Abstract
Significant progress has been made in the standardization of bladder neoplasm classification and reporting. Accurate staging using the American Joint Committee on Cancer/International Union Against Cancer (AJCC/UICC) TNM system is essential for patient management, and has been reinforced by clinical evidence in recent years. It is now recognized that ‘superficial’ bladder carcinomas are a heterogenous group of tumors with diverse biological and clinical manifestations. The term ‘superficial,’ therefore, is no longer used for bladder tumor nomenclature. Recognition of diagnostic pitfalls associated with lamina propria invasion is critical for the evaluation of bladder tumor specimens. Neither the 1973 nor the 2004 WHO grading system appears to be useful for predicting the clinical outcome of invasive urothelial carcinoma. This review will discuss recent progress and controversial issues on the staging and substaging of bladder carcinomas. Essential elements for handling and reporting of bladder tumor specimens will also be discussed.
Similar content being viewed by others
Main
Bladder cancer is a significant cause of cancer morbidity and mortality, accounting for an estimated 68 810 new cases and 14 100 cancer deaths in the United States in 2008.1 Pathological stage is the most important determinant of prognosis and treatment for bladder cancer.2, 3, 4, 5, 6 An ideal staging system should accurately reflect the natural history of cancer at this site, describe the total cancer burden, assess the extent of spread at the time of diagnosis, and stratify patients into prognostic groups for treatment planning. Adoption of a uniform staging system permits comparison of therapeutic interventions among different institutions.
Historically, the term ‘superficial bladder cancer’ has been used to describe tumors that have not invaded into muscularis propria. This designation includes noninvasive papillary urothelial carcinoma (pTa), carcinoma in situ (CIS) (pTis), and tumor invading into the lamina propria (pT1). It is now recommended that the term ‘superficial’ be entirely eliminated from bladder tumor nomenclature.7, 8 The 2002 revision of the American Joint Committee on Cancer/International Union Against Cancer/Union Internationale Contre le Cancer (AJCC/UICC) TNM system is the most widely used staging system at this time (Table 1).9 This review will focus on recent progress and controversial issues related to bladder cancer staging. Practical diagnostic issues, such as lymphovascular invasion, surgical margins, specimen handling, and cancer reporting, will also be discussed.
Stage pT0 carcinoma
Stage pT0 tumor is a condition in which there is no evidence of residual carcinoma in the cystectomy specimen after an initial cancer diagnosis in the biopsy or transurethral resection (TUR) specimens. The incidence of stage pT0 bladder carcinoma is approximately 10%.5, 10, 11, 12, 13, 14 Unlike stage pT0 cancer of the prostate (so called ‘vanishing cancer phenomenon’), the clinical outcome among patients with stage pT0 bladder cancer is variable. In the largest series of pT0 carcinomas (120 patients), the 5-year recurrence-free, cancer-specific, and overall survivals were 84, 88, and 84%, respectively.11 Multivariate analysis showed that lymphovascular invasion and carcinoma-in situ in the TUR specimens were independent predictors of adverse clinical outcome.11 The 5-year overall survival for patients with lymphovascular invasion was 70%, compared with 89% for those patients without lymphovascular invasion.11 The incidence of lymph node metastasis among pT0 patients is 3 to 7%.10, 13
Stage pTa carcinoma
pTa carcinoma is defined by the 2002 TNM (tumor, lymph node, and hematogenous metastasis) staging system as noninvasive papillary carcinoma (Table 1). It should be distinguished from pT1 cancer by the absence of lamina propria invasion (see discussion below). Histological grading is considered one of the most important prognostic factors for pTa bladder tumors.15
Stage pT1 carcinoma
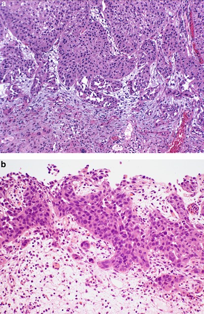
pT1 carcinoma is defined by invasion into lamina propria, but not into muscularis propria (Figure 1). Recognition of lamina propria invasion is challenging. Pathologists should be aware of various diagnostic pitfalls, including tangential section, poor specimen orientation, obscuring inflammation, thermal injury, deceptively bland cytology in some variants of urothelial carcinoma and pseudoinvasive nests of benign proliferative urothelial cells.16 pT1 carcinomas often invade the underlying stroma as single cells or irregularly shaped nests of tumor cells (Figure 2). Sometimes tentacular or finger-like extensions arise from the base of the papillary tumor (Figure 3). Retraction artifact provides an important clue for the diagnosis of early invasion (Figure 4). The invading nests appear cytologically different from cells at the base of the noninvasive component. Invasive tumor cells often have more abundant cytoplasm and less nuclear pleomorphism than in situ carcinoma. In some cases, particularly in microinvasive carcinoma, the invasive tumor cells acquire abundant eosinophilic cytoplasm. At low to medium power magnification, these microinvasive cancer cells appear to be more differentiated than the overlying noninvasive tumor cells, a feature known as paradoxical differentiation (Figure 5).
pT1 urothelial carcinoma invading into the lamina propria. Wisps of muscularis mucosae, thin-walled vessels, and inflammatory infiltrate are present at the deepest penetration of the tumor.
pT1 urothelial carcinoma with different invasive patterns. (a) The smooth contour of basement membrane is disrupted in infiltrating tumor cells. (b and c) Irregular small clusters of tumor cells invading the stroma. (d) Variably sized nests with single cells and irregular clusters of invading cells.
pT1 urothelial carcinoma. (a) Invading fronts of the neoplasm show tentacular or finger-like extensions with myxoid reaction of the stroma. (b) Smooth contours of basement membrane are lost and irregular clusters or single cells are present in the lamina propria.
pT1 urothelial carcinoma with retraction artifact. (a) Retraction artifact around invasive clusters is a useful feature for diagnosing stromal invasion. (b) The appearance of clusters with retraction artifact should not be mistaken for lymphovascular invasion.
Paradoxical differentiation in pT1 urothelial carcinoma. The invasive tumor cells often acquire abundant eosinophilic cytoplasm and appear to be more differentiated than overlying noninvasive tumor cells.
Tumor cells involving von Brunn's nests, either by pagetoid spread or by direct extension from adjacent tumor, can be confused with lamina propria invasion. This is especially problematic when von Brunn's nests are prominent, or when they have been distorted by inflammation or cautery artifact. When urothelial carcinoma involves von Brunn's nests, the basement membrane preserves a regular contour (Figure 6). If this smooth delineation is absent, there may be true lamina propria invasion. A parallel array of thin-walled vessels often line the basement membrane of noninvasive nests; whereas these vessels are usually absent next to invasive nests. Thermal injury or cautery artefact can produce severely distorted morphology, rendering accurate diagnosis of invasion difficult. Immunohistochemistry with pan-cytokeratin may be helpful in these cases by highlighting invasive tumor cells.17 Papillary urothelial carcinoma may be tangentially sectioned in multiple planes, resulting in isolated nests of noninvasive tumor cells surrounded by connective tissue. Smooth, round, and regular contours favor tangential sectioning, whereas irregular, jagged nests containing haphazardly arranged cells favor stromal invasion.
Urothelial carcinoma may involve von Brunn's nests. The smooth regular contour of basement membrane, however, is preserved. Definite stromal invasion is not seen.
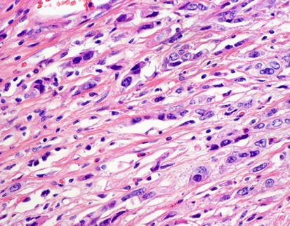
Assessment of different stromal growth patterns may provide important diagnostic clues to minimally invasive carcinoma.17, 18 A stromal response to invading carcinoma, however, is not uniformly present with urothelial carcinoma. Thus, the diagnosis of invasion may rely predominantly on characteristics of the invading epithelium. When present, the stromal reaction of lamina propria to invasive tumor may be myxoid, fibrous, pseudosarcomatous, desmoplastic or inflammatory (Figure 7). Urothelial carcinoma may show brisk inflammation at the epithelial–stromal interface. This cellularity and distortion obscure isolated cells or small nests of invasive tumor. Immmunostaining with anti-cytokeratin antibodies can facilitate the diagnosis of invasion in cases with prominent inflammation obscuring the interface between epithelium and stroma (Figure 8a and b). Microinvasive carcinoma may have only subtle signs of stromal response. In some cases, retraction artifact around superficially invasive individual tumor cells may mimic vascular invasion. This finding is often focal and may itself be an early sign of lamina propria invasion. Retraction artifact may be distinguished from true vascular invasion using CD31 and CD34 immunohistochemistry. Identification of vascular invasion has recently been considered an important prognostic feature.19
Stromal responses in invasive urothelial carcinoma. The stromal reaction to invasive tumor may be (a) myxoid; (b) fibrous; (c) inflammatory; (d) pseudosarcomatous; or (e) desmoplastic. (f) Retraction artifact is also common adjacent to early invasive carcinoma, an important diagnostic clue for stromal invasion.
(a) Prominent inflammation at the epithelial–stromal interface may obscure isolated cells or small nests of invasive carcinoma. (b) Immmunostaining with anti-cytokeratin antibodies highlights the tumor cells. (c and d) Myofibroblasts and smooth muscle cells may show positive cytokeratin immunoreactivity. The intensity of staining, however, is weak and the nuclei are small with indistinct smudged chromatin.
