Abstract
Clear cell papillary renal cell carcinoma is a recently recognized renal neoplasm, composed of cells with clear cytoplasm lining cystic, tubular, and papillary structures. These tumors have immunohistochemical and genetic profiles distinct from clear cell renal cell carcinoma and papillary renal cell carcinoma. We studied morphologic and immunohistochemical features (cytokeratin 7 (CK7), carbonic anhydrase IX (CAIX), CD10, alpha-methylacyl-CoA racemase, smooth muscle actin, desmin, estrogen and progesterone receptors) in 55 tumors from 34 patients, 8 of whom had end-stage renal disease. These tumors comprised 3% of all adult renal cell carcinoma resections over a period of 3 years. The patients’ ages ranged from 33 to 87 years (mean 61). Multiple tumors (2–8) were present in 9 patients. Other renal tumors were present concurrently in four patients and subsequently in two patients, including: oncocytoma, clear cell renal cell carcinoma, and multilocular cystic renal cell carcinoma. Sizes ranged from 0.2 to 7.5 (mean 2.0) cm; 87% were Fuhrman grade 2, and 96% were stage pT1a. Papillary architecture was usually limited to focal branching papillae (51% of 55 tumors) or small, blunt papillae (35%). Large areas of extensively branched papillae were present in only 14% of tumors. Almost all tumors (98%) included cysts, and 18 tumors were extensively (≥90%) cystic. Immunoprofile showed CK7+, AMACR−, CD10−, CAIX+ in the tubular and papillary components of all tumors; however, CD10 labeled the apical cell membrane of cyst epithelium in 59%. The stroma was focally actin positive (94%), with infrequent desmin expression (13%). Estrogen receptor and progesterone receptor were negative. During a median follow-up period of 56 months, no patient developed local recurrence, distant or lymph-node metastasis, or cancer death. Branched tubules, small papillae, and the immunohistochemical and molecular profiles aid in distinguishing these tumors from clear cell renal cell carcinoma and multilocular cystic renal cell carcinoma.
Similar content being viewed by others
Main
Clear cell papillary renal cell carcinoma is a recently recognized renal neoplasm, composed of an admixture of cystic, glandular, solid, and papillary components, all lined by cells with clear cytoplasm, usually of low nuclear grade. Despite some features overlapping with clear cell renal cell carcinoma and papillary renal cell carcinoma,1, 2 the light microscopic morphology, immunohistochemical, and molecular profiles are distinctive.2, 3, 4, 5, 6 Immunohistochemically, these tumors show positive reactivity for cytokeratin 7 (CK7) and carbonic anhydrase IX (CAIX), as well as negative reactions for alpha-methylacyl-CoA racemase (AMACR) and CD10.2 Molecular-genetic changes are distinct from those of clear cell and papillary renal cell carcinomas: Alterations of chromosome 3p and the VHL gene are lacking. Although low copy number gains of chromosomes 7 or 17 have been identified in a few tumors, most of these carcinomas do not possess these abnormalities.2, 3, 5, 7, 8, 9 A unique characteristic genetic alteration, however, has not yet been identified. Originally discovered in a background of end-stage renal disease and acquired cystic kidney disease,1 these tumors have since been found in otherwise normal kidneys.2, 4 In our surgical pathology practice, we have encountered examples in which the papillary component is relatively inconspicuous, a cystic component predominates, or a prominent solid or dense tubular component may lead to a challenging differential diagnosis with other renal neoplasms.10 To better understand the incidence of clear cell papillary renal cell carcinoma and to elucidate the spectrum of morphologic findings and frequency of the papillary, cystic, and solid components, we studied the light microscopic and immunohistochemical characteristics of 55 tumors from 34 patients.
Materials and methods
Pathology and Light Microscopy
Over the years 2004–2006, 469 kidney resections (partial or radical nephrectomy) for renal cell carcinoma were performed on adults at Indiana University Health: University, Methodist, and North Hospitals. Of these, the original diagnoses included: clear cell renal cell carcinoma (341 tumors); papillary renal cell carcinoma (72 tumors); chromophobe renal cell carcinoma (28 tumors); renal cell carcinoma, unclassified (17 tumors); high-grade or sarcomatoid renal cell carcinoma, not further classified (9 tumors); renal cell carcinoma associated with Xp11.2 translocation (1 tumor); and mucinous tubular and spindle cell carcinoma (1 tumor). Tumors with an original diagnosis of clear cell renal cell carcinoma or papillary renal cell carcinoma were retrieved from the surgical pathology archives and reviewed. Seven tumors originally diagnosed as either multilocular cystic renal cell carcinoma or clear cell renal cell carcinoma with ‘multicystic’ growth pattern were also retrieved and reviewed as a subcategory of clear cell renal cell carcinoma.
Hematoxylin and eosin-stained slides were reviewed for morphologic features of clear cell papillary renal cell carcinoma, as previously described.1, 2, 4 Briefly, these features included: macrocystic or microcystic areas, with branching and folded fibrovascular structures protruding into the cystic spaces, and areas of acinar or larger glandular structures, all lined by small to medium-sized cuboidal or columnar cells with variably abundant clear cytoplasm.1, 2, 4 Additional in-house and consultation cases of clear cell papillary renal cell carcinoma from outside this 3-year period were also studied.
