Abstract
The Cancer Genome Atlas described four major genomic groups of endometrial carcinomas, including a POLE ultramutated subtype comprising ∼10% of endometrioid adenocarcinoma, characterized by POLE exonuclease domain mutations, ultrahigh somatic mutation rates, and favorable outcome. Our aim was to examine the morphological and clinicopathological features of ultramutated endometrial carcinomas harboring somatic POLE exonuclease domain mutations. Hematoxylin and eosin slides and pathology reports for 8/17 POLE-mutated endometrial carcinomas described in the Cancer Genome Atlas study were studied; for the remaining cases, virtual whole slide images publicly available at cBioPortal (www.cbioportal.org) were examined. A second cohort of eight POLE mutated endometrial carcinomas from University of Calgary was also studied. Median age was 55 years (range 33–87 years). Nineteen patients presented as stage I, 1 stage II, and 5 stage III. The majority of cases (24 of the 25) demonstrated defining morphological features of endometrioid differentiation. The studied cases were frequently high grade (60%) and rich in tumor-infiltrating lymphocytes and/or peri-tumoral lymphocytes (84%); many tumors showed morphological heterogeneity (52%) and ambiguity (16%). Foci demonstrating severe nuclear atypia led to concern for serous carcinoma in 28% of cases. At the molecular level, the majority of the Cancer Genome Atlas POLE-mutated tumors were microsatellite stable (65%), and TP53 mutations were present in 35% of cases. They also harbored mutations in PTEN (94%), FBXW7 (82%), ARID1A (76%), and PIK3CA (71%). All patients from both cohorts were alive without disease, and none of the patients developed recurrence at the time of follow-up (median 33 months; range 2–102 months). In conclusion, the recognition of ultramutated endometrial carcinomas with POLE exonuclease domain mutation is important given their favorable outcome. Our histopathological review revealed that these tumors are commonly high grade, have obvious lymphocytic infiltrates, and can show ambiguous morphology. As they frequently harbor TP53 mutations, it is important not to misclassify them as serous carcinoma.
Similar content being viewed by others
Main
The Cancer Genome Atlas (TCGA) recently reported on the genomic, transcriptomic, and proteomic analysis of 373 endometrial carcinomas using massively parallel sequencing and array-based technologies, in combination with DNA methylation, reverse-phase protein array, and microsatellite instability analyses.1 Based on the integration of the somatic gene mutations, microsatellite instability, and somatic copy-number alterations results, endometrial carcinomas were categorized into four genomic groups: (1) A group of ‘ultramutated’ tumors characterized by very high mutation rates, all harboring mutations in the exonuclease domain of the polymerase epsilon (POLE) gene; (2) A ‘hypermutated’ group of endometrial carcinomas characterized by microsatellite instability due to MLH1 promoter methylation, with high mutation rates and few copy-number alterations; (3) A ‘copy-number low’ group comprised of most of the microsatellite stable grade 1 and grade 2 endometrioid carcinomas with low mutation rates; and (4) A group of ‘copy-number high’ tumors with extensive copy-number aberrations, low mutation rates, and recurrent TP53 mutations comprised of serous carcinomas and 25% of FIGO (International Federation of Gynecology and Obstetrics) grade 3 endometrioid adenocarcinomas. With regards to clinical outcome, ultramutated endometrial carcinomas with POLE exonuclease domain mutations had a favorable progression-free survival as compared with the other three TCGA genomic groups.1
The POLE gene encodes the catalytic subunit of the DNA polymerase epsilon and is responsible for the synthesis of the leading strand during DNA replication. It also has an important role in the recognition and removal of mispaired nucleotides by its proof-reading capacity through the POLE exonuclease domain.2, 3 Missense mutations in the exonuclease domain of POLE have recently been described in lung carcinoma, colorectal carcinoma, and endometrial carcinoma,4, 5, 6, 7 and the TCGA reported somatic POLE mutations in 3% of colorectal carcinomas.5 Furthermore, Palles et al6 have shown that germline mutations in POLE and POLD1 predispose to colorectal adenomas and carcinomas. The same group also found somatic POLE exonuclease domain mutations in 7% of sporadic endometrial carcinomas.7 However, the morphological features of cancers harboring POLE mutation have not been studied as yet. Given the reported favorable outcomes of ultramutated endometrial carcinomas harboring somatic POLE exonuclease domain mutations by the TCGA and the lack of morphological studies on this genomic subtype, we sought to determine the morphological, clinicopathological, and molecular features of ultramutated endometrial carcinoma with somatic POLE exonuclease domain mutations.
