Abstract
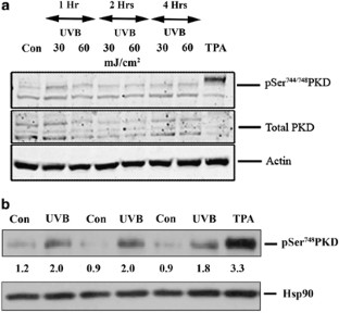
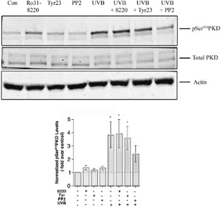
Our previous studies demonstrated that protein kinase D (PKD), a serine/threonine kinase implicated in various cell processes, is upregulated in basal cell carcinoma (BCC), supporting a possible tumorigenic role for PKD in skin. As the greatest risk factor for BCC is sun exposure, the ability of ultraviolet B (UVB) irradiation to activate PKD in primary mouse keratinocytes was investigated. Using western analysis with two autophosphorylation-specific antibodies, we show for the first time that UVB activated PKD in a time- and dose-dependent manner. UVB-induced PKD activation was verified using an in vitro kinase assay. Furthermore, activation was reduced by antioxidant pretreatment, suggesting a link with oxidative stress. UVB-induced PKD activation was mediated primarily by Src family tyrosine kinases rather than protein kinase C (PKC), and in fact, UVB did not alter PKC-mediated transphosphorylation. UVB induced apoptosis dose dependently, and this death could be prevented by overexpression of wild-type PKD, but not mutant PKD or the empty adenovirus. Indeed, a mutant that cannot be phosphorylated by Src kinases exacerbated UVB-elicited apoptosis. Thus, our data indicate that UVB irradiation of keratinocytes induces Src-mediated activation of PKD, which protects cells from UVB-stimulated apoptosis, providing a possible explanation for the observed upregulation of PKD in BCC.
This is a preview of subscription content, access via your institution
Access options
Subscribe to this journal
Receive 50 print issues and online access
$259.00 per year
only $5.18 per issue
Buy this article
- Purchase on SpringerLink
- Instant access to the full article PDF.
USD 39.95
Prices may be subject to local taxes which are calculated during checkout








Similar content being viewed by others
References
Assefa Z, Garmyn M, Vantieghem A, Declercq W, Vandenabeele P, Vandenheede JR et al. (2003). Ultraviolet B radiation-induced apoptosis in human keratinocytes: cytosolic activation of procaspase-8 and the role of Bcl-2. FEBS Lett 540: 125–132.
Assefa Z, Van Laethem A, Garmyn M, Agostinis P . (2005). Ultraviolet radiation-induced apoptosis in keratinocytes: on the role of cytosolic factors. Biochim Biophys Acta 1755: 90–106.
Bollag WB, Dodd ME, Shapiro BA . (2004). Protein kinase D and keratinocyte proliferation. Drug News Persp 17: 117–126.
Brash DE . (1996). Cellular proofreading. Nat Med 2: 525–526.
Chen W, Tang Q, Gonzales MS, Bowden GT . (2001). Role of p38 MAP kinases and ERK in mediating ultraviolet-B induced cyclooxygenase-2 gene expression in human keratinocytes. Oncogene 20: 3921–3926.
Denning MF, Wang Y, Tibudan S, Alkan S, Nickoloff BJ, Qin JZ . (2002). Caspase activation and disruption of mitochondrial membrane potential during UV radiation-induced apoptosis of human keratinocytes requires activation of protein kinase C. Cell Death Differ 9: 40–52.
Dodd EM, Ristich VL, Ray S, Lober RM, Bollag WB . (2005). Regulation of protein kinase D during differentiation and proliferation of primary mouse keratinocytes. J Invest Dermatol 125: 294–306.
Endo K, Oki E, Biedermann V, Kojima H, Yoshida K, Johannes F-J et al. (2000). Proteolytic cleavage and activation of protein kinase Cμ by caspase-3 in the apoptotic response of cells to 1-beta-D-arabinofuranosylcytosine and other genotoxic agents. J Biol Chem 275: 18476–18481.
