Abstract
Accumulating evidences have shown the association between aberrantly expressed microRNAs (miRs) and cancer, where these small regulatory RNAs appear to dictate the cell fate by regulating all the main biological processes. We demonstrated the responsibility of the circuitry connecting the oncomiR-221&222 with the tumor suppressors miR-126&126* in melanoma development and progression. According to the inverse correlation between endogenous miR-221&222 and miR-126&126*, respectively increasing or decreasing with malignancy, their enforced expression or silencing was sufficient for a reciprocal regulation. In line with the opposite roles of these miRs, protein analyses confirmed the reverse expression pattern of miR-126&126*-targeted genes that were induced by miR-221&222. Looking for a central player in this complex network, we revealed the dual regulation of AP2α, on one side directly targeted by miR-221&222 and on the other a transcriptional activator of miR-126&126*. We showed the chance of restoring miR-126&126* expression in metastatic melanoma to reduce the amount of mature intracellular heparin-binding EGF like growth factor, thus preventing promyelocytic leukemia zinc finger delocalization and maintaining its repression on miR-221&222 promoter. Thus, the low-residual quantity of these two miRs assures the release of AP2α expression, which in turn binds to and induces miR-126&126* transcription. All together these results point to an unbalanced ratio functional to melanoma malignancy between these two couples of miRs. During progression this balance gradually moves from miR-126&126* toward miR-221&222. This circuitry, besides confirming the central role of AP2α in orchestrating melanoma development and/or progression, further displays the significance of these miRs in cancer and the option of utilizing them for novel therapeutics.
Similar content being viewed by others
Introduction
Melanoma is a highly aggressive form of skin cancer mostly curable in its early stages, but no more responsive to therapies in the metastatic phase fronting very poor prognosis.1 The rate of this neoplasm is rapidly rising in the white population worldwide and epidemiological studies point out genetic and phenotypic traits, risk behaviors and environmental factors as important elements for its incidence.2
The discovery of frequent genetic alterations provided the opportunity to improve the conventional therapies by using specific inhibitors of key target proteins.3 Unfortunately, the onset of tumor resistance after single agent treatment represents a significant limit for these approaches inducing to search multi-factor strategies.4, 5 In this context, the emerging role of miRs as new players in melanoma disease may represent one exciting and hopeful therapeutic challenge.6 MiRs are a class of small noncoding RNA molecules that regulate gene expression, mainly at post-transcriptional level. One major advantage of miR therapeutic use is represented by the low toxicity expected from the re-expression of physiological molecules. In addition their simultaneous involvement in different pathways might give strength to their effects, virtually reducing the risk of tumor resistance.7 On the other hand, their direct action on several targets/pathways obviously suggests the requirement of an in depth molecular analysis before any possible translation to therapy.
A number of studies demonstrated the pro-tumorigenic role of miR-221&222 and the tumor suppressor activity of miR-126&126*.8, 9, 10, 11 In melanoma progression the enhanced expression of miR-221&222 activates several fundamental pathways, inducing cell survival and blocking melanogenesis.12 On the contrary the reduced expression of miR-126&126* in advanced melanomas leads to the up-modulation of ADAM9 and MMP7 proteases, which in turn increase heparin-binding EGF like growth factor (HB-EGF) shedding and production of the intracellular fragment HB-EGF-C.9, 13, 14 As a major step in understanding how this impaired miR-126&126* expression spreads to downstream molecules promoting tumorigenesis, we have here demonstrated that HB-EGF-C binds and delocalizes the promyelocytic leukemia zinc finger protein (PLZF), preventing the negative transcriptional regulation of its target genes.15, 16 Specifically, in normal human epidermal melanocytes (NHEM) and primary vertical growth phase melanomas PLZF has its antineoplastic function repressing the oncomiR-221&222.8, 17
In view of the opposite patterns induced by enforcedly expressing miR-126&126* or miR-221&222 in melanoma and considering that some miR-221&222-targeted genes are upregulated by miR-126&126* and vice versa,8, 9, 10 we focused our attention on the possibility of a cross-regulation between these two couples of miRs. As a key element in this regulatory cross-talk we identified AP2α transcription factor whose key role in melanoma was already well known, but only recently associated with miR transcription.18, 19, 20
Here we demonstrated the essential dual function of AP2α that acts as a positive transcriptional regulator of miR-126&126* by directly binding to the promoter of its host gene EGFL7, and it is also directly targeted by miR-221&222. These findings shed a new light on AP2α, further confirming its fundamental role in melanoma progression where it represents a rheostat in miR-126&126* and miR-221&222 balanced regulation.
Results
miR-126&126* and miR-221&222 expression patterns are inversely related during melanoma progression
Previous published data showed the opposite functions of miR-126&126* and miR-221&222 in melanoma progression, where they act as tumor suppressors and oncomiRs respectively.8, 9 To deeply investigate the relationship between these two couples of miRs, we compared their expression levels in a panel of melanoma cell lines, representing different stages of progression. Quantitative real-time RT–PCR (qRT–PCR) revealed that the levels of miR-126&126* were inversely related to those of miR-221&222. Particularly, miR-126&126* were highly expressed in NHEM and primary vertical growth phase melanomas and dropped in subcutaneous and lymph-node metastases. Conversely, miR-221&222 were almost undetectable in NHEM and gradually increased during progression (Figure 1a).
miR-126&126* and miR-221&222 expression patterns are inversely related during melanoma progression. qRT–PCR analysis of (a) endogenous expression levels of miR-126&-126* and miR-221&222 in normal melanocytes (NHEM) and melanoma cell lines. (b) A375M cells transduced with miR-126&126* (left) or silenced for miR-221&222 (right). (c) Me1402/R overexpressing miR-221&222 (left) or silenced (right) for miR-221&222. (d) Mel501 transduced with miR-221 or miR-222 (left) or after inhibition of miR-126&126* (right). Non-targeting (non targ) oligomers were included as negative controls. Relative miR expression levels were normalized on RNU6B levels. Columns, mean±s.d. of at least three independent experiments. *P<0.05, **P<0.01.
The initial hypothesis of a cross regulation between miR-126&126* and miR-221&222 was sustained by the strong suppression of miR-221 and miR-222 observed in miR-126&126*-transduced A375M metastatic melanoma cell line (Figure 1b, left) and by the induction of miR-126&126* when miR-221&222 were silenced (Figure 1b, right). The same coregulation was obtained in Me1402/R melanoma, as either the enforced expression or the abrogation of miR-221 or miR-222 clearly down- and up-modulated miR-126 and miR-126* levels (Figure 1c). Similar results were detected in Mel501 melanoma endogenously expressing high levels of miR-126&126* and low miR-221&222 (Figure 1a). Indeed either miR-221&222 enforced expression or miR-126&126* abrogation were able to induce the negative feedback between these couples of miRs, showing the possibility of further increase miR-126&126* in primary tumor cells (Figure 1d). The opposite roles of these two clustered miRs were demonstrated by the inverse expression pattern of several pro-oncogenic factors which are targeted by miR-126&126* and increased by miR-221&222 (that is, ADAM9, MMP7 and OPN; Supplementary Figure 1).