Materials and methods
Study Cohorts
Two cohorts were studied: the cohort of cases reported by the TCGA,1 and a cohort from the University of Calgary.8 The TCGA collected 373 endometrial carcinomas from multiple institutions, of which 307 were endometrioid adenocarcinomas (88 FIGO grade 1, 105 FIGO grade 2 and 111 FIGO grade 3), 53 were serous carcinomas and 13 were mixed endometrioid and serous carcinoma. For 248 endometrial carcinomas, an integration of the whole exome sequencing, microsatellite instability testing, and somatic gene copy-number profiling data was performed. The accrual of cases was skewed toward the higher-grade tumors to generally reflect a cross-section of individuals prone to develop recurrent endometrial cancer.1 Other histological subtypes such as clear cell carcinoma and malignant mixed Mullerian tumors were not included in their analysis. All 17 ultramutated endometrial carcinomas harboring POLE exonuclease domain mutation (EC-POLEs) identified in the TCGA study were included in this study. These 17 cases were classified histologically as endometrioid adenocarcinoma by the TCGA reviewers. Representative hematoxylin and eosin (H&E)-stained slides (range 1–6 slides) from eight cases were retrieved from three academic institutions, including Memorial Sloan Kettering Cancer Center, Mayo Clinic, and Cedars-Sinai Hospital, whereas the remaining nine cases were evaluated using virtual whole slide images publicly available on the cBioPortal website (www.cbioportal.org).9 The pathology reports, clinical data, including follow-up information, and molecular data from the TCGA cases were abstracted via the cBioPortal website (www.cbioportal.org) and the TCGA data portal website (https://tcga-data.nci.nih.gov/tcga).
For the University of Calgary cohort, 99 high-grade endometrial carcinomas (53 FIGO grade 3 endometrioid adenocarcinomas, 25 serous carcinomas, 16 clear cell carcinomas, and 5 undifferentiated/dedifferentiated carcinomas) were obtained from Tom Baker Cancer Center/University of Calgary, Calgary, AB, Canada and screened for the presence of somatic POLE mutation in the exonuclease domain8 (see below); 8 EC-POLEs were identified. The clinical and demographic information of these eight EC-POLEs were extracted from the medical records.8 Ethical approval was received from the institutional research ethics board. Overall, a total of 25 EC-POLEs were included in this study. Two pathologists (YH and RAS) reviewed all available H&E-stained slides and virtual slide images.
POLE Mutation Detection
TCGA: The information on the EC-POLEs was retrieved from the cBioPortal (www.cbioportal.org) and the TCGA data portal (https://tcga-data.nci.nih.gov/tcga) websites. Mutations were identified using whole exome sequencing.1
University of Calgary: DNA was extracted from 99 high-grade endometrial carcinomas, and 50 ng genomic DNA was subjected to PCR using High-Fidelity Tag DNA polymerase (Invitrogen, Carlsbad, CA, USA) via primer sets that cover the exonuclease domain regions of POLE.7 PCR products were electrophoresed to confirm the presence of the desired amplicons and the absence of off-target amplification products. PCR amplicons were then purified using Axygen AxyPrep Mag PCR Clean-up Kits according to the manufacturer’s protocol (Axygen Biosciences, Union City, CA, USA). Direct bi-directional Sanger sequencing was performed on a 3730xl DNA Analyzer (Applied Biosystems, Carlsbad, CA, USA) with 96 capillaries. All POLE mutation-positive samples were re-sequenced to confirm mutational status.
Morphological Assessment
Tumors were classified according to the World Health Organization classification.10 The criteria were refined to more precisely discriminate FIGO grade 3 endometrioid carcinomas from solid and glandular serous carcinomas as described previously.11, 12 Tumors were graded using the 1988 FIGO system.13
Several morphological features were assessed including nuclear grade, which was classified as high grade when the tumor demonstrated variations of >3 times nuclear size, highly irregular nuclear contours, striking hyperchromasia, and/or prominent nucleoli. The mitotic index, expressed as mitoses per 10 high-power fields, and the presence of tumor giant cells were assessed. The tumor growth pattern was also evaluated (papillary, glandular, or solid), and the predominant tumor architectural pattern was reported.
