Abstract
Immunohistochemical use of myogenic markers serves to define smooth or skeletal muscle differentiation in soft tissue tumors. Establishing smooth muscle differentiation in malignant lesions can be challenging in some cases. We immunohistochemically examined 900 soft tissue tumors selected from the French Sarcoma Group’s archived tissue collection, which contains a large number of leiomyosarcomas. The four most widely used smooth muscle diagnostic markers were evaluated (smooth muscle actin, desmin, h-caldesmon and calponin), and compared with a novel marker, transgelin. The diagnostic performance of each marker was statistically assessed in terms of sensitivity (Se), specificity (Sp), positive predictive value (PPV), negative predictive value (NPV) and accuracy (A), in leiomyosarcomas versus all other sarcomas including gastrointestinal stromal tumors (GIST), and second in leiomyosarcomas versus specific tumor types. In leiomyosarcomas versus all other sarcomas including GIST, transgelin emerged as the best diagnostic marker (Se: 83%, Sp: 82%, PPV: 67%, NPV: 92%, A: 83%), compared with smooth muscle actin (Se: 75%, Sp: 83, PPV: 66%, NPV: 89%, A: 81%), desmin (Se: 45%, Sp: 88%, PPV: 62%, NPV: 79%, A: 75%), h-caldesmon (Se: 50%, Sp: 90%, PPV: 67%, NPV: 81%, A: 78%) and calponin (Se: 76%, Sp: 70, PPV: 52%, NPV: 87%, A: 71%). In leiomyosarcomas compared with other specific tumor types such as undifferentiated pleomorphic sarcoma and myxofibrosarcoma, the accuracy for transgelin varied from 80 to 87% whereas it was lower for all other markers (between 51 and 80%). These results indicate that transgelin could be used in practice as an additional marker useful for decision making, especially in those tumors with incomplete immunophenotypes.
Similar content being viewed by others
Main
Leiomyosarcoma is one of the most frequent sarcoma histotypes and represents about 15% of all soft tissue sarcomas.1 The diagnosis of leiomyosarcoma is clinically important because it has been reported that soft tissue sarcomas showing a myoid differentiation, most often a smooth muscle differentiation, are more aggressive than those with no myoid differentiation.2, 3 However, the distinction between a poorly differentiated leiomyosarcoma and an undifferentiated spindle cell or pleomorphic sarcoma based on morphological features only is often difficult and difficult to reproduce. In this situation, immunohistochemistry is very helpful. Although myogenin and MyoD1, myogenic transcriptional regulatory proteins, are considered sensitive and specific markers for rhabdomyosarcomas,4 there is no sensitive and specific single marker for identifying a smooth muscle differentiation. Markers regularly used for the diagnosis of smooth muscle tumors are desmin, an intermediate filament and smooth muscle actin, a thin filament,5 along with calponin and h-caldesmon, both involved in smooth muscle contraction.6, 7 Smooth muscle actin and desmin are generally expressed in many different types of skeletal muscle, smooth muscle, myofibroblastic and myoepithelial tumors, as well as in other lesions. Therefore, rigorous criteria should be used to interpret positive myogenic markers in the diagnosis of leiomyosarcomas.5, 8, 9 H-caldesmon is reputedly specific to smooth muscle differentiation but lacks sensitivity (Se).6, 7 Calponin is quite useful to assess smooth muscle differentiation although it is probably more frequently used to detect myoepithelial or myofibroblast lineage.6, 7 A novel marker, transgelin, a 22 kDa actin-binding protein of the calponin family, also correlates with smooth muscle differentiation.10 The promoter of the gene is the target of the transcriptional activator serum response factor of which myocardin acts as a cofactor.11 In an unpublished study, Aurias et al (Institut Curie, France), isolated target genes of myocardin through gene expression profiling using sarcoma cell lines and found that transgelin was one of the most represented in leiomyosarcomatous differentiation. In this study, we aimed to establish whether or not transgelin is a useful addition to the other better-known smooth muscle differentiation markers, in leiomyosarcomas versus all other sarcomas including gastrointestinal stromal tumors (GIST), and secondly in leiomyosarcomas versus specific tumor types. The diagnostic performance of transgelin was compared with that of smooth muscle actin, desmin, h-caldesmon and calponin in a large series of benign and malignant mesenchymal lesions irrespective of the line of differentiation or anatomic site.