HB-EGF-C intracellular fragment interacts with and mediates PLZF delocalization into the cytoplasm
We previously reported that miR-126&126*, through ADAM9 and MMP7 regulation, interfere with the activating cleavage of the HB-EGF precursor, impairing the HB-EGF-C intracellular fragment production.9 This portion is known to enter the nucleus where it binds and delocalizes important transcription regulators, like PLZF, preventing their repressive functions.15, 16 The inhibitory role of PLZF on miR-221&222 expression8 prompted us to speculate that in advanced melanoma the low or absent level of miR-126&126*, releasing the overexpression of ADAM9 and MMP7, should result in an increased shedding of pro-HB-EGF. As a consequence, the nuclear repressive function of PLZF should be abrogated and miR-221&222 transcription unblocked. To experimentally confirm this hypothesis, we evaluated the effects of MMP7 and ADAM9 silencing on miR-221&222 expression, if any. Indeed low levels of these proteases led to miR-221&222 reduction (Figure 2a), thus supporting the functional involvement of these factors in closing the circuitry between miR-126&126* with miR-221&222.
ADAM9 and MMP7 regulate miR-221&222 expression through HB-EGF-C/PLZF interaction and delocalization. (a) Western blot validation of ADAM9 and MMP7 silencing (left) and qRT–PCR analysis of the resulting miR-221&222 downmodulation (right). (b) Coimmunoprecipitation of HB-EGF-C and PLZF in Me665/1 and Me1007 cell lysates. Proteins were immunoprecipitated with PLZF Ab and immunoblotted with HB-EGF-C and PLZF Abs. (c) Representative WB analysis of PLZF in control untreated and PMA-treated miR-126&126* vs TripZ vector-transduced A375M cell line. PLZF was evaluated in nuclear and cytoplasmic extracts at t=0 as baseline control and then after 1 or 2 h of PMA. Nucleolin and Tubulin were assessed to confirm protein purification and amounts. PLZF export from the nucleus into the cytoplasm was induced by PMA in control, but not in miR-126&126*-transduced cells. Ab, Antibody; CE, cytoplasmic extracts; NE, nuclear extracts; PMA, Phorbol-12-myristate-13-acetate; WB, western blot *P<0.05; **P<0.01.
In agreement with this assumption, experiments of coimmunoprecipitation confirmed the direct interaction between PLZF and HB-EGF-C in advanced, but not in early primary melanoma cells (Figure 2b). In view of a different compartmentalization of PLZF, melanoma cells transduced or not with miR-126&126* were treated with the phorbolester Phorbol-12-myristate-13-acetate-(PMA), known to boost HB-EGF cleavage through metalloprotease activation.13, 14 Indeed the translocation of PLZF from the nucleus into the cytoplasm observed in PMA treated control melanoma was impaired by the enforced expression of miR-126&126*, as confirmed by the permanence of this protein in the nuclear fractions (Figure 2c).
AP2α transcription factor is directly regulated by miR-221&222
Searching for proteins predicted as putative targets of miR-221&222 and specifically involved in melanoma progression, among a number of options reported by the TargetScan specific software (Whitehead Inst., Cambridge, MA, USA), we focused on AP2α, a transcription factor whose expression is lost in advanced melanoma cell lines.20, 21 To verify the hypothesis of AP2α as a direct target of miR-221&222, we analyzed its expression level in NHEM and some differently staged melanoma cell lines. In line with published data,22 expression analyses showed that AP2α was highly expressed in NHEM, maintaining a virtually steady state in primary melanoma cells and disappearing in metastatic melanoma cells (Figure 3a). As expected for a miR-regulatory system, AP2α protein expression resulted inversely related to miR-221&222 levels (Figure 3a). To verify the functional binding of miR-221&222 to the putative conserved site present in the 3′UTR of AP2α, we performed a series of luciferase assays. The AP2α 3′UTR, containing either the wild-type or mutated miR-221&222-binding sequence, was cloned downstream to the luciferase open reading frame (Figure 3b). Constructs were cotransfected into the 293FT and Me1007 cell lines with either miR-221&222 or a non-targeting oligonucleotide. Results showed a significant miR-221&222-dependent inhibition of the luciferase activity (~40% reduction in 293FT and 20–40% in Me1007 cells). Importantly, mutation of six bases in the seed sequence totally abrogated miR-221&222-dependent repression in both cell lines (Figure 3c). All together these experiments demonstrated that miR-221&222 directly interact with and repress AP2α. Accordingly, miR-221 or miR-222 enforced expression in Me1007 and Me1402/R primary melanoma cells strongly suppressed AP2α (Figure 3d). Significant increases of AP2α levels were obtained in Me1402/R and A375M melanomas as a consequence of the simultaneous abrogation of miR-221&222 (Figure 3e).
AP2α targeting by miR-221&222. (a) WB analysis of AP2α with relative densitometric evaluation and miR-221 and -222 levels in normal melanocytes (NHEM) and melanoma cell lines. (b) Nucleotide pairing between AP2α 3′UTR and miR-221 and -222 is shown by bars. The seed sequence is indicated in bold, while lower case letters with asterisks represent the mutated nucleotides. (c) Luciferase reporter assay performed in 293FT (left) and Me1007 (right) cell lines by cotransfecting miR-221 or -222 in the presence of the AP2α 3′UTR. As controls, mutated 3′UTR sequences and a non-targeting oligomer were also included. (d) qRT–PCR (left) and representative WB analysis (right) of AP2α in Me1007 (top) and Me1402/R (bottom) control Tween vector vs miR-221- or 222-transduced cells. (e) Representative WB analysis of AP2α in anti-miR-221&222-transfected Me1402/R and A375M melanoma cells. GAPDH and actin are the internal controls. Non-targeting oligomers were also included as negative controls. Columns, mean±s.d. of at least three independent experiments. *P<0.05, **P<0.01. LUC, luciferase; Mut, mutated; non targ, non-targeting; WB, western blot.
