Abstract
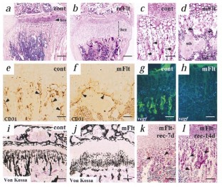
Hypertrophic chondrocytes in the epiphyseal growth plate express the angiogenic protein vascular endothelial growth factor (VEGF). To determine the role of VEGF in endochondral bone formation, we inactivated this factor through the systemic administration of a soluble receptor chimeric protein (Flt-(1-3)-IgG) to 24-day-old mice. Blood vessel invasion was almost completely suppressed, concomitant with impaired trabecular bone formation and expansion of hypertrophic chondrocyte zone. Recruitment and/or differentiation of chondroclasts, which express gelatinase B/matrix metalloproteinase-9, and resorption of terminal chondrocytes decreased. Although proliferation, differentiation and maturation of chondrocytes were apparently normal, resorption was inhibited. Cessation of the anti-VEGF treatment was followed by capillary invasion, restoration of bone growth, resorption of the hypertrophic cartilage and normalization of the growth plate architecture. These findings indicate that VEGF-mediated capillary invasion is an essential signal that regulates growth plate morphogenesis and triggers cartilage remodeling. Thus, VEGF is an essential coordinator of chondrocyte death, chondroclast function, extracellular matrix remodeling, angiogenesis and bone formation in the growth plate.
This is a preview of subscription content, access via your institution
Access options
Subscribe to this journal
Receive 12 print issues and online access
$259.00 per year
only $21.58 per issue
Buy this article
- Purchase on SpringerLink
- Instant access to the full article PDF.
USD 39.95
Prices may be subject to local taxes which are calculated during checkout





Similar content being viewed by others
References
Poole, A.R. in Cartilage: Molecular Aspects (eds. Hall, B.K. & Newman, S.A.) 179–211 (CRC Press, Boca Raton, Florida, 1991).
Jee, W.S.S. in Cell and Tissue Biology (ed. Weiss, L.) 213–253 (Urban & Schwarzemberg, New York, 1988).
Baron J. et al. Induction of growth plate cartilage ossification by basic fibroblast growth factor. Endocrinology 135, 2790– 2793 (1994).
Babic A.M., Kireeva M.L., Kolesnikova T.V., & Lau L.F. CYR61, a product of a growth factor-inducible immediate early gene, promotes angiogenesis and tumor growth. Proc. Natl. Acad. Sci. USA 95, 6355–6360 (1998).
Shinar, D.M., Endo, N., Halperin, D., Rodan, G.A, & Weinreb, M. Differential expression of insulin-like growth factor-I (IGF-I) and IGF-II messenger ribonucleic acid in growing rat bone. Endocrinology 132, 1158–1167 (1993).
Jingushi, S, Scully, S.P., Joyce, M.E., Sugioka, Y., & Bolander, M.E. Transforming growth factor-beta 1 and fibroblast growth factors in rat growth plate. J. Orthop. Res. 13, 761–768 ( 1995).
Carlevaro, M.F. et al. Transferrin promotes endothelial cell migration and invasion: implication in cartilage neovascularization J. Cell Biol. 136, 1375–1384 (1997).
Ferrara, N. & Davis-Smyth, T. The biology of vascular endothelial growth factor. Endocr. Rev. 18, 4– 25 (1997).
Fong, G. H., Rossant, J., Gertsenstein, M., & Breitman, M. L. Role of the Flt-1 receptor tyrosine kinase in regulating the assembly of vascular endothelium. Nature 376, 66– 70 (1995).
Shalaby, F. et al. Failure of blood-island formation and vasculogenesis in Flk-1- deficient mice. Nature 376, 62– 66 (1995).
Waltenberger, J., Claesson-Welsh, L., Siegbahn, A., Shibuya, M. & Heldin, C.-H. Different signal transduction properties of KDR and Flt1, two receptors for vascular endothelial growth factor J. Biol. Chem. 268, 26988– 26995 (1994).
Keyt, B.A. et al. Identification of VEGF determinants for binding Flt-1 and KDR receptors. Generation of receptor-selective VEGF variants by site-directed mutagenesis. J. Biol. Chem. 271, 5638– 5646 (1996).
