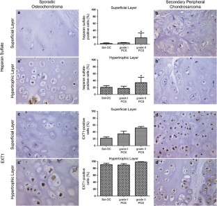
Abstract
Secondary peripheral chondrosarcoma is the result of malignant transformation of a pre-existing osteochondroma, the most common benign bone tumor. Osteochondromas are caused by genetic abnormalities in EXT1 or EXT2: homozygous deletion of EXT1 characterizes sporadic osteochondromas (non-familial/solitary), and germline mutations in EXT1 or EXT2 combined with loss of heterozygosity define hereditary multiple osteochondromas. While cells with homozygous inactivation of EXT and wild-type cells shape osteochondromas, the cellular composition of secondary peripheral chondrosarcomas and the role of EXT in their formation have remained unclear. We report using a targeted-tiling-resolution oligo-array-CGH (array comparative genomic hybridization) that homozygous deletions of EXT1 or EXT2 are much less frequently detected (2/17, 12%) in sporadic secondary peripheral chondrosarcomas than expected based on the assumption that they originate in sporadic osteochondromas, in which homozygous inactivation of EXT1 is found in ∼80% of our cases. FISH with an EXT1 probe confirmed that, unlike sporadic osteochondromas, cells from sporadic secondary peripheral chondrosarcomas predominantly retained one (hemizygous deleted loci) or both copies (wild-type) of the EXT1 locus. By immunohistochemistry, we confirm the presence of cells with dysfunctional EXT1 in sporadic osteochondromas and show cells with functional EXT1 in sporadic secondary peripheral chondrosarcomas. These immuno results were verified in osteochondromas and secondary peripheral chondrosarcomas in the setting of hereditary multiple osteochondromas. Our data therefore point to a model of oncogenesis in which the osteochondroma creates a niche in which wild-type cells with functional EXT are predisposed to acquire other mutations giving rise to secondary peripheral chondrosarcoma, indicating that EXT-independent mechanisms are involved in the pathogenesis of secondary peripheral chondrosarcoma.
This is a preview of subscription content, access via your institution
Access options
Subscribe to this journal
Receive 50 print issues and online access
$259.00 per year
only $5.18 per issue
Buy this article
- Purchase on SpringerLink
- Instant access to the full article PDF.
USD 39.95
Prices may be subject to local taxes which are calculated during checkout





Similar content being viewed by others
References
Bernard SA, Murphey MD, Flemming DJ, Kransdorf MJ . (2010). Improved differentiation of benign osteochondromas from secondary chondrosarcomas with standardized measurement of cartilage cap at CT and MR imaging. Radiology 255: 857–865.
Bertoni F, Bacchini P, Hogendoorn PCW . (2002). Chondrosarcoma. In: Fletcher CDM, Unni KK, Mertens F (eds). World Health Organization Classification of Tumours. Pathology and Genetics of Tumours of Soft Tissue and Bone. IARC Press: France. pp 247–251.
Bovée JVMG, Cleton-Jansen AM, Kuipers-Dijkshoorn N, Van den Broek LJCM, Taminiau AHM, Cornelisse CJ et al. (1999). Loss of heterozygosity and DNA ploidy point to a diverging genetic mechanism in the origin of peripheral and central chondrosarcoma. Genes Chromosomes Cancer 26: 237–246.
Bovee JVMG, Hogendoorn PCW, Wunder JS, Alman BA . (2010). Cartilage tumours and bone development: molecular pathology and possible therapeutic targets. Nat Rev Cancer 10: 481–488.
Bovée JVMG, van Royen M, Bardoel AFJ, Rosenberg C, Cornelisse CJ, Cleton-Jansen AM et al. (2000). Near-haploidy and subsequent polyploidization characterize the progression of peripheral chondrosarcoma. Am J Pathol 157: 1587–1595.
Bulow HE, Hobert O . (2006). The molecular diversity of glycosaminoglycans shapes animal development. Annu Rev Cell Dev Biol 22: 375–407.
