Abstract
OVOL1 and OVOL2 are ubiquitously conserved genes encoding C2H2 zinc-finger transcription factors in mammals. They promote epithelial cell proliferation, differentiation, and mesenchymal-to-epithelial transition, coordinately mediated via the Wnt signaling pathway. We previously reported that human OVOL1 and OVOL2 were preferentially expressed in the normal epidermis and hair follicles as well as their tumors, and found that OVOL1 is upregulated in Bowen’s disease and downregulated in cutaneous squamous cell carcinoma. The aims of this study were to elucidate the potential role of the OVOL1–OVOL2 axis in Bowen’s disease and squamous cell carcinoma, and to reveal the relationship between OVOL and c-Myc, a proto-oncogene that plays a pivotal role in the malignancy of epithelial tumors. We investigated 20 Bowen’s disease and 20 squamous cell carcinoma clinical samples and a human squamous cell carcinoma cell line (A431) using immunohistochemical staining and molecular biological approaches. Immunohistochemical analysis revealed that OVOL1 was upregulated in Bowen’s disease and markedly downregulated in squamous cell carcinoma; conversely, c-Myc was downregulated in Bowen’s disease and upregulated in squamous cell carcinoma. OVOL2 was markedly upregulated in the nucleus of Bowen’s disease cells, but the distribution of OVOL2 expression in squamous cell carcinoma varied widely; OVOL2 was typically expressed in the cytoplasm, but only sporadically in the nucleus. Furthermore, knockdown of OVOL1 using a specific small interfering RNA increased the mRNA and protein levels of c-Myc and OVOL2. Knockdown of OVOL2 did not significantly affect the mRNA and protein levels of either c-Myc or OVOL1. These results suggest that OVOL1 is an upstream suppressor of c-Myc and OVOL2, and the OVOL1–OVOL2 axis is a modulator of c-Myc, coordinately regulating the invasiveness of cutaneous squamous cell carcinoma. Taken together, this study suggests that the OVOL1–OVOL2 axis is a key modulator of c-Myc expression in the shift from in situ epidermal malignancy (Bowen’s disease) to invasive squamous cell carcinoma.
Similar content being viewed by others
Main
Cutaneous squamous cell carcinoma is the second most common type of skin cancer and is increasing in frequency every year.1, 2 It tends to occur in sun-exposed areas of the skin in the elderly. Since there is no fully effective treatment for advanced squamous cell carcinoma, it is important to prevent this disease or intervene at an early stage. Bowen’s disease is a superficial variant of cutaneous squamous cell carcinoma characterized by atypical keratinocytes throughout the entire thickness of the epidermis, but not invading the dermis. Although Bowen’s disease occasionally develops into invasive squamous cell carcinoma with an aggressive course, most Bowen’s disease cases remain dormant over a long period, being restricted to the epidermis as an in situ lesion.
OVOL1 and OVOL2 are ubiquitously conserved genes encoding C2H2 zinc-finger transcription factors in mammals; they play key roles in the development of epithelial tissues arising from germ cells.3, 4, 5 OVOL1 is expressed in multiple somatic epithelial tissues including the skin,3 and its activation redirects cell proliferation to cell differentiation.5 OVOL1 expression is transcriptionally regulated by the Wnt signaling pathway, which governs homeostasis, including the development, maintenance, and differentiation of epithelial stem cells.6, 7 OVOL2 expression has also been observed in murine and human epithelial tissues such as the skin and the germinal epithelium of the testes.8 A molecular study on OVOL2 transcription determined that OVOL1 suppresses the activity of the OVOL2 promoter in a DNA-binding-dependent manner.9 Genetic deletion of OVOL1 upregulates OVOL2 expression, leading to functional compensation by OVOL2, indicating that OVOL1 negatively regulates OVOL2 expression transcriptionally.
