Abstract
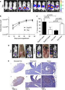
Although the overall prognosis in childhood acute lymphoblastic leukemia (ALL) is good, outcome after relapse is poor. Recurrence is frequently characterized by the occurrence of disease at extramedullary sites, such as the central nervous system and testes. Subpopulations of blasts able to migrate to such areas may have a survival advantage and give rise to disease recurrence. Gene expression profiling of 85 diagnostic pre-B-ALL bone marrow samples revealed higher 5T4 oncofetal antigen transcript levels in cytogenetic high-risk subgroups of patients (P<0.001). Flow cytometric analysis determined that bone marrow from relapse patients have a significantly higher percentage of 5T4-positive leukemic blasts than healthy donors (P=0.005). The high-risk Sup-B15 pre-B-ALL line showed heterogeneity in 5T4 expression, and the derived, 5T4+ (Sup5T4) and 5T4− (Sup) subline cells, displayed differential spread to the omentum and ovaries following intraperitoneal inoculation of immunocompromised mice. Consistent with this, Sup5T4 compared with Sup cells show increased invasion in vitro concordant with increased LFA-1 and VLA-4 integrin expression, adhesion to extracellular matrix and secretion of matrix metalloproteases (MMP-2/-9). We also show that 5T4-positive Sup-B15 cells are susceptible to 5T4-specific superantigen antibody-dependent cellular toxicity providing support for targeted immunotherapy in high-risk pre-B-ALL.
This is a preview of subscription content, access via your institution
Access options
Subscribe to this journal
Receive 12 print issues and online access
$259.00 per year
only $21.58 per issue
Buy this article
- Purchase on SpringerLink
- Instant access to the full article PDF.
USD 39.95
Prices may be subject to local taxes which are calculated during checkout







Similar content being viewed by others
References
Parker C, Waters R, Leighton C, Hancock J, Sutton R, Moorman AV et al. Effect of mitoxantrone on outcome of children with first relapse of acute lymphoblastic leukaemia (ALL R3): an open-label randomised trial. Lancet 2010; 376: 2009–2017.
Moorman AV, Ensor HM, Richards SM, Chilton L, Schwab C, Kinsey SE et al. Prognostic effect of chromosomal abnormalities in childhood B-cell precursor acute lymphoblastic leukaemia: results from the UK medical research council ALL97/99 randomised trial. Lancet Oncol 2010; 11: 429–438.
Jacobs JE, Hastings C . Isolated extramedullary relapse in childhood acute lymphocytic leukemia. Curr Hematol Malig Rep 2010; 5: 185–191.
Krishnan S, Wade R, Moorman AV, Mitchell C, Kinsey SE, Eden TO et al. Temporal changes in the incidence and pattern of central nervous system relapses in children with acute lymphoblastic leukaemia treated on four consecutive Medical Research Council trials, 1985-2001. Leukemia 2010; 24: 450–459.
Reid H, Marsden HB . Gonadal infiltration in children with leukaemia and lymphoma. J Clin Pathol 1980; 33: 722–729.
Holland M, Castro FV, Alexander S, Smith D, Liu J, Walker M et al. RAC2, AEP, and ICAM1 expression are associated with CNS disease in a mouse model of pre-B childhood acute lymphoblastic leukemia. Blood 2011; 118: 638–649.
Murdoch C . CXCR4: chemokine receptor extraordinaire. Immunol Rev 2000; 177: 175–184.
Crazzolara R, Kreczy A, Mann G, Heitger A, Eibl G, Fink FM et al. High expression of the chemokine receptor CXCR4 predicts extramedullary organ infiltration in childhood acute lymphoblastic leukaemia. Br J Haematol 2001; 115: 545–553.
Southgate TD, McGinn OJ, Castro FV, Rutkowski AJ, Al-Muftah M, Marinov G et al. CXCR4 mediated chemotaxis is regulated by 5T4 oncofetal glycoprotein in mouse embryonic cells. PLoS One 2010; 5: e9982.
Spencer HL, Eastham AM, Merry CL, Southgate TD, Perez-Campo F, Soncin F et al. E-cadherin inhibits cell surface localization of the pro-migratory 5T4 oncofetal antigen in mouse embryonic stem cells. Mol Biol Cell 2007; 18: 2838–2851.
