Abstract
DNA methylation is the most well-studied epigenetic modification in cancer biology. 5-hydroxymethylcytosine is an epigenetic mark that can be converted from 5-methylcytosine by the ten-eleven translocation gene family. We recently reported the loss of 5-hydroxymethylcytosine in melanoma compared with benign nevi and suggested that loss of this epigenetic marker is correlated with tumor virulence based on its association with a worse prognosis. In this study, we further characterize the immunoreactivity patterns of 5-hydroxymethylcytosine in the full spectrum of melanocytic lesions to further validate the potential practical application of this epigenetic marker. One hundred and seventy-five cases were evaluated: 18 benign nevi, 20 dysplastic nevi (10 low-grade and 10 high-grade lesions), 10 atypical Spitz nevi, 20 borderline tumors, 5 melanomas arising within nevi, and 102 primary melanomas. Progressive loss of 5-hydroxymethylcytosine from benign dermal nevi to high-grade dysplastic nevi to borderline melanocytic neoplasms to melanoma was observed. In addition, an analysis of the relationship of nuclear diameter with 5-hydroxymethylcytosine staining intensity within lesional cells revealed a significant correlation between larger nuclear diameter and decreased levels of 5-hydroxymethylcytosine. Furthermore, borderline lesions uniquely exhibited a diverse spectrum of staining of each individual case. This study further substantiates the association of 5-hydroxymethylcytosine loss with dysplastic cytomorphologic features and tumor progression and supports the classification of borderline lesions as a biologically distinct category of melanocytic lesions.
Similar content being viewed by others
Main
The process of DNA methylation at the 5-carbon position of cytosine is a critical epigenetic mechanism in the regulation of gene expression. 5-methylcytosine constitutes 2–8% of all cytosines in human genomic DNA and impacts a broad range of biological functions and pathological processes including gene expression, maintenance of genome stability, genomic imprinting, X-chromosome inactivation, developmental regulation, aging-related processes, and cancer.1 DNA methylation is the most extensively studied epigenetic modification in cancer. Tumor cells of various cancer types have been found to exhibit global hypomethylation as well as selective hypermethylation at the promoters of tumor suppressor genes associated with silencing of these genes and tumorigenesis.2 In 2009, breakthrough studies show that 5-hydroxymethylcytosine can be converted from 5-methylcytosine by ten-eleven translocation family genes.3, 4, 5 We reported that loss of 5-hydroxymethylcytosine is associated with increased melanoma virulence and poor survival.6 Other studies have also shown 5-hydroxymethylcytosine loss in other cancers including breast, prostate, colon cancer, and hematologic myeloid malignancies.7, 8, 9, 10
In melanoma, we hypothesized that cytologically atypical cells (as characterized by enlarged nuclei and a coarse chromatin pattern) represent the subpopulations of melanoma cells with more aggressive biological behavior. In addition, studies have shown that nuclear size is helpful in differentiating benign from malignant melanocytic lesions.11, 12, 13 Accordingly, it would be expected that a greater loss of 5-hydroxymethylcytosine would be observed within cells with enlarged nuclear size as a consequence of the association with increased virulence.
Melanocytic lesions are extremely heterogeneous in their morphologies with many overlapping histological features between benign and malignant lesions. Among those, the most challenging category is the ‘gray zone’ or ‘borderline’ melanocytic lesions, not only in diagnosis and grading but also in proper guidance of treatment due to the unknown and unpredictable biological potential of such lesions.14 In this study, we also assess the 5-hydroxymethylcytosine staining patterns and possible utilization of this epigenetic marker in these difficult melanocytic lesions. We analyzed groups of ‘borderline’ lesions including Spitz nevi with atypia and severely atypical melanocytic proliferations of uncertain malignant potential (also known as atypical Spitz tumors), for their 5-hydroxymethylcytosine staining pattern in comparison with clearly benign dermal nevi and clear-cut cases of melanoma. Furthermore, a challenging situation often encountered by dermatopathologists in practice is that of melanoma arising within a pre-existing nevus. In these cases, particularly when the melanoma cells show ‘maturation’ with depth, distinguishing the nevus and melanoma cells and thus precise determination of the Breslow depth can be difficult.15 We also examined this type of challenging case to determine if the 5-hydroxymethylcytosine stain could help to differentiate the benign nevus component with a high level of 5-hydroxymethylcytosine from the melanoma component with 5-hydroxymethylcytosine loss to facilitate accurate Breslow depth measurement.
