Abstract
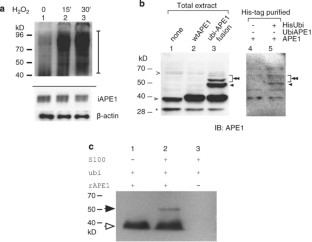
APE1/Ref-1 is an essential DNA repair/gene regulatory protein in mammals of which intracellular level significantly affects cellular sensitivity to genotoxicants. The apurinic/apyrimidinic endonuclease 1 (APE1) functions are altered by phosphorylation and acetylation. We here report that APE1 is also modified by ubiquitination. APE1 ubiquitination occurred specifically at Lys residues near the N-terminus, and was markedly enhanced by mouse double minute 2 (MDM2), the major intracellular p53 inhibitor. Moreover, DNA-damaging reagents and nutlin-3, an inhibitor of MDM2–p53 interaction, increased APE1 ubiquitination in the presence of p53. Downmodulation of MDM2 increased APE1 level, suggesting that MDM2-mediated ubiquitination can be a signal for APE1 degradation. In addition, unlike the wild-type APE1, ubiquitin–APE1 fusion proteins were predominantly present in the cytoplasm. Therefore, monoubiquitination not only is a prerequisite for degradation, but may also alter the APE1 activities in cells. These results reveal a novel regulation of APE1 through ubiquitination.
This is a preview of subscription content, access via your institution
Access options






Similar content being viewed by others
Abbreviations
- AP:
-
apurinic/apyrimidinic
- APE1:
-
AP endonuclease 1
- BER:
-
base excision repair
- MDM2:
-
mouse double minute 2
- His-ubi:
-
× 6 histidine-tagged ubiquitin
- H2O2:
-
hydrogen peroxide
- ROS:
-
reactive oxygen species
- wt:
-
wild type
- XPC:
-
xeroderma pigmentosum complementation group C
- XRCC1:
-
X-ray cross complementing group 1
References
Asou H, Tashiro S, Hamamoto K, Otsuji A, Kita K, Kamada N . (1991). Establishment of a human acute myeloid leukemia cell line (Kasumi-1) with 8;21 chromosome translocation. Blood 77: 2031–2036.
Badciong JC, Haas AL . (2002). MdmX is a RING finger ubiquitin ligase capable of synergistically enhancing Mdm2 ubiquitination. J Biol Chem 277: 49668–49675.
Balusu R, Jaiswal AS, Armas ML, Kundu CN, Bloom LB, Narayan S . (2007). Structure/function analysis of the interaction of adenomatous polyposis coli with DNA polymerase beta and its implications for base excision repair. Biochemistry 46: 13961–13974.
Bao S, Wu Q, McLendon RE, Hao Y, Shi Q, Hjelmeland AB et al. (2006). Glioma stem cells promote radioresistance by preferential activation of the DNA damage response. Nature 444: 756–760.
Bartel B, Wunning I, Varshavsky A . (1990). The recognition component of the N-end rule pathway. EMBO J 9: 3179–3189.
Bhakat KK, Izumi T, Yang SH, Hazra TK, Mitra S . (2003). Role of acetylated human AP-endonuclease (APE1/Ref-1) in regulation of the parathyroid hormone gene. EMBO J 22: 6299–6309.
Brooks CL, Gu W . (2006). p53 ubiquitination: Mdm2 and beyond. Mol Cell 21: 307–315.
Cummins JM, Rago C, Kohli M, Kinzler KW, Lengauer C, Vogelstein B . (2004). Tumour suppression: disruption of HAUSP gene stabilizes p53. Nature 428: 1 p following 486.
Desai SD, Haas AL, Wood LM, Tsai YC, Pestka S, Rubin EH et al. (2006). Elevated expression of ISG15 in tumor cells interferes with the ubiquitin/26S proteasome pathway. Cancer Res 66: 921–928.