Elkord E, Shablak A, Stern PL, Hawkins RE . 5T4 as a target for immunotherapy in renal cell carcinoma. Expert Rev Anticancer Ther 2009; 9: 1705–1709.
Damelin M, Geles KG, Follettie MT, Yuan P, Baxter M, Golas J et al. Delineation of a cellular hierarchy in lung cancer reveals an oncofetal antigen expressed on tumor-initiating cells. Cancer Res 2011; 71: 4236–4246.
van Zelm MC, van der Burg M, de Ridder D, Barendregt BH, de Haas EF, Reinders MJ et al. Ig gene rearrangement steps are initiated in early human precursor B cell subsets and correlate with specific transcription factor expression. J Immunol 2005; 175: 5912–5922.
Dirks WG, MacLeod RA, Nakamura Y, Kohara A, Reid Y, Milch H et al. Cell line cross-contamination initiative: an interactive reference database of STR profiles covering common cancer cell lines. Int J Cancer 2010; 126: 303–304.
van Delft FW, Horsley S, Colman S, Anderson K, Bateman C, Kempski H et al. Clonal origins of relapse in ETV6-RUNX1 acute lymphoblastic leukemia. Blood 2011; 117: 6247–6254.
Strefford JC, van Delft FW, Robinson HM, Worley H, Yiannikouris O, Selzer R et al. Complex genomic alterations and gene expression in acute lymphoblastic leukemia with intrachromosomal amplification of chromosome 21. Proc Natl Acad Sci USA 2006; 103: 8167–8172.
Livak KJ, Schmittgen TD . Analysis of relative gene expression data using real-time quantitative PCR and the 2(-Delta Delta C(T)) Method. Methods 2001; 25: 402–408.
Forsberg G, Ohlsson L, Brodin T, Bjork P, Lando PA, Shaw D et al. Therapy of human non-small-cell lung carcinoma using antibody targeting of a modified superantigen. Br J Cancer 2001; 85: 129–136.
Borghaei H, Alpaugh K, Hedlund G, Forsberg G, Langer C, Rogatko A et al. Phase I dose escalation, pharmacokinetic and pharmacodynamic study of naptumomab estafenatox alone in patients with advanced cancer and with docetaxel in patients with advanced non-small-cell lung cancer. J Clin Oncol 2009; 27: 4116–4123.
Schindler J, Gajavelli S, Ravandi F, Shen Y, Parekh S, Braunchweig I et al. A phase I study of a combination of anti-CD19 and anti-CD22 immunotoxins (Combotox) in adult patients with refractory B-lineage acute lymphoblastic leukaemia. Br J Haematol 2011; 154: 471–476.
Hood JD, Cheresh DA . Role of integrins in cell invasion and migration. Nat Rev Cancer 2002; 2: 91–100.
Spiegel A, Kollet O, Peled A, Abel L, Nagler A, Bielorai B et al. Unique SDF-1-induced activation of human precursor-B ALL cells as a result of altered CXCR4 expression and signaling. Blood 2004; 103: 2900–2907.
Juarez J, Dela Pena A, Baraz R, Hewson J, Khoo M, Cisterne A et al. CXCR4 antagonists mobilize childhood acute lymphoblastic leukemia cells into the peripheral blood and inhibit engraftment. Leukemia 2007; 21: 1249–1257.
Juarez JG, Thien M, Dela Pena A, Baraz R, Bradstock KF, Bendall LJ . CXCR4 mediates the homing of B cell progenitor acute lymphoblastic leukaemia cells to the bone marrow via activation of p38MAPK. Br J Haematol 2009; 145: 491–499.
Parameswaran R, Yu M, Lim M, Groffen J, Heisterkamp N . Combination of drug therapy in acute lymphoblastic leukemia with a CXCR4 antagonist. Leukemia 2011; 25: 1314–1323.
Juarez J, Bradstock KF, Gottlieb DJ, Bendall LJ . Effects of inhibitors of the chemokine receptor CXCR4 on acute lymphoblastic leukemia cells in vitro. Leukemia 2003; 17: 1294–1300.
Nervi B, Ramirez P, Rettig MP, Uy GL, Holt MS, Ritchey JK et al. Chemosensitization of acute myeloid leukemia (AML) following mobilization by the CXCR4 antagonist AMD3100. Blood 2009; 113: 6206–6214.