Invasive urothelial carcinoma may have a cellular stroma with spindled fibroblasts and variable collagenization, or it may have a hypocellular stroma with myxoid background. Rarely, the tumor induces an exuberant proliferation of fibroblasts, which display alarming cellular atypia similar to giant cell cystitis. This feature, although a helpful clue to invasion, should not be mistaken for the spindle cell component of sarcomatoid urothelial carcinoma. Immunostains for cytokeratin are helpful in difficult cases. Pathologists, however, should be aware of the caveat that aberrant keratin expression can also be seen in myofibroblastic cells (Figure 8c and d).20 Attention to spindle cell morphology and normal cytology of myofibroblastic cells will help to avoid misinterpretation of staining results. The proliferating stroma associated with invasion is usually nonexpansile, being limited to areas around the neoplasm and composed of cells whose nuclei have a degenerate or smudged appearance.
Interobserver variability in diagnosing lamina propria invasion is substantial. In one study, 35% of carcinomas initially diagnosed as stage pT1 were downstaged to pTa, and 3% were upstaged as pT2-4 carcinomas.21 In another study, there was complete interobserver agreement on pT1 stage among reviewers in 80% of cases, which rose to 88% after a second review.22 Of the 63 tumors originally diagnosed as stage pT1, the consensus diagnosis by experienced genitourinary pathologists resulted in downstaging of 35 (56%) to pTa and upstaging of 8 (13%) to pT2–pT3 tumors.22 Progression was more common in the 20 consensus confirmed stage pT1 cases (25%) than in the 55 pTa and pT1 cases (20%).22 Tumors that were downstaged to pTa showed less frequent progression than stage pT1 tumors (17 versus 25%), confirmed by review. It was concluded that prognostic variation resulting from observer variability in staging and grading is considerable with significant implications for patient management.22 The high rate of congruence between trained observers also implies that interobserver variation can be reduced by agreement on criteria for invasion.
Understaging of T1 bladder carcinoma is of greatest concern.23, 24, 25, 26 It is recommended that the second TUR be performed within 2–4 weeks of the initial resection and diagnosis of T1 bladder carcinoma.27, 28, 29
Substaging of pT1 Bladder Carcinoma
Recurrence and progression rates for pT1 tumors are highly variable.16, 23, 24, 25, 27, 30 This is probably due to intrinsic difficulty in assessing the presence and extent of invasion. An accurate, easy-to-use, reproducible substaging system is needed to stratify pT1 patients into prognostically distinct groups. Elderly patients with bladder cancer frequently have comorbid conditions that make conservative management preferable for early invasive urothelial carcinomas. Several studies have explored the utility of evaluating the spatial relationship of invasive tumor to the muscularis mucosae for subclassification of pT1 urothelial carcinomas.16, 31, 32, 33, 34, 35, 36, 37 Muscularis mucosae consists of thin and wavy fascicles of smooth muscle frequently associated with large, thin-walled blood vessels (Figure 9). Muscularis mucosae can be identified in 15–83% of biopsy specimens;16, 24, 25, 31, 32, 33, 34, 35, 36, 38, 39, 40, 41, 42 however, 6% of radical cystectomy specimens do not have discernable muscularis mucosae.41 Thus, the large associated vessels have been used as a surrogate marker for muscularis mucosae in all published studies of substaging based on muscularis mucosae invasion. For example, Angulo et al31 were able to identify muscularis mucosae fascicles in 39% of their cases, and used the blood vessel landmark in another 26%. Thus, in 35% of their cases, substaging could not T1 be performed because neither muscularis mucosae nor large vessels were found. Platz et al35 identified muscularis mucosae in only 33% of their cases and found no significant prognostic value in substaging pT1 cancer using this criterion. With median follow-up of 71 months, Kondylis et al43 found no difference in recurrence and progression rates between patients with T1a and T1b cancer using muscularis mucosae invasion for substaging. Cancer progression rates were 78 and 71% for T1a and T1b cancer, respectively. Furthermore, significant topographical variation of muscularis mucosae in different regions of the bladder has recently been documented.44 These problems raise concerns about the practicality and validity of substaging pT1 carcinomas based on muscularis mucosae invasion, and currently this practice is not universally advocated.45 Nevertheless, when feasible, pathologists should provide assessment for the extent of lamina propria invasion. Substaging of pT1 urothelial carcinoma arising from the trigone region is even more problematic (Figure 10).
Muscularis mucosae and muscularis mucosae invasion. (a) Muscularis mucosae is composed of thin and wavy fascicles of smooth muscle in the submucosa of the bladder wall. (b) Muscularis mucosae is characterized by thin, often interrupted, bands of smooth muscle cells at high power. (c) Muscularis mucosae invasion. (d) Hyperplastic muscularis mucosae may be difficult to be distinguished from muscularis propria.
The trigone of the urinary bladder. (a) The lamina propria is thin in the trigone area, and merges imperceptibly into the muscularis propria wall. (b) Higher magnification view of the trigone area. Substaging of pT1 bladder carcinoma is particularly challenging for tumors arising from the trigone.
Substaging of pT1 carcinoma based on ocular micrometer measurement of tumor invasion is an alternate strategy to provide information for the management of pT1 cancer (Figure 11).24, 25, 38 Using an ocular micrometer to measure the depth of invasion from the mucosal basement membrane, investigators have found a significant correlation between depth of invasion in the biopsy specimens and final pathological stage at cystectomy.38, 46 A 1.5 mm depth of invasion predicted advanced-stage bladder carcinoma at cystectomy with a sensitivity of 81%, a specificity of 83%, and positive and negative predictive values of 95 and 56%, respectively. Ninety-five percent of patients with the depth of invasion ≥1.5 mm at TUR specimens have advanced stage (≥pT2) bladder carcinoma at cystectomy.38 Applying this criterion to 83 consecutive patients diagnosed with pT1 bladder cancer, the investigators found a 5-year progression-free survival of 67% with tumor invasion greater than 1.5 mm.25 When the depth of invasion was less than 1.5 mm, the 5-year survival rate was 93%.25 More recently, Andius et al19 identified solid tumor growth pattern and vascular invasion as adverse prognostic indicators for patients with T1 bladder cancer.
Depth of invasion in pT1 urothelial carcinoma is a powerful predictor of clinical outcome. (a) The depth of stromal invasion in the transurethral resection or biopsy specimens is measured from the basement membrane of the bladder mucosa to the deepest invasive cancer cells using an ocular micrometer, whether the lesion is flat (AI) or papillary (AII). When tissue fragments contained cancer without adjacent basement membrane or when the specimen is not oriented, the depth of invasion is the shortest dimension of an intact tumor fragment to avoid overestimation of the depth of invasion (AIII). (b) Receiver operating characteristic (ROC) analysis of invasion depth as a predictor of advanced stage (≥T2) bladder carcinoma. The area under the ROC curve was 0.89. (c) Sensitivity and specificity of invasion depth as a predictor for advanced stage (≥T2) bladder carcinoma. The optimal depth of invasion (for maximizing both sensitivity and specificity in predicting advanced stage bladder carcinoma is 1.5 mm. (d) Cancer progression-free survival curves comparing invasion depth <1.5 and ≥1.5 mm in transurethral resection specimens. Progression consisted of muscle-invasive or more advanced stage carcinoma, of distant metastasis or of death from bladder cancer (from Cheng et al38: Substaging of T1 bladder carcinoma based on the depth of invasion as measured by micrometer: a new proposal. Cancer 1999; 86:1035; and Cheng et al46: Predicting extravesical extension of bladder carcinoma. Urology 2000; 55:668, with permission).
Microinvasive Carcinoma
George Farrow, beginning in 1976, defined microinvasive carcinoma as a tumor invading into the lamina propria to a depth up to 5 mm from the basement membrane47, 48, 49 (Figure 12). Farrow reviewed cystectomy specimens with urothelial CIS that were totally embedded and identified cases with extensive CIS involving at least 25% of the bladder. Of these 70 cases, there were 24 (34%), which contained microinvasion. Of the patients with microinvasion, 5.8% had lymph node metastasis and all of them died of cancer. The study of McKenney et al50 suggested a depth of 2 mm to assign the microinvasive category. More recently, Lopez-Beltran et al51 again refined the criteria for microinvasion. They proposed that the microinvasive component into the lamina propria should consist of no more than 20 invading cells, as measured from the stromal–epithelial interface.51 Further investigation is warranted to define the clinical significance of this diagnostic category.
Microinvasive carcinoma arising from urothelial carcinoma in situ. (a) Individual single cells permeate the stroma adjacent to von Brunn's nests containing carcinoma in situ. (b) Prominent stromal inflammatory response may obscure the presence of individual tumor cells. Retraction artifact is a useful clue for the diagnosis of invasion.
Stage pT2 carcinoma
Stage pT2 carcinoma is defined by tumor invasion into muscularis propria (Figure 13). The 2002 TNM staging system subclassifies pT2 carcinoma into two categories: cancer invading less than one-half of the depth of muscular propria (pT2a) and cancer invading greater than one-half of the muscle wall.9 The clinical utility of pT2 tumor substaging has been questioned.25
pT2 urothelial carcinoma. (a) pT2 urothelial carcinoma invades into muscularis propria. Infiltrating tumor cells permeate the thick muscularis propria wall. (b) Sometimes it is difficult to ascertain the presence of muscularis propria invasion when columns and nests of tumor cells widely separate bundles of detrusor muscle. (c and d) Extensive destruction of muscularis propria may result in fragmentations of detrusor muscle, mimicking muscularis mucosae invasion. (e) It is not uncommon for tumor cells to abut, but not penetrate bundles of mucularis propria. The muscle–tumor interface may even have a smooth contour. (f) Even without direct invading into muscularis propria wall, tumor cells immediately adjacent to broad smooth muscle fibers should be categorized as pT2 carcinoma.
