Abstract
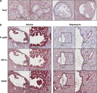
Recent clinical trials using rapalogues in tuberous sclerosis complex show regression in volume of typically vascularised tumours including angiomyolipomas and subependymal giant cell astrocytomas. By blocking mechanistic/mammalian target of rapamycin complex 1 (mTORC1) signalling, rapalogue efficacy is likely to occur, in part, through suppression of hypoxia-inducible factors (HIFs) and vascular endothelial growth factors (VEGFs). We show that rapamycin reduces HIF-1α protein levels, and to a lesser extent VEGF-A levels, in renal cystadenoma cells in a Tsc2+/− mouse model. We established that mTORC1 drives HIF-1α protein accumulation through enhanced transcription of HIF-1α mRNA, a process that is blocked by either inhibition or knockdown of signal transducer and activation of transcription 3 (STAT3). Furthermore, we demonstrated that STAT3 is directly phosphorylated by mTORC1 on Ser727 during hypoxia, promoting HIF-1α mRNA transcription. mTORC1 also regulates HIF-1α synthesis on a translational level via co-operative regulation of both initiation factor 4E-binding protein 1 (4E-BP1) and ribosomal protein S6 kinase-1 (S6K1), whereas HIF-1α degradation remains unaffected. We therefore proposed that mTORC1 drives HIF-1α synthesis in a multifaceted manner through 4E-BP1/eIF4E, S6K1 and STAT3. Interestingly, we observed a disconnect between HIF-1α protein levels and VEGF-A expression. Although both S6K1 and 4E-BP1 regulate HIF-1α translation, VEGF-A is primarily under the control of 4E-BP1/eIF4E. S6K1 inhibition reduces HIF-1α but not VEGF-A expression, suggesting that mTORC1 mediates VEGF-A expression via both HIF-1α-dependent and -independent mechanisms. Our work has important implications for the treatment of vascularised tumours, where mTORC1 acts as a central mediator of STAT3, HIF-1α, VEGF-A and angiogenesis via multiple signalling mechanisms.
This is a preview of subscription content, access via your institution
Access options
Subscribe to this journal
Receive 50 print issues and online access
$259.00 per year
only $5.18 per issue
Buy this article
- Purchase on SpringerLink
- Instant access to the full article PDF.
USD 39.95
Prices may be subject to local taxes which are calculated during checkout








Similar content being viewed by others
References
Semenza GL . Hypoxia-inducible factors: mediators of cancer progression and targets for cancer therapy. Trends Pharmacol Sci 2012; 33: 207–214.
Papandreou I, Cairns RA, Fontana L, Lim AL, Denko NC . HIF-1 mediates adaptation to hypoxia by actively downregulating mitochondrial oxygen consumption. Cell Metab 2006; 3: 187–197.
Lu H, Forbes RA, Verma A . Hypoxia-inducible factor 1 activation by aerobic glycolysis implicates the Warburg effect in carcinogenesis. J Biol Chem 2002; 277: 23111–23115.
Harris AL . Hypoxia—a key regulatory factor in tumour growth. Nat Rev Cancer 2002; 2: 38–47.
Lu X, Kang Y . Hypoxia and hypoxia-inducible factors: master regulators of metastasis. Clin Cancer Res 2010; 16: 5928–5935.
Wong CC-L, Gilkes DM, Zhang H, Chen J, Wei H, Chaturvedi P et al. Hypoxia-inducible factor 1 is a master regulator of breast cancer metastatic niche formation. Proc Natl Acad Sci USA 2011; 108: 16369–16374.
Pfander D, Cramer T, Schipani E, Johnson RS . HIF-1α controls extracellular matrix synthesis by epiphyseal chondrocytes. J Cell Sci 2003; 116: 1819–1826.
Kondo K, Klco J, Nakamura E, Lechpammer M, Kaelin WG Jr . Inhibition of HIF is necessary for tumor suppression by the von Hippel–Lindau protein. Cancer Cell 2002; 1: 237–246.
Isaacs JS, Jung YJ, Mole DR, Lee S, Torres-Cabala C, Chung Y-L et al. HIF overexpression correlates with biallelic loss of fumarate hydratase in renal cancer: novel role of fumarate in regulation of HIF stability. Cancer Cell 2005; 8: 143–153.