Tumors were assessed for size, laterality, multifocality, Fuhrman nuclear grade, pathologic stage, presence of associated end-stage renal disease or acquired cystic kidney disease, papillary architecture, branched tubular structures, ‘secretory’ cells with nuclei aligned at the apical end of the cells, gross or microscopic cystic components, thickness of fibrovascular septa, character of the stromal compartment, presence of tumor pseudocapsule, solid and alveolar growth, ossification, and other calcification. Medical records were reviewed for clinical follow-up information. A metachronous tumor developing in the ipsilateral kidney after partial nephrectomy was not considered to represent recurrence unless it occurred in close proximity to the previous resection site.
Immunohistochemistry
At least one representative paraffin block from the dominant tumor in each patient was analyzed with a panel of immunohistochemical stains. Antibodies directed against CK7 (monoclonal mouse antihuman CK7 antibody, OV-TL 12/30, prediluted; DAKO Corp), AMACR/P504S (monoclonal rabbit antihuman antibody, 13H4 clone, 1:80 dilution; DAKO Corp), CD10 (monoclonal mouse antihuman antibody, 56C6 clone, prediluted; DAKO Corp), CAIX (polyclonal rabbit antihuman CAIX antibody, 1:400 dilution; Abcam Inc.), smooth muscle actin (monoclonal mouse antihuman antibody, 1A4 clone, prediluted; DAKO Corp), desmin (monoclonal mouse antihuman, D33 clone, prediluted; DAKO Corp), estrogen receptor (monoclonal rabbit antihuman, SP1 clone, prediluted; DAKO Corp), and progesterone receptor (monoclonal mouse antihuman, PgR 636 clone, prediluted; DAKO Corp) were utilized in a Dako automated instrument. Positive and negative controls gave appropriate results for each procedure.
The extent of immunohistochemical staining was evaluated microscopically. Labeling for CK7, AMACR, CD10, and CAIX was considered as diffusely positive if strong staining was present in a substantial majority of tumor cells (>75%), including solid, acinar, papillary, and cystic areas. Other patterns of positive staining below this threshold were noted and documented descriptively. Strong labeling at least focally in stromal spindle-shaped cells for smooth muscle actin or desmin was considered as positive, and staining of the tumor pseudocapsule or adjacent large blood vessels with these markers was documented separately. The number of tumor cell nuclei staining positively for estrogen and progesterone receptors was visually estimated from 0 to 100%.
Results
Patients and Tumors
We identified 55 tumors in 34 patients, who ranged in age from 33 to 87 years (mean 61, median 62). Of the 35 separate surgical procedures, partial nephrectomy was performed in 21 and radical nephrectomy was performed in 14. Patient and tumor characteristics are summarized in Table 1. Nineteen were men and fifteen were women (M:F 1.3:1). Tumors ranged in size from 0.2 to 7.5 cm (mean 2.0, median 1.8 cm), although the dominant tumor was not smaller than 1.0 cm for any patient. A Fuhrman nuclear grade of 2 was observed in the vast majority of tumors (48), followed by grades 1 (6 tumors) and 3 (1 tumor). The pathologic stage was predominantly pT1a (53 tumors), followed by pT1b (1 tumor) and pT2 (1 tumor). All tumors were confined to the kidney, without invasion of the renal vein or renal sinus. Six patients were classified as having acquired cystic kidney disease and two were classified as having end-stage renal disease without acquired cystic kidney disease.
Fourteen of the tumors were retrieved from retrospective review of the 2004–2006 surgical pathology archives, comprising 3% of renal cell carcinomas resected during the 3-year period. Of these, 10 had an original diagnosis of clear cell renal cell carcinoma (3 noted in the report to have a prominent cystic component). The others were originally diagnosed as multilocular cystic renal cell carcinoma (three tumors) and papillary renal cell carcinoma (one tumor). In addition, 21 recent in-house and consultation cases of clear cell papillary renal cell carcinoma were included in the study.
Clear cell papillary renal cell carcinoma was multifocal in nine patients. Of these, most had two tumors (six patients), though other resections included eight ipsilateral tumors (one patient), six bilateral tumors (one patient), and three ipsilateral tumors (one patient). Characteristics of the patients’ synchronous and metachronous renal tumors are summarized in Table 2. Synchronous renal tumors of other histologic subtypes were identified in the same kidney for four patients, including clear cell renal cell carcinoma (two patients), multilocular cystic renal cell carcinoma (one patient), and renal oncocytoma (one patient). Papillary adenomas were present in five patients (three of whom had end-stage renal disease or acquired cystic kidney disease). Oncocytosis was not identified in the non-neoplastic renal parenchyma for any patient. Three patients developed additional renal tumors after the original resection. Of these, one (who had a single renal oncocytoma at the time of resection) later underwent surgery for two additional oncocytomas of the contralateral kidney 3 months later. Another patient developed two foci of clear cell renal cell carcinoma in the contralateral kidney 5 years later. One patient with a single focus of clear cell papillary renal cell carcinoma developed two additional clear cell papillary renal cell carcinomas of the ipsilateral kidney 3 years later.