Cobaleda C, Gutierrez-Cianca N, Perez-Losada J, Flores T, Garcia-Sanz R, Gonzalez M et al. A primitive hematopoietic cell is the target for the leukemic transformation in human philadelphia-positive acute lymphoblastic leukemia. Blood 2000; 95: 1007–1013.
Cox CV, Evely RS, Oakhill A, Pamphilon DH, Goulden NJ, Blair A . Characterization of acute lymphoblastic leukemia progenitor cells. Blood 2004; 104: 2919–2925.
Castor A, Nilsson L, Astrand-Grundstrom I, Buitenhuis M, Ramirez C, Anderson K et al. Distinct patterns of hematopoietic stem cell involvement in acute lymphoblastic leukemia. Nat Med 2005; 11: 630–637.
Hong D, Gupta R, Ancliff P, Atzberger A, Brown J, Soneji S et al. Initiating and cancer-propagating cells in TEL-AML1-associated childhood leukemia. Science 2008; 319: 336–339.
Obro NF, Marquart HV, Madsen HO, Ryder LP, Andersen MK, Lausen B et al. Immunophenotype-defined sub-populations are common at diagnosis in childhood B-cell precursor acute lymphoblastic leukemia. Leukemia 2011; 25: 1652–1657.
Hystad ME, Myklebust JH, Bo TH, Sivertsen EA, Rian E, Forfang L et al. Characterization of early stages of human B cell development by gene expression profiling. J Immunol 2007; 179: 3662–3671.
le Viseur C, Hotfilder M, Bomken S, Wilson K, Rottgers S, Schrauder A et al. In childhood acute lymphoblastic leukemia, blasts at different stages of immunophenotypic maturation have stem cell properties. Cancer Cell 2008; 14: 47–58.
Hay DL, Poyner DR, Sexton PM . GPCR modulation by RAMPs. Pharmacol Ther 2006; 109: 173–197.
Kofuku Y, Yoshiura C, Ueda T, Terasawa H, Hirai T, Tominaga S et al. Structural basis of the interaction between chemokine stromal cell-derived factor-1/CXCL12 and its G-protein-coupled receptor CXCR4. J Biol Chem 2009; 284: 35240–35250.
Rubin JB . Chemokine signaling in cancer: one hump or two? Semin Cancer Biol 2009; 19: 116–122.
Bachelerie F . CXCL12/CXCR4-axis dysfunctions: Markers of the rare immunodeficiency disorder WHIM syndrome. Dis Markers 2010; 29: 189–198.
Slasky BS, Straub WH, Deutsch M . Acute lymphocytic leukemia of the ovary: the value of sonography. J Comput Tomogr 1982; 6: 161–165.
Pais RC, Kim TH, Zwiren GT, Ragab AH . Ovarian tumors in relapsing acute lymphoblastic leukemia: a review of 23 cases. J Pediatr Surg 1991; 26: 70–74.
Hagiwara A, Takahashi T, Sawai K, Taniguchi H, Shimotsuma M, Okano S et al. Milky spots as the implantation site for malignant cells in peritoneal dissemination in mice. Cancer Res 1993; 53: 687–692.
Tsujimoto H, Takhashi T, Hagiwara A, Shimotsuma M, Sakakura C, Osaki K et al. Site-specific implantation in the milky spots of malignant cells in peritoneal dissemination: immunohistochemical observation in mice inoculated intraperitoneally with bromodeoxyuridine-labelled cells. Br J Cancer 1995; 71: 468–472.
Pinho Mde F, Hurtado SP, El-Cheikh MC, Borojevic R . Haemopoietic progenitors in the adult mouse omentum: permanent production of B lymphocytes and monocytes. Cell Tissue Res 2005; 319: 91–102.
Sorensen EW, Gerber SA, Sedlacek AL, Rybalko VY, Chan WM, Lord EM . Omental immune aggregates and tumor metastasis within the peritoneal cavity. Immunol Res 2009; 45: 185–194.
Imai Y, Shimaoka M, Kurokawa M . Essential roles of VLA-4 in the hematopoietic system. Int J Hematol 2010; 91: 569–575.
Rettig MP, Ansstas G, Dipersio JF . Mobilization of hematopoietic stem and progenitor cells using inhibitors of CXCR4 and VLA-4. Leukemia 2012; 26: 34–53.