EGFL7/miR-126&126* promoter regulation
To dissect the complex circuitry possibly connecting miR-126&126* and miR-221&222, we focused our attention on EGFL7/miR-126&126* putative promoters. The stem–loop sequence harboring miR-126&126* is included in the intron 7 of the EGFL7 gene located on chromosome 9.23 EGFL7 gene encodes for a single protein although derived from T1 (NM_016215) or T2 (NM_201446) isoforms, differing in the 5′ untranslated region (Figure 4a). Previous data demonstrated the CpG island localized in the T2 proximal promoter of EGFL7 and miR-126 (Prom2) as the main regulatory target of epigenetic mechanisms, being miR-126 apparently dependent on promoter hypermethylation of its host gene.24, 25, 26 On this basis we evaluated by bisulfite genomic sequencing the CpG methylation profile in our melanoma cell lines. Unexpectedly metastatic samples expressing lower levels of miR-126&126* did not result hypermethylated, but showed a methylation level similar to that of normal melanocytes and lower than primary melanoma cell lines (Figure 4b). Accordingly, the 5-aza-2′-deoxycytidine (5-aza-dC) treatment of A375M and Me665/1 metastatic cells induced a very low increment of miR-126 compared with primary Me1402/R cells (Figure 4c). To verify a possible alteration of the chromatin structure, we also treated primary and metastatic melanoma cells with the histone deacetylase inhibitor trichostatin A (TSA) and with a combination of 5-aza-dC and TSA. As reported, miR-126 was again induced in primary melanoma but not in metastatic A375M and Me665/1 cells (Figure 4a). No significant increment of EGFL7 was obtained in the different treatment conditions in both cell lines (Figure 4d and data not shown). A very strong raise of p21 protein was included as a positive control of 5-aza-dC and TSA functionality (Figure 4d).27 All together these evidences prompted us to look for mechanisms other than epigenetic as responsible for miR-126&126* downmodulation in metastatic melanoma.
Epigenetic regulation of miR-126 and its host gene EGFL7. (a) Schematic depiction of the location of the miR-126 gene within an intron of the EGFL7 gene. Promoter 1 and Promoter 2. (b) Bisulphite genomic sequencing analysis of the CpG islands in the EGFL7 promoter 2 of normal melanocytes (NHEM), Me1402/R and A375M melanoma cell lines. Horizontal lines of circles represent each sequenced clone (5–14 independent analyses for each sample); percentages represent the number of methylated CpG islands respect to the totality present in the sequenced fragment. Unfilled (white) and filled (black) circles represent unmethylated and methylated CpGs, respectively. (c) miR-126 expression in Me1402/R, A375M and Me665/1 cells after treatment of 5′-aza-dC and TSA evaluated as fold increase respect to untreated cells. RNU6B was used as a control. (d) Representative WB analysis of EGFL7 in A375M cell line treated with 5′-aza-dC and/or TSA. P21 induction was used as a positive control of treatment effectiveness. 5′-aza-dC, 5′-aza-2′-deoxycytidine; Prom1, promoter 1; Prom2, promoter 2; WB, western blot.
AP2α binds and regulates the EGFL7/miR-126&126* promoter
Further analysis of the putative miR-126&126* promoter regions (NC_000009, 139551234-139569202) showed an interesting cis-regulatory sequence, upstream to both T1 and T2 EGFL7 isoforms. This sequence (Prom1) was already reported to promote the expression of the T1 EGFL7 isoform.28 Interestingly, an in silico analysis (Transfact software, www.gene-regulation.com) revealed the presence of five potential AP2α-binding sites (BS) in this region (Figure 5a). To demonstrate the direct action of AP2α on these cis-regulatory sequences, we cloned this genome fragment into the pGL3-basic reporter vector. Starting from a 0.9 kb fragment (−799/+121) including five AP2α BSs, we also generated a smaller one (−140/+121) containing three AP2α BSs, one of which (BS3) near to the transcription start site (considering the T1 EGFL7 start site as +1) (see Materials and methods section for details). Each construct was cotransfected with the AP2α overexpressing vector in either 293FT or Me1402/R cell lines. As shown in Figure 5b, the luciferase activity was strongly induced when the exogenous AP2α acts on the whole fragment (−799/+121) (4.36±0.25 fold increase of AP2α vs Tween in 293FT and 1.9±0.15 in Me1402/R). Interestingly a similar increase was obtained in both cell lines with the small fragment (−138/+121; 4.4±0.07 fold increase of AP2α vs Tween in 293FT and 1.97±0.13 in Me1402/R) suggesting a major role of BS 1–3. Consistent results were obtained by transfecting these constructs with either Dsi-AP2α or Dsi-scr (RNA scrambled control) sequences into the 293FT and Me1402/R cell lines. In both cases the luciferase activity was reduced either in presence of the long (1.96±0.3 fold decrease in 293FT and 1.42±0.2 fold in Me1402/R) or of the small fragment (1.76±0.06-fold decrease in 293FT and 1.4±0.2 fold in Me1402/R; Figure 5c). Based on these results and to identify the specific efficiency of each AP2α BS, we performed mutagenesis experiments for each of the five sites. Results suggested the association of most of the AP2α activity with BS3 plus a very small effect linked to BS4 (Figure 5d). The in vivo interaction between these putative cis-regulatory elements and AP2α protein was confirmed by chromatin immunoprecipitation assays in the Me1402/R cells: PCR amplifications of unsheared input genomic DNA and anti-AP2α antibody-mediated reaction revealed a significant binding at all the analyzed BSs compared with product obtained by immunoprecipitation with an irrelevant antibody as negative control. Although chromatin immunoprecipitation cannot be considered a quantitative analysis, BS4 and BS3 displayed the stronger bands possibly suggesting a higher affinity of AP2α to these sites (Figure 5e).
EGFL7/miR-126&126* promoter regulation. (a) Schematic illustration of the genomic region representing the promoter 1 of EGFL7. BS1-2, BS3, BS4 and BS5 indicate the AP2α BSs. (b) Promoter luciferase assays performed in the 293FT and Me1402/R cells transfected with AP2α. As control, the empty vector Tween was included. (c) Promoter luciferase assays performed in the 293FT and Me1402/R cells transfected with either Dsi-AP2α or Dsi-scr negative control. (d) As control of the APα BSs specificity, point mutations were inserted in the core-binding sequences and promoter luciferase assay performed. (e) Chromatin immunoprecipitation assay performed in Me1402/R cells with anti-AP2α antibodies and analyzed by semiquantitative PCR. Columns, mean±s.d. of at least three independent experiments. *P<0.05, **P<0.01, ***P<0.001. Mut, mutated.