We previously reported that human OVOL1 and OVOL2 were preferentially expressed in the normal epidermis and hair follicles as well as their tumors,10, 11 and found that OVOL1 is upregulated in Bowen’s disease and downregulated in squamous cell carcinoma. The fact that OVOL1 and OVOL2 play a role as ‘guardians’ against epithelial-to-mesenchymal transition,12 a biological process of a polarized epithelial cell to change into a mobile mesenchymal cell,13 implies that their expression is involved in the long-term non-aggressive nature of Bowen’s disease, because complete or partial epithelial-to-mesenchymal transition is necessary when tumor cells invade the stroma. These observations led us to further investigate the expression of OVOL1 and OVOL2 using immunostaining on a larger number of Bowen’s disease and squamous cell carcinoma clinical samples to elucidate the potential role of OVOL1 and OVOL2 in Bowen’s disease and squamous cell carcinoma. We also examined the expression of c-Myc, a proto-oncoprotein that plays a pivotal role in cell proliferation, since c-Myc is reportedly a downstream target of OVOL and is involved in the malignancy of various tumors, including cutaneous epithelial tumors.5, 14, 15, 16 Finally, we examined whether the mRNA and protein levels of OVOL1, OVOL2, and c-Myc were altered by the knockdown of either OVOL1 or OVOL2 by small interfering (si) RNA transfection in A431 cells, a human squamous cell carcinoma cell line, in order to reveal the relationship among OVOL1, OVOL2, and c-Myc in squamous cell carcinoma.
Materials and methods
Tissue Samples
We examined 20 Bowen’s disease and 20 squamous cell carcinoma skin samples as well as 10 normal skin samples. All formalin-fixed and paraffin-embedded tissues were obtained from the archives of the Department of Dermatology of Kyushu University Hospital, Japan. Clinical and demographic data were retrieved from the patient files.
The diagnosis of Bowen’s disease and squamous cell carcinoma were confirmed by at least three experienced dermatopathologists, and cases suspicious of viral infection were excluded in this study.
Immunohistochemical Analysis
Immunohistochemical staining was performed as reported previously.10, 11 Briefly, formalin-fixed and paraffin-embedded tissue samples were cut into 4-μm-thick sections. After deparaffinization, rehydration, and blocking of endogenous peroxidase, antigen was retrieved using Heat Processor Solution pH6 (Nichirei Biosciences, Tokyo, Japan) at 100 °C for 40 min. Nonspecific binding was blocked using supernatant of 5% skimmed milk. The primary antibodies used were a rabbit antibody against human OVOL1 (1:100; LifeSpan BioSciences, Seattle, WA, USA), rabbit antibody against human OVOL2 (1:100; Novus Biologicals, Littleton, CO, USA), and mouse monoclonal antibody against human c-Myc (1:250; Abcam, Cambridge, UK), while the secondary antibody used was N-Histofine Simple Stain MAX-PO MULTI (Nichirei). Immunodetection was conducted with 3,3-diaminobenzidine as a chromogen, followed by light counterstaining with hematoxylin. Sections stained without primary antibody served as a negative control.
Cell Culture
Human squamous cell carcinoma A431 cells were obtained from ATCC (Manassas, VA, USA) and cultured in Dulbecco’s modified Eagle’s medium (Gibco-BRL, Grand Island, NY, USA) supplemented with 10% fetal bovine serum (Gibco-BRL) and antibiotics. Cells were grown in culture dishes at 37 °C in 5% CO2. The culture medium was replaced every 2 days.
siRNA Transfection
A431 cells were transfected with Silencer Select Pre-designed siRNA of OVOL1, siRNA of OVOL2, or siRNA consisting of a scrambled sequence that would not lead to specific degradation of any cellular message (control siRNA; Ambion, Austin, TX, USA) using HiPerfect Transfection kit (Qiagen, Courtaboeuf, France). A431 cells were seeded in six-well plates at a concentration of 5 × 104 cells per well and transfected with 30 pmol siRNAs in 3 ml of culture medium.
