This is a preview of subscription content, access via your institution
Access options
Subscribe to this journal
Receive 12 print issues and online access
$259.00 per year
only $21.58 per issue
Buy this article
- Purchase on SpringerLink
- Instant access to the full article PDF.
USD 39.95
Prices may be subject to local taxes which are calculated during checkout


References
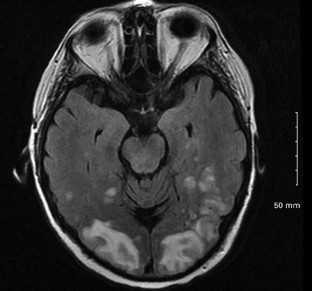
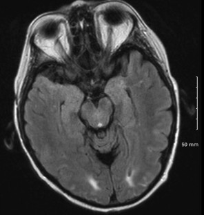
Hinchey J, Chaves C, Appignani B, Breen J, Pao L, Wang A et al. A reversible posterior leukoencephalopathy syndrome. N Engl J Med. 1996; 334: 494–500.
Lee VH, Wijdicks EFM, Manno EM, Rabinstein AA . Clinical spectrum of reversible posterior leukoencephalopathy syndrome. Arch Neurol 2008; 65: 205–210.
Bhatt BD, Meriano FV, Buchwald D . Cyclosporine-associated central nervous system toxicity. N Engl J Med 1988; 318: 788.
Eidelman EH, Abu-Elmagd K, Wilson J, Fung JJ, Alessiani M, Jain A et al. Neurologic complications of FK 506. Transplant Proc 1991; 23: 3175–3178.
Drobyski WR, Hari P, Keever-Taylor CA, Komorowski R, Grossman W . Severe autologous graft versus host disease after hematopoietic progenitor cell transplantation for multiple myeloma. Bone Marrow Transplant 2009; 43: 169–177.
Hauser RA, Lacey DM, Knight MR . Hypertensive encephalopathy: magnetic resonance imaging demonstration of reversible cortical and white matter lesions. Arch Neurol 1988; 45: 1078–1083.
Raroque Jr HG, Orrison WW, Rosenberg GA . Neurologic involvement in toxemia of pregnancy: reversible MRI lesions. Neurology 1990; 40: 167–169.
Bartynski WS, Boardman JF, Zeigler ZR et al. Posterior reversible encephalopathy syndrome in infection, sepsis, and shock. Am J Neuroradiol 2006; 27: 2179–2190.
Lanzino G, Cloft H, Hemstreet MK, West K, Alston S, Ishitani M . Reversible posterior leukoencephalopathy following organ transplantation: Description of two cases. Clin Neurol Neurosurg 1997; 99: 222–226.
Allen JA, Adlakha A, Bergethon PR . Reversible posterior leukoencephalopathy syndrome after bevacizumab/FOLFIRI regimen for metastatic colon cancer. Arch Neurol 2006; 63: 1475–1478.
Schwartz RB . A reversible posterior leukoencephalopathy syndrome. N Engl J Med 1996; 334: 1743.
Author information
Authors and Affiliations
Corresponding author
Rights and permissions
About this article
Cite this article
Sukumaran, S., George, B., Nair, H. et al. Posterior reversible encephalopathy syndrome as a consequence of high dose steroid administration after autologous PBSCT. Bone Marrow Transplant 45, 779–780 (2010). https://doi.org/10.1038/bmt.2009.211
Published:
Issue date:
DOI: https://doi.org/10.1038/bmt.2009.211
This article is cited by
-
Association of graft-versus-host-disease with neurologic complications: clinical paradigm and future directions
Bone Marrow Transplantation (2021)
-
PRES with asymptomatic spinal cord involvement. Is this scenario more common than we know?
Spinal Cord Series and Cases (2016)