Abstract
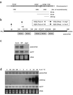
Cold induces expression of a number of genes that encode proteins that enhance tolerance to freezing temperatures in plants1,2. A cis-acting element responsive to cold and drought, the C-repeat/dehydration-responsive element (C/DRE), was identified in the Arabidopsis thaliana stress-inducible genes RD29A3 and COR15a4 and found in other cold-inducible genes in various plants1,5. C/DRE-binding factor/DRE-binding protein (CBF/DREB) is an essential component of the cold-acclimation response1,2, but the signaling pathways and networks are mostly unknown. Here we used targeted genetic approach to isolate A. thaliana mutants with altered cold-responsive gene expression (acg) and identify ACG1 as a negative regulator of the CBF/DREB pathway. acg1 flowered late and had elevated expression of FLOWERING LOCUS C (FLC)6, a repressor of flowering encoding a MADS-box protein. We showed that acg1 is a null allele of the autonomous pathway gene FVE. FVE encodes a homolog of the mammalian retinoblastoma-associated protein, a component of a histone deacetylase (HDAC) complex involved in transcriptional repression7,8. We also showed that plants sense intermittent cold stress through FVE and delay flowering with increasing expression of FLC. Dual roles of FVE in regulating the flowering time and the cold response may have an evolutionary advantage for plants by increasing their survival rates.
This is a preview of subscription content, access via your institution
Access options
Subscribe to this journal
Receive 12 print issues and online access
$259.00 per year
only $21.58 per issue
Buy this article
- Purchase on SpringerLink
- Instant access to the full article PDF.
USD 39.95
Prices may be subject to local taxes which are calculated during checkout





Similar content being viewed by others
References
Thomashow, M.F. Plant cold acclimation: freezing tolerance genes and regulatory mechanisms. Ann. Rev. Plant Physiol. Plant Mol. Biol. 50, 571–599 (1999).
Shinozaki, K. & Yamaguchi-Shinozaki, K. Molecular responses to dehydration and low temperature: differences and cross-talk between two stress signaling pathways. Curr. Opin. Plant Biol. 3, 353–360 (2000).
Yamaguchi-Shinozaki, K. & Shinozaki, K. A novel cis-acting element in an Arabidopsis gene is involved in responsiveness to drought, low temperature, or high-salt stress. Plant Cell 6, 251–264 (1994).
Baker, S.S., Wilhelm, K.S. & Thomashow, M.F. The 5′-region of Arabidopsis thaliana cor15a has cis-acting elements that confer cold-, drought- and ABA-regulated gene expression. Plant Mol. Biol. 24, 701–713 (1994).
Jaglo, K.R. et al. Components of the Arabidopsis C-repeat/dehydration- responsive element binding factor cold-response pathway are conserved in Brassica napus and other plant species. Plant Physiol. 127, 910–917 (2001).
Michaels, S.D. & Amasino, R.M. FLOWERING LOCUS C encodes a novel MADS domain protein that acts as a repressor of flowering. Plant Cell 11, 949–956 (1999).
Brehm, A. et al. Retinoblastoma protein recruits histone deacetylase to repress transcription. Nature 391, 597–601 (1998).
Nicolas, E. et al. RbAp48 belongs to the histone deacetylase complex that associates with the retinoblastoma protein. J. Biol. Chem. 275, 9797–9804 (2000).
Kim, H.-J., Kim, Y.-K., Park, J.-Y. & Kim, J. Light signalling mediated by phytochrome plays an important role in cold-induced gene expression through the C-repeat/dehydration responsive element (C/DRE) in Arabidopsis thaliana. Plant J. 29, 693–704 (2002).
Ishitani, M., Xiong, L., Lee, H., Stevenson, B. & Zhu, J.-K. HOS1, a genetic locus involved in cold-responsive gene expression in Arabidopsis. Plant Cell 10, 1151–1161 (1998).
Simpson, G.G. & Dean, C. Arabidopsis, the rosetta stone of flowering time? Science 296, 285–289 (2002).
Macknight, R. et al. FCA, a gene controlling flowering time in Arabidopsis, encodes a protein containing RNA-binding domains. Cell 89, 737–745 (1997).
