Abstract
Secretory breast carcinoma is a rare breast cancer with indolent clinical behavior. Recent research showed that secretory breast carcinoma belongs to the phenotypic spectrum of basal-like breast carcinomas. In this study, a clinicopathological and immunophenotypic analysis of secretory breast carcinomas from 15 Chinese patients was conducted. This patient group consisted of 2 males and 13 females, with ages ranging from 10 to 67 years old (median, 36 years old). All patients presented with a painless and firm mass. Tumor size ranged from 10 to 55 mm. Most tumors were located in the outer upper quadrant of the breast. Two patients (2 of 13, 15%) displayed positive axillary lymph nodes. At the microscopic level, the presence of intracellular and extracellular secretory material was the most remarkable feature. Most cases showed mild dysplasia cytologically. All cases were negative for estrogen receptor, progesterone receptor and HER2. The expression rate of the basal-like marker (CK5/6 or epidermal growth factor receptor) was 87% (13 of 15). The basal-like phenotype was identified in 13 cases (87%). Follow-up time ranged from 10 to 55 months (median, 19 months). None of the cases had evidence of recurrence and metastasis. Our study reveals that secretory breast carcinoma is a distinct subset of invasive breast carcinoma, with expression of basal-like markers. It should be noted that secretory breast carcinoma is different from conventional basal-like breast carcinomas. Future studies are required to further understand the prognostic significance of the basal-like markers expression in secretory breast carcinomas.
Similar content being viewed by others
Main
Secretory breast carcinoma was originally recognized in 1966 by McDivitt and Stewart1 as an uncommon variety of mammary carcinoma in children, which they designated as ‘juvenile carcinomas’. Tavassoli and Norris2 subsequently reported 19 cases ranging in age from 9 to 69 years old; therefore, they recommended replacing the term ‘juvenile carcinoma’ with the descriptive term ‘secretory carcinoma’. Secretory breast carcinoma has distinctive features that differ from other typical breast ductal carcinomas, such as the presence of large amounts of intracellular and extracellular secretory material. These neoplasms have indolent clinical behavior, late local recurrences and prolonged survival, even with lymph node involvement.3, 4 Immunochemically, the tumor usually has shown strong reactivity for S-100 and is negative for estrogen receptor (ER), progesterone receptor (PR) and HER2.4, 5, 6, 7 In 2002, Tognon et al8 were the first to report that secretory breast carcinoma expresses the ETV6-NTRK3 gene fusion in 12 out of 13 of their cases. Recently, Laé et al7 demonstrated that secretory breast carcinoma with the ETV6-NTRK3 fusion gene belongs to the phenotypic spectrum of basal-like breast carcinomas, and immunohistochemical, as well as genetic features of secretory breast carcinomas, distinguished them from other basal-like breast cancers. Here, we performed a clinicopathological and immunophenotypic analysis of 15 cases of secretory breast carcinoma to delineate the characteristic features of this entity in Chinese patients.
Patients and methods
Patient Samples
A search for secretory breast carcinoma cases was performed in the surgical pathology and consultation files of the Department of Pathology, Fudan University Shanghai Cancer Center, between 2006 and 2010. Fifteen cases were accepted as secretory breast carcinoma after a detailed clinicopathological and immunophenotypic analysis. All cases were confirmed by at least two pathologists. Available data including clinical presentations, therapeutic regimens and follow-up information were evaluated.
Morphology and Immunohistochemistry
Formalin-fixed biopsy or resection specimens of 15 secretory breast carcinomas were routinely processed, embedded in paraffin and stained with hematoxylin–eosin. The invasive component of all cases was graded according to the modified Scarff–Bloom–Richardson system. Histological features including the growth pattern of tumor cells, cell morphology, mitotic figures and vascular invasion were evaluated.