The histological features associated with DNA mismatch repair protein abnormalities as previously described by Shia et al14 and Garg et al15 were also evaluated, including tumor-infiltrating lymphocytes (≥40 lymphocytes/10 high-power fields), peri-tumoral lymphocytes, and intra-tumoral heterogeneity. For peri-tumoral lymphocytes, at least one slide of tumor showed easily identifiable lymphoid aggregates from scanning magnification. Intra-tumoral heterogeneity was classified as present when a tumor had ≥2 clearly separate morphological patterns (frequently of different grade), each juxtaposed but not intimately admixed, and each constituting at least 10% of the tumor.
Tumors that failed to show prototypic features of a certain histological type of endometrial carcinoma were categorized as ‘morphologically ambiguous ‘ as described by Soslow.16 These tumors were distinguished from mixed epithelial carcinomas in which two morphologically separate components of different types were identified.
Tumors were also examined for the presence of metaplastic changes (mucinous, squamous, secretory, and eosinophilic change). Eosinophilic metaplasia was defined as present when the tumor cells show polygonal cells with abundant eosinophilic cytoplasm. The background endometrium, whenever available, was also evaluated.
Results
Patient Clinical Characteristics
The median age of patients with EC-POLEs was 55 years (range, 33–87 years; Table 1). The majority of patients presented at an early stage (FIGO I–II; 80%), whereas the remainder presented at an advance stage (FIGO stage III; 20%).
All patients underwent surgical resection with staging and had received no prior treatment for their disease, including chemotherapy or radiotherapy. Of the 8 patients who have received adjuvant therapy, 5 received radiation therapy, 2 received chemotherapy, and 1 received chemoradiation, whereas 16 patients received no adjuvant treatment.
Morphological Findings
All EC-POLE tumors, except one (case 25), demonstrated at least a component of endometrioid differentiation (Table 2). Eighteen cases showed pure endometrioid histology, three tumors were mixed endometrioid and serous carcinoma, three tumors were mixed endometrioid with an ambiguous component, and one case was uniformly of ambiguous morphology (Table 2).
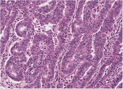
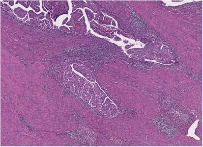
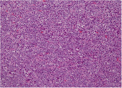
Fifteen of the 25 (60%) cases were of FIGO grade III/high grade. Intra-tumoral heterogeneity was noted in 13 of the 25 (52%) cases. Twenty-one of the 25 (84%) EC-POLEs showed increased tumor-infiltrating lymphocytes and/or peri-tumoral lymphocytes (Figures 1 and 2). There was one case (case 4) that showed lymphoepithelioma-like morphology (Figure 3).
Eosinophilic cytoplasmic change was seen in approximately two-thirds of the EC-POLEs included in this study (15 of the 25, 60%; Figure 4), whereas squamous, secretory, and mucinous metaplasia was noted in 10 (40%), 2 (8%), and 1 (4%) cases, respectively. Bizarre/giant tumor cell nuclei were observed in 10 of the 25 (40%) tumors (Figure 5).
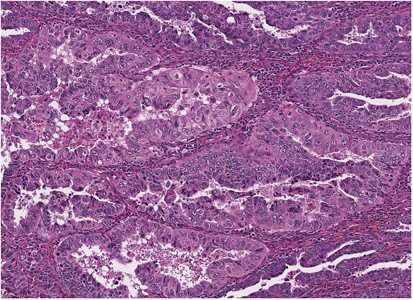
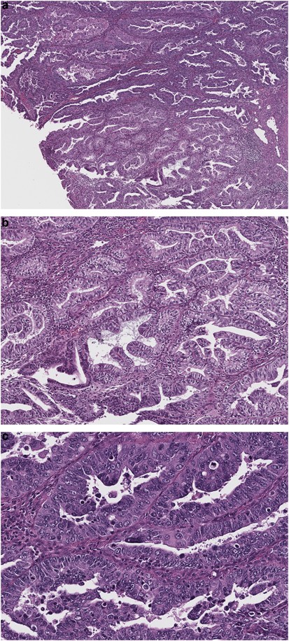
Two recognizably different components were observed in 6 of the 25 cases analyzed. Cases 5, 19, and 24 demonstrated morphological heterogeneity, characterized by foci of endometrioid differentiation, either in the form of glandular areas with smooth luminal borders and low-intermediate nuclear grade (cases 5 and 19) or predominant solid growth pattern with low-intermediate nuclear grade and squamous differentiation (case 24) (Table 2). The endometrioid areas in these three cases were juxtaposed to high-grade components of papillary and glandular architecture, exhibiting irregular luminal borders with tumor cell budding and tufting, and marked nuclear atypia and pleomorphism, morphologically resembling serous carcinoma (Figures 6 and 7). For the purpose of this study, we categorized cases 5, 19, and 24 as mixed endometrioid and serous carcinoma.
