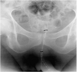
Abstract
Advanced prostate cancer patients frequently deal with intractable prostatic bleeding which is a difficult problem to manage. Intraurethral high-dose rate (HDR) brachytherapy may palliate this condition. Advanced prostate cancer patients with intractable prostatic bleeding were offered brachytherapy with Iridium-192 using a Micro-selectron HDR machine. During a 5-year period, analysis was performed in 23 patients with a median age and Gleason score of 78 years and 9, respectively. Following brachytherapy, haematuria resolved in 19 of the 23 patients and was recurrence free at 6 months. Intraurethral HDR brachytherapy is a potentially effective modality for treating haematuria in patients with advanced prostate cancer.
This is a preview of subscription content, access via your institution
Access options
Subscribe to this journal
Receive 6 print issues and online access
$259.00 per year
only $43.17 per issue
Buy this article
- Purchase on SpringerLink
- Instant access to the full article PDF.
USD 39.95
Prices may be subject to local taxes which are calculated during checkout




Similar content being viewed by others
References
American Cancer Society. Cancer Facts and Figures. American Cancer Society: Atlanta, GA. Available at: http://www.cancer.org/docroot/STT/stt_O.asp.
Salonia A, Gallina A, Camerota T, Picchio M, Freschi M, DaPozzo L et al. Bone metastases are infrequent in patients with newly diagnosed prostate cancer: analysis of their clinical and pathologic features. Urology 2006; 68: 362–366.
Sur RK, Donde B, Levin VC, Mannell A . Fractionated high dose rate intraluminal brachytherapy in palliation of advanced esophageal cancer. Int J Radiat Oncol Biol Phys 1998; 40: 447–453.
Kohek PH, Pakisch B, Glanzer H . Intraluminal irradiation in the treatment of malignant airway obstruction. Eur J Surg Oncol 1994; 20: 674–680.
Gerbaulet A, Haie-Meder C, Bruggmoser G, Laaff H, Kluger UW, Roth R et al. Brachytherapy in cancer of the urethra. Ann Urol (Paris) 1994; 28: 312–317.
Sharma V, Mahantshetty U, Dinshaw KA, Despande R, Sharma S . Palliation of advanced/recurrent esophageal carcinoma with high dose-rate brachytherapy. Int J Radiat Oncol Biol Phys 2002; 52: 310–315.
Sur RK, Levin CV, Donde B, Sharma V, Miszczyk L, Nag S . Prospective randomized trial of HDR brachytherapy as a sole modality in palliation of advanced esophageal carcinoma—an international atomic energy agency study. Int J Radiat Oncol Biol Phys 2002; 53: 127–133.
Chen Y . HDR-192Ir intraluminal brachytherapy in treatment of malignant obstructive jaundice. World J Gastroenterol 2004; 10: 3506–3510.
Macha HN, Wahlers B, Reichle C, von Zwehl D . Endobronchial radiation therapy for obstructing malignancies: ten years' experience with iridium-192 high-dose radiation brachytherapy afterloading technique in 365 patients. Lung 1995; 173: 271–280.
Mehta M, Petereit D, Chosy L, Harmon M, Fowler J, Shahabi S et al. Sequential comparison of low dose rate and hyperfractionated high dose rate endobronchial radiation for malignant airway occlusion. Int J Radiat Oncol Biol Phys 1992; 23: 133–139.
Lo TC, Girshovich L, Healey GA, Beamis Jr JF, Webb-Johnson DC, Villaneuva AG et al. Low dose rate versus high dose rate intraluminal brachytherapy for malignant endobronchial tumors. Radiother Oncol 1995; 35: 193–197.
Chang LF, Horvath J, Peyton W, Ling SS . High dose rate afterloading intraluminal brachytherapy in malignant airway obstruction of lung cancer. Int J Radiat Oncol Biol Phys 1994; 28: 589–596.
Foley SJ, Soloman LZ, Wedderburn AW, Kashif KM, Summerton D, Basketter V et al. A prospective study of the natural history of hematuria associated with benign prostatic hyperplasia and the effect of finasteride. J Urol 2000; 163: 496–498.
Andriole GL, Humphrey P, Ray P, Gleave ME, Trachtenberg J, Thomas LN et al. Effect of the dual 5alpha-reductase inhibitor dutasteride on markers of tumor regression in prostate cancer. J Urol 2004; 172: 915–919.
Kaya C, Ozyurek M, Turkeri LN . Comparison of microvessel densities in rat prostate tissues treated with finasteride, bicalutamide and surgical castration: a preliminary study. Int J Urol 2005; 12: 194–198.
Rannikko A, Petas A, Taari K . Tranexamic acid in control of primary hemorrhage during transurethral prostatectomy. Urology 2004; 64: 955–958.
Gibbons RP, Mason JT, Correa RJ, Cummings KB, Taylor WJ, Hafermann MD et al. Carcinoma of the prostate: local control with external beam radiation therapy. J Urol 1979; 121: 310–312.
Jenkins CN, McIvor J . Survival after embolisation if the internal iliac arteries in ten patients with severe haematuria due to pelvic carcinoma. Clin Radiol 1996; 51: 865–868.
Crain DS, Amling CL, Kane CJ . Palliative transurethral prostate resection for bladder outlet obstruction in patients with locally advanced prostate cancer. J Urol 2004; 171: 668–671.
Gilling PJ, Cass CB, Cresswell MD, Fraundorfer MR . Holmium laser resection of the prostate: preliminary results of a new method for the treatment of benign prostatic hyperplasia. Urology 1996; 47: 48–51.
Hai M, Malek RS . Photoselective vaporization of the prostate: Initial experience with a new 80watt KTP laser for the treatment of benign prostatic hyperplasia. J Endourol 2003; 17: 93–96.
Gilling PJ, Fraundorfer MR . Holmium laser prostatectomy: a technique in evolution. Curr Opin Urol 1998; 8: 11–15.
Elzayat E, Habib E, Elhilali M . Holmium laser enucleation of the prostate in patients on Anticoagulant therapy or with bleeding disorders. J Urol 2006; 175: 1428–1432.
Volkan T, Ihsan TA, Yilmaz O, Emin O, Selcuk S, Koray K et al. Short term outcomes of high power (80 W) potassium-titanyl-phosphate laser vaporization of the prostate. Eur Urol 2005; 48: 608–613.
Author information
Authors and Affiliations
Corresponding author
Rights and permissions
About this article
Cite this article
Thurairaja, R., Pocock, R., Crundwell, M. et al. Brachytherapy for advanced prostate cancer bleeding. Prostate Cancer Prostatic Dis 11, 367–370 (2008). https://doi.org/10.1038/pcan.2008.12
Received:
Revised:
Accepted:
Published:
Issue date:
DOI: https://doi.org/10.1038/pcan.2008.12