Follow-up information of greater than 12 months duration was available for 18 patients (mean 54 months, median 56 months). Of these, 12 patients were alive without evidence of disease at most recent follow-up (Table 1). One patient died of interstitial lung disease at 25 months. Two patients at the time of most recent follow-up were known to have renal masses, one contralateral and one bilateral, although neither had yet obtained a tissue diagnosis. Both were noted to be unchanged in size compared with the previous imaging study. Another patient had no evidence of disease, but was undergoing surveillance for renal cysts 82 months after original resection. One patient had no evidence of metastatic renal cell carcinoma, but was diagnosed with colon cancer and associated liver metastases at 17 months. Patient 12 who had undergone two previous resections for clear cell papillary renal cell carcinoma was undergoing surveillance for a contralateral renal mass at most recent follow-up, 66 months after his first resection. None of the studied patients had local recurrence, distant or lymph-node metastasis, or cancer death. Although some patients had multifocal or metachronous tumors, none were considered clinically or pathologically to represent recurrence of an incompletely resected tumor.
Pathologic Features
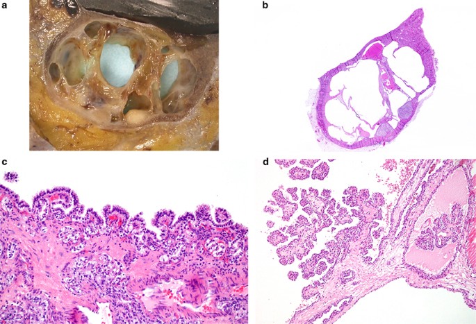
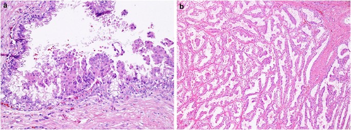
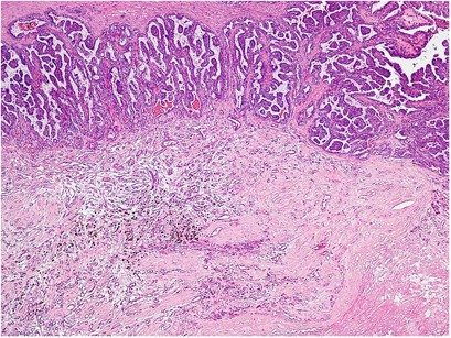
Gross photographs of 13 tumors were available for review. At the gross level, the tumors were variably cystic (Table 1), some with a multilocular cystic appearance and focally small solid nodules within the tumor septa or at the junction with the renal parenchyma (Figures 1a and b). Other tumors showed a partially solid white-tan, pale yellow or red-brown, congested cut surface. In tumors with a significant solid component, the cysts were often arranged at the periphery of the solid areas, with a distinctive angulated, flattened, or irregular contour of the cysts. Grossly evident areas of necrosis or venous or renal sinus invasion were not present in any tumor. Although solid areas were often white-tan to pale yellow, none of the available gross photographs revealed the characteristic bright yellow, fleshy, and heterogeneous cut surface that is typical of clear cell renal cell carcinoma. Microscopically, papillary architecture was present at least focally in all tumors. However, 19 tumors (35%) included only rare, blunt or rounded, minute papillae (Figure 1c). Twenty-eight tumors (51%) showed foci of more prominent branching papillae and eight (14%) showed a majority of papillary architecture or large areas ( × 10 magnification fields) composed entirely of branched papillae. In 29% of tumors, the papillary structures showed a distinctive architectural pattern, composed of a thick, rounded, main papillary core with a hypocellular fibrovascular stroma, giving rise to multiple smaller similar-appearing rounded secondary papillae (Figure 1d). Other tumors showed a pattern of ‘glomeruloid’ papillae (Figures 2a and b), with small, blunt papillary structures protruding into small glandular spaces rather than large cysts. One tumor showed patchy areas with eosinophilic cytoplasm, corresponding to the only areas of Fuhrman nuclear grade 3 in any of the lesions (Figure 3a). Neither foamy macrophages within papillae nor psammoma bodies were present in any tumor.
(a) Gross appearance of a multilocular cystic tumor with focal rounded, solid nodules at the periphery of the lesion. (b) Low magnification appearance of the same tumor, confirming the presence of mixed solid and cystic components. (c) A predominantly cystic tumor with only minute, rounded/blunt papillae protruding into the cystic spaces. (d) Another tumor with characteristic branching papillae showing thick, rounded papillary cores with hypocellular fibrovascular stroma, giving rise to smaller rounded, secondary papillae.
The majority of tumors (47) showed areas of branched or stellate tubular structures, similar in shape to benign prostatic acini (Figure 3b), showing a ‘garland’ or ribbon-like layering configuration around hyalinized or fibrous zones (Figure 4) in 5 tumors (9%). Branched tubular structures were lacking only in eight tumors that were >75% cystic, differentiated from multilocular cystic renal cell carcinoma on the basis of variably prominent papillae and other solid tumor nodules. The majority of tumors (82%) showed at least focal areas of a dense, compact arrangement of tubular structures, similar to or indistinguishable from those of clear cell renal cell carcinoma (Figure 5a). Twenty-four tumors (44%) showed at least the focal presence of cells with nuclei aligned at the apical end of the cells, similar in appearance to early secretory phase endometrium, or ‘secretory cells’1 (Figure 5b).