Immunohistochemical staining was performed on paraffin-embedded sections from all cases by the standard Envision method using a panel of antibodies: ER (1D5, dilution 1:150; Dako), PR (PgR 636, dilution 1:125; Dako), HER2 (polyclonal, dilution 1:175; Dako), S-100 protein (polyclonal, dilution 1:300; Dako), CK5/6 (D5/16B4, dilution 1:50; Dako), epidermal growth factor receptor (EGFR; EGFR.113, dilution 1:50; Dako), mammaglobin (304-1A5, dilution 1:500; Dako), gross cystic disease fluid protein-15 (GCDFP-15; 23A3, dilution 1:50; Dako) and Ki-67 (MIB-1, dilution 1:100; Dako). Appropriate positive and negative control samples were used.
Evaluation of the Staining
Samples were defined as immunopositive if they had the following: at least 10% of tumor cells with nuclear immunoreactivity for ER and PR; at least 30% of tumor cells with continuous strong membranous reactivity for HER2; nuclear staining for Ki-67 and S-100; membranous/cytoplasmic reactivity (weak or strong) for CK5/6 and EGFR; and cytoplasmic reactivity for mammaglobin and GCDFP-15. The Ki-67 labeling index was determined by counting the number of positive cells in a total of 1000 tumor cells. If either CK5/6 or EGFR was positive immunohistochemically, the tumor was considered to express basal-like markers. A basal-like phenotype was defined as a ER−, HER2− and CK5/6+/EGFR+ expression.
Results
Clinical Features
The clinical features of the 15 patients are summarized in Table 1. There were 2 males and 13 females, with a male to female ratio of 1:6.5. Patient ages during the initial examination ranged from 10 to 67 years old (median, 36 years old). In 10 cases, the neoplasm was located in the right breast (one in the right axilla) and in the left breast in five cases. The tumors were mostly confined to the outer upper quadrant of the breast (7 of 15), and 3 were located in the subareolar region. All patients presented with a mass (two patients also had nipple discharge). None of the patients had received chemotherapy before surgery. Lumpectomy was performed in five patients (two also with sentinel lymph node biopsy and one with axillary lymph node dissection), simple mastectomy and sentinel lymph node biopsy in one case, and modied radical mastectomy in nine patients. Seven cases received postoperative chemotherapy, and one of them also had radiotherapy. Two out of thirteen patients (15%) showed positive axillary lymph nodes. Follow-up data were available for 13 patients. Follow-up time ranged from 10 to 55 months (median, 19 months). None of them had evidence of recurrence and metastasis.
Pathological Findings
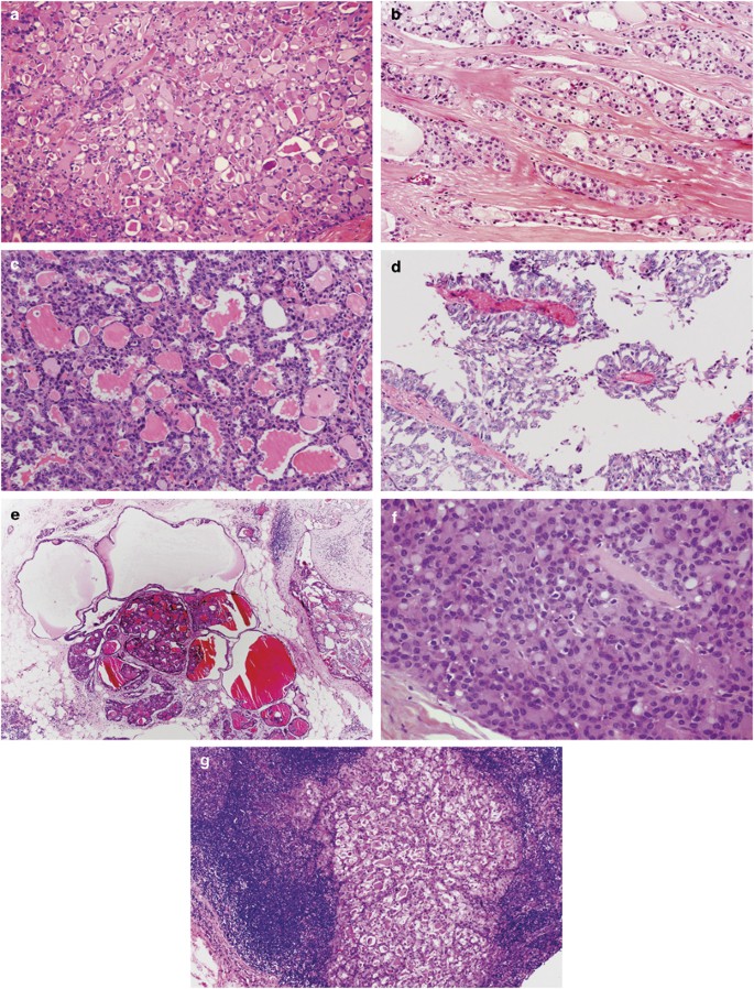