Materials and methods
Histopathologic Samples
This study was conducted with approval of the Institutional Review Board of Brigham and Women’s Hospital, Harvard Medical School. In total, 175 cases were studied retrospectively: 18 benign nevi, 20 dysplastic nevi (10 low-grade, 10 high-grade), 30 borderline lesions (10 Spitz nevi with atypia, 20 severely atypical melanocytic proliferations of uncertain malignant potential also known as atypical Spitz tumors), 5 melanomas arising in the background of nevi, and 102 predominantly superficial spreading melanomas. The melanomas as well as 22 of the borderline lesions were obtained from the annotated Melanoma Institute of Australia cohort of specimens. For the melanoma cases, the ages of the patients ranged from 19 to 92, they were 52% male, race was not recorded in the database; however, the population seen at this clinic is predominantly Caucasian. The remainder of the specimens were obtained from the pathology archives of Brigham and Women’s Hospital and the University of Massachusetts. The patient ages for the borderline lesions ranged from 3 to 66. For 21 of the borderline lesions, follow-up information was available. These included 8 atypical Spitz nevi and 13 severely atypical melanocytic tumors of uncertain malignant potential or atypical Spitz tumors. Six patients underwent sentinel lymph node biopsies, and all were negative for melanocytic lesions. Five of these lesions fell into the category of severely atypical melanocytic proliferations of uncertain malignant potential or atypical Spitz tumors and one was classified as an atypical Spitz nevus. All 21 patients survived to their last-recorded follow-up (ranged from 16 to 137 months) with no evidence of disease recurrence. The 20 dysplastic nevi were grouped as low-grade (n=10) and high-grade lesions (n=10) as shown in Table 1.16 Dysplasia was assessed in the junctional and/or superficial dermal components of the nevi.17 The borderline lesion group contained 10 Spitz nevi with atypia as well as 20 tumors carrying the diagnoses of atypical Spitzoid tumor (n=12), or severely atypical melanocytic proliferation of uncertain malignant potential, hereafter termed atypical borderline tumors (n=8).
Immunohistochemistry and Nuclear Measurements
Cases were included for analysis based on the diagnosis on the original pathology reports. Hematoxylin and eosin-stained slides were reviewed by two authors (CGL and ARL) to confirm diagnoses following immunohistochemical analysis to help blind the immunohistochemical analysis. Staining scores were not viewed upon hematoxylin and eosin slide review to eliminate the possibility of selection bias. An additional author (GFM) reviewed all atypical Spitz nevi and borderline tumors for appropriate categorization. Immunohistochemical studies were carried out in accordance with Lian et al.6 using rabbit anti-5-hydroxymethylcytosine at 1:10 000 (Active Motif, Carlsbad, CA). Within all slides, two random areas of the lesion were viewed and representative cells were evaluated in terms of nuclear diameter and staining intensity relative to the staining of normal melanocytes at the basal layer of flanking normal epidermis as a positive internal control. The normal melanocytes were defined as an intensity of 2 in each case. There was some variation in the staining intensity of these basal melanocytes; thus, the staining of each slide was calibrated separately based on this intensity. Some variability in tissue uptake of antibody is typical in immunohistochemistry, so we used an internal control to scale staining intensity to correct for this. A total of five cells were evaluated per field (10 cells per tumor) on a 0–3 scale as shown in Figure 1. The measurements from all cells were included in the analysis. For these same cells, the nuclear diameter was measured at × 400 with an optical micrometer to the nearest 2.5 micrometers (the smallest unit of measurement on the ocular micrometer). The long axis of the nucleus was chosen for measurement. There was some variability in nuclear size because, within the tissue, each nucleus was sectioned in a random location. All measurements were taken by one author (ARL), and a random subset was reviewed by a second author (CGL) to ensure concordance. Reviewers were blinded to the diagnosis of each lesion (as far as possible). T-tests were used for all comparisons with P-values less than 0.05 considered significant.