Current subclassification of T2 carcinomas is based on the work by Jewett52 in 1952. In a study of 18 patients with muscle-invasive carcinoma, from 5 T2a (B1) cases and 13 T2b (B2) urothelial carcinomas, the authors found that 80% of T2a bladder carcinoma patients survived, whereas only 8% of those with stage T2b survived.52 Data that have accumulated in the 47 years since this original publication do not appear to support the subdivision of T2 by depth of muscularis propria invasion (Table 2).5, 53, 54, 55, 56, 57, 58, 59, 60, 61, 62, 63, 64, 65, 66, 67, 68, 69, 70, 71, 72, 73, 74, 75, 76, 77, 78, 79, 80, 81, 82, 83, 84, 85, 86 During a mean follow-up of 8.3 years, Cheng et al85 found no survival difference between pT2a and pT2b cancer (Figure 14). Ten-year cancer specific survival rates were 82 and 81%, respectively, for patients with pT2a and pT2b bladder cancer.85 In contrast, tumor size (the largest tumor dimension) was predictive of distant metastasis-free and cancer-specific survival in patients with muscularis propria invasion.85 Ten-year cancer-specific survival rates were 94 and 73%, respectively, for patients with cancers <3 cm and patients with cancer ≥3 cm in greatest dimension.85 In a recent study of 311 patients with pT2 bladder cancer, Yu et al81 found no significant difference in clinical outcome between pT2a and pT2b cancers after controlling for lymph node status. Ten-year recurrence-free survival rates were 84 and 72%, respectively, for pT2a and pT2b lymph node-negative bladder cancers. Among lymph node-positive bladder cancer patients, 10-year recurrence-free survival was 50% for pT2a carcinoma and 48% for pT2b carcinoma.81
Substaging of pT2 urothelial carcinoma. Distant metastasis-free (a and b) and cancer-specific (c and d) survivals for patients with pT2 urothelial carcinoma. Tumor size (b and d) was more clinically relevant than the pT2 substaging (pT2a versus pT2b) (a and c) (from Cheng et al85 Tumor size predicts the survival of patients with pathologic stage T2 bladder carcinoma: a critical evaluation of the depth of muscle invasion. Cancer 1999; 85:2638, with permission).
In 1978, Jewett87 concluded, ‘it seems probable that our arbitrary dividing line drawn 30 years ago at the halfway level to separate B1 (pT2a) from B2 (pT2b) tumors was too superficial.’ Substaging of T2 bladder carcinoma based on the level of muscularis propria invasion is of limited value for stratifying patients into prognostic groups and should be eliminated from future TNM classification. Tumor size may be a more pertinent parameter for the subclassification of T2 bladder cancer.
Stage pT3 carcinoma
Stage pT3 bladder carcinoma is defined by tumor invasion into perivesical soft tissue (Figure 15). The presence of intramural adipose tissue is well documented in the bladder.88 The appearance of fat invasion in a biopsy or TUR specimen, therefore, does not necessarily indicate invasive pT3 carcinomasr. As a consequence, it is not feasible to document pT3 cancer in biopsy or TUR specimens. Nevertheless, in one study of 90 patients, the investigators found that depth of invasion in the TUR specimen was predicative of the final pathological stage.46 Patients with a bladder cancer depth of invasion greater than 4 mm in the TUR of the bladder (TURB) specimen are likely to have extravesical extension. On the basis of a 4.0-mm cutoff point, the sensitivity, specificity, positive predictive value and negative predictive value for extravesical extension were 54, 90, 81, and 72%, respectively.46 The overall accuracy of invasion depth for predicting extravesical extension, measured by the area under the receiver operating curve, was 0.81 (s.e. 0.045). Eighty-one percent of patients with an invasion depth >4 mm in the TUR specimen have pT3 (extravesical extension) or higher stage bladder cancer at cystectomy.46
pT3 urothelial carcinoma. (a) Tumor invades into perivesical adipose tissue. (b) Perineural invasion is present. The prognostic significance of perineural invasion is uncertain.
The subdivision of pT3 tumors into pT3a (tumors with microscopic extravesical extension) and pT3b (tumors with gross extravesical extension) is controversial. Quek et al89 examined 236 patients with pT3 bladder carcinoma. With a median follow-up of 8.9 years, there was no difference in recurrence or survival rates between patients with pT3a and pT3b tumors. Lymph node metastasis and surgical margin status were the only factors to significantly impact patient prognosis in this study.89 A more recent study, however, has found that macroscopic perivesical fat invasion on gross examination (pT3b) is associated with increased risk of cancer recurrence and cancer death.90 The presence or absence of macroscopic perivesical fat invasion, therefore, should be reported.
Stage pT4 carcinoma
Stage pT4 bladder cancer is defined by tumor invasion into an adjacent organ, including the uterus, vagina, prostate, pelvic wall or abdominal wall. In the 2002 AJCC/UICC bladder cancer staging guidelines, pT4a includes invasion of prostate (Figure 16), uterus or vagina, and pT4b indicates pelvic or abdominal wall invasion. The designation of prostate invasion by bladder carcinoma as stage pT4 cancer has been debated.91 Donat et al92 identified three pathways for prostatic stromal invasion by urothelial carcinoma. These include extravesical, intraurethral, and bladder neck invasion.92 However, the prognostic significance of stromal invasion through these different pathways is uncertain. Esrig et al93 studied 143 bladder cancers with prostatic involvement, dividing them into two groups. Group I penetrated the full thickness of bladder wall to involve the prostate, and group II involved the prostate by extension from the prostatic urethra.93 Five-year overall survival rates were 21 and 55% for group I and group II patients, respectively. Among group II patients, the presence of prostatic stromal invasion was associated with a worse prognosis than for patients in whom urothelial cancer was confined to the urethral mucosa only.93 Similarly, Pagano et al94 found that 5-year survival was only 7% among group I patients, compared with 46% among group II patients. In group II cases, all patients with urethral mucosal involvement only were alive and free of cancer after 5 years, compared with 40–50% survival among patients with prostatic stromal invasion.94 In a detailed mapping study of 214 radical cystoprostatectomy specimens with prostatic involvement by urothelial carcinoma, 26% of invasive bladder carcinomas resulted from direct infiltration of the prostate from the bladder. In the remaining 74% of cases, the prostate was invaded by urothelial carcinoma extending from the prostatic urethra.95 More recently, Montironi et al96 reported a detailed histopathological analysis of 248 consecutive prostates from cystoprostatectomies for muscle-invasive bladder carcinoma, using the whole mount technique. Involvement by bladder cancer was present in 38% of the prostates. Incidental prostate cancer was also seen in 50% of the specimens, but 81% of these prostate cancers were clinically insignificant.96 These findings emphasize the importance of thorough sampling and histological evaluation of the prostate for cystoprostatectomy specimens removed for bladder carcinoma.
Urothelial carcinoma invading into prostatic stroma (pT4a urothelial carcinoma). (a) Urothelial carcinoma often elicits a strong inflammatory response, unusual for prostatic adenocarcinoma. (b) Tumor cells invading prostatic stroma are usually highly pleomorphic. (c and d) Immunostaining for high molecular weight cytokeratins is diffusely and strongly positive in urothelial carcinoma. The basal cells in the adjacent prostatic glands show positive stainings for high molecular weight cytokeratin (c).
Direct perivesical tumor extension involving the seminal vesicles was associated with poor prognosis similar to that of pT4b bladder cancer.97, 98 Five-year overall survival for these patients was only 10%, similar to pT4b cancer (7%). The five-year overall survival for patients with prostatic stromal involvement was 38%.97 However, the prognostic significance of seminal vesicle invasion through intraepithelial extension from the prostate is less certain and should be reported separately.99
The prognostic significance of different prostatic involvement patterns is uncertain. The prostatic urethra may be involved by urothelial carcinoma, with or without stromal invasion. CIS involving the prostatic urethra should not be designated as pT4a cancer. Similarly, prostatic ducts and acini may be involved by urothelial carcinoma without stromal invasion. Prostatic stromal invasion is usually associated with poor clinical outcome and should be clearly stated. Seminal vesicle involvement by direct perivesical tumor extension is a poor prognostic indicator.97, 98
Nodal classification (N staging)
The 2002 TNM staging system categorizes nodal status based on the number and size of positive lymph nodes. The rationale for using 2 and 5 cm as thresholds for substaging is uncertain and questionable (Table 1). Recent studies have emphasized the importance of lymph node density for nodal staging.100, 101, 102, 103 Lymph node density is defined by the ratio of positive lymph nodes to the total number of lymph nodes sampled. In an analysis of 248 patients with positive nodal metastasis, Kassouf et al101 found that lymph node density was an independent predictor of cancer survival. The 5-year cancer-specific survival for patients with lymph node density >20% was 15%, compared with 55% 5-year cancer-specific survival among patients with lymph node density ≤20%.101 However, the minimum number of lymph nodes in the specimen for optimal lymph node density estimation is yet to be established. Moreover, the best cutoff for lymph node density has not been determined in a systematic way. In a multivariate analysis of 101 lymph node-positive bladder carcinomas, using 20% as the cutoff, lymph node density was not a significant predictor of survival.104 In another series of 154 node-positive patients, only the number of positive nodes was an independent predictor of survival.105 Each level of increase by one positive node increased the risk of cancer death by 20%.105
Additional factors, such as the largest dimension of metastasis, extranodal extension, and anatomic location of positive nodes, may also be important (Figure 17). Fleischmann et al104 found that extranodal extension was the strongest predictor of clinical outcome. The incidence of extranodal extension in 101 patients with pelvic node metastases was 58%.104 During a median follow-up of 21 months, patients with extranodal extension had significantly worse recurrence-free (median, 12 months) and overall (median, 16 months) survival, as compared with those without extranodal extension (median, 60 months for both recurrence and overall survival).106
Lymph node metastasis from urothelial carcinoma. Extranodal extension is present at low power (a) and is confirmed on high power examination (b).