Preston RS, Philp A, Claessens T, Gijezen L, Dydensborg AB, Dunlop EA et al. Absence of the Birt–Hogg–Dube gene product is associated with increased hypoxia-inducible factor transcriptional activity and a loss of metabolic flexibility. Oncogene 2011; 30: 1159–1173.
Maxwell PH, Wiesener MS, Chang G-W, Clifford SC, Vaux EC, Cockman ME et al. The tumour suppressor protein VHL targets hypoxia-inducible factors for oxygen-dependent proteolysis. Nature 1999; 399: 271–275.
Semenza GL . HIF-1 and mechanisms of hypoxia sensing. Curr Opin Cell Biol 2001; 13: 167–171.
Rosser T, Panigrahy A, McClintock W . The diverse clinical manifestations of tuberous sclerosis complex: a review. Semin Pediatr Neurol 2006; 13: 27–36.
Arbiser JL, Brat D, Hunter S, D'Armiento J, Henske EP, Arbiser ZK et al. Tuberous sclerosis-associated lesions of the kidney, brain, and skin are angiogenic neoplasms. J Am Acad Dermatol 2002; 46: 376–380.
Dibble Christian C, Elis W, Menon S, Qin W, Klekota J, Asara John M et al. TBC1D7 is a third subunit of the TSC1–TSC2 complex upstream of mTORC1. Molecular Cell 2012; 47: 535–546.
Davies DM, Johnson SR, Tattersfield AE, Kingswood JC, Cox JA, McCartney DL et al. Sirolimus therapy in tuberous sclerosis or sporadic lymphangioleiomyomatosis. N Engl J Med 2008; 358: 200–203.
Bissler JJ, McCormack FX, Young LR, Elwing JM, Chuck G, Leonard JM et al. Sirolimus for angiomyolipoma in tuberous sclerosis complex or lymphangioleiomyomatosis. N Engl J Med 2008; 358: 140–151.
Guo Y, Kwiatkowski DJ . Equivalent benefit of rapamycin and a potent mTOR ATP-competitive inhibitor, MLN0128 (INK128), in a mouse model of tuberous sclerosis. Mol Cancer Res 2013; 11: 467–473.
Woodrum C, Nobil A, Dabora SL . Comparison of three rapamycin dosing schedules in A/J Tsc2+/− mice and improved survival with angiogenesis inhibitor or asparaginase treatment in mice with subcutaneous tuberous sclerosis related tumors. J Transl Med 2010; 8: 14
Guba M, von Breitenbuch P, Steinbauer M, Koehl G, Flegel S, Hornung M et al. Rapamycin inhibits primary and metastatic tumor growth by antiangiogenesis: involvement of vascular endothelial growth factor. Nat Med 2002; 8: 128–135.
Marimpietri D, Brignole C, Nico B, Pastorino F, Pezzolo A, Piccardi F et al. Combined therapeutic effects of vinblastine and rapamycin on human neuroblastoma growth, apoptosis, and angiogenesis. Clin Cancer Res 2007; 13: 3977–3988.
Phung TL, Ziv K, Dabydeen D, Eyiah-Mensah G, Riveros M, Perruzzi C et al. Pathological angiogenesis is induced by sustained Akt signaling and inhibited by rapamycin. Cancer Cell 2006; 10: 159–170.
Schalm SS, Blenis J . Identification of a conserved motif required for mTOR signaling. Curr Biol 2002; 12: 632–639.
Dazert E, Hall MN . mTOR signaling in disease. Curr Opin Cell Biol 2011; 23: 744–755.
Land SC, Tee AR . Hypoxia-inducible factor 1 alpha is regulated by the mammalian target of rapamycin (mTOR) via an mTOR signaling motif. J Biol Chem 2007; 282: 20534–20543.
Hudson CC, Liu M, Chiang GG, Otterness DM, Loomis DC, Kaper F et al. Regulation of hypoxia-inducible factor 1α expression and function by the mammalian target of rapamycin. Mol Cell Biol 2002; 22: 7004–7014.
Düvel K, Yecies JL, Menon S, Raman P, Lipovsky AI, Souza AL et al. Activation of a metabolic gene regulatory network downstream of mTOR complex 1. Mol Cell 2010; 39: 171–183.