Gerber, H.P. et al. VEGF regulates endothelial cell survival by the PI3-kinase/Akt signal transduction pathway. Requirement for Flk-1/KDR activation. J. Biol. Chem. 273, 30336–30345 (1998).
Hiratsuka, S., Minowa, O., Kuno, J., Noda, T., and Shibuya, M. Flt-1 lacking the tyrosine kinase domain is sufficient for normal development and angiogenesis in mice. Proc. Natl. Acad. Sci. USA 95, 9349–9354 ( 1998).
Barleon, B. et al.Migration of human monocytes in response to vascular endothelial growth factor (VEGF) is mediated via the VEGF receptor flt-1. Blood 87 3336–3343 ( 1996).
Soker, S., Takashima, S., Miao, H. Q., Neufeld, G., & Klagsbrun, M. Neuropilin-1 is expressed by endothelial and tumor cells as an isoform-specific receptor for vascular endothelial growth factor. Cell 92 735–745 (1998).
Ferrara, N. et al. Heterozygous embryonic lethality induced by targeted inactivation of the VEGF gene. Nature 380, 439– 442 (1996).
Carmeliet, P. et al. Abnormal blood vessel development and lethality in embryos lacking a single VEGF allele. Nature 380, 435–439 (1996).
Gerber, H. P. et al. VEGF is required for growth and survival in neonatal mice. Development. 126, 1149– 1159 (1999).
Ferrara, N. et al. Vascular endothelial growth factor is essential for corpus luteum angiogenesis. Nature Med. 4, 336– 340 (1998).
Davis-Smyth, T., Chen, H., Park, J., Presta, L.G., & Ferrara, N. The second immunoglobulin-like domain of the VEGF tyrosine kinase receptot Flt-1 determines ligand binding and may initiate a signal transduction cascade. EMBO J. 15 4919– 4927 (1996).
Ala-Kokko, L., & Prockop, D. J. Completion of the intron-exon structure of the gene for human type II procollagen (COL2A1): variations in the nucleotide sequences of the alleles from three chromosomes. Genomics 8, 454–460 (1990).
Elima, K. et al. The mouse collagen X gene: complete nucleotide sequence, exon structure and expression pattern. Biochem. J. 289, 247–253 (1993).
Farnum, C.E. & Wilsman, N.J. Condensation of hypertrophic chondrocytes at the chondro-osseous junction of growth plate cartilage in Yucatan swine: relationship to long bone growth. Am. J. Anat. 186, 346–358 (1989).
Lewinson, D., & Silberman, M. Chondroclasts and endothelial cells collaborate in the process of cartilage resorption. Anat. Rec. 233, 504–514 ( 1992).
Vu, T.H. et al.MMP-9/gelatinase B is a key regulator of growth plate angiogenesis and apoptosis of hypertrophic chondrocytes. Cell 93 , 411–422 (1998).
Shen, B.Q. et al. Homologous up-regulation of KDR/Flk-1 receptor expression by vascular endothelial growth factor in vitro. J. Biol. Chem. 273, 29979–29985 ( 1998).
Barleon, B. et al. Vascular endothelial growth factor up-regulates its receptor fms- like tyrosine kinase 1 (FLT-1) and a soluble variant of FLT-1 in human vascular endothelial cells. Cancer Res. 57, 5421–5425 (1997).
Alon, T. et al. Vascular endothelial growth factor acts a s survival factor for newly formed retinal vessels and has implications for retinopathy of prematurity. Nature Med. 1, 1024–1028 (1995).
Yuan, F. et al. Time-dependent vascular regression and permeability changes in established human tumor xenografts induced by anti-VEGF/VPF antibody Proc. Nat. Acad. Sci. USA 93, 14765– 14770 (1996).
Simionescu, N. & Simionescu, M. in Endothelial Cell Dysfunctions (Plenum, New York, 1992).
Midy, V. & Plouet, J. Vasculotropin/vascular endothelial growth factor induces differentiation in cultured osteoblasts. Biochem. Biophys. Res. Commun. 199 380– 386 (1994).
Carmeliet, P., & Collen, D. Vascular development and disorders: molecular analysis and pathogenic insights. Kidney Internat. 53, 1519–1549 (1998).