Di Maso V, Avellini C, Croce LS, Rosso N, Quadrifoglio F, Cesaratto L et al. (2007). Subcellular localization of APE1/Ref-1 in human hepatocellular carcinoma: possible prognostic significance. Mol Med 13: 89–96.
Fan Z, Beresford PJ, Zhang D, Xu Z, Novina CD, Yoshida A et al. (2003). Cleaving the oxidative repair protein Ape1 enhances cell death mediated by granzyme A. Nat Immunol 4: 145–153.
Fantini D, Vascotto C, Deganuto M, Bivi N, Gustincich S, Marcon G et al. (2008). APE1/Ref-1 regulates PTEN expression mediated by Egr-1. Free Radic Res 42: 20–29.
Fishel ML, Kelley MR . (2007). The DNA base excision repair protein Ape1/Ref-1 as a therapeutic and chemopreventive target. Mol Aspects Med 28: 375–395.
Fritz G, Kaina B . (1999). Phosphorylation of the DNA repair protein APE/REF-1 by CKII affects redox regulation of AP-1. Oncogene 18: 1033–1040.
Fuchs S, Philippe J, Corvol P, Pinet F . (2003). Implication of Ref-1 in the repression of renin gene transcription by intracellular calcium. J Hypertens 21: 327–335.
Fung H, Demple B . (2005). A vital role for Ape1/Ref1 protein in repairing spontaneous DNA damage in human cells. Mol Cell 17: 463–470.
Grossman SR, Deato ME, Brignone C, Chan HM, Kung AL, Tagami H et al. (2003). Polyubiquitination of p53 by a ubiquitin ligase activity of p300. Science 300: 342–344.
Guillet M, Boiteux S . (2002). Endogenous DNA abasic sites cause cell death in the absence of Apn1, Apn2 and Rad1/Rad10 in Saccharomyces cerevisiae. EMBO J 21: 2833–2841.
Honda R, Tanaka H, Yasuda H . (1997). Oncoprotein MDM2 is a ubiquitin ligase E3 for tumor suppressor p53. FEBS Lett 420: 25–27.
Ischenko AA, Saparbaev MK . (2002). Alternative nucleotide incision repair pathway for oxidative DNA damage. Nature 415: 183–187.
Iwakuma T, Lozano G . (2003). MDM2, an introduction. Mol Cancer Res 1: 993–1000.
Izumi T, Brown DB, Naidu CV, Bhakat KK, Macinnes MA, Saito H et al. (2005). Two essential but distinct functions of the mammalian abasic endonuclease. Proc Natl Acad Sci USA 102: 5739–5743.
Izumi T, Henner WD, Mitra S . (1996). Negative regulation of the major human AP-endonuclease, a multifunctional protein. Biochemistry 35: 14679–14683.
Izumi T, Wiederhold LR, Roy G, Roy R, Jaiswal A, Bhakat KK et al. (2003). Mammalian DNA base excision repair proteins: their interactions and role in repair of oxidative DNA damage. Toxicology 193: 43–65.
Jackson EB, Theriot CA, Chattopadhyay R, Mitra S, Izumi T . (2005). Analysis of nuclear transport signals in the human apurinic/apyrimidinic endonuclease (APE1/Ref1). Nucleic Acids Res 33: 3303–3312.
Jaiswal AS, Narayan S . (2008). A novel function of adenomatous polyposis coli (APC) in regulating DNA repair. Cancer Lett 271: 272–280.
Kakolyris S, Kaklamanis L, Engels K, Turley H, Hickson ID, Gatter KC et al. (1997). Human apurinic endonuclease 1 expression in a colorectal adenoma-carcinoma sequence. Cancer Res 57: 1794–1797.
Kerscher O, Felberbaum R, Hochstrasser M . (2006). Modification of proteins by ubiquitin and ubiquitin-like proteins. Annu Rev Cell Dev Biol 22: 159–180.
Koukourakis MI, Giatromanolaki A, Kakolyris S, Sivridis E, Georgoulias V, Funtzilas G et al. (2001). Nuclear expression of human apurinic/apyrimidinic endonuclease (HAP1/Ref-1) in head-and-neck cancer is associated with resistance to chemoradiotherapy and poor outcome. Int J Radiat Oncol Biol Phys 50: 27–36.