Nuclear staining intensity scoring system. Staining intensity of nuclei was graded according to the following criteria. Examples of each grade are shown on the left. Nuclei positive for 5-hydroxymethylcytosine stain brown, nuclei negative for 5-hydroxymethylcytosine stain gray/purple with the counterstain.
Semi-Quantitative Analysis
To confirm our findings in a semi-quantitative manner, five cases were chosen at random from each of the six categories (benign nevi, low-grade dysplastic nevi, high-grade dysplastic nevi, atypical Spitz nevi, atypical borderline tumors, melanomas) and three photographs of × 40 high power fields were taken of each case along with a photograph of normal melanocytes within the epidermis. Adobe Photoshop CS4 version 11.0 was used to eliminate all but the melanocytic component from each image as epithelium stains positively for this antibody. ImageJ software (NIH, Bethesda, MD) was used to analyze the nuclear perimeter in micrometers and percent of cells meeting or exceeding a threshold staining intensity with the threshold set at the intensity of normal epidermal melanocytes flanking the melanocytic lesion (termed strongly staining cells). This threshold was recalibrated for each slide. T-tests were used for all comparisons with P-values less than 0.05 considered significant.
Results
5-hydroxymethylcytosine levels were high in normal melanocytes that resided as solitary cells at the basal layer of the epidermis. The nuclear staining of 5-hydroxymethylcytosine in these normal melanocytes was used as the grading standard (Figure 1). Benign nevi comprised intermixed lightly and darkly staining cells with approximately 2/3 of the cells staining darkly (Figures 2a and 3 ). Low-grade dysplastic nevi had a similar pattern to benign nevi (Figure 2b and Figure 3). The high-grade dysplastic nevi ranged from areas that were an admixture of about 90% slightly stained and 10% negatively stained cells (Figure 3) to areas with complete loss (Figure 2c). The predominant pattern seen in melanomas was complete loss of staining (Figure 2d); however, some melanomas had a mixture of negatively staining and very lightly staining cells (Figure 3). The 5-hydroxymethylcytosine staining pattern varied somewhat from melanoma to melanoma as well as within individual melanomas between subpopulations of cells with differing cytomorphology, highlighting the heterogeneous nature of this cancer. Thus, individual melanoma cells will not exhibit full loss of 5-hydroxymethylcytosine with 100% specificity.
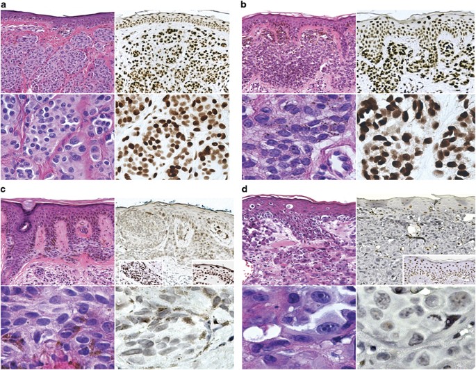
5-hydroxymethylcytosine in benign or low-grade nevi compared with high-grade nevi and melanoma. Conventional histology (left, hematoxylin and eosin) and 5-hydroxymethylcytosine (right, immunohistochemistry) staining patterns ( × 200 on top, representative area magnified below) of a dermal nevus (a), low-grade dysplastic nevus (b), high-grade dysplastic nevus (c), and melanoma (d). The 5-hydroxymethylcytosine staining pattern of low-grade dysplastic lesions (b) resembles that of benign nevi (a). Overall the high-grade lesions show some staining loss with a subset showing complete loss as shown here (c), resembling the staining pattern of melanoma (d). Within the high-grade dysplastic nevus, there is cytologic atypia as well as prominent architectural atypia with extension down adnexal structures. The insets within the 5-hydroxymethylcytosine staining pictures for c and d illustrate positive internal controls of normal staining of follicular epithelium (c) and the flanking epidermis (c, d).
