Abstract
Neurotropic cutaneous melanoma is a rare melanoma subtype that invades nerves and is often associated with desmoplastic melanoma. Limited data suggest that it has a greater propensity to recur locally, but it is unknown whether its behavior differs from that of other melanoma subtypes, including desmoplastic melanoma. We investigated clinicopathological predictors of outcome in a cohort of 671 patients with neurotropic melanoma to develop evidence-based management recommendations. Patients with primary neurotropic melanoma diagnosed from 1985 to 2013 were identified from the Melanoma Institute Australia database, along with a control cohort of 718 non-neurotropic melanoma patients. Features predictive of sentinel lymph node status, recurrence, melanoma-specific survival and response to adjuvant radiotherapy were sought. Neither local recurrence (hazard ratio: 1.28 (0.73–2.25) P=0.39) nor melanoma-specific survival (hazard ratio: 0.79 (0.55–1.15) P=0.22) were significantly affected by the presence of neurotropism on multivariate analysis. However, there was a markedly reduced likelihood of sentinel node positivity (hazard ratio: 0.61 (0.41–0.89) P=0.01) in neurotropic melanoma patients. Surgical margins ≥8mm halved the recurrence risk compared with <2 mm margins (hazard ratio: 0.46 (0.31–0.68) P<0.001). Additionally, in neurotropic melanoma patients with <8 mm margins, adjuvant radiotherapy halved the recurrence risk (hazard ratio: 0.48 (0.27–0.87) P=0.02). This, the largest study of neurotropic melanoma reported to date, has demonstrated that the presence of neurotropism does not alter the risk of melanoma recurrence or survival but does reduce the likelihood of sentinel node positivity. For successful treatment of neurotropic melanoma, adequate excision margins are of paramount importance. However, when adequate margins cannot be achieved, adjuvant radiotherapy reduces the risk of recurrence.
Similar content being viewed by others
Main
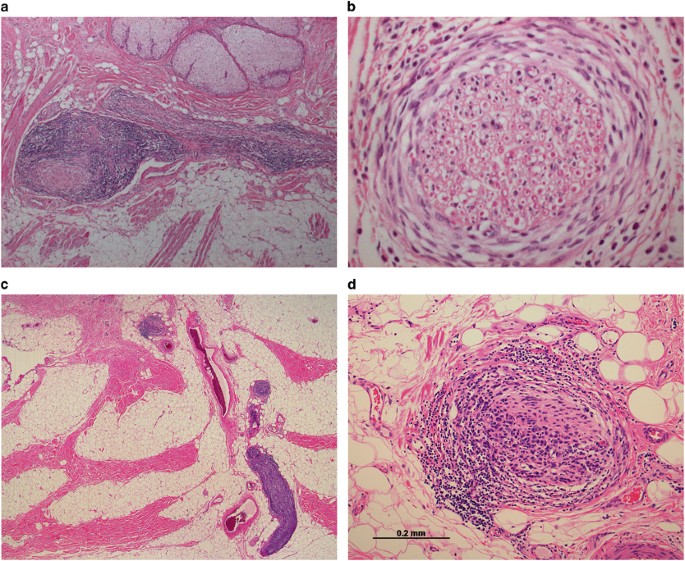
Neurotropic cutaneous melanoma is a rare form of melanoma in which some of the tumor cells invade the perineurium and spread along perineural spaces surrounding nerves (termed ‘perineural invasion’) (Figure 1). On occasion, neurotropism may be manifest by invasion of the endoneurium (termed ‘intraneural invasion’) (Figure 1). Rarely, nerve-like structures may be formed by the melanoma cells themselves (termed ‘neural transformation’) that some regard as a form of neurotropism,1 but this is not widely accepted.2 Perineural invasion was originally described as a common feature of desmoplastic melanomas3 and subsequently such melanomas were termed ‘desmoplastic neurotropic melanomas’.4 Neurotropism most commonly occurs in association with desmoplastic melanoma (about 30%) and nearly always has spindled cells. However, occasionally neurotropism occurs in non-desmoplastic melanomas,2 and the melanoma cells may be either spindled or epithelioid.