Li M, Brooks CL, Wu-Baer F, Chen D, Baer R, Gu W . (2003). Mono- versus polyubiquitination: differential control of p53 fate by Mdm2. Science 302: 1972–1975.
Ludwig DL, MacInnes MA, Takiguchi Y, Purtymun PE, Henrie M, Flannery M et al. (1998). A murine AP-endonuclease gene-targeted deficiency with post-implantation embryonic progression and ionizing radiation sensitivity. Mutat Res 409: 17–29.
Marchenko ND, Wolff S, Erster S, Becker K, Moll UM . (2007). Monoubiquitylation promotes mitochondrial p53 translocation. EMBO J 26: 923–934.
McHaffie GS, Ralston SH . (1995). Origin of a negative calcium response element in an ALU-repeat: implications for regulation of gene expression by extracellular calcium. Bone 17: 11–14.
Meira LB, Cheo DL, Hammer RE, Burns DK, Reis A, Friedberg EC . (1997). Genetic interaction between HAP1/REF-1 and p53. Nat Genet 17: 145.
Meira LB, Devaraj S, Kisby GE, Burns DK, Daniel RL, Hammer RE et al. (2001). Heterozygosity for the mouse Apex gene results in phenotypes associated with oxidative stress. Cancer Res 61: 5552–5557.
Minsky N, Oren M . (2004). The RING domain of Mdm2 mediates histone ubiquitylation and transcriptional repression. Mol Cell 16: 631–639.
Okazaki T, Chung U, Nishishita T, Ebisu S, Usuda S, Mishiro S et al. (1994). A redox factor protein, ref1, is involved in negative gene regulation by extracellular calcium. J Biol Chem 269: 27855–27862.
Ono Y, Furuta T, Ohmoto T, Akiyama K, Seki S . (1994). Stable expression in rat glioma cells of sense and antisense nucleic acids to a human multifunctional DNA repair enzyme, APEX nuclease. Mutat Res 315: 55–63.
Robertson KA, Hill DP, Xu Y, Liu L, Van Epps S, Hockenbery DM et al. (1997). Down-regulation of apurinic/apyrimidinic endonuclease expression is associated with the induction of apoptosis in differentiating myeloid leukemia cells. Cell Growth Differ 8: 443–449.
Saporito SM, Gedenk M, Cunningham RP . (1989). Role of exonuclease III and endonuclease IV in repair of pyrimidine dimers initiated by bacteriophage T4 pyrimidine dimer-DNA glycosylase. J Bacteriol 171: 2542–2546.
Saville MK, Sparks A, Xirodimas DP, Wardrop J, Stevenson LF, Bourdon JC et al. (2004). Regulation of p53 by the ubiquitin-conjugating enzymes UbcH5B/C in vivo. J Biol Chem 279: 42169–42181.
Shmueli A, Oren M . (2004). Regulation of p53 by Mdm2: fate is in the numbers. Mol Cell 13: 4–5.
Takao M, Aburatani H, Kobayashi K, Yasui A . (1998). Mitochondrial targeting of human DNA glycosylases for repair of oxidative DNA damage. Nucleic Acids Res 26: 2917–2922.
Tell G, Damante G, Caldwell D, Kelley MR . (2005). The intracellular localization of APE1/Ref-1: more than a passive phenomenon? Antioxid Redox Signal 7: 367–384.
Tell G, Quadrifoglio F, Tiribelli C, Kelley MR . (2008). The many functions of APE1/Ref-1: not only a DNA repair enzyme. Antioxid Redox Signal 11: 601–620.
Uldrijan S, Pannekoek WJ, Vousden KH . (2007). An essential function of the extreme C-terminus of MDM2 can be provided by MDMX. EMBO J 26: 102–112.