(a) Case 5: ‘mixed endometrioid and serous carcinoma’. (b) Endometrioid glandular component with straight luminal borders, secretory change, and low nuclear grade. (c) Glandular architecture with irregular luminal borders, tumor cell budding, and marked nuclear atypia; these features are suggestive of serous carcinoma, but the presence of tall columnar cells also recalls endometrioid differentiation.
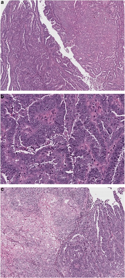
Similarly, cases 9, 12, and 13 not only showed confirmatory features of endometrioid adenocarcinoma (at least focally) but also had predominant solid components with marked nuclear atypia and pleomorphism, an ambiguous morphology between endometrioid and solid serous carcinoma. For the purpose of this study, we classified cases 9, 12, and 13 as mixed endometrioid and ambiguous.
In contrast to the remaining cases, case 25 failed to show any confirmatory or defining features of endometrioid differentiation. Rather, it displayed diffusely ambiguous morphology between endometrioid, serous, and oxyphilic clear cell carcinoma (Figure 8). The tumor had a prominent papillary architecture with smooth luminal borders and a focal solid component. The tumor cells were monomorphic polygonal to low columnar cells with abundant eosinophilic cytoplasm, prominent nucleoli, intermediate-to-high nuclear grade, and numerous mitotic figures. Focal cytoplasmic clearing was present in the solid areas. There was dense peri-tumoral lymphocytic infiltrate as well as numerous tumor-infiltrating lymphocytes.
Clinical Outcome
The median follow-up of the TCGA cohort was 33 months (range, 2–102 months), while it was 40 months (range, 2–95 months) for the University of Calgary cohort (Table 1). None of the 25 EC-POLE patients developed disease progression during follow-up.1, 8 In the TCGA study, patients with EC-POLEs had a favorable progression-free survival as compared with patients with endometrial carcinomas of the other three genomic subtypes (ie, microsatellite instability-high hypermutated, copy-number low, and copy-number high endometrial carcinoma).1 These findings were confirmed in the University of Calgary cohort, as the presence of POLE exonuclease domain mutation was a shown to be a significant prognostic parameter for progression-free survival (P=0.01) in univariate and multivariate analysis adjusted for age and FIGO stage.8
Molecular Data
The genomic analysis of endometrial carcinomas by the TCGA revealed that the 17 EC-POLE tumors identified showed very high mutation rates (232 × 10−6 mutations per Mb) and were characterized by an increased frequency of C>A transversions.1 Of the 17 ultramutated EC-POLE tumors, 13 (76%) harbored hotspot missense mutations in the POLE exonuclease domain at Pro286Arg (n=8) and Val411Leu (n=5), while the remaining 4 cases had other variants targeting the exonuclease domain of the POLE gene (Supplementary Table S1).1 Of note, not all endometrial carcinomas harboring POLE mutation were of ultramutated phenotype. In fact, POLE mutations were found in 10 additional cases within the other 3 TCGA genomic subtypes. Eight of the 10 additional tumors had POLE mutations in the non-exonuclease domain (5 microsatellite instability-high hypermutated endometrial carcinomas, 2 copy-number low endometrial carcinomas, and 1 copy-number high endometrial carcinoma), whereas for the remaining 2 cases (copy-number low) POLE mutation was in the exonuclease domain.17
When analyzing the frequency of commonly mutated genes and microsatellite instability in endometrial carcinomas of the four distinct genomic subtypes from the TCGA data, we observed that the majority of EC-POLEs harbored mutations in PTEN (94%), ARID1A (76%), and KRAS (51%) (Table 3), which are typically seen in endometrioid but rarely in serous tumors.18, 19, 20 It should be noted, however, that a subset but not all of the mutations targeting KRAS or PIK3CA in EC-POLEs are known hotspot mutations, and it has been suggested that these non-hotspot mutations might be functionally suboptimal as compared with hotspot mutations.8, 21 Interestingly, TP53 mutations, which are characteristic for endometrial serous carcinomas (>90%), were present in 6 of the 17 (35%) EC-POLE tumors.1 Of these six cases, four harbored nonsense/frameshift TP53 mutations and two pathogenic missense TP53 mutations (www.cBioPortal.org).9 The majority of the TCGA EC-POLE tumors were microsatellite-stable (11 of the 17; 65%); however, 3 cases (18%) were microsatellite instability-high, 2 of which showed MLH1 hypermethylation, and 3 cases were microsatellite instability-low (18%). Interestingly, none of the three microsatellite instability-high EC-POLE cancers harbored POLE hotspot mutations (ie, Pro286Arg or Val411Leu).