He TC, Zhou S, da Costa LT, Yu J, Kinzler KW, Vogelstein B . (1998). A simplified system for generating recombinant adenovirus. Proc Natl Acad Sci USA 95: 2509–2514.
Iglesias T, Waldron RT, Rozengurt E . (1998). Identification of in vivo phosphorylation sites required for protein kinase D activation. J Biol Chem 273: 27662–27667.
Jacamo R, Sinett-Smith J, Rey O, Waldron RT, Rozengurt E . (2008). Sequential protein kinase C (PKC)-dependent and PKC-independent protein kinase D catalytic activation via Gq-coupled receptors: differential regulation of activation loop Ser(744) and Ser(&$*) phosphorylation. J Biol Chem 283: 12877–12887.
Jadali A, Ghazizadeh S . (2010). Protein kinase D is implicated in the reversible commitment to differentiation in primary cultures of mouse keratinocytes. J Biol Chem 285: 23387–23397.
Jung EM, Betancourt-Calle S, Mann-Blakeney R, Griner RD, Bollag WB . (1999). Sustained phospholipase D activation is associated with keratinocyte differentiation. Carcinogenesis 20: 569–576.
Kraemer KH . (1997). Sunlight and skin cancer: another link revealed. Proc Natl Acad Sci USA 94: 11–14.
Laemmli UK . (1970). Cleavage of structural proteins during the assembly of the head of bacteriophage T4. Nature 227: 680–685.
Li N, Karin M . (1998). Ionizing radiation and short wavelength UV activate NF-kappaB through two distinct mechanisms. Proc Natl Acad Sci USA 95: 13012–13017.
Liljedahl M, Maeda Y, Colanzi A, Ayala I, Van Lint J, Malhotra V . (2001). Protein kinase D regulates the fission of cell surface destined transport carriers from the trans-Golgi network. Cell 104: 409–420.
Marathe GK, Johnson C, Billings SD, Sothall MD, Pei Y, Spandau D et al. (2005). Ultraviolet B radiation generates platelet-activating factor-like phospholipids underlying cutaneous damage. J Biol Chem 280: 35448–35457.
Matsumara M, Tanaka N, Kuroki T, Ichihashi M, Ohba M . (2003). The eta isoform of protein kinase C inhibits UV-induced activation of caspase-3 in normal human keratinocytes. Biochem Biophys Res Commun 303: 350–356.
Matthews SA, Rozengurt E, Cantrell D . (1999). Characterization of serine 916 as an in vivo autophosphorylation site for protein kinase D/protein kinase Cmu. J Biol Chem 274: 26543–26549.
Miller DL, Weinstock MA . (1994). Nonmelanoma skin cancer in the United States: incidence. J Am Acad Dermatol 30: 774–778.
Prigozhina NL, Waterman-Storer CM . (2004). Protein kinase D-mediated anterograde membrane trafficking is required for fibroblast motility. Curr Biol 14: 88–98.
Przybyszewski J, Box HC, Kulesz-Martin M . (1998). Induction of reactive oxygen species without 8-hydroxydeoxyguanosine formation in DNA of initiated mouse keratinocytes treated with 12-O-tetradecanoylphorbol-13-acetate. Carcinogenesis 19: 1467–1474.
Reelfs O, Tyrrell RM, Pourzand C . (2004). Ultraviolet a radiation-induced immediate iron release is a key modulator of the activation of NF-kappaB in human skin fibroblasts. J Invest Dermatol 122: 1440–1447.
Rennecke J, Rehberger PA, Fürstenberger G, Johannes F-J, Stöhr M, Marks F et al. (1999). Protein kinase-Cμ expression correlates with enhanced keratinocyte proliferation in normal and neoplastic mouse epidermis and in cell culture. Int J Cancer 80: 98–103.
Ristich VL, Bowman PH, Dodd ME, Bollag WB . (2006). Protein kinase D distribution in normal human epidermis, basal cell carcinoma and psoriasis. Br J Dermatol 154: 586–593.
Sinnett-Smith J, Jacamo R, Kui R, Wang YM, Young SH, Rey O et al. (2009). Protein kinase D mediates mitogenic signaling by Gq-coupled receptors through protein kinase C-independent regulation of activation loop Ser744 and Ser748 phosphorylation. J Biol Chem 284: 13434–13445.