Occult lymph node metastasis may be present but undetectable by routine H&E examinations. The detection of lymph node micrometastasis by molecular methods is a promising technique to overcome this limitation. The reverse transcriptase-polymerase chain reaction (RT-PCR) assay for uroplakin II was more sensitive than cytokeratin 20 for detecting occult lymph node metastasis.107 Of 66 pelvic lymph node samples without histological evidence of metastasis, uroplakin II was detected in 6 (10%), whereas cytokeratin 20 was not detected in any samples.107 The incidence of positive RT-PCR for uroplakin II mRNA was 25% in Seraj et al's analysis of 27 patients with hisotologically negative lymph nodes.108 Copp et al109 found positive uroplakin II RNA transcripts in 33% of pelvic lymphadeectomy specimens without morphologic evidence of lymph node metastasis. The investigators found that only 5% of histologically and RT-PCR node-negative patients had cancer recurrence, whereas 91% of histologically and RT-PCR node-positive patients recurred after a mean follow-up of 6 months.109 Using the quantitative real-time RT-PCR approach, Marin-Aguilera et al110 found positive RT-PCR results in 21% of histologically negative lymph nodes. However, there was no survival difference between RT-PCR-positive and RT-PCR-negative groups during a median follow-up of 35 months.110 The use of cytokeratin immunohistochemistry for detection of occult metastasis appeared to be of no practical value.111
Specimen handling
Efforts have been made to standardize the handling and reporting of bladder specimens.16, 99, 112, 113, 114, 115, 116, 117, 118, 119, 120 The most common bladder specimens are endoscopic biopsies and TURB. Other specimens include cystectomy (partial or total), cystoprostatectomy, pelvic exenteration (en bloc resection), and diverticulum resections. Surgical excision of an urachal carcinoma usually includes the bladder dome, urachus, and umbilicus.
Biopsy and TUR Specimens
Small, noninvasive papillary neoplasms are often excised using biopsy with cold-cup forceps, diathermy forceps or a small diathermy loop. To avoid tissue distortion, these specimens should be transferred to fixative with minimal handling. Larger neoplasms are often sampled by TURB with a diathermy loop that produces strips of tissue approximately 6 mm in width and of variable length. Additional resection of the tumor base may be obtained to assess the level of invasion (muscularis propria invasion). Any erythematous or velvety area of urothelium is sampled to exclude CIS. Random biopsies are also taken from cystoscopically normal urothelium remote from the tumor site to determine the extent of urothelial involvement. It has been suggested that random biopsy samples be obtained from predetermined sites in four quadrants of the urinary bladder.121 Some urologists also submit biopsy specimens of the urethra to assess the extent of disease.
Bladder biopsy and/TUR specimens are to provide diagnostic and prognostic information for urologists to plan surveillance and treatment, and to predict tumor response to therapy. Tissues from biopsy specimens should be entirely embedded for histological examination. These biopsy specimens obtained through the cystoscope often vary in size. At least two levels of sectioning should be obtained on each small biopsy. Proper orientation of bladder tumor biopsy specimens is difficult, even with a dissecting microscope. It may be necessary to re-embed and reorient the tissue to facilitate assessment of the depth of invasion.
Transurethral resection of the bladder specimens should be weighted in aggregate. Papillary tumors may be grossly recognizable in these specimens. The number of tissue chips with involvement and gross tumor size should be recorded. At least one block per centimeter of tumor diameter, up to 10 cassette blocks, should be submitted at the initial sampling. Overfilling of specimen cassettes should be avoided. If the tumor is noninvasive, submitting any residual specimen may be necessary to firmly rule out stromal invasion. If there is invasion into the lamina propria in the initial sampling, then additional sampling is recommended to rule out muscularis propria invasion. We recommend that the urologist submit superficial and deep tumor-base specimens in separate containers to facilitate the detection of deep muscle invasion.
Cystectomy, Cystoprostatectomy and Pelvic Exenteration (en Bloc Resection) Specimens
Processing of these specimens may be summarized in three steps: (1) orientation of the specimen and identification of relevant anatomic structures (eg, ureters), (2) fixation of the specimen and (3) dissection of the specimen. Peritoneum covering the surface of the bladder is a reliable anatomic landmark. In both male and female patients, the peritoneum descends further along the posterior wall of the bladder than it does along the anterior wall. Other pelvic organs, if present, may also be used to orient the specimen. In the male, the bladder adjoins the rectum and seminal vesicles posteriorly, the prostate inferiorly, and the pubis and peritoneum anteriorly. In the female, the vagina is located posteriorly, and the uterus is located superiorly. Once the specimen is oriented, both ureters and, when present, the vasa deferentia should be identified. Location and dissection of the ureters is easier after fixation. The outer dimensions of the urinary bladder, as well as the length and diameter of ureters, should be recorded. The external surface of the bladder should be inked.
Proper fixation of the specimen is a prerequisite for adequate histological evaluation. We recommend that large bladder specimens be fixed in formalin overnight. Some prefer to expand the bladder with formalin. Injection of formalin into the urinary bladder cavity is accomplished either through the urethra by a Foley catheter or through the bladder dome using a large-gauge needle after the urethra has been clamped. We prefer to open the bladder before formalin fixation. It should be opened anteriorly from the urethra to the bladder dome. Thus the bladder mucosa may be everted for close examination. Any subtle alteration of the mucosa, such as granularity, ulceration, hemorrhage, or erythema, is documented. If a grossly visible tumor is identified, the size, location, configuration (flat, papillary, solid/nodular, sessile, exophytic, endophytic or ulcerated), color and consistency of the tumor should be documented.
After the specimen is well fixed, the dissection is resumed by shaving the margins from each ureter and the urethra. When the specimen includes the prostate, the distal urethral margin is the distal end of the prostate at the apex. The ureters are opened at their trigone orifices, and examined for strictures, dilatations, ulcerations, diverticulae or exophytic lesions. If a tumor is identified in the bladder, a full-thickness cut through the tumor and bladder wall should be made. The tumor should be generously sampled for accurate staging, grading and histological typing. For a large tumor, at least one section should be taken for each centimeter of tumor diameter. Sections are taken in such a way as to show the relationship of tumor to adjacent urothelium, its maximal level of penetration, and external soft tissue margin. For large exophytic tumors, several sections are taken from the tumor base to adequately assess the extent of invasion. Normal appearing mucosa is also sampled to detect occult multifocal carcinomas due to the field effect of bladder carcinogenesis. The entire bladder is transversely step-sectioned at 5-mm intervals from the bladder neck to the dome. Perivesical fat is carefully searched for lymph nodes. The presence or absence of gross fat invasion should be documented.
The minimum number of sections to be taken are as follows: tumor (3); bladder neck (1), trigone (2), anterior wall (2), posterior wall (2), lateral walls (2), dome (2), ureteral orifices (including intramural portion), margins (ureteral, urethral and perivesical soft tissue), any abnormal appearing bladder mucosa and any perivesical lymph nodes122 (Figure 18).
Illustration of a cystoprostatectomy specimen. Sections should be taken from tumor, bladder neck, trigone, anterior wall, posterior wall, lateral walls, dome, ureteral orifices (including intramural portion), margins (ureteral, urethral, and perivesical soft tissue), and any abnormal appearing bladder mucosa. The prostate should be sampled using the standard protocol for radical prostatectomy specimens.
Preoperative treatments or repeat TUR may render residual tumors grossly invisible. As TUR techniques have improved, there is increasing incidence of pT0 carcinoma at cystectomy. For such cases, the bladder should be extensively sampled with particular attention to abnormal appearing mucosa and to sites of previously documented tumor resection.
For a cystoprostatectomy specimen (Figure 18), the bladder is opened anteriorly by an incision from the prostatic urethra to the dome. The urethral mucosa is carefully examined for evidence of tumor extension into the prostatic urethra. The prostate should be examined by the established protocol for pathological evaluation and reporting of radical prostatectomy specimens. The prostate is transversely sectioned from apex to base at 5-mm intervals with the plane of the sections perpendicular to the posterior surface of the gland. If a tumor is grossly visible, it is important to document whether the tumor arises centrally from the prostatic urethra or more peripherally in the common location for prostate cancer (peripheral zone). It is important to take sections from the bladder neck, as this is an important route for urothelial carcinoma to invade prostatic stroma.92 Recent whole mount analysis of large numbers of cystoprostatectomy specimens emphasizes the importance of thorough prostate sampling.96
For pelvic exenteration specimens, the rectum, uterus and vagina should be evaluated according to the standardized protocols for these organs. Pelvic soft tissue margins should be documented. As the uterus and rectum are located posterior to the bladder, an anterior opening of the bladder is preferred to facilitate documentation of urothelial tumors and to evaluate the tumor's relationship to these other organs for staging. Sections should be taken to confirm the presence of each pelvic organ, and to show the relationship between the tumor and each of these structures. These sections also document the resection margins for each organ and examine each organ for primary disease.
Partial Cystectomy and Urachal Resection Specimens
Partial cystectomy specimens (including resections of diverticula) should be fixed and dissected according to the guidelines of radical cystectomy (see earlier discussion). The edges of the specimen are inked because these represent the surgical margins of the bladder wall. A variation of the partial cystectomy is performed for resections of urachal tract neoplasms. These specimens consist of the dome of the bladder in continuity with the urachal tract including the umbilicus. After inking the soft tissue margin, the urachal tract should be serially sectioned at right angles to the long axis from the bladder to the umbilicus. Submit for histology a number of these urachal tract cross-sections, as well as the standard bladder sections. Appropriate samples of the soft tissue margin surrounding the urachus and of the skin margin around the umbilicus should be submitted for histology.