All cases presented with a painless and firm mass. Grossly, two cases showed obscure boundaries and inltrating margins, whereas others were well demarcated and non-encapsulated. The cut sections were greyish white to tan or yellow. Tumor size ranged from 10 to 55 mm, with a mean of 18 mm. Microscopically, the presence of intracellular and extracellular secretory material was the most remarkable feature. Several histological patterns, such as microglandular, glandular, cystic, microcystic and solid area, were present in varying proportions among the tumors. The honeycomb pattern can be observed in all cases (Figure 1a). Tumor cells were arranged in nests separated by dense collagen stroma (Figure 1b). Sometimes irregular or oval microcysts of varying sizes containing abundant secretion resembled thyroid follicular structure, even with absorption vacuoles (Figure 1c). A typical papillary growth pattern can be observed in some regions of case 10 (Figure 1d). Dilated cysts filled with eosinophilic secretion were presented in case 15 (Figure 1e). Tumor cells were mild-to-moderate atypia with pale-to-clear, pink or amphophilic cytoplasm. Nuclei were small round-to-oval, with or without a prominent nucleolus. Mitosis was rare or absent. In the solid area, there was no extracellular secretion and the tumor cells were slightly granular with intracellular secretory material (Figure 1f). Two cases (13%) were grade 2 and 13 cases were grade 1 (87%). No necrosis or vascular invasion was observed. Perineural infiltration was present in two cases. Pushing margins can be observed in three cases. The metastatic carcinoma in axillary lymph nodes also displayed a growth pattern similar to the primary tumor with abundant secretion (Figure 1g).
Secretory breast carcinoma with intracellular and extracellular secretory material (a). Tumor cells are arranged in nests and separated by dense collagen stroma (b). Follicle-like structures are filled with homogeneous eosinophilic secretion with absorption vacuoles (c). A papillary growth pattern with an edematous fibrovascular core can be observed (d). Large cysts containing eosinophilic secretion (e). Solid area with no extracellular secretion (f). The metastatic carcinoma in axillary lymph node, displaying a growth pattern similar to the primary tumor with abundant secretion (g).
Immunohistochemical Findings
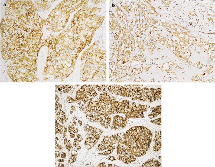
Immunohistochemical findings are summarized in Table 2 and illustrated in Figure 2. All cases were triple-negative (negative for ER, PR and HER2). The expression rate of basal-like markers was 87% (13 of 15), with a positive staining rate of 80% (12 of 15) for CK5/6 and 40% (6 of 15) for EGFR. Thirteen cases (87%) were identified as the basal-like phenotype. The mean value of Ki-67 index was about 6%. All cases showed positive staining for S-100 protein and mammaglobin. No reactivity was observed for GCDFP-15.
Discussion
Secretory carcinoma is a very rare type of breast carcinoma, accounting for less than 0.15% of all breast cancers.7 In this retrospective study, 15 cases of secretory breast carcinoma were retrieved from a series of 10 000 newly diagnosed breast cancers between 2006 and 2010, with an incidence of only 0.15%. The reported male–female ratio is approximately 1:6,9 which is similar to the distribution in our data set.