Progressive loss of 5-hydroxymethylcytosine with increasing dysplasia. 5-hydroxymethylcytosine immunohistochemistry staining positivity is increasingly lost from benign and low-grade dysplastic nevi to high-grade dysplastic nevi to melanoma. The × 200 sections are shown above with selected areas magnified below.
In benign nevi, the majority of nevic cells retained strong nuclear staining for 5-hydroxymethylcytosine (Figure 2a). Interestingly, 5-hydroxymethylcytosine levels were similar in low-grade dysplastic nevus cases (P=0.462 compared with dermal nevi), which are dysplastic nevi with mild atypia and dysplastic nevi with mild to focal moderate atypia (Figure 2b). We grouped dysplastic nevi with diffuse moderate atypical features and dysplastic nevi with severe atypia into high-grade dysplastic nevi.12 The high-grade dysplastic nevi group had significantly lower 5-hydroxymethylcytosine levels compared with benign and low-grade dysplastic nevi (P=0.0279, 0.0120, respectively) (Figure 2c and Table 2). Consistent with our previous findings,6 5-hydroxymethylcytosine positivity was significantly lower in melanoma cases compared with benign nevi, low-grade dysplastic nevi, and high-grade dysplastic nevi (P<2.2 × 10−16 for all) (Table 2). There was a progression of loss of 5-hydroxymethylcytosine from high-grade dysplastic nevi to melanoma (Figure 3). Interestingly, in essentially all of the melanoma cases and selected high-grade dysplastic nevi with diffuse 5-hydroxymethylcytosine loss, the keratinocytes directly overlying the melanocytic lesion also exhibited 5-hydroxymethylcytosine loss. The epidermis flanking the melanocytic lesion stained normally with 5-hydroxymethylcytosine, and this was used as an internal control for staining quality in these lesions. A separate positive internal staining control for the dysplastic nevi was the deep (dermal) component of these lesions, which exhibited darker 5-hydroxymethylcytosine staining than the superficial dysplastic portion.
The atypical Spitz nevi showed significant 5-hydroxymethylcytosine loss when compared with benign nevi, low-grade, and high-grade dysplastic nevi (P=7.141 × 10−9, P=3.284 × 10−8, P=0.000571 respectively), and showed significantly more 5-hydroxymethylcytosine expression than melanoma (P=3.83 × 10−13) (Table 2). The remainder of the borderline lesions (the superficial severely atypical melanocytic proliferations of uncertain malignant potential and atypical Spitzoid tumors) were the most variably staining both within the lesions themselves and between each lesion (Figure 4). This subgroup exhibited the most diverse spectrum of staining with nests comprised of darkly, lightly and negatively staining cells. The percent of cells with a total loss of 5-hydroxymethylcytosine varied from a few cells in some cases to roughly half of the cells in other cases. This group did show significant loss of 5-hydroxymethylcytosine compared with dermal nevi and low-grade dysplastic nevi (P<2.2 × 10−16 for both), high-grade dysplastic nevi (P=5.859 × 10−9), atypical Spitz nevi (P=0.0139) and showed significantly more expression than melanomas (P=6.839 × 10−9) (Table 2). In addition, to assess the possibility of applying 5-hydroxymethylcytosine as a marker to differentiate the benign nevus component vs malignant melanocytic component in the same lesion (to assist accurate measurement of Breslow depth), several cases of melanoma arising within associated dermal nevus components were studied (Figure 5). Strong staining of 5-hydroxymethylcytosine levels in the benign nevus component in the deep dermis is observed along with loss of 5-hydroxymethylcytosine in the melanoma component (Figure 5).