Lymph Node Dissection
The regional lymph nodes of the bladder are the pelvic lymph nodes below the bifurcation of the common iliac arteries. These include the hypogastric, obturator, iliac (internal, external, not otherwise specified), perivesical, pelvic (not otherwise specified), sacral (lateral, sacral promontory) and presacral lymph nodes. The common iliac nodes are considered sites of distant metastasis and are coded as M19. Current nodal classification is based on the number and size of positive nodes. Recent studies have emphasized the importance of lymph node density101 and we recommend that the number of lymph nodes sampled should be clearly stated. Unlike colon cancer, the minimum number of lymph nodes that should be sampled has not been established. We recommend that at least eight lymph nodes be sampled. In difficult cases, a clearing solution may be used to aid in detection of lymph nodes. These may, on occasion, be detected in the perivesical fat, so a thorough search should be made of this area in addition to other pelvic node-bearing structures.
Pathology reporting
The pathology report should include clinically relevant historical information as well as clinically useful gross and microscopic information.99, 112, 113, 114, 115, 116, 117, 119, 120 Bladder cancer reports must include the specimen type, anatomic location of the tumor, tumor size, histological type, histological grade, tumor growth pattern, surgical margin status, treatment effect, and any other intraepithelial lesions (Tables 3 and 4). These parameters are listed in Tables 3 and 4, which illustrate synoptic formats for biopsy and cystectomy cancer specimen reports.
For biopsy and TUR specimens, it is particularly important to mention the presence or absence of lymphovascular invasion and to comment on certain histological variants, such as micropapillary and nested variants of urothelial carcinoma (Figure 19).123 Aggressive therapies may be considered for those patients with lymphovascular invasion, micropapillary variant, or nested variant of urothelial carcinoma.
Micropapillary (a and b) and nested (c and d) variants of urothelial carcinoma. These variants are associated with poor prognosis and aggressive treatment is warranted. Retraction artifact is common in micropapillary variant (a). The tumor cells of nested variant may appear to be bland (c), yet immunostaining for cytokeratin highlights the aggressively infiltrative nature of these cancer cells (d).
The presence or absence of muscularis propria (detrusor muscle), regardless of whether there is invasion, should also be reported as an indication of resection adequacy.16, 124, 125 However, designation of mere muscle invasion in the report is inappropriate. The type of muscle being invaded, whether muscularis mucosae (T1 carcinoma) or detrusor muscle invasion (T2 carcinoma), should be clearly stated. Although staging based on the level of muscularis mucosae invasion is not recommended,45 an indication of the extent of invasion is of clinical interest and should be reported. The use of an ocular micrometer to measure the depth of invasion may be considered.24, 25, 38 Patients with invasion less than 1.5 mm have a better prognosis than other T1 bladder cancer patients.25
Substaging of T2 bladder cancer (T2a verrus T2b) is not feasible in bladder biopsy or TURB specimens, as the entire thickness of the detrusor muscle is not present. The term ‘superficial muscle invasion’ in the pathology report leads to confusion. Therefore, it should be avoided. For biopsy and TUR of invasive bladder carcinoma, some urologists prefer a statement of pathological stage (T1 or T2) in the report. In such an instance, we recommend that tumor stage be indicated as ‘at least’ pT1 or pT2.
Adipose tissue is present in the lamina propria and muscularis propria of the bladder wall (Figure 20). Therefore, the presence of fat invasion in the biopsy or TUR specimen does not necessarily indicate higher stage (pT3) cancer. Currently, there was no reliable method to predict extravesical extension with a TUR specimen.26 However, a tumor with a 4 mm or greater depth of invasion in the TURB specimen is most likely to have extravesical extension.46
Adipose tissue may be present in both the lamina propria and muscularis propria. Thus, the presence of fat in a biopsy or TUR specimen does not necessarily indicate extravesical extension (pT3 carcinoma).
Histological Grading
Histological grading for invasive bladder carcinoma is of limited utility, as the majority of these tumors are high-grade or grade 3 urothelial carcinoma.26 Either the 1973126, 127 or 2004126, 127 WHO grading system may be used for this purpose. Laboratories accredited by the College of American Pathologists are required to use the CAP cancer reporting guidelines.
Tumor Growth Pattern
Jimenez et al128 proposed a classification of invasive bladder tumors based on pattern of growth. They noted three common patterns: nodular, trabecular, and infiltrative. In the infiltrative pattern, there are narrow cords or single cells permeating the stroma (Figure 21). These tumor cells are either highly pleomorphic or small and undifferentiated. Desmoplasia and necrosis are common with this pattern. Tumors with an infiltrative growth pattern are associated with a worse prognosis (median survival of 29 months) than tumors displaying a noninfiltrative (nodular or trabecular) growth pattern (median survival of 85 months).128 The significance of assessing tumor growth pattern has been highlighted in a recent study.129 The 5-year metastasis-free survival rates for urothelial carcinoma with nodular, trabecular, and infiltrative invasion pattern were 94, 74, and 12%, respectively.129
Infiltrative growth pattern in invasive urothelial carcinoma. The tumor is composed of highly pleomorphic and anaplastic cells in narrow cords or as individual cells permeating the stroma.
Tumor Size
The pathology report should include the largest tumor dimension and information about multifocality. In an analysis of 249 patients with stage Ta and T1 cancer, Heney et al130 found that tumor size was a significant predictor of cancer progression. Thirty-five percent of patients with tumor size ≥5 cm developed muscularis propria invasion or metastasis. On the other hand, only 9% of patients with tumor size <5 cm developed cancer progression.130 One study found that tumor size was an independent predictor of distant metastasis-free survival, but not of overall survival.131 In recent cystectomy series, tumor size was an independent predictor of distant metastasis-free survival, cancer-specific survival, and overall survival (Figure 22).3, 85 The use of a 3 cm largest tumor diameter cutoff appeared to stratify patients into distinct prognostic groups.3, 85
Cancer-specific survival according to tumor size. Tumor size was independent predictor of clinical outcome when comparing tumors with maximum dimension ≤3 or >3 cm (P<0.001) (from Cheng et al:3 Predicting the survival of bladder carcinoma patients treated by radical cystectomy. Cancer 2000; 88:2326, with permission).
Tumor Multifocality
Development of multifocal tumors in the same patient, either synchronous or metachronous, is a common characteristic of urothelial malignancy.132, 133, 134, 135 Premalignant changes, such as dysplasia or CIS, often are found in urothelial mucosa aside from an invasive bladder cancer.136, 137 Studies of urothelial genetic alterations and atypia mapping in cystectomy specimens confirm the importance of field cancerization in the development of multifocal urothelial tumors, especially in early stage cancer. There is evidence that multifocal urothelial carcinoma can arise through independent concurrent genetic events at multiple locations in the lower urinary tract.138, 139 Other studies, however, have suggested a monoclonal origin for multifocal urothelial carcinoma.140, 141 In cases with multifocal cancer, the location and size of each tumor should be documented in the gross description. Some studies have suggested that tumor multifocality is associated with poor outcome for patients with urothelial carcinoma.130, 134, 135, 142 Cohorts in these studies were limited to early stage (Ta and T1) bladder cancer. In a recent study of cystectomy specimens, which included more advanced cancers, tumor multifocality did not have prognostic significance.3
Lymphovascular Invasion
The incidence of lymphovascular invasion is variable and has been reported to be as high as 42% (Figure 23).143 The presence of lymphovascular invasion predicts poor outcome, and this finding should be included in the pathology report.143, 144, 145, 146, 147 The 5-year cancer-specific survival was 87 and 65%, respectively, for those without and with lymphovascular invasion.145 In another study of 283 radical cystectomy specimens, vascular invasion, pathological stage, and lymph node metastasis were independent predictors of cancer-specific survival.144 In the most recent study of radical cystectomy specimens with stratification for lymphovascular invasion, this parameter was the most significant predictor of cancer-specific survival (HR 2.3, P=0.009), surpassing even pT stage (HR 1.26, P=0.03).146
Lymphovascular invasion of urothelial carcinoma. In some cases, endothelial cells are identified on routing H&E sections, eliminating the need for CD31 or CD34 staining.
Identification of lymphovascular invasion is often difficult due to artifactual clefting around nests of invasive carcinoma.148 Retraction artifact is prominent and almost uniformly present in the micropapillary variant of urothelial carcinoma (Figure 19a and b).123 In suspicious cases, endothelial lined vessels can be highlighted by immunohistochemical staining for CD31 or CD34. The presence of vascular or lymphatic invasion, and whether immunohistochemical stains assisted in identifying this finding, should be included in the report. Immunohistochemical studies directed against endothelial cells have found that fewer than 40% of cases with purported vascular invasion on routine H&E examination are definitively confirmed.116
Perineural Invasion
The incidence of perineural invasion is high in advanced stage bladder carcinoma. Leissner et al144 found perineural invasion in 47% of 283 radical cystectomy specimens. Perineural invasion is often present at the fronts of fatty infiltration by urothelial carcinoma (Figure 15b). The prognostic significance of perineural invasion is uncertain. In multivariate analyses, perineural invasion was not an independent predictor of patient outcome.144, 149
Surgical Margins
Tumor present at the resection margin is assumed to indicate residual tumor in the patient. A positive margin should be classified as macroscopic or microscopic according to the findings at gross examination and at microscopic study of inked margins (Figure 24). The incidence of positive soft tissue margins is 4% in modern series, and a positive soft tissue margin is associated with poor cancer survival.3, 150 Five-year cancer-specific survival rates of 32 and 72% were found for those with and without positive surgical margins, respectively (Figure 25).150 None of the patients with positive margins survived after 10 years.3
Positive soft tumor margins. Tumor cells are present at the inked perivesical soft tissue margin.