Materials and methods
Tumor Selection
Nine hundred soft tissue tumors were selected from the French Sarcoma Group’s archived paraffin-embedded tissue collection: 184 leiomyosarcomas, 143 undifferentiated pleomorphic sarcomas, 80 desmoid tumors, 68 myxofibrosarcomas, 65 dedifferentiated liposarcomas, 60 synovial sarcomas, 50 GIST, 45 dermatofibrosarcoma protuberans, 36 spindle cell/pleomophic lipomas, 26 nodular fasciitis, 19 pleomophic liposarcoma, 13 well-differentiated lipoma-like liposarcomas, 12 pleomorphic rhabdomyosarcomas, 11 myxoid/round cell liposarcomas, 10 adult fibrosarcomas, 10 alveolar rhabdomyosarcomas, 10 embryonal rhabdomyosarcomas, 8 Ewing sarcomas, 6 soft tissue osteosarcomas, 6 clear cell sarcomas, 5 schwannomas, 5 leiomyomas, 5 angiomas, 3 myxomas, 3 angiosarcomas, 3 soft part alveolar sarcomas, 3 extra-skeletal myxoid chondrosarcomas, 2 desmoplastic small round cell tumors, 2 neurofibromas, 2 perineurinomas, 1 sclerosing fibrosarcoma, 1 malignant peripheral nerve sheath tumor, 1 giant cell tumor of the tendon, 1 myofibroblastoma and 1 granular cell tumor. Diagnosis of leiomyosarcoma was based on criteria derived from Fletcher et al’s2 and Deyrup et al’s3 reports: a tumor that at least focally showed the presence of eosinophilic spindle cells with vesicular blunt-ended nuclei arranged in a fascicular pattern. Such foci always accounted for at least 5 to 10% of the surface examined. Tumors with these characteristics were also required to show extensive positivity for smooth muscle actin or calponin, or focal and strong positivity for desmin or h-caldesmon. The leiomyosarcoma differentiation level has been evaluated according to the differentiation score used for the French sarcomas grading system, which is based on histological aspects only.12 In all, 65 cases out of 184 (35%) were defined as poorly differentiated (differentiation score of 3) and therefore needed immunohistochemistry to obtain a diagnosis of leiomyosarcoma. Undifferentiated pleomorphic sarcomas were defined as pleomorphic/spindle cell sarcoma with no evidence of a specific line of differentiation.2, 13 All tumor slides were reviewed in full sections for diagnosis confirmation before tumor selection.
Tissue Micro-Array
All samples were paraffin embedded and formalin fixed. A total of 816 tumors were examined in tissue micro-array blocks with three spots of 1 mm per sample. The rest were examined in full sections. In the dermatofibrosarcoma protuberans subgroup, 15 tumors were examined in tissue micro-array with all markers, and 30 in whole sections with transgelin alone.
Immunohistochemistry
Slides of 4-um-thick tissue sections were incubated at room temperature in standard CC1 buffer (Ventana), revealed with ‘Ultra View’ Universal DAB kit and stained with Hematoxylin ReaDi solution (Ventana). They were treated on automate VENTANA-Benchmark-XT with the following antibodies: smooth muscle actin (clone: 1A4; pre-treatment: CC1; prediluted; source: Ventana), desmin (clone D33, pre-treatment: CC1 ct; dilution: 1/50, source: DAKO), caldesmon (clone Hcd, pre-treatment: CC1 std; dilution: 1/50; source: DAKO), calponin (clone CALP; pre-treatment: CC1 std, dilution: 1/100, source: Biogenex) and transgelin (clone SM22 ALPHA; pre-treatment: none; dilution: 1/500, source: Abcam).
Descriptive Statistics
Patterns of positivity were analyzed for benign tumors with at least three specimens (desmoid tumor, nodular fasciitis, leiomyoma, schwannoma, angioma myxoma and spindle cell lipoma) and sarcomas with at least 12 specimens (leiomyosarcomas, undifferentiated pleomorphic sarcomas, myxofibrosarcomas, dedifferentiated liposarcomas, synovial sarcomas, GIST, dermatofibrosarcoma protuberans, pleomophic liposarcoma, well-differentiated lipoma-like liposarcomas and pleomorphic rhabdomyosarcomas). For all tumors, positive cases were defined as those with at least 5–10% of marked tumor cells. Positivity was further divided into focal (< 50% cells labeled) and diffuse (> 50% cells labeled) patterns.