5-hydroxymethylcytosine in borderline melanocytic lesions. Two borderline melanocytic lesions are shown in panel a and b (left, hematoxylin and eosin and right, immunohistochemistry stains of each panel). A mosaic pattern of a mixture of 5-hydroxymethylcytosine positive and negative 5-hydroxymethylcytosine cells are highlighted by immunostains.
5-hydroxymethylcytosine highlights nevic component within a melanoma. Conventional histology of a case of superficial spreading melanoma arising within a benign dermal nevus (left column, hematoxylin and eosin). 5-hydroxymethylcytosine immunohistochemistry stain (right column) show negativity in the superficial malignant melanoma components and positivity in dermal nested nevic components (right column). The black arrow highlights the nevic nests and red arrow indicates the larger melanoma cells surrounded by inflammation.
Linear regression illustrates a significant loss of 5-hydroxymethylcytosine staining with increased nuclear diameter in melanomas with a P-value of<2.2 × 10−16 (Figure 6). The size differences between dermal nevi (ranged from 2.5–10, most were 5–7.5 micrometers) and low-grade dysplastic nevi, and between low and high-grade dysplastic nevi were significant (P=3.2 × 10−8, 0.0017, respectively). Melanoma nuclei ranged from 2.5 to 27.5 micrometers in diameter, most fell in the 7.5–10 micrometer range. Both atypical Spitz nevi and atypical borderline tumors had significantly larger nuclear size than benign nevi (P=0.0007, P<2.2 × 10−16, respectively). Only atypical borderline tumors had larger nuclear size than low-grade dysplastic nevi (P=0.0133). High-grade dysplastic nevi had significantly larger nuclear size than atypical Spitz nevi (P=3.978 × 10−7) but not atypical borderline tumors. Atypical borderline tumors had significantly larger nuclear size than atypical Spitz nevi (P=1.149 × 10−5). Melanomas showed a significantly larger nuclear diameter than every other lesion group (P<0.001 for all comparisons) (Table 2).
The results of our semi-quantitative analysis on a small subset of cases from each category confirmed the majority of the above findings in a small subset of our cases. Fifteen high power fields were analyzed for each category except for the low-grade dysplastic nevi where three fields had to be eliminated due to difficulty of the software in determining nuclear size because of overlap. Similar observations in the proportion of strongly staining cells and nuclear perimeters were found (Table 3). Compared with melanoma, dermal nevi, low-grade dysplastic nevi, atypical Spitz nevi, and atypical borderline tumors had a significantly increased proportion of strongly staining cells. Compared with dermal nevi, high-grade dysplastic nevi, atypical Spitz nevi, atypical borderline tumors, and melanomas had a significantly lower proportion of strongly staining cells. With regard to nuclear perimeter, all groups had a significantly smaller perimeter than melanomas and atypical Spitz nevi, atypical borderline tumors, and melanomas had a significantly larger perimeter than dermal nevi.