In the majority of the literature published to date on neurotropism in melanoma, it has not been evaluated as a discrete factor; instead, desmoplastic melanomas have typically been analyzed without regard to their neurotropic status.5 In particular, there is no series that includes more than five patients reporting neurotropism in the absence of a desmoplastic melanoma component;6, 7 thus the existing evidence on neurotropism has almost entirely been obtained in the context of desmoplastic melanoma. This has made interpretation of the contribution of neurotropism to the behavior of melanomas difficult or impossible to ascertain.
Despite the paucity of evidence, the presence of neurotropism is generally considered to be a negative prognostic feature. Consistent with an apparent propensity for local recurrence, adequate excision margins have been shown to be particularly important in desmoplastic neurotropic melanomas.5, 8, 9, 10 Furthermore, adjuvant radiotherapy has been shown to reduce recurrence rates of desmoplastic neurotropic melanomas,5, 8, 9, 11 although this effect has not been quantified. Additionally, case series suggest trends toward lower rates of sentinel lymph node metastases in patients with desmoplastic melanomas (including those with neurotropism) compared with those with non-desmoplastic melanomas. However, the results of these studies are likely to have been heavily influenced by the presence of desmoplastic melanoma, and the impact of neurotropism specifically as a predictor of either sentinel node status or overall survival remains uncertain from the currently available data.5, 12
To address the lack of reliable evidence on the significance of neurotropism in melanoma, we conducted a clinicopathological analysis of the largest series of patients with neurotropic melanoma (including melanomas with and without a desmoplastic component) reported to date, as far as we are aware. The neurotropic melanoma patients were compared with a control cohort of non-neurotropic melanoma patients to more accurately assess outcomes and prognosis. Additionally, the role of adjuvant radiotherapy was examined within the neurotropic melanoma group.
Materials and methods
Identification of Study Populations
The prospectively collected research database of Melanoma Institute Australia was utilized to identify all patients diagnosed with invasive neurotropic melanoma between 1985 and 2013 (inclusive). The search identified 705 patients, but 27 with significant missing data and 7 who were ineligible (including 4 with AJCC stage IV disease at diagnosis) were then excluded. Selection of a comparison control cohort of 750 patients was performed by stratifying the remaining 25 274 patients in the database diagnosed with invasive non-neurotropic melanomas during the same period and then randomly selecting the required number from each year, to match the distribution of the neurotropic cohort for year of diagnosis. Following review of the pathology reports, 30 patients were excluded owing to ineligibility (absent pathology reports, non-cutaneous melanomas, only in situ or stage IV disease and melanocytic lesions of uncertain malignant potential), and 2 were reclassified as neurotropic melanomas. The final numbers in each group suitable for analysis were 671 neurotropic and 718 non-neurotropic melanomas. For patients with multiple melanomas (n=131), the lesion diagnosed first was used in the analysis. Within the neurotropic melanoma group, 82 patients were treated with adjuvant radiotherapy, of which the protocol used was recorded for 61. In this group, the median dose was 48 Gray, administered over 20 fractions. No patients with non-neurotropic melanomas received radiotherapy. This study was conducted following approval by the Sydney Local Health District Ethics Committee (Ref. X11-0289, HREC/11/RPAH/444).
Clinicopathological Data
Clinicopathological variables recorded were: age, sex, year of diagnosis, primary tumor anatomical site, Breslow tumor thickness, ulceration status, tumor mitotic rate, presence or absence of desmoplasia, sentinel node status, AJCC stage at diagnosis, excision margin, and the lifetime number of melanomas diagnosed. All pathology specimens were reported and/or reviewed by one or more Melanoma Institute Australia-affiliated specialist pathologists. All pathology reports were reviewed to verify both the melanoma subtype and the pathological variables of interest. For neural involvement to be designated as neurotropism, it needed to be distinctly recognizable as neurotropic involvement of nerves. Nerves that were surrounded by tumor that was not clearly neurotropic and may have represented entrapment of nerves by an expanding tumor were not designated neurotropic for the purposes of this study. Generally, but not always, the neurotropic foci were outside the main tumor mass. Excision margins were determined for invasive disease based on histopathology reports utilizing previously defined methodology.13, 14, 15, 16, 17, 18 For cases in which no tumor was identified in the wide local excision specimen, the margin to the previous excision biopsy margin was added to the minimum distance of the scar to the nearest peripheral margin in the wide local excision specimen. The desmoplastic melanoma component was not stratified according to the proportion of the tumor that was desmoplastic, as this was not recorded for 68% of tumors. Recurrence data were stratified into local, regional and distant sites using the following definitions: local—within 5 cm of the primary tumor excision wound edge; regional—>5 cm from the primary tumor excision wound edge, up to and including the regional lymph node fields for that body site; and distant—in another body site. The timeframe for defining a recurrence was at least 6 weeks after biopsy diagnosis of the primary melanoma.