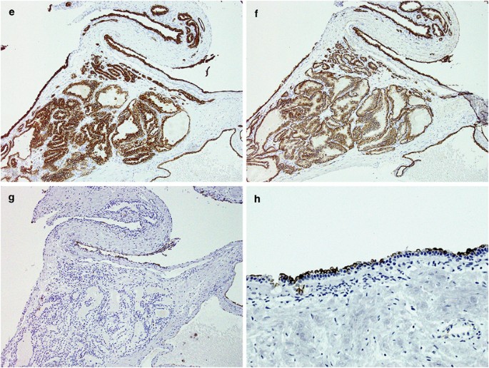
(a) Areas of compact and acinar growth, histologically indistinguishable from clear cell renal cell carcinoma. (b) ‘Secretory’ cells, with nuclei aligned above the basement membrane, similar to the subnuclear vacuoles of early secretory pattern endometrium. (c) Peripherally located cysts at the interface between the compact and acinar areas of the tumor and the uninvolved renal parenchyma. (d) Focal solid nodules, composed of branched acinar structures in an extensively cystic tumor, showing diffuse positivity for cytokeratin 7 (e) and carbonic anhydrase IX (F). Staining for CD10 (g) is limited to the cystic component, showing (h) positive apical membranous staining in the lining cells only.
Almost all of the tumors (98%) included a cystic component, usually comprising greater than half of the tumor volume (median cystic component comprising 75%), though a minority of tumors showed only small microcystic structures (Table 1). In tumors with a significant solid component, the cysts were often arranged at the periphery of the lesion (Figure 5c). Some tumors showed a predominantly cystic architecture, mimicking multilocular cystic renal cell carcinoma, with only focal rounded papillae protruding into the cystic spaces or small solid nodules composed of branched ducts (Figure 5d). In some tumors, the solid nodules were within the septa and in others at the outer edge of the tumor, adjacent to the renal parenchyma. All tumors were at least partially pseudo-encapsulated, with typically a fibrous capsule. Ten tumors showed calcification, of which four showed ossification. A few areas of ossification included fatty bone marrow.
Thick bands of fibrous tissue often circumscribed the solid or acinar tumor nodules and cystic areas. Within the areas of relatively densely packed tubular or acinar structures (reminiscent of clear cell renal cell carcinoma), an increased thickness of fibrous tissue could often be appreciated, creating a widely spaced arrangement of acini or tubules. This fibrous tissue was most often composed of thin, bland, fusiform nuclei, embedded in a background of fibrous or collagenous tissue containing occasional small blood vessels. In contrast, the fine capillary vascular network that often surrounds the nests of clear cells in clear cell renal cell carcinoma was usually limited to a minority of the tumor, composed of more densely packed acini. In a few tumors, the stroma was edematous, while others showed degenerative changes, with a hypocellular homogeneous eosinophilic background containing hemosiderin or extravasated erythrocytes and rare fibroblastic cells. The stroma in six tumors showed features of smooth muscle differentiation by light microscopy (18%), and these areas were subsequently analyzed for expression of smooth muscle-specific actin and desmin (see Immunohistochemistry). No tumor showed necrosis or any sarcomatoid component.
Immunohistochemistry
All 34 tumors studied with immunohistochemistry showed strong and uniform positive reactions (>75% of cells) for CK7 (Figure 5e) and CAIX (Figure 5f) in the neoplastic cells. All of the tumors were entirely negative for AMACR, with one exception: a single tumor showing weak, granular cytoplasmic staining. CD10 was negative in the papillary and compact or acinar areas of the tumors; however, in 20 tumors (59%), the cysts showed areas of patchy luminal membranous labeling for CD10 (Figures 5g and h). Tissue blocks or a sufficient quantity of unstained slides (for consultation cases) were available to perform smooth muscle-specific actin and desmin stains in 31 and 30 tumors, respectively. Of these, 29 (94%) showed patchy areas of smooth muscle-specific actin expression within the stromal compartment, ranging from focal to diffuse. Two tumors showed smooth muscle actin expression that was present only within the tumor pseudocapsule and associated large blood vessels. Four tumors showed patchy staining for desmin within the stroma and nine showed staining of the tumor pseudocapsule or vessels. Only a single tumor showed co-expression of smooth muscle-specific actin and desmin in combination with light microscopic features of smooth muscle differentiation (plump, eosinophilic cells with fibrillary cytoplasm). Stains for estrogen and progesterone receptors were performed in 29 tumors with available tissue material, all of which were negative in both the epithelial and stromal cells. Immunohistochemical staining results are detailed in Table 3.
Discussion
Clear cell papillary renal cell carcinoma is a neoplasm composed of variable mixtures of cystic, branched tubular, and papillary components. To better establish the incidence of clear cell papillary renal cell carcinoma in kidneys resected for renal cell carcinoma, we reviewed 341 tumors diagnosed as clear cell renal cell carcinoma (including multilocular cystic renal cell carcinoma) and 72 tumors diagnosed as papillary renal cell carcinoma from the surgical pathology archives of Indiana University Health: University, Methodist, and North Hospitals. In all, 14 clear cell papillary renal cell carcinomas were identified from 469 renal cell carcinoma resections (3%) that were performed from 2004 to 2006, indicating that this tumor is not rare. The majority of tumors reclassified as clear cell papillary renal cell carcinoma were originally diagnosed as clear cell renal cell carcinoma (10), reinforcing the notion that there can be substantial morphologic overlap between these entities. Only a single tumor with an original diagnosis of papillary renal cell carcinoma was reclassified, and three were originally interpreted as multilocular cystic renal cell carcinomas.