AP2α transcription factor regulates miR-126&126* expression
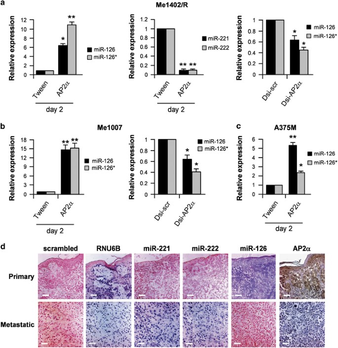
To better understand the role of AP2α, we evaluated its effectiveness in regulating miR-126&126* expression. To this end we used a lentiviral system to constitutively express AP2α in Me1007 and Me1402/R melanoma cell lines, selected for their low, but detectable levels of both miR-221&222 and for high or intermediate miR-126&126*, respectively. The overexpression of AP2α was confirmed by qRT–PCR and western blot analysis at day 2 post infection (AP2α vs Tween) (Supplementary Figures 2a and b). AP2α-transduced Me1007 and Me1402/R cells showed a burst of miR-126&126* expression (14- and 15-fold and 6- and 10-fold increase, respectively; Figures 6a and b, right). An opposite trend was detected in Me1402/R for miR-221&222 whose strong decrease (Figure 6b, middle) supported the hypothesis of the AP2α-mediated inverse cross-regulation between the two groups of miRs. As a control of miR-126&126* induction and functionality in AP2α-overexpressing Me1402/R, we observed a substantial reduction of PIK3R2, a validated target of miR-126&126* (Supplementary Figure 2a, right).29 Accordingly, miR-126&126* downregulation was the consequence of AP2α silencing in Me1007 and Me1402/R primary melanoma cell lines (Figures 6a and b, right; and Supplementary Figure 2c). Considering an important goal restoring miR-126&126* expression in metastatic melanoma cells, we lentivirally transduced AP2α also in the A375M cell line, getting a parallel significant induction of miR-126&126* (5- and 2.4-fold; Figure 6c and Supplementary Figure 2d). An increment of miR-126&126* level was also achieved in NHEM as a consequence of AP2α enforced expression (Supplementary Figure 2e). Finally, the actual effectiveness of this regulatory pathway was revealed by in situ hybridization of miR-126 and miR-221&222 and by immunohistochemistry of AP2α in bioptic specimens from patients. Results confirmed the direct association of AP2α with miR-126 and its inverse relationship with miR-221&222 (Figure 6d). Additional analyses performed by in situ hybridization on representative bioptic samples, including tumor-adjacent normal tissues, compound melanocytic nevi, primary melanomas Clark’s levels I–III, as well as subcutaneous and lymph node metastases, further supported the inverse correlation between these microRNAs (Supplementary Figure 3 and data not shown).
AP2α-dependent regulation of miR-126&126* and miR-221&222. qRT–PCR evaluations of (a) miR-126&126* (left), and miR-221&-222 (middle) in AP2α-overexpressing Me1402/R cell line and miR-126&126* after AP2α silencing (right). (b) miR-126&126* as a consequence of AP2α enforced expression or silencing in Me1007. (c) miR-126&126* in AP2α-transduced A375M cells. Samples were normalized on RNU6B levels. Columns, mean±s.d. of at least three independent experiments. **P<0.01, ***P<0.001. (d) In situ hybridization of miR-221, miR-222 and miR-126 and immunohistochemistry of AP2α. Bar, 50 μm. Representative sections from one primary and one metastatic melanoma specimen are shown. Scrambled and RNU6B correspond to negative and positive controls, respectively. *P<0.05, **P<0.01.
EGFL7 expression results from the balance between AP2α transcriptional induction and miR-126&126*targeting
To support the hypothesis that the above reported AP2α cis-elements regulating miR-126&126* expression might also be functional to EGFL7 transcription, we evaluated the amounts of EGFL7 in Me1007 and A375M cell lines, representative of early and advanced stages. As expected, AP2α enforced expression induced a marked up-modulation of EGFL7 at mRNA and protein levels in both melanoma cell lines respect to control vector-transduced and untreated cells (Figure 7a). In line with a recent work showing that EGFL7 was targeted by miR-126&126*,30 we also found a significant, although moderate, reduction of EGFL7 protein in Me665/1 and A375M overexpressing miR-126&126* respect to control cells (Supplementary Figure 4a). Conversely, 48 h treatment of primary and metastatic melanoma cells with anti-miR-126&126* locked-nucleic-acid oligonucleotides induced a significant increase of EGFL7 protein (Supplementary Figure 4b). Consistent with these results, we observed an increment of EGFL7 in metastatic melanoma cells compared with primary melanoma and normal melanocytes, perhaps due to reduced miR-126&126*-mediated post-transcriptional inhibition (Supplementary Figure 4c).
AP2α expression is directly related with EGFL7 and miR-126&126* and inversely with miR-221&222. (a) Evaluation of EGFL7 in AP2α-transduced Me1402/R and A375M cells at mRNA (left) and protein (right) levels (**P<0.01). (b) Schematic depiction of miR-126&126* and miR-221&222 coregulatory pathways. The AP2α dependent activation of miR-126&126* and the consequential ADAM9 and MMP7-targeted downregulation prevent the pro-HB-EGF shedding in normal melanocytes (left). In melanoma the low levels of miR-126&126* unblock ADAM9 and MMP7 resulting in pro-HB-EGF shedding. This proteolytic cleavage originates the intracellular HB-EGF-C fragment that, entering the nucleus, binds and delocalizes the PLZF transcription factor, thus preventing its repressive function on miR-221&222 transcription. High amounts of miR-221&222 downregulate AP2α and consequently miR-126&126*, thereby contributing to close the circuitry maintaining advanced melanoma traits (right).