Regression Analyses
Patients were followed from the date of diagnosis to the date of recurrence or last contact. Those without any follow-up were excluded from survival analyses. Patients who were still alive at last follow-up were censored at that date for survival analyses and those who were free of disease at last follow-up were censored at that date for recurrence analyses.
Multivariate effect estimates for melanoma subtype (neurotropic vs non-neurotropic) and for neurotropic subtype (desmoplastic vs non-desmoplastic) were obtained, adjusting for age, sex, thickness, stage, site, ulceration status, mitotic rate and margin, as these are known clinicopathological predictors of disease outcome.5, 8, 9, 19, 20, 21 Year of diagnosis was also adjusted for to control for any potential ascertainment bias. Schoenfeld residual tests were used to verify that all variables in the multivariate models had proportional hazards. Hazard ratios for all-cause and melanoma-specific survival were estimated from Cox regression models. We included patients who had more than one primary melanoma but verified that there was no significant change to the effect estimates when these were excluded. The melanoma-specific survival analysis excluded 110 patients with unknown cause of death. Sub-hazard ratios for melanoma recurrence were estimated from competing risks regression models (with death as the competing risk). Sentinel node-positive probability ratios for having melanoma metastases in the biopsied nodes were estimated from log-binomial regression models and excluded patients who did not undergo sentinel node biopsy. Analyses were performed using the SAS 9.3 software (SAS Institute, NC, USA), except for the sub-hazard ratios, which were analyzed using the STATA 11 software (StataCorp, TX, USA).
Results
Clinicopathological Characteristics
The median follow-up time was similar in the neurotropic and the non-neurotropic melanoma groups (3.5 vs 3.6 years, Supplementary Table S1). The median age at diagnosis was 67 years in the neurotropic cohort, compared with 57 years in the non-neurotropic cohort (Supplementary Table S1). There was a male overrepresentation in the neurotropic cohort (72%) compared with the non-neurotropic cohort (56%) (Supplementary Table S1). The overall mortality rate was higher in the neurotropic cohort (33%) compared with the non-neurotropic cohort (21%).
The pathological characteristics (Table 1) demonstrated some notable differences between the two groups, with the neurotropic tumors showing a preponderance of head and neck sites, greater Breslow thicknesses, higher mitotic rates and a threefold higher rate of marginal (<2 mm) excisions. The neurotropic patients had twice the incidence of multiple primary melanomas (13 vs 6%) and a higher overall recurrence rate (32 vs 22%) but a lower sentinel node positivity rate (12 vs 18%). Perhaps the most striking difference in pathological characteristics was the association of desmoplastic melanoma subtype with neurotropism. The majority (72%) of neurotropic cases were also desmoplastic, compared with only 5% of non-neurotropic cases. However, only 28% of desmoplastic melanomas were also neurotropic. The overall incidence of neurotropism in melanomas diagnosed in our institution was 2.6%, with a non-desmoplastic neurotropic incidence of 0.8%. For the 155 desmoplastic neurotropic melanomas where the proportion of desmoplasia was recorded, 58% were ‘pure desmoplastic’ (≥90%), 37% were ‘combined’/‘mixed desmoplastic/non-desmoplastic’ (10–89%) and 4.5% had <10% of the dermal invasive tumor formed by a desmoplastic component according to the criteria proposed by the Memorial Sloan Kettering Cancer Center.22
Survival
Melanoma-specific survival analyses are presented in Table 2 and demonstrate the importance of known mortality predictors, including: Breslow thickness, higher mitotic rate, the presence of ulceration, male sex, older age, marginal excision, and the presence of stage III disease. There was no independent prognostic effect of neurotropism on melanoma-specific survival on multivariate analysis (hazard ratio: 0.79 (0.55–1.15), P=0.22), despite a borderline trend for a protective effect on univariate analysis (hazard ratio: 1.39 (0.96–1.77), P=0.09). Ulceration also lost its significance for melanoma-specific survival prediction on multivariate analysis (hazard ratio: 1.14 (0.81–1.61), P=0.45).
