Abstract
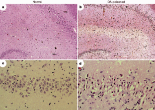
Over 400 California sea lions (Zalophus californianus) died and many others displayed signs of neurological dysfunction along the central California coast during May and June 1998. A bloom of Pseudo-nitzschia australis (diatom) was observed in the Monterey Bay region during the same period. This bloom was associated with production of domoic acid (DA), a neurotoxin1 that was also detected in planktivorous fish, including the northern anchovy (Engraulis mordax), and in sea lion body fluids. These and other concurrent observations demonstrate the trophic transfer of DA resulting in marine mammal mortality. In contrast to fish, blue mussels (Mytilus edulus) collected during the DA outbreak contained no DA or only trace amounts. Such findings reveal that monitoring of mussel toxicity alone does not necessarily provide adequate warning of DA entering the food web at levels sufficient to harm marine wildlife and perhaps humans.
This is a preview of subscription content, access via your institution
Access options
Subscribe to this journal
Receive 51 print issues and online access
$199.00 per year
only $3.90 per issue
Buy this article
- Purchase on SpringerLink
- Instant access to the full article PDF.
USD 39.95
Prices may be subject to local taxes which are calculated during checkout



Similar content being viewed by others
References
Wright,J. L. C. & Quilliaim,M. A. in Manual on Harmful Marine Microalgae (eds Hallegraeff, G M., Anderson, D. M. & Cembella, A. D.) 113–133 (Intergovernmental Oceanographic Commission Manuals and Guides No. 33, UNESCO, Paris, 1995).
Boesch,D. F. et al. Harmful Algal Blooms in Coastal Waters: Options for Prevention, Control and Mitigation (NOAA Coastal Ocean Program Decision Analysis Series No. 10 NOAA Coastal Office, Silver Spring, Maryland, 1997).
Anderson,D. M. Galloway,S. B. & Joseph,J. D. Marine Biotoxins and Harmful Algae: A National Plan (Woods Hole Oceanographic Institution, Technical Report 93-02, Woods Hole, Massachusetts, 1993).
Work,T. M. et al. Epidemiology of domoic acid poisoning in brown pelicans (Pelicanus occidentalis) and Brandt's cormorants (Phalacrocorax penicillatus) in California. J. Zoo Wild. Med. 24, 54–62 (1993).
Sierra-Beltrán,A. P., Palafox-Uribe,M., Grajales-Montiel,J., Cruz-Villacorta,A. & Ochoa,J. L. Sea bird mortality at Cabo San Lucas, Mexico: evidence that toxic diatom blooms are spreading. Toxicon 35, 447–453 (1997).
Bossart,G. D., Baden,D. g., Ewing,R. Y., Roberts,B. & Wright,S. Brevetoxicosis in manatees (Trichechus manatus latirostris) from the 1996 epizootic: gross, histologic, and immunohistologic features. Toxicol. Pathol. 26, 276–282 (1998).
Geraci,J. J. et al. Humpback whales (Megaptera novaeangliae) fatally poisoned by dinoflagellate toxin. Can. J. Fish. Aquat. Sci. 46, 1895–1898 (1989).
Harwood,J. What killed the monk seals? Nature 393, 17–18 (1998).
Miller,P. E. & Scholin,C. A. Identification and enumeration of cultured and wild Pseudo-nitzschia (Bacillariophyceae) using species-specific LSU rRNA-targeted fluorescent probes and filter-based whole cell hybridization. J. Phycol. 34, 371–382 (1998).
Scholin,C. A., Miller,P. E., Buck,K. R. & Chavez,F. P. Detection and quantification of Pseudo-nitzschia australis in cultured and natural populations using LSU rRNA-targeted probes. Limnol. Oceanogr. 42, 1265–1272 (1997).
Scholin,C. A. et al. Application of DNA probes and a receptor binding assay for detection of Pseudo-nitzschia (Bacillariophyceae) species and domoic acid activity in cultured and natural samples. J. Phycol. (in the press).
Van Dolah,F. M., Leighfield,T. A., Haynes,B. L., Hampson,D. R. & Ramsdell,J. S. A microplate receptor assay for the amnesic shellfish poisoning toxin, domoic acid, utilizing a cloned glutamate receptor. Anal. Biochem. 245, 102–105 (1997).
Parsons,T. R., Takahashi,M. & Hargrave,B. (eds) Biological Oceanographic Processes, 3rd edn, 39 (Pergamon, New York, 1984).
Chavez,F. P. et al. Horizontal transport of and the distribution of nutrients in the coastal transition zone off Northern California: effects on primary production, phytoplankton biomass and species composition. J. Geophys. Res. 96, 14833–14848 (1991).