Cancer-specific survival according to margin status. Positive margins were associated with poor clinical outcome (P=0.001) (from Cheng et al:85 Tumor size predicts the survival of patients with pathologic stage T2 bladder carcinoma: a critical evaluation of the depth of muscle invasion. Cancer 1999; 85:2638, with permission).
The resection margins should be individually specified in the pathology report, especially when positive. The following margins should be reported separately: ureteral (right and left), urethral, perivesical soft tissue, and pelvic soft tissue margins (for pelvic exenteration specimens). In cases of urachal adenocarcinoma in which partial cystectomy with excision of the urachal tract and umbilicus is performed, the margins of the urachal tract, that is, the soft tissue surrounding the urachus and the skin around the umbilical margin, should be specified.
Consistent and standardized pathological evaluation is essential for comparison of treatment results between clinical trials and for translational research endeavors.
References
Jemal A, Siegel R, Ward E, et al. Cancer statistics, 2008. CA Cancer J Clin 2008;58:71–96.
Droller MJ . Bladder cancer: State-of-the-art care. CA Cancer J Clin 1998;48:269–284.
Cheng L, Weaver AL, Leibovich BC, et al. Predicting the survival of bladder carcinoma patients treated with radical cystectomy. Cancer 2000;88:2326–2332.
Stein JP, Lieskovsky G, Cote R, et al. Radical cystectomy in the treatment of invasive bladder cancer: long-term results in 1,054 patients. J Clin Oncol 2001;19:666–675.
Dalbagni G, Genega E, Hashibe M, et al. Cystectomy for bladder cancer: a contemporary series. J Urol 2001;165:1111–1116.
Shariat SF, Karakiewicz PI, Palapattu GS, et al. Outcomes of radical cystectomy for transitional cell carcinoma of the bladder: a contemporary series from the Bladder Cancer Research Consortium. J Urol 2006;176:2414–2422.
Soloway MS . It is time to abandon the ‘superficial’ in bladder cancer. Eur Urol 2007;52:1564–1565.
Nieder AM, Soloway MS . Eliminate the term ‘superficial’ bladder cancer. J Urol 2006;175:417–418.
Greene FL, Page DL, Flemming ID, et al. American Joint Committee on Cancer Staging Manual. Springer-Verlag: New York, 2002.
Palapattu GS, Shariat SF, Karakiewicz PI, et al. Cancer specific outcomes in patients with pT0 disease following radical cystectomy. J Urol 2006;175:1645–1649.
Kassouf W, Spiess PE, Brown GA, et al. P0 stage at radical cystectomy for bladder cancer is associated with improved outcome independent of traditional clinical risk factors. Eur Urol 2007;52:769–774.
Thrasher JB, Frazier HA, Robertson JE, et al. Does of stage pT0 cystectomy specimen confer a survival advantage in patients with minimally invasive bladder cancer? J Urol 1994;152:393–396.
Volkmer BG, Kuefer R, Bartsch Jr G, et al. Effect of a pT0 cystectomy specimen without neoadjuvant therapy on survival. Cancer 2005;104:2384–2391.
Yiou R, Patard JJ, Benhard H, et al. Outcome of radical cystectomy for bladder cancer according to the disease type at presentation. BJU Int 2002;89:374–378.
Maclennan GT, Kirkali Z, Cheng L . Histologic grading of noninvasive papillary urothelial neoplasms. Eur Urol 2007;51:889–898.
Lopez-Beltran A, Cheng L . Stage pT1 bladder carcinoma: diagnostic criteria, pitfalls and prognostic significance. Pathology 2003;35:484–491.
Mhawech P, Iselin C, Pelte MF . Value of immunohistochemistry in staging T1 urothelial bladder carcinoma. Eur Urol 2002;42:459–463.
Jimenez RE, Keany TE, Hardy HT, et al. pT1 Urothelial carcinoma of the bladder: criteria for diagnosis, pitfalls, and clionical implications. Adv Anat Pathol 2000;7:13–25.
Andius P, Johansson SL, Holmäng S . Prognostic factors in stage T1 bladder cancer: tumor pattern (solid or papillary) and vascular invasion more important than depth of invasion. Urology 2007;70:758–762.
Tamas EF, Epstein JI . Detection of residual tumor cells in bladder biopsy specimens: pitfalls in the interpretation of cytokeratin stains. Am J Surg Pathol 2007;31:390–397.
Tosoni I, Wagner U, Sauter G, et al. Clinical significance of interobserver differences in the staging and grading of superficial bladder cancer. BJU Int 2000;85:48–53.
Bol MG, Baak JP, Buhr-Wildhagen S, et al. Reproducibility and prognostic variability of grade and lamina propria invasion in stages Ta, T1 urothelial carcinoma of the bladder. J Urol 2003;169:1291–1294.
Nieder AM, Brausi M, Lamm D, et al. Management of stage T1 tumors of the bladder: International Consensus Panel. Urology 2005;66:108–125.
Cheng L, Bostwick DG . Progression of T1 bladder tumors: better staging or better biology. Cancer 1999;86:910–912.
Cheng L, Neumann RM, Weaver AL, et al. Predicting cancer progression in patients with stage T1 bladder carcinoma. J Clin Oncol 1999;17:3182–3187.
Cheng L, Neumann RM, Weaver AL, et al. Grading and staging of bladder carcinoma in transurethral resection specimens. Correlation with 105 matched cystectomy specimens. Am J Clin Pathol 2000;113:275–279.
Soloway MS, Lee CT, Steinberg GD, et al. Difficult decisions in urologic oncology: management of high-grade T1 transitional cell carcinoma of the bladder. Urol Oncol 2007;25:338–340.
Herr HW, Donat SM, Dalbagni G . Can restaging transurethral resection of T1 bladder cancer select patients for immediate cystectomy? J Urol 2007;177:75–79.
Herr HW . Restaging transurethral resection of high risk superficial bladder cancer improves the initial response to bacillus Calmette-Guerin therapy. J Urol 2005;174:2134–2137.
Soloway MS, Sofer M, Vaidya A . Contemporary management of stage T1 transitional cell carcinoma of the bladder. J Urol 2002;167:1573–1583.
Angulo JC, Lopez JI, Grignon DJ, et al. Muscularis mucosa differentiates two populations with different prognosis in stage T1 bladder cancer. Urology 1995;45:47–53.
Hasui Y, Osada Y, Kitada S, et al. Significance of invasion to the muscularis mucosae on the progression of superficial bladder cancer. Urology 1994;43:782–786.
Hermann GG, Horn T, Steven K . The influence of the level of lamina propria invasion and the prevalence of p53 nuclear accumulation on survival in stage T1 transitional cell bladder cancer. J Urol 1998;159:91–94.
Holmang S, Hedelin H, Anderstrom C, et al. The importance of the depth of invasion in stage T1 bladder carcinoma: a prospective cohort study. J Urol 1997;157:800–804.
Platz CE, Cohen MB, Jones MP, et al. Is microstaging of early invasive cancer of the urinary bladder possible or useful? Mod Pathol 1996;11:1035–1039.
Younes M, Sussman J, True LD . The usefulness of the level of the muscularis mucosae in the staging of invasive transitional cell carcinoma of the urinary bladder. Cancer 1990;66:543–548.
Sozen S, Akbal C, Sokmensuer C, et al. Microstaging of pT1 transitional cell carcinoma of the bladder: does it really differentiate two populations with different prognoses? Urol Int 2002;69:200–206.
Cheng L, Weaver AL, Neumann RM, et al. Substaging of T1 bladder carcinoma based on the depth of invasion as measured by micrometer. A new proposal. Cancer 1999;86:1035–1043.
Dixon JS, Gosling JA . Histology and fine structure of the muscularis mucosae of the human urinary bladder. J Anat 1983;136:265–271.
Keep JC, Piehl M, Miller A, et al. Invasive carcinomas of the urinary bladder. Evaluation of tunica muscularis mucosae involvement. Am J Clin Pathol 1989;91:575–579.
Ro JY, Ayala AG, el-Naggar A . Muscularis mucosa of urinary bladder. Importance for staging and treatment. Am J Surg Pathol 1987;11:668–673.
Engel P, Anagnostaki L, Braendstrup O . The muscularis mucosae of the human urinary bladder. Scand J Urol Nephrol 1992;26:249–252.
Kondylis FI, Demirci S, Ladaga L, et al. Outcomes after intravesical bacillus Calmette-Guerin are not affected by substaging of high grade T1 transitional cell carcinoma. J Urol 2000;163:1120–1123.
Paner GP, Ro JY, Wojcik EM, et al. Further characterization of the muscle layers and lamina propria of the urinary bladder by systematic histologic mapping: implications for pathologic staging of invasive urothelial carcinoma. Am J Surg Pathol 2007;31:1420–1429.
Epstein JI, Amin MB, Reuter VR, et al. The World Health Organization/International Society of Urological Pathology consensus classification of urothelial (transitional cell) neoplasms of the urinary bladder. Bladder Consensus Conference Committee. Am J Surg Pathol 1998;22:1435–1448.
Cheng L, Weaver AL, Bostwick DG . Predicting extravesical extension of bladder carcinoma: a novel method based on micrometer measurement of the depth of invasion in transurethral resection specimens. Urology 2000;55:668–672.
Farrow G, Utz D, Rife C . Morphological and clinical observations of patients with early bladder cancer treated with total cystectomy. Cancer Res 1976;36:2495–2501.
Farrow G, Utz D, Rife C, et al. Clinical observations on sixty-nine cases of in situ carcinoma of the urinary bladder. Cancer Res 1977;37:2794–2798.
Farrow GM, Utz DC . Observation on microinvasive transitional cell carcinoma of the urinary bladder. Clin Oncol 1982;1:609–615.