Recurrence
Overall melanoma recurrence (Table 3) at any site was not increased with the presence of neurotropism on multivariate analysis (hazard ratio: 0.87 (0.65–1.17), P=0.35), despite a significant univariate analysis result (hazard ratio: 1.34 (1.07–1.68), P=0.01). The independently significant predictors of recurrence were: Breslow thickness, presence of stage III disease, ulceration, and excision margin. When further subdividing recurrence into local, regional and distant sites, there remained no significant effect of neurotropism on multivariate analysis (P=0.39, P=0.22 and P=0.42, respectively). The importance of excision margins in relation to recurrence is highlighted in the results presented in Table 4, with the local recurrence hazard ratio increasing fourfold and doubling for both regional and distant recurrences for tumors excised with <2 mm margins compared with ≥8 mm pathological margins (corresponding approximately to a 1 cm surgical margin).23 There was a significantly higher rate of marginal excision (<2 mm) in the neurotropic melanoma cohort (14%) than the non-neurotropic cohort (5%, P=<0.001).
The probability of having a sentinel node metastasis at the time of diagnosis was 39% lower (Figure 2, Table 5) for neurotropic melanomas than non-neurotropic melanomas (hazard ratio: 0.61 (0.41–0.89), P=0.01) on multivariate analysis.
The point estimates for the hazard ratios for the risk of sentinel lymph node (sentinel node) positivity are shown by the diamonds, with 95% confidence intervals. This shows a significantly lower risk of sentinel node positivity in neurotropic compared with non-neurotropic melanomas (hazard ratio: 0.61, P=0.01) on multivariate analysis. When neurotropic melanomas were analyzed by subtype according to the presence or absence of a desmoplastic melanoma component, desmoplasia conferred a univariate hazard ratio of 0.39 (P=0.002), although we were unable to confirm this with a multivariate analysis due to model instability. This suggests that the propensity for less frequent sentinel node metastasis in neurotropic melanoma is driven by the presence of any desmoplastic melanoma component.
Association Between Neurotropic Melanoma and Desmoplastic Melanoma
We performed subgroup analyses of the neurotropic melanomas, separated according to whether or not the tumor was also desmoplastic. There was no difference in melanoma-specific survival between the desmoplastic and non-desmoplastic neurotropic melanoma patients on multivariate analysis (hazard ratio: 0.72 (0.44–1.16), P=0.17, Supplementary Table S2). However, a reduced risk of regional recurrence was observed in the desmoplastic subgroup (hazard ratio: 0.57 (0.35–0.93), P=0.02 on multivariate analysis, Supplementary Table S3). Similarly, there was a 61% reduced risk of sentinel node positivity in the desmoplastic subgroup compared with the non-desmoplastic subgroup (Figure 1,Supplementary Table S4, univariate analysis). Unfortunately, we were unable to obtain convergence of the multivariate model for sentinel node status. However, as a substitute for true multivariate analysis, we conducted dual variable analyses, assessing the confounding effect each had on the hazard ratio estimate for desmoplastic melanomas (Supplementary Table S5). These analyses were also consistent with a reduced probability of having sentinel node metastases in the presence of desmoplastic melanoma.
Radiotherapy in Patients with Neurotropic Melanoma
Eighty-two patients with neurotropic melanomas were given adjuvant radiotherapy to the primary site, allowing the effect of this on survival and recurrence to be assessed. Overall, there was no effect of radiotherapy on overall or melanoma-specific survival (P=0.31, P=0.55 respectively). However, multivariate analysis confirmed that there was a significant reduction in the overall risk of recurrence (hazard ratio: 0.51 (0.29–0.87), PP=0.01, Figure 3), particularly at the local site (hazard ratio: 0.30 (0.13–0.69), P=0.005) and probably also regionally (hazard ratio: 0.41 (0.17–0.98), P=0.05) but not distantly (hazard ratio: 0.60 (0.29–1.24), P=0.17).
The point estimates for the multivariate adjusted hazard ratios for the risk of recurrence with adjuvant postoperative radiotherapy in neurotropic melanomas are shown as diamonds, with the 95% confidence intervals. Adjuvant radiotherapy halved the risk of recurrence at any site (hazard ratio: 0.51, P=0.01). This risk reduction in recurrence appeared to be mainly due to a 70% local risk reduction (P=0.005) and possibly a regional risk reduction (hazard ratio: 0.41, P=0.05). There was no evidence of a reduction in the risk of distant recurrence (P=0.17).
