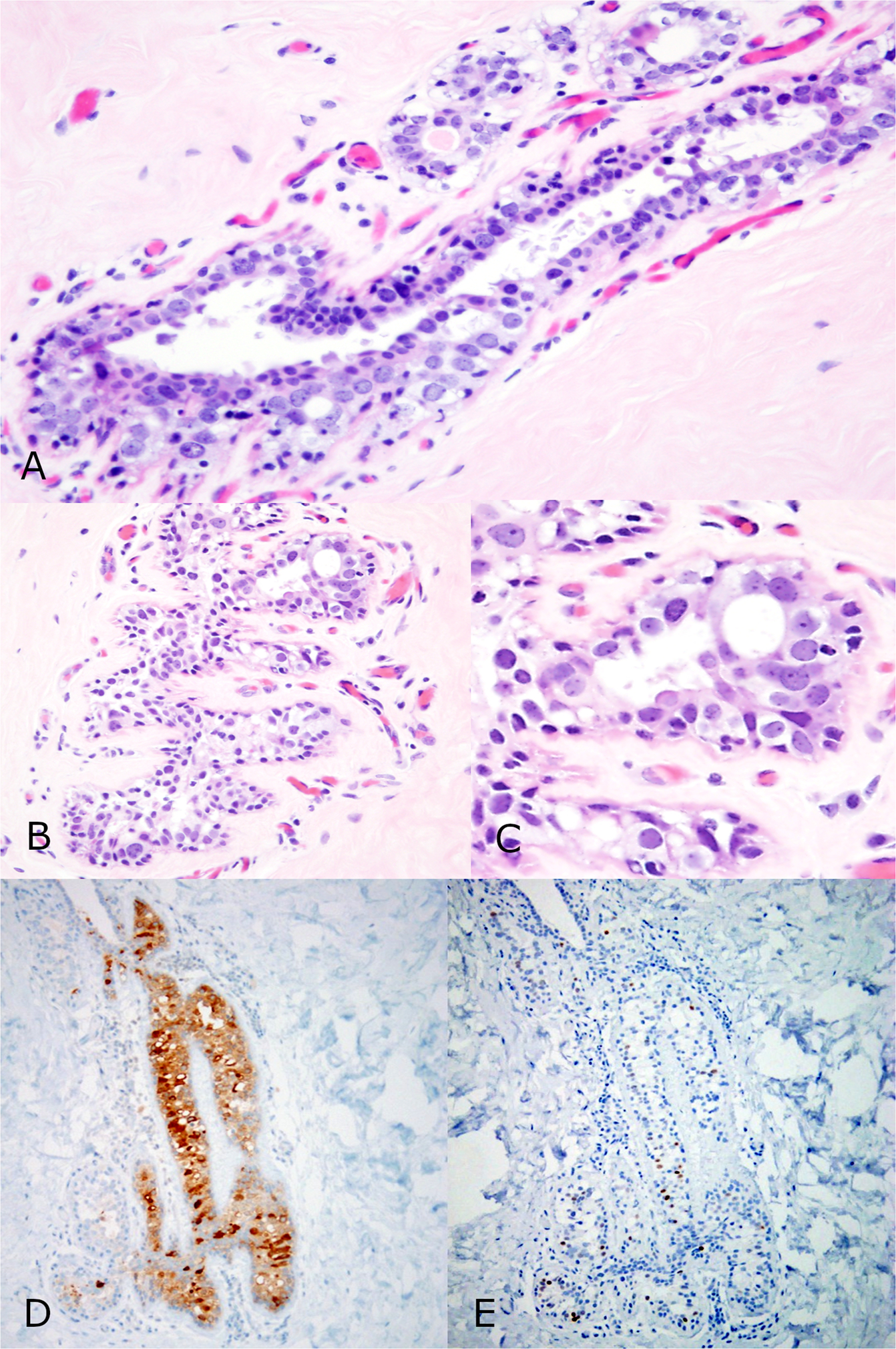
Fig. 1: Prostatic metaplasia, index patient #1.
From: Prostatic metaplasia and pilar differentiation in gender-affirming mastectomy specimens

Prostatic glands are scattered along the basal surface of the duct, above myoepithelial cells (A, B), sometimes associated with invagination into the stroma. Glands have cuboidal cells with foamy, clear to eosinophilic cytoplasm and nucleoli (C). D Positive immunohistochemical staining for PSA and E NKX3.1 (patchy).