Abstract
Purpose
To study retrospectively the characteristics of residual indocyanine green (ICG) fluorescence after ICG-assisted vitrectomy and the association with spectral-domain optical coherence tomography (SD-OCT) findings in diabetic macular oedema (DMO).
Methods
Thirteen consecutive eyes of 12 patients for whom fundus near-infrared fluorescence and 20° retinal sectional images were obtained using HRA2 and Spectralis OCT, respectively, 5 days after vitrectomy combined with ICG-assisted inner limiting membrane peeling for DMO. The relationship between the characteristics of the ICG hyperfluorescence and the cystoid spaces in the outer plexiform layer (OPL) on SD-OCT images was evaluated.
Results
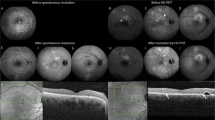
A total of 390 well-demarcated areas of ICG hyperfluorescence were delineated on 20° radial OCT scans dissecting the fovea 5 days after vitrectomy. The areas of ICG hyperfluorescence in the parafovea or perifovea were significantly smaller than those at the fovea. Most areas of hyperfluorescence were irregularly shaped in the parafovea and perifovea, whereas 18 of 38 areas of hyperfluorescence were round or oval at the fovea (P<0.001). SD-OCT delineated the cystoid spaces in the OPL in 73 areas of hyperfluorescence that were round or oval and accompanied by dark spots more frequently than that without cystoid spaces on OCT images (P<0.001 and P=0.002). Of the 123 cystoid spaces in the OPL on OCT images, 44 did not have ICG hyperfluorescence, had lower OCT reflectivity, and contained fewer hyperreflective foci than those with ICG hyperfluorescence (P<0.001 and P=0.020).
Conclusion
The results provided novel interpretations of the ICG hyperfluorescence and its association with OCT characteristics of the cystoid spaces in DMO.
Similar content being viewed by others
Log in or create a free account to read this content
Gain free access to this article, as well as selected content from this journal and more on nature.com
or
References
Klein R, Klein BE, Moss SE, Cruickshanks KJ . The Wisconsin Epidemiologic Study of Diabetic Retinopathy. XV. The long-term incidence of macular edema. Ophthalmology 1995; 102: 7–16.
Gardner TW, Antonetti DA, Barber AJ, LaNoue KF, Levinson SW . Diabetic retinopathy: more than meets the eye. Surv Ophthalmol 2002; 47 (Suppl 2): S253–S262.
Antonetti DA, Klein R, Gardner TW . Diabetic retinopathy. N Engl J Med 2012; 366: 1227–1239.
Mohamed Q, Gillies MC, Wong TY . Management of diabetic retinopathy: a systematic review. JAMA 2007; 298: 902–916.
Photocoagulation for diabetic macular edema. Early Treatment Diabetic Retinopathy Study report number 1. Early Treatment Diabetic Retinopathy Study research group. Arch Ophthalmol 1985; 103: 1796–1806.
Lewis H, Abrams GW, Blumenkranz MS, Campo RV . Vitrectomy for diabetic macular traction and edema associated with posterior hyaloidal traction. Ophthalmology 1992; 99: 753–759.
Jonas JB, Sofker A . Intraocular injection of crystalline cortisone as adjunctive treatment of diabetic macular edema. Am J Ophthalmol 2001; 132: 425–427.
Cunningham Jr ET, Adamis AP, Altaweel M, Aiello LP, Bressler NM, D’amico DJ et al. A phase II randomized double-masked trial of pegaptanib, an anti-vascular endothelial growth factor aptamer, for diabetic macular edema. Ophthalmology 2005; 112: 1747–1757.
Cogan DG, Toussaint D, Kuwabara T . Retinal vascular patterns. IV. Diabetic retinopathy. Arch Ophthalmol 1961; 66: 366–378.
Barber AJ, Antonetti DA, Gardner TW . Altered expression of retinal occludin and glial fibrillary acidic protein in experimental diabetes. The Penn State Retina Research Group. Invest Ophthalmol Vis Sci 2000; 41: 3561–3568.