Discussion
Melanoma is one of the most aggressive human cancers, being resistant to therapy in advanced stages.1, 2, 3, 4, 5 Therefore, understanding the mechanisms regulating the switch from primary to metastatic tumor as well as cell resistance to therapies would be a crucial goal. The role of deregulated transcription factor activity in determining tumorigenicity and metastatic potential was extensively studied.20, 21 Likewise, the involvement of miRs in cancer, including melanoma, is by now widely accepted.6, 7
We have here investigated the option of a negative feedback loop connecting miR-126&126* and miR-221&222 starting from their inversely correlated expressions and opposite functions, the former being tumor suppressors and the latter oncomiRs. Accordingly, miR-126&126* overexpression in melanoma cells was sufficient to strongly downregulate miR-221&222 and vice versa (Figure 1). In line with the contrasting roles of these two clustered miRs, protein analyses demonstrated the inverse expression pattern of several pro-oncogenic factors, targeted by miR-126&126* (that is, ADAM9, MMP7 and OPN) and induced by miR-221&222 (Supplementary Figure 1). On the other hand, some differentiation and melanogenesis-linked molecules (that is, c-KIT, MITF and TRP1) rose in a miR-126&126*-dependent manner and were directly or indirectly repressed by oncomiR-221&222.8, 9
We recently demonstrated in melanoma progression that miR-126&126* downregulation has its oncogenic role unblocking ADAM9 and MMP7 expression consequently activating the HB-EGF.9 Besides its triggering of the EGF receptor, the HB-EGF-C terminal portion, produced by ectodomain shedding, is known to enter the nucleus where it binds and delocalizes PLZF.15, 16 Among several other targets, we previously described PLZF as a transcriptional repressor of miR-221&222.8 Here we demonstrated the physical interaction between HB-EGF-C and PLZF in the nucleus of advanced melanoma followed by the rapid delocalization of PLZF into the cytoplasm (Figures 2b and c). Indeed, as a result of the low proteolytic activation of HB-EGF in miR-126&126*-overexpressing cells, PLZF remained on miR-221&222 promoter blocking its transcription (Figure 2c). Interestingly, a similar regulatory pathway was described in colon cancer cells where the TPA-induced nuclear translocation of HB-EGF-C and nuclear export of PLZF are responsible of increased cell proliferation. In these cells, among a number of candidate inhibitors, telmisartan was reported to block cell growth by interfering with the interaction between HB-EGF-C and PLZF.31
Basing on these data and looking for a factor which would functionally regulate the correct balance of these two couples of miRs, we focused on AP2α, one of the main transcription factors involved in melanoma progression from primary to local and metastatic dissemination. The loss of AP2α was associated with melanoma transition from radial growth phase to vertical growth phase and consequently with deregulated levels of the main tumorigenic factors, as cell adhesion molecules, matrix degrading enzymes, survival and angiogenic proteins.19 Specifically AP-2α acts as a tumor suppressor by activating p21Waf1/Cip1 expression and inducing cell cycle arrest, but also regulating the expression of genes involved in cell proliferation (HER2), apoptosis (c-KIT, Bcl-2, FAS/APO-1, HRK), adhesion (E-cadherin) and invasion/angiogenesis (MMP-2, VEGF).22, 32, 33 Recently, overexpression of AP-2α in pancreatic cancer cells was also reported to reduce tumor growth through the regulation of factors such as CDK-4, CDK-6, cyclin-G1, p27kip1 and p57kip2.34 Few data showed that microRNAs are regulated themselves by transcription factors. One example is the miR-17-92 cluster demonstrated as a direct AP-2 target in orofacial congenital disease.18
All together AP2α appeared to satisfy our requirements in view of its specific BSs present on the promoter region of EGFL7, a secreted protein involved in both physiological and pathological angiogenesis, which harbor miR-126&126* precursor in its intron 7. In addition AP2α is reported by TargetScan 6.2 as a putative target of miR-221&222. Experimental results confirmed that AP2α expression was directly related with miR-126&126* levels and inversely with miR-221&222 (Figures 3 and 6), indicating the miR-221&222-dependent capability to repress AP2α (Figure 3c). More important, the relative inverse expressions of these couples of microRNAs were validated on human bioptic specimens, including nevi and melanomas at early and advanced stages (Figure 6d and Supplementary Figure 3).
It is interesting to note that in melanoma AP2α expression displays the same pattern of c-KIT being both genes transcriptionally induced by AP2α itself. Accordingly, both promoters contain AP2α BSs. In fact AP2α enforced expression, besides sustaining an autoregulatory loop, resulted able to restore c-KIT in metastatic melanoma.35 In addition both these melanogenesis-associated genes showed a striking inverse correlation with miR-221 and miR-222. Thus, the downregulation of miR-221 and miR-222 besides unblocking c-KIT and its downstream pathway clearly induced AP2α (Figure 3).8
To investigate the possibility of miR-126&126* epigenetic silencing in metastatic melanomas, we treated metastatic melanoma cell lines with the DNA demethylating 5-aza-dC and/or with the histone deacetylase TSA. Despite the reported epigenetic regulation of miR-126 and its hosting gene EGFL7 in primary bladder, prostate and breast tumors, relying on the CpG island present into Prom2,25, 26 we did not obtain any induction neither of EGFL7 nor of miR-126&126*. In agreement, the methylation levels detected in differently staged melanomas and in normal melanocytes did not correlate with miR-126 and EGFL7 endogenous levels (Figure 1a, Figure 4b and Supplementary Figure 4). Consequently we focused on the Prom1 region which actually resulted transcriptionally regulated by AP2α. Specifically a single BS (BS3), located just upstream to the translational start site, appeared to cover more than 80% of the Prom1 activity, as suggested for EGFL7 regulation in endothelial cells.28
It is finally worth mentioning the apparent discrepancies in EGFL7/miR-126&126* regulation in melanoma. In general, the expression of miR-126&126* appears paralleled by that of EGFL7,11 according to a common mRNA precursor.36 Conversely, the expression patterns observed in melanoma indicated a more complex regulation, possibly involving the direct miR-126&126* targeting of EGFL7, as reported in human endothelial cells37 and lung cancer.38 Indeed the inverse correlation between EGFL7 protein and miR-126&126* levels detected in advanced melanoma might derive from their reduced cotranscription, at least partially resulting from the deficiency of AP2α, and in turn from the reduced targeting of miR-126&126* on EGFL7. EGFL7 modulations induced by miR-126&126* enforced expression or silencing supported this idea (Supplementary Figures 4a and b). The observed dynamic balance might appear one of the possible escaping mechanisms developed by melanoma. Among many possible events, we hypothesize that the aberrant CpG methylation of the AP2α promoter associated with melanoma transformation39 might unbalance the correct ratio between the levels of oncosuppressor miR-126&126* and oncogenic miR-221&222, pushing from miR-126&126* toward miR-221&222 (Figure 7b).
All together our results confirmed the central role of AP2α in orchestrating melanoma development and/or progression and further pointed out the significance of miR-126&126* and miR-221&222 in cancer, suggesting this auto-sustaining loop as a good target for novel therapeutic opportunity.
Materials and methods
Cell lines culture and transduction
Human melanoma cell lines were obtained and characterized as previously described.8 NHEM from foreskin were obtained from Promocell (Heidelberg, Germany). All these cell lines were authenticated according to a standard short tandem repeat-based genotyping and periodically tested for mycoplasma contamination.