For the University of Calgary cohort, all eight EC-POLE tumors were identified through Sanger sequencing of the POLE exonuclease domain, and four and one cases harbored mutations at the hotspots Pro286Arg, and Val411Leu, respectively, whereas two cases had a Thr278Met and one case a Ser297Phe POLE missense mutation (Supplementary Table S1).8 The TP53 mutation status was not assessed in these eight EC-POLE cases; however, one had aberrant p53 immunohistochemical expression, and seven of the eight tumors had retained DNA mismatch repair protein by immunohistochemistry.
Discussion
Our study shows that endometrial cancers of POLE ultramutated subtype as described by the TCGA are frequently high grade. Almost all the cases in our series had confirmatory features of endometrioid differentiation, at least focally; however, considerable intratumoral heterogeneity was seen in a significant subset of cases. In occasional cases, components with serous carcinoma features were noted (cases 5, 19, and 24), while other cases (cases 9, 12, and 13) demonstrated components with ambiguous morphology (overlapping histological features of endometrioid and serous carcinoma). For the purpose of this study, we classified the former group as mixed endometrioid and serous carcinoma and the later as ‘mixed endometrioid and ambiguous’. Nevertheless, we believe that these ‘mixed tumors’ intrinsically represent endometrioid adenocarcinomas, and we hypothesize that the acquisition of ‘serous-like’ and ‘ambiguous’ features might result from multiple somatic mutations that occur secondary to the POLE mutations, such as TP53 mutations. In fact, none of the cases in our series had a pure prototypic serous carcinoma morphology but neither do all bona fide serous carcinoma cases.22
Church et al7 reported somatic POLE exonuclease domain mutations in 7% of endometrial carcinomas. In their study, 11 cases were of endometrioid histology, while 2 tumors were reportedly serous carcinoma and 1 was endometrioid and serous carcinoma. Two additional studies have found POLE exonuclease domain mutation in 4 of the 57 serous carcinoma (7%) and 1 of the 13 serous carcinoma (7%), respectively.23, 24 There was no mention of a centralized pathology review in any of these studies, however. As the histological typing of high-grade endometrial carcinoma can be challenging, even among specialized gynecological pathologists,12, 22 it may be possible that these tumors were misclassified.
Our histopathological review indicates that components of EC-POLEs can show features suggestive of serous carcinoma; however, there are several clinical, pathological, and molecular differences between EC-POLEs and serous carcinoma (Table 4). Patients with EC-POLE are considerably younger, compared with serous carcinoma, and have a favorable outcome. Histologically, EC-POLEs almost always show defining endometrioid features, at least focally. In addition, focal or patchy marked nuclear atypia, but not diffuse nuclear atypia, as seen in serous carcinoma, can be found. Furthermore, in contrast to serous carcinomas, the majority of EC-POLEs show increased tumor-infiltrating lymphocytes and/or peri-tumoral lymphocytes. Finally, at the molecular level, EC-POLEs have very high mutation rates, low levels of gene copy-number alterations, and frequently harbor mutations in PTEN and ARID1A, all of which are rarely found in serous carcinomas. Although the vast majority of serous carcinoma harbor TP53 mutation, one third of EC-POLEs may also be TP53-mutant, the clinical significance of which is likely different than in serous carcinomas. Therefore, when using immunohistochemistry to support a diagnosis of serous carcinoma, p53 and a panel of ancillary immunohistochemical stains such as PTEN and ARID1A may be used to discriminate serous carcinomas from EC-POLEs. Distinction between EC-POLE with TP53 mutation or p53 aberrant expression and copy-number high FIGO grade 3 endometrioid adenocarcinomas remains problematic, however. Although we speculate that copy-number high FIGO grade 3 endometrioid adenocarcinomas would lack the intratumoral morphological and immunophenotypic heterogeneity of EC-POLEs, as well as dense tumor-infiltrating lymphocytes and peri-tumoral lymphocytes, this still needs to be ascertained.