McKenney JK, Gomez JA, Desai S, et al. Morphologic expressions of urothelial carcinoma in situ: a detailed evaluation of its histologic patterns with emphasis on carcinoma in situ with microinvasion. Am J Surg Pathol 2001;25:356–362.
Lopez-Beltran A, Cheng L, Andersson L, et al. Preneoplastic non-papillary lesions and conditions of the urinary bladder: an update based on the Ancona International Consultation. Virchows Arch 2002;440:3–11.
Jewett HJ . Carcinoma of the bladder: influence of depth of infiltration on the 5-year results following complete extirpation of the primary growth. J Urol 1952;67:672–680.
Bayraktar ZGG, Ihsan AT, Sevin G . Staging error in the bladder tumor: the correlation between stage of TUR and cystectomy. Int J Urol Nephrol 2002;33:627–629.
Herr HW . Staging invasive bladder tumors. J Surg Oncol 1992;51:217–220.
Herr HW . A propsed simplified staging system of invasive bladder tumors. Urol Int 1993;50:17–20.
Hall RR, Prout GR . Staging of bladder cancer: is the tumor, node, metastasis system adequate? Semin Oncol 1990;17:517–523.
Skinner DG . Current state of classification and staging of bladder cancer. Cancer Res 1977;37:2838–2842.
Skinner DG . Current perspectives in the management of high grade invasive bladder cancer. Cancer 1980;45:1866–1874.
Cummings KB, Barone JG, Ward WS . Diagnosis and staging of bladder cancer. Urol Clin North Am 1992;19:455–465.
Bowles WT, Cordonnier JJ . Total cystectomy for carcinoma of the bladder. J Urol 1963;90:731–735.
Cox CE, Cass AS, Boyce WH . Bladder cancer: a 26-year review. Trans Am Assoc Genitourin Surg 1968;60:22–30.
Boileau MA, Johnson DE, Chan RC, et al. Bladder Carcinoma. Results with preoperative radiation therapy and radical cystectomy. Urology 1980;16:569.
Beahrs JR, Fleming TR, Zincke H . Risk of local urethral recurrence after radical cystectomy for bladder cancer. J Urol 1984;131:264–266.
Bredael JJ, Croker BP, Glenn JF . The curability of invasive bladder cancer treated by radical cystectomy. Eur Urol 1980;6:206–210.
Cordonnier JJ . Simple cystectomy in the management of bladder carcinoma. Arch Surg 1974;108:190–191.
Mathur VK, Krahn HP, Ramsey EW . Total cystectomy for bladder cancer. J Urol 1981;125:784–786.
Pollack A, Zagars GK, Cole CJ, et al. The relationship of local control to distant metastasis in muscle invasive bladder cancer. J Urol 1995;154:2059–2064.
Pomerance A . Pathology and prognosis following total cystectomy for carcinoma of bladder. Br J Urol 1972;44:451–458.
Prout GRJ . The surgical management of bladder carcinoma. Urol Clin N Am 1976;3:149–175.
Richie JP, Skinner DG, Kaufman JJ . Radical cystectomy for carcinoma of the bladder:16 years of experience. J Urol 1975;113:186–189.
Richie JP, Skinner DG, Kaufman JJ . Carcinoma of the bladder: treatment by radical cystectomy. J Surg Res 1975;18:271–275.
Roehrborn CG, Sagalowsky AI, Peters PC . Long-term patient survival after cystectomy for regional metastastic transitional cell carcinoma of the bladder. J Urol 1991;146:36–39.
Skinner DG . Management of invasive bladder cancer: a meticulous pelvic node dissection can make a difference. J Urol 1982;128:34–36.
Sorensen BL, Ohlsen AS, Barlebo H . Carcinoma of the urinary bladder. Clinical staging and histologic grading in relation to survival. Scand J Urol Nephrol 1969;3:189–192.
Utz DC, Schmitz SE, Fugelso PD, et al. A clinicopathologic evaluation of partial cystectomy for carcinoma of the urinary bladder. Cancer 1975;32:1075–1077.
Whitemore WF . Management of invasive bladder neoplasms. Semin Urol 1983;1:34–41.
Wishnow KI, Levinson AK, Johnson DE, et al. Stage B (P 2/3A/N0) transitional cell carcinoma of bladder highly curable by radical cystectomy. Urology 1992;39:12–16.
Pearse HD, Reed RR, Hodges CV . Radical cystectomy for bladder cancer. J Urol 1978;119:216–218.
Montie JE, Straffon RA, Stewart BH . Radical cystectomy without radiation therapy for carcinoma of the bladder. J Urol 1984;131:477–482.
Pagano F, Bassi P, Galetti TP, et al. Results of contemporary radical cystectomy for invasive bladder cancer: a clinicopathological study with an emphasis on the inadequacy of the tumor, nodes and metastases classification. J Urol 1991;145:45–50.
Yu RJ, Stein JP, Cai J, et al. Superficial (pT2a) and deep (pT2b) muscle invasion in pathological staging of bladder cancer following radical cystectomy. J Urol 2006;176:493–499.
Girgin C, Sezer A, Delibas M, et al. Impact of the level of muscle invasion in organ-confined bladder cancer. Urol Int 2007;78:145–149.
Skinner DG, Tift JP, Kaufman JJ . High dose, short course preoperative radiation therapy and immediate single stage radical cystectomy with pelvic node dissection in the management of bladder cancer. J Urol 1982;127:671–674.
Cuesta JA, Chapado MS, Cid MG, et al. Survival of patients with stage T2-T3a bladder cancer treated by radical cystectomy. Arch Esp De Urol 1997;50:17–25.
Cheng L, Neumann RM, Scherer BG, et al. Tumor size predicts the survival of patients with pathologic stage T2 bladder carcinoma: a critical evaluation of the depth of muscle invasion. Cancer 1999;85:2638–2647.
Tokgoz H, Turkolmez K, Resorlu B, et al. Pathological staging of muscle invasive bladder cancer. Is substaging of pT2 tumors really necessary? Int Braz J Urol 2007;33:777–783.
Jewett HJ . Editorial: Comments on the staging of invasive bladder cancer two B's or not to B's: That is the question. J Urol 1978;119:39.
Philip AT, Amin MB, Tamboli P, et al. Intravesical adipose tissue: a quantitative study of its presence and location with implications for therapy and prognosis. Am J Surg Pathol 2000;24:1286–1290.
Quek ML, Stein JP, Clark PE, et al. Microscopic and gross extravesical extension in pathological staging of bladder cancer. J Urol 2004;171:640–645.
Bastian PJ, Hutterer GC, Shariat SF, et al. Macroscopic, but not microscopic, perivesical fat invasion at radical cystectomy is an adverse predictor of recurrence and survival. BJU Int 2008;101:450–454.
Palou J, Baniel J, Klotz L, et al. Urothelial carcinoma of the prostate. Urology 2007;1 (Suppl):50–61.
Donat SM, Genega EM, Herr HW, et al. Mechanisms of prostatic stromal invasion in patients with bladder cancer: clinical significance. J Urol 2001;165:1117–1120.
Esrig D, Freeman JA, Elmajian DA, et al. Transitional cell carcinoma involving the prostate with a proposed staging classification for stromal invasion. J Urol 1996;156:1071–1076.
Pagano F, Bassi P, Ferrante GL, et al. Is stage pT4a (D1) reliable in assessing transitional cell carcinoma involvement of the prostate in patients with a concurrent bladder cancer? A necessary distinction for contiguous or noncontiguous involvement. J Urol 1996;155:244–247.
Shen SS, Lerner SP, Muezzinoglu B, et al. Prostatic involvement by transitional cell carcinoma in patients with bladder cancer and its prognostic significance. Hum Pathol 2006;37:726–734.
Montironi R, Cheng L, Mazzucchelli R, et al. Critical pathological evaluation of the prostate from cystoprostatectomies for bladder cancer: insights from complete sampling with the whole mount technique. Eur Urol 2009 (in press).
Daneshmand S, Stein JP, Lesser T, et al. Prognosis of seminal vesicle involvement by transitional cell carcinoma of the bladder. J Urol 2004;2004:81–84.
Volkmer BG, Küfer R, Maier S, et al. Outcome in patients with seminal vesicle invasion after radical cystectomy. J Urol 2003;169:1299–1302.
Murphy WM, Crissman JD, Johansson SL, et al. Recommendations for the reporting of urinary bladder specimens that contain bladder neoplasms. Mod Pathol 1996;9:796–798.
Herr HW . Superiority of ratio based lymph node staging for bladder cancer. J Urol 2003;169:943–945.
Kassouf W, Agarwal PK, Herr HW, et al. Lymph node density is superior to TNM nodal status in predicting disease-specific survival after radical cystectomy for bladder cancer: analysis of pooled data from MDACC and MSKCC. J Clin Oncol 2008;26:121–126.
Stein JP, Cai J, Groshen S, et al. Risk factors for patients with pelvic lymph node metastases following radical cystectomy with en bloc pelvic lymphadenectomy: concept of lymph node density. J Urol 2003;170:35–41.
Kassouf W, Leibovici D, Munsell MF, et al. Evaluation of the relevance of lymph node density in a contemporary series of patients undergoing radical cystectomy. J Urol 2006;176:53–57.
Fleischmann A, Thalmann GN, Markwalder R, et al. Extracapsular extension of pelvic lymph node metastases from urothelial carcinoma of the bladder is an independent prognostic factor. J Clin Oncol 2005;23:2358–2365.
Frank I, Cheville JC, Blute ML, et al. Transitional cell carcinoma of the urinary bladder with regional lymph node involvement treated by cystectomy: clinicopathologic features associated with outcome. Cancer 2003;97:2425–2431.