Quantitative RT-PCR (qRT-PCR) Analysis
Total RNA was extracted with an RNeasy Mini kit (Qiagen) 48 h after the siRNA transfection. Reverse transcription was performed with a PrimeScript RT-reagent kit (Takara Bio, Otsu, Japan). qRT-PCR was performed on an Mx3000p real-time system (Stratagene, La Jolla, CA, USA) with SYBR Premix Ex Taq (Takara Bio). Amplification was started at 95 °C for 30 s as the first step, followed by 40 cycles of qRT-PCR at 95 °C for 5 s and 60 °C for 20 s. mRNA expression was measured in triplicate and normalized to β-actin expression levels. The primers, from Takara Bio, were as follows: OVOL1 (forward 5′-ACGATGCCCATCCACTACCTG-3′; reverse 5′-TTTCTGAGGTGCTGGTCATCATTC-3′); OVOL2 (forward 5′-GGCAAGGGCTTCAACGACA-3′; reverse 5′-CTTCAGGTGGGACTCCAGAGA-3′); c-Myc (forward 5′-GAGGCGAACACACAACGTCTT-3′; reverse 5′-CGCAACAAGTCCTCTTCAGAAA-3′); and β-actin (forward 5′-ATTGCCGACAGGATGCAGA-3′; reverse 5′-GAGTACTTGCGCTCAGGAGGA-3′).
Assays were conducted in triplicate and were repeated at least three times in separate experiments.
Western Blotting
The lysates of A431 cells were collected 72 h after the siRNA transfection. A431 cells were incubated with lysis buffer (Complete Lysis-M; Roche Applied Science, Indianapolis, IN, USA). The lysate protein concentration was measured with a BCA Protein Assay kit (Pierce, Rockford, IL, USA). Equal amounts of protein (30 μg) were dissolved in NuPage LDS Sample Buffer (Invitrogen) and 10% NuPage Sample Reducing Agent (Invitrogen). Lysates were boiled at 70 °C for 10 min and loaded and run on Bolt 4–12% Bis-Tris Plus (Invitrogen) at 200 V for 20 min. The proteins were transferred to polyvinylidene fluoride membranes (Invitrogen) and blocked in 2% bovine serum albumin in 0.1% Tween-20 (Sigma-Aldrich) and Tris-buffered saline. Membranes were probed with anti-OVOL1, anti-OVOL2, anti-c-Myc, or anti-β-actin antibodies overnight at 4 °C. The secondary antibody was anti-rabbit or anti-mouse horseradish peroxidase-conjugated immunoglobulin G. Protein bands were detected with a western Breeze kit (Invitrogen). Densitometric analysis of protein bands was performed with ImageJ software (National Institutes of Health, Bethesda, MD, USA).
Statistical Analysis
All statistical analyses were performed using the GraphPad Prism statistical software package (version 6; GraphPad Software, San Diego, CA, USA). A P-value of less than 0.05 was considered to indicate statistical significance.
Results
Immunohistochemical Results
OVOL1 is upregulated in Bowen’s disease but downregulated in squamous cell carcinoma
As shown in Figure 1, OVOL1 was upregulated both in the cytoplasm and in the nucleus of Bowen’s disease cells. The staining intensity in Bowen’s disease cells (left side of the dashed line in Figure 1a) was higher than that in the adjacent epidermis (right side of the dashed line in Figure 1a), which forms a clear contrast between Bowen’s disease lesion and the normal epidermis. Some bizarre cells and multinucleated clumping cells were positive for OVOL1 (Figure 1b).
(a) OVOL1 expression in Bowen’s disease. OVOL1 is overexpressed mainly in the cytoplasm of Bowen’s disease cells (left side of the dashed line) as well as in the nucleus, which forms a clear contrast to the adjacent normal epidermal keratinocytes (right side of the dashed line). (b) Some bizarre cells and multinucleated clumping cells are positive for OVOL1.