Clément A, Wiweger M, von der Hardt S, Rusch MA, Selleck SB, Chien CB et al. (2008). Regulation of zebrafish skeletogenesis by ext2/dackel and papst1/pinscher. PLoS Genet 4: e1000136.
de Andrea CE, Prins FA, Wiweger MI, Hogendoorn PCW . (2011). Growth plate regulation and osteochondroma formation: insights from tracing proteoglycans in zebrafish models and human cartilage. J Pathol 224: 160–168.
de Andrea CE, Wiweger MI, Prins FA, Bovee JVMG, Romeo S, Hogendoorn PC . (2010). Primary cilia organization reflects polarity in the growth plate and implies loss of polarity and mosaicism in osteochondroma. Lab Invest 90: 1091–1101.
Dorfman HD, Czerniak B, Kotz R, Vanel D, Park YK, Unni KK . (2002). WHO classification of tumours of bone: Introduction. In: Fletcher CDM, Unni KK, Mertens F (eds). World Health Organization Classification of Tumours. Pathology and Genetics of Tumours of Soft Tissue and Bone. IARC Press: France. pp 226–232.
Evans HL, Ayala AG, Romsdahl MM . (1977). Prognostic factors in chondrosarcoma of bone. A clinicopathologic analysis with emphasis on histologic grading. Cancer 40: 818–831.
Hallor KH, Staaf J, Bovée JVMG, Hogendoorn PCW, Cleton-Jansen AM, Knuutila S et al. (2009). Genomic profiling of chondrosarcoma: chromosomal patterns in central and peripheral tumors. Clin Cancer Res 15: 2685–2694.
Hameetman L, David G, Yavas A, White SJ, Taminiau AHM, Cleton-Jansen AM et al. (2007a). Decreased EXT expression and intracellular accumulation of heparan sulphate proteoglycan in osteochondromas and peripheral chondrosarcomas. J Pathol 211: 399–409.
Hameetman L, Szuhai K, Yavas A, Knijnenburg J, van Duin M, Van Dekken H et al. (2007b). The role of EXT1 in non hereditary osteochondroma: identification of homozygous deletions. J Natl Cancer Inst 99: 396–406.
Hecht JT, Hogue D, Strong LC, Hansen MF, Blanton SH, Wagner M . (1995). Hereditary multiple exostosis and chondrosarcoma: linkage to chromosome 11 and loss of heterozygosity for EXT-linked markers on chromosomes 11 and 8. Am J Hum Genet 56: 1125–1131.
Jones KB, Piombo V, Searby C, Kurriger G, Yang B, Grabellus F et al. (2010). A mouse model of osteochondromagenesis from clonal inactivation of Ext1 in chondrocytes. Proc Natl Acad Sci USA 107: 2054–2059.
Khurana J, Abdul-Karim F, Bovée JVMG . (2002). Osteochondroma. In: Fletcher CDM, Unni KK, Mertens F (eds). World Health Organization Classification of Tumours. Pathology and Genetics of Tumours of Soft Tissue and Bone. IARC Press: France. pp 234–236.
Matsumoto K, Irie F, Mackem S, Yamaguchi Y . (2010). A mouse model of chondrocyte-specific somatic mutation reveals a role for Ext1 loss of heterozygosity in multiple hereditary exostoses. Proc Natl Acad Sci USA 107: 10932–10937.
McCormick C, Leduc Y, Martindale D, Mattison K, Esford LE, Dyer AP et al. (1998). The putative tumour suppressor EXT1 alters the expression of cell-surface heparan sulfate. Nat Genet 19: 158–161.
Mohseny AB, Tieken C, Van der Velden PA, Szuhai K, de Andrea C, Hogendoorn PCW et al. (2010). Small deletions but not methylation underlie CDKN2A/p16 loss of expression in conventional osteosarcoma. Genes Chromosomes Cancer 49: 1095–1103.
Pansuriya TC, Oosting J, Krenacs T, Taminiau AH, Verdegaal SH, Sangiorgi L et al. (2011). Genome-wide analysis of Ollier disease: is it all in the genes? Orphanet J Rare Dis 6: 2.
Raaijmakers M . (2011). Niche contributions to oncogenesis: emerging concepts and implications for the hematopoietic system. Haematologica 96: 1041–1048.
Raaijmakers MH, Mukherjee S, Guo S, Zhang S, Kobayashi T, Schoonmaker JA et al. (2010). Bone progenitor dysfunction induces myelodysplasia and secondary leukaemia. Nature 464: 852–857.
