Abstract
Spontaneous meiotic recombination events do not normally occur in the male germ line of Drosophila melanogaster. However, such events are induced in males when a P transposable element or a source of P element encoded transposase protein is present in its genome. This report concerns a molecular analysis of the meiotic exchanges that were induced in the male Drosophila by P elements within a genetically marked region of the third chromosome. The marked region also harbors a single P-element called P(lArB). Fifty-six percent of the P(lArB) region crossovers indicated some alterations in the P element 5′ fragment. Such alterations appear to be related to asymmetric or unequal genetic exchanges. Finally, P(lArB) excision was found to be independent of P(lArB) region crossover events.
Similar content being viewed by others
Introduction
Transposable elements (TEs) are integral components of any genome and may comprise up to 50% of the entire genome (SanMiguel et al, 1996). Like all other insects, the fruit fly, Drosophila melanogaster's genome harbors a variety of TEs (Adams M D et al multiple authors (2000).) including the well-characterized P transposable element. The P element is a class of autonomous TE that is found exclusively in the genus Drosophila, and is extremely useful for two reasons: (1) the activity of P elements, including their mobilization and excision, can be genetically regulated, and (2) P elements are used for obtaining transgenic Drosophila (Rubin and Spradling, 1982). Earlier studies have discovered a variety of syndromes associated with the movement of the P element in the Drosophila genome. These include gonadal sterility, frequent chromosome breakage, and male recombination (Kidwell et al, 1977).
Since spontaneous meiotic recombination events are absent in the male germ line of D. melanogaster, the induction of such exchanges through the presence of P elements warrants investigation. Previous genetic studies have recognized that P element-induced male recombination events are legitimate exchange products (McCarron et al, 1989; Duttaroy et al, 1990). Furthermore, induction of male crossing over was found to be possible from a bona fide transposase source, even though the genome is devoid of any other target P element (McCarron et al, 1989). The rate of exchange of transposase-initiated crossovers in D. melanogaster males increased when two transposase producers were used. Finally, the crossover distribution of transposase- induced events corresponded with the cytological map of the metaphase chromosome (McCarron et al, 1994). The introduction of a P-element target, with its highly specific transposase binding site, has been shown to produce a marked crossover increase in the P element target region (Sved et al, 1990; Preston and Engels, 1996; Tanaka et al, 1997) as well as a significant increase in regions genetically distinct from the target (Duttaroy et al, 1990; McCarron et al, 1994).
The present report is restricted to the products of crosses involving one P element target. Crossovers in the P(lArB) (87C9) and the immediate flanking genomic region are subjected to molecular analysis. Alterations of the 5′ P(lArB) flanking region are found to be significantly associated with crossovers in the target region while other classes are found to be independent of crossovers in the genomic region immediately flanking the P(lArB) target. The imprecise nature of transposase mediated crossover events is discussed.
Materials and methods
Drosophila stocks
The mutants M(3)76A (Minute76A), Dfd (Deformed), Ace (Acetylcholine esterase), Sb (Stubble), and Ubx (Ultrabithorax) are the original lethal alleles at these loci: M(3)76A and Ace are recessive lethals; Dfd, Sb, and Ubx are dominant visible mutations with recessive lethal effect (Lindsley and Zimm, 1992). The construction of the male parent chromosomes A and B, without the optional P(lArB) and P(Δ 2-3), and the tester female chromosome (Figure 1) was described in McCarron et al (1989). Each stock originated from a single third chromosome in the male, balanced and checked by in situ hybridization and southern blot for the presence of P elements. None were found.
The chromosomes of the hybrid male parent and the tester female are shown with genetic markers delineating the crossover regions, which are numbered. This flanking lethal crossover selective system permits recovery of crossovers between M(3)76A and Ubx in one direction only as shown, due to lethal homozygosity. The transposase source P(Δ2-3), is eliminated after recombination.
Flies were reared on standard Drosophila cornmeal-sucrose-yeast medium at 25°C, the optimum temperature for P element induced male recombination (Kidwell and Novy, 1979).