Although these neoplasms are partly named for the characteristic prominent branched papillary component,1 we found that a significant fraction of tumors (35%) included only small, blunt papillae, often in the setting of an extensively cystic tumor. Only a minority of tumors had large areas composed of extensively branched papillae (14%), corroborating the findings of Aydin et al.4, who emphasized the branched tubular pattern as the most characteristic diagnostic feature. Likewise, we found the branched tubular structures to be present nearly uniformly in all tumors, absent only in tumors that were nearly entirely cystic. Along these lines, only a single tumor in our study was retrieved from the archives with an original diagnosis of papillary renal cell carcinoma. Occasional tumors showed ‘glomeruloid’ papillae, composed of small, blunt, rounded fibrovascular cores that protruded into small spaces rather than larger cysts.
Papillary renal cell carcinoma is less commonly a consideration in the differential diagnosis of clear cell papillary renal cell carcinoma, although clear cell papillary renal cell carcinomas with florid papillary architecture do occur (14% in this study). Areas of cytoplasmic clearing are sometimes present in papillary carcinoma,11, 12, 13, 14 creating some overlap between these two entities. In particular, 29% of tumors in this study showed a distinctive pattern of branching papillae composed of a main bulbous, rounded core with prominent fibrovascular stroma, giving rise to multiple smaller, ‘budding’ papillae, in contrast to the typical, more uniform branching pattern of long delicate papillae typical of papillary renal cell carcinoma. As a useful discriminatory feature, we found all of the tumors in our study to lack foamy macrophages within the papillary cores, including these areas of widened, rounded papillary structures.
Clear cell papillary renal cell carcinomas sometimes contain foci of calcification or ossification, frequently within the tumor pseudocapsule, but lack the round, concentrically layered, psammoma bodies commonly found in papillary carcinoma. At the genetic level, papillary carcinoma very frequently demonstrates gains of chromosomes 7 and 17, sometimes with loss of the Y chromosome in men.11, 14, 15 Clear cell papillary renal cell carcinoma has been found to have gains of chromosome 7 or 17 in a small number of tumors.2, 4, 8 The majority, however, have not possessed this abnormality,2, 3, 4, 5 and only a single tumor with gain of both chromosomes 7 and 17 has been reported.4 Trisomy of chromosome 7 is known to be a relatively non-specific finding, seen in a variety of neoplasms and some benign conditions.8, 15
A prominent cystic component is often appreciable even at the gross level. We found the cysts to be preferentially located at the periphery of the tumors, particularly at the interface between solid or compact areas of acinar architecture and the adjacent non-neoplastic renal parenchyma. A subset of our tumors was extensively cystic and a differential diagnosis with multilocular cystic renal cell carcinoma could reasonably have been entertained. In these tumors, careful examination of multiple histologic sections revealed the focal presence of minute papillary structures protruding into the cysts or small solid tumor nodules composed of branched glandular structures within the septa.
Multilocular cystic renal cell carcinoma is characterized by small aggregates of individual clear cells within the fibrous septa (sometimes resembling macrophages or lymphocytes surrounded by retraction artifacts), in contrast to the solid nests or tumor nodules composed of branched tubular architecture in clear cell papillary renal cell carcinoma. At the immunohistochemical level, both clear cell papillary renal cell carcinoma and multilocular cystic renal cell carcinoma show positive reactions for both CK7 and CAIX.16 Yet, despite the morphologic and immunohistochemical similarity of the two lesions, multilocular cystic renal cell carcinoma has been found to have deletion of regions of chromosome 3p by fluorescence in situ hybridization (FISH), comparable in frequency to clear cell renal cell carcinoma.10 Mutations of the VHL (von Hippel-Lindau) gene have also been detected in multilocular cystic renal cell carcinoma.17 In contrast, clear cell papillary renal cell carcinoma has been found to lack both of these abnormalities,2, 5, 7, 8 lending further support to the distinction between the two lesions.
Another differential diagnostic consideration for a tumor composed of compact and acinar arrangements of clear cells with a prominent cystic component is cystic clear cell renal cell carcinoma.18 Complicating this differential diagnosis, clear cell papillary renal cell carcinoma also frequently exhibits areas of compact acinar architecture (82% of tumors in this study). In a needle biopsy specimen, it may be difficult to distinguish these tumors from clear cell renal cell carcinoma unless characteristic areas of branched tubular architecture or papillary structures are present. Typical clear cell renal cell carcinoma may have pseudopapillary architecture, thought to originate via non-cohesive tumor growth with survival of tumor cells adjacent to blood vessels and loss or sloughing of tumor cells more distant from vessels.11 However, these features are most often seen in tumors of higher nuclear grade, which helps to differentiate them from clear cell papillary renal cell carcinoma, which almost always is Fuhrman nuclear grade 1 or 2. Pseudopapillary areas in clear cell carcinoma are most often present within areas of compact architecture, as opposed to papillary structures protruding into the well-formed cystic spaces of clear cell papillary renal cell carcinoma. The typical immunohistochemical profile of positive reactions for CD10 and CAIX and negative reactions for CK7 in clear cell renal cell carcinoma combined with the presence of chromosome 3p abnormalities or VHL gene mutation can likewise be of utility in resolving this differential diagnosis.11 We also noted that, although a non-specific finding, the majority of tumors in this study showed focally or diffusely an increased thickness of the stromal septa intervening between acini, as opposed to the delicate vascular network of clear cell carcinoma. Although clear cell papillary renal cell carcinomas sometimes contain small pools of erythrocytes within cysts, a prominent or expansive alveolar growth pattern with abundant hemorrhage is uncommon.
