Abstract
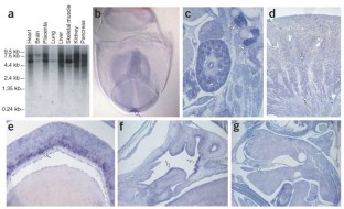
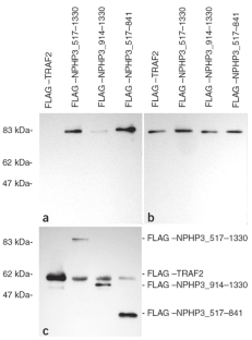
Nephronophthisis (NPHP), a group of autosomal recessive cystic kidney disorders, is the most common genetic cause of progressive renal failure in children and young adults1. NPHP may be associated with Leber congenital amaurosis, tapeto-retinal degeneration, cerebellar ataxia, cone-shaped epiphyses, congenital oculomotor apraxia and hepatic fibrosis2,3,4,5,6. Loci associated with an infantile type of NPHP on 9q22–q31 (NPHP2), juvenile types of NPHP on chromosomes 2q12–q13 (NPHP1) and 1p36 (NPHP4) and an adolescent type of NPHP on 3q21–q22 (NPHP3) have been mapped7,8,9,10. NPHP1 and NPHP4 have been identified11,12,13, and interaction of the respective encoded proteins nephrocystin and nephrocystin-4 has been shown13. Here we report the identification of NPHP3, encoding a novel 1,330-amino acid protein that interacts with nephrocystin. We describe mutations in NPHP3 in families with isolated NPHP and in families with NPHP with associated hepatic fibrosis or tapeto-retinal degeneration. We show that the mouse ortholog Nphp3 is expressed in the node, kidney tubules, retina, respiratory epithelium, liver, biliary tract and neural tissues. In addition, we show that a homozygous missense mutation in Nphp3 is probably responsible for the polycystic kidney disease (pcy) mouse phenotype14. Interventional studies in the pcy mouse have shown beneficial effects by modification of protein intake and administration of methylprednisolone15,16,17, suggesting therapeutic strategies for treating individuals with NPHP3.
This is a preview of subscription content, access via your institution
Access options
Subscribe to this journal
Receive 12 print issues and online access
$259.00 per year
only $21.58 per issue
Buy this article
- Purchase on SpringerLink
- Instant access to the full article PDF.
USD 39.95
Prices may be subject to local taxes which are calculated during checkout



Similar content being viewed by others
References
Hildebrandt, F. & Omran, H. New insights: nephronophthisis/medullary cystic kidney disease. Ped. Nephrol. 16, 168–176 (2001).
Mainzer, F., Saldino, R.M., Ozonoff, M.B. & Minagi, H. Familial nephropathy associated with retinitis pigmentosa, cerebellar ataxia and skeletal abnormalities. Am. J. Med. 49, 556–562 (1970).
Boichis, H., Passwell, J., David, R. & Miller, H. Congenital hepatic fibrosis and nephronophthisis: a family study. Q. J. Med. 42, 221–233 (1973).
Løken, A.C., Hanssen, O., Halvorsen, S. & Jølster, N.J. Hereditary renal dysplasia and blindness. Acta Paediatr. 50, 177–184 (1961).
Senior, B., Friedmann, A.I. & Braudo, J.L. Juvenile familial nephropathy with tapetoretinal degeneration: a new oculo-renal dystrophy. Am. J. Opthalmol. 52, 625–633 (1961).
Betz, R. et al. Children with ocular motor apraxia type Cogan carry deletions in the gene (NPHP1) for juvenile nephronophthisis. J. Pediatr. 136, 828–831 (2000).
Haider, N.B. et al. A Bedouin kindred with infantile nephronophthisis demonstrates linkage to chromosome 9 by homozygosity mapping. Am. J. Hum. Genet. 63, 1404–1410 (1998).
Antignac, C. et al. A gene for familial juvenile nephronophthisis (recessive medullary cystic kidney disease) maps to chromosome 2p. Nat. Genet. 3, 342–345 (1993).
Schuermann, M.J. et al. Mapping of gene loci for nephronophthisis type 4 and Senior-Løken syndrome to chromosome 1p36. Am. J. Hum. Genet. 70, 1240–1246 (2002).
Omran, H. et al. Identification of a new gene locus for adolescent nephronophthisis, on chromosome 3q22 in a large Venezuelan pedigree. Am. J. Hum. Genet. 66, 118–127 (2000).
Hildebrandt, F. et al. A novel gene encoding an SH3 domain protein is mutated in nephronophthisis type 1. Nat. Genet. 17, 149–153 (1997).
Otto, E. et al. A gene mutated in nephronophthisis and retinitis pigmentosa encodes a novel protein, nephroretinin, conserved in evolution. Am. J. Hum. Genet. 71, 1240–1246 (2002).
Mollet, G. et al. The gene mutated in juvenile nephronophthisis type 4 encodes a novel protein that interacts with nephrocystin. Nat. Genet. 32, 300–305 (2002).