P(lArB) = P(lacZ.Adh+. rosy+ Bluescript M13+ KS) A53.1M3 at 87C9
P(lArB) is a homozygous viable P element insertion with no phenotypic alteration due to the insertion at 87C9. This transposon stock was obtained from the Drosophila stock Center as A53.1M3, which carries the insert in a rosy506 background (Bellen et al, 1989). The P(lArB) location in 87C9 was confirmed by in situ hybridization and Southern blot. The 19 kb P(lArB) transposon carries a P-lacZ-hsp70 fusion gene, a 3.2 kb fragment with the Adh+ gene, a 7.2 kb fragment containing the ry+ gene, and a 3.5 fragment from the Bluescript M13+KS vector (Stratagene) which carries the gene for ampicillin resistance (Wilson et al, 1989). The original P(lArB) rosy506 chromosome is homozygous viable. Appropriate markers were crossed onto the ry506 chromosome to provide the lethal selective system shown in Figure 1, chromosome B.
Molecular techniques
DNA manipulations were performed according to standard methodology (Sambrook et al, 1989). Genomic DNA was prepared from approximately 125 adult male flies. Probes were prepared either from plasmid DNA or from isolated DNA fragments. For radiolabelling, both [32P]dCTP and [32P]dGTP were used and nick translation was performed with the DNA labelling system obtained from Life Tech.
Plasmids used
pSalI 12.5 kb
Genomic DNA contiguous to the 3′ end of the P(lArB) insertion was cloned directly using the plasmid rescue method (Wilson et al, 1989). Briefly, DNA from the P(lArB) A53.M3 stock was digested to completion with the SalI enzyme, ligated in a dilute condition and transformed using E. coli XL1-Blue supercompetent cells (Stratagene, CA). A single clone, carrying 9.0 kb genomic DNA contiguous to the 3′ end of P(lArB) insertion (see below) was recovered as a plasmid, which is then designated as pSal12.5.

pEcoRI 8.0 kb (Figure 2a):
Summary maps of Southern restriction analysis data for the hybrid male parent chromosomes focusing on the region between kar and mesB in Figure 1. Two solid lines at the top designate probes. (a) Restriction map of 87C9 region as found in chromosome A. P(lArB) insertion took place in chromosome B in the indicated region. Homologous restriction sites between chromosomes A and B are joined together by thin lines. The 5′ and the 3′ ends of P(lArB) insert are shown as blank boxes while the rest of the P(lArB) is shown as open box. (b) Symmetrical recombination events at the 5′ end of P(lArB) will appear like chromosome B, however if recombination events are asymmetric (shown like a Z), the sizes of 5′ P(lArB) fragments will increase. (c) Symmetrical exchanges at the 3′ end of P(lArB) should appear like chromosome A.
The P(lArB) is inserted into an 8.0 kb EcoRI fragment located in 87C9. This 8.0 kb EcoRI fragment was isolated from a CantonS genomic library (Maniatis et al, 1978) using the pSal12.5 kb DNA as probe (Benton and Davis, 1977). EcoRI digestion of chromosome A and rosy506 stocks showed an 8.0 kb band that is intact. Following P(lArB) insertion in the rosy506 background, the new stock is now designated as A53.1M3.
pπ25.7 BWC:
The plasmid pπ 25.7 BWC (’both wings clipped’), is a derivative of the pπ 25.7WC plamid (Karess and Rubin, 1984). The P element is missing 39 bp from the 5′ and 23 bp from the 3′ end, and this plasmid carries no other Drosophila genomic sequences.
Results
Experimental design
P element induced meiotic recombination in D. melanogaster males was monitored in the marked regions between M(3)76A and Ubx on the third chromosome (Figure 1). This investigation measures the distribution as well as the nature of cross over events created when a single P element called P(lArB)(87C9) is present in the region monitored. Molecular analysis of meiotic crossover events was performed using restriction site differences between the two recombining homologs, chromosomes A and B (Figure 2). F1 hybrid males were obtained as heterozygotes between chromosome A and chromosome B. Chromosome A carries the transposase producer element P(Δ2-3)(99B) (Robertson et al, 1988), while chromosome B carries the single P insertion, P(lArB) (87C9) in the kar-mesB genetic interval. Transposase-induced recombination events between the A and B homologs were analyzed in eight monitored regions from M(3)76A to Ubx (Figure 1). The F1 hybrid males (A/B) were crossed with tester females carrying the same dominant markers as A and B. This system selects only those F2 progeny that result from crossovers. All other, non-recombinant, offspring should perish due to homozygosity for one or more dominant marker. Each crossover event recovered includes a portion of the A chromosome to the left of the crossover point and portion of the B chromosome to the right of the crossover point. As previously mentioned, this selective lethal system does not allow the recovery of non-crossovers and, therefore, the two parental chromosomes, as well as crossovers outside the kar-mesB interval are used as controls.