Vassilev LT, Vu BT, Graves B, Carvajal D, Podlaski F, Filipovic Z et al. (2004). In vivo activation of the p53 pathway by small-molecule antagonists of MDM2. Science 303: 844–848.
Vidal AE, Boiteux S, Hickson ID, Radicella JP . (2001). XRCC1 coordinates the initial and late stages of DNA abasic site repair through protein–protein interactions. EMBO J 20: 6530–6539.
Vousden KH, Lane DP . (2007). p53 in health and disease. Nat Rev Mol Cell Biol 8: 275–283.
Walker LJ, Craig RB, Harris AL, Hickson ID . (1994). A role for the human DNA repair enzyme HAP1 in cellular protection against DNA damaging agents and hypoxic stress. Nucleic Acids Res 22: 4884–4889.
Xanthoudakis S, Smeyne RJ, Wallace JD, Curran T . (1996). The redox/DNA repair protein, Ref-1, is essential for early embryonic development in mice. Proc Natl Acad Sci USA 93: 8919–8923.
Yacoub A, Kelley MR, Deutsch WA . (1997). The DNA repair activity of human redox/repair protein APE/Ref-1 is inactivated by phosphorylation. Cancer Res 57: 5457–5459.
Yang HY, Wen YY, Chen CH, Lozano G, Lee MH . (2003). 14-3-3 sigma positively regulates p53 and suppresses tumor growth. Mol Cell Biol 23: 7096–7107.
Yang HY, Wen YY, Lin YI, Pham L, Su CH, Yang H et al. (2007). Roles for negative cell regulator 14-3-3sigma in control of MDM2 activities. Oncogene 26: 7355–7362.
Yu JL, Rak JW, Coomber BL, Hicklin DJ, Kerbel RS . (2002). Effect of p53 status on tumor response to antiangiogenic therapy. Science 295: 1526–1528.
Zhao J, Gao F, Zhang Y, Wei K, Liu Y, Deng X . (2008). Bcl2 inhibits abasic site repair by down-regulating APE1 endonuclease activity. J Biol Chem 283: 9925–9932.
Zhou J, Ahn J, Wilson SH, Prives C . (2001). A role for p53 in base excision repair. EMBO J 20: 914–923.
Acknowledgements
We thank KA Kerlec, KM Lane, MW Lake, MK Rogoszewicz and C Bulkin for their technical assistance, and Mr Lake for editorial help. We also thank Dr S Desai and Dr A Haas at LSUHSC, New Orleans for their critical discussion and experimental guidance. Dr Davis's excellent editorial help is much appreciated. This research was supported by NCI grant CA98664 (TI) and Louisiana Cancer Research Consortium funding.
Author information
Authors and Affiliations
Corresponding author
Additional information
Supplementary Information accompanies the paper on the Oncogene website (http://www.nature.com/onc)
Supplementary information
Rights and permissions
About this article
Cite this article
Busso, C., Iwakuma, T. & Izumi, T. Ubiquitination of mammalian AP endonuclease (APE1) regulated by the p53–MDM2 signaling pathway. Oncogene 28, 1616–1625 (2009). https://doi.org/10.1038/onc.2009.5
Received:
Revised:
Accepted:
Published:
Issue date:
DOI: https://doi.org/10.1038/onc.2009.5
Keywords
This article is cited by
-
The activity of yeast Apn2 AP endonuclease at uracil-derived AP sites is dependent on the major carbon source
Current Genetics (2021)
-
APE1 and NPM1 protect cancer cells from platinum compounds cytotoxicity and their expression pattern has a prognostic value in TNBC
Journal of Experimental & Clinical Cancer Research (2019)
-
AP endonuclease 1 (Apex1) influences brain development linking oxidative stress and DNA repair
Cell Death & Disease (2019)
-
DNA repair protein APE1 is involved in host response during pneumococcal meningitis and its expression can be modulated by vitamin B6
Journal of Neuroinflammation (2017)
-
Peroxiredoxin 1 interacts with and blocks the redox factor APE1 from activating interleukin-8 expression
Scientific Reports (2016)