Diagnostic Performance
Classical 2 × 2 tables were used for estimating the diagnostic performance of each marker (desmin, smooth muscle actin, calponin, h-caldesmon and transgelin). The diagnostic performance of all markers including transgelin was calculated for the diagnosis of leiomyosarcomas compared with other sarcomas as a whole, and then compared with other subtypes (undifferentiated pleomorphic sarcomas, myxofibrosarcomas). The following criteria were calculated: Se, specificity (Sp), positive predictive value (PPV), negative predictive value (NPV) and accuracy (A: true positives plus true negatives divided by all cases). The 95% confidence intervals (CIs) were calculated in all cases. We did not calculate P-value in case of diagnostic performance comparison, because the reading of 95% CI was sufficient to establish the superiority of one marker over the other ones.
Results
1° Benign Soft Tissue Tumors
Patterns of positivity are detailed in Table 1 for tumor types with at least three cases. In desmoid tumors (Figure 1) and nodular fasciitis (Figure 2), smooth muscle actin, calponin and transgelin showed similarly high Se rates. Reactivity to h-caldesmon and desmin was weak to absent for these tumors. All five leiomyomas showed diffuse positivity for all markers except transgelin (focally positive in three tumors). In angiomas, the tumor vessel walls were reactive with varying intensity for actin, calponin, caldesmon and transgelin, although desmin positivity was inconstant. No myogenic markers were expressed by schwannomas, myxomas or spindle cell lipomas. Among the least represented tumor types, one angioleiomyoma and two angiomyolipomas showed diffuse labeling by smooth muscle actin, calponin, h-caldesmon and transgelin, and not at all by desmin. One myofibroblastoma expressed only desmin. Other tumors tested were negative for all markers (one giant cell tumor of the tendon, two neurofibromas, two perineurinomas and one granular cell tumor).
2° Sarcomas
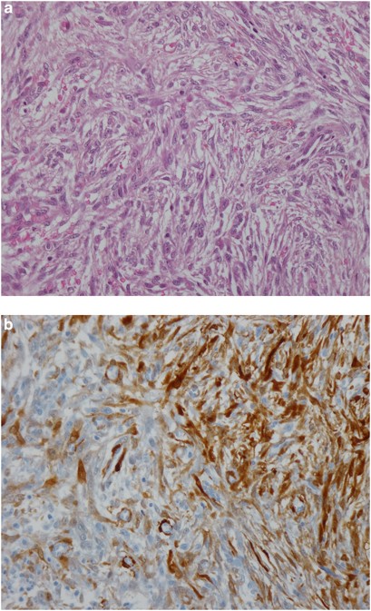
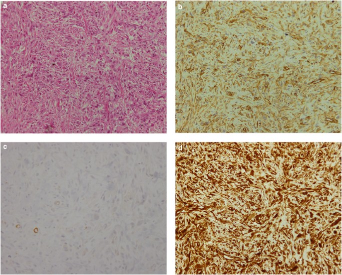
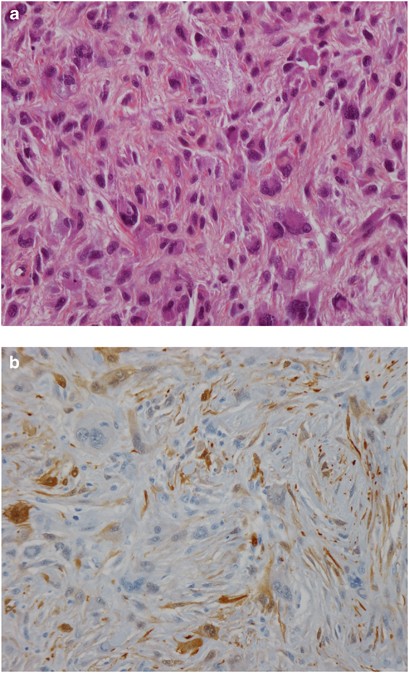
(i) Patterns of positivity are detailed in Table 1 for tumor types with at least 12 cases. In leiomyosarcomas (Figures 3 and 4), transgelin was the most consistently expressed marker (positive in 84% of cases) and desmin the least expressed (29% of cases), whereas h-caldesmon was positive in half of the cases and calponin in a little >75%. Less than 25% of undifferentiated pleomorphic sarcomas (Figure 5) were reactive to all markers considered; in particular, h-caldesmon positivity was not observed. These rates were even lower in myxofibrosarcomas where none exceeded 12% in positivity. The other sarcomas showed extremely variable positivity for transgelin. This marker is virtually unexpressed in GIST where only limited traces were found in one case (< 5% of tumor cells labeled). In dedifferentiated liposarcomas, a little <20% of cases showed labeling for transgelin, 28 to 46% for actin, desmin, calponin and 5% for h-caldesmon. In all, 12% of synovial sarcomas reacted with transgelin, and two-thirds with calponin, the other markers being negative. In dermatofibrosarcomas protuberans, 6 of the 15 tumors in tissue micro-array showed focal reactivity with transgelin (40%) and 2 with calponin (13%), whereas actin, desmin and h-caldesmon remained negative. Of