Abstract
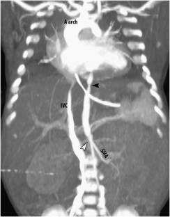
We report mid-aortic syndrome (MAC) in two preterm infants. Both infants developed malignant hypertension refractory to medical therapy and died early in infancy. Thus far, this account is of the two youngest patients with MAC.
This is a preview of subscription content, access via your institution
Access options
Subscribe to this journal
Receive 12 print issues and online access
$259.00 per year
only $21.58 per issue
Buy this article
- Purchase on SpringerLink
- Instant access to the full article PDF.
USD 39.95
Prices may be subject to local taxes which are calculated during checkout


Similar content being viewed by others
References
Sen PK, Kinare SG, Engineer SD, Parulkar GB . The Middle Aortic Syndrome. Br Heart J 1963; 25: 610–618.
Maycock Wd . Congenital stenosis of the abdominal aorta. Am Heart J 1937; 13 (6): 633–646.
De Bakey ME, Garrett HE, Howell JF, Morris Jr GC . Coarctation of the abdominal aorta with renal arterial stenosis: surgical considerations. Ann Surg 1967; 165 (5): 830–843.
Stelzner M, Horsch S, Beyer D . Abdominal and thoracic coarctation of the aorta with bilateral renal artery stenosis. Ann Vasc Surg 1987; 1 (4): 486–488.
Graham LM, Zelenock GB, Erlandson EE, Coran AG, Lindenauer SM, Stanley JC . Abdominal aortic coarctation and segmental hypoplasia. Surgery 1979; 86 (4): 519–529.
Delis KT, Gloviczki P . Middle aortic syndrome: from presentation to contemporary open surgical and endovascular treatment. Perspect Vasc Surg Endovasc Ther 2005; 17 (3): 187–203.
Zeltser I, Parness IA, Ko H, Holzman IR, Kamenir SA . Midaortic syndrome in the fetus and premature newborn: a new etiology of nonimmune hydrops fetalis and reversible fetal cardiomyopathy. Pediatrics 2003; 111 (6 Part 1): 1437–1442.
Sethna CB, Kaplan BS, Cahill AM, Velazquez OC, Meyers KE . Idiopathic mid-aortic syndrome in children. Pediatr Nephrol 2008; 23 (7): 1135–1142.
Panayiotopoulos YP, Tyrrell MR, Koffman G, Reidy JF, Haycock GB, Taylor PR . Mid-aortic syndrome presenting in childhood. Br J Surg 1996; 83 (2): 235–240.
Tummolo A, Marks SD, Stadermann M et al. Mid-aortic syndrome: long-term outcome of 36 children. Pediatr Nephrol 2009; 24 (11): 2225–2232.
Lewis 3rd VD, Meranze SG, McLean GK, O’Neill Jr JA, Berkowitz HD, Burke DR . The midaortic syndrome: diagnosis and treatment. Radiology 1988; 167 (1): 111–113.
O’Neill JA, Berkowitz H, Fellows KJ, Harmon CM . Midaortic syndrome and hypertension in childhood. J Pediatr Surg 1995; 30 (2): 164–172.
Messina LM, Reilly LM, Goldstone J, Ehrenfeld WK, Ferrell LD, Stoney RJ . Middle aortic syndrome. Effectiveness and durability of complex arterial revascularization techniques. Ann Surg 1986; 204 (3): 331–339.
Kaneko K, Someya T, Ohtaki R et al. Congenital fibromuscular dysplasia involving multivessels in an infant with fatal outcome. Eur J Pediatr 2004; 163 (4–5): 241–244.
Juncos LI, DeTure FA, Walker RD, Madorsky ML . Renin-dependent renovascular hypertension in infant with abdominal aortic atresia. Urology 1976; 7 (6): 628–631.
Das BB, Recto M, Shoemaker L, Mitchell M, Austin EH . Midaortic syndrome presenting as neonatal hypertension. Pediatr Cardiol 2008; 29 (5): 1000–1001.
Acknowledgements
Financial disclosure: None.
Author information
Authors and Affiliations
Corresponding author
Ethics declarations
Competing interests
The authors declare no conflict of interest.
Rights and permissions
About this article
Cite this article
Izraelit, A., Kim, M., Ratner, V. et al. Mid-aortic syndrome in two preterm infants. J Perinatol 32, 390–392 (2012). https://doi.org/10.1038/jp.2011.130
Received:
Revised:
Accepted:
Published:
Issue date:
DOI: https://doi.org/10.1038/jp.2011.130


