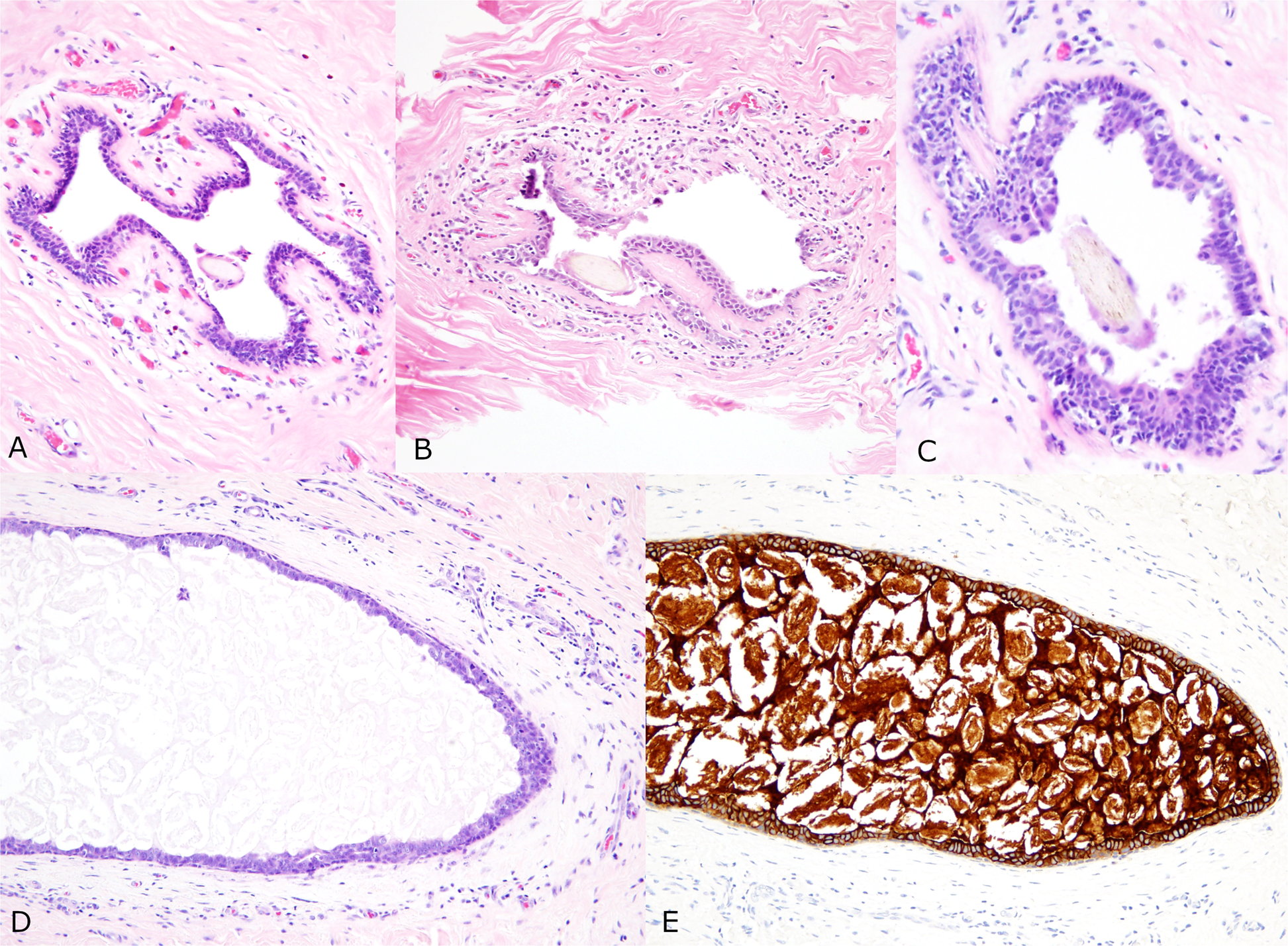
Fig. 4: Additional examples of pilar metaplasia.
From: Prostatic metaplasia and pilar differentiation in gender-affirming mastectomy specimens

A–C Hair shafts within breast ducts from patient #1 (A, near nipple), patient #13 (B, away from the nipple), and patient #6 (C, near nipple). D Dilated breast duct filled with pale acellular debris (patient #7). E Pancytokeratin stain in the same case, confirming the luminal contents as keratin.