Tandon P, Gallo CA, Khatri S, Barger JF, Yepiskoposyan H, Plas DR . Requirement for ribosomal protein S6 kinase 1 to mediate glycolysis and apoptosis resistance induced by Pten deficiency. Proc Natl Acad Sci USA 2011; 108: 2361–2365.
Brugarolas JB, Vazquez F, Reddy A, Sellers WR, Kaelin WG Jr . TSC2 regulates VEGF through mTOR-dependent and -independent pathways. Cancer Cell 2003; 4: 147–158.
Thomas GV, Tran C, Mellinghoff IK, Welsbie DS, Chan E, Fueger B et al. Hypoxia-inducible factor determines sensitivity to inhibitors of mTOR in kidney cancer. Nat Med 2006; 12: 122–127.
Treins C, Giorgetti-Peraldi S, Murdaca J, Semenza GL, Van Obberghen E . Insulin stimulates hypoxia-inducible factor 1 through a phosphatidylinositol 3-kinase/target of rapamycin-dependent signaling pathway. J Biol Chem 2002; 277: 27975–27981.
Yang J, Kalogerou M, Samsel PA, Zhang Y, Griffiths DFR, Gallacher J et al. Renal tumours in a Tsc2+/− mouse modeldo not show feedback inhibition of Akt and are effectively prevented by rapamycin. Oncogene 2014.
Urano J, Sato T, Matsuo T, Otsubo Y, Yamamoto M, Tamanoi F . Point mutations in TOR confer Rheb-independent growth in fission yeast and nutrient-independent mammalian TOR signaling in mammalian cells. Proc Natl Acad Sci USA 2007; 104: 3514–3519.
Dodd KM, Tee AR . Leucine and mTORC1—a complex relationship. Am J Physiol—Endocrinol Metab 2012; 302 (11): E1329–E1342.
Dunlop EA, Dodd KM, Seymour LA, Tee AR . Mammalian target of rapamycin complex 1-mediated phosphorylation of eukaryotic initiation factor 4E-binding protein 1 requires multiple protein–protein interactions for substrate recognition. Cell Signal 2009; 21: 1073–1084.
Tandon P, Gallo CA, Khatri S, Barger JF, Yepiskoposyan H, Plas DR . Requirement for ribosomal protein S6 kinase 1 to mediate glycolysis and apoptosis resistance induced by Pten deficiency. Proc Natl Acad Sci USA 2011; 108: 2361–2365.
Brugarolas J, Kaelin WG Jr . Dysregulation of HIF and VEGF is a unifying feature of the familial hamartoma syndromes. Cancer Cell 2004; 6: 7–10.
Feldman ME, Apsel B, Uotila A, Loewith R, Knight ZA, Ruggero D et al. Active-site inhibitors of mTOR target rapamycin-resistant outputs of mTORC1 and mTORC2. PLoS Biol 2009; 7: e1000038.
Thoreen CC, Kang SA, Chang JW, Liu Q, Zhang J, Gao Y et al. An ATP-competitive mammalian target of rapamycin inhibitor reveals rapamycin-resistant functions of mTORC1. J Biol Chem 2009; 284: 8023–8032.
Garcia M, Juan M, Mordan, Jennifer, Clarke, Rosemary G et al. Ku-0063794 is a Specific Inhibitor of the Mammalian Target of Rapamycin (mTOR), Vol. 421. Portland Press: Colchester, 2009.
Choo AY, Yoon S-O, Kim SG, Roux PP, Blenis J . Rapamycin differentially inhibits S6Ks and 4E-BP1 to mediate cell-type-specific repression of mRNA translation. Proc Natl Acad Sci USA 2008; 105: 17414–17419.
O'Reilly KE, Rojo F, She Q-B, Solit D, Mills GB, Smith D et al. mTOR inhibition induces upstream receptor tyrosine kinase signaling and activates Akt. Cancer Res 2006; 66: 1500–1508.
Holz MK, Ballif BA, Gygi SP, Blenis J . mTOR and S6K1 mediate assembly of the translation preinitiation complex through dynamic protein interchange and ordered phosphorylation events. Cell 2005; 123: 569–580.
Dempsey JM, Mahoney SJ, Blenis J . 1—mTORC1-mediated control of protein translation. In: Fuyuhiko T, Michael NH (eds) The Enzymes, Vol. 28. Academic Press: New York, 2010, pp 1–20.