It is well known that breast cancers are highly heterogeneous malignancies. Patients with the same clinical stage, histological type and treatment may have diverse outcomes. Molecular differences are considered to be the main reason for this disparity. In 2000, Perou et al10 initially produced a molecular portrait of breast cancer. Complementary DNA microarrays were employed to identify five biologically distinct subtypes of breast tumors, including luminal A and B, HER2 overexpression, normal breast-like tumors and basal-like tumors.10, 11, 12 Many studies have demonstrated that basal-like tumors are associated with poor clinical outcome.11, 13 However, gene chip technology is expensive and not suitable for daily clinical application. Therefore, an immunohistochemical surrogate for the five molecular subtypes has been studied. The basal-like phenotype was found to have markedly reduced expression of ER and HER2 while it expressed markers present in the normal myoepithelial cell.14 Studies by Nielsen et al15 and Rodríquez-Pinilla et al16 have proposed that a combination of ER−, HER2− and CK5/6+/EGFR+ markers can accurately diagnose basal-like breast cancer with a sensitivity of 76% and a specificity of 100%.15 This immunohistochemical definition is the most frequently quoted definition of basal-like breast cancer.
In our cohort, the basal-like phenotype was identified in 13 (87%) cases according to the aforementioned criteria. Nevertheless, unlike other typical basal-like carcinomas (usually with features of high histological grade, pushing growth pattern, conspicuous lymphocytic infiltrate, central necrotic zones, geographic tumor necrosis, high mitotic rate, notable cellular pleomorphism, vesicular chromatin and high cell proliferation activity), most of our basal-like secretory breast carcinomas showed mild dysplasia without necrosis and active cell proliferation. They did not show local recurrence or distant metastases after a short follow-up period. Additionally, we also noticed that all of the cases in our series presented with higher histological grade, or pushing margins express basal-like markers. Thus, we believe that some secretory breast carcinoma has a few basaloid characteristics. Tumors with basal-like immunophenotype constitute a heterogeneous group of tumors, and secretory breast carcinoma is one of the basal-like tumors that have good prognosis.7 This view is confirmed by our present study. However, the clinical significance of this finding is not clear at this time. Future studies are required to further understand the prognostic significance of the basal-like markers expression in secretory breast carcinoma.
The reported incidence rate of axillary lymph node metastasis of secretory breast carcinoma is 15–30%,6, 17 and most patients involved no more than four lymph nodes.18, 19, 20, 21, 22, 23 Studies have shown that lymph node metastasis is rare in children and teenagers.9, 24, 25 In our series, there were two cases (case 2 and 3) with axillary lymph nodes metastases. Both of them were adolescents and had a tumor larger than 20 mm. Furthermore, both were grade 2 and expressed CK5/6. Sentinel lymph node biopsy has been used in several studies and has proven to be a useful evaluation method for the lymph node status of secretory breast carcinoma.6, 20, 22 Three patients in our series received a sentinel lymph node biopsy, and one of these cases showed a positive result. However, considering that the patient was very young, lumpectomy without axillary dissection was adopted. Follow-up of the three patients to date has shown no evidence of recurrent or metastatic carcinoma. It suggests that sentinel lymph node biopsy can be a good replacement for axillary lymph node dissection in secretory breast carcinoma patients to predict the axillary status and achieve a satisfied treatment.
Though most secretory breast carcinoma cases are female, male sufferers have also been reported. A total of 27 cases (including 2 cases from our study, see Table 3) of male patients with secretory breast carcinoma could be identified in the literature.2, 3, 6, 9, 23, 25, 26, 27, 28, 29, 30, 31, 32, 33, 34, 35, 36, 37, 38, 39, 40, 41, 42, 43, 44 Most affected patients were children and adolescents with a median age of 27 years. The tumors are usually located subareolarly. Tumor size varies from 8 to 120 mm, with an average diameter of approximately 30 mm. An asymptomatic, firm, mobile mass is the most frequent clinical presentation. The duration of symptoms varies from 2 weeks to 21 years. Case 2 had a lump below the right areola that was asymptomatic for approximately 5 years, but a cauliflower-like neoplasm with bloody discharge then began to gradually grow on the nipple several months before admission. This is not common in male secretory breast carcinoma patients. Nearly half (8 of 19, 42%) of the reported cases with axillary lymph node metastasis were confirmed. This rate was higher than the reported overall incidence. Six (six of eight, 75%) of the node metastatic cases had a tumor larger than 20 mm. Though secretory breast carcinoma usually behaves in an indolent manner, a few researchers have proposed that secretory breast carcinoma in men appeared to be more aggressive.37 However, we only find three (3 of 20, 15%) patients resulted in death after a review of the literature.5, 26, 39 Two of them had a tumor larger than 20 mm. Another patient was an old man with multiple foci and high Ki-67 expression (34%). A few male patients of secretory breast cancer also encountered recurrence and even distant metastases.3, 40, 41 These patients merely underwent a lumpectomy or simple mastectomy during their first visit and had a tumor larger than 40 mm. Therefore, we advocate that sentinel lymph node biopsy should be added to the surgical regimen for male secretory breast carcinomas, especially those with a tumor larger than 20 mm.