Overexpression of miR-221&222 and miR-126&126* was obtained in melanoma cells by using lentiviral vectors systems, as already reported.8, 9 The AP2α cDNA (NCBI Sequence NM_001032280.2) encompassing its complete coding sequence was cloned into a variant third-generation lentiviral vector, pRRL-CMV-PGK- GFP-WPRE, called Tween9 and used for both infection and transfection experiments. Chemically modified antisense oligonucleotides (antagomirs) have been used to inhibit miR-221 and -222 expression in vitro (Dharmacon Inc., Lafayette, CO, USA).8 Antagomir-133a was used as a non-targeting control. MiRCURY locked-nucleic-acid Power Inhibitor knockdown probes for miR-126 and -126* were obtained from Exiqon (Copenhagen, Denmark; product numbers #426717-00 and #426718-00). In all the experiments the locked-nucleic-acid microRNA Inhibitor Negative Control was included (#199004-00). Transfections were performed using Lipofectamine 2000 (Life Technologies, Carlsbad, CA, USA) according to the manufacturer’s instructions.
The biopsy melanoma specimens used in this study were obtained from the archives of the Human Pathology Section, University of Palermo. Signed informed consent was obtained by patients. Thirty samples, including nevi as well as primary and metastatic melanomas, were analyzed. Sampling and handling of human tissue material was carried out in accordance with the ethical principle of the Declaration of Helsinki.
Cell treatments
The A375M melanoma cell line was treated with Phorbol-12-myristate-13-acetate for 1 and 2 h at a final concentration of 100 nM (Sigma-Aldrich, Saint Louis, MO, USA).
Where indicated melanoma cell lines were treated with 5 μM of 5-aza-dC for 48 h or 400 ng/ml TSA for 24 h (Sigma-Aldrich), and with 2.5 μM and 200 ng/ml, respectively, when used together. Media were refreshed every day.
RNA extraction and qRT–PCR
Total RNA was extracted with NucleoSpin miRNA kit (Macherey-Nagel GmbH & Co. KG. Düren, Germany.) according to the manufacturer’s specifications. qRT–PCR was performed by the TaqMan Technology, using the ABI PRISM 7700 DNA Sequence Detection System (Life Technologies). Commercial ready-to-use primers/probe mixes (Assays on Demand Products, Life Technologies) are listed: miR-221: #000524; miR-222: #000525; miR-126: #002228; miR-126*: #000451; AP2α: #Hs01029413_m1 and EGFL7: # Hs00211952_m1. Samples were normalized by evaluating RNU6B (#001093) and GAPDH (#Hs02758991) expression.
Small-interfering RNA
AP2α was specifically silenced using small interfering RNA (IDT, Leuven, Belgium). In brief, 24 h after plating, cells were transfected using Lipofectamine 2000 (Life Technologies) with either DsiAP2α (three different sequences were utilized: HSC.RNAI.N001032280.12.1, HSC.RNAI.N001032280.12.2 and HSC.RNAI.N0001032280.12.7) or a DsiRNA scrambled control (final concentration 200 nM). The level of AP2α was analyzed 48 h after transfection by qRT–PCR and western blot. ADAM9 and MMP7 silencing was performed by using four unique 29-mer shRNA constructs in retroviral GFP vector, #TG314947 for ADAM9, # TG311438 MMP7 and #TR30013 for scrambled negative control (OriGene Technologies, Rockville, MD, USA).
Western blot
Western blot was performed according to standard procedures. Cell lysates were separated by the precast NuPAGE polyacrylamide gel system (Life Technologies). When indicated, purified nuclear and cytoplasmic proteins were analyzed. In brief, cell pellets from melanoma cell lines were resuspended in 100–250 μl of Lysis Buffer Cyto (10 mM HEPES pH 7.5, 40 mM KCl, 3 mM MgCl, 2.5% glycerol and 0.2% NP40) plus protease inhibitors, maintained on ice for 5 min, vortexed and then centrifuged at 3000 r.p.m. for 5 min at 4 °C. The resultant supernatants represented the final ‘cytoplasmic fractions’. The nuclear pellets were then washed again with Lysis Buffer Cyto, resuspended in 30–50 μl of Lysis Buffer Nuclei (20 mM HEPES pH 7.5, 40 mM KCl, 420 nM NaCl, 1.5 mM MgCl2, 25% glycerol and 0.2 mM EDTA) plus protease inhibitors and kept on ice for 20 min. After three freeze/thaw cycles at −80 °C, the suspensions were centrifuged at 3000 r.p.m. for 10 min at 4 °C and the resultant supernatants, representing the final ‘nuclear fractions’, immediately used or aliquoted and frozen at −80 °C. Protein concentration was measured by the Biorad protein assay (Hercules, CA, USA).
Monoclonal antibodies against PI3K(p85b) and OPN (Abcam, Cambridge, UK, #ab28356, #ab69498) and polyclonal against PLZF (Active Motif, Belgium, #39987), AP2α, p21, ADAM9 (Santa Cruz Biotechnology, Santa Cruz, CA, USA, #sc-184-R, #sc-817, sc-50332), EGFL7 (Abcam, Cambridge, UK, #ab102796) and MMP7 (R&D Systems, Minneapolis, MN, USA, #MAB9071) were used in accordance to the manufacturer’s instructions. Nucleolin (Santa Cruz Biotechnology, #sc-8031), α-tubulin and actin (Sigma-Aldrich, #T5168, #A5441) were used as loading controls. The expression levels were evaluated by the AlphaView Software (Proteinsimple, SanJose, CA, USA).
Coimmunoprecipitation
Coimmunoprecipitation was conducted as previously described.40 Protein lysates were immunoprecipitated with polyclonal antibody against PLZF (Active Motif, #39987) and blots were then probed with either a polyclonal antibody against HB-EGF (Santa Cruz Biotechnology, #sc-1413) or PLZF itself.
Chromatin immunoprecipitation assay
Chromatin immunoprecipitation assay was performed as previously described.40 DNA-protein complexes were immunoprecipitated using anti-AP2α or, as an internal control, the unrelated monoclonal antibody against dishvelled-1 (Santa Cruz Biotechnology, #sc-8025). The recovered DNA was then PCR-amplified with the primer set listed in Supplementary Table 1.
Bisulphite modification and genomic sequencing
The methylation status of the CpG dinucleotides close to the EGFL7 Prom2 was analyzed. Genomic DNA was isolated from cultured cells using DNeasy Blood and tissue kit (Qiagen, Valencia, CA, USA) according to manufacturer’s instructions and subjected to BisulFlash DNA Modification Kit (Epigentek, Farmingdale, NY, USA). The fragments of interest were amplified using the following specific primer pairs designed with the MethPrimer program41 fwd, 5′-TTGGGTTTTGTTATGTGGTTTTAG-3′; rev, 5′-AACCCTTTACTAACTTTCAAACCC-3′. PCR products were gel purified with the Gel/PCR DNA Fragments Extraction Kit (Geneaid, Biotech Ltd, New Taipei City, Taiwan), subcloned into the pCR2.1 vector by TA cloning (Life Technologies) and sequenced via an external sequencing service (BMR-Genomics, Padova, Italy).