Discussion
5-hydroxymethylcytosine loss is strongly associated with melanoma and specifically with a poor prognosis in superficial spreading and nodular melanomas.6 This study provides further support to the finding that 5-hydroxymethylcytosine loss is a putative epigenetic biomarker of tumor progression in melanocytic lesions. Progressive loss of 5-hydroxymethylcytosine is found between benign nevi, low-grade dysplastic nevi, high-grade dysplastic nevi, atypical Spitz nevi, atypical borderline tumors, and melanoma. On average, nuclear diameter likewise increases within the spectrum of benign to dysplastic to frankly malignant melanocytic neoplasms, and the loss of 5-hydroxymethylcytosine staining pattern correlates with changes in nuclear size. Interestingly, the correlation with 5-hydroxymethylcytosine staining intensity and nuclear diameter persists within the melanomas in this study indicating heterogeneity in nuclear atypia and 5-hydroxymethylcytosine staining within this group. Our measurement technique probably underestimates true nuclear diameter (and nuclear perimeter) since the sectioning technique catches each nucleus in a random orientation. The ‘nuclear diameters’ measured could be smaller than the maximal nuclear diameter because sectioning did not occur through the center of the nucleus. The impact of this measurement will likely underestimate true nuclear diameter particularly for lesions with larger nuclei (melanomas). The possibility arises that the loss of 5-hydroxymethylcytosine staining intensity with increased nuclear size is purely a dilutional effect. This is highly unlikely given that previous studies have shown loss of 5-hydroxymethylcytosine in many low-grade malignancies with mild cytological atypia, including breast, prostate, and colon cancer implicating the loss of 5-hydroxymethylcytosine as an early event in carcinogenesis.7 In addition, further studies reported by Lian et al.6 strongly support a mechanistic role for 5-hydroxymethylcytosine in melanoma as overexpressing 5-hydroxymethylcytosine in human melanoma cells reduces tumor growth in mouse xenograft models and prolongs tumor-free survival in zebrafish models.6 Importantly, our prior work includes a deep sequencing analysis that shows a global decrease in 5-hydroxymethylcytosine levels in the entire melanoma genome compared with nevi indicating that this effect is not simply due to a similar number of binding sites spread over a larger nuclear area.6 Thus, a reasonable conclusion is that 5-hydroxymethylcytosine is lost as cells undergo dysplastic or malignant transformation.
Interestingly, the loss of 5-hydroxymethylcytosine in keratinocytes overlying melanomas and occasional high-grade dysplastic nevi was also observed in our study. It indicates an epigenetic shift not just in the tumor itself but in the surrounding microenvironment, raising the possibility of an environment permissive for melanoma formation.
In summary, we have studied the expression pattern of 5-hydroxymethylcytosine in a full spectrum of melanocytic lesions from benign nevi to melanoma and demonstrate the progressive loss of this epigenetic marker with increasing dysplasia as well as nuclear diameter. In addition, the loss of 5-hydroxymethylcytosine was observed in severely dysplastic subpopulations of cells within individual lesions of dysplastic nevi, borderline melanocytic lesions and more diffusely in most melanomas. Future studies including PCR and genomic deep sequencing will be needed to confirm these findings within dysplastic nevi and borderline lesions. The mosaic pattern, seen most markedly in the borderline lesions, supports classification of borderline lesions as biologically distinct as previously proposed.18 The current utility of this biomarker may revolve around distinguishing nevus cells from melanoma cells in cases where the two intersect to determine an accurate Breslow depth. Further studies utilizing larger cohorts of borderline lesions with long clinical follow-up are required to determine whether loss of 5-hydroxymethylcytosine can assist in predicting the clinical outcomes of patients with such lesions. It also raises the possibility that subpopulations of melanoma cells with complete loss of 5-hydroxymethylcytosine correlate with higher virulence in melanoma. In summary, these findings further implicate 5-hydroxymethylcytosine as a potential biomarker in melanocytic lesions.
References
Lian CG, Murphy GF . Diagnostic implications of loss of 5-hydroxymethylcytosine for melanoma. Expert Rev Dermatol 2013;8:99.
Jones PA, Baylin SB . The fundamental role of epigenetic events in cancer. Nat Rev Genetics 2002;3:415.
Tahiliani M, Koh KP, Shen Y et al. Conversion of 5-methylcytosine to 5-hydroxymethylcytosine in mammalian DNA by MLL partner TET1. Science 2009;324:930.
Xu Y, Wu F, Tan L et al. Genome-wide regulation of 5hmC, 5mC, and gene expression by Tet1 hydroxylase in mouse embryonic stem cells. Mol Cell 2011;42:451.
Tan L, Shi YG . Tet family proteins and 5-hydroxymethylcytosine in development and disease. Development 2012;139:1895.
Lian CG, Xu Y, Ceol C et al. Loss of 5-hydroxymethylcytosine is an epigenetic hallmark of melanoma. Cell 2012;150:1135.
Haffner MC, Chaux A, Meeker AK et al. Global 5-hydroxymethylcytosine content is significantly reduced in tissue stem/progenitor cell compartments and in human cancers. Oncotarget 2011;2:627.
