Abstract
Background A 56-year-old man initially presented to a local urologist with severe lower urinary tract symptoms and microhematuria. He had a history of hypertension, hyperlipidemia, mild asthma, gastroesophageal reflux disease, erectile dysfunction, and pyeloplasty as a child. Investigations at this time included urinalysis, measurement of serum PSA levels, cystoscopy, urine cytology, and renal ultrasonography. The findings were suggestive of benign prostatic hyperplasia, and the patient received finasteride, tamsulosin, and underwent transurethral needle ablation of the prostate. Four years after the initial presentation, the patient presented to a tertiary institution with worsened symptoms.
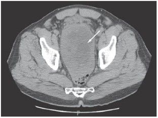
Investigations Upon re-presentation, investigations included measurement of serum PSA levels, pelvic CT, transrectal ultrasoundguided prostate biopsy, histological examination of the biopsy specimen and immunohistochemical staining.
Diagnosis Gastrointestinal stromal tumor.
Management Imatinib 400 mg daily followed by surgical resection.
This is a preview of subscription content, access via your institution
Access options
Subscribe to this journal
Receive 12 print issues and online access
$189.00 per year
only $15.75 per issue
Buy this article
- Purchase on SpringerLink
- Instant access to the full article PDF.
USD 39.95
Prices may be subject to local taxes which are calculated during checkout


References
Hansel DE et al. (2007) Spindle cell lesions of the adult prostate. Mod Pathol 20: 148–158
Rubin BP et al. (2007) Gastrointestinal stromal tumour. Lancet 369: 1731–1741
Duffaud F and Blay JY (2003) Gastrointestinal stromal tumors: biology and treatment. Oncology 65: 187–197
Kalender ME et al. (2007) Gastric and prostate adenocarcinoma in a patient with metastatic gastrointestinal stromal tumor. Onkologie 30: 568–570
Agaimy A et al. (2006) Occurrence of other malignancies in patients with gastrointestinal stromal tumors. Semin Diagn Pathol 23: 120–129
Van der Aa F et al. (2005) Gastrointestinal stromal tumor of the prostate. Urology 65: 388
Lee CH et al. (2006) Gastrointestinal stromal tumor of the prostate: a case report and literature review. Hum Pathol 37: 1361–1365
Van der Aa F et al. (2003) Interstitial cells in the human prostate: a new therapeutic target? Prostate 56: 250–255
Madden JF et al. (2005) Anterior rectal wall gastrointestinal stromal tumor presenting clinically as prostatic mass. Urol Oncol 23: 268–272
Herawi M et al. (2006) Gastrointestinal stromal tumors (GISTs) on prostate needle biopsy: a clinicopathologic study of 8 cases. Am J Surg Pathol 30: 1389–1395
Druker BJ et al. (2001) Efficacy and safety of a specific inhibitor of the BCR–ABL tyrosine kinase in chronic myeloid leukemia. N Engl J Med 344: 1031–1037
Demetri GD et al. (2002) Efficacy and safety of imatinib mesylate in advanced gastrointestinal stromal tumors. N Engl J Med 347: 472–480
National Comprehensive Cancer Network (online 28 May 2008) NCCN Clinical Practice Guidelines in Oncology™ Soft Tissue Sarcoma V.2.2008 [http://www.nccn.org/professionals/physician_gls/PDF/sarcoma.pdf] (accessed 10 November 2008)
Schoonen WM et al. (2005) Alcohol consumption and risk of prostate cancer in middle-aged men. Int J Cancer 113: 133–140
Bonvalot S et al. (2006) Impact of surgery on advanced gastrointestinal stromal tumors (GIST) in the imatinib era. Ann Surg Oncol 13: 1596–1603
Antonescu CR (2008) Targeted therapy of cancer: new roles for pathologists in identifying GISTs and other sarcomas. Mod Pathol 21 (Suppl 2): S31–S36
Acknowledgements
The authors would like to thank Jonathan I Epstein, MD, and the Johns Hopkins Department of Pathology, for help with the preparation of the histologic slide featured in Figure 2.
Author information
Authors and Affiliations
Ethics declarations
Competing interests
The authors declare no competing financial interests.
Rights and permissions
About this article
Cite this article
Loeb, S., Lotan, T., Thornton, K. et al. A case of gastrointestinal stromal tumor diagnosed on prostate biopsy. Nat Rev Urol 6, 54–57 (2009). https://doi.org/10.1038/ncpuro1264
Received:
Accepted:
Published:
Issue date:
DOI: https://doi.org/10.1038/ncpuro1264