Target analysis
Bioinformatic analysis was performed by using the specific program TargetScan (http://www.targetscan.org/). The in silico analysis was performed by Transfact software (http://www.gene-regulation.com).
Luciferase assay
Luciferase reporter assays were performed as reported.40 In brief, the 3′UTR of the target gene AP2α predicted to interact with miR-221&222 was PCR amplified (from 2916 to 3108) and subcloned into the pGL3 promoter vector (Promega, Madison, WI, USA). Mutated nucleotides are indicated in Figure 3b. The wild-type pGL3-3′UTR cotransfected with the control non-targeting oligonucleotide was considered as 100%.
To analyze the functional roles of the AP2α BSs such as GCCN3GGC or GCCN3/4GGG (indicated as BS 1–5 in Figure 5a), two DNA fragment containing the putative regulatory region upstream to miR-126&126* (from +121 to −140 nt and from +121 to −799 nt) were amplified and cloned in pGL3 basic (Promega). As controls of specificity, point mutations were inserted in the wild-type core-binding sequence for AP2α by using the QuikChange Site-Directed Mutagenesis Kit (Stratagene, La Jolla, CA, USA). The sequences of the oligonucleotides are listed in Supplementary Table 2.
Immunohistochemical staining
For immunohistochemical staining, the slides were dewaxed and rehydrated. After heat-mediated antigenic retrieval using a pH 6.0 sodium citrate buffer for 30 min in thermostatic water bath, the sections were treated according to the manufacturer’s instructions of the Pierce Peroxidase Detection kit (Thermo Scientific, Rockford, IL, USA). The polyclonal rabbit anti -AP2α (Santa Cruz) was used as primary antibody at a dilution of 1:200 and the goat anti-rabbit IgG-HRP (656120; Life Technologies) at 1:3000 dilution as secondary one. Staining was visualized using the DAB chromogen (Pierce) and the sections were counterstained with Harris Modified Hematoxylin. Negative controls were performed by omission of the primary antibody in each experiment. Slides were evaluated using a Nikon Eclipse E1000 equipped with a Nikon DXM 1200 digital camera with dedicated acquisition software (Nikon ACT-1 v. 2.1; all from Nikon Instruments, Campi Bisenzio, Firenze, Italy).
In situ miRNA hybridization
In situ detection of miR-221&222 and miR-126 on formalin-fixed paraffin-embedded melanoma samples was essentially performed as described by miRCURY locked-nucleic-acid microRNA ISH optimization kit (Exiqon).
Statistical analysis
Statistical and frequency distribution analysis was performed by Excel. Unless otherwise stated, results were representative of at least three independent experiments. Statistical analysis was performed using the t-test with P<0.05 deemed statistically significant.
References
Eggermont AMM, Spatz A, Robert C . Cutaneous melanoma. Lancet 2014; 383: 816–827.
Little EG, Eide MJ . Update on the current state of melanoma incidence. Dermatol Clin 2012; 30: 355–361.
Kwong LN, Davies MA . Targeted therapy for melanoma: rational combinatorial approaches. Oncogene 2014; 33: 1–9.
Das Thakur M, Stuart DD . The evolution of melanoma resistance reveals therapeutic opportunities. Cancer Res 2013; 73: 6106–6110.
Menzies AM, Long GV . Systemic treatment for BRAF-mutant melanoma: where do we go next? Lancet Oncol 2014; 15: E371–E381.
Aftab MN, Dinger ME, Perera RJ . The role of microRNAs and long non-coding RNAs in the pathology, diagnosis, and management of melanoma. Arch Biochem Biophys 2014; 563: 60–70.
Dai X, Tan C . Combination of microRNA therapeutics with small-molecule anticancer drugs: mechanism of action and co-delivery nanocarriers. Adv Drug Deliv Rev 2015; 81: 184–197.
Felicetti F, Errico MC, Bottero L, Segnalini P, Stoppacciaro A, Biffoni M et al. The promyelocytic leukemia zinc finger-microRNA-221/-222 pathway controls melanoma progression through multiple oncogenic mechanisms. Cancer Res 2008; 68: 2745–2754.
Felli N, Felicetti F, Lustri AM, Errico MC, Bottero L, Cannistraci A et al. miR-126&126*restored expressions play a tumor suppressor role by directly regulating ADAM9 and MMP7 in melanoma. PLoS One 2013; 8: e56824.
Garofalo M, Quintavalle C, Romano G, Croce CM, Condorelli G . miR221/222 in cancer: their role in tumor progression and response to therapy. Curr Mol Med 2012; 12: 27–33.
Ebrahimi F, Gopalan V, Smith RA, Lam AK . miR-126 in human cancers: clinical roles and current perspectives. Exp Mol Pathol 2014; 96: 98–107.
Mattia G, Errico MC, Felicetti F, Petrini M, Bottero L, Tomasello L et al. Constitutive activation of the ETS-1-miR-222 circuitry in metastatic melanoma. Pigment Cell Melanoma Res 2011; 24: 953–965.
Izumi Y, Hirata M, Hasuwa H, Iwamoto R, Umata T, Miyado K et al. A metalloprotease-disintegrin, MDC9/meltrin-gamma/ADAM9 and PKC delta are involved in TPA-induced ectodomain shedding of membrane-anchored heparin-binding EGF-like growth factor. EMBO J 1998; 17: 7260–7272.
Kivisaari AK, Kallajoki M, Ala-aho R, McGrath JA, Bauer JW, Konigova R et al. Matrix metalloproteinase-7 activates heparin-binding epidermal growth factor-like growth factor in cutaneous squamous cell carcinoma. Br J Dermatol 2010; 163: 726–735.
Toki F, Nanba D, Matsuura N, Higashiyama S . Ectodomain shedding of membrane-anchored heparin-binding EGF like growth factor and subcellular localization of the Cc-terminal fragment in the cell cycle. J Cell Physiol 2005; 202: 839–848.
Nanba D, Mammoto A, Hashimoto K, Higashiyama S . Proteolytic release of the carboxy-terminal fragment of proHB-EGF causes nuclear export of PLZF. J Cell Biol 2003; 163: 489–502.
Felicetti F, Bottero L, Felli N, Mattia G, Labbaye C, Alvino E et al. Role of PLZF in melanoma progression. Oncogene 2004; 23: 4567–4576.
Wang J, Bai Y, Li H, Greene SB, Klysik E, Yu W et al. MicroRNA-17-92, a direct Ap-2alpha transcriptional target, modulates T-box factor activity in orofacial clefting. PLoS Genet 2013; 9: e1003785.