Enholm, B., Jussila, L., Karkkainen, M., & Alitalo, K. Vascular endothelial growth factor-C: A growth factor for lymphatic and blood vessel endothelial cells. Trends Cardiovasc. Med. 8 , 292–296 (1998).
Ryan, A.M. et al.Preclinical safety evaluation of rhuMAbVEGF, an antiangiogenic humanized monoclonal antibody. Toxicol. Pathol. 27, 78–86 (1999).
Barness, L.A. in Potter's Pathology of the Fetus and Infant (ed. Gilbert-Barness, E.) 561–563 (Mosby, St. Louis, Missouri, 1997).
Schlaeppi, J.M., Gutzwiller, S., Finkenzeller, G., & Fournier, B. 1,25- Dihydroxyvitamin D3 induces the expression of vascular endothelial growth factor in osteoblastic cells. Endocr. Res. 23, 213–229 (1997).
Maroteaux, P. et al. Opsismodysplasia: a new type of chondrodysplasia with predominant involvement of the bones of the hand and the vertebrae. Am. J. Med. Genet. 19, 171–182 (1984).
Shehan, D.C. & Hrapchak, B.B. in Theory and Practice of Histotechnology (Lipshaw, 1980).
Albrecht, U., Eichele, G., Helms, J. A., & Lu, H. in Molecular and Cellular Methods in Developmental Toxicology (ed. Daston, G.P.) 23–48 (CRC Press, Boca Raton, Florida, 1997).
Metsaranta, M., Toman, D., De Crombrugghe, B., & Vuorio, E. Specific hybridization probes for mouse type I, II, III and IX collagen mRNAs. Biochim. Biophys. Acta 1089, 241– 243 (1991).
Reponen, P., Sahlberg, C., Munaut, C., Thesleff, I., & Tryggvason, K. High expression of 92-kD type IV collagenase (gelatinase B) in the osteoclast lineage during mouse development. J. Cell Biol. 124, 1091–1102 ( 1994).
Finnerty, H. et al. Molecular cloning of murine FLT and FLT4. Oncogene 8, 2293–2298 ( 1993).
Quinn, T.P., Peters, K.G., deVries, C., Ferrara, N. & Williams, L.T. Fetal liver kinase 1 is a receptor for vascular endothelial growth factor and is selectively expressed in vascular endothelium. Proc. Natl. Acad. Sci. USA 90, 7533–7537 (1993).
Acknowledgements
We thank R. Latvala, J. Ross, H. Steinmetz, W. Wong and M. Van Hoy for help with animal work. We also thank D. Peers and P. Lester for purification of mFlt(1-3)-IgG, J. Burr and N. Lin for cell culture, P. Tobin and K. Hagler for histology and immunohistochemistry, M. Lew for in situ hybridization and D. Wood and L. Tamayo for graphic artwork. We are grateful to E. Filvaroff and K. Hillan for helpful discussions and advice. This work was also supported by grants from the National Institutes of Health (DE10306 to Z.W.) and a Mentored Clinician Scientist Award (HL03880 to T.H.V.).
Author information
Authors and Affiliations
Corresponding author
Rights and permissions
About this article
Cite this article
Gerber, HP., Vu, T., Ryan, A. et al. VEGF couples hypertrophic cartilage remodeling, ossification and angiogenesis during endochondral bone formation. Nat Med 5, 623–628 (1999). https://doi.org/10.1038/9467
Received:
Accepted:
Issue date:
DOI: https://doi.org/10.1038/9467
This article is cited by
-
Biofabrication of nanocomposite-based scaffolds containing human bone extracellular matrix for the differentiation of skeletal stem and progenitor cells
Bio-Design and Manufacturing (2024)
-
Diabetes and the Microvasculature of the Bone and Marrow
Current Osteoporosis Reports (2024)
-
Air–breathing behavior underlies the cell death in limbs of Rana pirica tadpoles
Zoological Letters (2023)
-
Endoplasmic reticulum stress: a novel targeted approach to repair bone defects by regulating osteogenesis and angiogenesis
Journal of Translational Medicine (2023)
-
Biology and therapeutic targeting of vascular endothelial growth factor A
Nature Reviews Molecular Cell Biology (2023)