Establishment of molecular markers surrounding the P(lArB)(87C9) insertion
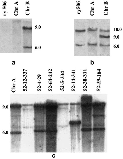
The restriction maps of the region immediately surrounding P(lArB)(87C9) in chromosomes A and B are summarized in Figure 2. Three critical fragments in chromosome A are: an 8.0 kb EcoRI fragment, and two HpaI fragments that are 10.0 kb and 6.0 kb in length. The orientations of these three fragments with respect to the flanking genetic markers, kar and mesB are shown in Figure 2. The P(lArB) insertion in chromosome B has disrupted both the EcoRI 8.0 kb, and the Hpal 6.0 kb band (Figure 2). The P(lArB) insertion created the following changes with respect to the distribution of restriction sites: the 8.0 kb EcoRI fragment in chromosome A was split into a 5.8 kb band that is located 5′ to the P(lArB) insertion and a >0.0 kb EcoRI band located 3′ to the P(lArB). With respect to the 6.0 kb HpaI fragment in chromosome A, chromosome B fortuitously shows a 6.0 kb HpaI band that is located 5′ to the P(lArB) and a 9.0 kb HpaI band located 3′ to the P(lArB). Southern analysis of chromosome A, ry506, and chromosome B DNA that was digested with HpaI and probed with the P element probe (pπ25.7BWC), showed no bands in the chromosome A and ry506 lanes, establishing the fact that no other P homologous sequence is present in these genomes. Chromosome B, on the other hand, showed two bands that are 6.0 kb and 9.0 kb in length (Figures 2 and 3). When this blot was probed with the EcoRI 8.0 kb probe, it picked up two bands in the chromosome A and in the ry506 control line. The EcoRI 8.0 kb probe picked up three bands in chromosome B, of which the 10.0 and 6.0 kb bands were already expected as coming from A and B, whereas the 9.0 kb HpaI band was found in chromosome B only because of P(lArB) (Figures 2 and 3). The orientations of these genomic fragments were determined with a P(lArB) 5′ specific probe, moreover with the help of several genomic deletions (data not shown).
(a) pπ25.7BWC probe picked up no bands in the ry506 and chromosome A controls while two bands, 9.0 kb and 6.0 kb long, are seen in chromosome B. The genomic DNA in all three cases was digested with HpaI. (b) HpaI digested DNA from ry506, chromosome A and chromosome B probed with EcoRI 8.0 kb probe showed a 6.0 kb and a 10 kb HpaI band in ry506 and chromosome A, while in chromosome B an additional 9.0 kb band was found. (c) 5′ P(lArB) recombinants. HpaI digested samples probed with pπ25.7BWC probe. The 9.0 kb HpaI band from the 3′ P(larB) remains unaltered in all of these recombinants. The 6.0 kb band from the 5′ P(larB) end however is altered in each one of these recombinants. Recombinant 52-12-337 and 52-5-334 showed no probable 5’ P(lArB) region, suggesting partial excision of 5’ P end that might have happened secondary to recombination event. Lane 52-030-311 shows multiple events in addition to asymmetric exchange at the 5′ end.