Fleischmann A, Thalmann GN, Markwalder R, et al. Prognostic implications of extracapsular extension of pelvic lymph node metastases in urothelial carcinoma of the bladder. Am J Surg Pathol 2005;29:89–95.
Wu X, Kakehi Y, Zeng Y, et al. Uroplakin II as a promising marker for molecular diagnosis of nodal metastases from bladder cancer: comparison with cytokeratin 20. J Urol 2005;174:2138–2143.
Seraj MJ, Thomas AR, Chin JL, et al. Molecular determination of perivesical and lymph node metastasis after radical cystectomy for urothelial carcinoma of the bladder. Clin Cancer Res 2001;7:1516–1522.
Copp HL, Chin JL, Conaway M, et al. Prospective evaluation of the prognostic relevance of molecular staging for urothelial carcinoma. Cancer 2006;107:60–66.
Marin-Aguilera M, Mengual L, Burset M, et al. Molecular lymph node staging in bladder urothelial carcinoma: impact on survival. Eur Urol 2008;54:1363–1372.
Yang XJ, Lecksell K, Epstein JI . Can immunohistochemistry enhance the detection of micrometastases in pelvic lymph nodes from patients with high-grade urothelial carcinoma of the bladder? Am J Clin Pathol 1999;112:649–653.
Lopez-Beltran A, Bassi P, Pavone-Macaluso M, et al. Handling and pathology reporting of specimens with carcinoma of the urinary bladder, ureter, and renal pelvis. Eur Urol 2004;45:257–266.
Amin MB, Srigley JR, Grignon DJ, et al. Updated protocol for the examination of specimens from patients with carcinoma of the urinary bladder, ureter, and renal pelvis. Arch Pathol Lab Med 2003;127:1263–1279.
Recommendations for the reporting of urinary bladder specimens containing bladder neoplasms. Association of Directors of Anatomic and Surgical Pathology. Hum Pathol 1996;27:751–753.
Herr HW, Faulkner JR, Grossman HB, et al. Pathologic evaluation of radical cystectomy specimens: a cooperative group report. Cancer 2004;100:2470–2475.
Bostwick DG, Ramnani DM, Cheng L . Diagnosis and grading of bladder cancer and associated lesions. Urol Clin N Am 1999;26:493–507.
Lopez-Beltran A, Bollito E, Luque RJ, et al. A practical approach to bladder sampling and diagnostic reporting of pathological findings. Pathologica 2001;93:688–692.
Lapham RL, Grignon D, Ro JY . Pathologic prognostic parameters in bladder urothelial biopsy, transurethral resection, and cystectomy specimens. Semin Diagn Pathol 1997;14:109–122.
Hammond EH, Henson DE . Practice protocol for the examination of specimens removed from patients with carcinoma of the urinary bladder, ureter, renal pelvis, and urethra. Arch Pathol Lab Med 1996;120:1103–1110.
Murphy WM . ASCP survey on anatomic pathology examination of the urinary bladder. Am J Clin Pathol 1994;102:715–723.
Kirkali Z, Chan T, Manoharan M, et al. Bladder cancer: epidemiology, staging and grading, and diagnosis. Urology 2005;66:4–34.
Rosai J . Appendix E Guidelines for handling of most common and important surgical specimens Rosai and Ackerman's Surgical Pathology. Mosby/Elsevier: Philadelphia, 2004;2911–2977.
Lopez-Beltran A, Cheng L . Histologic variants of urothelial carcinoma: differential diagnosis and clinical implications. Hum Pathol 2006;37:1371–1388.
Reuter VE . The pathology of bladder cancer. Urology 2006;67:11–18.
Reuter VE . Bladder. Risk and prognostic factors—a pathologist's perspective. Urol Clin North Am 1999;26:481–492.
Mostofi FK, Sobin LH, Torloni H . Histological typing of urinary bladder tumours. World Health Organization: Geneva, 1973.
Eble JN, Sauter G, Epstein JI, et al. World Health Organization Classification of Tumours: Pathology and Genetics of Tumours of the Urinary System and Male Genital Organs. IARC Press: Lyon, 2004.
Jimenez RE, Gheiler E, Oskanian P, et al. Grading the invasive component of urothelial carcinoma of the bladder and its relationship with progression-free survival. Am J Surg Pathol 2000;24:980–987.
Langner C, Hutterer G, Chromecki T, et al. Patterns of invasion and histological growth as prognostic indicators in urothelial carcinoma of the upper urinary tract. Virchows Arch 2006;448:604–611.
Heney NM, Ahmed S, Flanagan MJ, et al. Superficial bladder cancer: progressioin and recurrence. J Urol 1983;130:1083–1086.
Fung CF, Shipley WU, Young RH, et al. Prognostic factors in invasive bladder carcinoma in a prospective trial of preoperative adjuvant chemotherapy and radiotherapy. J Clin Oncol 1991;9:1533–1542.
Koss LG, Tiamson EM, Robbins MA . Mapping cancerous and precancerous bladder changes. A study of the urothelium in ten surgically removed bladders. JAMA 1974;227:281–286.
Weinstein RS . Origin and dissemination of human urinary bladder carcinoma. Semin Oncol 1979;6:149–156.
Lutzeyer W, Rubben H, Dahm H . Prognostic parameters in superficial bladder cancer: an analysis of 315 cases. J Urol 1982;127:250–252.
Kiemeney LA, Witjes JA, Heijbroek RP, et al. Predictability of recurrent and progressive disease in individual patients with primary superficial bladder cancer. J Urol 1993;150:60–64.
Koss LG . Mapping of the urinary bladder: its impact on the concepts of bladder cancer. Hum Pathol 1979;10:533–548.
Koss LG, Nakanishi I, Freed SZ . Nonpapillary carcinoma in situ and atypical hyperplasia in cancerous bladders: further studies of surgically removed bladders by mapping. Urology 1977;9:442–455.
Jones TD, Wang M, Eble JN, et al. Molecular evidence supporting field effect in urothelial carcinogenesis. Clin Cancer Res 2005;11:6512–6519.
Hartmann A, Rosner U, Schlake G, et al. Clonality and genetic divergence in multifocal low-grade superficial urothelial carcinoma as determined by chromosome 9 and p53 deletion analysis. Lab Invest 2000;80:709–718.
Sidransky EA, Frost P, von Eschenbach A, et al. Clonal origin of bladder cancer. N Engl J Med 1992;326:737–740.
Simon R, Eltze E, Schafer KL, et al. Cytogenetic analysis of multifocal bladder cancer supports a monoclonal origin and intraepithelial spread of tumor cells. Cancer Res 2001;61:355–362.
Parmar MK, Freedman LS, Hargreave TB, et al. Prognostic factors for recurrence and followup policies in the treatment of superficial bladder cancer: report from the British Medical Research Council Subgroup on Superficial Bladder Cancer (Urological Cancer Working Party). J Urol 1989;142:284–288.
Saito K, Kawakami S, Fujii Y, et al. Lymphovascular invasion is independently associated with poor prognosis in patients with localized upper urinary tract urothelial carcinoma treated surgically. J Urol 2007;178:2291–2296.
Leissner J, Koeppen C, Wolf HK . Prognostic significance of vascular and perineural invasion in urothelial bladder cancer treated with radical cystectomy. J Urol 2003;169:955–960.
Lotan Y, Gupta A, Shariat SF, et al. Lymphovascular invasion is independently associated with overall survival, cause-specific survival, and local and distant recurrence in patients with negative lymph nodes at radical cystectomy. J Clin Oncol 2005;23:6533–6539.
Quek ML, Stein JP, Nichols PW, et al. Prognostic significance of lymphovascular invasion of bladder cancer treated with radical cystectomy. J Urol 2005;174:103–106.
Türkölmez K, Tokgöz H, Resorlu B, et al. Muscle-invasive bladder cancer: predictive factors and prognostic difference between primary and progressive tumors. Urology 2007;70:477–481.
Lopez-Beltra JI, Angulo JC . The prognostic significance of vascular invasion in stage T1 bladder cancer. Histopathology 1995;27:27–33.
Hong SK, Kwak C, Jeon HG, et al. Do vascular, lymphatic, and perineural invasion have prognostic implications for bladder cancer after radical cystectomy? Urology 2005;65:697–702.
Dotan ZA, Kavanagh K, Yossepowitch O, et al. Positive surgical margins in soft tissue following radical cystectomy for bladder cancer and cancer specific survival. J Urol 2007;178:2308–2312.
Author information
Authors and Affiliations
Corresponding author
Additional information
Disclosure/conflict of interest
The authors declare no conflict of interest.
Rights and permissions
About this article
Cite this article
Cheng, L., Montironi, R., Davidson, D. et al. Staging and reporting of urothelial carcinoma of the urinary bladder. Mod Pathol 22 (Suppl 2), S70–S95 (2009). https://doi.org/10.1038/modpathol.2009.1
Received:
Accepted:
Published:
Issue date:
DOI: https://doi.org/10.1038/modpathol.2009.1
Keywords
This article is cited by
-
Co-expression of cancer-testis antigens of MAGE-A6 and MAGE-A11 is associated with tumor aggressiveness in patients with bladder cancer
Scientific Reports (2022)
-
Epithelial-to-mesenchymal transition based diagnostic and prognostic signature markers in non-muscle invasive and muscle invasive bladder cancer patients
Molecular Biology Reports (2022)
-
Three-dimensional histopathological reconstruction of bladder tumours
Diagnostic Pathology (2019)
-
A practical guide to bladder cancer pathology
Nature Reviews Urology (2018)
-
Histopathology: ditch the slides, because digital and 3D are on show
World Journal of Urology (2018)



























