Figure 5

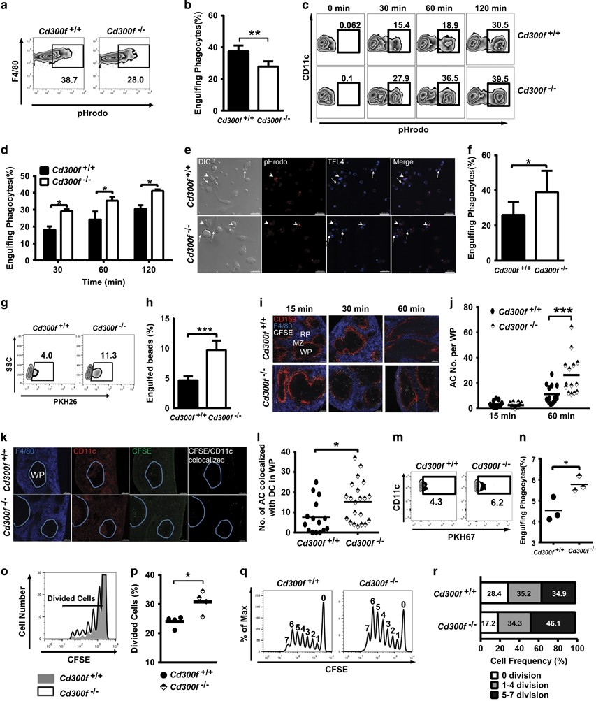
CD300f differentially regulates efferocytosis by macrophages and DC. (a,b) Cd300f+/+ or Cd300f −/− BMM were incubated with pHrodo-labeled apoptotic thymocytes at a 1 : 3 ratio and, after 60 min, the phagocytosis of AC by F4/80+ macrophages was determined by flow cytometry. (a) The pre-gated F4/80+ cells were gated for F4/80+ pHrodo+ populations, representing the macrophages that engulfed AC. The representative contour plots show the gating strategy; the numbers indicate the percentage of F4/80+ pHrodo+ cells. (b) The quantification summary of F4/80+ pHrodo+ cells from flow cytometry analysis. The data show the mean+S.E.M. from four independent experiments. Asterisks indicate statistical significance (**P<0.01). (c,d) BMDC differentiated from bone marrow cells of Cd300f+/+ or Cd300f −/− mice were used for the efferocytosis analysis as described in a and b. (c) The contour plots of each time point illustrate the gating strategy for the percentage of CD11c+ pHrodo+ cells from the CD11c-positive population; the numbers indicate the frequency of CD11c+ pHrodo+ cells. (d) The quantification summary of CD11c+ pHrodo+ cells from flow cytometry analysis. The data show the mean+S.E.M. from three independent experiments. Asterisks indicate statistical significance (*P<0.05). (e,f) DC differentiated from the bone marrow (BMDC) of Cd300f+/+ or Cd300f −/− mice were incubated with pHrodo- and TFL4-labeled apoptotic thymocytes at a ratio of 1 : 3 for 60 mins. Next the cells were washed, immersed in the basic buffer, and imaged by confocal microscope. (e) The representative images of AC engulfment by Cd300f+/+ or Cd300f −/− BMDC. Red shows the fluorescence of pHrodo; blue shows the fluorescence of TFL4. Arrowheads indicate the engulfed AC, arrows point to tethered, non-engulfed AC; note that only the engulfed AC display strong pHrodo fluorescence. Scale bars, 20 μm. (f) The graph represents the means+S.E.M. of the frequency of BMDC with AC engulfment, obtained by the analysis of 50 cells from 5 or 6 random fields of view, as shown in e. Asterisk indicates statistical significance (*P<0.05). (g,h) BMDC stained with PKH26 were incubated with PS-containing-liposome-coated beads for 30 min. After homogenization and lysis of the cells, the beads either residing in or out of the phagosomes were collected for flow cytometry analysis. (g) The contour plots illustrate the gating strategy. The beads that obtained PKH26 fluorescence from the BMDC membranes during engulfment were regarded as engulfed. The numbers indicate the frequency of engulfed beads from total bead population (h) The quantification summary of PKH26-positive beads from flow cytometry analysis. Data are the mean+S.E.M. from three independent experiments. Asterisks indicate statistical significance (***P<0.005). (i–l) CFSE-labeled AC (white in i and green in k) were i.v. injected to Cd300f+/+ or Cd300f −/− mice. After 15, 30 or 60 min (i,j), or 60 min (k,i), the spleens were collected for cryosection preparation. (i,k) Representative images are shown for cryosections stained with anti-F4/80 (blue in i and k), anti-CD169 (red in i) or anti-CD11c (red in k) to visualize the red pulp (RP), marginal zone (MZ) or DC, respectively. The white pulp (WP) area was determined by the lack of anti-F4/80 and/or anti-CD169 staining; the blue outlines in (k) indicate the boundaries of WP. The rightmost panels in k show images of signal co-localization (white spots) between AC and DC. Scale bars, 100 μm. (j) The quantification summary of AC located in the splenic white pulp; data were obtained from three mice per strain in three independent experiments. Each symbol represents a white pulp positive for AC. Asterisks indicate statistical significance (***P<0.005). (l) The quantification summary of AC co-localizing with DC in the white pulps of spleens; the data was obtained from three mice per strain in three independent experiments. Asterisks indicate statistical significance (*P<0.05). (m,n) PKH67-labeled AC were i.v. injected to Cd300f+/+ or Cd300f −/− mice. After 60 mins, splenocytes were isolated, stained with Zombie-NIR, anti-CD11c and anti-B220, and analyzed by flow cytometry. (m) The splenocytes were pre-gated on single and Zombie-NIRlow CD11chiB220− cells, and then were gated on CD11c+PKH67+ cells. The representative contour plots show the gating strategy; the numbers indicate the percentage of CD11c+ PKH67+ cells. (n) The quantification of CD11c+ PKH67+ cells from flow cytometry analysis shown in m. Each symbol represents a mouse, and data are representative of two experiments. The asterisk indicates statistical significance (*P<0.05). (o,p) CFSE-labeled OT-I CD8+ T cells were adoptively transferred into Cd300f+/+ or Cd300f −/− mice. After one day, the mice were then injected i.v. with γ-irradiated EG7-OVA cells. Five days later, splenic CD8+ T cells were analyzed for CFSE dilution by flow cytometry. The histograms (o) illustrate representative results of CFSE dilution seen in splenic OT-I CD8+ T cells from Cd300f+/+ or Cd300f −/− mice. The graph (p) shows the percentage of OT-I CD8+ T cell that divided. Each symbol represents a mouse, and data are representative of two experiments. The asterisk indicates statistical significance (*P<0.05). (q,r) Proliferation of CFSE-labeled OT-I CD8+ T cells upon incubation with CD11c+ DCs isolated from Cd300f+/+ or Cd300f −/− mice 1 day after immunization with γ-irradiated EG-7-OVA cells. The histograms (q) illustrate representative results of CFSE dilution. The graph (r) illustrates the percentage of dividing OT-I CD8+ T cells. Data are representative of two experiments