demonstrated at wound sites and fibrotic areas in various organs (18, 20, 21). Furthermore, previous studies have shown a significant relationship between the number of MCs and interstitial fibrosis in renal allografts (11), IgA nephritis (9), and RPGN (10). We also showed here a good correlation between the number of interstitial MCs and relative interstitial area as well as areas positive for α-SMA. The latter parameter represents the area of activated interstitial fibroblasts (myofibroblasts), which are important cellular components responsible for interstitial ECM production and accumulation (30).
In our cases, all MCs present in the interstitium were positive for intracytoplasmic bFGF, which is a strong mitogenic polypeptide (31). The close relationship between interstitial myofibroblasts and MCs is well-documented (10, 32). MC products exhibit proliferating activity for fibroblasts, inducing phenotype modulation, which is manifested in α-SMA expression and regulation of collagen synthesis (14, 33, 34). Interstitial fibrosis in renal amyloidosis is well documented and is considered as a poor prognostic factor, more significantly than the amount of amyloid deposition (13, 35). In this regard, Bohle et al. (13) reported that long-term prognosis of renal amyloidosis is worse when interstitial fibrosis is present at the time of biopsy.
In summary, we have demonstrated in this study that in renal amyloidosis, MC accumulation is an integral part of interstitial damage and may be a factor responsible for the inflammatory and fibrotic processes. Our study is the first to demonstrate the presence of β1 integrins on renal interstitial MCs as a mediator of cell-cell and cell-ECM adhesion. The AA molecule seems to serve as a connector, binding to MCs (through the integrin), whereas the other site binds to the ECM, providing a cross talk between MCs and other inflammatory and/or resident renal cells. The presence of bFGF suggests that these cells may play a crucial role in the activation of interstitial fibroblasts, myofibroblast phenotype modulation, and finally fibrosis.
References
Irani AM, Schechter NM, Craig SS, DeBlois G, Schwart LB . Two types of human mast cells that have distinct neutral protease compositions. Proc Natl Acad Sci U S A 1986; 83: 4464–4468.
Church MK, Levi-Schaffer F . The human mast cell. Updates on cells and cytokines. J Allergy Clin Immunol 1997; 99: 155–160.
Skinner M . Protein AA/SAA. J Intern Med 1992; 232: 513–514.
Steel DM, Whitehead AS . The major acute phase reactants: C-reactive protein, serum amyloid P component, and serum amyloid A protein. Immunol Today 1994; 15: 81–88.
Stone MJ . Amyloidosis: a final common pathway for protein deposition in tissues. Blood 1990; 75: 531–545.
Preciado-Patt L, Herskoviz R, Fridkin M, Lider O . Serum amyloid A binds specific extracellular matrix glycoproteins and induces the adhesion of resting CD4+ T cells. J Immunol 1996; 156: 1189–1195.
Herskoviz R, Preciado-Patt L, Lider O, Fridkin M, Dastych J, Metcalfe DD, et al. Extracellular matrix-anchored serum amyloid A preferentially induces mast cell adhesion. Am J Physiol 1997; 273: C179–C187.
Ruger BM, Hasan Q, Greenhill NS, Davis PF, Dunbae PR, Neale TJ . Mast cells and type VIII collagen in human diabetic nephropathy. Diabetologia 1996; 39: 1215–1222.
Ehara T, Shigematsu H . Contribution of mast cells to the tubulointerstitial lesions in IgA nephritis. Kidney Int 1998; 54: 1675–1683.
Tóth T, Tóth-Jakatics R, Jimi S, Ihara M, Urata H, Takebayashi S . Mast cells in rapidly progressive glomerulonephritis. J Am Soc Nephrol 1999; 10: 1498–1505.
Lajoie G, Nadasdy T, Laszik Z, Blick KE, Silva FG . Mast cells in acute cellular rejection of human renal allografts. Mod Pathol 1996; 9: 1118–1125.
Pavone-Macaluso M . Tissue mast cells in renal diseases. Acta Pathol 1960; 50: 337–346.
Bohle A, Wehrmann M, Eissele R, von Giese H, Mackensen-Haen S, Muller C . The long-term prognosis of AA and AL renal amyloidosis and the pathogenesis of chronic renal failure in renal amyloidosis. Path Res Pract 1993; 189: 316–331.
Russel JD, Russel SB, Trupkin KM . The effect of histamine on the growth of cultured fibroblasts isolated from normal and keloid tissue. J Cell Physiol 1977; 93: 389–394.
Folkman J, Kagsbrun M . Angiogenic factors. Science 1987; 235: 442–447.
Looi LM . An investigation of the protein components of amyloid using immunoperoxidase and permanganate methods on tissue sections. Pathology 1986; 18: 137–140.
Shiiki H, Shimokama T, Yoshikawa Y, Toyoshima H, Kitamoto T, Watanabe T . Renal amyloidosis. Correlations between morphology, chemical types of amyloid protein and clinical features. Virchows Arch Pathol Anat 1988; 412: 197–204.
Li QY, Raza-Ahmad A, MacAulay MA, Lalonde LD, Rowden G, Trethewey E, Dean S . The relationship of mast cells and their secreted products to the volume of fibrosis in posttransplant hearts. Transplantation 1992; 53: 1047–1051.