DNA restriction and crossover diagnostics:
Figure 2 shows restriction fragments that are useful in assessing alterations in the P(lArB)(87C9) region. DNA samples were restricted with EcoRI, or HpaI restriction enzymes. The most frequently used series of probes were the following: (1) pπ25.7 (BWC), (2) the pEcoRI 8.0 kb clone and (3) the pSalI12.5 kb clone. The finding, or the absence of certain fragments with specific probes is diagnostic of crossover points as listed below:
(a) 5′ P(lArB) recombinants:
Recombination events that happen 5′ to the P(lArB) insertion should appear like the parental chromosome B when symmetrical genetic exchanges happen between A and B (Figure 2b). However, if the exchange events are asymmetric then the length of 6.0 kb HpaI band will be increased. Several examples of 5′P(lArB) alterations are shown in Figure 3c. In recombinants 52-4-29 and 52-64-242 the size of the 6.0 kb HpaI band is increased slightly to about 6.2 kb (Figure 3c). A more dramatic change was noticed in recombinant 52-14-341 where the 6.0 kb HpaI band becomes 7.0 kb (Figure 3c). Finally, in two other recombinants, 52-12-337 and 52-5-334, the 6.0 kb HpaI band was lost altogether (Figure 3c). The recombination event in each of these cases was associated with the partial excision of the P element 5′ end.
Alteration in the P(lArB) 5′ flanking regions are most often size increases of 100 to 300 bp in the HpaI 6.0 kb fragment. Larger size increases and some size decreases also occur, as well as loss of the 5′ fragment, while the 3′ fragment is retained. Since exchanges only occurred at the 5′ end of P(lArB) insertion, no changes were noticed with respect to the 9.0 kb HpaI band, which is located 3′ to the P(lArB) insertion (Figure 3c). In total, 23 out of 53 P(lArB) region crossovers and one of 13 controls showed alterations in the 5′ fragment (Table 1). A comparison of these two groups finds them to be significantly different (P < 0.01).
(b) 3′ P(lArB) recombinants:
In this case, symmetrical exchange products should appear like chromosome A (Figure 2c) and any asymmetric exchange event should appear different. The status of the 8.0 kb EcoRI band was checked in these recombinants (Figure 2). The 8.0 kb EcoRI band has altered in two recombinants, 7E4 and 67D1, out of the 10 shown in Figure 4a. Upon probing this blot with the pSal12.5 kb probe it was further confirmed that the 3′ fragment has changed in these two recombinants only (Figure 4b). Among all the P(lArB) 3′ region crossovers, 16 of 53 showed 3′ fragment alterations (Table 1). Among the controls, three of 13 showed such 3′ fragment alterations. A comparison of the two groups shows P > 0.05, suggesting that 3′ alterations are independent of the P(lArB) region crossovers.
(a) 3′ P(lArB) recombinants. EcoRI digested DNA is probed with EcoRI 8.0 kb probe to check the integrity of EcoRI 8.0 kb band in these recombinants. Recombinant 7E4 and 67D1 show an altered EcoRI band indicating asymmetric exchange, while the EcoRI 8.0 kb remains the same in rest of the recombinants. (b) A reprobe of the EcoRI digested blot with the pSal12.5 kb probe showed similar alterations in the 3′ EcoRI band in recombinants 7E4 and 67D1.
(c) Other events:
P element-transposase interactions are known to cause multiple events such as the complete or partial loss of P element, inversion, genomic duplication, etc. This study also has seen similar kinds of events, as depicted in Figure 3c.
(d) P(lArB) inversions-in-place:
In three of the 53 P(lArB) region crossovers, P(lArB) was found to be inverted (Table 1). No inversion was found among the 13 controls. There is no significant difference between the rates for these two groups.
(e) Secondary inserts:
Among the P(lArB) region crossovers, 10 out of 53 show evidence of secondary insertions in 87C (Table 1). Among the controls seven out of 13 showed secondary inserts. There is no significant difference between these groups.
Discussion
The crossover-related 5′ flanking region perturbations, largely consisting of 100 to 300 bp increases, indicate an asymmetry in the exchange event. The 5′ altered fragments in P(lArB) region crossovers bind the same probes as the normal 5′ fragments. These 5′ alterations occur in a limited region, and may result from asymmetric exchanges whose breakpoints are within the Eco RI 8.0 kb chromosome A sequence and the EcoRI 5.8 kb chromosome B fragment.