Takahashi, H. et al. A new mouse model of genetically transmitted polycystic kidney disease. J. Urol. 135, 1280–1283 (1986).
Aukema, H.M. et al. Effects of dietary protein restriction and oil type on the early progression of murine polycystic kidney disease. Kidney Int. 42, 837–842 (1992).
Tomobe, K. Effect of dietary soy protein and genistein on disease progression in mice with polycystic kidney disease. Am. J. Kidney Dis. 31, 55–61 (1998).
Gattone, V.H. et al. Methylprednisolone retards the progression of inherited polycystic kidney disease in rodents. Am. J. Kidney Dis. 25, 302–313 (1995).
Omran, H. et al. Identification of a gene locus for Senior-Løken Syndrome in the region of the nephronophthisis type 3 Gene. J. Am. Soc. Nephrol. 13, 75–79 (2002).
Volz, A., Melkaoui, R., Hildebrandt, F. & Omran, H. Candidate gene analysis of KIAA0678 encoding a DnaJ-like protein for adolescent nephronophthisis and Senior-Løken syndrome type 3. Cytogenet. Genome Res. 97, 163–166 (2002).
Omran, H. et al. Evidence for further genetic heterogeneity in nephronophthisis. Nephrol. Dial. Transplant. 16, 755–758 (2001).
Omran, H. et al. Human adolescent nephronophthisis: gene locus synteny with polycystic kidney disease in pcy mice. J. Am. Soc. Nephrol. 12, 107–113 (2001).
Pazour, G.J. et al. Chlamydomonas IFT88 and its mouse homologue, polycystic kidney disease gene tg737, are required for assembly of cilia and flagella. J. Cell Biol. 151, 709–718 (2000).
Murcia, N.S. et al. The Oak Ridge polycystic kidney (orpk) disease gene is required for left-right axis determination. Development 127, 2347–2355 (2000).
Moyer, J.H. et al. Candidate gene associated with a mutation causing recessive polycystic kidney disease in mice. Science 264, 1329–1333 (1994).
Pennekamp, P. et al. The ion channel polycystin-2 is required for left-right axis determination in mice. Curr. Biol. 12, 938–943 (2002).
Pazour, G.J. et al. Polycystin-2 localizes to kidney cilia and the ciliary level is elevated in orpk mice with polycystic kidney disease. Curr. Biol. 12, R378–R380 (2002).
Erck, C., Frank, R. & Wehland, J. Tubulin-tyrosine ligase, a long lasting enigma. Neurochem. Res. 25, 5–10 (2000).
Benzing, T. et al. Nephrocystin interacts with Pyk2, p130(Cas), and tensin and triggers phosphorylation of Pyk2. Proc. Natl. Acad. Sci. USA 98, 9784–9789 (2001).
Donaldson, J.C. et al. Crk-associated substrate p130(Cas) interacts with nephrocystin and both proteins localize to cell-cell contacts of polarized epithelial cells. Exp. Cell Res. 256, 168–178 (2000).
Nauli, S.M. et al. Polycystins 1 and 2 mediate mechanosensation in the primary cilium of kidney cells. Nat. Genet. 33, 129–137 (2003).
Acknowledgements
We thank the affected individuals and their families for their participation in this study, R. Melkaoui and M. Petry for technical assistance and B. Kränzlin for microscopic photographs. This work was supported by the Italian Association for Leber's Congenital Amaurosis and by grants from the German Research Foundation (H.O. and A.K.), Zentrum für klinische Forschung Freiburg (H.O.) and the F.G. L. Huetwell fund (F.H.).
Author information
Authors and Affiliations
Corresponding author
Ethics declarations
Competing interests
The authors declare no competing financial interests.
Supplementary information
Rights and permissions
About this article
Cite this article
Olbrich, H., Fliegauf, M., Hoefele, J. et al. Mutations in a novel gene, NPHP3, cause adolescent nephronophthisis, tapeto-retinal degeneration and hepatic fibrosis. Nat Genet 34, 455–459 (2003). https://doi.org/10.1038/ng1216
Received:
Accepted:
Published:
Issue date:
DOI: https://doi.org/10.1038/ng1216
This article is cited by
-
Nephronophthisis: a pathological and genetic perspective
Pediatric Nephrology (2023)
-
Whole-exome sequencing reveals a combination of extremely rare single-nucleotide polymorphism of DNAH9 and RSPH1 genes in a Japanese fetus with situs viscerum inversus
Medical Molecular Morphology (2021)
-
Diagnostic utility of whole-genome sequencing for nephronophthisis
npj Genomic Medicine (2020)
-
Compound heterozygous splice site variants in the SCLT1 gene highlight an additional candidate locus for Senior-Løken syndrome
Scientific Reports (2018)
-
Human urine-derived renal epithelial cells provide insights into kidney-specific alternate splicing variants
European Journal of Human Genetics (2018)