the 30 dermatofibrosarcomas protuberans studied in full sections (with transgelin alone), 6 showed at least focal expression of transgelin, with 1 of these being diffusely labeled, accounting for a 30% overall positivity rate for transgelin in these tumors. Among the less well-represented tumor types: in pleomorphic rhabdomyosarcomas, desmin was the only marker labeling all tumors, one tumor showed focal positivity for actin, one for calponin and five for transgelin whereas h-caldesmon always had negative positivity. In alveolar rhabdomyosarcomas, desmin was consistently expressed. One tumor reacted focally with transgelin whereas smooth muscle actin, caldesmon and calponin remained negative. All embryonal rhabdomyosarcomas remained unreactive to the markers except desmin. Well-differentiated liposarcomas showed no reactivity for any marker. The two desmoplastic round cell tumors showed diffuse positivity for desmin, focal positivity for calponin and transgelin and none for smooth muscle actin. Two of the eight Ewing sarcomas reacted focally with calponin only. The one extra-skeletal myxoid chondrosarcoma of the series showed focal positivity for desmin, with no labeling with any of the other markers. No positivity with any marker was observed in the one malignant peripheral nerve sheath tumor and the one mesenchymal chondrosarcoma in this study. Focal positivity for desmin and transgelin were noted in the three soft part alveolar sarcomas.
(ii) Diagnostic performance is summarized for each marker in Table 2 (for leiomyosarcomas versus all other sarcomas), Table 3 (for leiomyosarcomas versus undifferentiated pleomorphic sarcomas) and Table 4 (for leiomyosarcomas versus myxofibrosarcomas) as these are the main tumor types not subjected to any specific diagnostic methods. For the diagnosis of leiomyosarcomas versus all other sarcomas including GIST, transgelin emerged as the best diagnostic marker with 83% Se, 82% Sp, a PPV of 67%, a NPV of 92% and an accuracy rate of 83%. In leiomyosarcomas versus undifferentiated pleomorphic sarcomas and versus myxofibrosarcomas, the rates of accuracy of transgelin were still among the highest, varying from 80% in leiomyosarcomas versus undifferentiated pleomorphic sarcomas to 85% in leiomyosarcomas versus myxofibrosarcomas, whereas for all the other markers rates varied from as low as 59% for desmin in leiomyosarcomas versus myxofibrosarcomas, to 80% for actin in leiomyosarcomas versus undifferentiated pleomorphic sarcomas.
Discussion
The primary endpoint of this study was the statistical evaluation of the immunodiagnostic accuracy of transgelin compared with that of the four most frequently used markers involved in smooth muscle differentiation (smooth muscle actin, desmin, h-caldesmon and calponin) in leiomyosarcomas versus all other sarcomas including GISTs. The secondary endpoint was immunodiagnostic accuracy of transgelin in leiomyosarcomas.
Se of Smooth Muscle Markers for the Diagnosis of Leiomyoma
For the diagnosis of leiomyoma versus other benign tumors, the diagnostic performance of transgelin is not superior to that of actin and h-caldesmon. Our series also confirms previous reports in myofibroblastic lesions, where desmin positivity is infrequently observed14, 15, 16 and where h-caldesmon positivity is absent.6 In contrast to these markers, transgelin seems to have a role in these lesions.