We may assume that such alterations are derived from an initial excision of P(lArB) repaired against a sister chromatid (Engels et al, 1990). In that case, of the 53 P(lArB)-retaining crossovers in the target region, 26 exchange events were asymmetric at the 5′ end, which would then required some further association with the non-P homologue. In this study, excision events are shown to be independent of the crossover events, as are P(lArB) retention events. However, since transposase has been shown to induce crossovers in the absence of a P-element (McCarron et al, 1989, 1994), we need to invoke a prior excision to explain the P-retaining crossovers. The excision process itself is not precise; indeed, precision is rare (Tsubota and Schedl 1986; O'Brochta et al, 1991; Takasu-Ishikawa et al, 1992). Following excisions, remnants of the P element remain, visible upon sequencing. The basic gap-repair model (Engels et al, 1990;Gloor et al, 1991) does not predict this. Nonetheless, the independence of transposase in causing double-strand DNA breaks without a P-element present, resulting in crossovers and rearrangements (McCarron et al, 1989, 1994), does predict imprecision in transposase-mediated events. Transposase is capable of acting at multiple sites in the target region, including sites on the non-P-element homologue. Multiple independent actions by transposase on P and non-P-element homologues may promote the asymmetric crossovers observed. Another mechanism for creating extra DNA sequences at excision sites had been presented by Takasu-Ishikawa et al (1992). Since the extra sequences were not simple remnants but included sequence from the antisense strands, these authors suggest a hairpin model similar to that of Coen and Carpenter (1988) and Coen et al (1989). A third possibility is that the P(lArB)87C9 5′ region contains small genomic repeats as yet undetected, whose alternative pairing could produce the 100 to 300 bp increase observed in the 5′ flanking region.
Precision of the exchange event:
In an earlier experiment with multiple P elements, this author noted that the transposase-induced recombinant appears to show symmetrical exchange products (Duttaroy et al, 1990). Among the 24 kar-mesB crossovers in that study, I failed to uncover deleted crossover products identifiable as lethal in heterozygotes with known deletions for this region. Nor could I find evidence of small deletions or duplications in polytene squashes. In the present experiment, utilizing a P element target in the kar-mesB region, I find that, at the level of genomic Southern analysis, asymmetrical exchange events are not only identified, but comprise at least 73% (39/53) of crossovers. These events occurred with a P-element target present in the kar-mesB region. Several years ago in another experiment, I found no such target in that crossover region (Duttaroy et al, 1990), Therefore, while many unequal crossovers occur in association with the P-element target and are associated with retention of the target in the crossover product, they may not be sufficiently large to involve loss of vital genes and consequently may be identifiable only at the molecular level.
References
Adams MD et al. multiple authors (2000). The genome sequence of Drosophila melanogaster. Science, 287: 2185–2195.
Bellen HJ, O’Kane CJ, Wilson C, Grossniklaus U, Pearson RK, Gehring WJ (1989). P-element-mediated enhancer detection: a versatile method to study development in Drosophila. Genes Develop, 3: 1288–1300.
Benton WD, Davis RW (1977). Screening gt recombinant clones by hybridization to single plaques in situ. Science, 196: 180–182.
Coen ES, Carpenter R (1988). A semi-dominant allele, niv-525, acts in trans to inhibit expression of its wild type homologue in Antirrhinum majus. EMBO J, 7: 877–883.
Coen ES, Robbins TP, Almeida J, Hudson A, Carpenter R (1989). Consequences and mechanisms of transposition in Antirrhinum majus. I: Berg DE, Howe MM (eds) Mobile DNA. American Society for Microbiology; Washington, DCpp413–436.
Duttaroy A, McCarron M, Sitaraman K, Doughty G, Chovnick A (1990). The relationship between P elements and male recombination in Drosophila melanogaster. Genetics, 124: 317–329.
Engels WR, Johnson-Schlitz DM, Eggleston WB, Sved J (1990). High-frequency P element loss in Drosophilais homologue dependent. Cell, 62: 515–525.
Gloor GB, Nassif NA, Johnson-Schlitz DM, Preston CR, Engels WR (1991). Targeted gene replacement in Drosophila via P element-induced gap repair. Science, 253: 1110–1117.
Karess RE, Rubin GM (1984). Analysis of P transposable element functions in Drosophila. Cell, 38: 135–146.