Raskind WH, Conrad EU, Chansky H, Matsushita M . (1995). Loss of heterozygosity in chondrosarcomas for markers linked to hereditary multiple exostoses loci on chromosomes 8 and 11. Am J Hum Genet 56: 1132–1139.
Reijmers RM, Groen RW, Rozemuller H, Kuil A, de Haan-Kramer A, Csikos T et al. (2010). Targeting EXT1 reveals a crucial role for heparan sulfate in the growth of multiple myeloma. Blood 115: 601–604.
Reijnders CM, Waaijer CJ, Hamilton A, Buddingh EP, Dijkstra SP, Ham J et al. (2010). No haploinsufficiency but loss of heterozygosity for EXT in multiple osteochondromas. Am J Pathol 177: 1946–1957.
Szuhai K, Ijszenga M, de Jong D, Karseladze A, Tanke HJ, Hogendoorn PCW . (2009). The NFATc2 gene is involved in a novel cloned translocation in a Ewing sarcoma variant that couples its function in immunology to oncology. Clin Cancer Res 15: 2259–2268.
Szuhai K, Jennes I, De Jong D, Bovée JVMG, Wiweger M, Wuyts W et al. (2011). Tiling resolution array-CGH shows that somatic mosaic deletion of the EXT gene is causative in EXT gene mutation negative multiple osteochondromas patients. Hum Mutat 32: 2036–2049.
van den Berg H, Kroon HM, Slaar A, Hogendoorn P . (2008). Incidence of biopsy-proven bone tumors in children: a report based on the Dutch pathology registration “PALGA”. J Pediatr Orthop 28: 29–35.
Ventura RA, Martin-Subero JI, Jones M, McParland J, Gesk S, Mason DY et al. (2006). FISH analysis for the detection of lymphoma-associated chromosomal abnormalities in routine paraffin-embedded tissue. J Mol Diagn 8: 141–151.
Zak BM, Crawford BE, Esko JD . (2002). Hereditary multiple exostoses and heparan sulfate polymerization. Biochim Biophys Acta 1573: 346–355.
Zuntini M, Pedrini E, Parra A, Sgariglia F, Gentile FV, Pandolfi M et al. (2010). Genetic models of osteochondroma onset and neoplastic progression: evidence for mechanisms alternative to EXT genes inactivation. Oncogene 29: 3827–3834.
Acknowledgements
We acknowledge the expert technical work of Marja van der Burg, Inge Briaire-de Bruijn, Maayke van Ruler and Pauline M Wijers-Koster (Leiden University Medical Center, Leiden, The Netherlands). We also thank the Netherlands Committee on Bone Tumors. Professor E Bakker is acknowledged for EXT mutation analysis. This study was supported by Netherlands Organization for Scientific Research (917-76-315 to CMAR and JVMGB) and by EuroBoNeT (a European Commission-granted European Network of Excellence for studying the pathology and genetics of bone tumors; grant number: LSHC-CT-2006-018814 (to CEA, JVMGB, DJ, KS and PCWH).
Author information
Authors and Affiliations
Corresponding author
Ethics declarations
Competing interests
The authors declare no conflict of interest.
Additional information
Supplementary Information accompanies the paper on the Oncogene website
Rights and permissions
About this article
Cite this article
de Andrea, C., Reijnders, C., Kroon, H. et al. Secondary peripheral chondrosarcoma evolving from osteochondroma as a result of outgrowth of cells with functional EXT. Oncogene 31, 1095–1104 (2012). https://doi.org/10.1038/onc.2011.311
Received:
Revised:
Accepted:
Published:
Issue date:
DOI: https://doi.org/10.1038/onc.2011.311
Keywords
This article is cited by
-
Dedifferentiated Chondrosarcoma: Diagnostic Controversies and Emerging Therapeutic Targets
Current Oncology Reports (2023)
-
Mutation spectrum of EXT1 and EXT2 in the Saudi patients with hereditary multiple exostoses
Orphanet Journal of Rare Diseases (2021)
-
An update on the imaging of diaphyseal aclasis
Skeletal Radiology (2021)
-
Knorpeltumoren: Morphologie, Genetik und Basisaspekte der Targettherapie
Der Pathologe (2020)
-
Biology of Bone Sarcomas and New Therapeutic Developments
Calcified Tissue International (2018)