Bates,S. S., Garrison,D. L. & Horner,R. A. in The Physiological Ecology of Harmful Algal Blooms (eds Anderson, D. M., Hallegraeff, G. M. & Cembella, A. D.) 267–292 (NATO Advanced Study Institute Series, Springer, Heidelberg, 1998).
Bates,S. S. in The Physiological Ecology of Harmful Algal Blooms (eds Anderson, D. M., Hallegraeff, G. M. & Cembella, A. D.) 405–426 (NATO Advanced Study Institute Series, Springer, Heidelberg, 1998).
Gulland,F. et al. Unusual Marine Mammal Mortality Event–Domoic Acid Toxicity in California Sea Lions (Zalophus californianus) Stranded Along the Central California Coast, May–October 1998 (NOAA Technical Memo NMFS-OPR-8, National Marine Fisheries Service, US Department of Commerce, Silver Spring, Maryland, 1999).
Sutherland,R. J., Hoesing,J. M. & Whisaw,I. Q. Domoic acid, an environmental toxin, produces hippocampal damage and severe memory impairment. Neurosci. Lett. 120, 221–223 (1990).
Strain,S. M. & Tasker,R. A. R. Hippocampal damage produced by systemic injections of domoic acid in mice. Neuroscience 44, 343–352 (1991).
Dakshinamurti,K., Sharma,S. K., Sundaram,M. & Wanatabe,T. Hippocampal changes in developing postnatal mice following intrauterine exposure to domoic acid. J. Neurosci. 13, 4486–4495 (1993).
Antonelis,G. A., Fiscus,C. H., DeLong,R. H. Spring and summer prey of California sea lions, Zalophus californianus, at San Miguel Island, California, 1978–1979. Fish. Bull. 82, 67–76 (1984).
Ochoa,J. I., Sierra-Beltrán, A. P., Oláiz-Fernández, G. & Del Villar Ponce,L. M. Should mollusc toxicity in Mexico be considered a public health issue? J. Shellfish Res. 17, 1671–1673 (1998).
Sakamoto,C., Freiderich,G. E. & Codispoti,L A. MBARI Procedures for Automated Nutrient Analyses Using a Modified Alpkem Series 300 Rapid Flow Analyzer (MBARI Technical Report 90-2, Monterey Bay Aquarium Research Institute, Moss Landing, California, 1990).
Quilliam,M. A., Xie,M. & Hardstaff,W. R. A rapid extraction and clean-up procedure for the liquid chromatographic determination of domoic acid in unsalted seafood. J. AOAC Int. 78, 543–554 (1995).
Hatfield,C. L., Wekell,J. C., Gauglitz,E. J. Jr & Barnett,H. J. Salt clean-up procedure for the determination of domoic acid by HPLC. Nat. Toxins 2, 206–211 (1994).
McClain,C. R. et al. Science quality seaWiFS data for global biosphere research. Sea Technol. 39, No. 9 (1998).
Luna,L. G. Manual of Histologic Staining Methods of the Armed Forces Institute of Pathology, 3rd edn (McGraw-Hill, New York, 1968).
Acknowledgements
We thank the many volunteers who assisted The Marine Mammal Center (TMMC), members of the Monterey Bay Sanctuary Beach COMBERS programme, the crew of the RV Pt. Lobos, R. Kudela for providing the processed SeaWiFS image, and P. Walz for nutrient analyses. This work was supported in part by NOAA/NOS operational funds, NOAA Saltonstall-Kennedy grant programme, the many supporters of TMMC, and The David and Lucile Packard Foundation. All authors contributed equally to the work.
Author information
Authors and Affiliations
Corresponding author
Rights and permissions
About this article
Cite this article
Scholin, C., Gulland, F., Doucette, G. et al. Mortality of sea lions along the central California coast linked to a toxic diatom bloom. Nature 403, 80–84 (2000). https://doi.org/10.1038/47481
Received:
Accepted:
Issue date:
DOI: https://doi.org/10.1038/47481
This article is cited by
-
Domoic acid affects brain morphology and causes behavioral alterations in two fish species
Scientific Reports (2023)
-
Potential endocrine correlation with exposure to domoic acid in Southern Right Whale (Eubalaena australis) at the Península Valdés breeding ground
Oecologia (2022)
-
Phytoplankton Community Structure in a Seasonal Low-Inflow Estuary Adjacent to Coastal Upwelling (Drakes Estero, CA, USA)
Estuaries and Coasts (2021)
-
Occurence and Variability of Domoic Acid in Mussel (Mytilus galloprovincialis) Samples from the Golden Horn Estuary, Sea of Marmara (Turkey)
Bulletin of Environmental Contamination and Toxicology (2021)
-
Effects of intense storm events on dolphin occurrence and foraging behavior
Scientific Reports (2020)