Se of Smooth Muscle Markers for the Diagnosis of Leiomyosarcomas
We were particularly interested in examining the diagnosis of leiomyosarcomas versus all other sarcomas, and of leiomyosarcomas versus lesions with no specific diagnostic markers (undifferentiated pleomorphic sarcomas and myxofibrosarcomas), because the immunodiagnostic accuracy of the markers in other settings, such as GIST, dedifferentiated liposarcomas, and synovial sarcomas, seemed irrelevant as these can easily be diagnosed via specific methods. In this study, smooth muscle actin and calponin share the same Se in leiomyosarcomas (75–76%). In other series, the calponin positivity rate in leiomyosarcomas was 90% in conventional tumors, and lower in the pleomorphic type (approximately 71% in the fascicular areas and 57% in the pleomorphic areas),17 whereas in this study, leiomyosarcomas were more generally most reactive to transgelin. Miettinen et al’s data6 also exhibited high Se for calponin and caldesmon (82–100%) in 31 retroperitoneal and 11 uterine leiomyosarcomas, in comparison with another study of 30 leiomyosarcomas where h-caldesmon was found to be expressed in only 36% of cases and calponin in 86%.7 But retroperitoneal and uterine leiomyosarcomas are in general considered to be well- or moderately differentiated tumors,7 which might explain the higher h-caldesmon reactivity rate in Miettinen et al’s series.6 Desmin appears to be the least sensitive of all markers in this study, although its expression in leiomyosarcomas has been shown to be extremely variable in published series, ranging from 50 to almost 100% positivity.7, 18, 19, 20 More particularly, this study showed that transgelin is the most sensitive marker in leiomyosarcomas, emerging as a basic immunostain useful in the diagnosis of leiomyosarcomas, especially in those cases with incomplete immunophenotypes potentially not displaying labeling with actin, desmin, calponin or h-caldesmon. When smooth muscle actin is negative, calponin, desmin and h-caldesmon are also more likely to be negative, except for in GIST and rare cases of the so-called ‘inflammatory leiomyosarcomas’. The latter are known to show only focal expression of actin and/or h- caldesmon, yet significant reactivity for desmin.21, 22 Out of the five markers covered in this study, only h-caldesmon appears to be specific to true smooth muscle differentiation, confirming the results of previous studies.6, 7 Actin is nonspecific and is found in a subset of rhabdomyosarcomas,23, 24 and in one pleomorphic rhabdomyosarcoma in this study. There are also reports of rare actin expression in neurofibromas, melanocytic tumors, schwannomas or in malignant peripheral nerve sheath tumors.25 Similarly, other markers such as calponin and transgelin are observed not only in tumors of partial smooth muscle (myofibroblastic) lineage as discussed above, but also in non-myogenic tumors such as synovial sarcomas and dermatofibrosarcomas protuberans. One previous study with synovial sarcomas reports immunostaining reactivity rates that are similar to in our study, with 62% of monophasic-type tumors expressing calponin.6 A subsequent study investigating a series comprises full sections of both monophasic and biphasic synovial sarcomas found all tumors to be reactive to calponin.26 In particular, all monophasic tumors showed positivity. The authors suggested the use of that marker to distinguish poorly differentiated tumors from other small round cell tumors. Our own results, in agreement with previous reports,6 show less Se in tissue micro-array sections but nevertheless confirm that most synovial sarcomas are reactive to calponin. We were not able to confirm the rare desmin positivity that has been reported,27 although our results share similarities with the aforementioned study in that respect.6 The results obtained for h-caldesmon are similar to those of two other studies, which failed to demonstrate any reactivity in synovial sarcomas,6, 27 although a further study found four tumors to be weakly positive.26 As for dermatofibrosarcomas protuberans, this is the first report of positive transgelin immunostaining. Calponin reactivity has been noted previously26 with somewhat higher Se in whole sections than in this tissue micro-array study. A greater number of tumors would need to be studied to replicate these findings.
In summary, our results confirm that out of smooth muscle actin, desmin, h-caldesmon, calponin and transgelin, only h-caldesmon is specific to smooth muscle differentiation. Transgelin is absent in GIST and in particular results indicate that for any lesion suspected to be a leiomyosarcoma, an undifferentiated pleomorphic sarcoma, or a myxofibrosarcoma, this marker, although lacking Sp, can be used as an additional marker useful for decision making. This is especially of interest when confronted with a probable leiomyosarcoma with a potentially incomplete immunophenotype such as is likely to be the case in tumors of the limbs compared with the generally well-differentiated retroperitoneal lesions. What might be considered a bias in this study is the omission of lesions such as PEComas, myofibroblastic sarcomas, myoepitheliomas, or cutaneous undifferentiated pleomorphic sarcomas/atypical fibroxanthomas. Finally, although this is beyond the scope of this study, any new marker of myogenic differentiation should be studied not only in terms of diagnostic performance but also for prognostic potential.