Koornneef, M., Hanhart, C.J. & Van deer Veen, J.H. A genetic and physiological analysis of late flowering mutants in Arabidopsis thaliana. Mol. Gen. Genet. 229, 57–66 (1991).
Putterill, J., Robson, F., Lee, K., Simon, R. & Coupland, G. The CONSTANS gene of Arabidopsis promotes flowering and encodes a protein showing similarities to zinc finger transcription factors. Cell 80, 847–857 (1995).
Samach, A. et al. Distinct roles of CONSTANS target genes in reproductive development of Arabidopsis. Science 288, 1613–1616 (2000).
Sheldon, C.C. et al. The control of flowering by vernalization. Curr. Opin. Plant Biol. 3, 418–422 (2000).
Ausín, I., Alonso-Blanco, C., Jarillo, J.A., Ruiz-García, L. & Martínez-Zapater, J.M. Regulation of flowering time by FVE, a retinoblastoma-associated protein. Nat. Genet. advance online publication, 25 January 2004 (doi:10.1038/ng1295).
Smith, T.F., Gaitatzes, C., Saxena, K. & Neer, E.J. The WD repeat: a common architecture for diverse functions. Trends Biochem. Sci. 24, 181–185 (1999).
Rossi, V. et al. A maize histone deacetylase and retinoblastoma-related protein physically interact and cooperate in repressing gene transcription. Plant Mol. Biol. 51, 401–413 (2003).
Wu, K., Tian, L., Zhou, C., Brown, D. & Miki, B. Repression of gene expression by Arabidopsis HD2 histone deacetylases. Plant J. 34, 241–247 (2003).
Blázquez, M.A., Ahn, J.H. & Weigel, D. A thermosensory pathway controlling flowering time in Arabidopsis thaliana. Nat. Genet. 33, 168–171 (2003).
He, Y., Michaels, S.D. & Amasino, R.M. Regulation of flowering time by histone acetylation in Arabidopsis. Science advance online publication, 30 October 2003 (doi:10.1126/science.1091109).
Jefferson, R.A. & Wilson, K.J. The GUS gene fusion system. Plant Mol. Biol. Manual B14, 1–33 (1991).
Lee, H. et al. The AGAMOUS-LIKE 20 MADS domain protein integrates floral inductive pathways in Arabidopsis. Genes Dev. 14, 2366–2376 (2000).
Falquet, L. et al. The PROSITE database, its status in 2002. Nucleic Acids Res. 30, 235–238 (2002).
Acknowledgements
We thank R. Amasino for fld-3, fve-4, fve-4 flc-3 and flc-3 seeds and for comments on the manuscript and J.M. Martínez-Zapater for sharing unpublished data. This work was supported by grants from Plant Diversity Research Center of 21st Century Frontier Research Program (J.K. and I.L.) funded by Ministry of Science and Technology of Korean Government and from Agricultural Plant Stress Research Center (J.K.) funded by Korea Science and Engineering Foundation.
Author information
Authors and Affiliations
Corresponding author
Ethics declarations
Competing interests
The authors declare no competing financial interests.
Supplementary information
Rights and permissions
About this article
Cite this article
Kim, HJ., Hyun, Y., Park, JY. et al. A genetic link between cold responses and flowering time through FVE in Arabidopsis thaliana. Nat Genet 36, 167–171 (2004). https://doi.org/10.1038/ng1298
Received:
Accepted:
Published:
Issue date:
DOI: https://doi.org/10.1038/ng1298
This article is cited by
-
Two B-box domain proteins, BBX28 and BBX29, regulate flowering time at low ambient temperature in Arabidopsis
Plant Molecular Biology (2021)
-
Phalaenopsis flowering locus VE regulates floral organ maturation
Plant Cell Reports (2018)
-
Research progress on the autonomous flowering time pathway in Arabidopsis
Physiology and Molecular Biology of Plants (2017)
-
A cis cold memory element and a trans epigenome reader mediate Polycomb silencing of FLC by vernalization in Arabidopsis
Nature Genetics (2016)
-
Heterologous expression of an RNA-binding protein affects flowering time as well as other developmental processes in Solanaceae
Molecular Breeding (2016)