In our cohort, we also had a patient (case 9) who developed secretory carcinoma in axillary breast tissue. This axillary mass had been present for more than 10 years before the carcinoma was diagnosed. Her pectoral breasts were normal. During her first pregnancy, the mass became itchy and a milky liquid could be squeezed out, but the epidermis was intact. This patient has not had another baby since then, and the mass remained dormant without enlargement or any discomfort. She recently visited the hospital because she was experiencing ‘slight pain’. A wide local excision and axillary lymph node dissection were performed by surgeons. The mass was 20 mm and no metastatic axillary lymph node was found. Microscopically, the lesion was located in the deep dermal-subcutaneous region and was shaped in lobules. Normal mammary lobules were observed adjacent to the tumor. The evidence suggested that this tumor might have arisen from ectopic breast tissue. To our knowledge, this is the third report of secretory carcinoma taking place in axilla ever documented.19, 45
Though most secretory breast carcinomas express the basal-like markers, we do not think that the treatment will be affected, and aggressive treatment should be avoided. To date, there is no consensus on the treatment of secretory breast carcinoma. Most children and adults have been treated by surgical excision techniques ranging from local resection to radical mastectomy. Secretory breast carcinoma is considered by a few researchers to be more aggressive in adult women than in children.25, 46 Wide excision is potentially adequate due to few occurrences of metastasis in children. For patients over 20 years old, an initial simple mastectomy with axillary node dissection might be adequate.2 However, recently the technique of sentinel lymph node biopsy has replaced conventional axillary lymph node dissection to become the standard of care for early breast cancer. Thus, conservative surgery (adequate local excision or quadrantectomy) with sentinel lymph node biopsy has been chosen by some surgeons when neoplasms are smaller than 20 mm, and simple mastectomy with sentinel lymph node biopsy has been preferred for neoplasms larger than 20 mm.20, 22 If the result of sentinel lymph node biopsy is negative, the patient can be exempted from axillary lymph node dissection. The real value of postoperative radiotherapy and chemotherapy has not been examined.
In conclusion, secretory breast carcinoma is a distinct subset of invasive breast carcinoma, which expresses basal-like markers such as CK5/6 and EGFR. Distinguished from the typical basal-like breast carcinomas, it only shows mild dysplasia. Aggressive treatment should be avoided in such kind of patients. At this time, the importance of the expression of basal-like markers of secretory breast carcinoma is unclear. Future studies are required to further understand the prognostic significance of the expression of basal-like markers in secretory breast carcinoma.
References
McDivitt RW, Stewart FW . Breast carcinoma in children. JAMA 1966;195:388–390.
Tavassoli FA, Norris HJ . Secretory carcinoma of the breast. Cancer 1980;45:2404–2413.
Arce C, Cortes-Padilla D, Huntsman DG, et al. Secretory carcinoma of the breast containing the ETV6-NTRK3 fusion gene in a male: case report and review of the literature. World J Surg Oncol 2005;3:35.
Costa NM, Rodrigues H, Pereira H, et al. Secretory breast carcinoma—case report and review of the medical literature. Breast 2004;13:353–355.
Diallo R, Schaefer KL, Bankfalvi A, et al. Secretory carcinoma of the breast: a distinct variant of invasive ductal carcinoma assessed by comparative genomic hybridization and immunohistochemistry. Hum Pathol 2003;34:1299–1305.
Szántó J, András C, Tsakiris J, et al. Secretory breast cancer in a 7.5-year old boy. Breast 2004;13:439–442.