Mamane Y, Petroulakis E, LeBacquer O, Sonenberg N . mTOR, translation initiation and cancer. Oncogene 2006; 25: 6416–6422.
Schalm SS, Tee AR, Blenis J . Characterization of a conserved C-terminal motif (RSPRR) in ribosomal protein S6 kinase 1 required for its mammalian target of rapamycin-dependent regulation. J Biol Chem 2005; 280: 11101–11106.
Pearce LR, Alton GR, Richter DT, Kath JC, Lingardo L, Chapman J et al. Characterization of PF-4708671, a novel and highly specific inhibitor of p70 ribosomal S6 kinase (S6K1). Biochem J 2010; 431: 245–255.
Pore N, Jiang Z, Gupta A, Cerniglia G, Kao GD, Maity A . EGFR tyrosine kinase inhibitors decrease VEGF expression by both hypoxia-inducible factor (HIF)-1–independent and HIF-1–dependent mechanisms. Cancer Res 2006; 66: 3197–3204.
Richter JD, Sonenberg N . Regulation of cap-dependent translation by eIF4E inhibitory proteins. Nature 2005; 433: 477–480.
Niu G, Briggs J, Deng J, Ma Y, Lee H, Kortylewski M et al. Signal transducer and activator of transcription 3 is required for hypoxia-inducible factor-1α RNA expression in both tumor cells and tumor-associated myeloid cells. Mol Cancer Res 2008; 6: 1099–1105.
Yokogami K, Wakisaka S, Avruch J, Reeves SA . Serine phosphorylation and maximal activation of STAT3 during CNTF signaling is mediated by the rapamycin target mTOR. Curr Biol 2000; 10: 47–50.
Wen Z, Zhong Z, Darnell JE Jr . Maximal activation of transcription by statl and stat3 requires both tyrosine and serine phosphorylation. Cell 1995; 82: 241–250.
Weichhart T, Costantino G, Poglitsch M, Rosner M, Zeyda M, Stuhlmeier KM et al. The TSC-mTOR signaling pathway regulates the innate inflammatory response. Immunity 2008; 29: 565–577.
El-Hashemite N, Kwiatkowski DJ . Interferon-gamma-Jak-Stat signaling in pulmonary lymphangioleiomyomatosis and renal angiomyolipoma: a potential therapeutic target. Am J Resp Cell Mol Biol 2005; 33: 227–230.
Dunlop EA, Dodd KM, Seymour LA, Tee AR . Mammalian target of rapamycin complex 1-mediated phosphorylation of eukaryotic initiation factor 4E-binding protein 1 requires multiple protein–protein interactions for substrate recognition. Cell Signal 2009; 21: 1073–1084.
Kang SA, Pacold ME, Cervantes CL, Lim D, Lou HJ, Ottina K et al. mTORC1 phosphorylation sites encode their sensitivity to starvation and rapamycin. Science 2013; 341 (6144): 1236566.
Minet E, Ernest I, Michel G, Roland I, Remacle J, Raes M et al. HIF1A gene transcription is dependent on a core promoter sequence encompassing activating and inhibiting sequences located upstream from the transcription initiation site and cis elements located within the 5′UTR. Biochem Biophys Res Commun 1999; 261: 534–540.
Barbieri I, Pensa S, Pannellini T, Quaglino E, Maritano D, Demaria M et al. Constitutively active Stat3 enhances Neu-mediated migration and metastasis in mammary tumors via upregulation of Cten. Cancer Res 2010; 70: 2558–2567.
Li N, Grivennikov Sergei I, Karin M . The unholy trinity: inflammation, cytokines, and STAT3 shape the cancer microenvironment. Cancer Cell 2011; 19: 429–431.
El-Hashemite N, Zhang H, Walker V, Hoffmeister KM, Kwiatkowski DJ . Perturbed IFN-γ-Jak-signal transducers and activators of transcription signaling in tuberous sclerosis mouse models. Cancer Res 2004; 64: 3436–3443.
Lin L, Hutzen B, Zuo M, Ball S, Deangelis S, Foust E et al. Novel STAT3 phosphorylation inhibitors exhibit potent growth-suppressive activity in pancreatic and breast cancer cells. Cancer Res 2010; 70: 2445–2454.
Anand P, Kunnumakkara AB, Newman RA, Aggarwal BB . Bioavailability of curcumin: problems and promises. Mol Pharm 2007; 4: 807–818.