Kidwell MG, Kidwell JD, Sved JA (1977). Hybrid dysgenesis in Drosophila melanogaster: a syndrome of aberrant traits including mutation, sterility and male recombination. Genetics, 86: 813–833.
Kidwell MG, Novy JB (1979). Hybrid dysgenesis in Drosophila melanogaster: sterility resulting from gonodal dysgenesis in the P-M system. Genetics, 92: 1127–1140.
Lindsley DL, Zimm G (1992). The Genome of Drosophila melanogaster. Academic Press: New York.
Maniatis T, Hardinson RC, Lacy E, Lauer J, O'Connel S, Quon D, Sim GK, Efstradiatis A (1978). The isolation of structural genes from the libraries of eukaryotic DNA. Cell, 15: 687–701.
McCarron MY, Duttaroy A, Doughty GA, Chovnick A (1989). P element transposase induces male recombination in Drosophila melanogaster. Genet Res, 54: 137–141.
McCarron MY, Duttaroy A, Doughty GA, Chovnick A (1994). Drosophila P element transposase induces male recombination additively and without a requirement for P element excision or insertion. Genetics, 136: 1013–1023.
O'Brochta DA, Gomez SP, Handler A (1991). P element excision in Drosophila melanogaster and related Drosophilids. Mol Gen Genet, 225: 387–394.
Preston CR, Engels WR (1996). P-element induced male recombination and gene conversion in Drosophila. Genetics, 144: 1611–1622.
Robertson HM, Preston CR, Phillis RW, Johnson-Schilitz DM, Benz WK, Engels WR (1988). A stable genomic source of P element transposase in Drosophila melanogaster. Genetics, 118: 461–470.
Rubin GM, Spradling AC (1982). Genetic transformation of Drosophila with transposable element vectors. Science, 218: 348–353.
Sambrook J, Fritsch EF, Maniatis T (1989). Molecular Cloning: a laboratory manual, Second edition. Cold Spring Harbor Laboratory: Cold Spring Harbor, New York.
Sanmiguel P, Tikhonov A, Jin YK, Motchoulskaian N, Zakharov D, Melake-Berhan A et al. (1996). Nested retrotransposons in the intergenic regions of the maize genome. Science, 274: 765–768.
Sved JA, Eggleston WB, Engels WR (1990). Germ-line and somatic recombination induced by in vitro modifid P elements in Drosophila melanogastor. Genetics, 124: 331–337.
Sved JA, Blackman LM, Gilchrist A, Engels WR (1991). High levels of recombination induced by homologous P elements in Drosophila melanogaster. Mol Gen Genet, 225: 443–447.
Tanaka MM, Liang X-M, Gray YHM, Sved JA (1997). The accumulation of P-element induced recombination in the germ line of male Drosophila melanogaster. Genetics, 147: 1769–1782.
Takasu-Ishikawa E, Yoshihara M, Hotta Y (1992). Extra sequences found at P element excision sites in Drosophila melanogaster. Mol Gen Genet, 232: 17–23.
Tsubota S, Scheldl P (1986). Hybrid dysgensis induced revertants of insertions at the 5′ end of the rudimentary gene in Drosophila melanogaster: transposon-induced control mutations. Genetics, 114: 165–185.
Wilson C, Person RK, Bellen H, O’kane CJ, Grossniklaus U, Gehring WJ (1989). P element-mediated enhancer detection: an efficient method for isolating and chracterizing developmentally regulated genes in Drosophila melanogaster. Genes Dev, 3: 1301–1313.
Acknowledgements
The author is indebted to Prof Arthur Chovnick, Dr Margaret McCarron, and Mr Glen Doughty. Fly stocks are obtained from the Drosophila Stock Center in Bloomington, Indiana.
Author information
Authors and Affiliations
Corresponding author
Rights and permissions
About this article
Cite this article
Duttaroy, A. Asymmetric exchange is associated with P element induced male recombination in Drosophila melanogaster. Heredity 89, 114–119 (2002). https://doi.org/10.1038/sj.hdy.6800108
Received:
Accepted:
Published:
Issue date:
DOI: https://doi.org/10.1038/sj.hdy.6800108