Radiotherapy for Neurotropic Melanomas with and Without a Desmoplastic Melanoma Component
We performed subgroup analyses for the effects of adjuvant radiotherapy on neurotropic melanomas, separated according to whether or not the tumor was also desmoplastic. No significant differences were observed in the risk of recurrence, melanoma-specific survival or overall survival between the two subgroups.
Radiotherapy and Margins
To determine whether radiotherapy was of benefit in reducing recurrence irrespective of pathological margin size, we compared the effects substratified by size of margin, using multivariate analysis. Figure 4 shows that the benefits of postoperative adjuvant radiotherapy were significant in those patients with <8 mm pathological resection margins, with a hazard ratio for all site recurrence of 0.48 (0.27–0.87, P=0.02). In contrast, in those patients whose resection margin was ≥8 mm, there was no evidence of a benefit from receiving adjuvant radiotherapy (hazard ratio: 1.01 (0.38–2.71), P=0.98).
The point estimates for the multivariate adjusted hazard ratios for the risk of all site recurrence with adjuvant postoperative radiotherapy in neurotropic melanomas are shown as diamonds, with the 95% confidence intervals. Adjuvant radiotherapy in patients with inadequately excised tumors halved the risk of recurrence at any site (P=0.02). However, this benefit was not seen with tumors that were excised with at least 8 mm pathological margins (P=0.98).
Discussion
There is a general perception in the literature that neurotropic melanomas have a higher risk of local recurrence, a lower incidence of sentinel node positivity and a lower risk of distant metastasis than non-neurotropic melanomas.24 This is consistent with our univariate results in which the local recurrence hazard ratio for neurotropism was 1.93 (1.22–3.05, P=0.005). However, our multivariate analysis results demonstrate that once confounding factors were accounted for, such as the tendency for the tumors to be thicker and have a higher mitotic rate, neurotropism was no longer a significant risk factor for local recurrence, with the hazard ratio falling to 1.28 (0.73–2.25, P=0.39). Consistent with previous studies, the most important determinant of local recurrence was in fact the adequacy of excision margins,5 with the hazard ratio for tumors excised with a ≥8 mm pathological margin (corresponding to a ≥1.0 cm surgical excision margin) fourfold lower than for those that had a marginal excision of <2 mm (P<0.001). The adequacy of excision margins also impacted significantly on regional and distant recurrence rates. As separation of the larger margins group into several different groups caused model instability when performing multivariate analysis, we were unable to determine whether there was any additional benefit on reduction of recurrence rates with pathological margins of ≥16 mm compared with compared with ≥8 mm. However, we did find that, for those patients who had <8 mm pathological margins, radiotherapy reduced the risk of local recurrence by 70% and possibly also regional recurrence, consistent with the results of two recent studies of radiotherapy in desmoplastic melanomas8, 9 and the trend observed in our previous study of desmoplastic neurotropic melanomas.5 Furthermore, we did not find any evidence of a difference between desmoplastic and non-desmoplastic neurotropic melanomas in their response to adjuvant radiotherapy (P=0.95), confirming that this is a useful therapy in all patients with neurotropic melanomas. Our finding that all neurotropic melanomas appear to be radiosensitive, not just those associated with desmoplastic melanoma, is important and consistent with the results of the ANZMTG/TROG trial of adjuvant radiotherapy after therapeutic lymphadenectomy.25
The slight trend toward a lower risk of regional recurrence seen with neurotropic melanomas is probably due to the borderline significant trend observed in the desmoplastic subgroup. Similarly, the lower risk of metastasis to sentinel nodes that was observed with neurotropism was likely due to the presence of associated desmoplastic melanoma (present in the majority of the tumors), which had a univariate hazard ratio of 0.39 (P=0.002) compared with neurotropism without a desmoplastic component. Unfortunately, we were unable to verify with multivariate analysis that this difference was due to the presence of a desmoplastic melanoma component, due to model instability. However, the 8% rate of sentinel node positivity we observed in desmoplastic neurotropic melanomas was consistent with most previous reports of desmoplastic melanoma patients8, 9, 26 and substantially lower than the 21% rate in our non-desmoplastic neurotropic cohort. A notable difference in results exists between our study and that by Han et al,10 in which they found a 17.4% sentinel node positivity rate among 316 desmoplastic melanoma patients, of whom 149 had neurotropism. Furthermore, they found that neurotropism had a hazard ratio for recurrence of 1.78 (1.14–2.78, P=0.01) on multivariate analysis. However, of note is their categorization of margins simply as involved or not, whereas our study included a three-tier margin categorization, and demonstrated that a margin <8 mm on histopathological assessment was a significant risk for recurrence, which may explain the discrepancy.