Other morphologic features included foci of tumor calcification in 10 tumors and foci of ossification in 4 tumors. In five tumors (9%), there was a ‘garland-like’ pattern (Figure 4), composed of ribbons of branched tubular structures around a hyalinized, sclerotic zone. A single tumor (the largest in the series, at 7.5 cm) showed the focal presence of eosinophilic cytoplasm in association with Fuhrman nuclear grade 3 features. However, the majority of the lesion exhibited characteristic microscopic and immunohistochemical features of clear cell papillary renal cell carcinoma and Fuhrman nuclear grade 2. Though these neoplasms have thus far been described to be of low nuclear grade (Fuhrman 1-2),1, 2, 4 our findings suggest that the appearance of focal prominent nucleoli visible at × 10 magnification does not preclude the diagnosis of clear cell papillary renal cell carcinoma.
In this study, we also investigated the multifocality of clear cell papillary renal cell carcinoma, including the spectrum of synchronous and metachronous renal neoplasms that developed in these patients. Very small tumors with similar morphologic features (<0.5 cm) were seen in some patients with multifocal clear cell papillary renal cell carcinoma. Other histologic subtypes of renal neoplasms included clear cell renal cell carcinoma, multilocular cystic renal cell carcinoma, and renal oncocytoma. Papillary adenomas were present in five patients, including three with end-stage renal disease. One patient underwent resection of a single focus of clear cell papillary renal cell carcinoma, followed by subsequent resection of two additional foci in the same kidney 3 years later.
The majority of patients (76%) in our study did not have end-stage renal disease or acquired cystic kidney disease. However, multifocal clear cell papillary renal cell carcinoma was present in five of the six patients who did have acquired cystic kidney disease, supporting the association of clear cell papillary renal cell carcinoma with this clinical setting.1 In a recent study of renal cell carcinoma in end-stage renal disease,7 genomic profiling discriminated clear cell papillary renal cell carcinoma, papillary renal cell carcinoma, and acquired cystic kidney disease-associated renal cell carcinoma as a group from clear cell carcinoma. However, the former three lesions were unable to be separated from each other on the basis of their molecular profiles,7 supporting a particular pathogenetic mechanism that leads to tumor development in end-stage renal disease patients.
The occurrence of clear cell papillary renal cell carcinoma in von Hippel-Lindau disease patients suggests some overlap in the pathogenesis of the two lesions. Rohan et al.5 examined expression of markers in the hypoxia-inducible factor (HIF) pathway, downstream of VHL and characteristically upregulated in clear cell carcinoma, by immunohistochemistry. The authors found co-expression of HIF-1α, GLUT-1, and CAIX, in the absence of VHL gene abnormalities, suggesting upregulation of the HIF pathway by mechanisms independent of VHL gene mutation.5 Interestingly, in a recent meta-analysis of multiple clear cell renal cell carcinoma gene expression databases, Brannon et al.19 identified a small subgroup of tumors with wild-type VHL gene signatures and underexpression of hypoxia and angiogenesis-related gene sets. The tumors in this group often were reported to have variant histologic features, such as papillary architecture lined by cells with clear cytoplasm, suggesting that a significant number of these are clear cell papillary renal cell carcinomas.20 Going beyond analysis of chromosome 3p and the VHL gene, a distinctive and consistent molecular-genetic alteration for clear cell papillary renal cell carcinoma has not been identified.2, 3, 5, 7, 8 The comparative genomic hybridization study of Adam et al.3 revealed no genomic imbalance in seven tumors tested,3 while other scattered reports have shown abnormalities at various chromosomal loci, including trisomies 10 and 12,8 monosomies 16, 17, 20,9 and gains at 5p, 5q, 7pq, 12pq, and 16pq,7 by various methods. In the study of Brannon et al.19, gene sets that were overexpressed in the small subgroup of tumors with wild-type VHL gene signatures included those related to mitochondrial metabolism and estrogen-related receptor alpha (ESRRα).
In accord with previous studies,2, 4 we found all tumors to exhibit co-expression of CK7 and CAIX at the immunohistochemical level, coupled with negative reactions for AMACR. In contrast to the findings of other authors,2, 3, 4, 5 we found a subset of tumors to show apical membranous positivity for CD10 in a patchy distribution throughout the cystic component, often within the cysts arranged at the periphery of the lesion. Other components, including acinar, branched tubular and papillary structures were uniformly negative for CD10.
Antibody to smooth muscle-specific actin frequently highlighted scattered spindle-shaped cells within the tumor stroma; however, the majority of tumors did not show stromal desmin expression, suggesting that a significant component of true smooth muscle is not present, in contrast to the tumors recently described as ‘renal cell carcinoma with angioleiomyoma-like proliferation,’ or ‘clear cell renal cell carcinoma with smooth muscle stroma.’21, 22 As another point of differentiation, losses of chromosome 3 and 3p have been demonstrated in at least a subset of these tumors.22 Michal et al.23 similarly reported the ‘renal angiomyoadenomatous tumor,’ which has subsequently been studied by other authors.24, 25, 26, 27, 28, 29 Although a link to clear cell papillary renal cell carcinoma has been proposed,29 the relationship of these entities remains uncertain.4, 24 At least some of these lesions have demonstrated abnormalities of chromosomes 3 and the VHL gene, in addition to chromosomes 1, 11, and 16.22, 25, 26, 28 In our series, stromal cells with expression of smooth muscle actin and absence of desmin co-expression likely represent a myofibroblastic population rather than a true smooth muscle component. Light microscopic features of smooth muscle differentiation in the stroma in conjunction with smooth muscle actin and desmin co-expression were observed in only a single tumor. A small number of tumors showed a component of smooth muscle at the tumor pseudocapsule.