In contrast to Bowen’s disease, most of the squamous cell carcinoma cells were negative for OVOL1 (Figure 2). Interestingly, the OVOL1 expression decreased gradually as squamous cell carcinoma cells invaded the dermis (arrows in Figure 2a), and squamous cell carcinoma cells around the cancer pearls retained OVOL1 expression (arrowheads in Figure 2b). These results strongly suggest that OVOL1 potentiates cell differentiation, leading to the prevention of epithelial-to-mesenchymal transition in cutaneous squamous cell carcinoma.
OVOL1 expression in squamous cell carcinoma. Most of the squamous cell carcinoma cells are negative for OVOL1. (a) OVOL1 expression gradually fades as the epidermal keratinocytes transit into the invasive lesion of squamous cell carcinoma (arrows). (b) Note that only a few squamous cell carcinoma cells around cancer pearls retain OVOL1 expression (arrowheads).
c-Myc is downregulated in Bowen’s disease but upregulated in squamous cell carcinoma
We further examined c-Myc expression in Bowen’s disease and squamous cell carcinoma, since OVOL1 reportedly suppresses c-Myc expression. As shown in Figure 3, most Bowen’s disease cells showed negative or faint staining for c-Myc in the specimens examined.
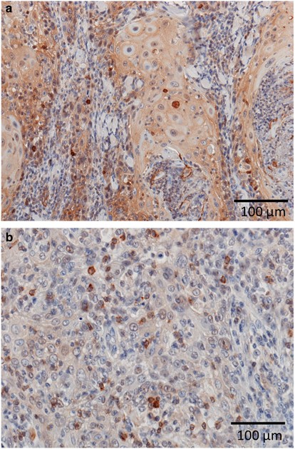
In contrast to Bowen’s disease, c-Myc was overexpressed in squamous cell carcinoma (Figure 4a and b). Positive staining of c-Myc was noted in the cytoplasm and/or nucleus, as reported previously.17 Normal skin epidermis was typically negative for c-Myc, which forms a clear contrast to the strong positive staining in squamous cell carcinoma (Figure 4a).
OVOL2 is upregulated in Bowen’s disease but its level varies in squamous cell carcinoma
Figure 5 shows the expression of OVOL2 in Bowen’s disease. OVOL2 was strongly upregulated in the nucleus of Bowen’s disease cells, which forms a stark contrast to the adjacent epidermis (Figure 5a, the dashed line indicates the border between Bowen’s disease lesion and normal skin). Most of the bizarre cells and multinucleated clumping cells were strongly stained for OVOL2, but Bowen’s disease cells in the telophase of mitosis typically lost OVOL2 expression (Figure 5b, arrowheads).
OVOL2 expression in B Bowen’s disease. (a) Most of the Bowen’s disease cells strongly express OVOL2 in the nucleus, which forms a clear contrast to the adjacent normal epidermal keratinocytes (the dashed line indicates the border between Bowen’s disease lesion and normal skin). (b) Strong nuclear staining in Bowen’s disease is evident. Most bizarre cells and multinucleated clumping cells are positive for OVOL2, but cells in the telophase of mitosis typically lose OVOL2 expression (arrowheads).
Meanwhile, the distribution and the level of OVOL2 staining of squamous cell carcinoma cells were highly diverse; most of the squamous cell carcinoma cells were positively stained in the cytoplasm, the nucleus, or both, but some showed negative staining (Figure 6). Squamous cell carcinoma cells with nuclear staining were observed only sporadically. The staining patterns of OVOL1 and OVOL2 proteins in Bowen’s disease and squamous cell carcinoma are summarized in Table 1.
(a, b) OVOL2 expression in squamous cell carcinoma. The distribution and the level of OVOL2 expression in squamous cell carcinoma are highly diverse. OVOL2 is mainly positive in the cytoplasm of squamous cell carcinoma, but negative staining or nuclear staining is also admixed. The positive staining for OVOL2 in the nucleus is sporadic.