Konstandin N, Bultmann S, Szwagierczak A et al. Genomic 5-hydroxymethylcytosine levels correlate with TET2 mutations and a distinct global gene expression pattern in secondary acute myeloid leukemia. Leukemia 2011;25:1649.
Kudo Y, Tateishi K, Yamamoto K et al. Loss of 5-hydroxymethylcytosine is accompanied with malignant cellular transformation. Cancer Sci 2012;103:670.
Yang H, Liu Y, Bai F et al. Tumor development is associated with decrease of TET gene expression and 5-methylcytosine hydroxylation. Oncogene 2013;32:663.
Li LX, Crotty KA, Scolyer RA et al. Use of multiple cytometric markers improves discrimination between benign and malignant melanocytic lesions: a study of DNA microdensitometry, karyometry, argyrophilic staining of nucleolar organizer regions and MIB1-Ki67 immunoreactivity. Melanoma Res 2003;13:581.
Miedema J, Marron JS, Niethammer M et al. Image and statistical analysis of melanocytic histology. Histopathology 2012;61:436.
Stolz W, Vogt T, Landthaler M et al. Differentiation between malignant melanomas and benign melanocytic nevi by computerized DNA cytometry of imprint specimens. J Cutan Pathol 1994;21:7.
Scolyer RA, Murali R, McCarthy SW et al. Histologically ambiguous ("borderline") primary cutaneous melanocytic tumors: approaches to patient management including the roles of molecular testing and sentinel lymph node biopsy. Arch Pathol Lab Med 2010;134:1770.
Scolyer R, Judge M, Evans A et al. Data set for pathology reporting of cutaneous invasive melanoma recommendations from the International Collaboration on Cancer Reporting (ICCR). Amer J Surg Pathol 2013;37:1797–1814.
Murphy GF, Mihm MC Jr . Recognition and evaluation of cytological dysplasia in acquired melanocytic nevi. Human Pathol 1999;30:506.
Elder DE, Murphy GF, (eds). Melanocytic Tumors of the Skin. Armed Forces Institute of Pathology: Washington, 2010.
Zembowicz A, Scolyer RA . Nevus/Melanocytoma/Melanoma: an emerging paradigm for classification of melanocytic neoplasms? Arch Pathol Lab Med 2011;135:300.
Acknowledgements
This study is supported by NIH grant 5P40CA093683-09 to the SPORE Core at Brigham and Women’s Hospital, ARL is supported by the Brigham and Women’s Dermatology NIH Training Grant T32AR007098-38. GFM receives funding from Bristol-Meyers-Squibb for work on melanoma biomarkers (not a funding source for this study).
Author information
Authors and Affiliations
Corresponding author
Ethics declarations
Competing interests
The authors declare no conflict of interest.
Rights and permissions
About this article
Cite this article
Larson, A., Dresser, K., Zhan, Q. et al. Loss of 5-hydroxymethylcytosine correlates with increasing morphologic dysplasia in melanocytic tumors. Mod Pathol 27, 936–944 (2014). https://doi.org/10.1038/modpathol.2013.224
Received:
Accepted:
Published:
Issue date:
DOI: https://doi.org/10.1038/modpathol.2013.224
Keywords
This article is cited by
-
Emerging Biomarkers in Cutaneous Melanoma
Molecular Diagnosis & Therapy (2018)
-
Ascorbate induces apoptosis in melanoma cells by suppressing Clusterin expression
Scientific Reports (2017)
-
5-Hydroxymethylcytosine is an independent predictor of survival in malignant melanoma
Modern Pathology (2017)
-
5-hydroxymethylcytosine loss is associated with poor prognosis for patients with WHO grade II diffuse astrocytomas
Scientific Reports (2016)
-
5-Hydroxymethylcytosine expression in metastatic melanoma versus nodal nevus in sentinel lymph node biopsies
Modern Pathology (2015)