As clear cell papillary renal cell carcinoma has only recently been described, the malignant potential of these tumors has not been established. They generally present at low stage and have a low nuclear grade. Aggressive behavior and metastasis have not been reported, suggesting that these lesions pursue at worst an indolent clinical course with low malignant potential. In contrast, clear cell renal cell carcinoma, the most likely histopathologic mimic, is malignant and sometimes unpredictable including the occasional occurrence of late metastases.30 In keeping with these findings, none of our patients developed metastatic renal cell carcinoma, although several patients had multifocal tumors or metachronous renal tumors, including other histologic subtypes (Table 2).
In summary, we studied 55 clear cell papillary renal cell carcinomas from 34 patients. We found that they are not rare and comprise ∼3% of renal cell carcinomas in adults. These tumors are most likely to be confused with clear cell renal cell carcinoma, due to the clear cytoplasm and areas showing compact and acinar growth. However, the presence of small papillary structures protruding into cystic spaces and prominent branched tubules may trigger recognition of these tumors as distinct from clear cell renal cell carcinoma. Multifocality is not unusual, particularly in acquired cystic kidney disease. Despite the name, papillary architecture is not always a prominent feature. Most tumors are cystic, occasionally resembling multilocular cystic renal cell carcinoma. The presence of small, rounded papillae, or solid tumor nodules should alert the pathologist to consider the diagnosis of clear cell papillary renal cell carcinoma in an extensively cystic tumor. The characteristic immunoprofile (CK7+, CAIX+, AMACR−, CD10−) is helpful in discriminating these tumors from clear cell and papillary renal cell carcinomas. In contrast to previous studies, we found reproducible positivity for CD10 in the cysts of many tumors. We found a myofibroblastic stromal population in many tumors, although a true smooth muscle stromal component is absent in most tumors. Molecular-genetic techniques are also helpful diagnostic tools, as these tumors lack abnormalities of chromosome 3p or the VHL gene. Despite the distinct immunohistochemical and molecular profiles, a molecular-genetic alteration characteristic for or unique to these tumors has not yet been identified. Their true malignant potential has yet to be ascertained. In the tumors reported thus far, including our patients, surgical excision has appeared to be curative.
References
Tickoo SK, dePeralta-Venturina MN, Harik LR et al Spectrum of epithelial neoplasms in end-stage renal disease: an experience from 66 tumor-bearing kidneys with emphasis on histologic patterns distinct from those in sporadic adult renal neoplasia. Am J Surg Pathol 2006;30:141–153.
Gobbo S, Eble JN, Grignon DJ et al Clear cell papillary renal cell carcinoma: a distinct histopathologic and molecular genetic entity. Am J Surg Pathol 2008;32:1239–1245.
Adam J, Couturier J, Molinie V et al Clear-cell papillary renal cell carcinoma: 24 cases of a distinct low-grade renal tumour and a comparative genomic hybridization array study of seven cases. Histopathology 2011;58:1064–1071.
Aydin H, Chen L, Cheng L et al Clear cell tubulopapillary renal cell carcinoma: a study of 36 distinctive low-grade epithelial tumors of the kidney. Am J Surg Pathol 2010;34:1608–1621.
Rohan SM, Xiao Y, Liang Y et al Clear-cell papillary renal cell carcinoma: molecular and immunohistochemical analysis with emphasis on the von Hippel-Lindau gene and hypoxia-inducible factor pathway-related proteins. Mod Pathol 2011;24:1207–1220.
Bhatnagar R, Alexiev BA. . Renal-cell carcinomas in end-stage kidneys: a clinicopathological study with emphasis on clear-cell papillary renal-cell carcinoma and acquired cystic kidney disease-associated carcinoma. Int J Surg Pathol 2012;20:19–28.
Inoue T, Matsuura K, Yoshimoto T et al Genomic profiling of renal cell carcinoma in patients with end-stage renal disease. Cancer Sci 2012;103:569–576.
Wolfe A, Dobin SM, Grossmann P et al Clonal trisomies 7,10 and 12, normal 3p and absence of VHL gene mutation in a clear cell tubulopapillary carcinoma of the kidney. Virchows Arch 2011;459:457–463.
Kuroda N, Shiotsu T, Kawada C et al Clear cell papillary renal cell carcinoma and clear cell renal cell carcinoma arising in acquired cystic disease of the kidney: an immunohistochemical and genetic study. Ann Diagn Pathol 2011;15:282–285.
Halat S, Eble JN, Grignon DJ et al Multilocular cystic renal cell carcinoma is a subtype of clear cell renal cell carcinoma. Mod Pathol 2010;23:931–936.
Gobbo S, Eble JN, Maclennan GT et al Renal cell carcinomas with papillary architecture and clear cell components: the utility of immunohistochemical and cytogenetical analyses in differential diagnosis. Am J Surg Pathol 2008;32:1780–1786.
Mai KT, Faraji H, Desantis D et al Renal cell carcinoma with mixed features of papillary and clear cell cytomorphology: a fluorescent in situ hybridization study. Virchows Arch 2010;456:77–84.
Klatte T, Said JW, Seligson DB et al Pathological, immunohistochemical and cytogenetic features of papillary renal cell carcinoma with clear cell features. J Urol 2011;185:30–35.