Mobley AK, Braeuer RR, Kamiya T, Shoshan E, Bar-Eli M . Driving transcriptional regulators in melanoma metastasis. Cancer Metastasis Rev 2012; 31: 621–632.
Bar-Eli M . Gene regulation in melanoma progression by the AP-2 transcription factor. Pigment Cell Res 2001; 14: 78–85.
Melnikova VO, Bar-Eli M . Transcriptional control of the melanoma malignant phenotype. Cancer Biol Ther 2008; 7: 997–1003.
Baldi A, Santini D, Battista T, Dragonetti E, Ferranti G, Petitti T et al. Expression of AP-2 transcription factor and of its downstream target genes c-kit, E-cadherin and p21 in human cutaneous melanoma. J Cell Biochem 2001; 83: 364–372.
Kim YK, Kim VN . Processing of intronic microRNAs. EMBO J 2007; 26: 775–783.
Liu R, Gu J, Jiang P, Zheng Y, Liu X, Jiang X et al. DNMT1-MicroRNA126 Epigenetic circuit contributes to esophageal squamous cell carcinoma growth via ADAM9-EGFR-AKT signaling. Clin Cancer Res 2015; 21: 854–863.
Saito Y, Friedman JM, Chihara Y, Egger G, Chuang JC, Liang G . Epigenetic therapy upregulates the tumor suppressor microRNA-126 and its host gene EGFL7 in human cancer cells. Biochem Biophys Res Commun 2009; 379: 726–731.
Zhang Y, Yang P, Sun T, Li D, Xu X, Rui Y et al. miR-126 and miR-126* repress recruitment of mesenchymal stem cells and inflammatory monocytes to inhibit breast cancer metastasis. Nat Cell Biol 2013; 15: 284–294.
Alcazar O, Achberger S, Aldrich W, Hu Z, Negrotto S, Saunthararajah Y et al. Epigenetic regulation by decitabine of melanoma differentiation in vitro and in vivo. Int J Cancer 2012; 131: 18–29.
Le Bras A, Samson C, Trentini M, Caetano B, Lelievre E, Mattot V et al. VE-statin/egfl7 expression in endothelial cells is regulated by a distal enhancer and a proximal promoter under the direct control of Erg and GATA-2. PLoS One 2010; 5: e12156.
Du C, Lv Z, Cao L, Ding C, Gyabaah OA, Xie H et al. MiR-126-3p suppresses tumor metastasis and angiogenesis of hepatocellular carcinoma by targeting LRP6 and PIK3R2. J Transl Med 2014; 12: 259.
Yang X, Wu H, Ling T . Suppressive effect of microRNA-126 on oral squamous cell carcinoma in vitro. Mol Med Rep 2014; 10: 125–130.
Ozeki K, Tanida S, Morimoto C, Inoue Y, Mizoshita T, Tsukamoto H et al. Telmisartan inhibits cell proliferation by blocking nuclear translocation of ProHB-EGF C-terminal fragment in colon cancer cells. PLoS One 2013; 8: e56770.
Xu M, Chen X, Chen N, Nie L, Li X, Li Q et al. Synergistic silencing by promoter methylation and reduced AP-2alpha transactivation of the proapoptotic HRK gene confers apoptosis resistance and enhanced tumor growth. Am J Pathol 2013; 182: 84–95.
Braeuer RR, Zigler M, Villares GJ, Dobroff AS, Bar-Eli M . Transcriptional control of melanoma metastasis: the importance of the tumor microenvironment. Semin Cancer Biol 2011; 21: 83–88.
Jonckheere N, Fauquette V, Stechly L, Saint-Laurent N, Aubert S, Susini C et al. Tumour growth and resistance to gemcitabine of pancreatic cancer cells are decreased by AP-2alpha overexpression. Br J Cancer 2009; 101: 637–644.
Igoucheva O, Alexeev V . MicroRNA-dependent regulation of cKit in cutaneous melanoma. Biochem Biophys Res Commun 2009; 379: 790–794.
Meister J, Schmidt MH . miR-126 and miR-126*: new players in cancer. ScientificWorldJournal 2010; 10: 2090–2100.
Fish JE, Santoro MM, Morton SU, Yu SH, Yeh RF, Wythe JD et al. MiR-126 regulates angiogenic signaling and vascular integrity. Dev Cell 2008; 15: 272–284.
Sun Y, Bai Y, Zhang F, Wang Y, Guo Y, Guo L . miR-126 inhibits non-small cell lung cancer cells proliferation by targeting EGFL7. Biochem Biophys Res Commun 2010; 391: 1483–1489.
Hallberg AR, Vorrink SU, Hudachek DR, Cramer-Morales K, Milhem MM, Cornell RA et al. Aberrant CpG methylation of the TFAP2A gene constitutes a mechanism for loss of TFAP2A expression in human metastatic melanoma. Epigenetics 2014; 9: 1641–1647.
Errico MC, Felicetti F, Bottero L, Mattia G, Boe A, Felli N et al. The abrogation of the HOXB7/PBX2 complex induces apoptosis in melanoma through the miR-221&222-c-FOS pathway. Int J Cancer 2013; 133: 879–892.
Li LC, Dahiya R . MethPrimer: designing primers for methylation PCRs. Bioinformatics 2002; 18: 1427–1431.
Acknowledgements
This work was supported by grants from the Italian Ministry of Health (RF-2010-2310494) and the Italian Association for Cancer Research (AIRC IG13247) to AC.
Author information
Authors and Affiliations
Corresponding author
Ethics declarations
Competing interests
The authors declare no conflict of interest.
Additional information
Supplementary Information accompanies this paper on the Oncogene website .
Supplementary information
Rights and permissions
This work is licensed under a Creative Commons Attribution-NonCommercial-NoDerivs 4.0 International License. The images or other third party material in this article are included in the article’s Creative Commons license, unless indicated otherwise in the credit line; if the material is not included under the Creative Commons license, users will need to obtain permission from the license holder to reproduce the material. To view a copy of this license, visit http://creativecommons.org/licenses/by-nc-nd/4.0/
About this article
Cite this article
Felli, N., Errico, M., Pedini, F. et al. AP2α controls the dynamic balance between miR-126&126* and miR-221&222 during melanoma progression. Oncogene 35, 3016–3026 (2016). https://doi.org/10.1038/onc.2015.357
Received:
Revised:
Accepted:
Published:
Issue date:
DOI: https://doi.org/10.1038/onc.2015.357
This article is cited by
-
Sex disparity in cancer: roles of microRNAs and related functional players
Cell Death & Differentiation (2018)