Comparison of OVOL1, OVOL2, and c-Myc expression in Bowen’s disease and squamous cell carcinoma
Statistical analyses of OVOL1, OVOL2, and c-Myc expression in Bowen’s disease and squamous cell carcinoma are shown in Figure 7. OVOL1 was more frequently expressed in Bowen’s disease (Figure 7a), whereas c-Myc was more frequently expressed in squamous cell carcinoma (Figure 7b), which were both statistically significant (both P<0.001). As for OVOL2, when we compared the proportions of OVOL2-positive cells in the nucleus and cytoplasm, there was no significant difference between Bowen’s disease and squamous cell carcinoma (Figure 7c), whereas when we considered nuclear staining to reflect positivity, Bowen’s disease cells more frequently expressed OVOL2 (Figure 7d), which was statistically significant (P<0.001).
OVOL1 is more frequently expressed in Bowen’s disease (a), whereas c-Myc is more frequently expressed in squamous cell carcinoma (b) (both P<0.001). As for OVOL2, when we compare the proportions of cells positive for OVOL2 in the nucleus and cytoplasm, there are no significant differences between Bowen’s disease and squamous cell carcinoma (c), whereas when we consider nuclear staining as reflecting positivity, Bowen’s disease cells more frequently express OVOL2 in the nucleus (d), which is statistically significant (P<0.001). Data are expressed as mean±s.d.
In Vitro Assays Using A431 Cell Line
Knockdown of OVOL1 increased the mRNA levels of c-Myc and OVOL2
To elucidate the relationship among OVOL1, OVOL2, and c-Myc in squamous cell carcinoma cells, we analyzed the mRNA levels of OVOL1, OVOL2, and c-Myc upon the knockdown of either OVOL1 or OVOL2 using specific siRNAs in A431 cells. mRNA levels of OVOL2 and c-Myc were significantly increased by the knockdown of OVOL1 compared with those observed after transfection with control siRNA (OVOL1, 24.8±1.8% (mean±s.e.m.); OVOL2, 292.9±12.3%; c-Myc, 179.7±5.4%; P<0.01; Figure 8a–c). These results suggest that OVOL1 negatively regulates both OVOL2 and c-Myc in A431 cells.
mRNA expression of OVOLs and c-Myc upon the knockdown of OVOLs using specific siRNAs in A431 cells. (a–c) When OVOL1 is knocked down, mRNA levels of OVOL2 and c-Myc are significantly increased compared with those observed after transfection with control siRNA (OVOL1, 24.8±1.8% (mean±s.e.m.); OVOL2, 292.9±12.3%; c-Myc, 179.7±5.4%). (d–f) In contrast to knockdown of OVOL1, the expression of OVOL1 and c-Myc is not significantly affected in OVOL2 siRNA-induced A431 cells (OVOL1, 101.4±7.7%; OVOL2, 24.4±2.3%; c-Myc, 97.8±6.8%).
Knockdown of OVOL2 did not influence the mRNA levels of OVOL1 and c-Myc
In contrast to the knockdown of OVOL1, the mRNA levels of OVOL1 and c-Myc were not significantly altered by the knockdown of OVOL2 using siRNA transfection in A431 cells (OVOL1, 101.4±7.7%; OVOL2, 24.4±2.3%; c-Myc, 97.8±6.8%; P<0.01; Figure 8d–f).
Increased protein levels of OVOL2 and c-Myc by knockdown of OVOL1
To further confirm the negative regulation of OVOL2 and c-Myc by OVOL1, we then performed the western blotting. As shown in Figure 9, we observed significantly increased protein levels of OVOL2 and c-Myc by the knockdown of OVOL1 (Figure 9).