Sinnett-Smith J, Zhukova E, Hsieh N, Jiang X, Rozengurt E . (2004). Protein kinase D potentiates DNA synthesis induced by Gq-coupled receptors by increasing the duration of ERK signaling in Swiss 3T3 cells. J Biol Chem 279: 16883–16893.
Sitailo LA, Tibudan SS, Denning MF . (2002). Activation of caspase-9 is required for UV-induced apoptosis of human keratinocytes. J Biol Chem 277: 19346–19352.
Song J, Li J, Lulla A, Evers BM, Chung DH . (2006). Protein kinase D protects against oxidative stress-induced intestinal epithelial cell injury via Rho/ROK/PKC-delta pathway activation. Am J Cell Physiol 290: C1469–C1476.
Storz P, Toker A . (2003). Protein kinase D mediates a stress-induced NF-kB activation and survival pathway. EMBO J 22: 109–120.
Storz P, Döppler H, Toker A . (2004a). Activation loop phosphorylation controls protein kinase D-dependent activation of nuclear factor kB. Mol Pharmacol 66: 870–879.
Storz P, Döppler H, Toker A . (2004b). Protein kinase Cdelta selectively regulates protein kinase D-dependent activation of NF-kappaB in oxidative stress signaling. Mol Cell Biol 24: 2614–2626.
Storz P, Doppler H, Toker A . (2005). Protein kinase D mediates mitochondrion-to-nucleus signaling and detoxification from mitochondrial reactive oxygen species. Mol Cell Biol 25: 8520–8530.
Storz P, Doppler H, Johannes F-J, Toker A . (2003). Tyrosine phosphorylation of protein kinase D in the pleckstrin homology domain leads to activation. J Biol Chem 278: 17969–17976.
Van Lint J, Rykx A, Maeda Y, Vantus T, Sturany S, Malhotra V et al. (2002). Protein kinase D: an intracellular traffic regulator on the move. Trends Cell Biol 12: 193–200.
Waldron RT, Iglesias T, Rozengurt E . (1999). Phosphorylation-dependent protein kinase D activation. Electrophoresis 20: 382–390.
Waldron RT, Rey O, Zhukova E, Rozengurt E . (2004). Oxidative stress induces protein kinase C-mediated activation loop phosphorylation and nuclear redistribution of protein kinase D. J Biol Chem 279: 27482–27493.
Waldron RT, Rozengurt E . (2000). Oxidative stress induces protein kinase D activation in intact cells. J Biol Chem 275: 17114–17121.
Yeaman C, Ayala MI, Wright JR, Bard F, Bossard C, Ang A et al. (2004). Protein kinase D regulates basolateral membrane protein exit from trans-Golgi network. Nat Cell Biol 6: 106–112.
Zhukova E, Sinnett-Smith J, Rozengurt E . (2001). Protein kinase D potentiates DNA synthesis and cell proliferation induced by bombesin, vasopressin, or phorbol esters in Swiss 3T3 cells. J Biol Chem 276: 40298–40305.
Acknowledgements
This project was supported by a Merit Award from the Veterans’ Administration and grants from the National Institutes of Health/National Institute of Arthritis, Musculoskeletal and Skin Diseases #AR45212 and AR57321 (WBB). We thank Dr Alex Toker for generously providing the various PKD constructs as well as for his useful discussions, and Dr Bert Vogelstein for his kind gift of the AdEasy adenovirus system. We appreciate the expert technical assistance of Mr Peter Parker and Ms Mariya Wilson. This work was submitted in partial fulfilment of the requirements for a doctoral degree from the Medical College of Georgia (SNA).
Author information
Authors and Affiliations
Corresponding author
Ethics declarations
Competing interests
The authors declare no conflict of interest.
Additional information
Supplementary Information accompanies the paper on the Oncogene website
Supplementary information
Rights and permissions
About this article
Cite this article
Arun, S., Kaddour-Djebbar, I., Shapiro, B. et al. Ultraviolet B irradiation and activation of protein kinase D in primary mouse epidermal keratinocytes. Oncogene 30, 1586–1596 (2011). https://doi.org/10.1038/onc.2010.540
Received:
Revised:
Accepted:
Published:
Issue date:
DOI: https://doi.org/10.1038/onc.2010.540