Kawanami O, Ferrans VJ, Fulmer JD, Crystal RG . Ultrastructure of pulmonary mast cells in patients with fibrotic lung disorders. Lab Invest 1979; 40: 717–734.
Claman HN . Mast cells, T cells and abnormal fibrosis. Immunol Today 1985; 6: 192–195.
Ambrust T, Batusic D, Ringe B, Ramadori G . Mast cell distribution in human liver disease and experimental rat liver fibrosis. Indications for mast cell participation in development of liver fibrosis. J Hepatol 1997; 26: 1042–1054.
Mlac M, Melato M, Marin G . Mast cells in the islets of Langerhans. A study of their behaviour in connection with diabetes and with insular amyloidosis. Virchows Arch A Pathol Anat Histol 1975; 365: 213–220.
Wershil BK, Mekori YA, Galli SJ . The contribution of mast cells to immunological responses with IgE and/or T cell mediated components. In: Galli SJ, Austen KF, editors. Mast cell and basophil differentiation and function in health and disease. New York: Raven Press; 1987. p. 229–246.
Preciado-Patt L, Levartowsky D, Prass M, Herskoviz R, Lider O, Fridkin M . Inhibition of cell adhesion to glycoproteins of the extracellular matrix by peptides corresponding to serum amyloid A. Toward understanding the physiological role of an enigmatic protein. Eur J Biochem 1994; 223: 35–42.
Columbo MS, Bochner BS, Marone G . Human skin mast cells express functional β1 integrins that mediate adhesion to extracellular matrix proteins. J Immunol 1995; 154: 6058–6064.
Bhattacharyya SP, Drucker I, Reshef T, Kirshenbaum AS, Metcalfe DD, Mekori YA . Activated T lymphocytes induce degranulation and cytokine production by human mast cells following cell-to-cell contact. J Leukoc Biol 1998; 63: 337–341.
He S, Peng Q, Walls AF . Potent induction of neutrophil and eosinophil-rich infiltrate in vivo by human mast cell tryptase. Selective enhancement of eosinophil recruitment by histamine. J Immunol 1997; 159: 6215–6225.
Hiraoka J, Asano K, Sano H, Fujisawa K, Ohno M, Takemura G, et al. Participation of apoptosis in renal amyloidosis. Jpn J Nephrol 1998; 40: 276–283.
Hsu HC, Zhou T, Yang PA, Herrera GA, Mountz JD . Increased acute-phase response and renal amyloidosis in aged CD2-fas-transgenic mice. J Immunol 1997; 158: 4988–4996.
Alpers CE, Hudkins KL, Floege J, Johnson RJ . Human renal cortical interstitial cells with some features of smooth muscle cells participate in tubulointerstitial and crescentic glomerular injury. J Am Soc Nephrol 1994; 45: 201–210.
Qu Z, Liebler JM, Powers MR, Galey T, Ahmadi P, Huang X, et al. Mast cells are a major source of basic fibroblast growth factor in chronic inflammation and cutaneous hemangioma. Am J Pathol 1995; 147: 564–573.
Subba Rao PV, Friedman MM, Atkins FM, Metcalfe DD . Phagocytosis of mast cell granules by cultured fibroblasts. J Immunol 1983; 130: 341–349.
Hatamochi A, Fujiwara K, Ueki H . Effects of histamine on collagen synthesis by cultured fibroblasts derived from guinea pig skin. Arch Dermatol Res 1985; 277: 60–64.
Desmouliere A, Rubbia-Brandt L, Grau G, Baggiani G . Heparin induces alpha-smooth muscle actin expression in cultured fibroblasts and in granulation tissue myofibroblasts. Lab Invest 1992; 67: 716–726.
Tornroth T, Falck HM, Wafin F, Wegelius O . Renal amyloidosis in rheumatic disease: a clinicopathological correlative study. In: Glenner GG, de Costa PP, de Freitas AF, editors. Amyloid and amyloidosis. Amsterdam: Excerpta Medica; 1980. p. 191–199.
Acknowledgements
The authors would like to thank Noriko Kawamoto for technical assistance.
Author information
Authors and Affiliations
Corresponding author
Rights and permissions
About this article
Cite this article
Tóth, T., Tóth-Jakatics, R., Jimi, S. et al. Increased Density of Interstitial Mast Cells in Amyloid A Renal Amyloidosis. Mod Pathol 13, 1020–1028 (2000). https://doi.org/10.1038/modpathol.3880184
Accepted:
Published:
Issue date:
DOI: https://doi.org/10.1038/modpathol.3880184
Keywords
This article is cited by
-
Protein kinase Ds promote tumor angiogenesis through mast cell recruitment and expression of angiogenic factors in prostate cancer microenvironment
Journal of Experimental & Clinical Cancer Research (2019)
-
The serum amyloid A3 promoter-driven luciferase reporter mice is a valuable tool to image early renal fibrosis development and shows the therapeutic effect of glucosyl-hesperidin treatment
Scientific Reports (2019)
-
Mast cell activation in the skin of Plasmodium falciparum malaria patients
Malaria Journal (2015)
-
Pathogenic role of mast cells in the development of diabetic nephropathy: a study of patients at different stages of the disease
Diabetologia (2012)
-
Mast cells are required for angiogenesis and macroscopic expansion of Myc-induced pancreatic islet tumors
Nature Medicine (2007)