Discussion
Epithelial-to-mesenchymal transition plays crucial roles in the stromal invasion of tumor cells.17, 18 Multiple signaling pathways and various molecules are involved in this process; OVOL1 and OVOL2, two such transcription factors, have been identified as key guardians inhibit epithelial-to-mesenchymal transition and promote its mirror process, mesenchymal-to-epithelial transition.12, 19, 20, 21, 22, 23, 24, 25 c-Myc, a member of the Myc proto-oncogene family, is also an important transcription factor associated with cell proliferation, apoptosis, and the development of specific human tumors.14, 26, 27 Aberrant c-Myc expression reportedly induces cell-cycle progression and is related to poor tumoral prognosis.14 Although OVOL2 has been shown to suppress c-Myc expression, contributing to inhibition of the cell cycle and terminal differentiation in human HaCaT cells, a human epidermal keratinocyte cell line,15 how OVOL1, OVOL2, and c-Myc are involved in the epithelial-to-mesenchymal transition process and the invasiveness of epidermal malignancies, including Bowen’s disease and squamous cell carcinoma, has remained incompletely understood.
In the current study, we made several interesting findings regarding OVOL1, OVOL2, and c-Myc expression in Bowen’s disease and squamous cell carcinoma. First, OVOL1 was upregulated in Bowen’s disease but markedly downregulated in squamous cell carcinoma. Interestingly, as shown in Figure 2, OVOL1 expression gradually decreased during the transition from normal epidermal keratinocytes to invasive squamous cell carcinoma, while squamous cell carcinoma cells in the cancer pearls (well-differentiated components) retained OVOL1 expression. These results strongly suggest that OVOL1 potentiates cell differentiation, contributing to prevention of the epithelial-to-mesenchymal transition process in cutaneous squamous cell carcinoma, which accords well with the fact that OVOL1 expression was previously found to be decreased in the invasive part of the nest compared with that in its center in oral squamous cell carcinoma.20
Second, conversely to OVOL1, c-Myc expression was downregulated in Bowen’s disease but upregulated in squamous cell carcinoma. Considering the result that the knockdown of OVOL1 using siRNA transfection induced the significant upregulation of c-Myc expression in A431 cells, which suggests that OVOL1 is an upstream suppressor of c-Myc in squamous cell carcinoma cells, the downregulation of OVOL1 may be responsible for the aberrant expression of c-Myc in squamous cell carcinoma and involved in the progression of squamous cell carcinoma.14, 28
Based on our recent study showing that OVOL1 and OVOL2 are preferentially expressed in the epidermis and that the OVOL1–OVOL2 axis is activated in hair follicles and pilomatricoma, we further examined OVOL2 expression in Bowen’s disease and squamous cell carcinoma. Interestingly, the level and distribution of nuclear OVOL2 expression in squamous cell carcinoma varied markedly; some squamous cell carcinoma cells expressed OVOL2 diffusely in the cytoplasm, while its nuclear expression was sporadic, suggesting that OVOL2 activity is partially impaired in squamous cell carcinoma because the nuclear translocation of OVOL2 is mandatory to exhibit its transcriptional activity. Meanwhile, nuclear OVOL2 expression in Bowen’s disease was markedly upregulated, with clear strong staining. These observations are consistent with the fact that OVOL2 is downregulated in invasive human cancer cells, including prostate carcinoma,19 breast cancer,22 and colon cancer.24 Considering the fact that OVOL2 negatively mediates the epithelial-to-mesenchymal transition process,24 the downregulation of OVOL2 activity in squamous cell carcinoma might be involved in the invasiveness of this condition.