Laé M, Fréneaux P, Sastre-Garau X, et al. Secretory breast carcinomas with ETV6-NTRK3 fusion gene belong to the basal-like carcinoma spectrum. Mod Pathol 2009;22:291–298.
Tognon C, Knezevich SR, Huntsman D, et al. Expression of the ETV6-NTRK3 gene fusion as a primary event in human secretory breast carcinoma. Cancer Cell 2002;2:367–376.
Serour F, Gilad A, Kopolovic J, et al. Secretory breast cancer in childhood and adolescence: report of a case and review of the literature. Med Pediatr Oncol 1992;20:341–344.
Perou CM, Sørlie T, Eisen MB, et al. Molecular portraits of human breast tumours. Nature 2000;406:747–752.
Sørlie T, Tibshirani R, Parker J, et al. Repeated observation of breast tumor subtypes in independent gene expression data sets. Proc Natl Acad Sci USA 2003;100:8418–8423.
Sørlie T, Perou CM, Tibshirani R, et al. Gene expression patterns of breast carcinomas distinguish tumor subclasses with clinical implications. Proc Natl Acad Sci USA 2001;98:10869–10874.
Livasy CA, Karaca G, Nanda R, et al. Phenotypic evaluation of the basal-like subtype of invasive breast carcinoma. Mod Pathol 2006;19:264–271.
Fadare O, Tavassoli FA . Clinical and pathologic aspects of basal-like breast cancers. Nat Clin Pract Oncol 2008;5:149–159.
Nielsen TO, Hsu FD, Jensen K, et al. Immunohistochemical and clinical characterization of the basal-like subtype of invasive breast carcinoma. Clin Cancer Res 2004;10:5367–5374.
Rodríguez-Pinilla SM, Sarrió D, Honrado E, et al. Vimentin and laminin expression is associated with basal-like phenotype in both sporadic and BRCA1-associated breast carcinomas. J Clin Pathol 2007;60:1006–1012.
Sullivan JJ, Magee HR, Donald KJ . Secretory (juvenile) carcinoma of the breast. Pathology 1977;9:341–346.
Rosen PP, Cranor ML . Secretory carcinoma of the breast. Arch Pathol Lab Med 1991;115:141–144.
Shin SJ, Sheikh FS, Allenby PA, et al. Invasive secretory (juvenile) carcinoma arising in ectopic breast tissue of the axilla. Arch Pathol Lab Med 2001;125:1372–1374.
Bond SJ, Buchino JJ, Nagaraj HS, et al. Sentinel lymph node biopsy in juvenile secretory carcinoma. J Pediatr Surg 2004;39:120–121.
Anderson P, Albarracin CT, Resetkova E . A large, fungating breast mass. Secretory carcinoma with apocrine differentiation. Arch Pathol Lab Med 2006;130:e50–e52.
Vieni S, Cabibi D, Cipolla C, et al. Secretory breast carcinoma with metastatic sentinel lymph node. World J Surg Oncol 2006;4:88.
Iglesias B, Monteagudo B, Rouco JS, et al. Secretory breast carcinoma in a 63-year-old man. J Cutan Pathol 2009;36 (Suppl 1):86–88.
Oberman HA . Secretory carcinoma of the breast in adults. Am J Surg Pathol 1980;4:465–470.
Roth JA, Discafani C, O’Malley M . Secretory breast carcinoma in a man. Am J Surg Pathol 1988;12:150–154.
Krausz T, Jenkins D, Grontoft O, et al. Secretory carcinoma of the breast in adults: emphasis on late recurrence and metastasis. Histopathology 1989;14:25–36.
Simpson JS, Barson AJ . Breast tumours in infants and children: a 40-year review of cases at a children's hospital. Can Med Assoc J 1969;101:100–102.
Karl SR, Ballantine TV, Zaino R . Juvenile secretory carcinoma of the breast. J Pediatr Surg 1985;20:368–371.
Lamovec J, Bracko M . Secretory carcinoma of the breast: light microscopical, immunohistochemical and flow cytometric study. Mod Pathol 1994;7:475–479.