Clinical Presentation
Desmoplastic neurotropic melanomas often present as either scars or morphea, resulting in delays in diagnosis and appropriate management.2, 27, 28 Whereas, in our experience, non-desmoplastic neurotropic melanomas resemble their non-neurotropic counterparts and rarely present as scars or morphea.
Strengths and Weaknesses of this Study
As this study is many fold larger than any previously reported study of neurotropic melanomas in the absence of a desmoplasia and several times larger than any previous study of desmoplastic neurotropic melanomas, it is the first to be adequately powered to determine the effect of neurotropism on the behavior of cutaneous melanoma. Furthermore, in contrast to prior studies, this one also includes a control cohort for comparison.
As adjuvant radiotherapy was only administered to patients with neurotropic melanomas, we were not able to determine its effect on non-neurotropic melanomas. Furthermore, selection of patients was not randomized, therefore we cannot rule out selection bias within this subgroup of neurotropic melanoma patients, though multivariate analysis should have accounted for confounding differences.
Novel Findings
The novel findings in this study are that neurotropism, irrespective of whether or not it is present in a desmoplastic or non-desmoplastic melanoma, does not confer any survival or recurrence hazard or benefit compared with known clinicopathological predictors of outcome. However, similar to non-neurotropic melanomas, the presence of a desmoplastic melanoma component reduces the risk of sentinel node positivity and regional recurrence. Furthermore, neurotropic melanomas were nearly three times as likely to have a borderline margin of excision compared with non-neurotropic melanomas, thus increasing the likelihood of local recurrence fourfold and regional or distant recurrence twofold. However, neurotropic melanomas with borderline adequate excision margins are responsive to adjuvant radiotherapy, which can halve the risk of local recurrence.
References
Smithers BM, McLeod GR, Little JH . Desmoplastic neural transforming and neurotropic melanoma: a review of 45 cases. Aust N Z J Surg 1990;60:967–972.
McCarthy SW, Scolyer RA, Palmer AA . Desmoplastic melanoma: a diagnostic trap for the unwary. Pathology 2004;36:445–451.
Conley J, Lattes R, Orr W . Desmoplastic malignant melanoma (a rare variant of spindle cell melanoma). Cancer 1971;28:914–936.
Reed RJ, Leonard DD . Neurotropic melanoma. A variant of desmoplastic melanoma. Am J Surg Pathol 1979;3:301–311.
Chen JY, Hruby G, Scolyer RA et al, Desmoplastic neurotropic melanoma: a clinicopathologic analysis of 128 cases. Cancer 2008;113:2770–2778.
Baer SC, Schultz D, Synnestvedt M et al, Desmoplasia and neurotropism. Prognostic variables in patients with stage I melanoma. Cancer 1995;76:2242–2247.
Smithers BM, McLeod GR, Little JH . Desmoplastic melanoma: patterns of recurrence. World J Surg 1992;16:186–190.
Guadagnolo BA, Prieto V, Weber R et al, The role of adjuvant radiotherapy in the local management of desmoplastic melanoma. Cancer 2014;120:1361–1368.
Strom T, Caudell JJ, Han D et al, Radiotherapy influences local control in patients with desmoplastic melanoma. Cancer 2014;120:1369–1378.
Han D, Han G, Zhao X et al, Clinicopathologic predictors of survival in patients with desmoplastic melanoma. PLoS ONE 2015;10:e0119716.
Foote MC, Burmeister B, Burmeister E et al, Desmoplastic melanoma: the role of radiotherapy in improving local control. Aust N Z J Surg 2008;78:273–276.
Su LD, Fullen DR, Lowe L et al, Desmoplastic and neurotropic melanoma. Cancer 2004;100:598–604.
McKinnon JG, Starritt EC, Scolyer RA et al, Histopathologic excision margin affects local recurrence rate: analysis of 2681 patients with melanomas ≤2 mm thick. Ann Surg 2005;241:326–333.