References
Mastrangelo G, Coindre JM, Ducimetière F et al. Incidence of soft tissue sarcoma and beyond: a population-based prospective study in 3 European regions. Cancer 2012;118:5339–5348.
Fletcher CD, Gustafson P, Rydholm A et al. Clinicopathologic re-evaluation of 100 malignant fibrous histiocytomas: prognostic relevance of subclassification. J Clin Oncol 2001;19:3045–3050.
Deyrup AT, Haydon RC, Huo D et al. Myoid differentiation and prognosis in adult pleomorphic sarcomas of the extremity. Cancer 2003;98:805–813.
Cessna MH, Zhou H, Perkins SL et al. Are myogenin and myoD1 expression specific for rhabdomyosarcoma? A study of 150 cases, with emphasis on spindle cell mimics. Am J Surg Pathol 2001;25:1150–1157.
Folpe AL, Gown AM . Immunohistochemistry for analysis of soft tissue tumors In: Weiss SW, Goldblum JR, (eds). Enzinger and Weiss’s Soft Tissue Tumors 5th edn. Mosby Elsevier: Maryland Heights, MO, 2008, pp 129–174.
Miettinen MM, Sarlomo-Rikala M, Kovatich AJ et al. Calponin and h-caldesmon in soft tissue tumors: consistent h-caldesmon immunoreactivity in gastrointestinal stromal tumors indicates traits of smooth muscle differentiation. Mod Pathol 1999;12:756–762.
Hisaoka M, Wei-Qui s, Jian W et al. Specific but variable expression of h-caldesmon in leiomyosarcomas: an immunohistochemical reassessment of a novel myogenic marker. Appl Imm Mol Morph 2001;9:302.
Kempson RL, Fletcher CDM, Evans HL et al. Malignant smooth muscle tumors In: Kempson RL, Fletcher CDM, Evans HL, Hendrickson MR, Sibley RK, Atlas of Tumor Pathology: Tumors of the Soft Tissues. AFIP: Bethesda, MD, USA, 2001, pp. 246–254.
Heim-Hall J, Yohe SL . Immunohistochemistry of soft tissue neoplasms. Arch Pathol Lab Med 2008;132:476–489.
Assinder SJ, Stanton JA, Prasad PD . Transgelin: an actin-binding protein and tumor suppressor. Int J Biochem Cell Bio 2009;41:482–486.
Perot G, Derré J, Coindre JM et al. Strong smooth muscle differentiation is dependent on myocardin gene amplification in most human retroperitoneal leiomyosarcomas. Cancer Res 2009;69:2269–2278.
Trojani M, Contesso G, Coindre JM et al. Soft-tissue sarcomas of adults; study of pathological prognostic variables and definition of a histopathological grading system. Int J Cancer 1984;33:37–42.
Evans HL, Shipley J . Leiomyosarcoma In: Fletcher CD, Krishnan K, Mertens F, (eds). WHO Classification of Tumours; Pathology and Genetics: Tumors of Soft Tissue and Bone. IARC Press: Lyon, France, 2002, pp 131–134.
Montgomery EA, Meis JM . Nodular fasciitis: its morphologic spectrum and immunohistochemical profile. Am J Surg Pathol 1991;15:942–948.
El- Jabbour JN, Bennett MH, Burke MM et al. Proliferative myositis: an immunohistochemical and ultrastructural study. Am J Surg Pathol 1991;15:654–659.
Lundgren L, Kindblom LG, Willems J et al. Proliferative myositis and fascitis: a light and electron microscopic, cytologic, DNA cytometric and immunohistochemical study. APMIS 1992;100:437–448.
Oda Y, Miyajima K, Kawaguchi K et al. Pleomorphic leiomyosarcoma: clinicopathologic and immunohistochemical study with special emphasis on its distinction from ordinary leiomyosarcoma and malignant fibrous histiocytoma. Am J Surg Pathol 2001;25:1030–1038.