Pohar-Marinsek Z, Golouh R . Secretory breast carcinoma in a man diagnosed by fine needle aspiration biopsy. A case report. Acta Cytol 1994;38:446–450.
Kuwabara H, Yamane M, Okada S . Secretory breast carcinoma in a 66 year old man. J Clin Pathol 1998;51:545–547.
Vesoulis Z, Kashkari S . Fine needle aspiration of secretory breast carcinoma resembling lactational changes. A case report. Acta Cytol 1998;42:1032–1036.
Kameyama K, Mukai M, Iri H, et al. Secretory carcinoma of the breast in a 51-year-old male. Pathol Int 1998;48:994–997.
Chevallier A, Boissy C, Rampal A, et al. Secretory carcinoma of the breast. Report of a case in a 9-year-old boy. Clin Exp Pathol 1999;47:88–91.
Yildirim E, Turhan N, Pak I, et al. Secretory breast carcinoma in a boy. Eur J Surg Oncol 1999;25:98–99.
Bhagwandeen BS, Fenton L . Secretory carcinoma of the breast in a nine year old boy. Pathology 1999;31:166–168.
de Bree E, Askoxylakis J, Giannikaki E, et al. Secretory carcinoma of the male breast. Ann Surg Oncol 2002;9:663–667.
Diallo R, Tognon C, Knezevich SR, et al. Secretory carcinoma of the breast: a genetically defined carcinoma entity. Verh Dtsch Ges Pathol 2003;87:193–203.
Woto-Gaye G, Kasse AA, Dieye Y, et al. Secretory breast carcinoma in a man. A case report with rapid evolution unfavorable. Ann Pathol 2004;24:432–435, quiz 393.
Kavalakat AJ, Covilakam RK, Culas TB . Secretory carcinoma of breast in a 17-year-old male. World J Surg Oncol 2004;2:17.
Niveditha SR, Bajaj P, Nangia A . Secretory carcinoma of the male breast. J Clin Pathol 2004;57:894.
Alenda C, Aranda FI, Segui FJ, et al. Secretory carcinoma of the male breast: correlation of aspiration cytology and pathology. Diagn Cytopathol 2005;32:47–50.
Grabellus F, Worm K, Willruth A, et al. ETV6-NTRK3 gene fusion in a secretory carcinoma of the breast of a male-to-female transsexual. Breast 2005;14:71–74.
Titus J, Sillar RW, Fenton LE . Secretory breast carcinoma in a 9-year-old boy. Aust N Z J Surg 2000;70:144–146.
Brandt SM, Swistel AJ, Rosen PP . Secretory carcinoma in the axilla: probable origin from axillary skin appendage glands in a young girl. Am J Surg Pathol 2009;33:950–953.
Tixier H, Picard A, Guiu S, et al. Long-term recurrence of secretory breast carcinoma with metastatic sentinel lymph nodes. Arch Gynecol Obstet 2011;283 (Suppl 1):77–78.
Author information
Authors and Affiliations
Corresponding author
Ethics declarations
Competing interests
The authors declare no conflict of interest.
Rights and permissions
About this article
Cite this article
Li, D., Xiao, X., Yang, W. et al. Secretory breast carcinoma: a clinicopathological and immunophenotypic study of 15 cases with a review of the literature. Mod Pathol 25, 567–575 (2012). https://doi.org/10.1038/modpathol.2011.190
Received:
Revised:
Accepted:
Published:
Issue date:
DOI: https://doi.org/10.1038/modpathol.2011.190
Keywords
This article is cited by
-
Rare subtypes of triple negative breast cancer: Current understanding and future directions
npj Breast Cancer (2023)
-
Secretory breast carcinoma in a female adult with liver metastsis: a case report and literature review
Diagnostic Pathology (2021)
-
Secretory carcinoma of the breast with multiple distant metastases in the brain and unfavorable prognosis: a case report and literature review
Diagnostic Pathology (2021)
-
Clinicopathologic profiling and oncologic outcomes of secretory carcinoma of the breast
Scientific Reports (2021)
-
Pure secretory carcinoma in situ: a case report and literature review
Diagnostic Pathology (2019)




