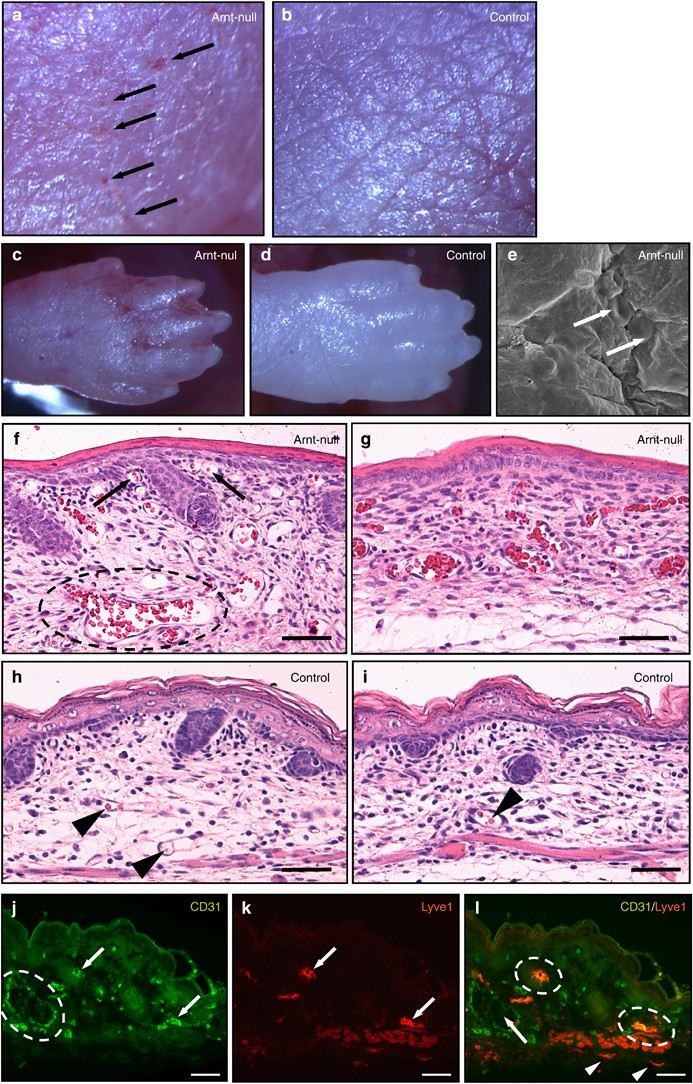
Figure 1

(a–e) Petechia- and telangiectasia-like vasculopathy in the skin of ArntΔ/Δ mouse pups. Skin surface of Arntflox/flox:K14Cre+ newborn mice had multiple tiny haemorrhagic spots (a, black arrows) absent in the skin of control littermates (b). In some ArntΔ/Δ newborns, body regions subjected to mechanical stress (paws, throat and groin) showed noticeable per-cutaneous bleeding (c) never observed in control animals (d). Scanning electron microscopy of the skin surface in ArntΔ/Δ newborns showed erythrocytes (white arrows) deep in the micro-cracks of the corny layer (e). (f–i) Skin histology (H&E) in ArntΔ/Δ and control mouse newborns. Sections of dorsal (f, h) and ventral (g, i) skin are shown. The skin of ArntΔ/Δ (f, g) pups is excessively and irregularly vascularized. Numerous blood vessels of varying sizes are seen not only in reticular but also in papillary dermis and at epidermal–dermal junction (f, arrows). Dysmorphic, highly dilated vessels are very common for the dermis of ArntΔ/Δ pups (f, dashed oval). In contrast, in the skin of control littermates (h, i), vasculature is represented by small capillaries located in reticular dermis (h, arrowhead) and infrequent blood vessels with prominent epithelial lining (arrowhead in i) which was often malformed in ArntΔ/Δ skin (f, g). The more advanced development of hair follicles on panels (f and h) is due to the origin of corresponding samples from the dorsal side of newborn body. Scale bars: 60 μm. (j–l) CD31 (vascular endothelium marker) and Lyve1 (lymphatic endothelium marker) expression in the skin of ArntΔ/Δ mouse newborns. Immunofluorescence for CD31 (frozen sections) confirmed massive impregnation of the dermis of ArntΔ/Δ newborns with blood vessels of various sizes (j) including highly dilated malformed vessels (j, dashed line) while lymphatic system, as shown by Lyve1 staining, remained generally intact (k). In the skin of ArntΔ/Δ newborns, some dermal blood vessels were extensively stained for both Lyve1 and CD31 (arrows in j and k and dashed ovals in l). Subcutaneous Lyve1-positive lymphatic vessels in ArntΔ/Δ skin were always negative for CD31 (c, arrowheads). Highly abnormal and dilated vessels characteristic for ArntΔ/Δ mouse skin were always negative for Lyve1 (l, arrow). Scale bars: 60 μm.