Moreover, both the mRNA and protein levels of OVOL2 were increased by the knockdown of OVOL1 expression using siRNA transfection in A431 cells, indicating that OVOL2 expression is suppressed by OVOL1 in squamous cell carcinoma cells. The data obtained in this study led us to speculate that (1) OVOLs work as key mediators protecting against the invasiveness of transformed keratinocytes, (2) the downregulation of OVOL2 in squamous cell carcinoma results in the acquisition of invasive potential in squamous cell carcinoma, (3) the upregulation of OVOL2 in Bowen’s disease makes the transformed cells retain their in situ phenotype, and (4) the principal up- and down-tuning of OVOL2 in Bowen’s disease and squamous cell carcinoma may drive a negative feedback mechanism resulting in the up- and downregulation of OVOL1 expression. This suggests that the OVOL1–OVOL2 axis coordinately regulates the epithelial-to-mesenchymal transition process and the invasiveness of cutaneous squamous cell carcinoma. In conclusion, this study suggests that the OVOL1–OVOL2 axis is a key modulator of c-Myc expression in the shift from in situ epidermal malignancy (Bowen’s disease) to invasive squamous cell carcinoma.
References
Gloster HM Jr, Neal K . Skin cancer in skin of color. J Am Acad Dermatol 2006;55:741–760.
Kiviat NB . Papillomaviruses in non-melanoma skin cancer: epidemiological aspects. Semin Cancer Biol 1999;9:397–403.
Dai X, Schonbaum C, Degenstein L et al. The ovo gene required for cuticle formation and oogenesis in flies is involved in hair formation and spermatogenesis in mice. Genes Dev 1998;12:3452–3463.
Johnson AD, Fitzsimmons D, Hagman J et al. EGL-38 Pax regulates the ovo-related gene lin-48 during Caenorhabditis elegans organ development. Development 2001;128:2857–2865.
Nair M, Teng A, Bilanchone V et al. Ovol1 regulates the growth arrest of embryonic epidermal progenitor cells and represses c-myc transcription. J Cell Biol 2006;173:253–264.
Li B, Mackay DR, Dai Q et al. The LEF1/beta-catenin complex activates movo1, a mouse homolog of Drosophila ovo required for epidermal appendage differentiation. Proc Natl Acad Sci USA 2002;99:6064–6069.
Lien WH, Fuchs E . Wnt some lose some: transcriptional governance of stem cells by Wnt/β-catenin signaling. Genes Dev 2014;28:1517–1532.
Li B, Dai Q, Li L et al. Ovol2, a mammalian homolog of Drosophila ovo: gene structure, chromosomal mapping, and aberrant expression in blind-sterile mice. Genomics 2002;80:319–325.
Teng A, Nair M, Wells J et al. Strain-dependent perinatal lethality of Ovol1-deficient mice and identification of Ovol2 as a downstream target of Ovol1 in skin epidermis. Biochim Biophys Acta 2007;1772:89–95.
Mitoma C, Nakahara T, Uchi H et al. Preferential expression of OVOL1 in inner root sheath of hair, sebaceous gland, eccrine duct and their neoplasms in human skin. Fukuoka Igaku Zasshi 2014;105:166–173.
Ito T, Tsuji G, Ohno F et al. Activation of the OVOL1-OVOL2 axis in the hair bulb and in pilomatricoma. Am J Pathol 2016;186:1036–1043.
Li S, Yang J . Ovol proteins: guardians against EMT during epithelial differentiation. Dev Cell 2014;29:1–2.
Kalluri R, Weinberg RA . The basics of epithelial-mesenchymal transition. J Clin Invest 2009;119:1420–1428.
Toll A, Salgado R, Yébenes M et al. MYC gene numerical aberrations in actinic keratosis and cutaneous squamous cell carcinoma. Br J Dermatol 2009;161:1112–1118.
Wells J, Lee B, Cai AQ et al. Ovol2 suppresses cell cycling and terminal differentiation of keratinocytes by directly repressing c-Myc and Notch1. J Biol Chem 2009;284:29125–29135.
Pérez-Sayáns M, Suárez-Peñaranda JM, Pilar GD et al. What real influence does the proto-oncogene c-myc have in OSCC behavior? Oral Oncol 2011;47:688–692.