Murakami T, Frey T, Lin C, Antonetti DA . Protein kinase cbeta phosphorylates occludin regulating tight junction trafficking in vascular endothelial growth factor-induced permeability in vivo. Diabetes 2012; 61: 1573–1583.
Joussen AM, Smyth N, Niessen C . Pathophysiology of diabetic macular edema. Dev Ophthalmol 2007; 39: 1–12.
Tso MO . Pathology of cystoid macular edema. Ophthalmology 1982; 89: 902–915.
Wolter JR . The histopathology of cystoid macular edema. Albrecht Von Graefes Arch Klin Exp Ophthalmol 1981; 216: 85–101.
Yanoff M, Fine BS, Brucker AJ, Eagle Jr RC . Pathology of human cystoid macular edema. Surv Ophthalmol 1984; 28 (Suppl): 505–511.
Otani T, Kishi S . Correlation between optical coherence tomography and fluorescein angiography findings in diabetic macular edema. Ophthalmology 2007; 114: 104–107.
Bolz M, Ritter M, Schneider M, Simader C, Scholda C, Schmidt-Erfurth U . A systematic correlation of angiography and high-resolution optical coherence tomography in diabetic macular edema. Ophthalmology 2009; 116: 66–72.
Murakami T, Nishijima K, Akagi T, Uji A, Horii T, Ueda-Arakawa N et al. Optical coherence tomographic reflectivity of photoreceptors beneath cystoid spaces in diabetic macular edema. Invest Ophthalmol Vis Sci 2012; 53: 1506–1511.
Browning DJ, Altaweel MM, Bressler NM, Bressler SB, Scott IU . Diabetic macular edema: what is focal and what is diffuse? Am J Ophthalmol 2008; 146: 649–655.
Murakami T, Nishijima K, Sakamoto A, Ota M, Horii T, Yoshimura N . Foveal cystoid spaces are associated with enlarged foveal avascular zone and microaneurysms in diabetic macular edema. Ophthalmology 2011; 118: 359–367.
Horii T, Murakami T, Nishijima K, Akagi T, Uji A, Arakawa N et al. Relationship between fluorescein pooling and optical coherence tomographic reflectivity of cystoid spaces in diabetic macular edema. Ophthalmology 2012; 119: 1047–1055.
Kadonosono K, Itoh N, Uchio E, Nakamura S, Ohno S . Staining of internal limiting membrane in macular hole surgery. Arch Ophthalmol 2000; 118: 1116–1118.
Gandorfer A, Messmer EM, Ulbig MW, Kampik A . Resolution of diabetic macular edema after surgical removal of the posterior hyaloid and the inner limiting membrane. Retina 2000; 20: 126–133.
Haller JA, Qin H, Apte RS, Beck RR, Bressler NM, Browning DJ et al. Vitrectomy outcomes in eyes with diabetic macular edema and vitreomacular traction. Ophthalmology 2010; 117: 1087–1093 e3.
Yamamoto T, Hitani K, Sato Y, Yamashita H, Takeuchi S . Vitrectomy for diabetic macular edema with and without internal limiting membrane removal. Ophthalmologica 2005; 219: 206–213.
Patel JI, Hykin PG, Schadt M, Luong V, Fitzke F, Gregor ZJ . Pars plana vitrectomy with and without peeling of the inner limiting membrane for diabetic macular edema. Retina 2006; 26: 5–13.
Almony A, Nudleman E, Shah GK, Blinder KJ, Eliott DB, Mittra RA et al. Techniques, rationale, and outcomes of internal limiting membrane peeling. Retina 2012; 32: 877–891.
Gass CA, Haritoglou C, Schaumberger M, Kampik A . Functional outcome of macular hole surgery with and without indocyanine green-assisted peeling of the internal limiting membrane. Graefes Arch Clin Exp Ophthalmol 2003; 241: 716–720.
Ciardella AP, Schiff W, Barile G, Vidne O, Sparrow J, Langton K et al. Persistent indocyanine green fluorescence after vitrectomy for macular hole. Am J Ophthalmol 2003; 136: 174–177.