Silverman MK, Golomb FM, Kopf AW et al, Verification of a formula for determination of preexcision surgical margins from fixed-tissue melanoma specimens. J Am Acad Dermatol 1992;27:214–219.
Haydu LE, Stollman JT, Scolyer RA et al, Minimum safe pathologic excision margins for primary cutaneous melanomas (1-2 mm in thickness): analysis of 2131 patients treated at a single center. Ann Surg Oncol 2016;23:1071–1081.
MacKenzie Ross AD, Haydu LE, Quinn MJ et al, The association between excision margins and local recurrence in 11,290 thin (T1) primary cutaneous melanomas: a case-control study. Ann Surg Oncol 2016;23:1082–1089.
Harish V, Bond JS, Scolyer RA et al, Margins of excision and prognostic factors for cutaneous eyelid melanomas. J Plast Reconstr Aesthet Surg 2013;66:1066–1073.
Pasquali S, Haydu LE, Scolyer RA et al, The importance of adequate primary tumor excision margins and sentinel node biopsy in achieving optimal locoregional control for patients with thick primary melanomas. Ann Surg 2013;258:152–157.
Balch CM, Gershenwald JE, Soong SJ et al, Final version of 2009 AJCC melanoma staging and classification. J Clin Oncol 2009;27:6199–6206.
Balch CM, Soong SJ, Gershenwald JE et al, Age as a prognostic factor in patients with localized melanoma and regional metastases. Ann Surg Oncol 2013;20:3961–3968.
Thompson JF, Soong SJ, Balch CM et al, Prognostic significance of mitotic rate in localized primary cutaneous melanoma: an analysis of patients in the multi-institutional American Joint Committee on Cancer melanoma staging database. J Clin Oncol 2011;29:2199–2205.
Busam KJ, Zhao H, Coit DG et al, Distinction of desmoplastic melanoma from non-desmoplastic melanoma by gene expression profiling. J Invest Dermatol 2005;124:412–418.
Kerns MJ, Darst MA, Olsen TG et al, Shrinkage of cutaneous specimens: formalin or other factors involved? J Cutan Pathol 2008;35:1093–1096.
Croker J, Burmeister B, Foote M . Neurotropic melanoma: the management of localised disease. J Skin Cancer 2012;706452.
Burmeister BH, Henderson MA, Ainslie J et al, Adjuvant radiotherapy versus observation alone for patients at risk of lymph-node field relapse after therapeutic lymphadenectomy for melanoma: a randomised trial. Lancet Oncol 2012;13:589–597.
Murali R, Shaw HM, Lai K et al, Prognostic factors in cutaneous desmoplastic melanoma: a study of 252 patients. Cancer 2010;116:4130–4138.
de Almeida LS, Requena L, Rutten A et al, Desmoplastic malignant melanoma: a clinicopathologic analysis of 113 cases. Am J Dermatopathol 2008;30:207–215.
Manganoni AM, Farisoglio C, Bassissi S et al, Desmoplastic melanoma: report of 5 cases. Dermatol Res Pract 2009;679010.
Acknowledgements
We thank the support and assistance of colleagues at the Department of Tissue Oncology and Diagnostic Pathology, Royal Prince Alfred Hospital and Melanoma Institute Australia. In particular, we thank Hazel Burke, Melanoma Institute Australia, who performed the data extraction. Funding support from the National Health and Medical Research Council, Cancer Institute New South Wales, Melanoma Institute Australia and The Melanoma Foundation of the University of Sydney is also acknowledged. RAS is a National Health and Medical Research Council Practitioner Fellow. JFT is supported by the Medical Foundation of the University of Sydney.
Author information
Authors and Affiliations
Corresponding author
Ethics declarations
Competing interests
The authors declare no conflict of interest.
Additional information
Supplementary Information accompanies the paper on Modern Pathology website
Supplementary information
Rights and permissions
About this article
Cite this article
Varey, A., Goumas, C., Hong, A. et al. Neurotropic melanoma: an analysis of the clinicopathological features, management strategies and survival outcomes for 671 patients treated at a tertiary referral center. Mod Pathol 30, 1538–1550 (2017). https://doi.org/10.1038/modpathol.2017.76
Received:
Revised:
Accepted:
Published:
Issue date:
DOI: https://doi.org/10.1038/modpathol.2017.76






