Fig. 3: Olaparib Resistance Is Facilitated by SLC7A5-Mediated de novo lipid metabolism.
From: SLC7A5-ERBB2 axis drives olaparib resistance via de novo lipid synthesis in ovarian cancer

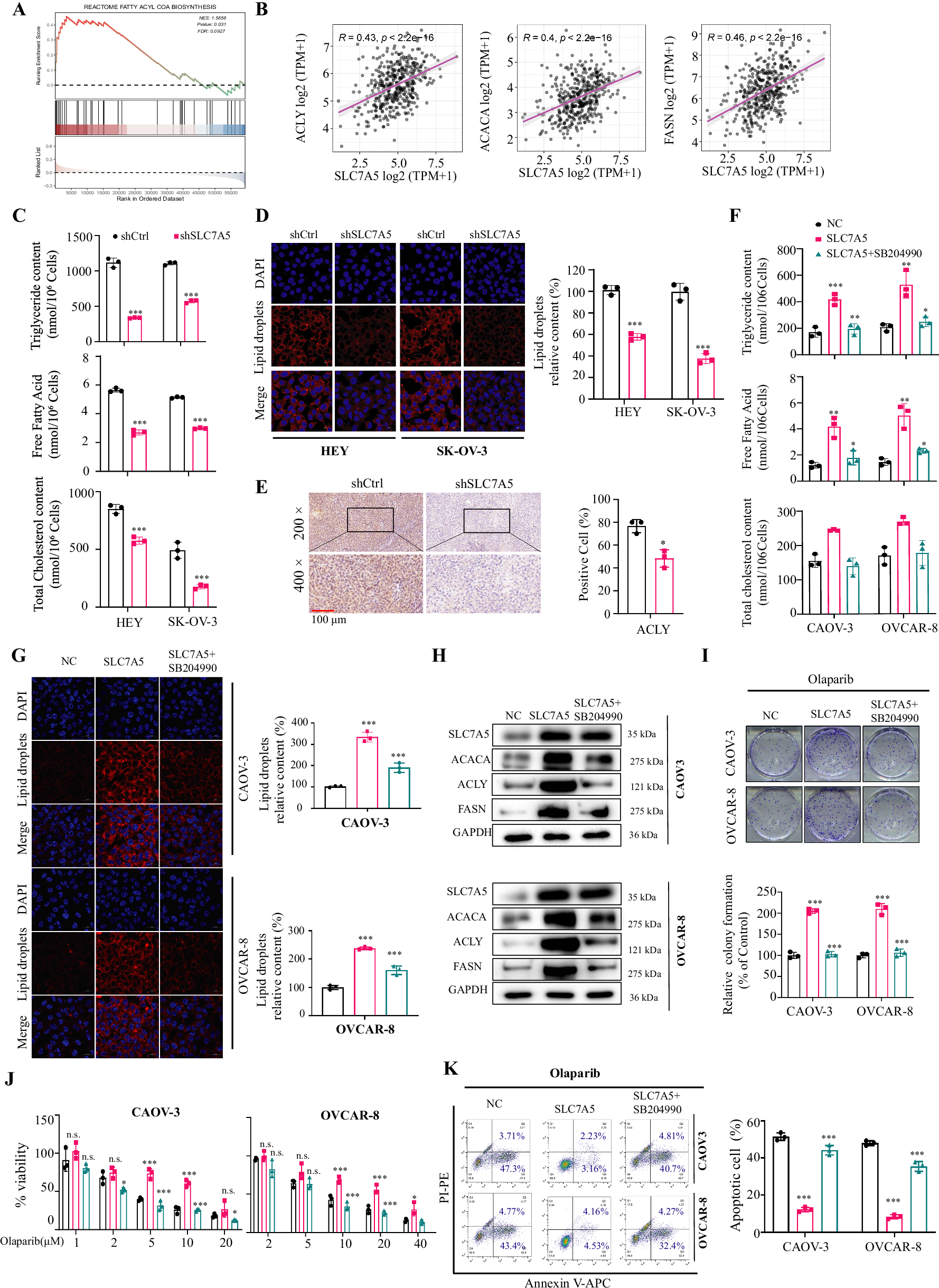
A GSEA. The enrichment analysis results of gene SLC7A5 in the fatty acyl-CoA biosynthesis pathway highlight its potential significance. With a normalized enrichment score (NES) of 1.5658, a P-value of 0.031, and a false discovery rate (FDR) of 0.0927, it suggests that SLC7A5 may play a crucial role in this biosynthetic process, warranting further investigation and study. B Correlation Analysis. Analysis of TCGA database revealed a positive correlation between SLC7A5 and de novo lipid metabolism pathway-associated proteins ACLY, ACACA, and FASN, suggesting that SLC7A5 is involved in lipid metabolism remodeling. C ELISA. Measurements of Tri-Glycerides, Free Fatty Acids, and Total Cholesterol showed that SLC7A5 knockdown significantly inhibited lipid metabolism in HEY and SK-OV-3 cells. Cells (5 × 106, lysed by sonication. D Lipid Droplet Staining. LD540 staining revealed reduced lipid droplets upon SLC7A5 knockdown. Red fluorescence was observed using a fluorescence microscope at an excitation wavelength of 537 nm. E Immunohistochemistry (IHC). IHC analysis of tumor samples from mice showing reduced ACLY expression following SLC7A5 knockdown. F ELISA. ELISA analysis revealed that SB 204990, an ACLY inhibitor, significantly inhibited lipid metabolism remodeling caused by SLC7A5 overexpression in CAOV-3 and OVCAR-8 cells. Cells were treated with 100 µM SB 204990 for 24 h. G Lipid Droplet Staining. LD540 staining shows a significant reduction in lipid droplet accumulation induced by SLC7A5 overexpression following treatment with SB 204990. H Western Blot Analysis. SB 204990 inhibited the upregulation of ACLY, ACACA, and FASN proteins induced by SLC7A5 overexpression. I–K SB 204990 treatment markedly suppressed the increased Olaparib resistance in CAOV-3 and OVCAR-8 cells caused by SLC7A5 overexpression. I Colony formation assay. J Cell viability assay. K Apoptosis Assay. All in vitro data were derived from at least three independent experiments. Error bars represent standard deviation. Statistical significance is indicated by the following symbols. * P < 0.05, ** P < 0.001, *** P < 0.0001, ns non-significant compared to the normal or control treatments.