Weinberger AW, Kirchhof B, Mazinani BE, Schrage NF . Persistent indocyanine green (ICG) fluorescence 6 weeks after intraocular ICG administration for macular hole surgery. Graefes Arch Clin Exp Ophthalmol 2001; 239: 388–390.
Sayanagi K, Ikuno Y, Soga K, Sawa M, Oshima Y, Kamei M et al. Residual indocyanine green fluorescence pattern after vitrectomy for idiopathic macular hole with internal limiting membrane peeling. Br J Ophthalmol 2007; 91: 939–944.
Tadayoni R, Paques M, Girmens JF, Massin P, Gaudric A . Persistence of fundus fluorescence after use of indocyanine green for macular surgery. Ophthalmology 2003; 110: 604–608.
Ashikari M, Ozeki H, Tomida K, Sakurai E, Tamai K, Ogura Y . Retention of dye after indocyanine green-assisted internal limiting membrane peeling. Am J Ophthalmol 2003; 136: 172–174.
Sekiryu T, Iida T . Long-term observation of fundus infrared fluorescence after indocyanine green-assisted vitrectomy. Retina 2007; 27: 190–197.
Aiello LP, Beck RW, Bressler NM, Browning DJ, Chalam KV, Davis M et al. Rationale for the diabetic retinopathy clinical research network treatment protocol for center-involved diabetic macular edema. Ophthalmology 2011; 118: e5–e14.
Yoneya S, Saito T, Komatsu Y, Koyama I, Takahashi K, Duvoll-Young J . Binding properties of indocyanine green in human blood. Invest Ophthalmol Vis Sci 1998; 39: 1286–1290.
Baker KJ . Binding of sulfobromophthalein (BSP) sodium and indocyanine green (ICG) by plasma alpha-1 lipoproteins. Proc Soc Exp Biol Med 1966; 122: 957–963.
Cherrick GR, Stein SW, Leevy CM, Davidson CS . Indocyanine green: observations on its physical properties, plasma decay, and hepatic extraction. J Clin Invest 1960; 39: 592–600.
Horiguchi M, Nagata S, Yamamoto N, Kojima Y, Shimada Y . Kinetics of indocyanine green dye after intraocular surgeries using indocyanine green staining. Arch Ophthalmol 2003; 121: 327–331.
Iriyama A, Uchida S, Yanagi Y, Tamaki Y, Inoue Y, Matsuura K et al. Effects of indocyanine green on retinal ganglion cells. Invest Ophthalmol Vis Sci 2004; 45: 943–947.
Horii T, Murakami T, Nishijima K, Sakamoto A, Ota M, Yoshimura N . Optical coherence tomographic characteristics of microaneurysms in diabetic retinopathy. Am J Ophthalmol 2010; 150: 840–848.
Paques M, Simonutti M, Augustin S, Goupille O, El Mathari B, Sahel JA . In vivo observation of the locomotion of microglial cells in the retina. Glia 2010; 58: 1663–1668.
Bolz M, Schmidt-Erfurth U, Deak G, Mylonas G, Kriechbaum K, Scholda C . Optical coherence tomographic hyperreflective foci: a morphologic sign of lipid extravasation in diabetic macular edema. Ophthalmology 2009; 116: 914–920.
Chen L, Yang P, Kijlstra A . Distribution, markers, and functions of retinal microglia. Ocul Immunol Inflamm 2002; 10: 27–39.
Author information
Authors and Affiliations
Corresponding author
Ethics declarations
Competing interests
The authors declare no conflict of interest.
Additional information
Supplementary Information accompanies this paper on Eye website
Rights and permissions
About this article
Cite this article
Yoshitake, S., Murakami, T., Uji, A. et al. Association between cystoid spaces on indocyanine green hyperfluorescence and optical coherence tomography after vitrectomy for diabetic macular oedema. Eye 28, 439–448 (2014). https://doi.org/10.1038/eye.2013.290
Received:
Accepted:
Published:
Issue date:
DOI: https://doi.org/10.1038/eye.2013.290