The TCGA study and University of Calgary study demonstrated that patients with EC-POLE have a favorable outcome as compared with those with tumors of other genomic subtype.1, 8 None of the EC-POLE patients in these series developed disease progression, despite commonly being of high histological grade. As Meng et al8 and Heitzer et al21 had previously speculated, this may be a result of the general or specific mutation burden conferred by the ultramutated phenotype and the dramatic increase in base substitutions, which could be incompatible with tumor cell growth and survival. Furthermore, it has been shown that increased levels of tumor-infiltrating lymphocytes are associated with favorable outcome,25, 26 and the majority but not all (84%) EC-POLEs cancers analyzed here showed high levels of tumor-infiltrating lymphocytes and peri-tumoral lymphocytes.
Given their favorable prognosis, the recognition of this subset of high-grade endometrial carcinoma is important; however, these findings require further investigation with larger number of cases and longer follow-up. Currently, the only definite way to detect EC-POLE tumors is by sequencing of the POLE gene. Therefore the development of new ancillary markers to enable the detection of these tumors is very important.
Our study has some limitations. First, it is a retrospective study. Second, only limited H&E slides were available for some cases, while histological review for nine cases was done via online virtual whole slide images. Finally, this study included heterogeneously treated patients with relatively short follow-up. Despite these limitations, our study is the first to date that describes the histopathological features of EC-POLE cancers.
In conclusion, our histopathological review revealed that EC-POLEs commonly show high-grade histology and morphological heterogeneity and ambiguity. As these cases frequently harbor TP53 mutations, but have a favorable outcome, it is of importance not to misclassify EC-POLEs as serous carcinoma. Clinicopathological review could aid in the detection of EC-POLEs and the exclusion of serous carcinoma, but POLE mutation can, at present, only be reliably detected via sequencing of the POLE gene exonuclease domain.
References
Cancer Genome Atlas Research N Kandoth C, Schultz N et al. Integrated genomic characterization of endometrial carcinoma. Nature 2013;497:67–73.
Nick McElhinny SA, Gordenin DA, Stith CM et al. Division of labor at the eukaryotic replication fork. Mol Cell 2008;30:137–144.
Pursell ZF, Isoz I, Lundstrom EB et al. Yeast DNA polymerase epsilon participates in leading-strand DNA replication. Science 2007;317:127–130.
Govindan R, Ding L, Griffith M et al. Genomic landscape of non-small cell lung cancer in smokers and never-smokers. Cell 2012;150:1121–1134.
Cancer Genome Atlas N. Comprehensive molecular characterization of human colon and rectal cancer. Nature 2012;487:330–337.
Palles C, Cazier JB, Howarth KM et al. Germline mutations affecting the proofreading domains of POLE and POLD1 predispose to colorectal adenomas and carcinomas. Nat Genet 2013;45:136–144.
Church DN, Briggs SE, Palles C et al. DNA polymerase epsilon and delta exonuclease domain mutations in endometrial cancer. Hum Mol Genet 2013;22:2820–2828.
Meng B, Hoang LN, McIntyre JB et al. POLE exonuclease domain mutation predicts long progression-free survival in grade 3 endometrioid carcinoma of the endometrium. Gynecol Oncol 2014;134:15–19.
Gao J, Aksoy BA, Dogrusoz U et al. Integrative analysis of complex cancer genomics and clinical profiles using the cBioPortal. Sci Signal 2013;6:pl1.
Kurman RJ, Carcangiu ML, Herrington S, Young RH, (eds). WHO Clasification of Tumours of Female Reproductive Organs 4th edn. IARC: Lyon, France, 2014, Chapter 5 pp 126–133.
Soslow RA, Wethington SL, Cesari M et al. Clinicopathologic analysis of matched primary and recurrent endometrial carcinoma. Am J Surg Pathol 2012;36:1771–1781.