Schneider P, Costa O, Legrand E, Bigot D, Lecleire S, Grassi V et al. In vitro secretion of matrix metalloprotease 9 is a prognostic marker in childhood acute lymphoblastic leukemia. Leuk Res 2010; 34: 24–31.
Liotta LA, Tryggvason K, Garbisa S, Hart I, Foltz CM, Shafie S . Metastatic potential correlates with enzymatic degradation of basement membrane collagen. Nature 1980; 284: 67–68.
Klein G, Vellenga E, Fraaije MW, Kamps WA, de Bont ES . The possible role of matrix metalloproteinase (MMP)-2 and MMP-9 in cancer, e.g. acute leukemia. Crit Rev Oncol Hematol 2004; 50: 87–100.
Stefanidakis M, Koivunen E . Cell-surface association between matrix metalloproteinases and integrins: role of the complexes in leukocyte migration and cancer progression. Blood 2006; 108: 1441–1450.
Lin LI, Lin DT, Chang CJ, Lee CY, Tang JL, Tien HF . Marrow matrix metalloproteinases (MMPs) and tissue inhibitors of MMP in acute leukaemia: potential role of MMP-9 as a surrogate marker to monitor leukaemic status in patients with acute myelogenous leukaemia. Br J Haematol 2002; 117: 835–841.
Wang L, O′Leary H, Fortney J, Gibson LF . Ph+/VE-cadherin+ identifies a stem cell like population of acute lymphoblastic leukemia sustained by bone marrow niche cells. Blood 2007; 110: 3334–3344.
van den Berg H, de Groot-Kruseman HA, Damen-Korbijn CM, de Bont ES, Schouten-van Meeteren AY, Hoogerbrugge PM . Outcome after first relapse in children with acute lymphoblastic leukemia: a report based on the Dutch Childhood Oncology Group (DCOG) relapse all 98 protocol. Pediatr Blood Cancer 2011; 57: 210–216.
Yu M, Gang EJ, Parameswaran R, Stoddart S, Fei F, Schmidhuber S et al. AMD3100 sensitizes acute lymphoblastic leukemia cells to chemotherapy in vivo. Blood Cancer J 2011; 1: e14.
Harrop R, Shingler WH, McDonald M, Treasure P, Amato RJ, Hawkins RE et al. MVA-5T4-induced immune responses are an early marker of efficacy in renal cancer patients. Cancer Immunol Immunother 2011; 60: 829–837.
Acknowledgements
We thank all people involved in the PICR core facilities and in particular the BRU. This work was supported by programme grants from Cancer Research UK to PLS (C480/A12328) and VS. AG was supported by Seville Health Authority Spain.
Author information
Authors and Affiliations
Corresponding author
Ethics declarations
Competing interests
Rights to use 5T4 as a target for superantigen therapy is licensed by Cancer Research Technology Ltd to Active Biotech and PLS has received payments from CRT relating to clinical trial milestones under this agreement. PLS is a member of the SAB of Oxford BioMedica. All other authors declare no conflict of interest.
Additional information
Supplementary Information accompanies the paper on the Leukemia website
Supplementary information
Rights and permissions
About this article
Cite this article
Castro, F., McGinn, O., Krishnan, S. et al. 5T4 oncofetal antigen is expressed in high risk of relapse childhood pre-B acute lymphoblastic leukemia and is associated with a more invasive and chemotactic phenotype. Leukemia 26, 1487–1498 (2012). https://doi.org/10.1038/leu.2012.18
Received:
Accepted:
Published:
Issue date:
DOI: https://doi.org/10.1038/leu.2012.18
Keywords
This article is cited by
-
Trophoblast glycoprotein is a new candidate gene for Parkinson’s disease
npj Parkinson's Disease (2021)
-
Genome-scale CRISPR screening at high sensitivity with an empirically designed sgRNA library
BMC Biology (2020)
-
Combination Treatment with an Antibody–Drug Conjugate (A1mcMMAF) Targeting the Oncofetal Glycoprotein 5T4 and Carboplatin Improves Survival in a Xenograft Model of Ovarian Cancer
Targeted Oncology (2019)
-
First-in-human trial of an anti-5T4 antibody-monomethylauristatin conjugate, PF-06263507, in patients with advanced solid tumors
Investigational New Drugs (2017)
-
5T4 oncofoetal antigen: an attractive target for immune intervention in cancer
Cancer Immunology, Immunotherapy (2017)