Nieto MA . The ins and outs of the epithelial to mesenchymal transition in health and disease. Annu Rev Cell Dev Biol 2011;27:347–376.
Furue M . Epithelial tumor, invasion and stroma. Ann Dermatol 2011;23:125–131.
Roca H, Hernandez J, Weidner S et al. Transcription factors OVOL1 and OVOL2 induce the mesenchymal to epithelial transition in human cancer. PLoS One 2013;8:e76773.
Jensen DH, Dabelsteen E, Specht L et al. Molecular profiling of tumour budding implicates TGFβ-mediated epithelial-mesenchymal transition as a therapeutic target in oral squamous cell carcinoma. J Pathol 2015;236:505–516.
Jia D, Jolly MK, Boareto M et al. OVOL guides the epithelial-hybrid-mesenchymal transition. Oncotarget 2015;6:15436–15448.
Watanabe K, Villarreal-Ponce A, Sun P et al. Mammary morphogenesis and regeneration require the inhibition of EMT at terminal end buds by Ovol2 transcriptional repressor. Dev Cell 2014;29:59–74.
Lee B, Villarreal-Ponce A, Fallahi M et al. Transcriptional mechanisms link epithelial plasticity to adhesion and differentiation of epidermal progenitor cells. Dev Cell 2014;29:47–58.
Ye GD, Sun GB, Jiao P et al. OVOL2, an inhibitor of WNT signaling, reduces invasive activities of human and mouse cancer cells and is down-regulated in human colorectal tumors. Gastroenterology 2016;150:659–671.
Hong T, Watanabe K, Ta CH et al. An Ovol2-Zeb1 mutual inhibitory circuit governs bidirectional and multi-step transition between epithelial and mesenchymal states. PLoS Comput Biol 2015;11:e1004569.
Nesbit CE, Tersak JM, Prochownik EV . MYC oncogenes and human neoplastic disease. Oncogene 1999;18:3004–3016.
Gostissa M, Ranganath S, Bianco JM et al. Chromosomal location targets different MYC family gene members for oncogenic translocations. Proc Natl Acad Sci USA 2009;106:2265–2270.
Khan Z, Bisen PS . Oncoapoptotic signaling and deregulated target genes in cancers: special reference to oral cancer. Biochim Biophys Acta 2013;1836:123–145.
Acknowledgements
We thank Ms Yuka Eguchi for her technical support in the immunohistochemical staining. We also thank all of the patients and the members of our laboratory. This work was partly supported by grants from the Ministry of Health, Labor and Welfare, Japan; the Research on Development of New Drugs program from the Japan Agency for Medical Research and Development (AMED); and the Leading Advanced Projects for Medical Innovation (LEAP).
Author information
Authors and Affiliations
Corresponding author
Ethics declarations
Competing interests
The authors declare no conflict of interest.
Rights and permissions
About this article
Cite this article
Ito, T., Tsuji, G., Ohno, F. et al. Potential role of the OVOL1–OVOL2 axis and c-Myc in the progression of cutaneous squamous cell carcinoma. Mod Pathol 30, 919–927 (2017). https://doi.org/10.1038/modpathol.2016.169
Received:
Revised:
Accepted:
Published:
Issue date:
DOI: https://doi.org/10.1038/modpathol.2016.169
This article is cited by
-
Axial nephron fate switching demonstrates a plastic system tunable on demand
Nature Communications (2025)
-
OVOL2 impairs RHO GTPase signaling to restrain mitosis and aggressiveness of Anaplastic Thyroid Cancer
Journal of Experimental & Clinical Cancer Research (2022)
-
A tEMTing target? Clinical and experimental evidence for epithelial-mesenchymal transition in the progression of cutaneous squamous cell carcinoma (a scoping systematic review)
Discover Oncology (2022)
-
Recent progress in understanding the role of genes in the pathogenesis of cutaneous squamous cell carcinoma*
Oncology and Translational Medicine (2021)