Haudebourg J, Hoch B, Fabas T et al Strength of molecular cytogenetic analyses for adjusting the diagnosis of renal cell carcinomas with both clear cells and papillary features: a study of three cases. Virchows Arch 2010;457:397–404.
Cheng L, Williamson SR, Zhang S et al Understanding the molecular genetics of renal cell neoplasia: implications for diagnosis, prognosis and therapy. Expert Rev Anticancer Ther 2010;10:843–864.
Williamson SR, Halat S, Eble JN et al Multilocular cystic renal cell carcinoma: similarities and differences in immunoprofile compared with clear cell renal cell carcinoma. Am J Surg Pathol 2012;36:1425–1433.
von Teichman A, Comperat E, Behnke S et al VHL mutations and dysregulation of pVHL- and PTEN-controlled pathways in multilocular cystic renal cell carcinoma. Mod Pathol 2011;24:571–578.
Reuter VE, Tickoo SK. . Differential diagnosis of renal tumours with clear cell histology. Pathology 2010;42:374–383.
Brannon AR, Haake SM, Hacker KE et al Meta-analysis of clear cell renal cell carcinoma gene expression defines a variant subgroup and identifies gender influences on tumor biology. Eur Urol 2012;61:258–268.
Williamson SR, Eble JN, Cheng L et al Re: A. Rose Brannon, Scott M. Haake, Kathryn E. Hacker, et al. Meta-analysis of clear cell renal cell carcinoma gene expression defines a variant subgroup and identifies gender influences on tumor biology. Eur Urol 2012;61:258–268. Eur Urol 2012;62:e81–e82.
Kuhn E, De Anda J, Manoni S et al Renal cell carcinoma associated with prominent angioleiomyoma-like proliferation: report of 5 cases and review of the literature. Am J Surg Pathol 2006;30:1372–1381.
Shannon BA, Cohen RJ, Segal A et al Clear cell renal cell carcinoma with smooth muscle stroma. Hum Pathol 2009;40:425–429.
Michal M, Hes O, Havlicek F. . Benign renal angiomyoadenomatous tumor: a previously unreported renal tumor. Ann Diagn Pathol 2000;4:311–315.
Michal M, Hes O, Kuroda N et al Difference between RAT and clear cell papillary renal cell carcinoma/clear renal cell carcinoma. Virchows Arch 2009;454:719.
Kuroda N, Hosokawa T, Michal M et al Clear cell renal cell carcinoma with focal renal angiomyoadenomatous tumor-like area. Ann Diagn Pathol 2011;15:202–206.
Kuroda N, Michal M, Hes O et al Renal angiomyoadenomatous tumor: fluorescence in situ hybridization. Pathol Int 2009;59:689–691.
Michal M, Hes O, Nemcova J et al Renal angiomyoadenomatous tumor: morphologic, immunohistochemical, and molecular genetic study of a distinct entity. Virchows Arch 2009;454:89–99.
Petersson F, Yan B, Huang J et al Low-grade renal carcinoma with histologic features overlapping with renal angiomyoadenomatous tumor and featuring polysomy 7 and 17 and a mutation in the von Hippel-Lindau gene: report of a hybrid tumor and a few comments on renal angiomyoadenomatous tumor and papillary renal tumors with clear cells. Ann Diagn Pathol 2011;15:213–216.
Verine J. . Renal angiomyoadenomatous tumor: morphologic, immunohistochemical, and molecular genetic study of a distinct entity. Virchows Arch 2009;454:479–480.
Grignon DJ, Eble JN, Bonsib SM et al Clear cell renal cell carcinoma In: Eble JN, Sauter G, Epstein JI, Sesterhenn IA, (eds). Pathology and Genetics of Tumours of the Urinary System and Male Genital Organs 1st edn IARC Press Lyon, 2004, pp 23–25.
Acknowledgements
We would like to thank Fredrik Skarstedt for his assistance with the preparation of composite figures for the manuscript and poster presentation of preliminary data for this study.
Author information
Authors and Affiliations
Corresponding author
Ethics declarations
Competing interests
The authors declare no conflict of interest.
Rights and permissions
About this article
Cite this article
Williamson, S., Eble, J., Cheng, L. et al. Clear cell papillary renal cell carcinoma: differential diagnosis and extended immunohistochemical profile. Mod Pathol 26, 697–708 (2013). https://doi.org/10.1038/modpathol.2012.204
Received:
Revised:
Accepted:
Published:
Issue date:
DOI: https://doi.org/10.1038/modpathol.2012.204
Keywords
This article is cited by
-
Clinical features and Surgical Outcome of Clear Cell Papillary Renal Cell Tumor: result from a prospective cohort
BMC Urology (2023)
-
Renal angiomyoadenomatous tumor (RAT): a rare distinct entity with diagnostic challenges—a case report
Journal of the Egyptian National Cancer Institute (2021)
-
Vascular architectural patterns in clear cell renal cell carcinoma and clear cell papillary renal cell carcinoma
Virchows Archiv (2021)
-
Renal Cell Carcinoma with Clear Cell Papillary Features: Perspectives of a Differential Diagnosis
Pathology & Oncology Research (2020)
-
Clinical and morphologic review of 60 hereditary renal tumors from 30 hereditary renal cell carcinoma syndrome patients: lessons from a contemporary single institution series
Medical Oncology (2019)