Isaacs JS, Jung Y-J, Mimnaugh EG, Martinez A, Cuttitta F, Neckers LM . Hsp90 regulates a von Hippel Lindau-independent hypoxia-inducible factor-1α-degradative pathway. J Biol Chem 2002; 277: 29936–29944.
Laughner E, Taghavi P, Chiles K, Mahon PC, Semenza GL . HER2 (neu) signaling increases the rate of hypoxia-inducible factor 1α (HIF-1α) synthesis: novel mechanism for HIF-1-mediated vascular endothelial growth factor expression. Mol Cell Biol 2001; 21: 3995–4004.
Raught B, Peiretti F, Gingras A-C, Livingstone M, Shahbazian D, Mayeur GL et al. Phosphorylation of eukaryotic translation initiation factor 4B Ser422 is modulated by S6 kinases. EMBO J 2004; 23: 1761–1769.
Wang X, Li W, Williams M, Terada N, Alessi DR, Proud CG . Regulation of elongation factor 2 kinase by p90RSK1 and p70 S6 kinase. EMBO J 2001; 20: 4370–4379.
Choo AY, Blenis J . TORgeting oncogene addiction for cancer therapy. Cancer Cell 2006; 9: 77–79.
Thoreen CC, Chantranupong L, Keys HR, Wang T, Gray NS, Sabatini DM . A unifying model for mTORC1-mediated regulation of mRNA translation. Nature 2012; 485: 109–113.
Hsieh AC, Liu Y, Edlind MP, Ingolia NT, Janes MR, Sher A et al. The translational landscape of mTOR signalling steers cancer initiation and metastasis. Nature 2012; 485: 55–61.
Koh MY, Spivak-Kroizman TR, Powis G . HIF-1 regulation: not so easy come, easy go. Trends Biochem Sci 2008; 33: 526–534.
Tee AR, Tee JA, Blenis J . Characterizing the interaction of the mammalian eIF4E-related protein 4EHP with 4E-BP1. FEBS Lett 2004; 564: 58–62.
Dunlop EA, Dodd KM, Land SC, Davies PA, Martins N, Stuart H et al. Determining the pathogenicity of patient-derived TSC2 mutations by functional characterization and clinical evidence. Eur J Hum Genet 2011; 19: 789–795.
Acknowledgements
This research was supported by the Association for International Cancer Research Career Development Fellowship (No. 06-914/915) (to AT), a Junior Fellowship from the Tuberous Sclerosis Association [Ref: 2013-F02: Investigating mTORC1 independent functions of TSC2] (to KD) and a Cancer Research UK development fund (to JS and AT). This work is further supported by the Welsh Government's National Institute of Social Care and Health Research (NISCHR) through the Wales Gene Park and by the Tuberous Sclerosis Association.
Author information
Authors and Affiliations
Corresponding author
Ethics declarations
Competing interests
The authors declare no conflict of interest.
Additional information
Supplementary Information accompanies this paper on the Oncogene website
Supplementary information
Rights and permissions
About this article
Cite this article
Dodd, K., Yang, J., Shen, M. et al. mTORC1 drives HIF-1α and VEGF-A signalling via multiple mechanisms involving 4E-BP1, S6K1 and STAT3. Oncogene 34, 2239–2250 (2015). https://doi.org/10.1038/onc.2014.164
Received:
Revised:
Accepted:
Published:
Issue date:
DOI: https://doi.org/10.1038/onc.2014.164
This article is cited by
-
EEF1A2 promotes HIF1A mediated breast cancer angiogenesis in normoxia and participates in a positive feedback loop with HIF1A in hypoxia
British Journal of Cancer (2024)
-
Prognostic stratification based on HIF-1α signaling for evaluating hypoxia status and immune landscape in hepatocellular carcinoma
Journal of Big Data (2023)
-
Decreased expression of hypoxia-inducible factor 1α (HIF-1α) in cord blood monocytes under anoxia
Pediatric Research (2023)
-
The SGLT2 inhibitor canagliflozin suppresses growth and enhances prostate cancer response to radiotherapy
Communications Biology (2023)
-
A systems biology approach to define mechanisms, phenotypes, and drivers in PanNETs with a personalized perspective
npj Systems Biology and Applications (2023)