Hoang LN, McConechy MK, Kobel M et al. Histotype-genotype correlation in 36 high-grade endometrial carcinomas. Am J Surg Pathol 2013;37:1421–1432.
Benedet JL, Bender H, Jones H 3rd et al. FIGO staging classifications and clinical practice guidelines in the management of gynecologic cancers. FIGO Committee on Gynecologic Oncology. Int J Gynaecol Obstet 2000;70:209–262.
Shia J, Black D, Hummer AJ et al. Routinely assessed morphological features correlate with microsatellite instability status in endometrial cancer. Hum Pathol 2008;39:116–125.
Garg K, Leitao MM Jr., Kauff ND et al. Selection of endometrial carcinomas for DNA mismatch repair protein immunohistochemistry using patient age and tumor morphology enhances detection of mismatch repair abnormalities. Am J Surg Pathol 2009;33:925–933.
Soslow RA . Endometrial carcinomas with ambiguous features. Semin Diagn Pathol 2010;27:261–273.
Briggs S, Tomlinson I . Germline and somatic polymerase epsilon and delta mutations define a new class of hypermutated colorectal and endometrial cancers. J Pathol 2013;230:148–153.
Matias-Guiu X, Prat J . Molecular pathology of endometrial carcinoma. Histopathology 2013;62:111–123.
McConechy MK, Ding J, Cheang MC et al. Use of mutation profiles to refine the classification of endometrial carcinomas. J Pathol 2012;228:20–30.
Murali R, Soslow RA, Weigelt B . Classification of endometrial carcinoma: more than two types. Lancet Oncol 2014;15:e268–e278.
Heitzer E, Tomlinson I . Replicative DNA polymerase mutations in cancer. Curr Opin Genet Dev 2014;24:107–113.
Gilks CB, Oliva E, Soslow RA . Poor interobserver reproducibility in the diagnosis of high-grade endometrial carcinoma. Am J Surg Pathol 2013;37:874–881.
Le Gallo M, Bell DW . The emerging genomic landscape of endometrial cancer. Clin Chem 2014;60:98–110.
Zhao S, Choi M, Overton JD et al. Landscape of somatic single-nucleotide and copy-number mutations in uterine serous carcinoma. Proc Natl Acad Sci USA 2013;110:2916–2921.
Mei Z, Liu Y, Liu C et al. Tumour-infiltrating inflammation and prognosis in colorectal cancer: systematic review and meta-analysis. Br J Cancer 2014;110:1595–1605.
Loi S, Sirtaine N, Piette F et al. Prognostic and predictive value of tumor-infiltrating lymphocytes in a phase III randomized adjuvant breast cancer trial in node-positive breast cancer comparing the addition of docetaxel to doxorubicin with doxorubicin-based chemotherapy: BIG 02-98. J Clin Oncol 2013;31:860–867.
Author information
Authors and Affiliations
Corresponding author
Ethics declarations
Competing interests
The authors declare no conflict of interest.
Additional information
Part of this work was presented as a platform presentation at the 103rd United States and Canadian Academy of Pathology (USCAP) Annual Meeting, San Diego, CA, USA.
Supplementary Information accompanies the paper on Modern Pathology website
Supplementary information
Rights and permissions
About this article
Cite this article
Hussein, Y., Weigelt, B., Levine, D. et al. Clinicopathological analysis of endometrial carcinomas harboring somatic POLE exonuclease domain mutations. Mod Pathol 28, 505–514 (2015). https://doi.org/10.1038/modpathol.2014.143
Received:
Revised:
Accepted:
Published:
Issue date:
DOI: https://doi.org/10.1038/modpathol.2014.143
This article is cited by
-
Prospective molecular classification of endometrial carcinomas: institutional implementation, practice, and clinical experience
Modern Pathology (2022)
-
Endometrial cancer with a POLE mutation progresses frequently through the type I pathway despite its high-grade endometrioid morphology: a cohort study at a single institution in Japan
Medical Molecular Morphology (2021)
-
Identification of a Gene Panel for Endometrioid Endometrial Cancer: a Possible Prognostic Value?
Reproductive Sciences (2020)
-
Clinical actionability of molecular targets in endometrial cancer
Nature Reviews Cancer (2019)
-
Unsupervised Clustering of Immunohistochemical Markers to Define High-Risk Endometrial Cancer
Pathology & Oncology Research (2019)