Schurch W, Skalli O, Seemayer TA et al. Intermediate filament proteins and actin isoforms as markers for soft tissue tumor differentiation and origin, I: smooth muscle tumors. Am J Pathol 1987;128:91–103.
Azumi N, Ben-Ezra J, Battifora H . Immunophenotypic diagnosis of leiomyosarcomas and rhabdomyosarcomas with monoclonal antibodies to muscle specific actin and desmin in formalin-fixed tissue. Mod Pathol 1988;1:469–474.
Swanson PE, Stanley MW, Scheithauer BW et al. Primary cutaneous leiomyosarcoma: a histologic and immunohistochemical study of 9 cases with ultrastructural correlations. J Cutan Pathol 1988;15:129–141.
Merchant W, Calonje E, Fletcher CD . Inflammatory leiomyosarcoma: a morphological subgroup within the heterogeneous family of so-called inflammatory malignant fibrous histiocytoma. Histopathology 1995;27:525–532.
Chang A, Schuetze SM, Conrad EU et al. So-called “inflammatory leiomyosarcoma”: a series of 3 cases providing additional insights into a rare entity. Int J Surg Pathol 2005;13:185–195.
Parham DM, Webber B, Holt H et al. Immunohistochemical study of childhood rhabdomyosarcomas and related neoplasms: results of an intergroup rhabdomyosarcoma study project. Cancer 1991;67:3072–3080.
Schürch W, Bochaton-Piallat ML, Geinoz A et al. All histological types of primary human rhabdomyosarcoma express alpha-cardiac and not alpha-skeletal actin messenger RNA. Am J Pathol 1994;144:836–846.
Dundr P, Povýsil C, Tvrdík D . Actin expression in neural crest cell-derived tumors including schwannomas, malignant peripheral nerve sheath tumors, neurofibromas and melanocytic tumors. Pathol Int 2009;59:86–90.
Fisher C, Montgomery E, Healy V . Calponin and h-caldesmon expression in synovial sarcoma; the use of calponin in diagnosis. Histopathology 2003;42:588–593.
Pelmus M, Guillou L, Hostein I et al. Monophasic fibrous and poorly differentiated synovial sarcoma. Immunohistochemical reassessment of 60 t(X;18)(SYT-SSX)-positive cases. Am J Surg Pathol 2002;26:1434–1440.
Acknowledgements
We are grateful to the following pathologists for contributing cases and paraffin blocks: A Carbonelle, Créteil; MC Chateau, Montpellier; B Chetaille, Marseille; F Collin, Dijon; L Guillou, Lausanne; A Leroux, Nancy; B Marques, Toulouse; JJ Michels, Caen; F Mishellany, Clermont-Ferrand; M Trassard, Saint-Cloud; I Valo, Angers; and to Pippa McKelvie-Sebileau for medical editorial assistance in English.
Author information
Authors and Affiliations
Corresponding author
Ethics declarations
Competing interests
The authors declare no conflict of interest.
Rights and permissions
About this article
Cite this article
Robin, YM., Penel, N., Pérot, G. et al. Transgelin is a novel marker of smooth muscle differentiation that improves diagnostic accuracy of leiomyosarcomas: a comparative immunohistochemical reappraisal of myogenic markers in 900 soft tissue tumors. Mod Pathol 26, 502–510 (2013). https://doi.org/10.1038/modpathol.2012.192
Received:
Revised:
Accepted:
Published:
Issue date:
DOI: https://doi.org/10.1038/modpathol.2012.192
Keywords
This article is cited by
-
Exclusive expression of KANK4 promotes myofibroblast mobility in keloid tissues
Scientific Reports (2024)
-
Leiomyoma and Leiomyosarcoma (Primary and Metastatic) of the Oral and Maxillofacial Region: A Clinicopathological and Immunohistochemical Study of 27 Cases
Head and Neck Pathology (2021)
-
The values of Transgelin, Stathmin, BCOR and Cyclin-D1 expression in differentiation between Uterine Leiomyosarcoma (ULMS) and Endometrial Stromal Sarcoma (ESS); diagnostic and prognostic implications
Surgical and Experimental Pathology (2020)
-
Profiling human breast epithelial cells using single cell RNA sequencing identifies cell diversity
Nature Communications (2018)
-
An Essential Role for TAGLN2 in Phagocytosis of Lipopolysaccharide-activated Macrophages
Scientific Reports (2017)







